引用本文: 鄒萌, 李真林, 潘雪琳, 袁元, 錢玲玲. 雙源CT Flash低劑量掃描在心臟三維成像中的應用. 華西醫學, 2016, 31(3): 531-535. doi: 10.7507/1002-0179.201600140 復制
射頻消融肺靜脈電隔離術目前已成為治療心房顫動的主要方法之一。術前多層螺旋CT(MSCT)左心房肺靜脈成像能使臨床醫生準確了解肺靜脈數量和位置、有無變異血管、肺靜脈開口直徑、周圍臟器相鄰關系以及左心房是否有血栓形成等信息,目前MSCT已成為射頻消融電隔離術前評價左心房和肺靜脈形態結構的主要檢查方法之一[1]。但其也存在一些風險,如增強掃描需要注射對比劑、CT掃描時有輻射等。根據國際放射防護委員會提出的合理使用低劑量原則[2],統籌兼顧優化提高影像質量與合理降低X線輻射劑量,是放射防護學界、醫學物理學界、臨床醫學界、放射學界等共同關注的重點和熱點。有學者提出降低管電壓的方法更適用于CT血管成像,不僅可以降低X線的輻射劑量,還可以減少對比劑用量[3-4]。本研究旨在應用雙源CT Flash技術及常規回顧性心電門控技術進行心臟三維成像,探討兩種掃描方式下肺靜脈的圖像質量和輻射劑量,以此來尋求滿足診斷需求同時降低患者輻射劑量的掃描方案。
1 資料與方法
1.1 一般資料
收集2014年3月-8月在進行射頻消融術前需要行CT心臟三維掃描的患者60例。納入標準:①射頻消融術前需要進行CT心臟三維掃描的患者;②體質量指數(BMI)20~24 kg/m2。排除標準:①有碘過敏史者;②心臟、腎功能不全者。隨機分成A、B兩組,每組各30例。A組男19例,女11例;年齡36~78,平均(57.0±11.5)歲;BMI(22.45±3.87)kg/m2;心率50~112次/min,平均(80.8±15.7)次/min。B組男12例,女18例;年齡18~83,平均(50.5±16.1歲);BMI(23.01±3.62)kg/m2;心率49~109次/min,平均(76.4±15.5)次/min。兩組患者性別、年齡、BMI、心率差異無統計學意義(P>0.05)。患者均簽署知情同意書。
1.2 設備及檢查方法
采用西門子雙源螺旋CT(Siemens Definition Flash)進行心臟三維成像掃描。先對患者進行嚴格屏氣訓練,掃描范圍自氣管隆突下1 cm至心臟膈面。選用非離子型對比劑碘海醇(碘含量370 mg/mL)和雙筒高壓注射器,對比劑流速4.0 mL/s,用量60~70 mL,隨后追加注射流速3.0~3.5 mL/s生理鹽水40 mL。以對比劑示蹤法在左心房層面設定感興趣區,監測CT值,當感興趣區內CT值達到100 HU時,觸發心臟三維掃描。
A組采用Flash掃描技術采集。掃描參數:準直128×0.6 mm,重建層厚0.75 mm,掃描時間0.282 s/r,單扇區時間分辨率75 ms,設定管電壓100 kV,參考管電流370 mAs,采用管電流調制方案,管電流根據實時動態隨機曝光劑量調節(CARE Dose 4D),范圍230~370 mAs。Flash掃描前門控心電觸發選在60% R-R間期,采用Flash螺旋心臟掃描模式即大螺距(pitch3.4)前瞻性心電觸發掃描模式,在1個心動周期內采集整個心臟圖像[5],采集期相設定60% R-R心率間期,掃描時間230~300 ms。
