引用本文: 臧莎莎, 劉芳. 自身免疫性肝炎合并免疫球蛋白 A 腎病一例. 華西醫學, 2017, 32(10): 1641-1642. doi: 10.7507/1002-0179.201606007 復制
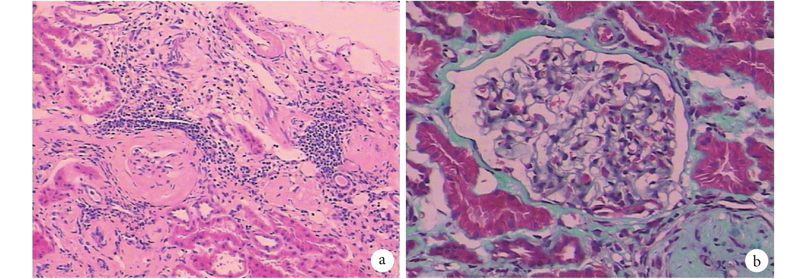
病例介紹 患者,女,52 歲。于 2016 年 4 月 5 日因“發現肝功能異常 2 年,尿液檢查異常 4+ 個月”入住四川大學華西醫院。既往體健,無結核、肝炎等傳染病病史,無糖尿病、高血壓等病史。10 余年前于當地醫院行“右側卵巢囊腫切除手術”,患者無吸煙、飲酒、放射物及毒物接觸史。2 年前(2014 年 4 月)患者因治療“霉菌性陰道炎”服用氟康唑后出現尿黃、面色發黃癥狀就診于當地醫院,肝功能檢查:丙氨酸氨基轉移酶(alanine aminotransferase,ALT)1 939 U/L,天門冬氨酸氨基轉移酶 (alanine transnminase,AST)683 U/L,直接膽紅素/總膽紅素(direct bilirubin/total bilirubin,BILD/T)70/114 μmol/L,診斷不詳,給予保肝、退黃治療(具體藥物名稱及劑量不詳)后就診于四川大學華西醫院,該院考慮患者因治療“霉菌性陰道炎”服用氟康唑后出現尿黃、面黃等不適,且患者肝酶水平升高,診斷為“藥物性肝損害”(未行肝臟穿刺),給予保肝、降酶、退黃等對癥治療后患者于 2014 年 5 月 10 日出院。出院后反復出現肝臟酶學增高,在當地醫院進行免疫自身抗體檢查示:抗核抗體(antinuclear factor,ANA)核均質并核顆粒型(1∶100)、抗平滑肌抗體(anti-smooth muscle antibody,SMA)1∶320,免疫球蛋白(immunoglobulin,Ig)G 19.53 g/L(7.23~16.60 g/L),血清蛋白電泳示:γ 球蛋白 36.9%(13.1%~23.3%),EB 病毒,巨細胞病毒,甲、乙、丙、丁、戊型肝炎病毒均為陰性;腹部超聲及肝臟增強 MRI 檢查示:肝實質彌漫性損害(肝硬化)、脾大、腹水;肝穿刺病理切片會診示:自身免疫性肝炎(autoimmune hepatitis,AIH),不除外重疊藥物性肝損傷,病變程度相當于 G3S3,即炎癥 3 級纖維化 3 期,免疫組織化學檢查:乙肝表面抗原(–),肝組織多發性骨髓瘤癌基因-1(易見陽性細胞);膽管標志物細胞角蛋白 7、19 示小膽管增生。給予患者甲潑尼龍(48 mg,1 次/d)口服治療并逐漸減量至 16 mg 進行長期維持治療。在當地醫院住院期間發現尿隱血(+++),尿蛋白(+),肌酐 132 μmol/L(53~97 μmol/L),為明確腎臟問題于 2016 年 4 月 5 日入住四川大學華西醫院腎臟內科。體格檢查:體溫 36.6℃,脈搏 112 次/min,呼吸頻率 20 次/min,血壓 127/83 mm Hg(1 mm Hg=0.133 kPa)。面色晦暗,皮膚鞏膜輕度黃染,全身淺表淋巴結未捫及腫大,肝掌陽性,蜘蛛痣陰性,頸靜脈無怒張,心肺體格檢查未見明顯異常,全腹軟,腹壁未見靜脈曲張,無壓痛及反跳痛,肝、脾肋下未觸及,雙腎未觸及,雙下肢輕度凹陷性水腫。