引用本文: 馬靜, 宋毅, 費小凡. 鼻竅通顆粒中黃芪、黃芩的薄層鑒別研究. 華西醫學, 2017, 32(9): 1409-1413. doi: 10.7507/1002-0179.201608028 復制
鼻竅通顆粒是四川大學華西醫院驗方基礎上自制的中藥口服制劑,主要由黃芪、黃芩、蒼耳子和魚腥草等 19 味中藥組成,具有祛風除濕、通竅止痛的功效,用于鼻竇炎所引起的頭昏痛、流膿涕等不適癥狀,臨床上治療效果突出,副作用小。根據復方中藥制劑相關指導辦法,質量標準的指標成分建立一般首選君藥[1]。而本方原質量標準中僅有梔子和赤芍的薄層鑒別,質量可控性較差。黃芪為本方中的君藥,具有益氣固表、托毒排膿生肌的功效,主治體虛自汗、久瀉、脫肛、子宮脫垂、慢性腎炎、體虛浮腫、慢性潰瘍、瘡口久不愈合等癥[2];黃芩為方中佐使藥,具有清熱燥濕、瀉火解毒、止血、安胎等功效,主治溫熱病、上呼吸道感染、肺熱咳嗽、濕熱黃膽、肺炎、癰腫癤瘡等癥[3]。為提高醫院制劑的原質量標準,本研究在原標準基礎上增加了黃芪和黃芩的薄層鑒別方法,并進行了系統方法學研究,以便更好地控制鼻竅通顆粒成品的質量,為保證其臨床用藥安全有效提供參考依據。黃芪中含有多種有效活性成分,其中黃芪甲苷等皂苷類成分具有抗炎鎮痛、抗血栓形成、抗衰老、增強免疫等藥理作用[4];黃芩中含有黃酮類、多糖和萜類化合物等成分,黃芩素是其有效成分之一,具有多種藥理作用,目前臨床主要用于抗炎和抗菌的作用[5]。因此,本研究選擇黃芩素與黃芪甲苷作為鑒別黃芩與黃芪的指標成分。現報告如下。
1 材料與方法
1.1 儀器、試劑與藥材
1.1.1 儀器 AS3120 型超聲波處理器(天津奧特賽恩斯儀器有限公司);HWS24 型電熱恒溫水浴鍋(上海一恒科技儀器有限公司);ZF-90 型多功能暗箱式紫外透射儀(上海寶山顧村電光儀器廠);XP205DR 十萬分之一電子分析天平(瑞士梅特勒-托利多集團);IRD-7080 型鼓風干燥箱(上海智誠分析儀器制造有限公司);LP2102 電子天平(常熟市鴻泰儀器儀表技術有限公司);D101 大孔吸附樹脂(成都市科龍化工試劑廠)。
實驗用薄層板:① 取薄層層析硅膠 G(青島海浪硅膠干燥劑有限公司)適量,按 1∶3 的比例加入含 0.3% 羧甲基纖維素鈉的水溶液混勻,用自動薄層制板器制成 10 cm×20 cm、厚度為 0.4 mm 硅膠G 板,晾干后,于 105℃ 烘 1 h,置干燥器內存放。② 聚酰胺薄膜(江蘇長豐化工有限公司)。
1.1.2 試劑與藥材 乙酸乙酯(天津市富起化工有限公司);甲醇(成都天華化工科技有限公司);正丁醇、乙醇(廣東光華科技股份有限公司);鹽酸、硫酸、三氯甲烷、甲酸、甲苯、氨水(天津市科密歐化學試劑有限公司);碳酸鈉、三氯化鐵、無水硫酸鈉、中性氧化鋁、氫氧化鈉(成都市科龍化工試劑廠)。
黃芪對照藥材(購于中國藥品生物制品檢定所,批號:120974-200508);黃芩對照藥材(購于中國藥品生物制品檢定所,批號:120955-200406);黃芪甲苷對照品(購于中國藥品生物制品檢定所,批號:110781-200613);黃芩素對照品(購于中國藥品生物制品檢定所,批號:11595-200402);鼻竅通顆粒批號:151012、151124、151205。
1.2 黃芪的鑒別
1.2.1 溶液的制備 ① 供試品溶液的制備:取鼻竅通顆粒 20 g,加水 40 mL 溶解,用水飽和正丁醇振搖提取 2 次,15 mL/次,合并正丁醇液,用 5% 碳酸鈉溶液洗滌 2 次,15 mL/次,棄去水液,正丁醇液蒸干,加水 20 mL 溶解,加至 D101 大孔吸附樹脂(柱高 10 cm,內徑 1.2 cm),依次用 2 倍柱體積的水、40% 乙醇洗脫,棄去洗脫液,再以 3 倍柱體積的 70% 乙醇洗脫,收集洗脫液,洗脫液濃縮至約 2 mL,作為供試品溶液。② 對照藥材溶液的制備:取黃芪對照藥材 2 g,同法制成對照藥材溶液。③ 對照品溶液的制備:另取黃芪甲苷對照品適量,加甲醇制成每 1 mL 含 1 mg 黃芪甲苷的溶液,作為對照品溶液。
