引用本文: 秦瑤, 柯能文, 尹萬紅. 胸膜惡性孤立性纖維性腫瘤伴Doege-Potter綜合征一例. 華西醫學, 2016, 31(12): 2092-2093. doi: 10.7507/1002-0179.201600574 復制
1 病例介紹
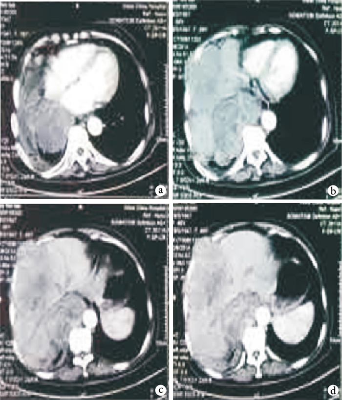
患者??女,66歲。2003年2月于外院行胸部X線檢查發現右縱隔小包塊,無發熱、呼吸困難等不適,未予以特殊處理;既往慢性支氣管炎、腦梗死病史,無糖尿病病史及家族史。2006年5月開始反復發作低血糖,夜間為主,表現為大汗、眼花、頭暈、神志不清,進食后緩解,于外院行胸部CT發現右縱隔占位較前增大,行胸腔鏡縱隔腫瘤切除術,術后未再發作低血糖。2010年6月患者再次發作低血糖并反復出現低血糖暈厥,再次于外院行胸部CT提示右側胸腔占位,考慮腫瘤復發并侵及胸膜,再次行胸腔鏡下右側胸膜腫瘤切除術,術后未再發作低血糖。兩次術后病理檢查均提示:孤立性纖維性腫瘤。2013年11月,患者再次反復出現低血糖暈厥,口服高糖后癥狀好轉,2014年1月,入我院胰腺外科進一步治療。入院后,患者反復發作大汗、意識障礙等低血糖癥狀,夜間為主,發作時測血糖波動在1.6~3.9 mmol/L,進食或口服高糖后癥狀緩解,胸部CT提示右側胸腔巨大占位,與胸膜分界不清,侵犯下胸壁,向下壓迫肝臟致使肝臟變形(圖 1),活體組織檢查結果:“胸腔惡性孤立性纖維性腫瘤”,免疫組織化學檢查顯示:CD34+,CD99+,PCK+,EMA-,CD117-,SMA-,Ki-67+約30%~35%;基因檢測提示:SS18基因檢測陰性。全科討論認為:腫瘤巨大且侵犯腹腔,手術治療難度大。患者高齡,一般情況差,常規放射治療(放療)及化學治療(化療)風險高。遂行經腹碘125粒子種植術,擬待腫瘤進一步縮小后再行手術治療。術后1~6 d,患者血糖波動在7~10 mmol/L;術后6~8 d,患者血糖波動4~6 mmol/L;術后9 d,患者再次發作低血糖,發作時測血糖為2.5 mmol/L,口服高糖后癥狀好轉;后患者仍反復發作低血糖,但較入院時低血糖嚴重程度減低,患者拒絕繼續治療自動出院。術后至今隨訪約1年,患者仍持續發作低血糖,長期口服及靜脈高糖治療控制癥狀。

a~d.從4個不同層面展示右縱隔-胸腔區域多發軟組織結節及腫塊伴不均勻強化,與胸膜分界不清,部分腫塊侵犯右胸壁下份,向下推壓肝臟變形
2 討論
孤立性纖維瘤是由Klemperer等于1931年報道,是一種罕見腫瘤,占所有胸膜腫瘤的5%,一般腫瘤生長緩慢,患者常無臨床癥狀,往往于胸部X線檢查時偶然發現[1]。少數患者有胸痛、咳嗽、呼吸困難和杵狀指等,4%~5%的患者發生低血糖。1930年Doege和Potter首先描述了伴有低血糖癥狀的胸腔內巨大腫塊,此后非胰島素瘤性低血糖癥被稱作Doege -Potter綜合征(DPS)[2],腫瘤分泌胰島素樣物質,即大分子胰島素樣生長因子(IGF)Ⅱ是引起低血糖的重要原因[3]。
回顧1979年-2015年發表在Medline上的英文及中文文獻[4-10],總共有56例合并DPS的胸膜孤立性纖維瘤,根據Gold等[11]采用的組織病理學標準分為27例良性和29例惡性。總結發現:大約74%的良性患者及79.3%的惡性患者的年齡在50~70歲。所有患者臨床表現均有低血糖相關癥狀,良性和惡性患者均會出現意識障礙、困惑、嘔吐等癥狀。良性和惡性也會出現胸腔積液、杵狀指及皮膚改變。
在治療及預后方面,23例合并DPS的良性胸膜孤立性纖維瘤患者行手術治療,其中16例行單純腫瘤切除,7例行完整的腫瘤切除包括周圍的黏附組織。25例惡性胸膜孤立性纖維瘤患者行手術治療,其中14例行單純腫瘤切除,11例行完整手術切除。良性及惡性腫瘤患者均無遠處淋巴結轉移。56例患者隨訪中,除4例(2例良性,2例惡性)患者外,其余患者DPS均消失。其中1例復發并行完全切除(包括復發的腫瘤及周圍黏附組織),另外1例復發并行單純腫瘤切除,但復發腫瘤都表現為反復復發。另外3例由于肺功能及某些其他原因拒絕臨床治療。