血常規檢查示:血紅蛋白 135 g/L,血小板計數 91×109/L,白細胞計數 10.05×109/L;尿常規檢查示:尿蛋白(+),隱血(+),紅細胞 246 /HP;尿白蛋白/肌酐 512.3 mg/g;24 h 尿蛋白量 0.99 g;腎功能檢查示:尿素 5.40 mmol/L,肌酐 77.0 μmol/L,估算腎小球濾過率 77.27 mL/min,尿酸 502 μmol/L;肝功能檢查示:ALT 19 U/L,AST 94 U/L,BILD/T 6.5/14.4 μmol/L,堿性磷酸酶 151 U/L,谷氨酰轉肽酶 69 U/L;AIH 相關抗體未見明顯異常;血清蛋白電泳 γ-球蛋白、α1-球蛋白等均未見明顯異常;免疫自身抗體檢查示:ANA 核均質并核顆粒型(1∶100),抗中性粒細胞胞漿抗體(anti-neutrophilcy- toplasmic antibodies,ANCA)、抗腎小球基底膜抗體未見異常;Ig 未見明顯異常。雙腎超聲檢查示:右腎大小約 10.0 cm×4.5 cm×3.8 cm,左腎大小約 11.5 cm×4.7 cm×5.1 cm,雙腎實質回聲稍增強,集合系統未見明顯分離暗區及強回聲團。腎穿刺活體組織檢查(活檢)(圖 1a、1b)示:光學顯微鏡下 ① 腎小球總數 11~13 個,球性硬化 1 個,腎小囊纖維性增厚 2 個;系膜節段或球性細胞及基質輕度增生;基膜節段空泡變性;毛細血管腔病變不明顯。② 約 8% 腎小管萎縮,小管上皮細胞輕度變性。③ 約 8% 間質纖維化伴淋巴細胞、單核細胞、漿細胞浸潤。④ 小動脈壁輕度增厚。免疫熒光染色:Ig A、κ、λ:10~11 個小球系膜區(++),IgM、C3:11 個小球系膜區(+),C4、C1q、IgG:10~11 個小球(–)。病理診斷:符合 IgA 腎病(Lee 分級 2~3 級;牛津分類 M1EoSoTo)。最終診斷為 AIH 合并 IgA 腎病,入院后繼續口服甲潑尼龍 16 mg,1 次/d,給予纈沙坦膠囊 80 mg 口服,1 次/d,同時給予保胃、護肝等對癥治療,復查 24 h 尿蛋白量 0.74 g,于 2016 年 4 月 12 日好轉出院,每月定期門診復查。

a. 可見腎小管萎縮,小管上皮細胞輕度變性,同時可看到硬化的腎小球及淋巴細胞的浸潤(HE ×10);b. 可見系膜節段或球性細胞及基質輕度增生,基膜節段空泡變性,小動脈壁輕度增厚(HE ×40)
討論 AIH 以血清轉氨酶水平升高、循環中存在自身抗體、高 γ-球蛋白血癥、肝組織學特征性改變(界面性肝炎、匯管區淋巴漿細胞浸潤和玫瑰花結樣變)以及對免疫抑制治療應答為特點[1]。本例患者臨床特征符合上述診斷標準,診斷為 AIH。通常 AIH 并發的肝外表現有甲狀腺炎、潰瘍性結腸炎及類風濕性關節炎,此外還有 1 型糖尿病及白癜風,均與免疫紊亂有關,此類報道較多[2],然而 AIH 并發的腎臟病理改變目前國內外研究較少。國外研究顯示 AIH 并發腎臟病理改變類型有膜性腎病、新月體性腎小球腎炎、IgA 腎病以及冷球蛋白血癥腎小球腎炎等[3-5]。國內有 1 篇 AIH 合并膜性腎病的報道[6]。