B組進行常規的回顧性心電門控心臟三維掃描。掃描參數:準直128×0.6 mm,重建層厚0.75 mm,掃描時間0.282 s/r,設定管電壓100 kV,參考管電流370 mAs,采用管電流調制方案,管電流根據實時動態隨機曝光劑量調節(CARE Dose 4D),范圍230~370 mAs,回顧性心電門控掃描采集時相同樣為60% R-R間期,螺距0.38。
1.3 圖像后處理及方法
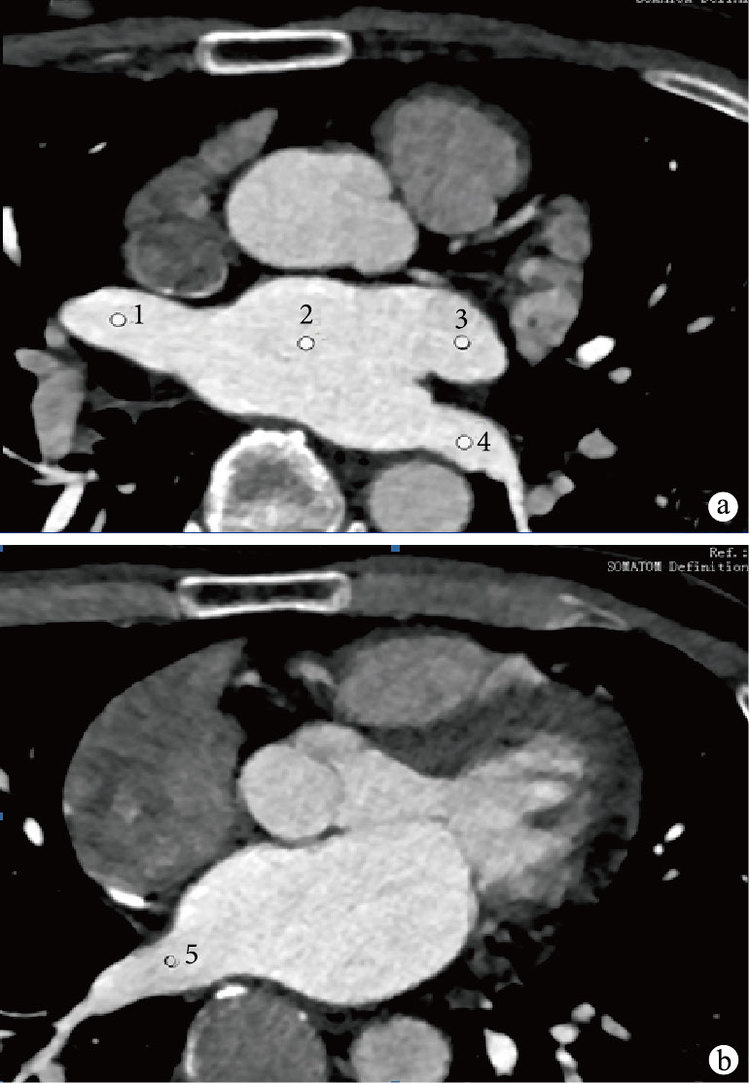
將掃描采集的原始數據傳輸至隨機工作站的Viewing軟件中,并將其重建為層厚3 mm、層間距3 mm的最大密度投影(MIP)圖像,算法為B31f medium。分別對患者的左心房、左上肺靜脈、左下肺靜脈、右上肺靜脈、右下肺靜脈進行測量(圖 1)。上述5個層面中,對每層圖像又分別取其中心層面及上下層面各3層,以像素50 mm2大小的圓形興趣區,測量左心房、肺靜脈CT值及圖像噪聲值,即在每一層上取左心房及左上、左下、右上、右下肺靜脈的平均值,將上、中、下3層面的平均值作為該層面圖像的CT值及圖像噪聲值。然后測量相同層面上背脊肌的CT值(E),計算CT值的標準差值(SD值)。按照公式對比噪聲比(CNR)=(感興趣區CT值?E)/SD,分別計算左心房-背脊肌、左上肺靜脈-背脊肌、左下肺靜脈-背脊肌、右上肺靜脈-背脊肌、右下肺靜脈-背脊肌的CNR,按照公式信噪比(SNR)=感興趣區CT值/SD,分別計算左心房及左上、左下、右上、右下肺靜脈SNR。

由2位高年資的診斷醫師對上述檢查獲得的圖像作出主觀評估,按照肺靜脈、左心房、周圍的軟組織顯示的清晰程度和圖像提供的診斷信息進行4級評分,評分標準為:4分,肺靜脈、左心房等組織顯示非常清晰,幾乎無偽影,圖像能提供充分的診斷信息;3分,肺靜脈、左心房等組織顯示較為清晰,偽影很少,圖像能提供足夠的診斷信息;2分,肺靜脈、左心房等組織顯示欠清晰,偽影較多,圖像提供的診斷信息不足;1分,肺靜脈、左心房等組織無法清晰顯示,偽影重,圖像不能提供診斷信息。不一致處進行協商確定。
1.4 輻射劑量
記錄每例患者的CT容積劑量指數(CTDIvol,單位:mGy)和劑量長度乘積(DLP,單位:mGy·cm),并按照公式ED≈k×DLP[6]計算有效劑量(ED,單位:mSv),根據美國物理醫學協會2008年報告書,軀干的換算因子成人k=0.014[6-7]。
1.5 統計學方法
使用SPSS 17.0統計軟件,計量資料以均數±標準差表示。應用獨立樣本t檢驗比較兩組左心房、肺靜脈各個分支的CNR、SNR及兩組間CTDIvol、DLP和ED的差異;圖像質量盲法評分的差異。檢驗水準α=0.05。
2 結果
2.1 兩組患者心臟掃描長度
A組和B組患者心臟掃描長度分別為(101.51±1.33)、(100.89±1.45) mm,差異無統計學意義(t=1.726,P=0.090)。
2.2 肺靜脈和左心房SNR比較
A組和B組左上、左下、右上、右下肺靜脈及左心房的SNR差異均無統計學意義(P>0.05)。見表 1。

2.3 肺靜脈和左心房CNR的比較
A組和B組左上、左下、右上、右下肺靜脈及左心房的CNR差異均無統計學意義(P>0.05)。見表 2。

2.4 圖像主觀質量評分
A、B兩組肺靜脈各分支及左心房圖像的主觀質量評分差異均無統計學意義(P>0.05)。采用Flash掃描技術,圖像主觀質量評分無明顯降低,掃描圖像能夠較好的滿足臨床診斷的需要。見表 3、圖 2。


2.5 輻射劑量對比
A組患者CTDIvol、DLP、ED均明顯低于B組,差異有統計學意義(P<0.001)。見表 4。

