引用本文: 李明英, 鄧開鴻. 原發性急性十二指腸炎擴散至腹腔和腹膜后的CT 特征及其解剖基礎. 華西醫學, 2017, 32(1): 51-55. doi: 10.7507/1002-0179.201506073 復制
十二指腸炎(duodenal Inflammation,DI)是指多種原因所致的十二指腸黏膜的急性或慢性炎癥,分為原發性及繼發性兩類。本文主要研究原發性急性 DI。DI 可單獨存在,也可和胃炎、消化性潰瘍、膽囊炎、胰腺炎等其他疾病并存。上消化道電子內鏡雖能顯示消化道內腔情況,但一般止于十二指腸降段,水平段以遠腸腔不易達到。若遇胃幽門狹窄或降段腸腔變窄時,內鏡對十二指腸檢查則更受限。據報道,DI 的內鏡檢出率為 10%~30%[1],而 CT 掃描不僅能清晰顯示十二指腸病變的影像表現,且能顯示十二指腸周圍及向遠處腹腔及腹膜后的擴散情況。迄今,國內報道十二指腸球部病變及十二指腸腫瘤者文獻較多,而尚未見重視十二指腸位于腹膜后的 3 段炎性病變的 CT 研究報道。故本研究對位于腹膜后 DI 本身以及在腹腔及腹膜后擴散途徑的各種 CT 表現特征及其相關解剖基礎進行探討,旨在提高腹膜后位 DI 的認識和診斷水平。現報告如下。
1 資料與方法
1.1 一般資料
搜集成都市第二人民醫院 2010 年 1 月—2014 年 12 月腹膜后原發性急性 DI 患者的完整病歷資料。納入標準:① 經臨床診斷性治療、實驗室檢查或消化道內鏡確診為腹膜后位原發性急性 DI;② 初次發病后 8 h~4 d,行 CT 平掃或平掃加增強掃描。排除標準:急性胃炎、急性膽囊炎、胰腺炎、闌尾炎等其他腹腔及腹膜后感染性、腫瘤性等疾病。共納入26例患者,其中男 20 例,女 6 例;年齡 25~85 歲,平均 56 歲。主要臨床表現為:中上腹部、右下腹部疼痛,部分伴有背部及右腰部放射痛,以隱痛及脹痛為主,中上腹或右下腹深壓痛,部分伴有腹肌緊張及反跳痛。血常規檢測白細胞及中性粒細胞升高 11 例,占 42.3%(11/26);幽門螺桿菌陽性 4 例,占 15.4%(4/26)。
1.2 CT 檢查技術
16 例采用 Philips Brilliant 64 層螺旋 CT 機,10 例采用 Siemens Emotion Duo CT 機。26 例患者均因腹痛而未給予口服對比劑及飲水。20 例僅作 CT 平掃檢查,6 例作 CT 平掃及增強檢查。掃描范圍自膈頂至恥骨聯合下緣。層厚 5~8 mm,根據掃描所見,對部分圖像作 2 mm 薄層橫斷重建后處理。增強 CT 檢查使用非離子型對比劑碘帕醇 100 mL,流速 3 mL/s。延時 25 s 行動脈期掃描,45~60 s 行門脈期掃描。窗寬 300~450 Hu,窗位–13~60 Hu。
1.3 CT 表現觀察及分析
