引用本文: 杜嬌, 李曉麗, 趙尊, 王冬冬, 但漢東, 史平玲, 黃子旭, 王蘇涵, 袁瓊瓊, 宋宗明. 玻璃體切割手術治療不同類型脈絡膜視網膜缺損合并視網膜脫離的療效觀察. 中華眼底病雜志, 2023, 39(12): 969-973. doi: 10.3760/cma.j.cn511434-20231012-00417 復制
脈絡膜視網膜缺損是由于胚胎裂隙閉合不全而導致的先天性缺陷。組織病理學上表現為缺損區缺乏視網膜色素上皮(RPE)、Brunch膜以及脈絡膜,神經視網膜作為一種間質膜(ICM)存在[1]。脈絡膜視網膜缺損可以單獨存在也可以合并虹膜缺損、晶狀體缺損、白內障、視盤異常等其他眼部畸形。由于缺損處視網膜變性萎縮,發育不全易發生視網膜裂孔。文獻報道,脈絡膜缺損患眼發生孔源性視網膜脫離(RD)的風險為2.4%~42.0%[2]。玻璃體切割手術(PPV)中廣角觀察系統可以精確識別裂孔,手術中沿裂孔邊緣給予激光光凝以及可提供長期內填塞促進沿缺損邊界形成牢固粘連,具有相對較好的視網膜解剖復位率。但由于合并RD手術的復雜性,且手術后復發率較高,國內相關研究報道尚少。我們對一組脈絡膜視網膜缺損合并RD患者行PPV聯合硅油填充治療,初步分析不同脈絡膜缺損類型對治療預后的影響。現將結果報道如下。
1 對象和方法
單中心、回顧性臨床研究。本研究經河南省立眼科醫院倫理委員會審批[批準號:HNEEC-2023(53)];遵循《赫爾辛基宣言》原則;所有患者均獲知情并簽署書面知情同意書。
2021年4月至2023年3月于河南省立眼科醫院檢查確診的脈絡膜視網膜缺損合并RD患者23例24只眼納入本研究。納入標準:眼底、頻域光相干斷層掃描(SD-OCT)檢查確診脈絡膜視網膜缺損合并RD(圖1,2)。排除標準:(1)既往有眼部外傷史;(2)既往曾行PPV治療;(3)合并老年性黃斑變性、葡萄膜炎等其他眼底疾病;(4)病例資料不全者。
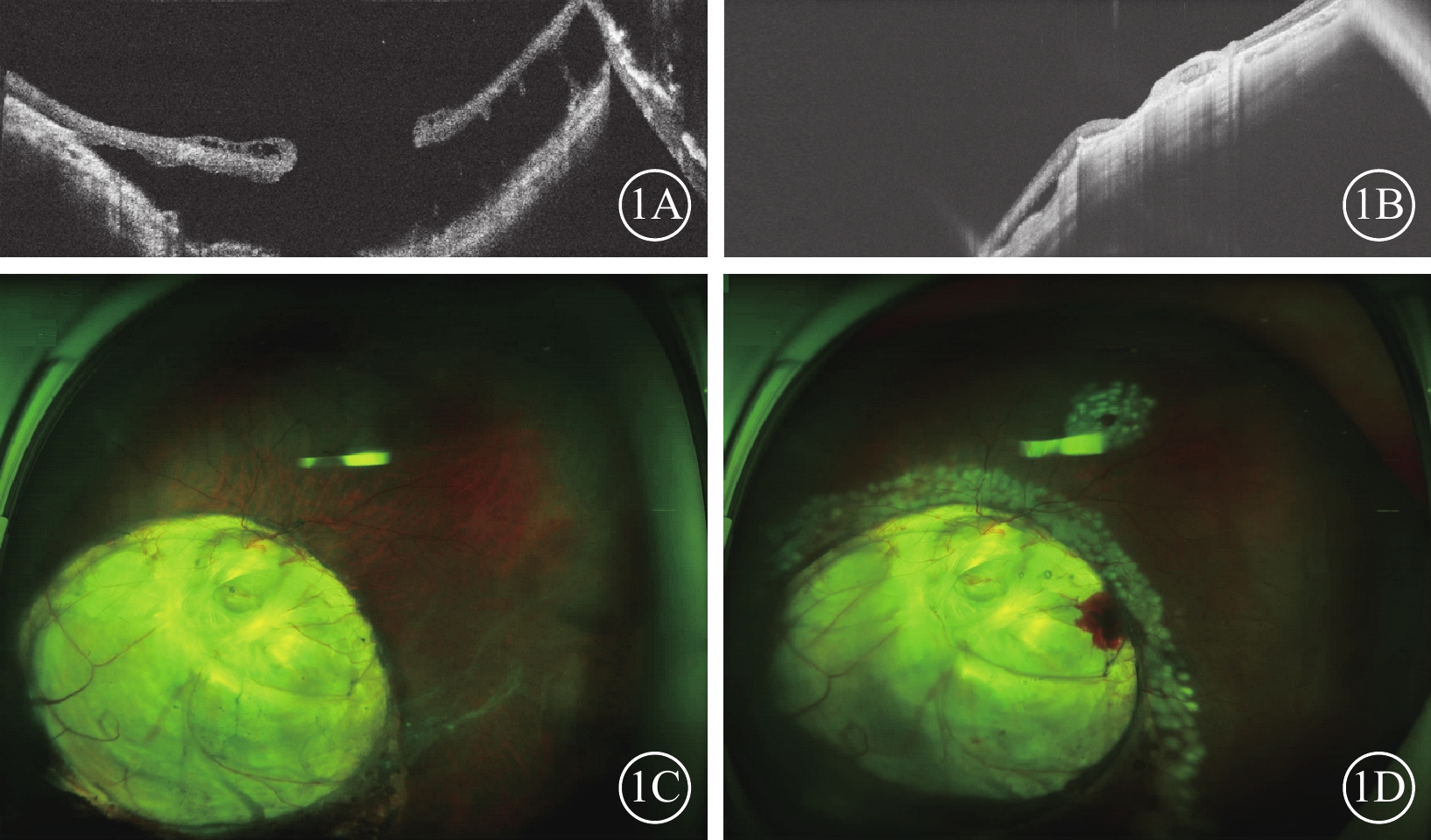
圖1
2型脈絡膜視網膜缺損合并視網膜脫離患眼手術前后OCT、UWF像
1A示手術前OCT像,視網膜脫離,黃斑處可見裂孔;1B示手術后OCT像,視網膜解剖復位,黃斑裂孔閉合。1C示手術前UWF像,下方脈絡膜缺損累及視盤上緣、黃斑,缺損區域鼻側及下方視網膜脫離;1D示手術后UWF像,視網膜平伏,裂孔以及缺損邊緣可見激光光斑環繞 OCT:光相干斷層掃描;UWF:超廣角眼底成像
圖2
3型脈絡膜視網膜缺損合并視網膜脫離患眼手術前后OCT、UWF像
2A示手術前OCT像,神經上皮脫離,累及中心凹;2B示手術后OCT像,視網膜復位良好。2C示手術前UWF像,視盤邊界清楚,脈絡膜缺損區累及視盤下緣,8點至3點時鐘位視網膜灰白色隆起,累及脈絡膜缺損區,缺損區內可見視網膜大裂孔;2D示手術后UWF像,視網膜平伏,裂孔以及缺損邊緣可見激光光斑環繞 OCT:光相干斷層掃描;UWF:超廣角眼底成像
