引用本文: 何艷梅, 江煒, 李雷. 宮頸原發子宮內膜間質肉瘤一例. 華西醫學, 2016, 31(1): 65-66. doi: 10.7507/1002-0179.20160016 復制
1 病例介紹
患者?女,52歲。2003年因“子宮肌瘤”行子宮次全切除術,術后病理檢查為“平滑肌瘤”。2011年11月因“下腹痛3個月”于我院就診,專科體格檢查:宮頸直徑6 cm,雙側骶韌帶縮短但未達盆壁。CT示:陰道穹窿上方殘留宮頸增大,呈團塊影,5.4 cm×4.3 cm,宮旁脂肪密度稍模糊,血管影增多,宮頸膀胱三角和宮頸直腸三角脂肪間隙不清晰,直腸前壁局部與腫塊分界不清,宮骶韌帶增厚;陰道壁未見確切異常強化;右側附件區見直徑1.5 cm囊性灶,左附件區未見占位征象;膀胱和直腸壁未見增厚,直腸旁脂肪間隙清晰;雙側髂總動脈旁未見長大淋巴結,左側閉孔區軟組織結節2.2 cm×1.6 cm,右側閉孔血管區域未見腫大淋巴結;雙側腹股溝區淋巴結顯示;盆腹膜未見增厚,未見盆腹腔積液;盆側壁脂肪間隙清晰,盆壁骨質未見破壞。宮頸活體組織病理檢查示:宮頸低級別子宮內膜間質肉瘤(ESS)。臨床分期ⅡB期。與患者及家屬反復溝通后決定先行新輔助化學療法(化療)后爭取手術。故行TP方案(順鉑80 mg 靜脈注射,第1天用藥,紫杉醇210 mg靜脈注射,第2天用藥)化療3次。CT提示增大宮頸較前有所減小。于2012年2月行“宮頸殘端切除術+雙附件切除術+盆腔淋巴結清掃術”。
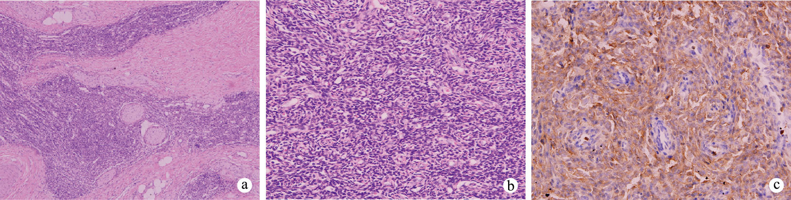
巨檢:殘端宮頸組織,體積7.0 cm×4.5 cm×3.0 cm,宮頸外口直徑4.5 cm,宮頸管桶狀增粗,切面灰黃灰白、質軟。鏡檢:腫瘤于宮頸間質內呈不規則舌狀彌漫浸潤(圖 1a),瘤細胞短梭形,排列緊密,細胞質少,其間可見較多均勻分布的螺旋動脈樣小血管(圖 1b)。免疫組織化學染色:CD10(+++)(圖 1c),CD99(+),肌動蛋白(+),結蛋白(-),高分子量鈣結合蛋白(h-caldesmon)(-),雌激素受體(ER)(+),孕激素受體(PR)(+),Ki67陽性率約40%。病理診斷:宮頸低級別ESS,浸潤宮頸間質全層,瘤周脈管內查見瘤栓,腫瘤累及陰道穹窿間質、左側宮旁組織及宮頸管上段切緣,腫瘤未累及陰道手術斷端和右側宮旁組織;腫瘤轉移至左髂內外淋巴結1/1枚。
隨訪:隨訪26個月,患者術后行TP方案(順鉑80 mg 靜脈注射,第1天用藥;紫杉醇210 mg靜脈注射,第2天用藥)化療1次,放射治療25次(放射治療于外院進行,具體情況不詳),定期復查B型超聲,目前一般情況良好,無復發。

a. 腫瘤在宮頸間質內浸潤性生長(HE ×100) b. 腫瘤細胞短梭形,排列緊密,可見大量螺旋小動脈(HE ×400) c. 腫瘤細胞呈CD10彌漫強陽性表達(Envision ×400)
2 討論
ESS約占所有子宮惡性腫瘤的0.2%[1],一般發生于子宮體,原發于子宮外的ESS非常少見,英文文獻中發生于子宮外的ESS不超過50例[1]。卵巢是最常見的子宮外原發部位(占30.2%),其次為小腸(20.9%)及盆腔(18.6%)[1]。發生于宮頸的ESS英文文獻僅有2例報道[1-2],中文文獻僅1例[3]。原發性子宮外ESS的病因目前尚不清楚,部分學者認為可能與子宮內膜異位癥相關[1],Kusaka等[4]則認為腫瘤可能是由第二苗勒系統的多能苗勒管細胞向子宮內膜間質細胞分化而來。診斷宮頸原發ESS,需排除子宮內病灶累及宮頸。本例患者8年前行子宮次全切除術,術后病理檢查證實為“平滑肌瘤”,本次宮頸廣泛取材未見子宮內膜異位病灶,綜合考慮可排除子宮體腫瘤累及宮頸,推測腫瘤可能來源于宮頸間質內多能干細胞。