對十二指腸降段、水平段及升段腸管的管徑、管壁及黏膜等系列改變,以及鄰近臟器、腹膜及腹膜后的受累情況、遠處擴散范圍等改變的 CT 表現征象進行統計分析。
2 結果
26 例腹膜后位原發性急性 DI 患者中,按發生炎癥的部位分為 5 種類型:第 1 類為降段炎(圖 1),共 1 例;第 2 類為降段及水平段炎(圖 2),共 15 例;第 3 類為水平段炎(圖 3),共 1 例;第 4 類為水平段及升段炎(圖 4),共 7 例;第 5 類為降段、水平段及升段炎(圖 5),共 2 例。炎性腸段管壁均勻增厚,管腔相對變窄,但未發生腸梗阻,其中第 1 類炎癥管徑相對輕度增粗,管壁輕度增厚,管壁邊緣光整;第 2~5 類炎癥管徑明顯增粗,管壁明顯增厚,管壁邊緣模糊。各段管徑及管壁 CT 表現見表 1。平掃僅 2 例炎癥較重者可見管壁呈分層狀增厚,而增強掃描 6 例均見管壁分層狀增厚。25 例炎癥累及水平段,占 96.2%(25/26)。降段及水平段炎合并潰瘍 2 例(2/15,13.3%),水平段及升段炎合并潰瘍 1 例(1/7,14.3%),降段、水平段及升段炎合并潰瘍 2 例(2/2,100%),潰瘍 CT 表現為黏膜面不規則,黏膜下見氣體影(圖 5b)。DI 向外周擴散部位中,橫結腸系膜、腸系膜根部腫脹 20 例,CT 表現為斑片狀及條索狀密度增高影;胰頭稍腫大 17 例;升結腸及回盲部腸壁腫脹增厚 6 例;右腎周及右腎前后筋膜腫脹 5 例;右側腎前后筋膜及右側側錐筋膜間積液 3 例;橫結腸系膜、腸系膜根及右側盆腔腹膜均腫脹 1 例;腹盆腔積液 1 例。
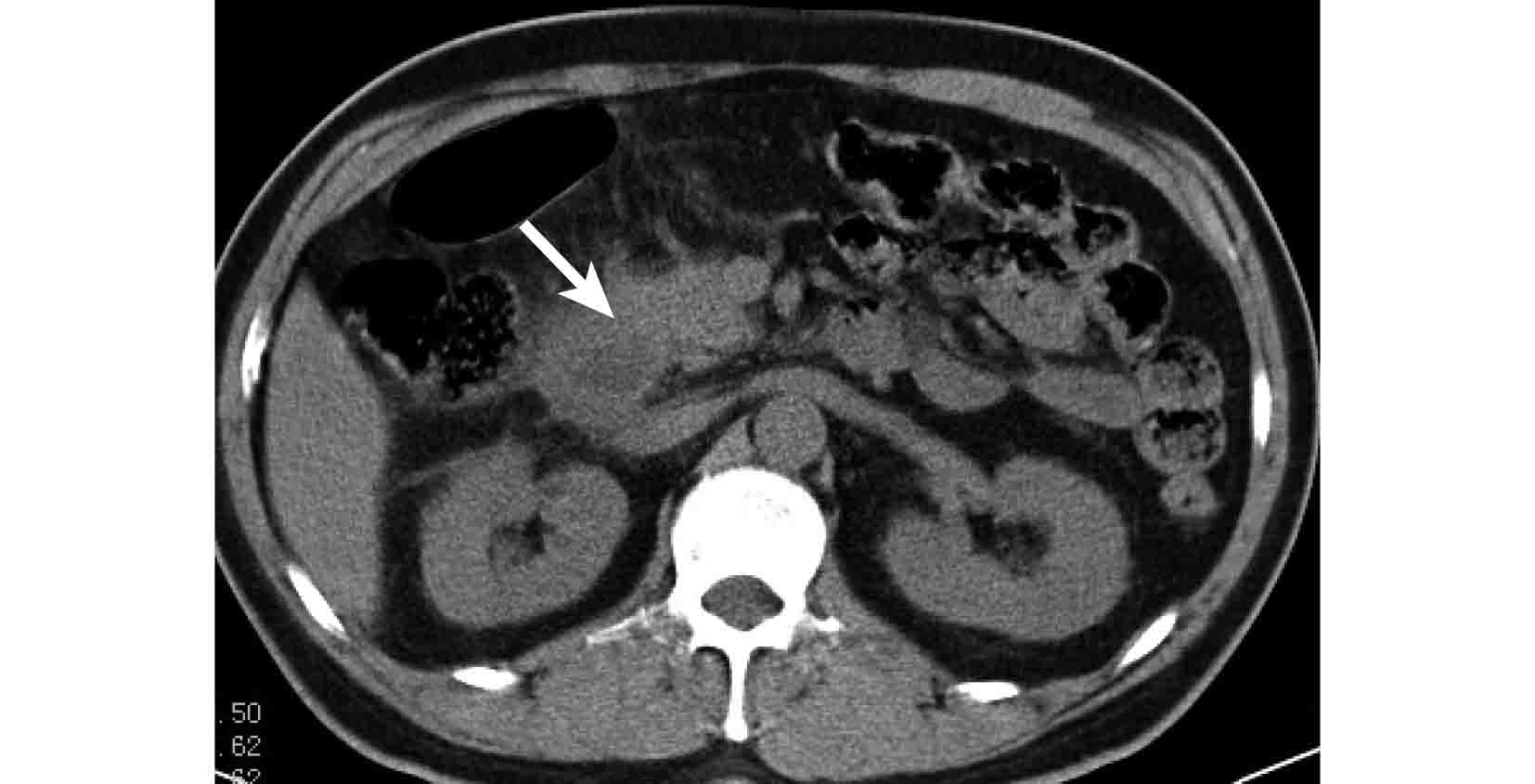
圖1
十二指腸降段炎及其擴散情況 CT 像 降段壁增厚,鄰近橫結腸系膜腫脹(白箭)
圖2
十二指腸降段及水平段炎及其擴散情況 CT 像 a. 降段腸壁腫脹(白箭); b. 水平段腸壁腫脹,橫結腸系膜、腸系膜根部腫脹,右側腎前后筋膜、橋隔及側錐筋膜增厚,右側腎前筋膜間少量積液,右腎輕度積水(白箭)
圖3
十二指腸水平段炎及其擴散情況增強 CT 像 a. 水平段壁增厚,分層狀強化(白箭); b. 升結腸壁增厚(白箭頭),右腎前后筋膜腫脹、積液,右腎橋隔增厚(白箭)
圖4
十二指腸水平段、升段炎及其擴散情況 CT 像 a. 水平段、升段管壁腫脹(白箭); b. 腸系膜根部腫脹,右側結腸旁溝少量積液(白箭); c. 盆腔少量積液(白箭)
圖5
十二指腸降段、水平段及升段炎及擴散情況 CT 像 a. 降段腸壁腫脹(白箭); b. 水平段及升段管壁明顯層狀增厚,伴多發潰瘍(白箭); c. 腸系膜根部、右側腎前筋膜、腎后膜增厚(白箭); d. 右腎前筋膜間少量積液(白箭)
3 討論
3.1 DI 病因
