引用本文: 杜瓊芳. 子宮峽部剖宮產切口部位妊娠的彩色多普勒超聲診斷分析. 華西醫學, 2014, 29(6): 1121-1123. doi: 10.7507/1002-0179.20140343 復制
切口妊娠是剖宮產的后遺癥之一,也是一種罕見而危險的遠期并發癥。本病的臨床表現無特殊性,患者均有剖宮產史、出現停經史、子宮增大、血人絨毛膜促性腺激素(HCG)升高等正常早孕表現。本文回顧性分析了12例子宮峽部剖宮產切口部位妊娠的臨床資料及超聲聲像圖表現,現報告如下。
1 資料與方法
1.1 一般資料
2011年8月-2013年7月本院診治12例子宮峽部剖宮產切口部位妊娠患者,年齡24~38歲,10例接受剖宮產1次,2例接受剖宮產2次,皆屬子宮下段橫切口。自接受剖宮產至發生切口部位妊娠的時間2~14年;10例有停經史,停經時間39~77 d,2例陰道流血無停經史,血HCG均升高。
1.2 儀器與方法
使用麥迪遜8000SA、阿洛卡a7彩色多普勒超聲診斷儀,經腹探頭頻率3.0~7.0 MHz,經陰道探頭頻率4.0~9.0 MHz,采用經腹及經陰道彩色多普勒超聲兩種檢查方法。常規觀察子宮形態是否異常,宮腔上段有無妊娠囊或異常回聲,有無正常的子宮內膜,峽部前后徑是否大于宮體前后徑,宮頸管內有無異常回聲,雙側附件區有無異常包塊,盆腔有無積液等。重點觀察妊娠囊與切口關系,是完全位于切口處還是部分位于切口處,妊娠囊內有無胚芽及胎心搏動,子宮峽部切口處有無異常回聲,肌層能否顯示,回聲是否清晰,該處漿膜層有無膨隆。彩色多普勒血流成像(CDFI)觀察子宮峽部有無豐富的血流情況。
2 結果
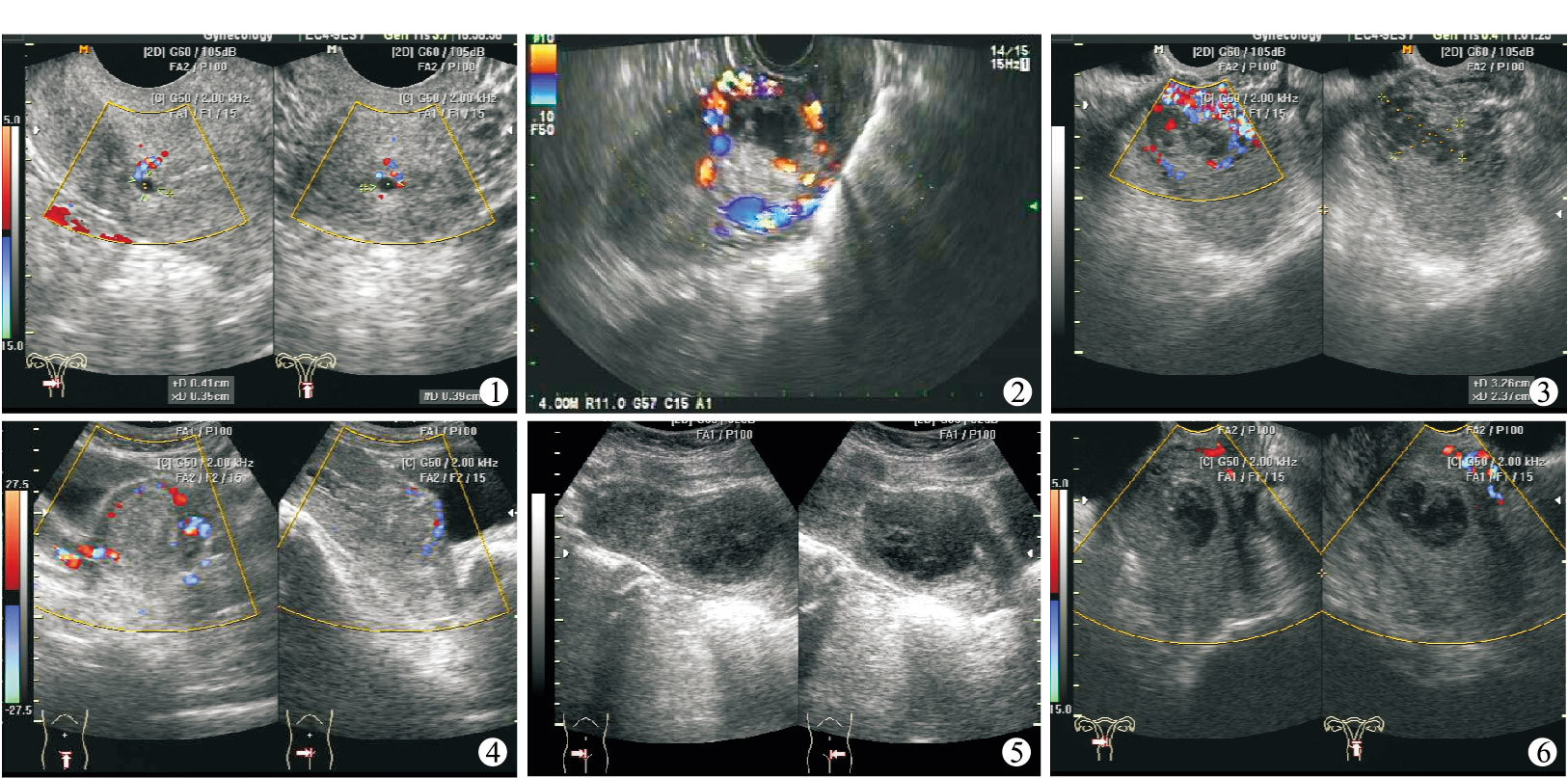
12例患者檢查結果:術前彩色多普勒超聲診斷切口妊娠5例,誤診7例。5例因停經39~43 d,妊娠囊較小完全位于子宮峽部剖宮產切口處的診斷明確(圖 1、2);3例停經45~77 d,因妊娠囊較大向宮腔內生長,而誤診宮內孕行人工流產手術(圖 3~5);2例因陰道流血,切口妊娠流產,切口處顯示為低弱不均質雜亂回聲,誤診為不全流產(圖 6);2例外院人工流產術后陰道流血增多,來我院檢查診斷為切口妊娠。以上患者經子宮動脈栓塞介入治療或其他治療后均得到較好的療效,未發生子宮穿孔或子宮切除。

3 討論
