引用本文: 劉勇恩. 罕見異位血管致食管狹窄誤診為食管腫瘤一例. 華西醫學, 2016, 31(10): 1799-1799. doi: 10.7507/1002-0179.201600493 復制
1 病例介紹
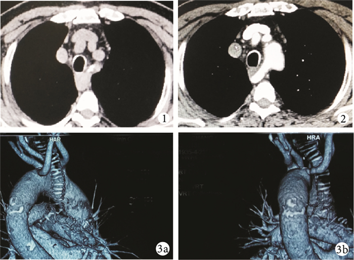
患者??男,77歲。因“進食梗阻1年”,于2015年4月21日入住我院消化內科。患者入院前1年開始出現進食梗阻,并逐漸加重,遂到我院消化內科就診。既往無明確吞咽功能障礙病史。體格檢查:胸部無特殊陽性體征。入院后經胸部CT平掃發現食管胸上段占位性病灶;胃鏡下顯示食管外壓性狹窄,食管黏膜光滑,考慮食管良性腫瘤。請胸外科會診擬行手術切除。經胸外科再次閱片發現病灶在后縱隔向上延續,且在正常解剖位未發現右側鎖骨下動脈,遂考慮異常血管可能(圖 1)。再次行胸部增強CT檢查證實患者為右側鎖骨下動脈直接從主動脈弓分支并經過氣管食管后方到達鎖骨下(圖 2)。由此確定患者進食梗阻原因并非由食管本身病灶,而是由迷走的鎖骨下動脈壓迫所致(圖 3)。鑒于患者梗阻癥狀較輕,不需特殊處理,與患者溝通后建議患者出院隨訪。出院6個月后隨訪,患者進食梗阻的癥狀無明顯變化,囑繼續門診隨訪。
圖1
胸部CT平掃圖????見食管胸上段占位病灶??圖 2 ?胸部CT增強圖????見食管胸上段占位實為從氣管及食管后方經過的右側鎖骨下動脈,食管位于二者之間??圖 3 ?CT血管三維重建圖????3a、3b. ?可見右側鎖骨下動脈直接起始于主動脈弓并經過氣管的后方
2 討論
異位右鎖骨下動脈在臨床上極少見,近10年僅有數例報道[1],血管畸形造成食管狹窄的現象更為罕見,臨床極易誤診為食管腫瘤,其原因可能為:①生理因素:食管為肌性器官,質軟,而氣管及鎖骨下動脈質地較硬,順應性較差,食管從二者之間穿過,受到二者的擠壓造成梗阻癥狀,患者年輕時,氣管及動脈的順應性相對較好,所以梗阻癥狀不明顯,隨著年齡的增長,氣管及動脈的順應性減弱,故梗阻癥狀隨之出現并呈進行性加重趨勢。②經驗因素:因血管異常導致的進食梗阻非常罕見,不同于腸系膜上動脈綜合征,故極易誤診[2-3],同時患者的臨床癥狀及檢查結果均支持食管占位性疾病。患者既往無進食梗阻癥狀,近期出現進食梗阻癥狀,符合食管腫瘤的常規表現;CT平掃見食管胸上段占位性病灶,亦符合食管癌的影像學表現[4];胃鏡下顯示食管外壓性狹窄,食管黏膜光滑。我們的體會是,如果臨床醫生注意以下幾個方面,可以避免誤診:①養成專業的閱片習慣,仔細對比分析每一層面的異常結構并整合分析出現異常結構的原因;②具備精準的專科解剖及影像學知識,對于較正常結構增加或者減少的結構才會產生相應的診斷敏感性;③科室多層次討論,科間多學科會診是避免誤診的最有效措施。
1 病例介紹
患者??男,77歲。因“進食梗阻1年”,于2015年4月21日入住我院消化內科。患者入院前1年開始出現進食梗阻,并逐漸加重,遂到我院消化內科就診。既往無明確吞咽功能障礙病史。體格檢查:胸部無特殊陽性體征。入院后經胸部CT平掃發現食管胸上段占位性病灶;胃鏡下顯示食管外壓性狹窄,食管黏膜光滑,考慮食管良性腫瘤。請胸外科會診擬行手術切除。經胸外科再次閱片發現病灶在后縱隔向上延續,且在正常解剖位未發現右側鎖骨下動脈,遂考慮異常血管可能(圖 1)。再次行胸部增強CT檢查證實患者為右側鎖骨下動脈直接從主動脈弓分支并經過氣管食管后方到達鎖骨下(圖 2)。由此確定患者進食梗阻原因并非由食管本身病灶,而是由迷走的鎖骨下動脈壓迫所致(圖 3)。鑒于患者梗阻癥狀較輕,不需特殊處理,與患者溝通后建議患者出院隨訪。出院6個月后隨訪,患者進食梗阻的癥狀無明顯變化,囑繼續門診隨訪。
圖1
胸部CT平掃圖????見食管胸上段占位病灶??圖 2 ?胸部CT增強圖????見食管胸上段占位實為從氣管及食管后方經過的右側鎖骨下動脈,食管位于二者之間??圖 3 ?CT血管三維重建圖????3a、3b. ?可見右側鎖骨下動脈直接起始于主動脈弓并經過氣管的后方
2 討論
異位右鎖骨下動脈在臨床上極少見,近10年僅有數例報道[1],血管畸形造成食管狹窄的現象更為罕見,臨床極易誤診為食管腫瘤,其原因可能為:①生理因素:食管為肌性器官,質軟,而氣管及鎖骨下動脈質地較硬,順應性較差,食管從二者之間穿過,受到二者的擠壓造成梗阻癥狀,患者年輕時,氣管及動脈的順應性相對較好,所以梗阻癥狀不明顯,隨著年齡的增長,氣管及動脈的順應性減弱,故梗阻癥狀隨之出現并呈進行性加重趨勢。②經驗因素:因血管異常導致的進食梗阻非常罕見,不同于腸系膜上動脈綜合征,故極易誤診[2-3],同時患者的臨床癥狀及檢查結果均支持食管占位性疾病。患者既往無進食梗阻癥狀,近期出現進食梗阻癥狀,符合食管腫瘤的常規表現;CT平掃見食管胸上段占位性病灶,亦符合食管癌的影像學表現[4];胃鏡下顯示食管外壓性狹窄,食管黏膜光滑。我們的體會是,如果臨床醫生注意以下幾個方面,可以避免誤診:①養成專業的閱片習慣,仔細對比分析每一層面的異常結構并整合分析出現異常結構的原因;②具備精準的專科解剖及影像學知識,對于較正常結構增加或者減少的結構才會產生相應的診斷敏感性;③科室多層次討論,科間多學科會診是避免誤診的最有效措施。

