引用本文: 朱鵬, 劉淵, 朱海標, 自加吉, 陳夏夢, 楊宇, 官鵬. 百草枯中毒死亡的臨床病理分析. 華西醫學, 2014, 29(5): 910-913. doi: 10.7507/1002-0179.20140276 復制
百草枯是一種速效除草劑,對人體毒性強[1, 2],中毒死亡率極高,國外文獻報道其中毒死亡率為40%~50%[3],國內文獻報道其死亡率則高達80%以上[4]。百草枯可引起人體肺、腎、肝和腎上腺等多臟器損傷,其中毒的特征性病理改變是肺損傷[5]。既往文獻對急性百草枯中毒致肺泡上皮細胞損傷,肺透明膜形成[6, 7]的報道較多;而對慢性百草枯中毒致肺間質纖維化的尸檢病理報道較少。目前關于百草枯中毒致肺纖維化的損傷機制尚不完全清楚,本文旨在通過對3例急慢性百草枯中毒死亡的法醫病理解剖案例進行臨床病理分析,探討百草枯中毒的特點及致肺間質纖維化的損傷機制,并提出相應的臨床診治及法醫學鑒定注意事項。
1 資料與方法
1.1 一般資料
收集2010年1月-2013年12月四川華西法醫學鑒定中心涉及百草枯中毒死亡的案例3例,其中1例為急性中毒死亡,2例為慢性中毒死亡。急性中毒者為自殺服毒,服毒量較大,慢性中毒者為投毒(少量多次進食含毒食物),3例均為中毒死亡案例。按照法醫病理學要求進行了系統尸體解剖、病理切片制作觀察及毒物分析,臨床、病理資料齊全、可靠。
1.2 方法
根據中毒后存活時間的長短,對百草枯中毒死亡者的臨床表現、尿素及肌酐等生化指標、臨床治療、法醫病理學改變、毒物分析檢驗結果及死亡原因進行對比分析,探討百草枯中毒的特點、損傷機制、臨床救治及法醫學鑒定注意事項。
2 結果
2.1 臨床表現及診療情況
案例 1?患者為女性,28歲,因口服“除草劑”半瓶后1 h入院。主要表現為全身軟弱無力,腸鳴音活躍,臨床生化檢驗報告示:尿素、肌酐、谷氨酰轉肽酶(y-GT)、谷丙轉氨酶(ALT)均明顯增高,入院后予以洗胃、血液透析、輸液等治療,救治無效于入院后第 2天死亡。
案例 2?患者為男性,68歲,因連續食用含有“百草枯”成分的菜品4 d,嘔吐、腹瀉1 d入院。主要表現為嘔吐、腹瀉、氣促,臨床生化檢驗報告示:尿素、肌酐明顯增高,入院后經抗炎、抗感染、祛痰、糾正水電解質、酸堿失衡,無創呼吸機通氣等治療,入院后21 d死亡。
案例 3?患者為女性,62歲,因嘔吐、腹瀉6 d,氣緊、胸悶3 d入院。主要表現為惡心、嘔吐、氣緊、胸悶,臨床生化檢驗報告示:尿素、肌酐增高,入院后經行無創呼吸機支持通氣治療,加強抗感染,祛痰止咳、維持水電解質平衡及保護各臟器功能等治療,于入院后第28天死亡。3例患者百草枯中毒死亡的臨床資料見表 1。

2.2 法醫病理學改變及毒物分析
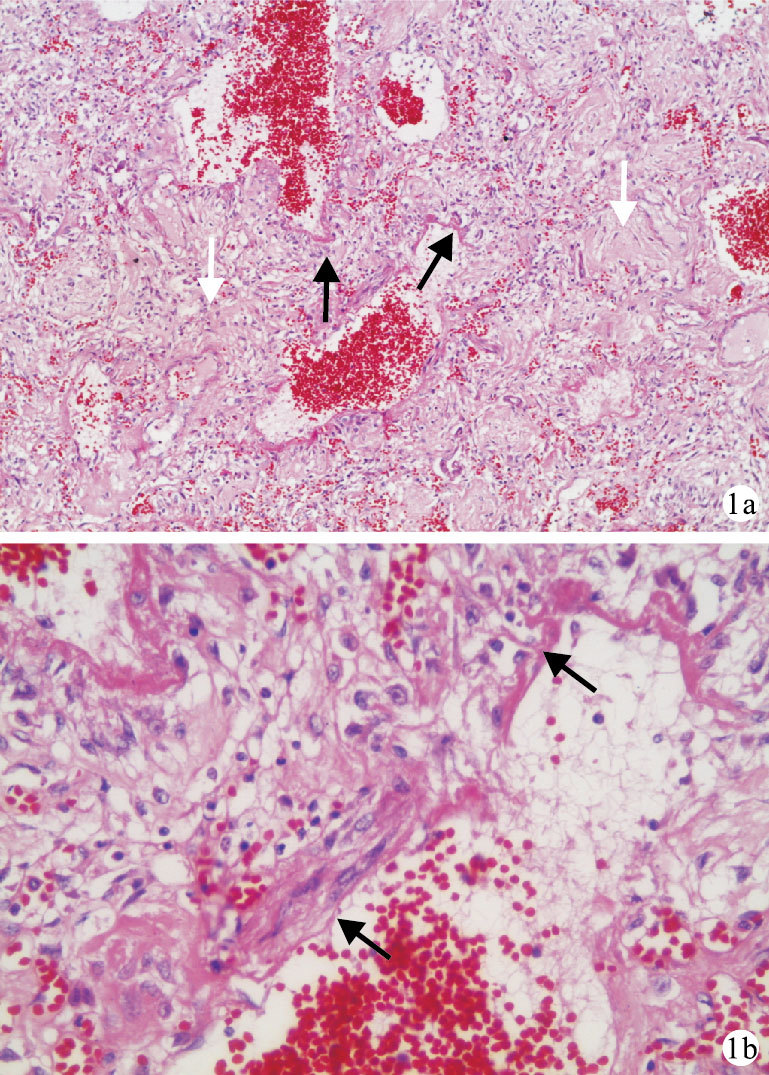
