引用本文: 黃韜, 劉佳, 羅彪, 朱紅, 曹茜. 肝包蟲病的診治體會. 華西醫學, 2014, 29(9): 1650-1652. doi: 10.7507/1002-0179.20140506 復制
肝包蟲病是主要發生于畜牧業地區的一種常見人畜共患寄生蟲病,是細粒棘球絳蟲或泡狀棘球絳蟲的幼蟲寄生于人體所致,以西北和西南地區農牧區常見。其嚴重危害農牧民的身心健康并影響畜牧業發展。為探討肝包蟲病的診斷和治療,現就2008年1月-2012年9月收治的51例肝包蟲病患者的診斷和治療方式進行回顧性分析,報告如下。
1 資料與方法
1.1 一般資料
本組患者51例,均來自西藏地區,男31例,女20例;年齡24~69歲,平均41.8歲;藏族47例,漢族4例,病變位于肝右葉31例(60.8%),肝左葉17例(33.3%),左右葉均受累3例(5.9%);彩色多普勒超聲顯示呈囊性病變44例(86.3%),囊實性5例(9.8%),實性2例(3.9%);病變大小2.6 cm×2.9 cm×3.0 cm~27.0 cm×15.0 cm×14.0 cm;單發病灶45例(88.2%),多發病灶6例(11.8%);合并腹腔包蟲5例(9.8%)。就診主要癥狀以腹痛和腹部腫塊為主,其中上腹部疼痛20例,腹部腫塊18例,上腹不適6例,腹脹3例,體檢發現4例。
1.2 臨床診斷及治療
本組患者臨床診斷均采用CT結合彩色多普勒超聲,輔以包蟲囊液皮內試驗(Casoni試驗),確診依靠術后病理診斷。肝包蟲病的影像診斷標準(CT表現):① 肝臟內單發或多發,大小不等低密度囊性病灶,CT值-14~20 HU;② 可見環狀、半環狀、條索狀或結節狀鈣化;③ 母囊內有大小不等數目不一的子囊;④ 內外囊分離,出現“雙邊征”、“水上百合征”、“飄帶征”等。超聲表現和一般囊腫相同,可分為單囊型、多囊型、囊沙型、混合型和母子囊型,常見囊腫囊及鈣化囊壁的強回聲[1]。肝包蟲病病理診斷:鏡下囊壁分3層,① 內層為生發層,由單層或多層生發細胞構成,生發細胞在囊內形成生發囊,脫落后成子囊,子囊的內壁又可生成5~30個幼蟲頭節,每個頭節有4個吸盤和許多小鉤;② 中間層為無血管、半透明膠樣板層薄膜;③ 外層為纖維組織和透明變性的膠原纖維,可見數量不等的慢性炎細胞浸潤,可部分鈣化[2]。Casoni試驗:將術中獲得的透明包蟲囊液過慮去頭節后,高壓滅菌做抗原,用1︰10~1︰100等滲鹽水稀釋液0.2 mL作皮內注射,形成0.3~0.5 cm直徑的皮丘,15 min后觀察結果,皮丘直徑擴大或周圍紅暈直徑超過2 cm為陽性[3]。
51例患者均行手術治療,其中開腹行內囊摘除術39例,腔鏡下內囊摘除術3例,肝病灶切除術9例。術前口服阿苯達唑0.4 g,2次/d,7~10 d;術后繼續口服阿苯達唑0.4 g,2次/d,3~6個月,并監測肝臟功能及血常規。
1.3 統計學方法
采用SPSS 17.0軟件處理,計量資料以均數± 標準差表示,組間比較采用t檢驗;計數資料以百分比表示,組間比較采用χ2檢驗。檢驗水準α=0.05。
2 結果
2.1 彩色多普勒超聲、CT對肝包蟲病診斷結果
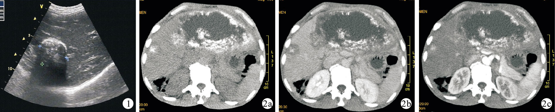
51例患者CT及彩色多普勒超聲均發現肝臟占位病灶,檢出率100.0%,其中彩色多普勒超聲診斷肝包蟲病37例,陽性率72.5%;CT診斷肝包蟲病42例,陽性率82.4%。CT及彩色多普勒超聲對肝包蟲病診斷陽性率比較差異無統計學意義(P>0.05)。見表 1。典型患者彩色多普勒超聲及CT圖像見圖 1、2。