總結上述56例伴有DPS的胸膜孤立性纖維瘤患者的信息,良惡性胸膜孤立性纖維瘤臨床表現無明顯區別,均可發生腫瘤復發(2例良性,3例惡性),手術治療對良性、復發良性及惡性孤立性纖維瘤療效相當,完整的腫瘤切除是避免合并DPS的孤立性纖維瘤復發的首選治療方法[11-13],56例患者中,放化療對良惡性腫瘤均無明確療效。然而,近期亦有研究發現,放療對孤立性纖維瘤有一定療效;當腫瘤復發患者拒絕手術,予以60 Gy/30 fx放療后,腫瘤縮小60%[14]。可見放療對于孤立性纖維瘤并DPS患者并非毫無作用。
手術治療雖為目前的最佳選擇,但卻不一定適用于所有病例。臨床上常有部分患者因腫瘤過大、反復復發粘連或基礎情況過差,導致患者無法承受手術,本例報道的患者就是由于腫瘤反復復發、多次手術,患者一般情況差,且此次腫瘤巨大,導致無法直接切除腫瘤。在無法接受手術的情況下,放化療仍為可作之選。該例患者因一般情況太差不適宜進行放化療,故予碘125粒子種植治療,擬待腫瘤縮小后切除腫瘤,此為首例使用碘125粒子種植治療案例。術后1~8 d,患者血糖控制可,表明了碘125粒子治療的短暫效果。但是術后第9天后,患者低血糖再發,且低血糖嚴重程度較術前稍改善,但此后患者仍長期反復發作低血糖,提示該方法仍需探索和研究,如置入部位、劑量等等。若能摸索出一套行之有效的碘125粒子種植治療方案,就可能為類似患者的手術治療創造機會,最終改善臨床結局。
總之,良惡性胸膜孤立性纖維瘤的臨床癥狀無明顯差異,手術治療為合并DPS綜合征的胸膜孤立性纖維瘤的首選治療,放療對孤立性纖維瘤可能存在一定療效,但關于放療對胸膜孤立性纖維瘤的治療研究較少,還需進一步總結。對于不能承受手術的患者,碘125粒子種植治療可能為其開辟了新的治療方向,但具體的治療方案如置入的位置、劑量、時機等還需進一步研究、總結,臨床效果也需進一步評估。
1 病例介紹
患者??女,66歲。2003年2月于外院行胸部X線檢查發現右縱隔小包塊,無發熱、呼吸困難等不適,未予以特殊處理;既往慢性支氣管炎、腦梗死病史,無糖尿病病史及家族史。2006年5月開始反復發作低血糖,夜間為主,表現為大汗、眼花、頭暈、神志不清,進食后緩解,于外院行胸部CT發現右縱隔占位較前增大,行胸腔鏡縱隔腫瘤切除術,術后未再發作低血糖。2010年6月患者再次發作低血糖并反復出現低血糖暈厥,再次于外院行胸部CT提示右側胸腔占位,考慮腫瘤復發并侵及胸膜,再次行胸腔鏡下右側胸膜腫瘤切除術,術后未再發作低血糖。兩次術后病理檢查均提示:孤立性纖維性腫瘤。2013年11月,患者再次反復出現低血糖暈厥,口服高糖后癥狀好轉,2014年1月,入我院胰腺外科進一步治療。入院后,患者反復發作大汗、意識障礙等低血糖癥狀,夜間為主,發作時測血糖波動在1.6~3.9 mmol/L,進食或口服高糖后癥狀緩解,胸部CT提示右側胸腔巨大占位,與胸膜分界不清,侵犯下胸壁,向下壓迫肝臟致使肝臟變形(圖 1),活體組織檢查結果:“胸腔惡性孤立性纖維性腫瘤”,免疫組織化學檢查顯示:CD34+,CD99+,PCK+,EMA-,CD117-,SMA-,Ki-67+約30%~35%;基因檢測提示:SS18基因檢測陰性。全科討論認為:腫瘤巨大且侵犯腹腔,手術治療難度大。患者高齡,一般情況差,常規放射治療(放療)及化學治療(化療)風險高。遂行經腹碘125粒子種植術,擬待腫瘤進一步縮小后再行手術治療。術后1~6 d,患者血糖波動在7~10 mmol/L;術后6~8 d,患者血糖波動4~6 mmol/L;術后9 d,患者再次發作低血糖,發作時測血糖為2.5 mmol/L,口服高糖后癥狀好轉;后患者仍反復發作低血糖,但較入院時低血糖嚴重程度減低,患者拒絕繼續治療自動出院。術后至今隨訪約1年,患者仍持續發作低血糖,長期口服及靜脈高糖治療控制癥狀。

