引用本文: 金偉, 夏勇軍, 李雪榕, 林偉, 劉敏. 大鼠腦震蕩傷后腦外主要器官熱休克蛋白 70、C-fos 表達比值與損傷時間關系的研究. 華西醫學, 2017, 32(10): 1539-1543. doi: 10.7507/1002-0179.201608126 復制
腦震蕩傷是臨床醫學和法醫病理學領域中最為常見的一種顱腦損傷。目前,由于具有診斷價值客觀指標的缺乏,對于腦震蕩的法醫病理學診斷難度較大,同樣對于腦震蕩損傷時間的推斷亦是法醫病理學鑒定工作中的難點,也是近年來法醫病理學領域研究的熱點。嚴治等[1]研究表明大鼠腦挫傷后 1 h,腫瘤壞死因子(tumor necrosis factor,TNF)-α 在腦組織即有表達,分別在 6 h 及 3 d 后出現 2 次表達高峰,7 d 后表達減弱,但仍明顯高于正常水平;腦外主要器官心、肝、脾、肺、腎組織中 TNF-α 在腦挫傷后 1 h 也有表達,隨損傷時間延長,陽性細胞數逐漸增多,3 d 后達最高,7 d 后陽性細胞數雖有所下降但仍顯著多于正常水平。該研究說明大鼠腦挫傷后腦組織和腦外主要器官會發生類似的反應。前人研究多針對單一指標[1- 3],而利用單一指標難以準確作出損傷時間的推斷。董賀文等[4]研究大鼠腦震蕩傷后腦組織誘導型一氧化氮合酶(induced nitric oxide synthase,iNOS)與膠質纖維酸性蛋白(glial fibrillary acidic protein,GFAP)陽性表達比值變化規律與腦損傷時間的關系,發現表達比值可在一定程度上推斷腦震蕩傷后的損傷時間區間。腦震蕩傷后除腦組織外,其他器官是否存在類似的變化尚值得研究。本研究擬在建立大鼠腦震蕩傷模型后,應用免疫組織化學(免疫組化)染色觀察腦外主要器官(心、肝、脾、肺、腎)中熱休克蛋白(heat shock protein,HSP)70 與 C-fos 兩個指標在損傷時序上表達比值的變化規律,以期為腦震蕩的損傷時間推斷提供新的思路。現報告如下。
1 材料與方法
1.1 材料
以健康的成年 SD 大鼠 60 只(由四川大學實驗動物中心提供)為研究對象,體質量 180~200 g,隨機分成 12 組,每組 5 只。其中對照組 1 個,于常規飼養 24 h 后斷頸處死;實驗組 11 個,參照陳銳等[5]改良的 Marmarou 大鼠腦震蕩模型,實驗組大鼠經乙醚麻醉后,固定于緩沖墊上,待大鼠清醒后,用 200 g 重砝碼從 50 cm 的高度對實驗組所有大鼠進行打擊。打擊后進行常規飼養至 0.5、1、3、6、12、24、48、96、168、240、336 h 后斷頸處死。處死后解剖大鼠并取心、肝、脾、肺、腎組織,于 4% 多聚甲醛溶液中固定 48 h,按病理常規進行取材、制片,做常規蘇木精-伊紅(hematoxylin-eosin,HE)染色。
1.2 方法
1.2.1 免疫組化染色
取樣本石蠟切片,按即用型生物素復合體(strept avidin-biotin complex,SABC)免疫組化試劑盒(武漢博士德生物工程有限公司)說明書的方法進行染色。一抗為兔抗大鼠 HSP70 多克隆抗體及兔抗大鼠 C-fos 多克隆抗體,陰性對照以磷酸鹽緩沖液取代一抗。染色切片在光學顯微鏡下觀察,細胞內或細胞核內有黃色至棕褐色細小顆粒分布者為陽性反應。
1.2.2 圖像分析方法
在光學顯微鏡下每張切片隨機選取 10 個視野,運用 Image Pro Plus 6.0 圖像分析軟件對每個視野中陽性表達的陽性細胞數目和總細胞數目進行檢測,計算陽性細胞率(陽性細胞率=陽性染色細胞數/細胞總數)。
1.3 統計學方法
用 SPSS 19.0 統計軟件包進行統計分析。數據用均數±標準差表示,組間比較采用單因素方差分析。檢驗水準α=0.05。
2 結果
2.1 大體改變及 HE 染色結果
大體解剖實驗組大鼠腦組織肉眼觀均未見出血和挫傷灶。對照組大鼠的心、肝、脾、肺、腎組織鏡下均未見明顯異常改變,實驗組大鼠腦震蕩傷后各器官組織鏡下見淤血改變,余未見異常。
2.2 免疫組化染色結果
2.2.1 C-fos 免疫組化染色結果
對照組大鼠各組織中未見陽性著色的細胞。實驗組大鼠腦震蕩傷后 0.5 h,心、肝、脾、肺、腎組織開始出現陽性表達,陽性細胞率高于對照組;心臟組織陽性染色細胞為心肌細胞;肝臟組織陽性染色細胞主要為肝細胞,在匯管區偶見表達;脾臟組織陽性染色細胞散在分布于紅白髓中;肺臟組織陽性染色細胞主要位于細支氣管上皮細胞,在支氣管壁可見少量分布,陽性染色的棕黃色、棕褐色顆粒均勻分布于細胞質內;腎臟組織陽性染色細胞主要為腎小管上皮細胞,細胞質內見棕黃色陽性顆粒沉積。傷后 1、3 h,各組織陽性染色范圍逐漸增加,陽性細胞率亦呈上升的趨勢。傷后 6 h,心、肝、脾、肺、腎陽性細胞數量達高峰,陽性細胞率亦達峰值。傷后 12~336 h,陽性染色細胞數量逐漸減少,細胞質著色逐漸變淺,陽性細胞率亦呈下降趨勢,至傷后 336 h 仍稍高于對照組。見表 1及圖 1、2。