lgA 腎病是一病理診斷名詞,其主要病理特征為活檢示在腎小球系膜區以 IgA 為主的免疫復合物沉積,以腎小球系膜增生為基本組織學改變,光學顯微鏡下病變多樣,也可有腎小球新月體的形成。IgA 腎病的臨床表現多種多樣,主要表現為血尿,可伴有不同程度的蛋白尿、高血壓和腎臟功能損害[7]。目前 IgA 腎病的發病機制仍不清楚,研究表明遺傳和環境因素均會導致該病的發生。而 IgA 腎病的發病與 AIH 是否有相關性至今仍不明確。目前國外關于 AIH 并發膜性腎病的報道居多,但是是否 AIH 與膜性腎病的發病為共同免疫機制所致依然不明確[8]。有些患者在治療 AIH 的過程中服用了免疫抑制劑,是免疫抑制劑導致腎臟損害的發生亦或是免疫機制破壞所致腎臟損害,目前仍無定論。Sunder 等[2]報道了 1 例 AIH 合并甲狀腺炎、新月體性腎小球腎炎的患者,通過系列檢查及腎穿刺活檢認為其共同的病理機制為 ANCA 所致,給予患者口服糖皮質激素及硫唑嘌呤后,患者癥狀好轉出院。Chen 等[9]報道 2 例 IgA 腎病患者,其中 1 例合并 AIH 及干燥綜合征,作者認為該病例中 IgA 腎病及 AIH 均繼發于干燥綜合征,即干燥綜合征累及腎臟、肝臟,認為重要的發病機制為高 γ 球蛋白血癥及低補體(尤其補體 C4)血癥所致,腎活檢免疫熒光染色示補體 C4 和(或)C1q 在腎小球的沉積,這也可能是繼發于干燥綜合征的 IgA 腎病免疫熒光染色的特點。而本例患者無口干、眼干等相關癥狀,也不存在口腔潰瘍、顏面部紅斑等表現,且自身抗體只有 ANA、SMA 陽性,其余 ANCA、抗 SSA、抗 SSB 等其他抗體均為陰性,腎小球免疫熒光染色未見補體 C4 和 C1q 的沉積,故暫不考慮診斷干燥綜合征或系統性紅斑狼瘡。
綜上,本文報道了 1 例 AIH 合并 IgA 腎病的患者,患者既往體健,且未曾服用免疫抑制劑及其他腎毒性藥物,故排除其他疾病、免疫抑制劑、藥物所致腎臟損害的可能,且排除了干燥綜合征及系統性紅斑狼瘡引起發病的可能。是否其自身免疫性肝炎與 IgA 腎病的發病為同一免疫機制所致,又或二者發病機制無關,有待于進一步研究證實。
病例介紹 患者,女,52 歲。于 2016 年 4 月 5 日因“發現肝功能異常 2 年,尿液檢查異常 4+ 個月”入住四川大學華西醫院。既往體健,無結核、肝炎等傳染病病史,無糖尿病、高血壓等病史。10 余年前于當地醫院行“右側卵巢囊腫切除手術”,患者無吸煙、飲酒、放射物及毒物接觸史。2 年前(2014 年 4 月)患者因治療“霉菌性陰道炎”服用氟康唑后出現尿黃、面色發黃癥狀就診于當地醫院,肝功能檢查:丙氨酸氨基轉移酶(alanine aminotransferase,ALT)1 939 U/L,天門冬氨酸氨基轉移酶 (alanine transnminase,AST)683 U/L,直接膽紅素/總膽紅素(direct bilirubin/total bilirubin,BILD/T)70/114 μmol/L,診斷不詳,給予保肝、退黃治療(具體藥物名稱及劑量不詳)后就診于四川大學華西醫院,該院考慮患者因治療“霉菌性陰道炎”服用氟康唑后出現尿黃、面黃等不適,且患者肝酶水平升高,診斷為“藥物性肝損害”(未行肝臟穿刺),給予保肝、降酶、退黃等對癥治療后患者于 2014 年 5 月 10 日出院。