引用本文: 張成, 張海龍, 蘇曉慶, 羅毅, 樊琦昊, 羅琪玲, 謝麗, 李元波, 楊莉. HSP65-MUC1融合蛋白中試生產工藝的優化及生物學活性檢測方法的鑒定. 華西醫學, 2014, 29(10): 1868-1873. doi: 10.7507/1002-0179.20140566 復制
HSP65-MUC1是將卡介苗來源的熱休克蛋白65(HSP65)與人的MUC1的抗原肽基因融合,并在大腸桿菌BL21(DE3)中表達獲得的重組融合蛋白[1]。HSP65-MUC1可通過刺激樹突狀細胞(DC)成熟,使其表面的CD86表達上調,并進一步刺激產生MUC1特異性的細胞毒性T淋巴細胞,抑制MUC1陽性的腫瘤細胞的生長[2, 3],同時也激活非特異性抗腫瘤免疫反應,發揮抗腫瘤作用[4-6]。但是在HSP65-MUC1的純化過程中遇到的效率低、重復性不好、難于放大、成本較高等問題[7, 8],限制了其應用。為了達到國家對基因工程藥物純度的要求,滿足臨床前藥物效應動力學研究及臨床試驗等各項需求,我們對HSP65-MUC1融合蛋白中試放大工藝進行了優化,并建立了簡便的生物學活性檢測方法,獲得了高純度、有活性的HSP65-MUC1融合蛋白。
1 材料和方法
1.1 材料
大腸桿菌菌株E. coli DH5α和E. coli BL21(DE3)均為本實驗室常規保存;重組表達質粒pET28a-HSP65-MUC1由成都信立邦生物制藥有限公司提供;細菌質粒DNA提取試劑盒購自北京道普生物技術中心;DNA相對分子質量標準購自大連TaKaRa公司;蛋白相對分子質量標準購自立陶宛Fermentas公司;脂多糖購自美國Sigma公司;白細胞介素-4(IL-4)和粒細胞-巨噬細胞集落刺激因子(GM-CSF)購自上海普欣生物公司;抗HSP65和抗MUC1的抗體購自英國Abcam公司;異硫氰酸熒光橙紅(FITC)標記的抗人CD86抗體及同型對照購自美國BD公司。
1.2 重組質粒pET28a-HSP65-MUC1的驗證
將重組質粒pET28a-HSP65-MUC1轉化大腸桿菌菌株E. coli DH5α,挑取單克隆并擴大培養過夜,之后利用細菌質粒抽提試劑盒提取重組質粒pET28a-HSP65-MUC1。送到Invitrogen(上海)公司進行測序,并將正確的重組質粒轉化大腸桿菌E. coli BL21(DE3)。
1.3 HSP65-MUC1融合蛋白的表達和鑒定
將含有重組質粒pET28a-HSP65-MUC1的BL21(DE3)保種菌按照1%接種到5 mL種子培養基中,37℃振蕩培養16 h后獲得一級細菌種子液。取4 mL一級細菌種子液按照1%接種量接種到400 mL種子培養基中,37℃振蕩培養16 h后獲得二級細菌種子液。將二級種子液接入5 L發酵罐中,培養至A600=30 mAU 時(溶氧量為50%) 加入異丙基硫代半乳糖苷(IPTG)(終濃度為0.1 mmol/L),繼續培養3.5 h,收菌并進行聚丙烯酰氨凝膠電泳(SDS-PAGE)。同時采用蛋白質免疫印跡法對表達蛋白進行鑒定。
1.4 中試生產工藝的優化
1.4.1 HSP65-MUC1的提取
稱取10 g菌體(濕質量),按照1︰20的比例重懸于200 mL的裂解緩沖液[(50 mmol/L Tris/HCl、pH值9.0、1.5 mol/L NaCl、5 mmol/L乙二胺四乙酸(EDTA)]中,在80 MPa的條件下高壓均質破菌3次(溫度不超過8℃)。將菌體裂解物4℃,12 000×g離心30 min(Thermo,SLA-3000),之后收集富含HSP65-MUC1融合蛋白的上清液。
1.4.2 飽和硫酸銨沉淀
將收集到的富含HSP65-MUC1的上清液置于4℃,向其中加入一定體積的飽和硫酸銨溶液至終濃度為30%,攪拌3 h,之后4℃,20 000×g離心20 min(Thermo,SA-300)。收集上清液,繼續加入飽和硫酸銨溶液,使其終濃度為50%,攪拌3 h,并按照上述離心條件離心,收集蛋白沉淀,并用溶解緩沖液(20 mmol/L Tris/HCl、pH值9.0、1.5 mol/L NaCl、5 mmol/L EDTA)重懸。