本例診斷時需和以下病變鑒別:① 子宮內膜間質結節:其組織形態及免疫組織化學染色與ESS完全相同,但界限清楚,無肌壁浸潤及脈管侵犯。② 未分化子宮內膜肉瘤:腫瘤細胞異型性明顯,缺乏子宮內膜間質分化特點,且通常不表達CD10以及ER、PR。③ 平滑肌肉瘤:具有平滑肌細胞分化特點,無螺旋動脈樣小血管,表達結蛋白、h-caldesmon等平滑肌源性標志物,較少表達CD10。④ 間質性子宮內膜異位癥:病灶表淺,一般位于黏膜下,通常為鏡下所見,無大體可見的腫塊,鏡檢邊界清楚,細胞無異型性,無核分裂。
ESS為惰性腫瘤,預后與診斷時分期有關,Ⅰ期患者的 5年和10年生存率分別達到98%和89%[5]。Lan等[1]總結13例卵巢的ESS中,10例(76.9%)就診時已出現轉移。因此,認為發生于子宮外的低級別ESS在診斷時可能更容易出現原發部位以外的轉移和播散。本例患者術后發現宮旁組織受累,伴1枚髂外淋巴結轉移,與該作者的推論相符。
子宮ESS的標準治療方式為子宮及雙附件切除。但由于子宮外ESS罕見,對其治療方式目前尚無統一意見。文獻中3例宮頸ESS患者均接受廣泛性子宮/宮頸切除術及盆腔淋巴結清掃術,其中1例輔以化療;2例分別隨訪1年及7年,無復發[1-3]。關于子宮外原發ESS的治療還需要更多病例研究。總的來說,徹底切除腫瘤可以減少復發[1]。由于ESS可在診斷數年后復發,故建議對患者進行長期隨訪。
1 病例介紹
患者?女,52歲。2003年因“子宮肌瘤”行子宮次全切除術,術后病理檢查為“平滑肌瘤”。2011年11月因“下腹痛3個月”于我院就診,專科體格檢查:宮頸直徑6 cm,雙側骶韌帶縮短但未達盆壁。CT示:陰道穹窿上方殘留宮頸增大,呈團塊影,5.4 cm×4.3 cm,宮旁脂肪密度稍模糊,血管影增多,宮頸膀胱三角和宮頸直腸三角脂肪間隙不清晰,直腸前壁局部與腫塊分界不清,宮骶韌帶增厚;陰道壁未見確切異常強化;右側附件區見直徑1.5 cm囊性灶,左附件區未見占位征象;膀胱和直腸壁未見增厚,直腸旁脂肪間隙清晰;雙側髂總動脈旁未見長大淋巴結,左側閉孔區軟組織結節2.2 cm×1.6 cm,右側閉孔血管區域未見腫大淋巴結;雙側腹股溝區淋巴結顯示;盆腹膜未見增厚,未見盆腹腔積液;盆側壁脂肪間隙清晰,盆壁骨質未見破壞。宮頸活體組織病理檢查示:宮頸低級別子宮內膜間質肉瘤(ESS)。臨床分期ⅡB期。與患者及家屬反復溝通后決定先行新輔助化學療法(化療)后爭取手術。故行TP方案(順鉑80 mg 靜脈注射,第1天用藥,紫杉醇210 mg靜脈注射,第2天用藥)化療3次。CT提示增大宮頸較前有所減小。于2012年2月行“宮頸殘端切除術+雙附件切除術+盆腔淋巴結清掃術”。