3 討論
射頻消融肺靜脈電隔離術的成功與否在很大程度上依賴于術者在術前對左心房和肺靜脈三維結構的了解及術中融合影像學技術分析。目前評價左心房和肺靜脈形態學的方法主要有經食管超聲、MRI、選擇性肺靜脈造影和MSCT。選擇性肺靜脈造影盡管對肺靜脈和左心房的顯示優良,但屬于有創性檢查,費用較高。經食管超聲也可評價肺靜脈及其與左心房的關系,但對整體顯示不理想,可重復性較差。MRI可以顯示左心房和肺靜脈的解剖結構[8-9],但由于部分受檢者攜帶心臟起搏器,其應用受限。目前MSCT已成為射頻消融肺靜脈電隔離術前評價左心房和肺靜脈形態結構的主要檢查方法之一[1]。
隨著MSCT的迅猛發展,CT的診斷能力和掃描速度顯著提高,大大擴展了CT在臨床上的應用范圍。CT已經越來越多地替代常規X線檢查和血管造影,接受CT檢查的人群數量逐年大幅增加,但相對于普通X線檢查而言,CT檢查的輻射劑量較高。統計顯示,美國CT檢查的數量只占整個放射學檢查數量的11%~13%,但CT檢查的輻射劑量竟占整個放射學檢查的2/3[10]。隨著CT檢查數量的不斷攀升,CT輻射劑量帶來的潛在致癌風險越來越受到國內外的廣泛關注。所以,在CT檢查中,需要遵循盡可能降低輻射劑量的原則。CT輻射劑量的多少取決于機器系統特性參數、檢查方法和掃描參數的設定。在現有設備資源的前提下,我們無法從機器系統特性的提高來降低輻射劑量,而只有通過檢查方法和掃描參數的優化來達到降低輻射劑量的目的。具體方案包括檢查方法的改進、個性化選擇掃描參數(管電流、管電壓、掃描時間、掃描范圍、準直器寬度、層厚和螺距等)。本研究則是通過改變掃描方案來達到降低輻射劑量的目的。
雙源CT心臟三維掃描應該是針對患者BMI的個性化掃描方案,對于BMI過大的患者,為了滿足診斷,可采用較大的管電流量進行檢查。國際上通常根據世界衛生組織制定的BMI界限值,即BMI值25 kg/m2為國際成人超重界限[11]。因此,本研究納入標準規定患者BMI為20~24 kg/m2。常規回顧心電門控技術掃描實際采集時間較長(3~8 s),全程數據采集,包含舒張期和收縮期;Flash掃描實際采集時間短(0.28 s),采用前置心電門控技術,允許心臟全容積掃描在短時間內完成(約260 ms)[12],所有數據采集在1個心動周期內完成,因而輻射劑量降至極低。而成像時間短又可減少呼吸相關偽影及靜脈污染,尤其適用于無法配合屏氣的患者。并且單個心動周期的采集可減少由于多個心動周期數據不匹配而產生的相關偽影,同時輻射劑量進一步降低。佟海濱等[13-14]研究表明Flash掃描的平均輻射劑量約1 mSv。
本研究對心臟三維CT成像中Flash掃描方式和常規回顧性心電門控掃描方式進行對比,比較兩者圖像質量及輻射劑量。經統計分析,A、B兩組圖像的肺靜脈各分支及左心房CNR、SNR及圖像盲法評分差異均無統計學意義(P>0.05);A組Flash掃描的CTDIvol、DLP、ED均遠遠低于B組常規回顧性心電門控掃描方式,差異有統計學意義(P<0.001)。由此可見,CT Flash心臟三維的掃描可以得到與常規回顧性心電門控掃描幾乎相同的可滿足診斷需要的圖像質量,并且大大降低了患者受輻射的劑量。
本研究存在以下局限性:①樣本量較小;②對BMI進行了篩選,因此對于此技術是否適用于BMI>24 kg/m2的患者還需要進一步研究;③本研究對所有患者的采集時相均為60% R-R間期,沒有區分高心率與低心率的最佳采集期相,對于心率的不同,采集時相相同時對圖像質量有無差別還有待研究。