a. 心組織不表達;b. 肝組織不表達;c. 脾組織不表達;d. 肺組織不表達;e. 腎組織不表達

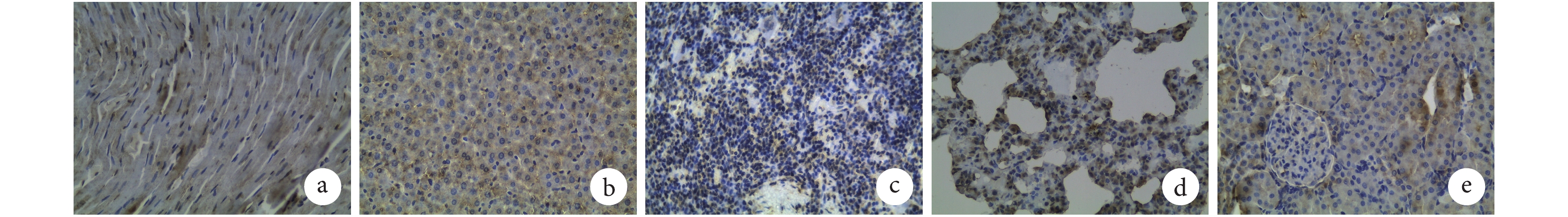
a. 心組織表達達高峰;b. 肝組織表達達高峰;c. 脾組織表達達高峰;d. 肺組織表達達高峰;e. 腎組織表達達高峰


2.2.2 HSP70 免疫組化染色結果
對照組大鼠各組織內可見少量 HSP70 陽性表達,陽性染色主要位于各組織陽性染色細胞細胞質內。實驗組大鼠腦震蕩傷后 0.5 h,心、肝、脾、肺、腎組織陽性表達開始增加,陽性細胞率高于對照組;心臟組織陽性染色細胞為心肌細胞,細胞質及細胞核內見棕黃色、棕褐色陽性顆粒;肝臟組織陽性染色細胞主要為肝細胞,在匯管區偶見表達;脾臟組織陽性染色細胞散在分布于紅白髓中;肺臟組織陽性染色細胞主要位于細支氣管上皮細胞和肺泡上皮細胞,陽性染色的棕黃色、棕褐色顆粒均勻分布于細胞質及細胞核內;腎臟組織陽性染色細胞主要為腎小管上皮細胞,細胞質內見棕黃色陽性顆粒沉積。傷后 1~6 h,各組織陽性染色范圍逐漸增加,陽性細胞率亦呈上升趨勢。傷后 12 h,心、肝、脾、肺、腎陽性細胞數量達高峰,陽性細胞率亦達峰值。傷后 24~336 h,陽性染色細胞數量逐漸減少,細胞質著色逐漸變淺,陽性細胞率亦呈下降趨勢,至傷后 336 h 仍高于對照組。見圖 3、4及表 2。