2.2 實驗室檢查及病理檢查結果
Casoni試驗陽性33例(64.7%)。病理檢查:細粒棘球蚴病42例(82.4%),泡狀棘球蚴病9例(17.7%)。
2.3 治療結果
所有患者術后均臨床治愈,無死亡發生。1例患者出現膽漏并發癥,無殘腔感染、黃疸、切口感染及肺部感染等,引流管在術后10 d左右拔出,膽漏患者帶管3個月。經過隨訪3個月~3年未發現原位復發或種植患者。住院時間15~35 d,平均24 d。
3 討論
3.1 肝包蟲病的病理與臨床
肝包蟲病是細粒棘球絳蟲或泡狀棘球絳蟲的幼蟲寄生于人體所致的寄生蟲病,細粒棘球蚴的終宿主主要是犬,人為中間宿主,成蟲在犬的小腸內產卵,隨糞便排出。人進食被蟲卵污染的食物后,蟲卵在人的小腸內孵化成蚴,隨門靜脈入肝,約70%在肝內生長成包蟲囊腫,部分蟲蚴經肝靜脈隨血流進入肺、腎等其他組織器官。肝包蟲病在慢性膨脹性生長過程中,對囊腫周圍肝內管道長期壓迫,使肝內管道移位、變形并發生纖維化,其功能受到嚴重影響,導致局部組織缺血、缺氧,而組織缺血、缺氧導致肝包蟲囊腫周圍的肝組織萎縮、變性、壞死、消失而成為影響肝臟功能的主要原因之一[4]。當包蟲囊增大到一定程度時,可有壓迫癥狀,如肝頂部囊腫使膈上升,擠壓肺部而影響呼吸;肝后囊腫壓迫下腔靜脈或門靜脈,導致下肢浮腫、腹水、脾臟腫大;肝下囊腫推壓胃腸道,發生飽脹,惡心、嘔吐,壓迫膽道引起黃疸等[3]。
3.2 肝包蟲病診斷
肝包蟲分為細粒棘球蚴性包蟲病和泡狀棘球蚴性包蟲病,以前者多見。本組細粒棘球蚴性包蟲病占82.4%,其多表現為囊性;而泡狀棘球蚴性包蟲病多表現為囊實性或實性,結合囊性病變在CT或彩色多普勒超聲中的特點和Casoni試驗,對囊性包蟲病術前基本能作出診斷,現代螺旋CT憑借良好的密度及空間高分辨率不僅能做到早期發現,且能確定肝包囊蟲在肝內的生長部位、大小等情況,檢出率達97.8%以上,并經臨床手術、病理等予以充分證實[5]; 肝包蟲病超聲檢查診斷率高,是臨床不可缺少的主要輔助檢查,只要逐切面、變換體位并結合臨床,均能提供可靠信息[6],已成為一種具有極高敏感性、特異性和臨床相關的包蟲病篩查技術[7]。本組資料,CT和彩色多普勒超聲均發現肝臟占位,檢出率100.0%,CT或彩色多普勒超聲對肝包蟲病的診斷差異無統計學意義(P>0.05),CT聯合彩色多普勒超聲肝包蟲病的診斷準確率達90.2%(46/51),彩色多普勒超聲在診斷肝包蟲病上和CT價值相當。因此經濟、便捷,無創的彩色多普勒超聲可作為肝包蟲病的常規檢查,聯合CT檢查可加強其診斷。
Casoni試驗是診斷包蟲病的特異性免疫實驗,本試驗陽性率為75%~95% [8]。本組資料Casoni試驗陽性33例,陽性率64.7% (33/51)。對有牧區生活史者,如發現肝臟有囊性病變,無論Casoni試驗是否陽性,均應考慮有肝包蟲性囊腫的可能。對于實性占位的肝包蟲病,術前診斷較困難,特別是Casoni試驗陰性者,應結合彩色多普勒超聲、CT、肝炎標志物及腫瘤標志物等檢查,與肝臟其他占位性病變相鑒別。
3.3 肝包蟲病的治療
