引用本文: 彭春霞, 余繼鋒, 任曉暾, 劉麗麗, 崔燕輝, 施維, 李莉. 56例中國嬰幼兒型神經節苷脂沉積癥患兒眼部與神經系統表現相關性分析. 中華眼底病雜志, 2021, 37(5): 352-358. doi: 10.3760/cma.j.cn511434-20210331-00164 復制
神經節苷脂沉積癥是累及神經系統的常染色體隱性遺傳代謝性疾病,屬于罕見的溶酶體貯積癥一類。根據突變的基因及造成酶活性下降的種類不同,分為GM1型、GM2型以及極為罕見的GM3型;根據發病月齡不同分為嬰幼兒型和遲發嬰幼兒型。主要臨床表現為神經運動發育倒退或遲緩(PMR)、眼部不追視和眼底黃斑部“櫻桃紅斑”(CS)[1-4]。由于此類疾病發病較早,缺乏特異性體征,臨床上診斷困難。患兒往往因為不追視就診于眼科,發現眼底CS而被確診。但目前眼科領域對此病關注較少。另外,由于神經節苷脂沉積癥發病率極低,難以進行大樣本流行病學研究[3-8]。本研究納入我院確診的嬰幼兒型神經節苷脂沉積癥3例以及文獻檢索到中國人群發病53例共56例患兒,分析其發病的人口學特征以及眼部與神經系統表現的相關性以協助診斷。現將結果報道如下。
1 對象和方法
本研究納入2018年11月至2021年1月在首都醫科大學附屬北京兒童醫院眼科及神經內科經基因檢查確診的嬰幼兒型神經節脂沉積癥患兒3例;患兒監護人均獲知情并簽署書面知情同意書。以“神經節苷脂沉積癥”、“櫻桃紅斑”及“中國人”為檢索詞,在中國知網、萬方科技期刊全文數據庫、美國國立醫學圖書館PubMed進行檢索。檢索時間為建庫至2021年2月。
納入標準為符合神經節苷脂沉積癥診斷標準[9-10]:臨床表現PMR且具備下列一項,發現相關致病基因、相關酶酶活性下降及腦組織電鏡病理檢查發現神經元和軸突內沉積膜性胞漿體和斑馬體。共檢索出相關文獻37篇,其中有詳細病情報道文獻22篇53例,有眼部癥狀報道47例,共計納入56例。對納入患兒的發病人口學特征以及眼部、神經系統、皮膚、骨骼等其他系統表現進行研究分析。
分析評估指標:眼部表現包括追視、眼球震顫及眼底CS有無;神經系統包括“驚跳”現象、抽搐發作、PMR、顱腦核磁共振成像(MRI)異常表現;其他系統包括:特殊粗陋面容(頭大、前額突出、鞍鼻、眼間距寬)、皮膚蒙古斑、肝脾腫大及骨骼異常(X線片檢查手呈“子彈頭”樣改變、脊柱后突)[3]。有以上異常表現記錄為陽性,反之記錄為陰性;病例或文獻中未記錄為零(不參與發生率計算)。
行眼底檢查的47例患兒,根據眼底檢查有無CS表現分為有眼底CS組(A組)、無眼底CS組(B組),分別為20、27例。對比分析兩組患兒發病年齡、性別、不同分型及神經系統表現的差異。
采用SPSS.19.0軟件進行統計分析。年齡均數采用M(QR)表示,組間比較采用非參數秩和檢驗;組間性別、發病類型及發生率比較采用χ2檢驗,n<5時采用Fisher精確檢驗)。P<0.05為差異有統計學意義。
2 結果
例1 患兒女,22個月。因雙眼不能追視就診。足月出生。出生后8個月出現發育倒退,聲音刺激易“驚跳”;否認家族遺傳病史。眼部檢查:雙眼不能追視;眼球運動正常;瞳孔對光反射存在;其余眼前節檢查未見異常。雙眼視盤顏色淡紅、邊界清楚,杯盤比(C/D)約0.3;視網膜在位,血管走行自然,動靜脈直徑比2:3,黃斑部呈CS(圖1)。神經系統檢查:不能豎頭、不獨坐、無自主語言;肌張力增高,膝腱反射增強。顱腦MRI檢查,雙側側腦室周圍腦白質對稱性長T2信號,腦白質髓鞘化落后,雙側丘腦短T2信號(圖2);提示遺傳代謝性疾病。血清酶學檢查,己糖苷酶活性下降。基因檢查,HEXB基因突變。診斷:遲發型嬰幼兒型GM2神經節苷脂沉積癥。


例2 患兒男,13個月。因雙眼不能追視就診。足月出生。出生6個月發育停止,9個月發育倒退;否認家族遺傳病史。眼部檢查:雙眼不能追視;眼球運動正常;瞳孔對光反射存在;其余眼前節檢查未見異常。雙眼視盤顏色淡紅,邊界清楚,C/D約0.3;視網膜在位、血管走行自然,動靜脈直徑比2:3,黃斑部呈CS。神經系統檢查:肌張力增高,膝腱反射增強。顱腦MRI檢查,內囊前肢、外囊腫脹并長T2信號,腦白質髓鞘明顯落后,丘腦短T2信號;提示遺傳代謝性疾病(圖3)。基因檢查:GLB1基因 chr3:33058242 exon15:c.1582A>G(p.Met528Val)雜合突變(來源于母親),chr3:33114105 exon3 c: 320G>A(p.Arg107His)雜合突變(來源于父親)。診斷:遲發型嬰幼兒型GM1神經節苷脂沉積癥(L-iGM1)。