1.4.3 疏水層析
將含有phenyl sepharose FF填料的蛋白純化柱連接AKTA Purify系統,并用平衡緩沖液(20 mmol/L Tris/HCl、pH值9.0、1.5 mol/L NaCl、2 mmol/L EDTA)沖洗柱子至基線。將“1.4.2”中得到的蛋白重懸液過柱,用平衡緩沖液沖洗柱子至A280<10 mAU,之后分別用含有不同鹽濃度的洗脫緩沖液(A液:20 mmol/L Tris/HCl、pH值9.0、0.345 mol/L NaCl、2 mmol/L EDTA;B液:20 mmol/L Tris/HCl、pH值9.0、2 mmol/L EDTA)沖洗柱子,并按照A280吸收峰值的變化收集洗脫液,SDS-PAGE電泳分析。
1.4.4 離子交換層析
首先用緩沖液(20 mmol/L Tris/HCl、pH值9.0、120 mmol/L NaCl、2 mmol/L EDTA)平衡Q FF離子交換層析柱(CV=30 mL);之后將“1.4.3”中收集到的富含HSP65-MUC1的蛋白液流經Q FF離子交換層析柱并用20 mmol/L Tris/HCl、pH 9.0值、120 mmol/L NaCl、2 mmol/L EDTA沖洗至A280<10 mAU;最后用洗脫緩沖液C(20 mmol/L Tris/HCl、pH值9.0、0.225 mol/L NaCl、2 mmol/L EDTA)和洗脫緩沖液D(20 mmol/L Tris/HCl、pH值9.0、1.5 mol/L NaCl、2 mmol/L EDTA)洗脫柱結合蛋白,SDS-PAGE電泳分析。
將收集到的富含HSP65-MUC1蛋白液再次過Q FF離子交換層析柱,并按照上述步驟進行更進一步的純化,以期獲得高純度的重組蛋白。
1.5 重組蛋白HSP65-MUC1的生物學活性檢測
第0天時,從正常健康志愿者體內抽取50 mL外周血,并用人外周血淋巴細胞分離液進行分離獲得單個核細胞。用磷酸鹽緩沖液(PBS)/EDTA洗滌1次,并用含2%高滲鹽水(HS)的PBS/EDTA溶液洗滌3次。最后用52% PERCOLL分離獲得的單核細胞。獲得的單核細胞經含2% HS的PBS/EDTA溶液洗滌,用含200 U/mLIL-4和100 ng/mL GM-CSF的1640完全培養基重懸并在平皿中培養5 d(隔天換1次液)。
第5天,收集懸浮細胞(即DC細胞),1 500 r/min離心10 min,棄去培養上清液,用1640完全培養基洗滌之后并重懸至細胞濃度為1×105 /mL。向一6孔板中加入重懸細胞(每孔2×105個細胞),并添加100 μg重組HSP65-MUC1于相應孔中(陽性對照孔中加入1 μg脂多糖)。
第7天時,收集孔內細胞轉移至流式管內,1 500 r/min離心收取細胞,之后用PBS洗滌2次。加入100 μL PBS振蕩細胞,每管中加入1 μL FITC標記的抗人CD86抗體(FITC-anti-hCD86),同時在對照管中加入1 μL FITC標記的同型抗體,混勻,4℃避光孵育30 min。用PBS洗滌2次并用300 μL PBS重懸細胞,流式細胞儀檢測。
1.6 統計學方法
采用SPSS 17.0軟件進行統計學分析。通過方差分析進行單因素分析。以P值<0.05為有統計學意義。
2 結果
2.1 HSP65-MUC1融合蛋白的表達和鑒定
將驗證正確的重組質粒pET28a-HSP65-MUC1轉化大腸桿菌BL21(DE3),經1 mmol/L IPTG誘導3 h后,收集菌液并離心獲得菌體沉淀。將菌體沉淀經裂解緩沖液洗滌之后進行SDS-PAGE電泳,考馬斯亮藍染色結果顯示(圖 1a):與誘導前的陰性對照相比,陽性克隆在66×103處有一個明顯的目的條帶。同時蛋白質印跡法結果顯示(圖 1b),無論是抗HSP65抗體還是抗MUC1抗體進行孵育,都能在66×103處見一個特異性的曝光條帶。