對肝包蟲病的治療,我們認為應采取個體化治療措施,即對患者有效且創傷最小的方式。外科手術是肝包蟲病治療的基本方法,且除此外,目前還無藥物能完全治愈本病。對于囊型包蟲病,手術原則:清除內囊,防止囊液外溢,消滅外囊殘腔,預防感染。手術目的是摘除內囊,徹底清除頭節及子囊。內囊穿刺摘除,操作簡便可靠,可避免完整摘除內囊致內囊破裂污染腹腔的可能[9]。細粒棘球蚴性包蟲病屬囊型包蟲病,臨床多見,可采用內囊摘除術,是臨床上最常用的方法,對囊型包蟲病,基本都可采取這種術式完成。腹腔鏡行肝包蟲內囊摘除術自1992年應用以來,經多年臨床治療觀察,已成為一種安全、可行、有效的微創新方法 [10],如符合下列條件可在腹腔鏡下進行:① 肝臟膈面并靠近邊沿的單發性肝包蟲囊腫,如位于右前葉、后葉前部,左肝外葉等;② 外囊壁有一定厚度,一般>3 mm,CT可提示,如復發性肝包蟲病、肝包蟲病感染致外囊壁明顯增厚鈣化;③ 靠近邊沿肝臟膈面的多發性肝包蟲囊腫,分別位于左右兩葉;④ 心肺功能好,能耐受腹腔鏡手術[11]。本組在腹腔鏡下手術3例,效果良好。但腹腔鏡治療肝包蟲病畢竟是一項技術性較高的內鏡外科新技術,應嚴格掌握手術指征,對術者要求高,應具備豐富的處理包蟲病的手術經驗,熟練的腹腔鏡下操作技術和對患者負責的精神。若術中腹腔鏡操作困難時,應及時中轉開腹手術,這是確保患者安全的重要措施[12]。對囊腫位置靠近肝門或腹腔鏡下顯露困難及復雜肝包蟲囊腫,不主張采用腹腔鏡技術,仍應采用開腹肝包蟲內囊摘除術[13]。本組39例行開腹肝包蟲內囊摘除術,而對肝包蟲囊腫部位的肝組織有明顯纖維化或萎縮者,應行肝部分切除術,不僅治療徹底,且并發膽漏、出血的幾率低;位于肝邊緣的小包蟲亦可行肝部分切除術 [14],在影像學表現為囊實性或實性病變的肝泡狀棘球蚴病,原則上均需行部分肝切除術[15]。本組行部分肝切除術者9例,均屬肝泡狀棘球蚴病。對肝功能不全者不能采取常規治療的晚期肝包蟲病可行肝移植治療[16]。
綜上,無論采取哪種方式治療肝包蟲病,均應嚴格按照“無瘤手術”操作原則,注意病灶周圍組織及切口的保護,應盡可能減少患者術后的種植和復發,且術后應堅持3~6個月的抗寄生蟲治療。
肝包蟲病是主要發生于畜牧業地區的一種常見人畜共患寄生蟲病,是細粒棘球絳蟲或泡狀棘球絳蟲的幼蟲寄生于人體所致,以西北和西南地區農牧區常見。其嚴重危害農牧民的身心健康并影響畜牧業發展。為探討肝包蟲病的診斷和治療,現就2008年1月-2012年9月收治的51例肝包蟲病患者的診斷和治療方式進行回顧性分析,報告如下。
1 資料與方法
1.1 一般資料
本組患者51例,均來自西藏地區,男31例,女20例;年齡24~69歲,平均41.8歲;藏族47例,漢族4例,病變位于肝右葉31例(60.8%),肝左葉17例(33.3%),左右葉均受累3例(5.9%);彩色多普勒超聲顯示呈囊性病變44例(86.3%),囊實性5例(9.8%),實性2例(3.9%);病變大小2.6 cm×2.9 cm×3.0 cm~27.0 cm×15.0 cm×14.0 cm;單發病灶45例(88.2%),多發病灶6例(11.8%);合并腹腔包蟲5例(9.8%)。就診主要癥狀以腹痛和腹部腫塊為主,其中上腹部疼痛20例,腹部腫塊18例,上腹不適6例,腹脹3例,體檢發現4例。
1.2 臨床診斷及治療