原發性 DI 預后不形成瘢痕,多數不發展為十二指腸潰瘍。目前認為 DI 是一種獨立的疾病。其病因及病理生理尚未完全明確,可能與進食刺激性食物、飲酒、藥物(如非甾體類抗炎藥)、胃酸增多、幽門螺桿菌感染[2]等有關。本組幽門螺桿菌感染率僅15.4%(4/26),其他非特異性感染42.3%(11/26)。文獻報道原發性 DI 多見于球部,占 35.2%,Vater 壺腹-乳突部占 26.0%,降段占 17.4%,水平段占 12.6%,其他部位占 8.8%[3]。本組 26 例中,發生于降段和水平段 57.7%(15/26),其次為水平段及升段 26.9%(7/26),各段單獨或全段15.4%(4/26)。
3.2 腹膜后位 DI 及其炎性擴散相關解剖基礎
十二指腸是介于胃幽門和空腸之間的一段小腸,總長度約 23~25 cm,是小腸中最短、最粗且位置最為固定的一段[4]。其按走向分為 4 段,即第 1 段球部,第 2 段降段,第 3 段水平段,第 4 段升段。本組 DI 炎癥部位為腹膜外位的第2~4段。
3.2.1 降段 始于球部,走行于第 1~3 腰椎右側,向左轉折,移行為水平段。其前面有橫結腸及其系膜橫過,后鄰右腎門,外側靠近升結腸和結腸右曲,其內側緊貼胰頭。降段炎可沿這些解剖結構向腹腔及腹膜后擴散。降段后內側有十二指腸大乳頭突起,為膽胰壺腹開口。李冬飛等[5]報道,降段炎累及十二指腸大乳頭部時,乳頭腫大,開口變窄,伴發肝內外膽管擴張。
3.2.2 水平段 位于胰頭下方,穿行于橫結腸系膜根部,至腹主動脈前方續為升部。其前方右側覆蓋腹膜,前方左側為小腸系膜根部,后方鄰近右側輸尿管、腹主動脈等。腸系膜上動、靜脈緊貼水平段前方走行。如果腸系膜上動脈與腹主動脈間夾角因發育變異或小腸下垂等變小[6],水平段即可受壓,既影響腸蠕動,又易誘發炎癥,一旦水平段腫脹增粗,則可加重腸壁淤血水腫,這可能是本組中水平段發病率最高且腸壁腫脹尤為顯著之因。
3.2.3 升段 在腹主動脈前方上升至第 2 腰椎左側,彎向前轉折,移行為空腸。升段炎可由此擴散至左上腹。
3.3 腹膜后 DI 及其向腹腔及腹膜后擴散的 CT 表現特征
正常腸管充分擴張時,管徑 ≤3 cm,腸壁厚度在 2~3 mm 之間,≥4 mm應注意存在異常的可能[4,7]。因本組 DI 患者禁食,腸管未能充分擴張,判斷腸管徑和腸壁有無增厚以鄰近正常腸管作參照。炎性腸段較鄰近正常腸段明顯腫脹增厚,CT 表現為腸壁均勻增厚、強化。炎癥重者呈分層狀增厚,腸壁由內向外 CT 表現為:黏膜平掃呈中等密度,增強明顯強化,黏膜下層平掃及增強密度稍低,肌層平掃及增強密度略低于黏膜層。炎性管腔相對變窄,但一般不會并發腸梗阻。當炎癥同時累及 2 段或以上時,可并發潰瘍,潰瘍進一步發展,可導致腸穿孔。腹膜后 DI 常向外周廣泛擴散,CT 表現為十二指腸周圍間隙模糊,胰頭腫大;沿橫結腸系膜蔓延,升結腸、回盲部腸壁腫脹,結腸旁溝積液,向下致盆腔感染積液;向后蔓延,右腎前后筋膜及腎周橋隔增厚,右腎前筋膜間、腎后筋膜間[8]積液;炎癥沿左前上方腸系膜根部可蔓延至左上腹。DI 不同腸段炎癥向腸外擴散的范圍及炎性滲出程度有所不同。降段炎擴散范圍相對較窄,炎性程度相對較輕,常累及鄰近胰頭和橫結腸系膜。其余炎性擴散范圍相對較廣,程度較重,尤其是降段、水平段及升段炎最重,擴散范圍最廣。