2.2 HSP65-MUC1融合蛋白中試生產工藝的優化
為了獲得高純度、高質量的HSP65-MUC1以滿足臨床試驗所需,我們對HSP65-MUC1的傳統中試生產工藝進行優化。
首先我們改變種子培養基成分配比,降低IPTG誘導濃度,利用5 L發酵罐獲取富含目的蛋白的菌體,平均每次可獲得380 g濕菌(表 1)。

其次,我們將經高壓均質機破碎獲得的上清液進行兩步飽和硫酸銨沉淀。當30%飽和硫酸銨處理3 h之后,離心獲得上清液和沉淀,分別對其進行蛋白電泳分析,結果顯示80%的目的蛋白存在于上清液中,同時能洗脫掉大部分的雜蛋白,尤其是大腸桿菌本身的宿主蛋白(35×103附近的兩條帶)(圖 2)。上述上清液再經50%的飽和硫酸銨處理3 h之后,我們發現目的蛋白主要存在于沉淀中(圖 2)。

其次,我們將經飽和硫酸銨處理后獲得的蛋白沉淀進行復溶,之后將復溶液過phenyl sepharose FF層析柱,降低鹽濃度,洗脫柱結合蛋白。結果顯示在用洗脫緩沖液A洗脫約20 mL之后,就開始出現非典型駝狀洗脫峰(圖 3a),之后改變洗脫緩沖液的鹽濃度(洗脫緩沖液B),仍出現蛋白峰(圖 3a);蛋白電泳顯示在這兩個蛋白洗脫峰中都有目的蛋白存在(圖 3b),但洗脫緩沖液B洗出來的蛋白液濃度較低,體積較少,且雜蛋白濃度較大,故我們將洗脫緩沖液A洗脫的蛋白液混合,透析至含20 mmol/L Tris/HCl、pH值9.0、120 mmol/L NaCl、2 mmol/L EDTA的溶液中。

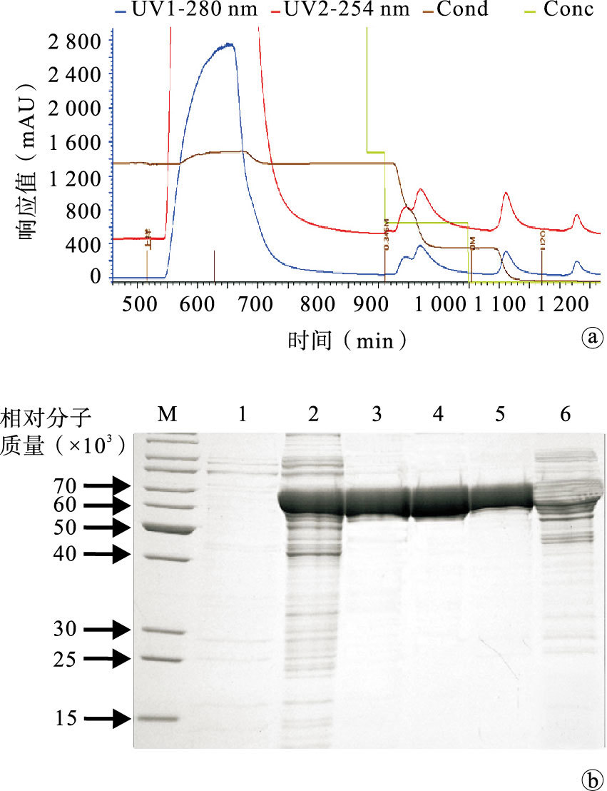
我們再將透析過的蛋白液過Q FF離子交換層析柱,并分別用洗脫緩沖液C和洗脫緩沖液D洗脫柱結合蛋白。結果顯示:在低鹽濃度的洗脫環境下(20 mmol/L Tris/HCl、pH值9.0、225 mmol/L NaCl、2 mmol/L EDTA),有大部分蛋白從柱上脫落(圖 4a),蛋白電泳顯示其主要成分為重組蛋白HSP65-MUC1(圖 4b),純度達到92%;當洗脫緩沖液中的鹽濃度較高時(20 mmol/L Tris/HCl、pH值9.0、1.5 mol/L NaCl、2 mmol/L EDTA),其余的蛋白也從柱上脫落,但蛋白電泳結果顯示其主要成分為雜蛋白。