1.2.2 展開系統選擇 吸取“1.2.1”項下的 3 種溶液,點于同一硅膠 G 薄層板上,分別以條件 1 [乙酸乙酯-甲醇-甲酸-水(10∶1∶1∶1)][6]、條件 2 [氯仿-甲醇(10∶1)][7]、條件 3 [氯仿-甲醇-水(13∶7∶2)][8]的下層溶液為展開劑;將上述薄層板取出,晾干,噴以 10% 硫酸乙醇溶液,在 105℃ 加熱至斑點顯色清晰。
1.2.3 不同檢視條件的考察 吸取“1.2.1”項下的 3 種溶液,在“1.2.2”項下選出的最佳展開系統下展開,取出,晾干,分別在不同紫外燈波長下(254、302、365 nm),或噴 10% 硫酸乙醇溶液加熱至斑點顯色后,日光下檢視。
1.2.4 點樣量的選擇 吸取“1.2.1”項下的 3 種溶液,各 2、5、10、20 μL,點于同一硅膠 G 薄層板上,以“1.2.2”項下選出的最佳展開系統和“1.2.3”項下選出的最佳檢視條件同法檢視。
1.2.5 專屬性的考察 陰性對照品溶液的制備:取除黃芪外的其他處方量藥材制成陰性對照品溶液。吸取陰性對照品溶液 10 μL 和“1.2.1”項下的 3 種溶液,按照“1.2.2–1.2.4”項下選出的最佳條件同法檢視。
1.2.6 不同溫度、濕度的考察 本實驗配置不同濃度的硫酸水溶液置展開缸的一側,密閉 15 min 后,控制其相對濕度;并將裝有薄層板的層析缸分別放置在 4~10℃ 冰箱中,20℃ 室溫空調房中,35℃ 恒溫干燥箱中進行不同溫度的考察。取“1.2.1”項下的 3 種溶液,按照“1.2.2—1.2.4”項下選出的最佳條件進行點樣,分別在下列條件展開:① 溫度 10℃、濕度 45%;② 溫度 10℃、濕度 65%;③ 溫度 20℃、濕度 45%;④ 溫度 20℃、濕度 65%;⑤ 溫度 20℃、濕度 85%;⑥ 溫度 35℃、濕度 65%;⑦ 溫度 35℃、濕度 85%。分別以“1.2.3”項下選出的最佳檢視條件同法檢視。
1.2.7 不同薄層板的考察 吸取“1.2.1”項下的3 種溶液,取不同的薄層板:青島海浪硅膠干燥劑有限公司生產的硅膠 G 薄層板、自制的硅膠 G 薄層板,分別按“1.2.2—1.2.4”項下選出的最佳方法檢視。
1.3 黃芩的鑒別
1.3.1 溶液的制備 ① 供試品溶液的制備:取鼻竅通顆粒 20 g,加乙酸乙酯∶甲醇(3∶1)的混合溶液 100 mL,加熱回流 30 min,濾過,濾液蒸干,殘渣加甲醇 2 mL 溶解,作為黃芩的供試品溶液。② 對照藥材溶液的制備:取黃芩對照藥材 1 g,同法制成對照藥材溶液。③ 對照品溶液的制備:取黃芩素對照品適量,加甲醇制成每 1 mL 含 1 mg 黃芪素的溶液,作為對照品溶液。
1.3.2 展開系統選擇 條件 1:分別吸取“1.3.1”項下 3 種溶液點于同一聚酰胺薄膜上,用甲苯-乙酸乙酯-甲醇-甲酸(10∶3∶1∶2)[9]、冰乙酸[10]為展開劑,取出晾干后直接置紫外燈(365 nm)下檢視;條件 2:分別吸取“1.3.1”項下 3 種溶液點于同一硅膠 G 薄層板上,用乙酸乙酯-丁酮-甲酸-水(5∶3∶1∶1)[11]的上層溶液為展開劑,取出晾干后噴以 2% 三氯化鐵溶液為展開劑;條件 3:分別吸取“1.3.1”項下 3 種溶液點于同一硅膠 G 薄層板上,用甲苯-乙酸乙酯-甲醇-甲酸(9∶3∶2∶2)為展開劑,取出晾干,在日光下放置 30 min 后直接觀察。