3.4 原發性 DI 的 CT 鑒別診斷
診斷原發性 DI 時,尚需與鄰近器官的炎性改變、累及十二指腸的克羅恩病、十二指腸結核等繼發性 DI 進行鑒別[9],也需要與十二指腸腫瘤鑒別。
3.4.1 膽囊炎 膽囊炎 CT 表現為膽囊壁增厚,常合并膽囊結石,炎癥以膽囊為中心向周圍擴散,致膽囊周圍腹膜腫脹,常累及十二指腸球部,較少累及球后段,表現為十二指腸膽囊側壁腫脹。而原發性 DI 的炎癥則以十二指腸為中心,腸壁全周性均勻增厚。
3.4.2 胰腺炎 輕度水腫型胰腺炎時,胰頭輕度腫大,降段內側壁腫脹,但炎性胰液在腹膜后擴散途徑[10]與 DI 相似,僅憑 CT 影像表現,不易與原發性 DI 鑒別。可根據實驗室檢查血尿淀粉酶增高診斷胰腺炎,而原發性 DI 胰淀粉酶不增高。
3.4.3 克羅恩病 克羅恩病是一種病因未明的疾病,為非特異性節段性肉芽腫性疾患,病變可累及口腔至直腸的全胃腸道,主要累及回腸,以多節段分布為其特點,具有腸管不對稱性受累的特點, 易累及腸系膜側[11-12],CT 主要表現為腸壁不對稱性增厚,管腔狹窄,常常是腸壁輕或中度增厚即可引起明顯的梗阻擴張[7]。原發性 DI 腸壁對稱性均勻增厚,管腔輕度變窄,一般無腸梗阻。
3.4.4 十二指腸結核 十二指腸結核占胃腸道結核的2.5%,以降部及水平部多見,常合并肺結核[13],起病緩,病程長,CT表現為腸壁輕度增厚,腸腔變形,周圍見纖維性滲出影[14]。而原發性 DI 起病急,病程短,腸壁相對增厚明顯,腸腔輪廓存在,周圍炎性滲出明顯。
3.4.5 十二指腸腫瘤 以腺癌多見,其次為間質瘤。腺癌及間質瘤CT表現主要為局部腸腔內外的圓形、類圓形軟組織腫塊,呈略低密度或等密度。炎性小腸彌漫性增粗、腸壁分層狀增厚[15]。腺癌腸壁不規則增厚,部分腫塊可有分葉,腸梗阻征象常較明顯。間質瘤多見于降段或水平段[16],常局限于一側腸壁,腸腔狹窄及梗阻征象多不明顯。腺癌動脈期及靜脈期強化程度相差不大,間質瘤于動脈期強化程度最高,炎癥于靜脈期強化程度最高。
綜上所述,腹膜后 DI 的 CT 表現為腸壁均勻或分層狀增厚,可并發潰瘍,不易引起腸梗阻。炎癥向腹腔和腹膜后擴散途徑為:① 沿橫結腸系膜,浸潤右下腹及盆腔;② 沿腹膜后間隙,浸潤右腎前、后筋膜及右腎周間隙。上述腹膜后 DI 本身與其他炎性病變無特征性臨床表現,需依賴輔助檢查協助診斷。由于常規胃鏡檢查的局限性,CT 檢查就成為觀察腹膜后病變的優選方法。CT 檢查不僅能顯示十二指腸降段、水平段、升段炎時腸壁本身的 CT 表現,還能顯示其炎癥在腹腔、腹膜后的擴散程度,并多能與其他疾病 CT 表現進行鑒別診斷,故能為臨床診斷和治療提供重要信息,值得今后擴大樣本量,進行深入研究。