患眼均行最佳矯正視力(BCVA)、眼壓、裂隙燈顯微鏡、間接檢眼鏡、B型超聲、SD-OCT、超廣角眼底成像(UWF)檢查以及眼軸長度(AL)測量。BCVA檢查采用國際標準對數視力表進行,統計時換算為最小分辨角對數(logMAR)視力。手動、數指分別轉化為0.005、0.014[3]。UWF檢查采用英國Optos公司Daytona P200T激光掃描檢眼鏡進行。SD-OCT檢查采用德國Herdelberg公司SD-OCT儀進行。脈絡膜視網膜缺損類型參照文獻[4]的標準分為7型。1型:缺損超過視盤;2型:缺損延伸至視盤上緣(圖1C);3型:缺損延伸至視盤下緣(圖2C);4型:缺損局限于視盤部位;5型:缺損位于視盤下方,缺損區上下視網膜正常;6型:外周視網膜有色素沉著;7型:缺損位于外周視網膜。根據脈絡膜缺損類型,將1、2、4型定義為累及視盤組,3、5~7型定義為未累及視盤組,分別為15、9只眼。根據RD是否累及缺損區,將患眼分為RD累及缺損區組、RD未累及缺損區組,分別為15、9只眼。
23例24只眼中,男性11例12只眼(47.8%,11/23),女性12例12只眼(52.2%,12/23);年齡(33.3±13.7)(6~55)歲。患眼logMAR BCVA 1.77±0.12;眼壓(14.2±4.5)mm Hg(1 mm Hg=0.133 kPa);AL(27.2±3.1)mm。無晶狀體、人工晶狀體(IOL)、有晶狀體眼分別為1、3、20只眼。既往曾行鞏膜外環扎手術1只眼。增生性玻璃體視網膜病變(PVR)A、B、C級分別有8、12、4只眼;脈絡膜視網膜缺損1~5、7型分別為3、11、3、1、5、1只眼。裂孔位于周邊部8只眼(33.3%,8/24);裂孔位于缺損區11只眼(45.8%,11/24);缺損區和周邊部均存在裂孔4只眼(16.7%,4/24);未查見裂孔1只眼。虹膜缺損5只眼,其中伴晶狀體下方邊緣缺損1只眼;眼球震顫7只眼,其中伴內斜視、虹膜缺損1只眼,虹膜缺損1只眼,內斜視1只眼,小角膜1只眼,小角膜、虹膜缺損3只眼;小角膜6只眼,其中伴虹膜缺損、視神經缺損1只眼,虹膜缺損1只眼,脈絡膜脫離1只眼;外斜視、虹膜缺損1只眼。
患眼均行標準經睫狀體平坦部三通道25G PPV。手術由多名經驗豐富的眼底外科醫生完成。根據手術中情況,聯合或不聯合白內障超聲乳化IOL植入。手術中除常規操作外,曲安奈德輔助清除玻璃體后皮質膜,若存在增生膜予以剝除,其后鞏膜外頂壓切除周邊部玻璃體。氣液交換后,通過已有裂孔或引流性視網膜切開手術內引流視網膜下液體,激光光凝缺損邊緣以及裂孔周圍。若未找到裂孔,則在可疑區域行激光光凝。手術完畢時眼內填充4.5~10.0 ml硅油。硅油取出擇期標準為視網膜復位良好、硅油乳化或藥物難以控制的高眼壓。聯合白內障超聲乳化IOL植入4只眼;手術中剝除增生膜4只眼;未探及裂孔1只眼。
手術后隨訪時間(19.5±16.3)(3.1~54.6)個月。采用手術前相同設備和方法行相關檢查。以末次隨訪為療效判定的時間點。觀察視網膜復位、BCVA恢復情況以及手術后并發癥發生情況。視網膜解剖學復位定義為末次隨訪時無論是否使用硅油,視網膜完全附著。高眼壓定義為隨訪期間任意時間測量眼壓>21 mm Hg。BCVA提高2行及以上為視力提高;視力變化在1行范圍內為視力穩定;視力下降2行及以上為視力下降。
采用SPSS25.0軟件進行統計學分析。定量資料以均數±標準差(x±s)表示,組間比較采用配對t檢驗或t檢驗;定性資料以頻數表示,組間比較采用Fisher確切檢驗。P<0.05為差異有統計學意義。
2 結果
