引用本文: 翁欣, 陳鈮, 龔靜, 陳雪芹, 聶玲, 周橋. 前列腺軟斑癥病例報道和文獻復習. 華西醫學, 2015, 30(11): 2121-2123. doi: 10.7507/1002-0179.20150600 復制
軟斑癥由Michaelis和Gutmann于1902年首先報道[1]。泌尿道軟斑癥常見于膀胱。前列腺軟斑癥少見,1959年由Carruthers[2]首次報道,目前文獻報道90余例。臨床主要表現為下尿路感染和因前列腺增大而引起的尿路梗阻癥狀,直腸指檢可發現前列腺增大,或觸及質較硬結節[3]。經直腸超聲檢查可見前列腺內區域性低回聲結節[3]。實驗室檢查可有前列腺特異抗原(PSA)升高,易誤診為前列腺癌。現報道前列腺軟斑癥1例,并結合文獻分析其臨床表現、病理特點、診斷及鑒別診斷要點,以提高病理醫生對該病的認識。
1 資料與方法
1.1 一般資料
患者?男,66歲。因“排尿困難1年余,加重1個月”于2012年7月17日就診。1年多前,患者出現排尿困難、夜尿增多,無尿頻、尿急、尿痛、血尿等癥狀。近1個月癥狀加重。門診以“前列腺癌?”收治入院。患者精神、食欲可,大便正常,體質量無減輕。既往無腫瘤及手術史。直腸指檢:前列腺明顯長大,質地較硬,結節不明顯。MRI:前列腺左緣外周帶見約1.4 cm×1.2 cm結節,考慮前列腺癌可能性大,包膜可疑受累。血清總前列腺特異抗原(T-PSA):8.11 ng/mL(參考值≤4.00 ng/mL),游離前列腺特異抗原(F-PSA):0.84 ng/mL(參考值≤0.93 ng/mL),F-PSA/T-PSA:10.35%。B型超聲引導下經會陰前列腺穿刺12針送病理檢查。
1.2 方法
穿刺標本經4%中性甲醛固定,石蠟包埋,4 μm切片,蘇木精-伊紅(HE)染色。免疫組織化學染色采用EnVision法,第一抗體細胞角蛋白(CK)、平滑肌肌動蛋白(SMA)、孕激素受體(PR)、酸性鈣結合蛋白(S-100)、CD68(PGM1)、CD34、P63以及第二抗體均購自丹麥Dako公司。von Kossa鈣染色和普魯士藍鐵染色及高碘酸希夫(PAS)染色按標準染色步驟進行。
2 結果
2.1 光學顯微鏡檢查
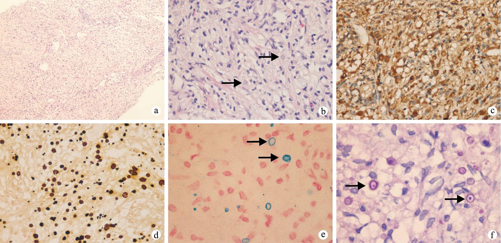
光學顯微鏡下見前列腺結構不清,腺體減少,可見成片von Hansemann組織細胞分布,散在淋巴細胞、漿細胞浸潤,散在個別多核巨細胞(圖 1a)。高倍鏡下一些細胞內可見藍染的圓形靶狀或梟眼狀Michaelis-Gutmann(MG)小體(圖 1b)。

a. 前列腺結構不清,腺體減少,可見成片組織細胞樣細胞(von Hansemann細胞,軟斑細胞) (HE ×100) b. 可見特征性的靶狀/梟眼狀MG小體(黑箭)(HE ×400) c. von Hansemann細胞呈CD68(PGM1) 陽性 (EnVision ×400) d. MG小體呈von Kossa染色陽性(von Kossa鈣染色×400) e. MG小體(黑箭)呈普魯士藍染色陽性(普魯士藍鐵染色×1 000) f. MG小體(黑箭)呈PAS陽性(PAS染色×1 000)