a. 心組織少量表達;b. 肝組織少量表達;c. 脾組織少量表達;d. 肺組織少量表達;e. 腎組織少量表達

a. 心組織表達達高峰;b. 肝組織表達達高峰;c. 脾組織表達達高峰;d. 肺組織表達達高峰;e. 腎組織表達達高峰


2.3 HSP70 與 C-fos 陽性表達的比值變化
大鼠腦震蕩傷后,各組織中 HSP70 與 C-fos 的陽性細胞率比值呈現先下降、后上升的變化趨勢,于傷后 6 h 時達最低點。見表 3。

3 討論
3.1 大鼠腦震蕩傷后腦外主要器官 HSP70、C-fos 陽性表達與既往研究的比較
原癌基因 c-fos 的產物 C-fos 蛋白位于細胞核內,是 DNA 結合蛋白[6]。HSP70 在正常細胞中水平較低,而在應激狀態下可顯著升高[7]。因此,對于 C-fos、HSP70 的檢測不能從血清學水平得到,大多只能依靠免疫組化的方法。國內外大量研究均表明 c-fos 與多種疾病的發生發展密切相關,升高的 HSP70 可作為腦損傷后的病理學標志[8-10]。
汪楓等[2]、李菁[3]的研究表明大鼠腦震蕩 15 min 后即可在神經細胞觀察到 C-fos 表達,隨著損傷后時間的延長,表達 C-fos 的細胞數及范圍逐漸擴大,損傷后 6 h 其表達達高峰,直至損傷后 96 h 均有大量 C-fos 表達。陳銳等[11]的研究表明腦震蕩傷后 30 min,在大腦皮質、海馬區可見少量呈彌散性分布 HSP70 免疫組化染色陽性細胞,12 h 達高峰,傷后 1 d 陽性細胞數量開始減少。本研究對大鼠腦震蕩傷后除腦以外的主要器官(心、肝、脾、肺、腎)中 HSP70 與 C-fos 表達情況進行研究,發現腦外主要器官中的 C-fos、HSP70 的表達亦具有時序性變化,C-fos 的表達隨著震蕩傷后時間的延長,表達增加,于傷后 6 h 達高峰,之后下降;HSP70 的表達隨著震蕩傷后時間的延長,表達亦增加,于傷后 12 h 達高峰,之后下降。前述表明大鼠腦震蕩傷后腦外主要器官和腦組織 C-fos、HSP70 表達的時序性變化相同,機體腦部遭受損傷后在腦組織局部及全身(腦外主要器官)均會發生類似的反應。
3.2 HSP70 與 C-fos 陽性表達比值與腦震蕩傷損傷時間的關系
董賀文等[4]的研究表明大鼠腦震蕩傷后 0.5~3 h,腦組織 iNOS 與 GFAP 陽性表達比值上升,iNOS 陽性細胞率亦顯著升高,但 GFAP 的陽性細胞率無明顯升高;傷后 3~12 h,二者比值下降,同時 iNOS 陽性細胞率與 GFAP 的陽性細胞率均顯著升高;傷后 12~336 h,二者比值呈單調遞減的變化趨勢,且均小于腦震蕩傷后 0.5~12 h 二者比值。本研究對大鼠腦震蕩傷后除腦以外的主要器官(心、肝、脾、肺、腎)中 HSP70 與 C-fos 表達情況進行研究,發現腦震蕩傷后 0.5~6 h,腦外主要器官 HSP70 的陽性細胞率緩慢升高,而 C-fos 陽性細胞率快速升高,二者的表達比值呈下降趨勢;傷后 6~12 h,HSP70 的陽性細胞率持續升高,而 C-fos 的陽性細胞率逐漸下降,兩者的表達比值呈上升趨勢;傷后 12~336 h,HSP70 的陽性細胞率緩慢下降,而 C-fos 陽性細胞率快速下降,二者的表達比值仍呈上升趨勢。本研究結果顯示大鼠腦震蕩傷后,腦外主要器官組織和腦組織中兩個指標陽性表達細胞率及表達比值變化相類似。說明在腦震蕩傷后,觀察腦外主要器官組織中兩個指標陽性表達比值,同時結合各指標表達陽性細胞率的變化情況可以推斷腦震蕩損傷的損傷時間區間。
綜上,采用腦震蕩傷后腦外主要器官 HSP70 與 C-fos 表達比值,結合 HSP70 與 C-fos 各自的表達變化規律,可為腦震蕩損傷時間的區間推斷提供依據。同時本研究還提示在后期利用兩個指標的比值變化推斷損傷時間的研究中,在指標的選擇上應選擇在損傷后不同時序上表達差異性較大的指標用于研究。