出院后反復出現肝臟酶學增高,在當地醫院進行免疫自身抗體檢查示:抗核抗體(antinuclear factor,ANA)核均質并核顆粒型(1∶100)、抗平滑肌抗體(anti-smooth muscle antibody,SMA)1∶320,免疫球蛋白(immunoglobulin,Ig)G 19.53 g/L(7.23~16.60 g/L),血清蛋白電泳示:γ 球蛋白 36.9%(13.1%~23.3%),EB 病毒,巨細胞病毒,甲、乙、丙、丁、戊型肝炎病毒均為陰性;腹部超聲及肝臟增強 MRI 檢查示:肝實質彌漫性損害(肝硬化)、脾大、腹水;肝穿刺病理切片會診示:自身免疫性肝炎(autoimmune hepatitis,AIH),不除外重疊藥物性肝損傷,病變程度相當于 G3S3,即炎癥 3 級纖維化 3 期,免疫組織化學檢查:乙肝表面抗原(–),肝組織多發性骨髓瘤癌基因-1(易見陽性細胞);膽管標志物細胞角蛋白 7、19 示小膽管增生。給予患者甲潑尼龍(48 mg,1 次/d)口服治療并逐漸減量至 16 mg 進行長期維持治療。在當地醫院住院期間發現尿隱血(+++),尿蛋白(+),肌酐 132 μmol/L(53~97 μmol/L),為明確腎臟問題于 2016 年 4 月 5 日入住四川大學華西醫院腎臟內科。體格檢查:體溫 36.6℃,脈搏 112 次/min,呼吸頻率 20 次/min,血壓 127/83 mm Hg(1 mm Hg=0.133 kPa)。面色晦暗,皮膚鞏膜輕度黃染,全身淺表淋巴結未捫及腫大,肝掌陽性,蜘蛛痣陰性,頸靜脈無怒張,心肺體格檢查未見明顯異常,全腹軟,腹壁未見靜脈曲張,無壓痛及反跳痛,肝、脾肋下未觸及,雙腎未觸及,雙下肢輕度凹陷性水腫。血常規檢查示:血紅蛋白 135 g/L,血小板計數 91×109/L,白細胞計數 10.05×109/L;尿常規檢查示:尿蛋白(+),隱血(+),紅細胞 246 /HP;尿白蛋白/肌酐 512.3 mg/g;24 h 尿蛋白量 0.99 g;腎功能檢查示:尿素 5.40 mmol/L,肌酐 77.0 μmol/L,估算腎小球濾過率 77.27 mL/min,尿酸 502 μmol/L;肝功能檢查示:ALT 19 U/L,AST 94 U/L,BILD/T 6.5/14.4 μmol/L,堿性磷酸酶 151 U/L,谷氨酰轉肽酶 69 U/L;AIH 相關抗體未見明顯異常;血清蛋白電泳 γ-球蛋白、α1-球蛋白等均未見明顯異常;免疫自身抗體檢查示:ANA 核均質并核顆粒型(1∶100),抗中性粒細胞胞漿抗體(anti-neutrophilcy- toplasmic antibodies,ANCA)、抗腎小球基底膜抗體未見異常;Ig 未見明顯異常。雙腎超聲檢查示:右腎大小約 10.0 cm×4.5 cm×3.8 cm,左腎大小約 11.5 cm×4.7 cm×5.1 cm,雙腎實質回聲稍增強,集合系統未見明顯分離暗區及強回聲團。腎穿刺活體組織檢查(活檢)(圖 1a、1b)示:光學顯微鏡下 ① 腎小球總數 11~13 個,球性硬化 1 個,腎小囊纖維性增厚 2 個;系膜節段或球性細胞及基質輕度增生;基膜節段空泡變性;毛細血管腔病變不明顯。② 約 8% 腎小管萎縮,小管上皮細胞輕度變性。③ 約 8% 間質纖維化伴淋巴細胞、單核細胞、漿細胞浸潤。④ 小動脈壁輕度增厚。免疫熒光染色:Ig A、κ、λ:10~11 個小球系膜區(++),IgM、C3:11 個小球系膜區(+),C4、C1q、IgG:10~11 個小球(–)。病理診斷:符合 IgA 腎病(Lee 分級 2~3 級;牛津分類 M1EoSoTo)。最終診斷為 AIH 合并 IgA 腎病,入院后繼續口服甲潑尼龍 16 mg,1 次/d,給予纈沙坦膠囊 80 mg 口服,1 次/d,同時給予保胃、護肝等對癥治療,復查 24 h 尿蛋白量 0.74 g,于 2016 年 4 月 12 日好轉出院,每月定期門診復查。