十二指腸炎(duodenal Inflammation,DI)是指多種原因所致的十二指腸黏膜的急性或慢性炎癥,分為原發性及繼發性兩類。本文主要研究原發性急性 DI。DI 可單獨存在,也可和胃炎、消化性潰瘍、膽囊炎、胰腺炎等其他疾病并存。上消化道電子內鏡雖能顯示消化道內腔情況,但一般止于十二指腸降段,水平段以遠腸腔不易達到。若遇胃幽門狹窄或降段腸腔變窄時,內鏡對十二指腸檢查則更受限。據報道,DI 的內鏡檢出率為 10%~30%[1],而 CT 掃描不僅能清晰顯示十二指腸病變的影像表現,且能顯示十二指腸周圍及向遠處腹腔及腹膜后的擴散情況。迄今,國內報道十二指腸球部病變及十二指腸腫瘤者文獻較多,而尚未見重視十二指腸位于腹膜后的 3 段炎性病變的 CT 研究報道。故本研究對位于腹膜后 DI 本身以及在腹腔及腹膜后擴散途徑的各種 CT 表現特征及其相關解剖基礎進行探討,旨在提高腹膜后位 DI 的認識和診斷水平。現報告如下。
1 資料與方法
1.1 一般資料
搜集成都市第二人民醫院 2010 年 1 月—2014 年 12 月腹膜后原發性急性 DI 患者的完整病歷資料。納入標準:① 經臨床診斷性治療、實驗室檢查或消化道內鏡確診為腹膜后位原發性急性 DI;② 初次發病后 8 h~4 d,行 CT 平掃或平掃加增強掃描。排除標準:急性胃炎、急性膽囊炎、胰腺炎、闌尾炎等其他腹腔及腹膜后感染性、腫瘤性等疾病。共納入26例患者,其中男 20 例,女 6 例;年齡 25~85 歲,平均 56 歲。主要臨床表現為:中上腹部、右下腹部疼痛,部分伴有背部及右腰部放射痛,以隱痛及脹痛為主,中上腹或右下腹深壓痛,部分伴有腹肌緊張及反跳痛。血常規檢測白細胞及中性粒細胞升高 11 例,占 42.3%(11/26);幽門螺桿菌陽性 4 例,占 15.4%(4/26)。
1.2 CT 檢查技術
16 例采用 Philips Brilliant 64 層螺旋 CT 機,10 例采用 Siemens Emotion Duo CT 機。26 例患者均因腹痛而未給予口服對比劑及飲水。20 例僅作 CT 平掃檢查,6 例作 CT 平掃及增強檢查。掃描范圍自膈頂至恥骨聯合下緣。層厚 5~8 mm,根據掃描所見,對部分圖像作 2 mm 薄層橫斷重建后處理。增強 CT 檢查使用非離子型對比劑碘帕醇 100 mL,流速 3 mL/s。延時 25 s 行動脈期掃描,45~60 s 行門脈期掃描。窗寬 300~450 Hu,窗位–13~60 Hu。
1.3 CT 表現觀察及分析
對十二指腸降段、水平段及升段腸管的管徑、管壁及黏膜等系列改變,以及鄰近臟器、腹膜及腹膜后的受累情況、遠處擴散范圍等改變的 CT 表現征象進行統計分析。