腦震蕩傷是臨床醫學和法醫病理學領域中最為常見的一種顱腦損傷。目前,由于具有診斷價值客觀指標的缺乏,對于腦震蕩的法醫病理學診斷難度較大,同樣對于腦震蕩損傷時間的推斷亦是法醫病理學鑒定工作中的難點,也是近年來法醫病理學領域研究的熱點。嚴治等[1]研究表明大鼠腦挫傷后 1 h,腫瘤壞死因子(tumor necrosis factor,TNF)-α 在腦組織即有表達,分別在 6 h 及 3 d 后出現 2 次表達高峰,7 d 后表達減弱,但仍明顯高于正常水平;腦外主要器官心、肝、脾、肺、腎組織中 TNF-α 在腦挫傷后 1 h 也有表達,隨損傷時間延長,陽性細胞數逐漸增多,3 d 后達最高,7 d 后陽性細胞數雖有所下降但仍顯著多于正常水平。該研究說明大鼠腦挫傷后腦組織和腦外主要器官會發生類似的反應。前人研究多針對單一指標[1- 3],而利用單一指標難以準確作出損傷時間的推斷。董賀文等[4]研究大鼠腦震蕩傷后腦組織誘導型一氧化氮合酶(induced nitric oxide synthase,iNOS)與膠質纖維酸性蛋白(glial fibrillary acidic protein,GFAP)陽性表達比值變化規律與腦損傷時間的關系,發現表達比值可在一定程度上推斷腦震蕩傷后的損傷時間區間。腦震蕩傷后除腦組織外,其他器官是否存在類似的變化尚值得研究。本研究擬在建立大鼠腦震蕩傷模型后,應用免疫組織化學(免疫組化)染色觀察腦外主要器官(心、肝、脾、肺、腎)中熱休克蛋白(heat shock protein,HSP)70 與 C-fos 兩個指標在損傷時序上表達比值的變化規律,以期為腦震蕩的損傷時間推斷提供新的思路。現報告如下。
1 材料與方法
1.1 材料
以健康的成年 SD 大鼠 60 只(由四川大學實驗動物中心提供)為研究對象,體質量 180~200 g,隨機分成 12 組,每組 5 只。其中對照組 1 個,于常規飼養 24 h 后斷頸處死;實驗組 11 個,參照陳銳等[5]改良的 Marmarou 大鼠腦震蕩模型,實驗組大鼠經乙醚麻醉后,固定于緩沖墊上,待大鼠清醒后,用 200 g 重砝碼從 50 cm 的高度對實驗組所有大鼠進行打擊。打擊后進行常規飼養至 0.5、1、3、6、12、24、48、96、168、240、336 h 后斷頸處死。處死后解剖大鼠并取心、肝、脾、肺、腎組織,于 4% 多聚甲醛溶液中固定 48 h,按病理常規進行取材、制片,做常規蘇木精-伊紅(hematoxylin-eosin,HE)染色。
1.2 方法
1.2.1 免疫組化染色
取樣本石蠟切片,按即用型生物素復合體(strept avidin-biotin complex,SABC)免疫組化試劑盒(武漢博士德生物工程有限公司)說明書的方法進行染色。一抗為兔抗大鼠 HSP70 多克隆抗體及兔抗大鼠 C-fos 多克隆抗體,陰性對照以磷酸鹽緩沖液取代一抗。染色切片在光學顯微鏡下觀察,細胞內或細胞核內有黃色至棕褐色細小顆粒分布者為陽性反應。
1.2.2 圖像分析方法
在光學顯微鏡下每張切片隨機選取 10 個視野,運用 Image Pro Plus 6.0 圖像分析軟件對每個視野中陽性表達的陽性細胞數目和總細胞數目進行檢測,計算陽性細胞率(陽性細胞率=陽性染色細胞數/細胞總數)。
1.3 統計學方法
用 SPSS 19.0 統計軟件包進行統計分析。數據用均數±標準差表示,組間比較采用單因素方差分析。檢驗水準α=0.05。
2 結果
2.1 大體改變及 HE 染色結果
大體解剖實驗組大鼠腦組織肉眼觀均未見出血和挫傷灶。對照組大鼠的心、肝、脾、肺、腎組織鏡下均未見明顯異常改變,實驗組大鼠腦震蕩傷后各器官組織鏡下見淤血改變,余未見異常。
2.2 免疫組化染色結果
2.2.1 C-fos 免疫組化染色結果
對照組大鼠各組織中未見陽性著色的細胞。實驗組大鼠腦震蕩傷后 0.5 h,心、肝、脾、肺、腎組織開始出現陽性表達,陽性細胞率高于對照組;心臟組織陽性染色細胞為心肌細胞;肝臟組織陽性染色細胞主要為肝細胞,在匯管區偶見表達;脾臟組織陽性染色細胞散在分布于紅白髓中;肺臟組織陽性染色細胞主要位于細支氣管上皮細胞,在支氣管壁可見少量分布,陽性染色的棕黃色、棕褐色顆粒均勻分布于細胞質內;腎臟組織陽性染色細胞主要為腎小管上皮細胞,細胞質內見棕黃色陽性顆粒沉積。傷后 1、3 h,各組織陽性染色范圍逐漸增加,陽性細胞率亦呈上升的趨勢。傷后 6 h,心、肝、脾、肺、腎陽性細胞數量達高峰,陽性細胞率亦達峰值。傷后 12~336 h,陽性染色細胞數量逐漸減少,細胞質著色逐漸變淺,陽性細胞率亦呈下降趨勢,至傷后 336 h 仍稍高于對照組。見表 1及圖 1、2。