1.3.3 不同檢視條件的考察 吸取“1.3.1”項下的 3 種溶液,在“1.3.2”項下選出的最佳展開系統下展開,取出,晾干,分別在不同紫外燈波長(254 nm 和 365 nm)下;或噴以 2% 三氯化鐵乙醇溶液,在日光下檢視;或日光下放置 30 min 后直接觀察。
1.3.4 點樣量的選擇 吸取“1.3.1”項下的 3 種溶液,各 2、5、10 和 20 μL,點于同一硅膠 G 薄層板上,以“1.3.2”項下選出的最佳展開系統和“1.3.3”項下選出的最佳檢視條件同法檢視。
1.3.5 專屬性的考察 陰性對照品溶液的制備:取除黃芩外的其他處方量藥材制成陰性對照品溶液。吸取陰性對照品溶液 10 μL 和“1.3.1”項下的 3 種溶液,按照“1.3.2—1.3.4”項下選出的最佳條件同法檢視。
1.3.6 不同溫度、濕度的考察 本實驗配置不同濃度的硫酸水溶液置展開缸的一側,密閉 15 min 后,控制其相對濕度;并將裝有薄層板的層析缸分別放置在 4~10℃ 冰箱中,20℃ 室溫空調房中,35℃ 恒溫干燥箱中進行不同溫度的考察。取“1.3.1”項下的 3 種溶液,按照“1.3.2—1.3.4”項下選出的最佳條件進行點樣,分別在下列條件展開:① 溫度 10℃、濕度 45%;② 溫度 10℃、濕度 65%;③ 溫度 20℃、濕度 45%;④ 溫度 20℃、濕度 65%;⑤ 溫度 20℃、濕度 85%;⑥ 溫度 35℃、濕度 65%;⑦ 溫度 35℃、濕度 85%。分別以“1.3.4”項下選出的最佳檢視條件同法檢視。
1.3.7 不同薄層板的考察 取“1.3.1”項下的 3 種溶液,取不同的薄層板:青島海浪硅膠干燥劑有限公司生產的硅膠 G 薄層板;自制的硅膠 G 薄層板,分別按“1.3.2—1.3.4”項下選出的最佳方法檢視。
2 結果
2.1 黃芪薄層條件考察結果
2.1.1 展開系統考察結果 在條件 1、2 的展開系統下,雜質干擾較多,斑點拖尾嚴重,陰性有干擾;在條件 3 的展開系統下,斑點分離度好,陰性無干擾,比移(retention factor, Rf) 值適中。綜合上述因素,最終確定以三氯甲烷-甲醇-水(13∶7∶2)的下層溶液為本品的最佳展開系統。
2.1.2 點樣量的選擇結果 根據斑點的清晰度和分離度確定本品最佳點樣量為供試品溶液 20 μL 和對照品溶液 5 μL。
2.1.3 不同檢視條件的考察結果 本品噴 10% 硫酸乙醇溶液,在 105℃ 加熱至斑點顯色清晰,故確定以此為最佳檢視條件。
2.1.4 專屬性的考察結果 陰性對照品色譜中,在與對照品色譜和對照藥材色譜相應的位置上無斑點,該方法的專屬性好。
2.1.5 不同溫度、濕度的考察結果 在上述不同溫度、濕度條件下,供試品色譜在與對照品色譜的相應位置上,均有相同顏色的斑點,且分離度良好,Rf 值有稍許變化,說明溫度在 10~35℃ 范圍內,濕度在 45%~85% 范圍內,對本品的薄層鑒別影響小,重復性和穩定性好。
2.1.6 不同薄層板的考察結果 在不同薄層板條件下,特征主斑點的分離度達到要求,斑點清晰。
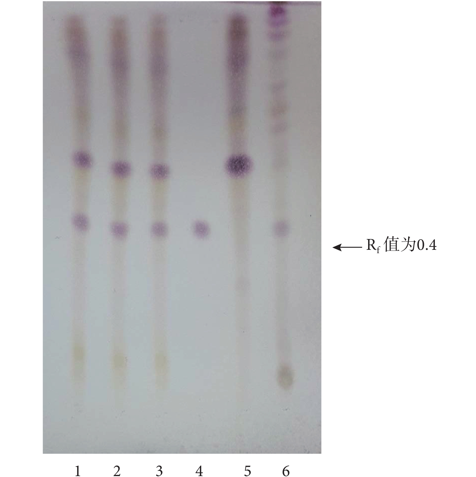
2.1.7 黃芪薄層條件最終結果 ① 展開系統:以三氯甲烷-甲醇-水(13∶7∶2)的下層溶液為展開劑,取出,晾干。② 點樣條件:吸取供試品溶液和對照藥材溶液各 20 μL,對照品溶液 5 μL,分別點于同一硅膠 G 薄層板上。③ 檢視條件:噴以 10% 硫酸乙醇溶液,在 105℃ 加熱至斑點顯色清晰。見圖 1。

1~3:供試品;4:黃芪甲苷對照品;5:黃芪陰性對照品;6:黃芪對照藥材
2.2 黃芩薄層條件考察結果
2.2.1 展開系統考察結果 在展開系統條件 1 下,供試品在與對照品和對照藥材相應位置,暗色斑點不明顯,且拖尾嚴重;在條件 2、3 下,通過觀察主斑點的 Rf 值、分離度、拖尾情況,確定以甲苯-乙酸乙酯-甲酸-甲醇(9∶3∶2∶2)為本品的最佳展開系統。