本組患者臨床診斷均采用CT結合彩色多普勒超聲,輔以包蟲囊液皮內試驗(Casoni試驗),確診依靠術后病理診斷。肝包蟲病的影像診斷標準(CT表現):① 肝臟內單發或多發,大小不等低密度囊性病灶,CT值-14~20 HU;② 可見環狀、半環狀、條索狀或結節狀鈣化;③ 母囊內有大小不等數目不一的子囊;④ 內外囊分離,出現“雙邊征”、“水上百合征”、“飄帶征”等。超聲表現和一般囊腫相同,可分為單囊型、多囊型、囊沙型、混合型和母子囊型,常見囊腫囊及鈣化囊壁的強回聲[1]。肝包蟲病病理診斷:鏡下囊壁分3層,① 內層為生發層,由單層或多層生發細胞構成,生發細胞在囊內形成生發囊,脫落后成子囊,子囊的內壁又可生成5~30個幼蟲頭節,每個頭節有4個吸盤和許多小鉤;② 中間層為無血管、半透明膠樣板層薄膜;③ 外層為纖維組織和透明變性的膠原纖維,可見數量不等的慢性炎細胞浸潤,可部分鈣化[2]。Casoni試驗:將術中獲得的透明包蟲囊液過慮去頭節后,高壓滅菌做抗原,用1︰10~1︰100等滲鹽水稀釋液0.2 mL作皮內注射,形成0.3~0.5 cm直徑的皮丘,15 min后觀察結果,皮丘直徑擴大或周圍紅暈直徑超過2 cm為陽性[3]。
51例患者均行手術治療,其中開腹行內囊摘除術39例,腔鏡下內囊摘除術3例,肝病灶切除術9例。術前口服阿苯達唑0.4 g,2次/d,7~10 d;術后繼續口服阿苯達唑0.4 g,2次/d,3~6個月,并監測肝臟功能及血常規。
1.3 統計學方法
采用SPSS 17.0軟件處理,計量資料以均數± 標準差表示,組間比較采用t檢驗;計數資料以百分比表示,組間比較采用χ2檢驗。檢驗水準α=0.05。
2 結果
2.1 彩色多普勒超聲、CT對肝包蟲病診斷結果
51例患者CT及彩色多普勒超聲均發現肝臟占位病灶,檢出率100.0%,其中彩色多普勒超聲診斷肝包蟲病37例,陽性率72.5%;CT診斷肝包蟲病42例,陽性率82.4%。CT及彩色多普勒超聲對肝包蟲病診斷陽性率比較差異無統計學意義(P>0.05)。見表 1。典型患者彩色多普勒超聲及CT圖像見圖 1、2。


2.2 實驗室檢查及病理檢查結果
Casoni試驗陽性33例(64.7%)。病理檢查:細粒棘球蚴病42例(82.4%),泡狀棘球蚴病9例(17.7%)。
2.3 治療結果
所有患者術后均臨床治愈,無死亡發生。1例患者出現膽漏并發癥,無殘腔感染、黃疸、切口感染及肺部感染等,引流管在術后10 d左右拔出,膽漏患者帶管3個月。經過隨訪3個月~3年未發現原位復發或種植患者。住院時間15~35 d,平均24 d。
3 討論
3.1 肝包蟲病的病理與臨床
肝包蟲病是細粒棘球絳蟲或泡狀棘球絳蟲的幼蟲寄生于人體所致的寄生蟲病,細粒棘球蚴的終宿主主要是犬,人為中間宿主,成蟲在犬的小腸內產卵,隨糞便排出。人進食被蟲卵污染的食物后,蟲卵在人的小腸內孵化成蚴,隨門靜脈入肝,約70%在肝內生長成包蟲囊腫,部分蟲蚴經肝靜脈隨血流進入肺、腎等其他組織器官。肝包蟲病在慢性膨脹性生長過程中,對囊腫周圍肝內管道長期壓迫,使肝內管道移位、變形并發生纖維化,其功能受到嚴重影響,導致局部組織缺血、缺氧,而組織缺血、缺氧導致肝包蟲囊腫周圍的肝組織萎縮、變性、壞死、消失而成為影響肝臟功能的主要原因之一[4]。當包蟲囊增大到一定程度時,可有壓迫癥狀,如肝頂部囊腫使膈上升,擠壓肺部而影響呼吸;肝后囊腫壓迫下腔靜脈或門靜脈,導致下肢浮腫、腹水、脾臟腫大;肝下囊腫推壓胃腸道,發生飽脹,惡心、嘔吐,壓迫膽道引起黃疸等[3]。
3.2 肝包蟲病診斷