為了進一步提高重組蛋白的純度,我們將目的蛋白洗脫液透析至含20 mmol/L Tris/HCl、pH值9.0、120 mmol/L NaCl、2 mmol/L EDTA的溶液中,并再次過Q FF離子交換層析柱純化,洗脫條件同上。結果顯示:在兩種洗脫條件下,都有蛋白峰出現,但在低鹽的環境中蛋白峰較大(圖 5a);同時蛋白電泳結果顯示目的蛋白主要存在于低鹽洗脫液中(圖 5b),純度高達96%。

最后,將收集到的蛋白液透析至含20 mmol/L Tris/HCl、pH值9.0、120 mmol/L NaCl、2 mmol/L EDTA的溶液中,并測定蛋白濃度,計算平均得到413.7 mg重組蛋白(表 2)。

2.3 HSP65-MUC1融合蛋白的生物學活性檢測
為了驗證HSP65-MUC1融合蛋白的生物學活性,我們分離獲得人DC細胞,經IL-4和GM-CSF刺激5 d 后,加入HSP65-MUC1融合蛋白,2 d后,收集細胞并用流式細胞儀分析DC細胞表面CD86分子的變化。結果顯示:HSP65-MUC1融合蛋白能顯著提高人DC細胞表面CD86的表達(圖 6),其陽性率為29.98% ± 1.02%,與陰性對照相比(10.13% ± 0.89%),提高約2.96倍,略低于脂多糖對照組(32.85% ± 0.97%)。這說明HSP65-MUC1融合蛋白能刺激人DC細胞的成熟。