2.2.2 點樣量的選擇結果 根據斑點的清晰度和分離度確定本品最佳點樣量為供試品溶液 20 μL,對照品和對照藥材溶液各 5 μL。
2.2.3 不同檢視條件的考察結果 本品特征斑點在日光下放置 30 min 后直接觀察時,斑點最明顯,故確定以此為最佳檢視條件。
2.2.4 專屬性的考察結果 陰性對照品色譜中,在與對照品色譜和對照藥材色譜相應的位置上無斑點,該方法的專屬性好。
2.2.5 不同溫度、濕度的考察結果 在上述不同溫度、濕度條件下,供試品色譜在與對照品和對照藥材色譜的相應位置上,均有相同顏色的斑點,且分離度良好,Rf 值有稍許變化,說明溫度在 10~35℃ 范圍內,濕度在 45%~85% 范圍內,對本品的薄層鑒別影響小,重復性和穩定性好。
2.2.6 不同薄層板的考察結果 在不同薄層板條件下,特征主斑點的分離度達到要求,斑點清晰。
2.2.7 黃芩薄層條件最終結果 ① 展開系統:以甲苯-乙酸乙酯-甲酸-甲醇(9∶3∶2∶2)為展開劑,取出,晾干。② 點樣條件:吸取供試品溶液 20 μL,對照品溶液和對照藥材溶液各 5 μL,分別點于同一硅膠 G 薄層板上。③ 檢視條件:日光下放置 30 min 后直接觀察,供試品在與對照品和對照藥材相應位置有相同顏色的斑點。見圖 2。

1~3:供試品;4:黃芩素對照品;5:黃芩對照藥材;6:黃芩陰性對照品
3 討論
本實驗對本品中黃芪和黃芩藥材進行鑒別時,還探索了其他條件:參照中國藥典 2015 年版一部黃芪[12]項下方法,將鼻竅通顆粒用乙醇加熱回流提取,濾液蒸干加 0.3% 氫氧化鈉溶解,用稀鹽酸調節 pH 值至 5~6,采用乙酸乙酯萃取 2 次,蒸干后殘渣加甲醇 2 mL溶 解,作為供試品溶液;以氯仿∶甲醇(3∶1)為展開劑,但在此條件下雜質干擾較多,斑點拖尾嚴重,陰性有干擾,故未采用該方法制備黃芪的供試品溶液。另外參照文獻[13]將鼻竅通顆粒的甲醇提取液蒸干后通過中性氧化鋁進行純化,先用 40% 甲醇 150 mL 洗脫,洗脫液蒸干后,用水飽和正丁醇萃取,把萃取液作為供試品溶液,以氯仿-甲醇-甲酸(9∶0.5∶0.5)為展開劑,但是該供試品在與對照藥材相應位置斑點雜質干擾較大,分離度不好,故也未采用該方法制備黃芪的供試品溶液。參照文獻[14]方法對黃芩制樣,先用乙醚除脂溶性成分,水液加酸調 pH 值后用乙酸乙酯萃取,萃取液作為供試品液,但在該條件下黃芩拖尾嚴重,陰性有干擾,故未采用該方法制備黃芩的供試品溶液。上述條件的影響是由于鼻竅通顆粒由 19 味中藥組成,成分復雜,提取液中溶出成分多,待測成分與其他雜質成分均被提取出來,導致薄層鑒別干擾嚴重,分離效果差,故在選擇提取制備工藝時,需要根據待測成分的性質進行選擇。
在進行黃芪和黃芩的耐用性試驗考察時,溫度和濕度的變化對 Rf 值會有影響,但在此條件變化的情況下,其特征主斑點分離度和清晰度良好;另外,本次實驗還采用了市售薄層板和自制薄層版分別進行考察,黃芪和黃芩的主斑點在這 2 種薄層板上的分離度和重現性均能達到相關要求,說明本次實驗方案有效、可行。
我們還嘗試過鑒別該處方中其他幾味藥材,但由于方中部分藥材含有揮發性成分,還有部分藥材的鑒別成分遇熱不穩定,在顆粒制備的煎煮工藝中,揮發性成分損失,有效成分被破壞,在薄層色譜中難以鑒別出其特征斑點,故鑒別意義不大[15-17];還有部分藥材通過薄層鑒別篩選后,也存在專屬性不強、斑點不明顯的現象,故未納入標準正文中。
綜上所述,醫療機構制劑遵循安全、實用、規范和質量可控的原則,建立有代表性的、簡便快速、專屬性和靈敏度高的方法,才能有效地控制醫療機構制劑的質量,保證臨床療效。本研究對鼻竅通顆粒中黃芪和黃芩進行了薄層鑒別方法學驗證考察,結果顯示圖譜中的特征斑點清晰,分離度好,陰性對照無干擾,操作簡便,表明該方法的重現性好、專屬性高,可作為鼻竅通顆粒質量控制的檢測指標。