a. 心組織不表達;b. 肝組織不表達;c. 脾組織不表達;d. 肺組織不表達;e. 腎組織不表達

a. 心組織表達達高峰;b. 肝組織表達達高峰;c. 脾組織表達達高峰;d. 肺組織表達達高峰;e. 腎組織表達達高峰


2.2.2 HSP70 免疫組化染色結果
對照組大鼠各組織內可見少量 HSP70 陽性表達,陽性染色主要位于各組織陽性染色細胞細胞質內。實驗組大鼠腦震蕩傷后 0.5 h,心、肝、脾、肺、腎組織陽性表達開始增加,陽性細胞率高于對照組;心臟組織陽性染色細胞為心肌細胞,細胞質及細胞核內見棕黃色、棕褐色陽性顆粒;肝臟組織陽性染色細胞主要為肝細胞,在匯管區偶見表達;脾臟組織陽性染色細胞散在分布于紅白髓中;肺臟組織陽性染色細胞主要位于細支氣管上皮細胞和肺泡上皮細胞,陽性染色的棕黃色、棕褐色顆粒均勻分布于細胞質及細胞核內;腎臟組織陽性染色細胞主要為腎小管上皮細胞,細胞質內見棕黃色陽性顆粒沉積。傷后 1~6 h,各組織陽性染色范圍逐漸增加,陽性細胞率亦呈上升趨勢。傷后 12 h,心、肝、脾、肺、腎陽性細胞數量達高峰,陽性細胞率亦達峰值。傷后 24~336 h,陽性染色細胞數量逐漸減少,細胞質著色逐漸變淺,陽性細胞率亦呈下降趨勢,至傷后 336 h 仍高于對照組。見圖 3、4及表 2。