3 討論
研究顯示HSP65-MUC1作為一種融合蛋白,具有誘發針對MUC1特異性和非特異性的抗腫瘤功能[9],同時多種腫瘤的臨床前研究也顯示HSP65-MUC1是一種有效的抗MUC1陽性腫瘤藥物[10-12]。鑒于此,中國國家食品藥品監督管理局已批準HSP65-MUC1進入MUC1陽性的乳腺癌Ⅰ期臨床試驗。為了保證臨床試驗的需求,在本研究中,我們對傳統的中試生產工藝進行了優化,在小試生產中,10 g發酵濕菌即可獲得400 mg的高純度蛋白。
重組蛋白的制備過程中,其產量的提高不僅依靠于下游的純化過程,而且其表達條件也發揮著重要的作用。在本研究中首先我們對HSP65-MUC1的發酵工藝進行優化,通過調整發酵用原材料的成分和配比,并降低了IPTG誘導劑的濃度,與其他研究相比[13, 14],不僅提高了菌體的產量(每4 L發酵菌液獲得380 g濕菌),同時還大大提高了HSP65-MUC1在上清溶液中的表達量(超過50%)。
HSP65-MUC1的傳統中試生產工藝是通過phenyl sepharose柱和Q sepharose柱兩步純化的[14]。這樣的操作不僅快捷,減少了多步純化帶來的損失,而且還能有效地去除內毒素,提高產品質量,但這也導致了純化的HSP65-MUC1純度不夠。在本研究中,我們將目的蛋白富集菌液先經飽和硫酸銨沉淀,有效地去除大腸桿菌宿主蛋白及部分雜蛋白,同時此步操作并沒有降低目的蛋白的含量,而且樣品收集液可直接過phenyl sepharose FF柱,進行下游純化。
Thole等[15]的研究顯示卡介苗來源的HSP65穩定性較差,在大腸桿菌中進行表達的時候極易導致HSP65或HSP65融合蛋白發生降解,從而為其臨床應用帶來困擾。隨后,Portaro等[16]發現HSP65-MUC1融合蛋白的Lys41和Lys42之間存在一個組織蛋白酶酶切位點,導致HSP65-MUC1發生降解,而對此酶切位點進行定點突變也不能改變降解的發生。雖然其降解原因還不清楚,但是有研究發現通過提高純化體系的pH值、提高菌體的裂解鹽濃度可減少HSP65-MUC1的降解[13, 14],而且在本研究中,我們在原有的純化體系之中加入EDTA,可明顯抑制蛋白的降解,這與先前部分報道存在差別[7]。
研究報道,HSP65-MUC1可通過DC細胞激活特異性的細胞毒性T淋巴細胞[17],而當DC細胞被激活后,其表面的一些協同刺激分子的表達將上調,如CD86。在本研究中,我們用純化的HSP65-MUC1作用人外周血來源的DC細胞,經檢測其表面的CD86分子表達,發現純化的HSP65-MUC1能顯著提高CD86的表達,刺激DC細胞的活化,從而為臨床抗腫瘤研究提供支持。
HSP65-MUC1是將卡介苗來源的熱休克蛋白65(HSP65)與人的MUC1的抗原肽基因融合,并在大腸桿菌BL21(DE3)中表達獲得的重組融合蛋白[1]。HSP65-MUC1可通過刺激樹突狀細胞(DC)成熟,使其表面的CD86表達上調,并進一步刺激產生MUC1特異性的細胞毒性T淋巴細胞,抑制MUC1陽性的腫瘤細胞的生長[2, 3],同時也激活非特異性抗腫瘤免疫反應,發揮抗腫瘤作用[4-6]。但是在HSP65-MUC1的純化過程中遇到的效率低、重復性不好、難于放大、成本較高等問題[7, 8],限制了其應用。為了達到國家對基因工程藥物純度的要求,滿足臨床前藥物效應動力學研究及臨床試驗等各項需求,我們對HSP65-MUC1融合蛋白中試放大工藝進行了優化,并建立了簡便的生物學活性檢測方法,獲得了高純度、有活性的HSP65-MUC1融合蛋白。
1 材料和方法
1.1 材料
大腸桿菌菌株E. coli DH5α和E. coli BL21(DE3)均為本實驗室常規保存;重組表達質粒pET28a-HSP65-MUC1由成都信立邦生物制藥有限公司提供;細菌質粒DNA提取試劑盒購自北京道普生物技術中心;DNA相對分子質量標準購自大連TaKaRa公司;蛋白相對分子質量標準購自立陶宛Fermentas公司;脂多糖購自美國Sigma公司;白細胞介素-4(IL-4)和粒細胞-巨噬細胞集落刺激因子(GM-CSF)購自上海普欣生物公司;抗HSP65和抗MUC1的抗體購自英國Abcam公司;異硫氰酸熒光橙紅(FITC)標記的抗人CD86抗體及同型對照購自美國BD公司。
1.2 重組質粒pET28a-HSP65-MUC1的驗證
將重組質粒pET28a-HSP65-MUC1轉化大腸桿菌菌株E. coli DH5α,挑取單克隆并擴大培養過夜,之后利用細菌質粒抽提試劑盒提取重組質粒pET28a-HSP65-MUC1。送到Invitrogen(上海)公司進行測序,并將正確的重組質粒轉化大腸桿菌E. coli BL21(DE3)。
1.3 HSP65-MUC1融合蛋白的表達和鑒定
將含有重組質粒pET28a-HSP65-MUC1的BL21(DE3)保種菌按照1%接種到5 mL種子培養基中,37℃振蕩培養16 h后獲得一級細菌種子液。取4 mL一級細菌種子液按照1%接種量接種到400 mL種子培養基中,37℃振蕩培養16 h后獲得二級細菌種子液。將二級種子液接入5 L發酵罐中,培養至A600=30 mAU 時(溶氧量為50%) 加入異丙基硫代半乳糖苷(IPTG)(終濃度為0.1 mmol/L),繼續培養3.5 h,收菌并進行聚丙烯酰氨凝膠電泳(SDS-PAGE)。同時采用蛋白質免疫印跡法對表達蛋白進行鑒定。