鼻竅通顆粒是四川大學華西醫院驗方基礎上自制的中藥口服制劑,主要由黃芪、黃芩、蒼耳子和魚腥草等 19 味中藥組成,具有祛風除濕、通竅止痛的功效,用于鼻竇炎所引起的頭昏痛、流膿涕等不適癥狀,臨床上治療效果突出,副作用小。根據復方中藥制劑相關指導辦法,質量標準的指標成分建立一般首選君藥[1]。而本方原質量標準中僅有梔子和赤芍的薄層鑒別,質量可控性較差。黃芪為本方中的君藥,具有益氣固表、托毒排膿生肌的功效,主治體虛自汗、久瀉、脫肛、子宮脫垂、慢性腎炎、體虛浮腫、慢性潰瘍、瘡口久不愈合等癥[2];黃芩為方中佐使藥,具有清熱燥濕、瀉火解毒、止血、安胎等功效,主治溫熱病、上呼吸道感染、肺熱咳嗽、濕熱黃膽、肺炎、癰腫癤瘡等癥[3]。為提高醫院制劑的原質量標準,本研究在原標準基礎上增加了黃芪和黃芩的薄層鑒別方法,并進行了系統方法學研究,以便更好地控制鼻竅通顆粒成品的質量,為保證其臨床用藥安全有效提供參考依據。黃芪中含有多種有效活性成分,其中黃芪甲苷等皂苷類成分具有抗炎鎮痛、抗血栓形成、抗衰老、增強免疫等藥理作用[4];黃芩中含有黃酮類、多糖和萜類化合物等成分,黃芩素是其有效成分之一,具有多種藥理作用,目前臨床主要用于抗炎和抗菌的作用[5]。因此,本研究選擇黃芩素與黃芪甲苷作為鑒別黃芩與黃芪的指標成分。現報告如下。
1 材料與方法
1.1 儀器、試劑與藥材
1.1.1 儀器 AS3120 型超聲波處理器(天津奧特賽恩斯儀器有限公司);HWS24 型電熱恒溫水浴鍋(上海一恒科技儀器有限公司);ZF-90 型多功能暗箱式紫外透射儀(上海寶山顧村電光儀器廠);XP205DR 十萬分之一電子分析天平(瑞士梅特勒-托利多集團);IRD-7080 型鼓風干燥箱(上海智誠分析儀器制造有限公司);LP2102 電子天平(常熟市鴻泰儀器儀表技術有限公司);D101 大孔吸附樹脂(成都市科龍化工試劑廠)。
實驗用薄層板:① 取薄層層析硅膠 G(青島海浪硅膠干燥劑有限公司)適量,按 1∶3 的比例加入含 0.3% 羧甲基纖維素鈉的水溶液混勻,用自動薄層制板器制成 10 cm×20 cm、厚度為 0.4 mm 硅膠G 板,晾干后,于 105℃ 烘 1 h,置干燥器內存放。② 聚酰胺薄膜(江蘇長豐化工有限公司)。
1.1.2 試劑與藥材 乙酸乙酯(天津市富起化工有限公司);甲醇(成都天華化工科技有限公司);正丁醇、乙醇(廣東光華科技股份有限公司);鹽酸、硫酸、三氯甲烷、甲酸、甲苯、氨水(天津市科密歐化學試劑有限公司);碳酸鈉、三氯化鐵、無水硫酸鈉、中性氧化鋁、氫氧化鈉(成都市科龍化工試劑廠)。
黃芪對照藥材(購于中國藥品生物制品檢定所,批號:120974-200508);黃芩對照藥材(購于中國藥品生物制品檢定所,批號:120955-200406);黃芪甲苷對照品(購于中國藥品生物制品檢定所,批號:110781-200613);黃芩素對照品(購于中國藥品生物制品檢定所,批號:11595-200402);鼻竅通顆粒批號:151012、151124、151205。
1.2 黃芪的鑒別
1.2.1 溶液的制備 ① 供試品溶液的制備:取鼻竅通顆粒 20 g,加水 40 mL 溶解,用水飽和正丁醇振搖提取 2 次,15 mL/次,合并正丁醇液,用 5% 碳酸鈉溶液洗滌 2 次,15 mL/次,棄去水液,正丁醇液蒸干,加水 20 mL 溶解,加至 D101 大孔吸附樹脂(柱高 10 cm,內徑 1.2 cm),依次用 2 倍柱體積的水、40% 乙醇洗脫,棄去洗脫液,再以 3 倍柱體積的 70% 乙醇洗脫,收集洗脫液,洗脫液濃縮至約 2 mL,作為供試品溶液。② 對照藥材溶液的制備:取黃芪對照藥材 2 g,同法制成對照藥材溶液。③ 對照品溶液的制備:另取黃芪甲苷對照品適量,加甲醇制成每 1 mL 含 1 mg 黃芪甲苷的溶液,作為對照品溶液。