2 結果
26 例腹膜后位原發性急性 DI 患者中,按發生炎癥的部位分為 5 種類型:第 1 類為降段炎(圖 1),共 1 例;第 2 類為降段及水平段炎(圖 2),共 15 例;第 3 類為水平段炎(圖 3),共 1 例;第 4 類為水平段及升段炎(圖 4),共 7 例;第 5 類為降段、水平段及升段炎(圖 5),共 2 例。炎性腸段管壁均勻增厚,管腔相對變窄,但未發生腸梗阻,其中第 1 類炎癥管徑相對輕度增粗,管壁輕度增厚,管壁邊緣光整;第 2~5 類炎癥管徑明顯增粗,管壁明顯增厚,管壁邊緣模糊。各段管徑及管壁 CT 表現見表 1。平掃僅 2 例炎癥較重者可見管壁呈分層狀增厚,而增強掃描 6 例均見管壁分層狀增厚。25 例炎癥累及水平段,占 96.2%(25/26)。降段及水平段炎合并潰瘍 2 例(2/15,13.3%),水平段及升段炎合并潰瘍 1 例(1/7,14.3%),降段、水平段及升段炎合并潰瘍 2 例(2/2,100%),潰瘍 CT 表現為黏膜面不規則,黏膜下見氣體影(圖 5b)。DI 向外周擴散部位中,橫結腸系膜、腸系膜根部腫脹 20 例,CT 表現為斑片狀及條索狀密度增高影;胰頭稍腫大 17 例;升結腸及回盲部腸壁腫脹增厚 6 例;右腎周及右腎前后筋膜腫脹 5 例;右側腎前后筋膜及右側側錐筋膜間積液 3 例;橫結腸系膜、腸系膜根及右側盆腔腹膜均腫脹 1 例;腹盆腔積液 1 例。
圖1
十二指腸降段炎及其擴散情況 CT 像 降段壁增厚,鄰近橫結腸系膜腫脹(白箭)
圖2
十二指腸降段及水平段炎及其擴散情況 CT 像 a. 降段腸壁腫脹(白箭); b. 水平段腸壁腫脹,橫結腸系膜、腸系膜根部腫脹,右側腎前后筋膜、橋隔及側錐筋膜增厚,右側腎前筋膜間少量積液,右腎輕度積水(白箭)
圖3
十二指腸水平段炎及其擴散情況增強 CT 像 a. 水平段壁增厚,分層狀強化(白箭); b. 升結腸壁增厚(白箭頭),右腎前后筋膜腫脹、積液,右腎橋隔增厚(白箭)
圖4
十二指腸水平段、升段炎及其擴散情況 CT 像 a. 水平段、升段管壁腫脹(白箭); b. 腸系膜根部腫脹,右側結腸旁溝少量積液(白箭); c. 盆腔少量積液(白箭)
圖5
十二指腸降段、水平段及升段炎及擴散情況 CT 像 a. 降段腸壁腫脹(白箭); b. 水平段及升段管壁明顯層狀增厚,伴多發潰瘍(白箭); c. 腸系膜根部、右側腎前筋膜、腎后膜增厚(白箭); d. 右腎前筋膜間少量積液(白箭)
3 討論
3.1 DI 病因