1.4 中試生產工藝的優化
1.4.1 HSP65-MUC1的提取
稱取10 g菌體(濕質量),按照1︰20的比例重懸于200 mL的裂解緩沖液[(50 mmol/L Tris/HCl、pH值9.0、1.5 mol/L NaCl、5 mmol/L乙二胺四乙酸(EDTA)]中,在80 MPa的條件下高壓均質破菌3次(溫度不超過8℃)。將菌體裂解物4℃,12 000×g離心30 min(Thermo,SLA-3000),之后收集富含HSP65-MUC1融合蛋白的上清液。
1.4.2 飽和硫酸銨沉淀
將收集到的富含HSP65-MUC1的上清液置于4℃,向其中加入一定體積的飽和硫酸銨溶液至終濃度為30%,攪拌3 h,之后4℃,20 000×g離心20 min(Thermo,SA-300)。收集上清液,繼續加入飽和硫酸銨溶液,使其終濃度為50%,攪拌3 h,并按照上述離心條件離心,收集蛋白沉淀,并用溶解緩沖液(20 mmol/L Tris/HCl、pH值9.0、1.5 mol/L NaCl、5 mmol/L EDTA)重懸。
1.4.3 疏水層析
將含有phenyl sepharose FF填料的蛋白純化柱連接AKTA Purify系統,并用平衡緩沖液(20 mmol/L Tris/HCl、pH值9.0、1.5 mol/L NaCl、2 mmol/L EDTA)沖洗柱子至基線。將“1.4.2”中得到的蛋白重懸液過柱,用平衡緩沖液沖洗柱子至A280<10 mAU,之后分別用含有不同鹽濃度的洗脫緩沖液(A液:20 mmol/L Tris/HCl、pH值9.0、0.345 mol/L NaCl、2 mmol/L EDTA;B液:20 mmol/L Tris/HCl、pH值9.0、2 mmol/L EDTA)沖洗柱子,并按照A280吸收峰值的變化收集洗脫液,SDS-PAGE電泳分析。
1.4.4 離子交換層析
首先用緩沖液(20 mmol/L Tris/HCl、pH值9.0、120 mmol/L NaCl、2 mmol/L EDTA)平衡Q FF離子交換層析柱(CV=30 mL);之后將“1.4.3”中收集到的富含HSP65-MUC1的蛋白液流經Q FF離子交換層析柱并用20 mmol/L Tris/HCl、pH 9.0值、120 mmol/L NaCl、2 mmol/L EDTA沖洗至A280<10 mAU;最后用洗脫緩沖液C(20 mmol/L Tris/HCl、pH值9.0、0.225 mol/L NaCl、2 mmol/L EDTA)和洗脫緩沖液D(20 mmol/L Tris/HCl、pH值9.0、1.5 mol/L NaCl、2 mmol/L EDTA)洗脫柱結合蛋白,SDS-PAGE電泳分析。
將收集到的富含HSP65-MUC1蛋白液再次過Q FF離子交換層析柱,并按照上述步驟進行更進一步的純化,以期獲得高純度的重組蛋白。
1.5 重組蛋白HSP65-MUC1的生物學活性檢測
第0天時,從正常健康志愿者體內抽取50 mL外周血,并用人外周血淋巴細胞分離液進行分離獲得單個核細胞。用磷酸鹽緩沖液(PBS)/EDTA洗滌1次,并用含2%高滲鹽水(HS)的PBS/EDTA溶液洗滌3次。最后用52% PERCOLL分離獲得的單核細胞。獲得的單核細胞經含2% HS的PBS/EDTA溶液洗滌,用含200 U/mLIL-4和100 ng/mL GM-CSF的1640完全培養基重懸并在平皿中培養5 d(隔天換1次液)。
第5天,收集懸浮細胞(即DC細胞),1 500 r/min離心10 min,棄去培養上清液,用1640完全培養基洗滌之后并重懸至細胞濃度為1×105 /mL。向一6孔板中加入重懸細胞(每孔2×105個細胞),并添加100 μg重組HSP65-MUC1于相應孔中(陽性對照孔中加入1 μg脂多糖)。
第7天時,收集孔內細胞轉移至流式管內,1 500 r/min離心收取細胞,之后用PBS洗滌2次。加入100 μL PBS振蕩細胞,每管中加入1 μL FITC標記的抗人CD86抗體(FITC-anti-hCD86),同時在對照管中加入1 μL FITC標記的同型抗體,混勻,4℃避光孵育30 min。用PBS洗滌2次并用300 μL PBS重懸細胞,流式細胞儀檢測。
1.6 統計學方法
采用SPSS 17.0軟件進行統計學分析。通過方差分析進行單因素分析。以P值<0.05為有統計學意義。
2 結果
2.1 HSP65-MUC1融合蛋白的表達和鑒定
將驗證正確的重組質粒pET28a-HSP65-MUC1轉化大腸桿菌BL21(DE3),經1 mmol/L IPTG誘導3 h后,收集菌液并離心獲得菌體沉淀。將菌體沉淀經裂解緩沖液洗滌之后進行SDS-PAGE電泳,考馬斯亮藍染色結果顯示(圖 1a):與誘導前的陰性對照相比,陽性克隆在66×103處有一個明顯的目的條帶。同時蛋白質印跡法結果顯示(圖 1b),無論是抗HSP65抗體還是抗MUC1抗體進行孵育,都能在66×103處見一個特異性的曝光條帶。