肝包蟲分為細粒棘球蚴性包蟲病和泡狀棘球蚴性包蟲病,以前者多見。本組細粒棘球蚴性包蟲病占82.4%,其多表現為囊性;而泡狀棘球蚴性包蟲病多表現為囊實性或實性,結合囊性病變在CT或彩色多普勒超聲中的特點和Casoni試驗,對囊性包蟲病術前基本能作出診斷,現代螺旋CT憑借良好的密度及空間高分辨率不僅能做到早期發現,且能確定肝包囊蟲在肝內的生長部位、大小等情況,檢出率達97.8%以上,并經臨床手術、病理等予以充分證實[5]; 肝包蟲病超聲檢查診斷率高,是臨床不可缺少的主要輔助檢查,只要逐切面、變換體位并結合臨床,均能提供可靠信息[6],已成為一種具有極高敏感性、特異性和臨床相關的包蟲病篩查技術[7]。本組資料,CT和彩色多普勒超聲均發現肝臟占位,檢出率100.0%,CT或彩色多普勒超聲對肝包蟲病的診斷差異無統計學意義(P>0.05),CT聯合彩色多普勒超聲肝包蟲病的診斷準確率達90.2%(46/51),彩色多普勒超聲在診斷肝包蟲病上和CT價值相當。因此經濟、便捷,無創的彩色多普勒超聲可作為肝包蟲病的常規檢查,聯合CT檢查可加強其診斷。
Casoni試驗是診斷包蟲病的特異性免疫實驗,本試驗陽性率為75%~95% [8]。本組資料Casoni試驗陽性33例,陽性率64.7% (33/51)。對有牧區生活史者,如發現肝臟有囊性病變,無論Casoni試驗是否陽性,均應考慮有肝包蟲性囊腫的可能。對于實性占位的肝包蟲病,術前診斷較困難,特別是Casoni試驗陰性者,應結合彩色多普勒超聲、CT、肝炎標志物及腫瘤標志物等檢查,與肝臟其他占位性病變相鑒別。
3.3 肝包蟲病的治療
對肝包蟲病的治療,我們認為應采取個體化治療措施,即對患者有效且創傷最小的方式。外科手術是肝包蟲病治療的基本方法,且除此外,目前還無藥物能完全治愈本病。對于囊型包蟲病,手術原則:清除內囊,防止囊液外溢,消滅外囊殘腔,預防感染。手術目的是摘除內囊,徹底清除頭節及子囊。內囊穿刺摘除,操作簡便可靠,可避免完整摘除內囊致內囊破裂污染腹腔的可能[9]。細粒棘球蚴性包蟲病屬囊型包蟲病,臨床多見,可采用內囊摘除術,是臨床上最常用的方法,對囊型包蟲病,基本都可采取這種術式完成。腹腔鏡行肝包蟲內囊摘除術自1992年應用以來,經多年臨床治療觀察,已成為一種安全、可行、有效的微創新方法 [10],如符合下列條件可在腹腔鏡下進行:① 肝臟膈面并靠近邊沿的單發性肝包蟲囊腫,如位于右前葉、后葉前部,左肝外葉等;② 外囊壁有一定厚度,一般>3 mm,CT可提示,如復發性肝包蟲病、肝包蟲病感染致外囊壁明顯增厚鈣化;③ 靠近邊沿肝臟膈面的多發性肝包蟲囊腫,分別位于左右兩葉;④ 心肺功能好,能耐受腹腔鏡手術[11]。本組在腹腔鏡下手術3例,效果良好。但腹腔鏡治療肝包蟲病畢竟是一項技術性較高的內鏡外科新技術,應嚴格掌握手術指征,對術者要求高,應具備豐富的處理包蟲病的手術經驗,熟練的腹腔鏡下操作技術和對患者負責的精神。若術中腹腔鏡操作困難時,應及時中轉開腹手術,這是確保患者安全的重要措施[12]。對囊腫位置靠近肝門或腹腔鏡下顯露困難及復雜肝包蟲囊腫,不主張采用腹腔鏡技術,仍應采用開腹肝包蟲內囊摘除術[13]。本組39例行開腹肝包蟲內囊摘除術,而對肝包蟲囊腫部位的肝組織有明顯纖維化或萎縮者,應行肝部分切除術,不僅治療徹底,且并發膽漏、出血的幾率低;位于肝邊緣的小包蟲亦可行肝部分切除術 [14],在影像學表現為囊實性或實性病變的肝泡狀棘球蚴病,原則上均需行部分肝切除術[15]。本組行部分肝切除術者9例,均屬肝泡狀棘球蚴病。對肝功能不全者不能采取常規治療的晚期肝包蟲病可行肝移植治療[16]。
綜上,無論采取哪種方式治療肝包蟲病,均應嚴格按照“無瘤手術”操作原則,注意病灶周圍組織及切口的保護,應盡可能減少患者術后的種植和復發,且術后應堅持3~6個月的抗寄生蟲治療。