百草枯中毒死亡的法醫病理學資料見表 2。案例1死者病理學檢驗主要發現:肺淤血,肺水腫,灶性肺氣腫,灶性肺萎縮,肺透明膜形成,肺間質炎細胞浸潤等肺部病變;腎小管上皮細胞濁腫變性,腎上腺皮質壞死;肝細胞濁腫變性、灶性肝細胞壞死;心外膜灶性出血、小灶性脂肪壞死、心肌細胞濁腫變性;食管黏膜充血,漿膜灶性出血及灶性脂肪壞死,胃黏膜淤血,黏膜下層灶性脂肪壞死;腸黏膜淤血,黏膜下層及漿膜層局灶性出血等改變。符合百草枯中毒所致多器官組織損害的病理變化,死者心血毒物分析檢出百草枯。案例2、3死者病理學檢驗主要發現:廣泛肺間質纖維化,多灶性肺透明膜形成(圖 1a),肺透明膜與肺纖維化病變交錯混雜,部分肺透明膜被肺纖維化替代而消減,肺泡Ⅱ型上皮細胞數量減少,立方形肺泡Ⅱ型上皮細胞呈現向梭形成纖維細胞轉化的趨勢,轉化之成纖維細胞部分向肺間質遷移,一些伸入到肺透明膜而使其機化(圖 1b);另還存在灶性肺蜂房變、肺水腫、肺出血、灶性細小支氣管黏膜上皮增生、鱗狀化生等肺部病變,其余器官存在不同程度變性。住院期間抽取靜脈血均未檢出百草枯,但在飲食所用調味品中檢出百草枯。

1a.可見廣泛肺間質纖維化(白箭),多灶性肺透明膜形成(黑箭)(HE×100) 1b.可見肺透明膜與肺纖維化病變交錯混雜(黑箭)(HE×400)

3 討論
3.1 百草枯中毒的特點及損傷機制
百草枯又名對草快,化學名1,1'-二甲基-4,4'-聯吡啶陽離子鹽,化學式為C12H14N2Cl2,是目前農村使用最廣泛的除草劑之一。本品可經呼吸道、皮膚和胃腸道吸收,因無揮發性,一般不易吸入中毒,偶見皮膚長時間接觸所致的中毒,口服是最常見的中毒途徑,常見于自殺、誤服及投毒。人經口中毒致死量為1~2 g,最小致死血濃度為1.2 mg/L[5],吸收較快,隨血流分布到各個臟器,但主要蓄積在肺內,肺組織中百草枯濃度是血漿濃度的10~90倍[8, 9]。本組案例中,百草枯急性中毒死亡者肺損傷病變主要為肺水腫,肺透明膜形成;百草枯慢性中毒死亡者肺損傷主要表現為彌漫性肺間質纖維化。目前關于百草枯中毒所致肺透明膜及肺纖維化形成的機制尚不完全清楚。
百草枯中毒引起的肺透明膜主要見于急性中毒死亡案例,慢性中毒死亡案例亦見有灶性肺透明膜病變,說明肺透明膜形成過程較快,而消退和吸收較慢。目前關于百草枯中毒引起肺損傷致肺透明膜形成的機制,有報道認為系損傷因子在補體系統、嗜中性粒細胞、凝血系統、前列腺素等多種因素作用下,導致肺泡上皮細胞和毛細血管內皮的損傷;在此基礎上,體內大量血管活性物質釋放,使血管壁通透性增大,血管內液體成分滲入,首先引起肺間質水腫,隨著肺泡上皮的損傷,水腫液大量進入肺泡腔[10]。肺泡Ⅱ型上皮的受損和各種因素作用,使肺泡表面活性物質減少而致肺萎陷,從而又加重了肺泡缺血性改變,結果使滲出物進一步增多,富含蛋白的滲出液、纖維蛋白等物質滲出,遂形成透明膜。