切口妊娠為異位妊娠的一種,本病病因不明,可能與剖宮產損傷子宮內膜,術后瘢痕組織存在縫隙有關[1]。雖然彩色多普勒超聲聲像圖會因孕期長短、妊娠囊發育情況、陰道有無出血、出血量多少、是否人工流產后等情況而有所不同,但還是有其共同點。以1997年Godin等[2]首次根據剖宮產瘢痕早期妊娠的超聲影像提出的標準:① 子宮內無妊娠囊;② 宮頸管內無妊娠囊;③ 妊娠囊生長在子宮峽部前壁;④ 妊娠囊與膀胱之間肌壁菲薄。即子宮形態改變,峽部偏大,子宮底體部及宮頸管相對較小,峽部回聲異常,峽部肌層隨妊娠囊長大逐漸變薄甚至顯示不清,CDFI顯示子宮瘢痕處妊娠囊周圍有豐富血流,一般呈低速低阻的血流頻譜[3]。不同點:① 典型聲像圖:完全位于切口處的妊娠(圖 1、2),妊娠囊較小,最大徑線<2.0 cm,宮腔上段未見正常妊娠囊,宮內膜增厚回聲均勻,在切口處查見較為完整的妊娠囊,部分可見胚芽及原始心管搏動。子宮峽部增大隨停經時間增加而明顯,縱切時峽部肌層隨妊娠囊長大逐漸變薄,但尚可辨認,CDFI顯示切口處肌層血流信號豐富。此類切口妊娠診斷較為容易。② 不典型聲像圖:妊娠囊部分或少部分著床于峽部切口處,這種情況最易誤診,因停經后大部分妊娠囊向宮腔內生長,僅下緣少部分呈銳角嵌于切口處,妊娠囊內可見胚芽及胎心搏動。隨停經時間延長,妊娠囊可生長較大,甚至到足月,但不可避免的會發生胎盤植入伴前置胎盤,生產時有可能發生大出血甚至切除子宮[4]。超聲醫生在檢查此類切口妊娠時,觀察重點通常在胚胎上而忽略了妊娠囊下緣與切口的關系,也未注意到子宮峽部肌層隨妊娠囊長大逐漸變薄或辨認不清,甚至僅見向外突出的漿膜層回聲。特別是操作時陰道探頭進入較深,又加壓使位于超聲圖像近場的子宮峽部切口處被忽略,不能清楚顯示出妊娠囊下緣與切口的關系,且由于切口處血流信號豐富,如未經腹彩色多普勒超聲補充檢查從而導致誤診。本組3例誤診均屬該種情況,因此凡是剖宮產后再次妊娠的患者超聲檢查時需要超聲醫生有高度的警惕性及切口妊娠的意識,仔細觀察妊娠囊的位置、妊娠囊下緣與切口的關系、切口處有無異常回聲及血流信號是否豐富,避免誤診的發生。③ 超聲誤診宮內早孕而行人工流產手術后聲像圖(圖 3~5):宮腔內及切口處未見妊娠囊回聲,妊娠囊已經部分或大部分被吸出,部分絨毛仍然在切口處,子宮峽部膨隆,呈網格狀或蜂窩樣低弱不均質回聲,邊界不清,縱切肌層顯示不清,僅見菲薄的漿膜層,CDFI顯示網格狀或蜂窩樣低回聲內血流信號異常豐富。④ 切口妊娠流產聲像圖(圖 6):妊娠囊形態改變,峽部及宮腔下段查見不均質低弱回聲團,部分團塊內有不規則無回聲。不均質弱回聲團與峽部切口處關系密切,界限不清,子宮縱切峽部略膨隆,切口處肌層變薄,尚可辨認,CDFI顯示不均質回聲團周邊及切口處血流信號豐富[5]。如果超聲醫生經驗欠缺,無切口妊娠的意識,切口妊娠流產也易誤診為不全流產。