末次隨訪時,與手術前比較,視力提高17只眼(70.8%,17/24);視力下降5只眼(20.8%,5/24);視力穩定2只眼(8.3%,2/24)。視網膜解剖復位20只眼(83.3%,20/24);未復位4只眼(16.75%,4/24)。缺損外新發裂孔2只眼;PVR 2只眼。
累及視盤組15只眼中,視網膜解剖復位13只眼(86.7%,13/15);不累及視盤組9只眼中,視網膜解剖復位7只眼(77.8%,7/9)。兩組患眼間視網膜復位率比較,差異無統計學意義(P=0.615)。
累及視盤組患眼手術前后logMAR BCVA分別為1.85±0.62、1.71±0.71,差異無統計學意義(t=0.845,P=0.412);未累及視盤組患眼手術前后logMAR BCVA分別為1.75±0.45、0.84±0.26,差異有統計學意義(t=6.153,P<0.001)。兩組患眼間手術后BCVA的提高程度比較,差異有統計學意義(t=3.024,P=0.006)。
RD累及缺損區組15只眼中,視網膜解剖復位11只眼(73.3%,11/15);RD未累及缺損區組9只眼中,視網膜解剖復位9只眼(100.0%,9/9)。兩組患眼間視網膜復位率比較,差異無統計學意義(P=0.259)。
24只眼中,硅油取出19只眼,硅油填充時間為(18.8±5.4)(4.4~72.0)個月;硅油未取出5只眼,其中視網膜未能復位2只眼(視力預后不佳),依從性不佳、失訪1只眼,硅油填充時間<3個月尚未取硅油2只眼。
手術后出現高眼壓5只眼(20.8%,5/24),其中手術后1周內出現眼壓升高4只眼,手術后3個月出現眼壓升高1只眼;聯合抗青光眼藥物以及適時取出硅油后,眼壓均恢復正常。硅油取出19只眼中,視網膜再次脫離2只眼(2/19,10.5%);隨訪期間白內障進展10只眼(62.5%,10/16),再次行白內障超聲乳化IOL植入手術;大皰性角膜病變1只眼;角膜帶狀變性1只眼。
3 討論
目前治療脈絡膜視網膜缺損合并RD的方法主要有鞏膜扣帶手術、充氣視網膜固定手術聯合視網膜激光光凝、PPV等。鞏膜扣帶手術后視網膜解剖復位率為35%~57%[5]。由于缺乏脈絡膜和RPE,隱藏在ICM中的裂孔很難識別,也無法通過冷凍或激光光凝在缺損周圍形成足夠的脈絡膜-視網膜粘連,使得此手術干預具有挑戰性。Jesberg和Schepens[6]認為存在脈絡膜視網膜缺損的患眼不適合采用鞏膜扣帶手術。多數關于鞏膜扣帶手術應用于此病的研究多集中在20世紀90年代,如今采用此手術的趨勢有所下降。但在明確裂孔位于周邊部時,鞏膜扣帶手術仍可作為首選方法[5]。有文獻報道,充氣視網膜固定手術聯合視網膜激光光凝,使脈絡膜視網膜缺損合并RD患者的視網膜成功復位,并獲得了良好預后[7]。但這項技術只適用于特殊患眼和依從性極好的患者。PPV聯合硅油填充在最近的研究中,逐漸成為此類疾病的首選治療方法。雖然多數患眼需多次手術,但最終視網膜復位率為81.8%~92.3%[5, 8-11]。本組患眼手術后1個月內視網膜解剖復位率為100.0%,末次隨訪時視網膜解剖復位率為83.3%,與既往研究結果相似。本研究視網膜未能復位4只眼,復發原因為PVR引起的2只眼,缺損外新發裂孔2只眼。PVR的發生可能與脫離的慢性化有關;新發裂孔可能是缺損眼中同時存在不正常的玻璃體-視網膜界面,而不一定局限于缺損區及其邊緣導致。