原發性 DI 預后不形成瘢痕,多數不發展為十二指腸潰瘍。目前認為 DI 是一種獨立的疾病。其病因及病理生理尚未完全明確,可能與進食刺激性食物、飲酒、藥物(如非甾體類抗炎藥)、胃酸增多、幽門螺桿菌感染[2]等有關。本組幽門螺桿菌感染率僅15.4%(4/26),其他非特異性感染42.3%(11/26)。文獻報道原發性 DI 多見于球部,占 35.2%,Vater 壺腹-乳突部占 26.0%,降段占 17.4%,水平段占 12.6%,其他部位占 8.8%[3]。本組 26 例中,發生于降段和水平段 57.7%(15/26),其次為水平段及升段 26.9%(7/26),各段單獨或全段15.4%(4/26)。
3.2 腹膜后位 DI 及其炎性擴散相關解剖基礎
十二指腸是介于胃幽門和空腸之間的一段小腸,總長度約 23~25 cm,是小腸中最短、最粗且位置最為固定的一段[4]。其按走向分為 4 段,即第 1 段球部,第 2 段降段,第 3 段水平段,第 4 段升段。本組 DI 炎癥部位為腹膜外位的第2~4段。
3.2.1 降段 始于球部,走行于第 1~3 腰椎右側,向左轉折,移行為水平段。其前面有橫結腸及其系膜橫過,后鄰右腎門,外側靠近升結腸和結腸右曲,其內側緊貼胰頭。降段炎可沿這些解剖結構向腹腔及腹膜后擴散。降段后內側有十二指腸大乳頭突起,為膽胰壺腹開口。李冬飛等[5]報道,降段炎累及十二指腸大乳頭部時,乳頭腫大,開口變窄,伴發肝內外膽管擴張。
3.2.2 水平段 位于胰頭下方,穿行于橫結腸系膜根部,至腹主動脈前方續為升部。其前方右側覆蓋腹膜,前方左側為小腸系膜根部,后方鄰近右側輸尿管、腹主動脈等。腸系膜上動、靜脈緊貼水平段前方走行。如果腸系膜上動脈與腹主動脈間夾角因發育變異或小腸下垂等變小[6],水平段即可受壓,既影響腸蠕動,又易誘發炎癥,一旦水平段腫脹增粗,則可加重腸壁淤血水腫,這可能是本組中水平段發病率最高且腸壁腫脹尤為顯著之因。
3.2.3 升段 在腹主動脈前方上升至第 2 腰椎左側,彎向前轉折,移行為空腸。升段炎可由此擴散至左上腹。
3.3 腹膜后 DI 及其向腹腔及腹膜后擴散的 CT 表現特征
正常腸管充分擴張時,管徑 ≤3 cm,腸壁厚度在 2~3 mm 之間,≥4 mm應注意存在異常的可能[4,7]。因本組 DI 患者禁食,腸管未能充分擴張,判斷腸管徑和腸壁有無增厚以鄰近正常腸管作參照。炎性腸段較鄰近正常腸段明顯腫脹增厚,CT 表現為腸壁均勻增厚、強化。炎癥重者呈分層狀增厚,腸壁由內向外 CT 表現為:黏膜平掃呈中等密度,增強明顯強化,黏膜下層平掃及增強密度稍低,肌層平掃及增強密度略低于黏膜層。炎性管腔相對變窄,但一般不會并發腸梗阻。當炎癥同時累及 2 段或以上時,可并發潰瘍,潰瘍進一步發展,可導致腸穿孔。腹膜后 DI 常向外周廣泛擴散,CT 表現為十二指腸周圍間隙模糊,胰頭腫大;沿橫結腸系膜蔓延,升結腸、回盲部腸壁腫脹,結腸旁溝積液,向下致盆腔感染積液;向后蔓延,右腎前后筋膜及腎周橋隔增厚,右腎前筋膜間、腎后筋膜間[8]積液;炎癥沿左前上方腸系膜根部可蔓延至左上腹。DI 不同腸段炎癥向腸外擴散的范圍及炎性滲出程度有所不同。降段炎擴散范圍相對較窄,炎性程度相對較輕,常累及鄰近胰頭和橫結腸系膜。其余炎性擴散范圍相對較廣,程度較重,尤其是降段、水平段及升段炎最重,擴散范圍最廣。