2.2 免疫組織化學及特殊染色
組織細胞呈CD68(PGM1)浸潤陽性(圖 1c),CK、P63、S-100、SMA、CD34和PR均陰性。靶狀或梟眼狀的MG小體呈von Kossa鈣染色(圖 1d)、普魯士藍鐵染色(圖 1e)和PAS染色(圖 1f)陽性。
2.3 病理診斷
根據上述檢查結果,病理診斷為前列腺軟斑癥。
3 討論
3.1 臨床特點
軟斑癥是一種少見的肉芽腫性病變,泌尿生殖系統多見,最常累及膀胱[4],發生于睪丸、附睪和前列腺者少見[5]。前列腺軟斑癥臨床主要表現為下尿路感染和因前列腺增大而引起的排尿梗阻癥狀,包括排尿困難、尿潴留、尿頻、尿急、尿痛、發熱等。直腸指檢常可發現前列腺增大或有質硬結節[3]。經直腸超聲檢查可見前列腺內低回聲結節[3]。前列腺MRI顯示前列腺外周帶或中央帶結節影,彌散加權成像呈高信號影[3]。有感染癥狀者血常規可有白細胞和中性粒細胞升高等細菌感染征象。尿液分析可見菌尿,尿培養可呈大腸桿菌陽性。血清PSA常升高,抗生素治療后下降[3]。
目前文獻報道前列腺軟斑癥90余例,發病年齡47~85歲,平均65歲,約95%的患者出現前列腺體積增大,病變多局限于前列腺內,可合并膀胱[6-7]、睪丸、腎臟、腹膜后[8-11]受累。前列腺軟斑癥的發生與感染相關,80%~90%以上患者的尿和前列腺液培養可見大腸桿菌生長,血清中大腸桿菌凝集抗體增高[1]。Wagner等[1]報道1例幽門螺桿菌感染引起的前列腺軟斑病。軟斑癥的發生也可能與免疫功能受損有關,如進行器官移植及接受免疫抑制治療的患者[12-14]。伴有基礎疾病如糖尿病、艾滋病、肝硬化、肺結核、細菌感染及惡性腫瘤患者亦有發生[15-16]。經直腸前列腺穿刺活體組織檢查后作為并發癥發生的病例亦有報道[17]。極個別病例合并前列腺癌[18]。
3.2 病理特征
肉眼觀為質軟、黃褐色結節或斑塊,單發或多發。鏡下見成片的軟斑細胞(von Hansemann組織細胞)伴慢性炎細胞浸潤。找到MG小體具有診斷意義。MG小體為圓形或同心圓形分層(梟眼或靶狀)的嗜堿性小體,邊界清楚,呈酵母菌樣,均質、折光,直徑2~10 μm,為含鈣、鐵和細菌糖脂的復合物[1],von Kossa染色、普魯士藍鐵染色、PAS染色均陽性[6, 16]。
3.3 鑒別診斷
前列腺軟斑癥的臨床和影像學表現與前列腺癌相似,如對其認識不足,可誤診為前列腺癌。兩者的發病高峰年齡均在60歲以上,臨床均可出現下尿路感染和尿路梗阻癥狀:如尿頻、尿急、尿痛、排尿困難和尿潴留等;直腸指檢均能觸及增大的前列腺及質硬結節;實驗室檢查均有血清PSA升高;經直腸超聲檢查,前列腺內均見區域性低回聲結節。病理醫師需認識其形態特點,在前列腺癌的鑒別診斷中需考慮到該病,進行相應的特殊染色(von Kossa染色、普魯士藍鐵染色、PAS染色)和免疫組織化學染色進行鑒別。
3.4 治療
前列腺軟斑癥病因不明,多數文獻認為感染G-桿菌是該病病因之一[3, 19-23]。治療首選抗菌藥物,復方磺胺甲噁唑可作為首選藥物,1 g/次口服,2次/d 治療有效[21, 24];也有報道利福平、鏈霉素、四環素和喹諾酮類抗菌藥物治療該病有效[21]。抗菌藥物治療效果不佳者,可手術治療[21]。