有學者提出測量切口處肌層厚度為診斷切口妊娠的標準之一,筆者不太認同此觀點。剖宮產后,因子宮瘢痕無正常子宮內膜和肌層[6],術后瘢痕愈合是通過膠原纖維和纖維蛋白束構成,后發生肌細胞再生,同時伴血管再生[7]。隨著妊娠囊的長大,峽部再被牽拉伸展,菲薄,或因誤診人工流產術后,子宮前下壁切口處結構改變,呈邊界不清的彌漫網格狀或蜂窩樣低弱不均勻回聲,無法辨認肌層結構,更無法測量肌層厚度。
本病需與不全流產、宮頸管妊娠等鑒別。不全流產:子宮增大,形態正常,峽部未見異常增大,妊娠囊或不均質回聲團下移至宮腔下段靠近切口處,邊界可見,且子宮峽部肌層結構尚清,回聲均勻,漿膜層未向外膨隆,且子宮峽部以及不均質回聲團周邊無異常豐富的血流信號,可鑒別。宮頸管妊娠:宮頸管呈桶狀增大,宮頸管內查見妊娠囊或欠均質弱回聲團,宮頸管的肌層血流信號豐富,但峽部形態正常可鑒別。滋養葉細胞疾病:子宮肌層幾乎呈彌漫性的網格狀或蜂窩樣低弱回聲及豐富的血流信號,切口妊娠流產后網格狀或蜂窩樣低弱回聲僅見于子宮下段切口處,底體部肌層回聲均勻,HCG異常增高,滋養葉細胞疾病常伴有葡萄胎病史可鑒別[8]。
經腹超聲在觀察妊娠囊較大的切口妊娠優于經陰道超聲,特別是隨停經時間的增加,妊娠囊增大,陰道超聲無法顯示子宮的全貌,經驗不足時往往忽略切口處的觀察,經腹超聲整個子宮顯示較為全面,尤其是峽部膨隆明顯;妊娠囊較小的完全位于切口處的切口妊娠,經陰道超聲明顯優于經腹超聲,且經陰道超聲顯示切口處血流信號更為明顯,顯示肌層回聲優于經腹超聲。所以經腹與經陰道超聲聯合檢查才能得到更多信息支持[9],避免誤診導致盲目刮宮引發子宮穿孔或子宮破裂,保障患者的安全,避免醫療糾紛的發生。
切口妊娠是剖宮產的后遺癥之一,也是一種罕見而危險的遠期并發癥。本病的臨床表現無特殊性,患者均有剖宮產史、出現停經史、子宮增大、血人絨毛膜促性腺激素(HCG)升高等正常早孕表現。本文回顧性分析了12例子宮峽部剖宮產切口部位妊娠的臨床資料及超聲聲像圖表現,現報告如下。
1 資料與方法
1.1 一般資料
2011年8月-2013年7月本院診治12例子宮峽部剖宮產切口部位妊娠患者,年齡24~38歲,10例接受剖宮產1次,2例接受剖宮產2次,皆屬子宮下段橫切口。自接受剖宮產至發生切口部位妊娠的時間2~14年;10例有停經史,停經時間39~77 d,2例陰道流血無停經史,血HCG均升高。
1.2 儀器與方法
使用麥迪遜8000SA、阿洛卡a7彩色多普勒超聲診斷儀,經腹探頭頻率3.0~7.0 MHz,經陰道探頭頻率4.0~9.0 MHz,采用經腹及經陰道彩色多普勒超聲兩種檢查方法。常規觀察子宮形態是否異常,宮腔上段有無妊娠囊或異常回聲,有無正常的子宮內膜,峽部前后徑是否大于宮體前后徑,宮頸管內有無異常回聲,雙側附件區有無異常包塊,盆腔有無積液等。重點觀察妊娠囊與切口關系,是完全位于切口處還是部分位于切口處,妊娠囊內有無胚芽及胎心搏動,子宮峽部切口處有無異常回聲,肌層能否顯示,回聲是否清晰,該處漿膜層有無膨隆。彩色多普勒血流成像(CDFI)觀察子宮峽部有無豐富的血流情況。