1.2.2 展開系統選擇 吸取“1.2.1”項下的 3 種溶液,點于同一硅膠 G 薄層板上,分別以條件 1 [乙酸乙酯-甲醇-甲酸-水(10∶1∶1∶1)][6]、條件 2 [氯仿-甲醇(10∶1)][7]、條件 3 [氯仿-甲醇-水(13∶7∶2)][8]的下層溶液為展開劑;將上述薄層板取出,晾干,噴以 10% 硫酸乙醇溶液,在 105℃ 加熱至斑點顯色清晰。
1.2.3 不同檢視條件的考察 吸取“1.2.1”項下的 3 種溶液,在“1.2.2”項下選出的最佳展開系統下展開,取出,晾干,分別在不同紫外燈波長下(254、302、365 nm),或噴 10% 硫酸乙醇溶液加熱至斑點顯色后,日光下檢視。
1.2.4 點樣量的選擇 吸取“1.2.1”項下的 3 種溶液,各 2、5、10、20 μL,點于同一硅膠 G 薄層板上,以“1.2.2”項下選出的最佳展開系統和“1.2.3”項下選出的最佳檢視條件同法檢視。
1.2.5 專屬性的考察 陰性對照品溶液的制備:取除黃芪外的其他處方量藥材制成陰性對照品溶液。吸取陰性對照品溶液 10 μL 和“1.2.1”項下的 3 種溶液,按照“1.2.2–1.2.4”項下選出的最佳條件同法檢視。
1.2.6 不同溫度、濕度的考察 本實驗配置不同濃度的硫酸水溶液置展開缸的一側,密閉 15 min 后,控制其相對濕度;并將裝有薄層板的層析缸分別放置在 4~10℃ 冰箱中,20℃ 室溫空調房中,35℃ 恒溫干燥箱中進行不同溫度的考察。取“1.2.1”項下的 3 種溶液,按照“1.2.2—1.2.4”項下選出的最佳條件進行點樣,分別在下列條件展開:① 溫度 10℃、濕度 45%;② 溫度 10℃、濕度 65%;③ 溫度 20℃、濕度 45%;④ 溫度 20℃、濕度 65%;⑤ 溫度 20℃、濕度 85%;⑥ 溫度 35℃、濕度 65%;⑦ 溫度 35℃、濕度 85%。分別以“1.2.3”項下選出的最佳檢視條件同法檢視。
1.2.7 不同薄層板的考察 吸取“1.2.1”項下的3 種溶液,取不同的薄層板:青島海浪硅膠干燥劑有限公司生產的硅膠 G 薄層板、自制的硅膠 G 薄層板,分別按“1.2.2—1.2.4”項下選出的最佳方法檢視。
1.3 黃芩的鑒別
1.3.1 溶液的制備 ① 供試品溶液的制備:取鼻竅通顆粒 20 g,加乙酸乙酯∶甲醇(3∶1)的混合溶液 100 mL,加熱回流 30 min,濾過,濾液蒸干,殘渣加甲醇 2 mL 溶解,作為黃芩的供試品溶液。② 對照藥材溶液的制備:取黃芩對照藥材 1 g,同法制成對照藥材溶液。③ 對照品溶液的制備:取黃芩素對照品適量,加甲醇制成每 1 mL 含 1 mg 黃芪素的溶液,作為對照品溶液。
1.3.2 展開系統選擇 條件 1:分別吸取“1.3.1”項下 3 種溶液點于同一聚酰胺薄膜上,用甲苯-乙酸乙酯-甲醇-甲酸(10∶3∶1∶2)[9]、冰乙酸[10]為展開劑,取出晾干后直接置紫外燈(365 nm)下檢視;條件 2:分別吸取“1.3.1”項下 3 種溶液點于同一硅膠 G 薄層板上,用乙酸乙酯-丁酮-甲酸-水(5∶3∶1∶1)[11]的上層溶液為展開劑,取出晾干后噴以 2% 三氯化鐵溶液為展開劑;條件 3:分別吸取“1.3.1”項下 3 種溶液點于同一硅膠 G 薄層板上,用甲苯-乙酸乙酯-甲醇-甲酸(9∶3∶2∶2)為展開劑,取出晾干,在日光下放置 30 min 后直接觀察。
1.3.3 不同檢視條件的考察 吸取“1.3.1”項下的 3 種溶液,在“1.3.2”項下選出的最佳展開系統下展開,取出,晾干,分別在不同紫外燈波長(254 nm 和 365 nm)下;或噴以 2% 三氯化鐵乙醇溶液,在日光下檢視;或日光下放置 30 min 后直接觀察。