綜上所述,前列腺軟斑癥少見,相關研究很少,臨床上易誤診為前列腺癌。知曉該病病熟悉其病理特征是正確診斷的關鍵。
軟斑癥由Michaelis和Gutmann于1902年首先報道[1]。泌尿道軟斑癥常見于膀胱。前列腺軟斑癥少見,1959年由Carruthers[2]首次報道,目前文獻報道90余例。臨床主要表現為下尿路感染和因前列腺增大而引起的尿路梗阻癥狀,直腸指檢可發現前列腺增大,或觸及質較硬結節[3]。經直腸超聲檢查可見前列腺內區域性低回聲結節[3]。實驗室檢查可有前列腺特異抗原(PSA)升高,易誤診為前列腺癌。現報道前列腺軟斑癥1例,并結合文獻分析其臨床表現、病理特點、診斷及鑒別診斷要點,以提高病理醫生對該病的認識。
1 資料與方法
1.1 一般資料
患者?男,66歲。因“排尿困難1年余,加重1個月”于2012年7月17日就診。1年多前,患者出現排尿困難、夜尿增多,無尿頻、尿急、尿痛、血尿等癥狀。近1個月癥狀加重。門診以“前列腺癌?”收治入院。患者精神、食欲可,大便正常,體質量無減輕。既往無腫瘤及手術史。直腸指檢:前列腺明顯長大,質地較硬,結節不明顯。MRI:前列腺左緣外周帶見約1.4 cm×1.2 cm結節,考慮前列腺癌可能性大,包膜可疑受累。血清總前列腺特異抗原(T-PSA):8.11 ng/mL(參考值≤4.00 ng/mL),游離前列腺特異抗原(F-PSA):0.84 ng/mL(參考值≤0.93 ng/mL),F-PSA/T-PSA:10.35%。B型超聲引導下經會陰前列腺穿刺12針送病理檢查。
1.2 方法
穿刺標本經4%中性甲醛固定,石蠟包埋,4 μm切片,蘇木精-伊紅(HE)染色。免疫組織化學染色采用EnVision法,第一抗體細胞角蛋白(CK)、平滑肌肌動蛋白(SMA)、孕激素受體(PR)、酸性鈣結合蛋白(S-100)、CD68(PGM1)、CD34、P63以及第二抗體均購自丹麥Dako公司。von Kossa鈣染色和普魯士藍鐵染色及高碘酸希夫(PAS)染色按標準染色步驟進行。
2 結果
2.1 光學顯微鏡檢查
光學顯微鏡下見前列腺結構不清,腺體減少,可見成片von Hansemann組織細胞分布,散在淋巴細胞、漿細胞浸潤,散在個別多核巨細胞(圖 1a)。高倍鏡下一些細胞內可見藍染的圓形靶狀或梟眼狀Michaelis-Gutmann(MG)小體(圖 1b)。

a. 前列腺結構不清,腺體減少,可見成片組織細胞樣細胞(von Hansemann細胞,軟斑細胞) (HE ×100) b. 可見特征性的靶狀/梟眼狀MG小體(黑箭)(HE ×400) c. von Hansemann細胞呈CD68(PGM1) 陽性 (EnVision ×400) d. MG小體呈von Kossa染色陽性(von Kossa鈣染色×400) e. MG小體(黑箭)呈普魯士藍染色陽性(普魯士藍鐵染色×1 000) f. MG小體(黑箭)呈PAS陽性(PAS染色×1 000)
2.2 免疫組織化學及特殊染色