以往認為,慢性炎癥是肺纖維化的主要機制[11],但目前臨床上對患者進行抗感染或預防感染治療不能緩解肺纖維化癥狀。另外,本組及其他報道案例證實,肺纖維化患者肺組織病理切片檢驗發現炎癥細胞較少、炎癥反應并不嚴重,所以炎癥反應不足以解釋肺纖維化的形成機制[12]。我們對本組2例慢性百草枯中毒死亡的肺組織鏡下觀察發現,立方形肺泡Ⅱ型上皮細胞呈現向梭形成纖維細胞轉化的趨勢,提示肺泡Ⅱ型上皮細胞可能同時參與了百草枯中毒所致肺透明膜形成和肺纖維化的過程,其機制可能是:病變早期,百草枯對肺組織損傷作用導致肺泡Ⅱ型上皮細胞受損,肺表面活性物質分泌減少,肺泡結構破壞,從而使肺泡缺血性改變加重,纖維蛋白滲出增多,加速了肺透明膜的形成過程。隨著病程進展,肺泡Ⅱ型上皮細胞向間質細胞轉化,失去了細胞極性,細胞與細胞之間連接松散,獲得了間質細胞特有的遷移功能,一部分向肺泡表面遷移、侵入透明膜導致透明膜機化;另一部分向肺間質遷移,侵入肺間質并分泌大量膠原,直接參與肺纖維化形成。提示肺泡Ⅱ型上皮細胞-間質細胞轉化在肺纖維化過程中起著重要作用,符合上皮細胞-間質細胞轉化的研究報道[13-15]。目前尚未見有關百草枯中毒引起肺泡Ⅱ型上皮細胞-間質細胞轉化所致肺纖維化的文獻報道,我們的初步觀察結果尚待進一步研究證實。
3.2 百草枯中毒的臨床診治及法醫學鑒定注意事項
本組急性百草枯中毒患者,其案情和病史清楚,入院后診斷明確,由于患者服毒量較大,多器官組織損害重,雖經積極救治,終因多器官功能衰竭死亡。2例慢性百草枯中毒患者,在多次進食含毒調料的食物幾天后才出現不適癥狀而入院,由于前期的案情及病史不清,臨床表現為嘔吐、腹瀉、氣促、胸悶等癥狀,臨床進行了對癥支持治療。入院9 d在犯罪嫌疑人交代投毒的案情后才考慮百草枯中毒,此時抽取靜脈血進行毒物分析,未檢出百草枯成分。患者經臨床救治無效分別于入院后第22、28天死亡。本組慢性百草枯中毒2例靜脈血未檢出百草枯成分,可能為患者多次少量攝入毒物、病情遷延時間較長、臨床治療后血液稀釋等因素影響而出現的假陰性結果,故不能依此排除百草枯中毒的可能。另外,有報道認為毒物分析檢驗材料除常規取血外,還應注意提取肺等器官組織作為檢驗材料,病程遷延者仍可從其尸檢臟器中檢出百草枯[5]。
本組案例提示,臨床上對于病史不清,出現消化系統、呼吸系統癥狀表現,特別是多人具有相似癥狀患者,應警惕毒物中毒可能,應注意毒物中毒與消化系統、呼吸系統疾病的鑒別診斷,應詳細詢問病史,了解案情,以助于臨床的診斷和治療。2例慢性百草枯中毒死亡患者經全身系統法醫病理解剖檢驗,排除了機械性損傷、機械性窒息和致死性疾病,主要發現雙肺廣泛彌漫性間質纖維化、肺透明膜形成等百草枯中毒的特征性病變。結合案情、犯罪嫌疑人訊問筆錄、臨床診治病歷、死者生前所食用調料中檢出百草枯等材料綜合分析,證實死者的死因符合百草枯中毒所致肺纖維化呼吸衰竭死亡。
綜上所述,臨床診治過程中應加深對百草枯中毒的臨床表現及損傷機制的認識,對中毒患者進行早期診斷和救治,以提高患者生存率。法醫病理學鑒定中,對懷疑中毒死亡的案件,一定要及時調查取證,合理提取毒物分析檢材,并結合案情、訊問筆錄、現場勘驗、臨床診治資料、毒物分析及法醫病理解剖結果進行綜合分析判斷,以得出正確的鑒定結論。同時建議國家相關部門采取有效措施嚴格限制百草枯的生產使用,并盡快研發高效低毒的新型除草劑來替代百草枯,從源頭上控制此類中毒事件的發生。