1.3.4 點樣量的選擇 吸取“1.3.1”項下的 3 種溶液,各 2、5、10 和 20 μL,點于同一硅膠 G 薄層板上,以“1.3.2”項下選出的最佳展開系統和“1.3.3”項下選出的最佳檢視條件同法檢視。
1.3.5 專屬性的考察 陰性對照品溶液的制備:取除黃芩外的其他處方量藥材制成陰性對照品溶液。吸取陰性對照品溶液 10 μL 和“1.3.1”項下的 3 種溶液,按照“1.3.2—1.3.4”項下選出的最佳條件同法檢視。
1.3.6 不同溫度、濕度的考察 本實驗配置不同濃度的硫酸水溶液置展開缸的一側,密閉 15 min 后,控制其相對濕度;并將裝有薄層板的層析缸分別放置在 4~10℃ 冰箱中,20℃ 室溫空調房中,35℃ 恒溫干燥箱中進行不同溫度的考察。取“1.3.1”項下的 3 種溶液,按照“1.3.2—1.3.4”項下選出的最佳條件進行點樣,分別在下列條件展開:① 溫度 10℃、濕度 45%;② 溫度 10℃、濕度 65%;③ 溫度 20℃、濕度 45%;④ 溫度 20℃、濕度 65%;⑤ 溫度 20℃、濕度 85%;⑥ 溫度 35℃、濕度 65%;⑦ 溫度 35℃、濕度 85%。分別以“1.3.4”項下選出的最佳檢視條件同法檢視。
1.3.7 不同薄層板的考察 取“1.3.1”項下的 3 種溶液,取不同的薄層板:青島海浪硅膠干燥劑有限公司生產的硅膠 G 薄層板;自制的硅膠 G 薄層板,分別按“1.3.2—1.3.4”項下選出的最佳方法檢視。
2 結果
2.1 黃芪薄層條件考察結果
2.1.1 展開系統考察結果 在條件 1、2 的展開系統下,雜質干擾較多,斑點拖尾嚴重,陰性有干擾;在條件 3 的展開系統下,斑點分離度好,陰性無干擾,比移(retention factor, Rf) 值適中。綜合上述因素,最終確定以三氯甲烷-甲醇-水(13∶7∶2)的下層溶液為本品的最佳展開系統。
2.1.2 點樣量的選擇結果 根據斑點的清晰度和分離度確定本品最佳點樣量為供試品溶液 20 μL 和對照品溶液 5 μL。
2.1.3 不同檢視條件的考察結果 本品噴 10% 硫酸乙醇溶液,在 105℃ 加熱至斑點顯色清晰,故確定以此為最佳檢視條件。
2.1.4 專屬性的考察結果 陰性對照品色譜中,在與對照品色譜和對照藥材色譜相應的位置上無斑點,該方法的專屬性好。
2.1.5 不同溫度、濕度的考察結果 在上述不同溫度、濕度條件下,供試品色譜在與對照品色譜的相應位置上,均有相同顏色的斑點,且分離度良好,Rf 值有稍許變化,說明溫度在 10~35℃ 范圍內,濕度在 45%~85% 范圍內,對本品的薄層鑒別影響小,重復性和穩定性好。
2.1.6 不同薄層板的考察結果 在不同薄層板條件下,特征主斑點的分離度達到要求,斑點清晰。
2.1.7 黃芪薄層條件最終結果 ① 展開系統:以三氯甲烷-甲醇-水(13∶7∶2)的下層溶液為展開劑,取出,晾干。② 點樣條件:吸取供試品溶液和對照藥材溶液各 20 μL,對照品溶液 5 μL,分別點于同一硅膠 G 薄層板上。③ 檢視條件:噴以 10% 硫酸乙醇溶液,在 105℃ 加熱至斑點顯色清晰。見圖 1。

1~3:供試品;4:黃芪甲苷對照品;5:黃芪陰性對照品;6:黃芪對照藥材
2.2 黃芩薄層條件考察結果
2.2.1 展開系統考察結果 在展開系統條件 1 下,供試品在與對照品和對照藥材相應位置,暗色斑點不明顯,且拖尾嚴重;在條件 2、3 下,通過觀察主斑點的 Rf 值、分離度、拖尾情況,確定以甲苯-乙酸乙酯-甲酸-甲醇(9∶3∶2∶2)為本品的最佳展開系統。