綜上所述,心臟三維成像時采用CT Flash掃描技術,其在滿足臨床診斷的需要的同時大大降低了患者受輻射的劑量,該技術具有一定的實用價值,有較好的應用前景和推廣價值。
射頻消融肺靜脈電隔離術目前已成為治療心房顫動的主要方法之一。術前多層螺旋CT(MSCT)左心房肺靜脈成像能使臨床醫生準確了解肺靜脈數量和位置、有無變異血管、肺靜脈開口直徑、周圍臟器相鄰關系以及左心房是否有血栓形成等信息,目前MSCT已成為射頻消融電隔離術前評價左心房和肺靜脈形態結構的主要檢查方法之一[1]。但其也存在一些風險,如增強掃描需要注射對比劑、CT掃描時有輻射等。根據國際放射防護委員會提出的合理使用低劑量原則[2],統籌兼顧優化提高影像質量與合理降低X線輻射劑量,是放射防護學界、醫學物理學界、臨床醫學界、放射學界等共同關注的重點和熱點。有學者提出降低管電壓的方法更適用于CT血管成像,不僅可以降低X線的輻射劑量,還可以減少對比劑用量[3-4]。本研究旨在應用雙源CT Flash技術及常規回顧性心電門控技術進行心臟三維成像,探討兩種掃描方式下肺靜脈的圖像質量和輻射劑量,以此來尋求滿足診斷需求同時降低患者輻射劑量的掃描方案。
1 資料與方法
1.1 一般資料
收集2014年3月-8月在進行射頻消融術前需要行CT心臟三維掃描的患者60例。納入標準:①射頻消融術前需要進行CT心臟三維掃描的患者;②體質量指數(BMI)20~24 kg/m2。排除標準:①有碘過敏史者;②心臟、腎功能不全者。隨機分成A、B兩組,每組各30例。A組男19例,女11例;年齡36~78,平均(57.0±11.5)歲;BMI(22.45±3.87)kg/m2;心率50~112次/min,平均(80.8±15.7)次/min。B組男12例,女18例;年齡18~83,平均(50.5±16.1歲);BMI(23.01±3.62)kg/m2;心率49~109次/min,平均(76.4±15.5)次/min。兩組患者性別、年齡、BMI、心率差異無統計學意義(P>0.05)。患者均簽署知情同意書。
1.2 設備及檢查方法
采用西門子雙源螺旋CT(Siemens Definition Flash)進行心臟三維成像掃描。先對患者進行嚴格屏氣訓練,掃描范圍自氣管隆突下1 cm至心臟膈面。選用非離子型對比劑碘海醇(碘含量370 mg/mL)和雙筒高壓注射器,對比劑流速4.0 mL/s,用量60~70 mL,隨后追加注射流速3.0~3.5 mL/s生理鹽水40 mL。以對比劑示蹤法在左心房層面設定感興趣區,監測CT值,當感興趣區內CT值達到100 HU時,觸發心臟三維掃描。
A組采用Flash掃描技術采集。掃描參數:準直128×0.6 mm,重建層厚0.75 mm,掃描時間0.282 s/r,單扇區時間分辨率75 ms,設定管電壓100 kV,參考管電流370 mAs,采用管電流調制方案,管電流根據實時動態隨機曝光劑量調節(CARE Dose 4D),范圍230~370 mAs。Flash掃描前門控心電觸發選在60% R-R間期,采用Flash螺旋心臟掃描模式即大螺距(pitch3.4)前瞻性心電觸發掃描模式,在1個心動周期內采集整個心臟圖像[5],采集期相設定60% R-R心率間期,掃描時間230~300 ms。
B組進行常規的回顧性心電門控心臟三維掃描。掃描參數:準直128×0.6 mm,重建層厚0.75 mm,掃描時間0.282 s/r,設定管電壓100 kV,參考管電流370 mAs,采用管電流調制方案,管電流根據實時動態隨機曝光劑量調節(CARE Dose 4D),范圍230~370 mAs,回顧性心電門控掃描采集時相同樣為60% R-R間期,螺距0.38。