當RD累及缺損區時,由于ICM區缺少RPE的“泵功能”,視網膜下積液吸收較慢,若缺損面積較小,激光光凝封閉良好,依然可以酌情取出硅油;若缺損面積較大,可以適當延長硅油填充時間。本研究中RD累及缺損區組視網膜復位率與RD未累及缺損區組比較,差異無統計學意義。良好的視網膜解剖復位率表明,盡管存在先天異常,PPV聯合硅油填充治療脈絡膜視網膜缺損合并RD依舊為有效治療方法。
Gopal等[12]研究表明,脈絡膜缺損邊緣是ICM下間隙和視網膜下間隙交通的重要部位。通過激光光凝缺損邊緣,形成脈絡膜-視網膜的緊密連接,可預防脈絡膜缺損區RD范圍進一步延伸。本研究所有患眼PPV時缺損區及裂孔周圍均給予激光光凝。當中心凹位于缺損區內或緊靠缺損區邊緣時,行保留中心凹的激光光凝治療。Hussain等[2]建議,若黃斑在缺損區范圍內,光凝斑乳束時,存在神經纖維層的損傷而導致視力喪失的風險,因此保留黃斑的光凝是首選。除光凝缺損區以及裂孔周圍,有研究者采用360°激光光凝,結果提示,發生再脫離患眼中,很少有患眼在周邊形成新的裂孔或現有裂孔重新開放。但因未行對照研究,具體效果仍需進一步探索[13]。視網膜激光光凝不僅可以治療脈絡膜視網膜缺損合并RD,也可以用于脈絡膜視網膜缺損未發生RD的患眼從而降低RD發生風險。Uhumwangho和Jalali[14]在一項探討激光光凝預防兒童脈絡膜視網膜缺損合并RD的有效性回顧性研究中(198例335只眼),發現接受預防性激光光凝的患眼中,RD的發生率約為3%,而未接受治療的患眼中,RD的發生風險約為24%。預防性激光治療似乎具有保護作用,可以降低兒童脈絡膜視網膜缺損患眼發生RD的風險。
對于脈絡膜視網膜缺損合并RD的治療,本研究將手術成功定義為末次隨訪時無論是否使用硅油,視網膜完全附著。研究結果顯示,缺損累及視盤與否,組間視網膜解剖復位率無統計學差異。但成功的視網膜解剖復位并不等同于視力的改善。本研究中,累及視盤組患眼手術前后BCVA比較,差異無統計學意義;未累及視盤組患眼手術后BCVA較手術前明顯提高,差異有統計學意義。兩組患眼間手術后BCVA的提高程度比較,差異有統計學意義。就功能預后而言,缺損是否累及視盤或黃斑可能是一個重要的影響因素,當脈絡膜缺損為累及視盤類型時,手術后雖然可使視網膜解剖學復位但視力往往不能獲得有效改善,缺損的類型可能為預后的一個重要指標。
脈絡膜視網膜缺損合并RD手術后最常見并發癥為高眼壓。有研究報道,繼發性眼壓升高的發生率為11.9%~48.0%[10]。本組患眼手術后5只眼(20.8%,5/24)發生高眼壓。由于缺損眼合并小角膜或小眼球的比例較高,患眼因前房深度較淺、晶狀體虹膜隔前移等解剖結構的因素而易患青光眼;早期眼壓升高可能是因為手術后的炎癥反應造成小梁網功能一過性減退;后期眼壓升高可能是硅油的乳化,取出硅油后,眼壓也可恢復正常。硅油乳化是眼壓升高的重要危險因素。因此,對于存在硅油乳化的患眼,建議手術后6~8周取出[15]。
本研究結果顯示,PPV治療脈絡膜視網膜缺損合并RD具有良好的解剖效果,手術后視力可獲得一定程度改善。缺損未累及視盤組患眼手術后視力提高比缺損累及視盤組更佳。手術后存在高眼壓癥、白內障進展以及復發性視網膜脫離等并發癥。所以盡早治療以及定時隨訪至關重要。