2.2.2 點樣量的選擇結果 根據斑點的清晰度和分離度確定本品最佳點樣量為供試品溶液 20 μL,對照品和對照藥材溶液各 5 μL。
2.2.3 不同檢視條件的考察結果 本品特征斑點在日光下放置 30 min 后直接觀察時,斑點最明顯,故確定以此為最佳檢視條件。
2.2.4 專屬性的考察結果 陰性對照品色譜中,在與對照品色譜和對照藥材色譜相應的位置上無斑點,該方法的專屬性好。
2.2.5 不同溫度、濕度的考察結果 在上述不同溫度、濕度條件下,供試品色譜在與對照品和對照藥材色譜的相應位置上,均有相同顏色的斑點,且分離度良好,Rf 值有稍許變化,說明溫度在 10~35℃ 范圍內,濕度在 45%~85% 范圍內,對本品的薄層鑒別影響小,重復性和穩定性好。
2.2.6 不同薄層板的考察結果 在不同薄層板條件下,特征主斑點的分離度達到要求,斑點清晰。
2.2.7 黃芩薄層條件最終結果 ① 展開系統:以甲苯-乙酸乙酯-甲酸-甲醇(9∶3∶2∶2)為展開劑,取出,晾干。② 點樣條件:吸取供試品溶液 20 μL,對照品溶液和對照藥材溶液各 5 μL,分別點于同一硅膠 G 薄層板上。③ 檢視條件:日光下放置 30 min 后直接觀察,供試品在與對照品和對照藥材相應位置有相同顏色的斑點。見圖 2。

1~3:供試品;4:黃芩素對照品;5:黃芩對照藥材;6:黃芩陰性對照品
3 討論
本實驗對本品中黃芪和黃芩藥材進行鑒別時,還探索了其他條件:參照中國藥典 2015 年版一部黃芪[12]項下方法,將鼻竅通顆粒用乙醇加熱回流提取,濾液蒸干加 0.3% 氫氧化鈉溶解,用稀鹽酸調節 pH 值至 5~6,采用乙酸乙酯萃取 2 次,蒸干后殘渣加甲醇 2 mL溶 解,作為供試品溶液;以氯仿∶甲醇(3∶1)為展開劑,但在此條件下雜質干擾較多,斑點拖尾嚴重,陰性有干擾,故未采用該方法制備黃芪的供試品溶液。另外參照文獻[13]將鼻竅通顆粒的甲醇提取液蒸干后通過中性氧化鋁進行純化,先用 40% 甲醇 150 mL 洗脫,洗脫液蒸干后,用水飽和正丁醇萃取,把萃取液作為供試品溶液,以氯仿-甲醇-甲酸(9∶0.5∶0.5)為展開劑,但是該供試品在與對照藥材相應位置斑點雜質干擾較大,分離度不好,故也未采用該方法制備黃芪的供試品溶液。參照文獻[14]方法對黃芩制樣,先用乙醚除脂溶性成分,水液加酸調 pH 值后用乙酸乙酯萃取,萃取液作為供試品液,但在該條件下黃芩拖尾嚴重,陰性有干擾,故未采用該方法制備黃芩的供試品溶液。上述條件的影響是由于鼻竅通顆粒由 19 味中藥組成,成分復雜,提取液中溶出成分多,待測成分與其他雜質成分均被提取出來,導致薄層鑒別干擾嚴重,分離效果差,故在選擇提取制備工藝時,需要根據待測成分的性質進行選擇。
在進行黃芪和黃芩的耐用性試驗考察時,溫度和濕度的變化對 Rf 值會有影響,但在此條件變化的情況下,其特征主斑點分離度和清晰度良好;另外,本次實驗還采用了市售薄層板和自制薄層版分別進行考察,黃芪和黃芩的主斑點在這 2 種薄層板上的分離度和重現性均能達到相關要求,說明本次實驗方案有效、可行。
我們還嘗試過鑒別該處方中其他幾味藥材,但由于方中部分藥材含有揮發性成分,還有部分藥材的鑒別成分遇熱不穩定,在顆粒制備的煎煮工藝中,揮發性成分損失,有效成分被破壞,在薄層色譜中難以鑒別出其特征斑點,故鑒別意義不大[15-17];還有部分藥材通過薄層鑒別篩選后,也存在專屬性不強、斑點不明顯的現象,故未納入標準正文中。
綜上所述,醫療機構制劑遵循安全、實用、規范和質量可控的原則,建立有代表性的、簡便快速、專屬性和靈敏度高的方法,才能有效地控制醫療機構制劑的質量,保證臨床療效。本研究對鼻竅通顆粒中黃芪和黃芩進行了薄層鑒別方法學驗證考察,結果顯示圖譜中的特征斑點清晰,分離度好,陰性對照無干擾,操作簡便,表明該方法的重現性好、專屬性高,可作為鼻竅通顆粒質量控制的檢測指標。