1.3 圖像后處理及方法
將掃描采集的原始數據傳輸至隨機工作站的Viewing軟件中,并將其重建為層厚3 mm、層間距3 mm的最大密度投影(MIP)圖像,算法為B31f medium。分別對患者的左心房、左上肺靜脈、左下肺靜脈、右上肺靜脈、右下肺靜脈進行測量(圖 1)。上述5個層面中,對每層圖像又分別取其中心層面及上下層面各3層,以像素50 mm2大小的圓形興趣區,測量左心房、肺靜脈CT值及圖像噪聲值,即在每一層上取左心房及左上、左下、右上、右下肺靜脈的平均值,將上、中、下3層面的平均值作為該層面圖像的CT值及圖像噪聲值。然后測量相同層面上背脊肌的CT值(E),計算CT值的標準差值(SD值)。按照公式對比噪聲比(CNR)=(感興趣區CT值?E)/SD,分別計算左心房-背脊肌、左上肺靜脈-背脊肌、左下肺靜脈-背脊肌、右上肺靜脈-背脊肌、右下肺靜脈-背脊肌的CNR,按照公式信噪比(SNR)=感興趣區CT值/SD,分別計算左心房及左上、左下、右上、右下肺靜脈SNR。

由2位高年資的診斷醫師對上述檢查獲得的圖像作出主觀評估,按照肺靜脈、左心房、周圍的軟組織顯示的清晰程度和圖像提供的診斷信息進行4級評分,評分標準為:4分,肺靜脈、左心房等組織顯示非常清晰,幾乎無偽影,圖像能提供充分的診斷信息;3分,肺靜脈、左心房等組織顯示較為清晰,偽影很少,圖像能提供足夠的診斷信息;2分,肺靜脈、左心房等組織顯示欠清晰,偽影較多,圖像提供的診斷信息不足;1分,肺靜脈、左心房等組織無法清晰顯示,偽影重,圖像不能提供診斷信息。不一致處進行協商確定。
1.4 輻射劑量
記錄每例患者的CT容積劑量指數(CTDIvol,單位:mGy)和劑量長度乘積(DLP,單位:mGy·cm),并按照公式ED≈k×DLP[6]計算有效劑量(ED,單位:mSv),根據美國物理醫學協會2008年報告書,軀干的換算因子成人k=0.014[6-7]。
1.5 統計學方法
使用SPSS 17.0統計軟件,計量資料以均數±標準差表示。應用獨立樣本t檢驗比較兩組左心房、肺靜脈各個分支的CNR、SNR及兩組間CTDIvol、DLP和ED的差異;圖像質量盲法評分的差異。檢驗水準α=0.05。
2 結果
2.1 兩組患者心臟掃描長度
A組和B組患者心臟掃描長度分別為(101.51±1.33)、(100.89±1.45) mm,差異無統計學意義(t=1.726,P=0.090)。
2.2 肺靜脈和左心房SNR比較
A組和B組左上、左下、右上、右下肺靜脈及左心房的SNR差異均無統計學意義(P>0.05)。見表 1。

2.3 肺靜脈和左心房CNR的比較
A組和B組左上、左下、右上、右下肺靜脈及左心房的CNR差異均無統計學意義(P>0.05)。見表 2。

2.4 圖像主觀質量評分
A、B兩組肺靜脈各分支及左心房圖像的主觀質量評分差異均無統計學意義(P>0.05)。采用Flash掃描技術,圖像主觀質量評分無明顯降低,掃描圖像能夠較好的滿足臨床診斷的需要。見表 3、圖 2。


2.5 輻射劑量對比
A組患者CTDIvol、DLP、ED均明顯低于B組,差異有統計學意義(P<0.001)。見表 4。

3 討論