3.4 原發性 DI 的 CT 鑒別診斷
診斷原發性 DI 時,尚需與鄰近器官的炎性改變、累及十二指腸的克羅恩病、十二指腸結核等繼發性 DI 進行鑒別[9],也需要與十二指腸腫瘤鑒別。
3.4.1 膽囊炎 膽囊炎 CT 表現為膽囊壁增厚,常合并膽囊結石,炎癥以膽囊為中心向周圍擴散,致膽囊周圍腹膜腫脹,常累及十二指腸球部,較少累及球后段,表現為十二指腸膽囊側壁腫脹。而原發性 DI 的炎癥則以十二指腸為中心,腸壁全周性均勻增厚。
3.4.2 胰腺炎 輕度水腫型胰腺炎時,胰頭輕度腫大,降段內側壁腫脹,但炎性胰液在腹膜后擴散途徑[10]與 DI 相似,僅憑 CT 影像表現,不易與原發性 DI 鑒別。可根據實驗室檢查血尿淀粉酶增高診斷胰腺炎,而原發性 DI 胰淀粉酶不增高。
3.4.3 克羅恩病 克羅恩病是一種病因未明的疾病,為非特異性節段性肉芽腫性疾患,病變可累及口腔至直腸的全胃腸道,主要累及回腸,以多節段分布為其特點,具有腸管不對稱性受累的特點, 易累及腸系膜側[11-12],CT 主要表現為腸壁不對稱性增厚,管腔狹窄,常常是腸壁輕或中度增厚即可引起明顯的梗阻擴張[7]。原發性 DI 腸壁對稱性均勻增厚,管腔輕度變窄,一般無腸梗阻。
3.4.4 十二指腸結核 十二指腸結核占胃腸道結核的2.5%,以降部及水平部多見,常合并肺結核[13],起病緩,病程長,CT表現為腸壁輕度增厚,腸腔變形,周圍見纖維性滲出影[14]。而原發性 DI 起病急,病程短,腸壁相對增厚明顯,腸腔輪廓存在,周圍炎性滲出明顯。
3.4.5 十二指腸腫瘤 以腺癌多見,其次為間質瘤。腺癌及間質瘤CT表現主要為局部腸腔內外的圓形、類圓形軟組織腫塊,呈略低密度或等密度。炎性小腸彌漫性增粗、腸壁分層狀增厚[15]。腺癌腸壁不規則增厚,部分腫塊可有分葉,腸梗阻征象常較明顯。間質瘤多見于降段或水平段[16],常局限于一側腸壁,腸腔狹窄及梗阻征象多不明顯。腺癌動脈期及靜脈期強化程度相差不大,間質瘤于動脈期強化程度最高,炎癥于靜脈期強化程度最高。
綜上所述,腹膜后 DI 的 CT 表現為腸壁均勻或分層狀增厚,可并發潰瘍,不易引起腸梗阻。炎癥向腹腔和腹膜后擴散途徑為:① 沿橫結腸系膜,浸潤右下腹及盆腔;② 沿腹膜后間隙,浸潤右腎前、后筋膜及右腎周間隙。上述腹膜后 DI 本身與其他炎性病變無特征性臨床表現,需依賴輔助檢查協助診斷。由于常規胃鏡檢查的局限性,CT 檢查就成為觀察腹膜后病變的優選方法。CT 檢查不僅能顯示十二指腸降段、水平段、升段炎時腸壁本身的 CT 表現,還能顯示其炎癥在腹腔、腹膜后的擴散程度,并多能與其他疾病 CT 表現進行鑒別診斷,故能為臨床診斷和治療提供重要信息,值得今后擴大樣本量,進行深入研究。