本研究存在的局限性:(1)因脈絡膜視網膜缺損臨床發病率較低,納入研究的樣本量較少;(2)回顧性研究,缺乏隨機對照觀察。其結論需大樣本、多中心、隨機對照臨床試驗結果加以驗證。
脈絡膜視網膜缺損是由于胚胎裂隙閉合不全而導致的先天性缺陷。組織病理學上表現為缺損區缺乏視網膜色素上皮(RPE)、Brunch膜以及脈絡膜,神經視網膜作為一種間質膜(ICM)存在[1]。脈絡膜視網膜缺損可以單獨存在也可以合并虹膜缺損、晶狀體缺損、白內障、視盤異常等其他眼部畸形。由于缺損處視網膜變性萎縮,發育不全易發生視網膜裂孔。文獻報道,脈絡膜缺損患眼發生孔源性視網膜脫離(RD)的風險為2.4%~42.0%[2]。玻璃體切割手術(PPV)中廣角觀察系統可以精確識別裂孔,手術中沿裂孔邊緣給予激光光凝以及可提供長期內填塞促進沿缺損邊界形成牢固粘連,具有相對較好的視網膜解剖復位率。但由于合并RD手術的復雜性,且手術后復發率較高,國內相關研究報道尚少。我們對一組脈絡膜視網膜缺損合并RD患者行PPV聯合硅油填充治療,初步分析不同脈絡膜缺損類型對治療預后的影響。現將結果報道如下。
1 對象和方法
單中心、回顧性臨床研究。本研究經河南省立眼科醫院倫理委員會審批[批準號:HNEEC-2023(53)];遵循《赫爾辛基宣言》原則;所有患者均獲知情并簽署書面知情同意書。
2021年4月至2023年3月于河南省立眼科醫院檢查確診的脈絡膜視網膜缺損合并RD患者23例24只眼納入本研究。納入標準:眼底、頻域光相干斷層掃描(SD-OCT)檢查確診脈絡膜視網膜缺損合并RD(圖1,2)。排除標準:(1)既往有眼部外傷史;(2)既往曾行PPV治療;(3)合并老年性黃斑變性、葡萄膜炎等其他眼底疾病;(4)病例資料不全者。
圖1
2型脈絡膜視網膜缺損合并視網膜脫離患眼手術前后OCT、UWF像
1A示手術前OCT像,視網膜脫離,黃斑處可見裂孔;1B示手術后OCT像,視網膜解剖復位,黃斑裂孔閉合。1C示手術前UWF像,下方脈絡膜缺損累及視盤上緣、黃斑,缺損區域鼻側及下方視網膜脫離;1D示手術后UWF像,視網膜平伏,裂孔以及缺損邊緣可見激光光斑環繞 OCT:光相干斷層掃描;UWF:超廣角眼底成像
圖2
3型脈絡膜視網膜缺損合并視網膜脫離患眼手術前后OCT、UWF像
2A示手術前OCT像,神經上皮脫離,累及中心凹;2B示手術后OCT像,視網膜復位良好。2C示手術前UWF像,視盤邊界清楚,脈絡膜缺損區累及視盤下緣,8點至3點時鐘位視網膜灰白色隆起,累及脈絡膜缺損區,缺損區內可見視網膜大裂孔;2D示手術后UWF像,視網膜平伏,裂孔以及缺損邊緣可見激光光斑環繞 OCT:光相干斷層掃描;UWF:超廣角眼底成像
患眼均行最佳矯正視力(BCVA)、眼壓、裂隙燈顯微鏡、間接檢眼鏡、B型超聲、SD-OCT、超廣角眼底成像(UWF)檢查以及眼軸長度(AL)測量。BCVA檢查采用國際標準對數視力表進行,統計時換算為最小分辨角對數(logMAR)視力。手動、數指分別轉化為0.005、0.014[3]。UWF檢查采用英國Optos公司Daytona P200T激光掃描檢眼鏡進行。SD-OCT檢查采用德國Herdelberg公司SD-OCT儀進行。脈絡膜視網膜缺損類型參照文獻[4]的標準分為7型。1型:缺損超過視盤;2型:缺損延伸至視盤上緣(圖1C);3型:缺損延伸至視盤下緣(圖2C);4型:缺損局限于視盤部位;5型:缺損位于視盤下方,缺損區上下視網膜正常;6型:外周視網膜有色素沉著;7型:缺損位于外周視網膜。根據脈絡膜缺損類型,將1、2、4型定義為累及視盤組,3、5~7型定義為未累及視盤組,分別為15、9只眼。根據RD是否累及缺損區,將患眼分為RD累及缺損區組、RD未累及缺損區組,分別為15、9只眼。