2.2 HSP65-MUC1融合蛋白中試生產工藝的優化
為了獲得高純度、高質量的HSP65-MUC1以滿足臨床試驗所需,我們對HSP65-MUC1的傳統中試生產工藝進行優化。
首先我們改變種子培養基成分配比,降低IPTG誘導濃度,利用5 L發酵罐獲取富含目的蛋白的菌體,平均每次可獲得380 g濕菌(表 1)。

其次,我們將經高壓均質機破碎獲得的上清液進行兩步飽和硫酸銨沉淀。當30%飽和硫酸銨處理3 h之后,離心獲得上清液和沉淀,分別對其進行蛋白電泳分析,結果顯示80%的目的蛋白存在于上清液中,同時能洗脫掉大部分的雜蛋白,尤其是大腸桿菌本身的宿主蛋白(35×103附近的兩條帶)(圖 2)。上述上清液再經50%的飽和硫酸銨處理3 h之后,我們發現目的蛋白主要存在于沉淀中(圖 2)。

其次,我們將經飽和硫酸銨處理后獲得的蛋白沉淀進行復溶,之后將復溶液過phenyl sepharose FF層析柱,降低鹽濃度,洗脫柱結合蛋白。結果顯示在用洗脫緩沖液A洗脫約20 mL之后,就開始出現非典型駝狀洗脫峰(圖 3a),之后改變洗脫緩沖液的鹽濃度(洗脫緩沖液B),仍出現蛋白峰(圖 3a);蛋白電泳顯示在這兩個蛋白洗脫峰中都有目的蛋白存在(圖 3b),但洗脫緩沖液B洗出來的蛋白液濃度較低,體積較少,且雜蛋白濃度較大,故我們將洗脫緩沖液A洗脫的蛋白液混合,透析至含20 mmol/L Tris/HCl、pH值9.0、120 mmol/L NaCl、2 mmol/L EDTA的溶液中。

我們再將透析過的蛋白液過Q FF離子交換層析柱,并分別用洗脫緩沖液C和洗脫緩沖液D洗脫柱結合蛋白。結果顯示:在低鹽濃度的洗脫環境下(20 mmol/L Tris/HCl、pH值9.0、225 mmol/L NaCl、2 mmol/L EDTA),有大部分蛋白從柱上脫落(圖 4a),蛋白電泳顯示其主要成分為重組蛋白HSP65-MUC1(圖 4b),純度達到92%;當洗脫緩沖液中的鹽濃度較高時(20 mmol/L Tris/HCl、pH值9.0、1.5 mol/L NaCl、2 mmol/L EDTA),其余的蛋白也從柱上脫落,但蛋白電泳結果顯示其主要成分為雜蛋白。

為了進一步提高重組蛋白的純度,我們將目的蛋白洗脫液透析至含20 mmol/L Tris/HCl、pH值9.0、120 mmol/L NaCl、2 mmol/L EDTA的溶液中,并再次過Q FF離子交換層析柱純化,洗脫條件同上。結果顯示:在兩種洗脫條件下,都有蛋白峰出現,但在低鹽的環境中蛋白峰較大(圖 5a);同時蛋白電泳結果顯示目的蛋白主要存在于低鹽洗脫液中(圖 5b),純度高達96%。