a. 心組織少量表達;b. 肝組織少量表達;c. 脾組織少量表達;d. 肺組織少量表達;e. 腎組織少量表達

a. 心組織表達達高峰;b. 肝組織表達達高峰;c. 脾組織表達達高峰;d. 肺組織表達達高峰;e. 腎組織表達達高峰


2.3 HSP70 與 C-fos 陽性表達的比值變化
大鼠腦震蕩傷后,各組織中 HSP70 與 C-fos 的陽性細胞率比值呈現先下降、后上升的變化趨勢,于傷后 6 h 時達最低點。見表 3。

3 討論
3.1 大鼠腦震蕩傷后腦外主要器官 HSP70、C-fos 陽性表達與既往研究的比較
原癌基因 c-fos 的產物 C-fos 蛋白位于細胞核內,是 DNA 結合蛋白[6]。HSP70 在正常細胞中水平較低,而在應激狀態下可顯著升高[7]。因此,對于 C-fos、HSP70 的檢測不能從血清學水平得到,大多只能依靠免疫組化的方法。國內外大量研究均表明 c-fos 與多種疾病的發生發展密切相關,升高的 HSP70 可作為腦損傷后的病理學標志[8-10]。
汪楓等[2]、李菁[3]的研究表明大鼠腦震蕩 15 min 后即可在神經細胞觀察到 C-fos 表達,隨著損傷后時間的延長,表達 C-fos 的細胞數及范圍逐漸擴大,損傷后 6 h 其表達達高峰,直至損傷后 96 h 均有大量 C-fos 表達。陳銳等[11]的研究表明腦震蕩傷后 30 min,在大腦皮質、海馬區可見少量呈彌散性分布 HSP70 免疫組化染色陽性細胞,12 h 達高峰,傷后 1 d 陽性細胞數量開始減少。本研究對大鼠腦震蕩傷后除腦以外的主要器官(心、肝、脾、肺、腎)中 HSP70 與 C-fos 表達情況進行研究,發現腦外主要器官中的 C-fos、HSP70 的表達亦具有時序性變化,C-fos 的表達隨著震蕩傷后時間的延長,表達增加,于傷后 6 h 達高峰,之后下降;HSP70 的表達隨著震蕩傷后時間的延長,表達亦增加,于傷后 12 h 達高峰,之后下降。前述表明大鼠腦震蕩傷后腦外主要器官和腦組織 C-fos、HSP70 表達的時序性變化相同,機體腦部遭受損傷后在腦組織局部及全身(腦外主要器官)均會發生類似的反應。
3.2 HSP70 與 C-fos 陽性表達比值與腦震蕩傷損傷時間的關系
董賀文等[4]的研究表明大鼠腦震蕩傷后 0.5~3 h,腦組織 iNOS 與 GFAP 陽性表達比值上升,iNOS 陽性細胞率亦顯著升高,但 GFAP 的陽性細胞率無明顯升高;傷后 3~12 h,二者比值下降,同時 iNOS 陽性細胞率與 GFAP 的陽性細胞率均顯著升高;傷后 12~336 h,二者比值呈單調遞減的變化趨勢,且均小于腦震蕩傷后 0.5~12 h 二者比值。本研究對大鼠腦震蕩傷后除腦以外的主要器官(心、肝、脾、肺、腎)中 HSP70 與 C-fos 表達情況進行研究,發現腦震蕩傷后 0.5~6 h,腦外主要器官 HSP70 的陽性細胞率緩慢升高,而 C-fos 陽性細胞率快速升高,二者的表達比值呈下降趨勢;傷后 6~12 h,HSP70 的陽性細胞率持續升高,而 C-fos 的陽性細胞率逐漸下降,兩者的表達比值呈上升趨勢;傷后 12~336 h,HSP70 的陽性細胞率緩慢下降,而 C-fos 陽性細胞率快速下降,二者的表達比值仍呈上升趨勢。本研究結果顯示大鼠腦震蕩傷后,腦外主要器官組織和腦組織中兩個指標陽性表達細胞率及表達比值變化相類似。說明在腦震蕩傷后,觀察腦外主要器官組織中兩個指標陽性表達比值,同時結合各指標表達陽性細胞率的變化情況可以推斷腦震蕩損傷的損傷時間區間。
綜上,采用腦震蕩傷后腦外主要器官 HSP70 與 C-fos 表達比值,結合 HSP70 與 C-fos 各自的表達變化規律,可為腦震蕩損傷時間的區間推斷提供依據。同時本研究還提示在后期利用兩個指標的比值變化推斷損傷時間的研究中,在指標的選擇上應選擇在損傷后不同時序上表達差異性較大的指標用于研究。