2 結果
12例患者檢查結果:術前彩色多普勒超聲診斷切口妊娠5例,誤診7例。5例因停經39~43 d,妊娠囊較小完全位于子宮峽部剖宮產切口處的診斷明確(圖 1、2);3例停經45~77 d,因妊娠囊較大向宮腔內生長,而誤診宮內孕行人工流產手術(圖 3~5);2例因陰道流血,切口妊娠流產,切口處顯示為低弱不均質雜亂回聲,誤診為不全流產(圖 6);2例外院人工流產術后陰道流血增多,來我院檢查診斷為切口妊娠。以上患者經子宮動脈栓塞介入治療或其他治療后均得到較好的療效,未發生子宮穿孔或子宮切除。

3 討論
切口妊娠為異位妊娠的一種,本病病因不明,可能與剖宮產損傷子宮內膜,術后瘢痕組織存在縫隙有關[1]。雖然彩色多普勒超聲聲像圖會因孕期長短、妊娠囊發育情況、陰道有無出血、出血量多少、是否人工流產后等情況而有所不同,但還是有其共同點。以1997年Godin等[2]首次根據剖宮產瘢痕早期妊娠的超聲影像提出的標準:① 子宮內無妊娠囊;② 宮頸管內無妊娠囊;③ 妊娠囊生長在子宮峽部前壁;④ 妊娠囊與膀胱之間肌壁菲薄。即子宮形態改變,峽部偏大,子宮底體部及宮頸管相對較小,峽部回聲異常,峽部肌層隨妊娠囊長大逐漸變薄甚至顯示不清,CDFI顯示子宮瘢痕處妊娠囊周圍有豐富血流,一般呈低速低阻的血流頻譜[3]。不同點:① 典型聲像圖:完全位于切口處的妊娠(圖 1、2),妊娠囊較小,最大徑線<2.0 cm,宮腔上段未見正常妊娠囊,宮內膜增厚回聲均勻,在切口處查見較為完整的妊娠囊,部分可見胚芽及原始心管搏動。子宮峽部增大隨停經時間增加而明顯,縱切時峽部肌層隨妊娠囊長大逐漸變薄,但尚可辨認,CDFI顯示切口處肌層血流信號豐富。此類切口妊娠診斷較為容易。② 不典型聲像圖:妊娠囊部分或少部分著床于峽部切口處,這種情況最易誤診,因停經后大部分妊娠囊向宮腔內生長,僅下緣少部分呈銳角嵌于切口處,妊娠囊內可見胚芽及胎心搏動。隨停經時間延長,妊娠囊可生長較大,甚至到足月,但不可避免的會發生胎盤植入伴前置胎盤,生產時有可能發生大出血甚至切除子宮[4]。超聲醫生在檢查此類切口妊娠時,觀察重點通常在胚胎上而忽略了妊娠囊下緣與切口的關系,也未注意到子宮峽部肌層隨妊娠囊長大逐漸變薄或辨認不清,甚至僅見向外突出的漿膜層回聲。特別是操作時陰道探頭進入較深,又加壓使位于超聲圖像近場的子宮峽部切口處被忽略,不能清楚顯示出妊娠囊下緣與切口的關系,且由于切口處血流信號豐富,如未經腹彩色多普勒超聲補充檢查從而導致誤診。