23例24只眼中,男性11例12只眼(47.8%,11/23),女性12例12只眼(52.2%,12/23);年齡(33.3±13.7)(6~55)歲。患眼logMAR BCVA 1.77±0.12;眼壓(14.2±4.5)mm Hg(1 mm Hg=0.133 kPa);AL(27.2±3.1)mm。無晶狀體、人工晶狀體(IOL)、有晶狀體眼分別為1、3、20只眼。既往曾行鞏膜外環扎手術1只眼。增生性玻璃體視網膜病變(PVR)A、B、C級分別有8、12、4只眼;脈絡膜視網膜缺損1~5、7型分別為3、11、3、1、5、1只眼。裂孔位于周邊部8只眼(33.3%,8/24);裂孔位于缺損區11只眼(45.8%,11/24);缺損區和周邊部均存在裂孔4只眼(16.7%,4/24);未查見裂孔1只眼。虹膜缺損5只眼,其中伴晶狀體下方邊緣缺損1只眼;眼球震顫7只眼,其中伴內斜視、虹膜缺損1只眼,虹膜缺損1只眼,內斜視1只眼,小角膜1只眼,小角膜、虹膜缺損3只眼;小角膜6只眼,其中伴虹膜缺損、視神經缺損1只眼,虹膜缺損1只眼,脈絡膜脫離1只眼;外斜視、虹膜缺損1只眼。
患眼均行標準經睫狀體平坦部三通道25G PPV。手術由多名經驗豐富的眼底外科醫生完成。根據手術中情況,聯合或不聯合白內障超聲乳化IOL植入。手術中除常規操作外,曲安奈德輔助清除玻璃體后皮質膜,若存在增生膜予以剝除,其后鞏膜外頂壓切除周邊部玻璃體。氣液交換后,通過已有裂孔或引流性視網膜切開手術內引流視網膜下液體,激光光凝缺損邊緣以及裂孔周圍。若未找到裂孔,則在可疑區域行激光光凝。手術完畢時眼內填充4.5~10.0 ml硅油。硅油取出擇期標準為視網膜復位良好、硅油乳化或藥物難以控制的高眼壓。聯合白內障超聲乳化IOL植入4只眼;手術中剝除增生膜4只眼;未探及裂孔1只眼。
手術后隨訪時間(19.5±16.3)(3.1~54.6)個月。采用手術前相同設備和方法行相關檢查。以末次隨訪為療效判定的時間點。觀察視網膜復位、BCVA恢復情況以及手術后并發癥發生情況。視網膜解剖學復位定義為末次隨訪時無論是否使用硅油,視網膜完全附著。高眼壓定義為隨訪期間任意時間測量眼壓>21 mm Hg。BCVA提高2行及以上為視力提高;視力變化在1行范圍內為視力穩定;視力下降2行及以上為視力下降。
采用SPSS25.0軟件進行統計學分析。定量資料以均數±標準差(x±s)表示,組間比較采用配對t檢驗或t檢驗;定性資料以頻數表示,組間比較采用Fisher確切檢驗。P<0.05為差異有統計學意義。
2 結果
末次隨訪時,與手術前比較,視力提高17只眼(70.8%,17/24);視力下降5只眼(20.8%,5/24);視力穩定2只眼(8.3%,2/24)。視網膜解剖復位20只眼(83.3%,20/24);未復位4只眼(16.75%,4/24)。缺損外新發裂孔2只眼;PVR 2只眼。