a~d.從4個不同層面展示右縱隔-胸腔區域多發軟組織結節及腫塊伴不均勻強化,與胸膜分界不清,部分腫塊侵犯右胸壁下份,向下推壓肝臟變形
2 討論
孤立性纖維瘤是由Klemperer等于1931年報道,是一種罕見腫瘤,占所有胸膜腫瘤的5%,一般腫瘤生長緩慢,患者常無臨床癥狀,往往于胸部X線檢查時偶然發現[1]。少數患者有胸痛、咳嗽、呼吸困難和杵狀指等,4%~5%的患者發生低血糖。1930年Doege和Potter首先描述了伴有低血糖癥狀的胸腔內巨大腫塊,此后非胰島素瘤性低血糖癥被稱作Doege -Potter綜合征(DPS)[2],腫瘤分泌胰島素樣物質,即大分子胰島素樣生長因子(IGF)Ⅱ是引起低血糖的重要原因[3]。
回顧1979年-2015年發表在Medline上的英文及中文文獻[4-10],總共有56例合并DPS的胸膜孤立性纖維瘤,根據Gold等[11]采用的組織病理學標準分為27例良性和29例惡性。總結發現:大約74%的良性患者及79.3%的惡性患者的年齡在50~70歲。所有患者臨床表現均有低血糖相關癥狀,良性和惡性患者均會出現意識障礙、困惑、嘔吐等癥狀。良性和惡性也會出現胸腔積液、杵狀指及皮膚改變。
在治療及預后方面,23例合并DPS的良性胸膜孤立性纖維瘤患者行手術治療,其中16例行單純腫瘤切除,7例行完整的腫瘤切除包括周圍的黏附組織。25例惡性胸膜孤立性纖維瘤患者行手術治療,其中14例行單純腫瘤切除,11例行完整手術切除。良性及惡性腫瘤患者均無遠處淋巴結轉移。56例患者隨訪中,除4例(2例良性,2例惡性)患者外,其余患者DPS均消失。其中1例復發并行完全切除(包括復發的腫瘤及周圍黏附組織),另外1例復發并行單純腫瘤切除,但復發腫瘤都表現為反復復發。另外3例由于肺功能及某些其他原因拒絕臨床治療。
總結上述56例伴有DPS的胸膜孤立性纖維瘤患者的信息,良惡性胸膜孤立性纖維瘤臨床表現無明顯區別,均可發生腫瘤復發(2例良性,3例惡性),手術治療對良性、復發良性及惡性孤立性纖維瘤療效相當,完整的腫瘤切除是避免合并DPS的孤立性纖維瘤復發的首選治療方法[11-13],56例患者中,放化療對良惡性腫瘤均無明確療效。然而,近期亦有研究發現,放療對孤立性纖維瘤有一定療效;當腫瘤復發患者拒絕手術,予以60 Gy/30 fx放療后,腫瘤縮小60%[14]。可見放療對于孤立性纖維瘤并DPS患者并非毫無作用。
手術治療雖為目前的最佳選擇,但卻不一定適用于所有病例。臨床上常有部分患者因腫瘤過大、反復復發粘連或基礎情況過差,導致患者無法承受手術,本例報道的患者就是由于腫瘤反復復發、多次手術,患者一般情況差,且此次腫瘤巨大,導致無法直接切除腫瘤。在無法接受手術的情況下,放化療仍為可作之選。該例患者因一般情況太差不適宜進行放化療,故予碘125粒子種植治療,擬待腫瘤縮小后切除腫瘤,此為首例使用碘125粒子種植治療案例。術后1~8 d,患者血糖控制可,表明了碘125粒子治療的短暫效果。但是術后第9天后,患者低血糖再發,且低血糖嚴重程度較術前稍改善,但此后患者仍長期反復發作低血糖,提示該方法仍需探索和研究,如置入部位、劑量等等。若能摸索出一套行之有效的碘125粒子種植治療方案,就可能為類似患者的手術治療創造機會,最終改善臨床結局。
總之,良惡性胸膜孤立性纖維瘤的臨床癥狀無明顯差異,手術治療為合并DPS綜合征的胸膜孤立性纖維瘤的首選治療,放療對孤立性纖維瘤可能存在一定療效,但關于放療對胸膜孤立性纖維瘤的治療研究較少,還需進一步總結。對于不能承受手術的患者,碘125粒子種植治療可能為其開辟了新的治療方向,但具體的治療方案如置入的位置、劑量、時機等還需進一步研究、總結,臨床效果也需進一步評估。