百草枯是一種速效除草劑,對人體毒性強[1, 2],中毒死亡率極高,國外文獻報道其中毒死亡率為40%~50%[3],國內文獻報道其死亡率則高達80%以上[4]。百草枯可引起人體肺、腎、肝和腎上腺等多臟器損傷,其中毒的特征性病理改變是肺損傷[5]。既往文獻對急性百草枯中毒致肺泡上皮細胞損傷,肺透明膜形成[6, 7]的報道較多;而對慢性百草枯中毒致肺間質纖維化的尸檢病理報道較少。目前關于百草枯中毒致肺纖維化的損傷機制尚不完全清楚,本文旨在通過對3例急慢性百草枯中毒死亡的法醫病理解剖案例進行臨床病理分析,探討百草枯中毒的特點及致肺間質纖維化的損傷機制,并提出相應的臨床診治及法醫學鑒定注意事項。
1 資料與方法
1.1 一般資料
收集2010年1月-2013年12月四川華西法醫學鑒定中心涉及百草枯中毒死亡的案例3例,其中1例為急性中毒死亡,2例為慢性中毒死亡。急性中毒者為自殺服毒,服毒量較大,慢性中毒者為投毒(少量多次進食含毒食物),3例均為中毒死亡案例。按照法醫病理學要求進行了系統尸體解剖、病理切片制作觀察及毒物分析,臨床、病理資料齊全、可靠。
1.2 方法
根據中毒后存活時間的長短,對百草枯中毒死亡者的臨床表現、尿素及肌酐等生化指標、臨床治療、法醫病理學改變、毒物分析檢驗結果及死亡原因進行對比分析,探討百草枯中毒的特點、損傷機制、臨床救治及法醫學鑒定注意事項。
2 結果
2.1 臨床表現及診療情況
案例 1?患者為女性,28歲,因口服“除草劑”半瓶后1 h入院。主要表現為全身軟弱無力,腸鳴音活躍,臨床生化檢驗報告示:尿素、肌酐、谷氨酰轉肽酶(y-GT)、谷丙轉氨酶(ALT)均明顯增高,入院后予以洗胃、血液透析、輸液等治療,救治無效于入院后第 2天死亡。
案例 2?患者為男性,68歲,因連續食用含有“百草枯”成分的菜品4 d,嘔吐、腹瀉1 d入院。主要表現為嘔吐、腹瀉、氣促,臨床生化檢驗報告示:尿素、肌酐明顯增高,入院后經抗炎、抗感染、祛痰、糾正水電解質、酸堿失衡,無創呼吸機通氣等治療,入院后21 d死亡。
案例 3?患者為女性,62歲,因嘔吐、腹瀉6 d,氣緊、胸悶3 d入院。主要表現為惡心、嘔吐、氣緊、胸悶,臨床生化檢驗報告示:尿素、肌酐增高,入院后經行無創呼吸機支持通氣治療,加強抗感染,祛痰止咳、維持水電解質平衡及保護各臟器功能等治療,于入院后第28天死亡。3例患者百草枯中毒死亡的臨床資料見表 1。

2.2 法醫病理學改變及毒物分析