累及視盤組15只眼中,視網膜解剖復位13只眼(86.7%,13/15);不累及視盤組9只眼中,視網膜解剖復位7只眼(77.8%,7/9)。兩組患眼間視網膜復位率比較,差異無統計學意義(P=0.615)。
累及視盤組患眼手術前后logMAR BCVA分別為1.85±0.62、1.71±0.71,差異無統計學意義(t=0.845,P=0.412);未累及視盤組患眼手術前后logMAR BCVA分別為1.75±0.45、0.84±0.26,差異有統計學意義(t=6.153,P<0.001)。兩組患眼間手術后BCVA的提高程度比較,差異有統計學意義(t=3.024,P=0.006)。
RD累及缺損區組15只眼中,視網膜解剖復位11只眼(73.3%,11/15);RD未累及缺損區組9只眼中,視網膜解剖復位9只眼(100.0%,9/9)。兩組患眼間視網膜復位率比較,差異無統計學意義(P=0.259)。
24只眼中,硅油取出19只眼,硅油填充時間為(18.8±5.4)(4.4~72.0)個月;硅油未取出5只眼,其中視網膜未能復位2只眼(視力預后不佳),依從性不佳、失訪1只眼,硅油填充時間<3個月尚未取硅油2只眼。
手術后出現高眼壓5只眼(20.8%,5/24),其中手術后1周內出現眼壓升高4只眼,手術后3個月出現眼壓升高1只眼;聯合抗青光眼藥物以及適時取出硅油后,眼壓均恢復正常。硅油取出19只眼中,視網膜再次脫離2只眼(2/19,10.5%);隨訪期間白內障進展10只眼(62.5%,10/16),再次行白內障超聲乳化IOL植入手術;大皰性角膜病變1只眼;角膜帶狀變性1只眼。
3 討論
目前治療脈絡膜視網膜缺損合并RD的方法主要有鞏膜扣帶手術、充氣視網膜固定手術聯合視網膜激光光凝、PPV等。鞏膜扣帶手術后視網膜解剖復位率為35%~57%[5]。由于缺乏脈絡膜和RPE,隱藏在ICM中的裂孔很難識別,也無法通過冷凍或激光光凝在缺損周圍形成足夠的脈絡膜-視網膜粘連,使得此手術干預具有挑戰性。Jesberg和Schepens[6]認為存在脈絡膜視網膜缺損的患眼不適合采用鞏膜扣帶手術。多數關于鞏膜扣帶手術應用于此病的研究多集中在20世紀90年代,如今采用此手術的趨勢有所下降。但在明確裂孔位于周邊部時,鞏膜扣帶手術仍可作為首選方法[5]。有文獻報道,充氣視網膜固定手術聯合視網膜激光光凝,使脈絡膜視網膜缺損合并RD患者的視網膜成功復位,并獲得了良好預后[7]。但這項技術只適用于特殊患眼和依從性極好的患者。PPV聯合硅油填充在最近的研究中,逐漸成為此類疾病的首選治療方法。雖然多數患眼需多次手術,但最終視網膜復位率為81.8%~92.3%[5, 8-11]。本組患眼手術后1個月內視網膜解剖復位率為100.0%,末次隨訪時視網膜解剖復位率為83.3%,與既往研究結果相似。本研究視網膜未能復位4只眼,復發原因為PVR引起的2只眼,缺損外新發裂孔2只眼。PVR的發生可能與脫離的慢性化有關;新發裂孔可能是缺損眼中同時存在不正常的玻璃體-視網膜界面,而不一定局限于缺損區及其邊緣導致。