本組3例誤診均屬該種情況,因此凡是剖宮產后再次妊娠的患者超聲檢查時需要超聲醫生有高度的警惕性及切口妊娠的意識,仔細觀察妊娠囊的位置、妊娠囊下緣與切口的關系、切口處有無異常回聲及血流信號是否豐富,避免誤診的發生。③ 超聲誤診宮內早孕而行人工流產手術后聲像圖(圖 3~5):宮腔內及切口處未見妊娠囊回聲,妊娠囊已經部分或大部分被吸出,部分絨毛仍然在切口處,子宮峽部膨隆,呈網格狀或蜂窩樣低弱不均質回聲,邊界不清,縱切肌層顯示不清,僅見菲薄的漿膜層,CDFI顯示網格狀或蜂窩樣低回聲內血流信號異常豐富。④ 切口妊娠流產聲像圖(圖 6):妊娠囊形態改變,峽部及宮腔下段查見不均質低弱回聲團,部分團塊內有不規則無回聲。不均質弱回聲團與峽部切口處關系密切,界限不清,子宮縱切峽部略膨隆,切口處肌層變薄,尚可辨認,CDFI顯示不均質回聲團周邊及切口處血流信號豐富[5]。如果超聲醫生經驗欠缺,無切口妊娠的意識,切口妊娠流產也易誤診為不全流產。
有學者提出測量切口處肌層厚度為診斷切口妊娠的標準之一,筆者不太認同此觀點。剖宮產后,因子宮瘢痕無正常子宮內膜和肌層[6],術后瘢痕愈合是通過膠原纖維和纖維蛋白束構成,后發生肌細胞再生,同時伴血管再生[7]。隨著妊娠囊的長大,峽部再被牽拉伸展,菲薄,或因誤診人工流產術后,子宮前下壁切口處結構改變,呈邊界不清的彌漫網格狀或蜂窩樣低弱不均勻回聲,無法辨認肌層結構,更無法測量肌層厚度。
本病需與不全流產、宮頸管妊娠等鑒別。不全流產:子宮增大,形態正常,峽部未見異常增大,妊娠囊或不均質回聲團下移至宮腔下段靠近切口處,邊界可見,且子宮峽部肌層結構尚清,回聲均勻,漿膜層未向外膨隆,且子宮峽部以及不均質回聲團周邊無異常豐富的血流信號,可鑒別。宮頸管妊娠:宮頸管呈桶狀增大,宮頸管內查見妊娠囊或欠均質弱回聲團,宮頸管的肌層血流信號豐富,但峽部形態正常可鑒別。滋養葉細胞疾病:子宮肌層幾乎呈彌漫性的網格狀或蜂窩樣低弱回聲及豐富的血流信號,切口妊娠流產后網格狀或蜂窩樣低弱回聲僅見于子宮下段切口處,底體部肌層回聲均勻,HCG異常增高,滋養葉細胞疾病常伴有葡萄胎病史可鑒別[8]。
經腹超聲在觀察妊娠囊較大的切口妊娠優于經陰道超聲,特別是隨停經時間的增加,妊娠囊增大,陰道超聲無法顯示子宮的全貌,經驗不足時往往忽略切口處的觀察,經腹超聲整個子宮顯示較為全面,尤其是峽部膨隆明顯;妊娠囊較小的完全位于切口處的切口妊娠,經陰道超聲明顯優于經腹超聲,且經陰道超聲顯示切口處血流信號更為明顯,顯示肌層回聲優于經腹超聲。所以經腹與經陰道超聲聯合檢查才能得到更多信息支持[9],避免誤診導致盲目刮宮引發子宮穿孔或子宮破裂,保障患者的安全,避免醫療糾紛的發生。