百草枯中毒死亡的法醫病理學資料見表 2。案例1死者病理學檢驗主要發現:肺淤血,肺水腫,灶性肺氣腫,灶性肺萎縮,肺透明膜形成,肺間質炎細胞浸潤等肺部病變;腎小管上皮細胞濁腫變性,腎上腺皮質壞死;肝細胞濁腫變性、灶性肝細胞壞死;心外膜灶性出血、小灶性脂肪壞死、心肌細胞濁腫變性;食管黏膜充血,漿膜灶性出血及灶性脂肪壞死,胃黏膜淤血,黏膜下層灶性脂肪壞死;腸黏膜淤血,黏膜下層及漿膜層局灶性出血等改變。符合百草枯中毒所致多器官組織損害的病理變化,死者心血毒物分析檢出百草枯。案例2、3死者病理學檢驗主要發現:廣泛肺間質纖維化,多灶性肺透明膜形成(圖 1a),肺透明膜與肺纖維化病變交錯混雜,部分肺透明膜被肺纖維化替代而消減,肺泡Ⅱ型上皮細胞數量減少,立方形肺泡Ⅱ型上皮細胞呈現向梭形成纖維細胞轉化的趨勢,轉化之成纖維細胞部分向肺間質遷移,一些伸入到肺透明膜而使其機化(圖 1b);另還存在灶性肺蜂房變、肺水腫、肺出血、灶性細小支氣管黏膜上皮增生、鱗狀化生等肺部病變,其余器官存在不同程度變性。住院期間抽取靜脈血均未檢出百草枯,但在飲食所用調味品中檢出百草枯。

1a.可見廣泛肺間質纖維化(白箭),多灶性肺透明膜形成(黑箭)(HE×100) 1b.可見肺透明膜與肺纖維化病變交錯混雜(黑箭)(HE×400)

3 討論
3.1 百草枯中毒的特點及損傷機制
百草枯又名對草快,化學名1,1'-二甲基-4,4'-聯吡啶陽離子鹽,化學式為C12H14N2Cl2,是目前農村使用最廣泛的除草劑之一。本品可經呼吸道、皮膚和胃腸道吸收,因無揮發性,一般不易吸入中毒,偶見皮膚長時間接觸所致的中毒,口服是最常見的中毒途徑,常見于自殺、誤服及投毒。人經口中毒致死量為1~2 g,最小致死血濃度為1.2 mg/L[5],吸收較快,隨血流分布到各個臟器,但主要蓄積在肺內,肺組織中百草枯濃度是血漿濃度的10~90倍[8, 9]。本組案例中,百草枯急性中毒死亡者肺損傷病變主要為肺水腫,肺透明膜形成;百草枯慢性中毒死亡者肺損傷主要表現為彌漫性肺間質纖維化。目前關于百草枯中毒所致肺透明膜及肺纖維化形成的機制尚不完全清楚。
百草枯中毒引起的肺透明膜主要見于急性中毒死亡案例,慢性中毒死亡案例亦見有灶性肺透明膜病變,說明肺透明膜形成過程較快,而消退和吸收較慢。目前關于百草枯中毒引起肺損傷致肺透明膜形成的機制,有報道認為系損傷因子在補體系統、嗜中性粒細胞、凝血系統、前列腺素等多種因素作用下,導致肺泡上皮細胞和毛細血管內皮的損傷;在此基礎上,體內大量血管活性物質釋放,使血管壁通透性增大,血管內液體成分滲入,首先引起肺間質水腫,隨著肺泡上皮的損傷,水腫液大量進入肺泡腔[10]。肺泡Ⅱ型上皮的受損和各種因素作用,使肺泡表面活性物質減少而致肺萎陷,從而又加重了肺泡缺血性改變,結果使滲出物進一步增多,富含蛋白的滲出液、纖維蛋白等物質滲出,遂形成透明膜。