組織細胞呈CD68(PGM1)浸潤陽性(圖 1c),CK、P63、S-100、SMA、CD34和PR均陰性。靶狀或梟眼狀的MG小體呈von Kossa鈣染色(圖 1d)、普魯士藍鐵染色(圖 1e)和PAS染色(圖 1f)陽性。
2.3 病理診斷
根據上述檢查結果,病理診斷為前列腺軟斑癥。
3 討論
3.1 臨床特點
軟斑癥是一種少見的肉芽腫性病變,泌尿生殖系統多見,最常累及膀胱[4],發生于睪丸、附睪和前列腺者少見[5]。前列腺軟斑癥臨床主要表現為下尿路感染和因前列腺增大而引起的排尿梗阻癥狀,包括排尿困難、尿潴留、尿頻、尿急、尿痛、發熱等。直腸指檢常可發現前列腺增大或有質硬結節[3]。經直腸超聲檢查可見前列腺內低回聲結節[3]。前列腺MRI顯示前列腺外周帶或中央帶結節影,彌散加權成像呈高信號影[3]。有感染癥狀者血常規可有白細胞和中性粒細胞升高等細菌感染征象。尿液分析可見菌尿,尿培養可呈大腸桿菌陽性。血清PSA常升高,抗生素治療后下降[3]。
目前文獻報道前列腺軟斑癥90余例,發病年齡47~85歲,平均65歲,約95%的患者出現前列腺體積增大,病變多局限于前列腺內,可合并膀胱[6-7]、睪丸、腎臟、腹膜后[8-11]受累。前列腺軟斑癥的發生與感染相關,80%~90%以上患者的尿和前列腺液培養可見大腸桿菌生長,血清中大腸桿菌凝集抗體增高[1]。Wagner等[1]報道1例幽門螺桿菌感染引起的前列腺軟斑病。軟斑癥的發生也可能與免疫功能受損有關,如進行器官移植及接受免疫抑制治療的患者[12-14]。伴有基礎疾病如糖尿病、艾滋病、肝硬化、肺結核、細菌感染及惡性腫瘤患者亦有發生[15-16]。經直腸前列腺穿刺活體組織檢查后作為并發癥發生的病例亦有報道[17]。極個別病例合并前列腺癌[18]。
3.2 病理特征
肉眼觀為質軟、黃褐色結節或斑塊,單發或多發。鏡下見成片的軟斑細胞(von Hansemann組織細胞)伴慢性炎細胞浸潤。找到MG小體具有診斷意義。MG小體為圓形或同心圓形分層(梟眼或靶狀)的嗜堿性小體,邊界清楚,呈酵母菌樣,均質、折光,直徑2~10 μm,為含鈣、鐵和細菌糖脂的復合物[1],von Kossa染色、普魯士藍鐵染色、PAS染色均陽性[6, 16]。
3.3 鑒別診斷
前列腺軟斑癥的臨床和影像學表現與前列腺癌相似,如對其認識不足,可誤診為前列腺癌。兩者的發病高峰年齡均在60歲以上,臨床均可出現下尿路感染和尿路梗阻癥狀:如尿頻、尿急、尿痛、排尿困難和尿潴留等;直腸指檢均能觸及增大的前列腺及質硬結節;實驗室檢查均有血清PSA升高;經直腸超聲檢查,前列腺內均見區域性低回聲結節。病理醫師需認識其形態特點,在前列腺癌的鑒別診斷中需考慮到該病,進行相應的特殊染色(von Kossa染色、普魯士藍鐵染色、PAS染色)和免疫組織化學染色進行鑒別。
3.4 治療
前列腺軟斑癥病因不明,多數文獻認為感染G-桿菌是該病病因之一[3, 19-23]。治療首選抗菌藥物,復方磺胺甲噁唑可作為首選藥物,1 g/次口服,2次/d 治療有效[21, 24];也有報道利福平、鏈霉素、四環素和喹諾酮類抗菌藥物治療該病有效[21]。抗菌藥物治療效果不佳者,可手術治療[21]。
綜上所述,前列腺軟斑癥少見,相關研究很少,臨床上易誤診為前列腺癌。知曉該病病熟悉其病理特征是正確診斷的關鍵。