巨檢:殘端宮頸組織,體積7.0 cm×4.5 cm×3.0 cm,宮頸外口直徑4.5 cm,宮頸管桶狀增粗,切面灰黃灰白、質軟。鏡檢:腫瘤于宮頸間質內呈不規則舌狀彌漫浸潤(圖 1a),瘤細胞短梭形,排列緊密,細胞質少,其間可見較多均勻分布的螺旋動脈樣小血管(圖 1b)。免疫組織化學染色:CD10(+++)(圖 1c),CD99(+),肌動蛋白(+),結蛋白(-),高分子量鈣結合蛋白(h-caldesmon)(-),雌激素受體(ER)(+),孕激素受體(PR)(+),Ki67陽性率約40%。病理診斷:宮頸低級別ESS,浸潤宮頸間質全層,瘤周脈管內查見瘤栓,腫瘤累及陰道穹窿間質、左側宮旁組織及宮頸管上段切緣,腫瘤未累及陰道手術斷端和右側宮旁組織;腫瘤轉移至左髂內外淋巴結1/1枚。
隨訪:隨訪26個月,患者術后行TP方案(順鉑80 mg 靜脈注射,第1天用藥;紫杉醇210 mg靜脈注射,第2天用藥)化療1次,放射治療25次(放射治療于外院進行,具體情況不詳),定期復查B型超聲,目前一般情況良好,無復發。

a. 腫瘤在宮頸間質內浸潤性生長(HE ×100) b. 腫瘤細胞短梭形,排列緊密,可見大量螺旋小動脈(HE ×400) c. 腫瘤細胞呈CD10彌漫強陽性表達(Envision ×400)
2 討論
ESS約占所有子宮惡性腫瘤的0.2%[1],一般發生于子宮體,原發于子宮外的ESS非常少見,英文文獻中發生于子宮外的ESS不超過50例[1]。卵巢是最常見的子宮外原發部位(占30.2%),其次為小腸(20.9%)及盆腔(18.6%)[1]。發生于宮頸的ESS英文文獻僅有2例報道[1-2],中文文獻僅1例[3]。原發性子宮外ESS的病因目前尚不清楚,部分學者認為可能與子宮內膜異位癥相關[1],Kusaka等[4]則認為腫瘤可能是由第二苗勒系統的多能苗勒管細胞向子宮內膜間質細胞分化而來。診斷宮頸原發ESS,需排除子宮內病灶累及宮頸。本例患者8年前行子宮次全切除術,術后病理檢查證實為“平滑肌瘤”,本次宮頸廣泛取材未見子宮內膜異位病灶,綜合考慮可排除子宮體腫瘤累及宮頸,推測腫瘤可能來源于宮頸間質內多能干細胞。
本例診斷時需和以下病變鑒別:① 子宮內膜間質結節:其組織形態及免疫組織化學染色與ESS完全相同,但界限清楚,無肌壁浸潤及脈管侵犯。② 未分化子宮內膜肉瘤:腫瘤細胞異型性明顯,缺乏子宮內膜間質分化特點,且通常不表達CD10以及ER、PR。③ 平滑肌肉瘤:具有平滑肌細胞分化特點,無螺旋動脈樣小血管,表達結蛋白、h-caldesmon等平滑肌源性標志物,較少表達CD10。④ 間質性子宮內膜異位癥:病灶表淺,一般位于黏膜下,通常為鏡下所見,無大體可見的腫塊,鏡檢邊界清楚,細胞無異型性,無核分裂。
ESS為惰性腫瘤,預后與診斷時分期有關,Ⅰ期患者的 5年和10年生存率分別達到98%和89%[5]。Lan等[1]總結13例卵巢的ESS中,10例(76.9%)就診時已出現轉移。因此,認為發生于子宮外的低級別ESS在診斷時可能更容易出現原發部位以外的轉移和播散。本例患者術后發現宮旁組織受累,伴1枚髂外淋巴結轉移,與該作者的推論相符。
子宮ESS的標準治療方式為子宮及雙附件切除。但由于子宮外ESS罕見,對其治療方式目前尚無統一意見。文獻中3例宮頸ESS患者均接受廣泛性子宮/宮頸切除術及盆腔淋巴結清掃術,其中1例輔以化療;2例分別隨訪1年及7年,無復發[1-3]。關于子宮外原發ESS的治療還需要更多病例研究。總的來說,徹底切除腫瘤可以減少復發[1]。由于ESS可在診斷數年后復發,故建議對患者進行長期隨訪。