射頻消融肺靜脈電隔離術的成功與否在很大程度上依賴于術者在術前對左心房和肺靜脈三維結構的了解及術中融合影像學技術分析。目前評價左心房和肺靜脈形態學的方法主要有經食管超聲、MRI、選擇性肺靜脈造影和MSCT。選擇性肺靜脈造影盡管對肺靜脈和左心房的顯示優良,但屬于有創性檢查,費用較高。經食管超聲也可評價肺靜脈及其與左心房的關系,但對整體顯示不理想,可重復性較差。MRI可以顯示左心房和肺靜脈的解剖結構[8-9],但由于部分受檢者攜帶心臟起搏器,其應用受限。目前MSCT已成為射頻消融肺靜脈電隔離術前評價左心房和肺靜脈形態結構的主要檢查方法之一[1]。
隨著MSCT的迅猛發展,CT的診斷能力和掃描速度顯著提高,大大擴展了CT在臨床上的應用范圍。CT已經越來越多地替代常規X線檢查和血管造影,接受CT檢查的人群數量逐年大幅增加,但相對于普通X線檢查而言,CT檢查的輻射劑量較高。統計顯示,美國CT檢查的數量只占整個放射學檢查數量的11%~13%,但CT檢查的輻射劑量竟占整個放射學檢查的2/3[10]。隨著CT檢查數量的不斷攀升,CT輻射劑量帶來的潛在致癌風險越來越受到國內外的廣泛關注。所以,在CT檢查中,需要遵循盡可能降低輻射劑量的原則。CT輻射劑量的多少取決于機器系統特性參數、檢查方法和掃描參數的設定。在現有設備資源的前提下,我們無法從機器系統特性的提高來降低輻射劑量,而只有通過檢查方法和掃描參數的優化來達到降低輻射劑量的目的。具體方案包括檢查方法的改進、個性化選擇掃描參數(管電流、管電壓、掃描時間、掃描范圍、準直器寬度、層厚和螺距等)。本研究則是通過改變掃描方案來達到降低輻射劑量的目的。
雙源CT心臟三維掃描應該是針對患者BMI的個性化掃描方案,對于BMI過大的患者,為了滿足診斷,可采用較大的管電流量進行檢查。國際上通常根據世界衛生組織制定的BMI界限值,即BMI值25 kg/m2為國際成人超重界限[11]。因此,本研究納入標準規定患者BMI為20~24 kg/m2。常規回顧心電門控技術掃描實際采集時間較長(3~8 s),全程數據采集,包含舒張期和收縮期;Flash掃描實際采集時間短(0.28 s),采用前置心電門控技術,允許心臟全容積掃描在短時間內完成(約260 ms)[12],所有數據采集在1個心動周期內完成,因而輻射劑量降至極低。而成像時間短又可減少呼吸相關偽影及靜脈污染,尤其適用于無法配合屏氣的患者。并且單個心動周期的采集可減少由于多個心動周期數據不匹配而產生的相關偽影,同時輻射劑量進一步降低。佟海濱等[13-14]研究表明Flash掃描的平均輻射劑量約1 mSv。
本研究對心臟三維CT成像中Flash掃描方式和常規回顧性心電門控掃描方式進行對比,比較兩者圖像質量及輻射劑量。經統計分析,A、B兩組圖像的肺靜脈各分支及左心房CNR、SNR及圖像盲法評分差異均無統計學意義(P>0.05);A組Flash掃描的CTDIvol、DLP、ED均遠遠低于B組常規回顧性心電門控掃描方式,差異有統計學意義(P<0.001)。由此可見,CT Flash心臟三維的掃描可以得到與常規回顧性心電門控掃描幾乎相同的可滿足診斷需要的圖像質量,并且大大降低了患者受輻射的劑量。
本研究存在以下局限性:①樣本量較小;②對BMI進行了篩選,因此對于此技術是否適用于BMI>24 kg/m2的患者還需要進一步研究;③本研究對所有患者的采集時相均為60% R-R間期,沒有區分高心率與低心率的最佳采集期相,對于心率的不同,采集時相相同時對圖像質量有無差別還有待研究。
綜上所述,心臟三維成像時采用CT Flash掃描技術,其在滿足臨床診斷的需要的同時大大降低了患者受輻射的劑量,該技術具有一定的實用價值,有較好的應用前景和推廣價值。