a. 可見腎小管萎縮,小管上皮細胞輕度變性,同時可看到硬化的腎小球及淋巴細胞的浸潤(HE ×10);b. 可見系膜節段或球性細胞及基質輕度增生,基膜節段空泡變性,小動脈壁輕度增厚(HE ×40)
討論 AIH 以血清轉氨酶水平升高、循環中存在自身抗體、高 γ-球蛋白血癥、肝組織學特征性改變(界面性肝炎、匯管區淋巴漿細胞浸潤和玫瑰花結樣變)以及對免疫抑制治療應答為特點[1]。本例患者臨床特征符合上述診斷標準,診斷為 AIH。通常 AIH 并發的肝外表現有甲狀腺炎、潰瘍性結腸炎及類風濕性關節炎,此外還有 1 型糖尿病及白癜風,均與免疫紊亂有關,此類報道較多[2],然而 AIH 并發的腎臟病理改變目前國內外研究較少。國外研究顯示 AIH 并發腎臟病理改變類型有膜性腎病、新月體性腎小球腎炎、IgA 腎病以及冷球蛋白血癥腎小球腎炎等[3-5]。國內有 1 篇 AIH 合并膜性腎病的報道[6]。
lgA 腎病是一病理診斷名詞,其主要病理特征為活檢示在腎小球系膜區以 IgA 為主的免疫復合物沉積,以腎小球系膜增生為基本組織學改變,光學顯微鏡下病變多樣,也可有腎小球新月體的形成。IgA 腎病的臨床表現多種多樣,主要表現為血尿,可伴有不同程度的蛋白尿、高血壓和腎臟功能損害[7]。目前 IgA 腎病的發病機制仍不清楚,研究表明遺傳和環境因素均會導致該病的發生。而 IgA 腎病的發病與 AIH 是否有相關性至今仍不明確。目前國外關于 AIH 并發膜性腎病的報道居多,但是是否 AIH 與膜性腎病的發病為共同免疫機制所致依然不明確[8]。有些患者在治療 AIH 的過程中服用了免疫抑制劑,是免疫抑制劑導致腎臟損害的發生亦或是免疫機制破壞所致腎臟損害,目前仍無定論。Sunder 等[2]報道了 1 例 AIH 合并甲狀腺炎、新月體性腎小球腎炎的患者,通過系列檢查及腎穿刺活檢認為其共同的病理機制為 ANCA 所致,給予患者口服糖皮質激素及硫唑嘌呤后,患者癥狀好轉出院。Chen 等[9]報道 2 例 IgA 腎病患者,其中 1 例合并 AIH 及干燥綜合征,作者認為該病例中 IgA 腎病及 AIH 均繼發于干燥綜合征,即干燥綜合征累及腎臟、肝臟,認為重要的發病機制為高 γ 球蛋白血癥及低補體(尤其補體 C4)血癥所致,腎活檢免疫熒光染色示補體 C4 和(或)C1q 在腎小球的沉積,這也可能是繼發于干燥綜合征的 IgA 腎病免疫熒光染色的特點。而本例患者無口干、眼干等相關癥狀,也不存在口腔潰瘍、顏面部紅斑等表現,且自身抗體只有 ANA、SMA 陽性,其余 ANCA、抗 SSA、抗 SSB 等其他抗體均為陰性,腎小球免疫熒光染色未見補體 C4 和 C1q 的沉積,故暫不考慮診斷干燥綜合征或系統性紅斑狼瘡。
綜上,本文報道了 1 例 AIH 合并 IgA 腎病的患者,患者既往體健,且未曾服用免疫抑制劑及其他腎毒性藥物,故排除其他疾病、免疫抑制劑、藥物所致腎臟損害的可能,且排除了干燥綜合征及系統性紅斑狼瘡引起發病的可能。是否其自身免疫性肝炎與 IgA 腎病的發病為同一免疫機制所致,又或二者發病機制無關,有待于進一步研究證實。