最后,將收集到的蛋白液透析至含20 mmol/L Tris/HCl、pH值9.0、120 mmol/L NaCl、2 mmol/L EDTA的溶液中,并測定蛋白濃度,計算平均得到413.7 mg重組蛋白(表 2)。

2.3 HSP65-MUC1融合蛋白的生物學活性檢測
為了驗證HSP65-MUC1融合蛋白的生物學活性,我們分離獲得人DC細胞,經IL-4和GM-CSF刺激5 d 后,加入HSP65-MUC1融合蛋白,2 d后,收集細胞并用流式細胞儀分析DC細胞表面CD86分子的變化。結果顯示:HSP65-MUC1融合蛋白能顯著提高人DC細胞表面CD86的表達(圖 6),其陽性率為29.98% ± 1.02%,與陰性對照相比(10.13% ± 0.89%),提高約2.96倍,略低于脂多糖對照組(32.85% ± 0.97%)。這說明HSP65-MUC1融合蛋白能刺激人DC細胞的成熟。

3 討論
研究顯示HSP65-MUC1作為一種融合蛋白,具有誘發針對MUC1特異性和非特異性的抗腫瘤功能[9],同時多種腫瘤的臨床前研究也顯示HSP65-MUC1是一種有效的抗MUC1陽性腫瘤藥物[10-12]。鑒于此,中國國家食品藥品監督管理局已批準HSP65-MUC1進入MUC1陽性的乳腺癌Ⅰ期臨床試驗。為了保證臨床試驗的需求,在本研究中,我們對傳統的中試生產工藝進行了優化,在小試生產中,10 g發酵濕菌即可獲得400 mg的高純度蛋白。
重組蛋白的制備過程中,其產量的提高不僅依靠于下游的純化過程,而且其表達條件也發揮著重要的作用。在本研究中首先我們對HSP65-MUC1的發酵工藝進行優化,通過調整發酵用原材料的成分和配比,并降低了IPTG誘導劑的濃度,與其他研究相比[13, 14],不僅提高了菌體的產量(每4 L發酵菌液獲得380 g濕菌),同時還大大提高了HSP65-MUC1在上清溶液中的表達量(超過50%)。
HSP65-MUC1的傳統中試生產工藝是通過phenyl sepharose柱和Q sepharose柱兩步純化的[14]。這樣的操作不僅快捷,減少了多步純化帶來的損失,而且還能有效地去除內毒素,提高產品質量,但這也導致了純化的HSP65-MUC1純度不夠。在本研究中,我們將目的蛋白富集菌液先經飽和硫酸銨沉淀,有效地去除大腸桿菌宿主蛋白及部分雜蛋白,同時此步操作并沒有降低目的蛋白的含量,而且樣品收集液可直接過phenyl sepharose FF柱,進行下游純化。
Thole等[15]的研究顯示卡介苗來源的HSP65穩定性較差,在大腸桿菌中進行表達的時候極易導致HSP65或HSP65融合蛋白發生降解,從而為其臨床應用帶來困擾。隨后,Portaro等[16]發現HSP65-MUC1融合蛋白的Lys41和Lys42之間存在一個組織蛋白酶酶切位點,導致HSP65-MUC1發生降解,而對此酶切位點進行定點突變也不能改變降解的發生。雖然其降解原因還不清楚,但是有研究發現通過提高純化體系的pH值、提高菌體的裂解鹽濃度可減少HSP65-MUC1的降解[13, 14],而且在本研究中,我們在原有的純化體系之中加入EDTA,可明顯抑制蛋白的降解,這與先前部分報道存在差別[7]。
研究報道,HSP65-MUC1可通過DC細胞激活特異性的細胞毒性T淋巴細胞[17],而當DC細胞被激活后,其表面的一些協同刺激分子的表達將上調,如CD86。在本研究中,我們用純化的HSP65-MUC1作用人外周血來源的DC細胞,經檢測其表面的CD86分子表達,發現純化的HSP65-MUC1能顯著提高CD86的表達,刺激DC細胞的活化,從而為臨床抗腫瘤研究提供支持。