以往認為,慢性炎癥是肺纖維化的主要機制[11],但目前臨床上對患者進行抗感染或預防感染治療不能緩解肺纖維化癥狀。另外,本組及其他報道案例證實,肺纖維化患者肺組織病理切片檢驗發現炎癥細胞較少、炎癥反應并不嚴重,所以炎癥反應不足以解釋肺纖維化的形成機制[12]。我們對本組2例慢性百草枯中毒死亡的肺組織鏡下觀察發現,立方形肺泡Ⅱ型上皮細胞呈現向梭形成纖維細胞轉化的趨勢,提示肺泡Ⅱ型上皮細胞可能同時參與了百草枯中毒所致肺透明膜形成和肺纖維化的過程,其機制可能是:病變早期,百草枯對肺組織損傷作用導致肺泡Ⅱ型上皮細胞受損,肺表面活性物質分泌減少,肺泡結構破壞,從而使肺泡缺血性改變加重,纖維蛋白滲出增多,加速了肺透明膜的形成過程。隨著病程進展,肺泡Ⅱ型上皮細胞向間質細胞轉化,失去了細胞極性,細胞與細胞之間連接松散,獲得了間質細胞特有的遷移功能,一部分向肺泡表面遷移、侵入透明膜導致透明膜機化;另一部分向肺間質遷移,侵入肺間質并分泌大量膠原,直接參與肺纖維化形成。提示肺泡Ⅱ型上皮細胞-間質細胞轉化在肺纖維化過程中起著重要作用,符合上皮細胞-間質細胞轉化的研究報道[13-15]。目前尚未見有關百草枯中毒引起肺泡Ⅱ型上皮細胞-間質細胞轉化所致肺纖維化的文獻報道,我們的初步觀察結果尚待進一步研究證實。
3.2 百草枯中毒的臨床診治及法醫學鑒定注意事項
本組急性百草枯中毒患者,其案情和病史清楚,入院后診斷明確,由于患者服毒量較大,多器官組織損害重,雖經積極救治,終因多器官功能衰竭死亡。2例慢性百草枯中毒患者,在多次進食含毒調料的食物幾天后才出現不適癥狀而入院,由于前期的案情及病史不清,臨床表現為嘔吐、腹瀉、氣促、胸悶等癥狀,臨床進行了對癥支持治療。入院9 d在犯罪嫌疑人交代投毒的案情后才考慮百草枯中毒,此時抽取靜脈血進行毒物分析,未檢出百草枯成分。患者經臨床救治無效分別于入院后第22、28天死亡。本組慢性百草枯中毒2例靜脈血未檢出百草枯成分,可能為患者多次少量攝入毒物、病情遷延時間較長、臨床治療后血液稀釋等因素影響而出現的假陰性結果,故不能依此排除百草枯中毒的可能。另外,有報道認為毒物分析檢驗材料除常規取血外,還應注意提取肺等器官組織作為檢驗材料,病程遷延者仍可從其尸檢臟器中檢出百草枯[5]。
本組案例提示,臨床上對于病史不清,出現消化系統、呼吸系統癥狀表現,特別是多人具有相似癥狀患者,應警惕毒物中毒可能,應注意毒物中毒與消化系統、呼吸系統疾病的鑒別診斷,應詳細詢問病史,了解案情,以助于臨床的診斷和治療。2例慢性百草枯中毒死亡患者經全身系統法醫病理解剖檢驗,排除了機械性損傷、機械性窒息和致死性疾病,主要發現雙肺廣泛彌漫性間質纖維化、肺透明膜形成等百草枯中毒的特征性病變。結合案情、犯罪嫌疑人訊問筆錄、臨床診治病歷、死者生前所食用調料中檢出百草枯等材料綜合分析,證實死者的死因符合百草枯中毒所致肺纖維化呼吸衰竭死亡。
綜上所述,臨床診治過程中應加深對百草枯中毒的臨床表現及損傷機制的認識,對中毒患者進行早期診斷和救治,以提高患者生存率。法醫病理學鑒定中,對懷疑中毒死亡的案件,一定要及時調查取證,合理提取毒物分析檢材,并結合案情、訊問筆錄、現場勘驗、臨床診治資料、毒物分析及法醫病理解剖結果進行綜合分析判斷,以得出正確的鑒定結論。同時建議國家相關部門采取有效措施嚴格限制百草枯的生產使用,并盡快研發高效低毒的新型除草劑來替代百草枯,從源頭上控制此類中毒事件的發生。