當RD累及缺損區時,由于ICM區缺少RPE的“泵功能”,視網膜下積液吸收較慢,若缺損面積較小,激光光凝封閉良好,依然可以酌情取出硅油;若缺損面積較大,可以適當延長硅油填充時間。本研究中RD累及缺損區組視網膜復位率與RD未累及缺損區組比較,差異無統計學意義。良好的視網膜解剖復位率表明,盡管存在先天異常,PPV聯合硅油填充治療脈絡膜視網膜缺損合并RD依舊為有效治療方法。
Gopal等[12]研究表明,脈絡膜缺損邊緣是ICM下間隙和視網膜下間隙交通的重要部位。通過激光光凝缺損邊緣,形成脈絡膜-視網膜的緊密連接,可預防脈絡膜缺損區RD范圍進一步延伸。本研究所有患眼PPV時缺損區及裂孔周圍均給予激光光凝。當中心凹位于缺損區內或緊靠缺損區邊緣時,行保留中心凹的激光光凝治療。Hussain等[2]建議,若黃斑在缺損區范圍內,光凝斑乳束時,存在神經纖維層的損傷而導致視力喪失的風險,因此保留黃斑的光凝是首選。除光凝缺損區以及裂孔周圍,有研究者采用360°激光光凝,結果提示,發生再脫離患眼中,很少有患眼在周邊形成新的裂孔或現有裂孔重新開放。但因未行對照研究,具體效果仍需進一步探索[13]。視網膜激光光凝不僅可以治療脈絡膜視網膜缺損合并RD,也可以用于脈絡膜視網膜缺損未發生RD的患眼從而降低RD發生風險。Uhumwangho和Jalali[14]在一項探討激光光凝預防兒童脈絡膜視網膜缺損合并RD的有效性回顧性研究中(198例335只眼),發現接受預防性激光光凝的患眼中,RD的發生率約為3%,而未接受治療的患眼中,RD的發生風險約為24%。預防性激光治療似乎具有保護作用,可以降低兒童脈絡膜視網膜缺損患眼發生RD的風險。
對于脈絡膜視網膜缺損合并RD的治療,本研究將手術成功定義為末次隨訪時無論是否使用硅油,視網膜完全附著。研究結果顯示,缺損累及視盤與否,組間視網膜解剖復位率無統計學差異。但成功的視網膜解剖復位并不等同于視力的改善。本研究中,累及視盤組患眼手術前后BCVA比較,差異無統計學意義;未累及視盤組患眼手術后BCVA較手術前明顯提高,差異有統計學意義。兩組患眼間手術后BCVA的提高程度比較,差異有統計學意義。就功能預后而言,缺損是否累及視盤或黃斑可能是一個重要的影響因素,當脈絡膜缺損為累及視盤類型時,手術后雖然可使視網膜解剖學復位但視力往往不能獲得有效改善,缺損的類型可能為預后的一個重要指標。
脈絡膜視網膜缺損合并RD手術后最常見并發癥為高眼壓。有研究報道,繼發性眼壓升高的發生率為11.9%~48.0%[10]。本組患眼手術后5只眼(20.8%,5/24)發生高眼壓。由于缺損眼合并小角膜或小眼球的比例較高,患眼因前房深度較淺、晶狀體虹膜隔前移等解剖結構的因素而易患青光眼;早期眼壓升高可能是因為手術后的炎癥反應造成小梁網功能一過性減退;后期眼壓升高可能是硅油的乳化,取出硅油后,眼壓也可恢復正常。硅油乳化是眼壓升高的重要危險因素。因此,對于存在硅油乳化的患眼,建議手術后6~8周取出[15]。
本研究結果顯示,PPV治療脈絡膜視網膜缺損合并RD具有良好的解剖效果,手術后視力可獲得一定程度改善。缺損未累及視盤組患眼手術后視力提高比缺損累及視盤組更佳。手術后存在高眼壓癥、白內障進展以及復發性視網膜脫離等并發癥。所以盡早治療以及定時隨訪至關重要。
本研究存在的局限性:(1)因脈絡膜視網膜缺損臨床發病率較低,納入研究的樣本量較少;(2)回顧性研究,缺乏隨機對照觀察。其結論需大樣本、多中心、隨機對照臨床試驗結果加以驗證。