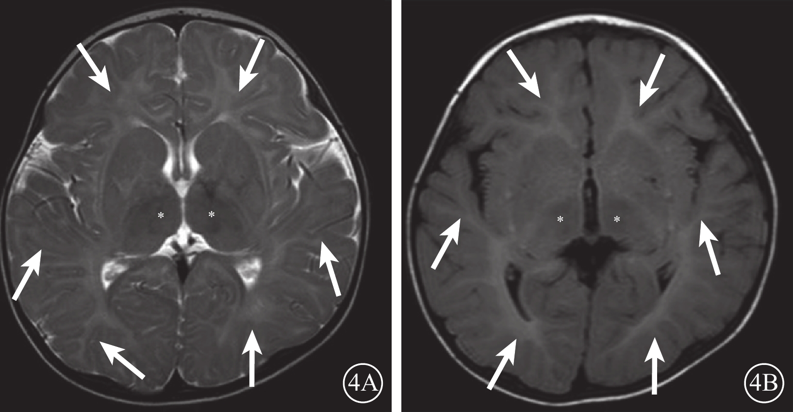
例3 患兒男,12個月。因出生7個月發育倒退,雙眼不能追視就診。足月出生。出生后7個月發育倒退,聲音刺激易“驚跳”;否認家族遺傳病史。眼部檢查:雙眼不能追視;眼球運動正常;其余眼前節檢查未見異常。眼底未見明顯異常。神經系統檢查:獨坐不穩;四肢肌張力高,雙側跟膝腱反射亢進。顱腦MRI檢查,雙側額、頂、枕及顳葉腦白質長T2信號,丘腦短T2信號(圖4)。實驗室檢查,外周血β-半乳糖苷酶活性1.6 nmol/(g·min)[正常值:144.7~350.4 nmol/(g·min)]。高通量全基因組測序結果:GLB1基因chr3:33058242 exon14 c.1438A>G(p.M480V)雜合突變(來源于母親)、chr3:33059944 exon13 c.1343A>T(p.D448V)雜合突變(來源于父親)(圖5)。診斷:L-iGM1。


56例患兒中,男性27例,女性29例;發病年齡3.3~8.0個月,發病年齡中位數7.0個月。GM1型、GM2型分別為33、23例;早發型、遲發型嬰幼兒型分別為19、37例。有明確致病基因35例。其中,GLB1基因突變25例(71.4%,25/35),HEXA基因突變1例(2.9%,1/35),HEXB基因突變9例(25.7%,9/35)。腦組織電鏡觀察發現神經元和軸突內沉積膜性胞漿體和斑馬體確診8例。
眼部表現:有眼部視覺檢查記錄者44例,其中雙眼可追視3例(6.8%,3/44),不能追視41例(93.2%,41/44);眼球震顫4例(9.1%,4/44)。行眼底檢查的47例患兒中,雙眼眼底CS 20例(42.6%,20/47)。其中,GM2型16例(69.6%,16/23);GM1型4例(16.7%,4/24)。
神經系統主要表現為神經運動發育倒退或遲緩(100%,56/56),抽搐發作(58.1%,25/43),“驚跳”現象(89.7%,26/29)。有顱腦MRI檢查記錄的42例患兒中,可見異常表現39例(92.9%)。面容粗陋8例,均為GM1型;皮膚蒙古斑11例;肝脾腫大10例;骨骼發育異常13例(表1)。

A組、B組患兒發病年齡、早發型/遲發型構成比比較,差異無統計學意義(P>0.05);性別、GM1型/GM2型構成比比較,差異有統計學意義(P=0.001、0.000)。眼部CS易發生于男性和GM2型患兒(表2);眼部CS患兒“驚跳”現象和抽搐發作發生率較不伴眼底CS者高,差異有統計學意義(P=0.021、0.013)(表3)。


3 討論
神經節苷脂沉積癥是由于GLB1或HEX基因編碼的β-半乳糖苷酶或氨基己糖苷酶缺陷,神經節苷脂代謝受阻,在神經元溶酶體內堆積造成神經系統損傷所致。其中,GM1型是由于GLB1基因突變致β-半乳糖苷酶活性下降引起;GM2型是由于HEXA或HEXB基因突變引起氨基己糖苷酶活性下降所致。HEXA基因突變導致的GM2型又被稱為Tay-Sachs病(OMIM No. 272800),HEXB基因突變引起的GM2型被稱為Sandhoff病(OMIM No. 268800)以及AB 變異型(OMIM #272750)[10]。根據發病年齡及病程進展又分為嬰幼兒型、遲發型嬰幼兒型、青少年型和成年型。嬰幼兒型發病年齡在6個月之前,1~2歲死亡;遲發型嬰幼兒型發病年齡在7個月至3歲,兒童期死亡[1-3]。對于此類疾病的治療,造血干細胞移植、酶替代治療、底物減少治療及小分子藥物伴侶治療法尚處在研究階段,目前臨床上無有效治療方法[10]。
神經節苷脂沉積癥為罕見溶酶體病,全球范圍內發病率為1∶100 000~1∶200 000成活嬰兒,特別是GM2型神經節苷脂沉積癥如Sandhoff病,發病率約1∶400 000成活嬰兒[1-2]。但因地域和人種不同,其發病率也不同。德裔猶太人Tay-Sachs病致病基因攜帶率高達30∶1,魁北克東部法國加拿大人更高為1∶14,而普通人僅為1∶300。由于目前高風險人群產前篩查的開展,發病率逐年下降[4-7]。本研究發現目前中國人群中共有確診的神經節苷脂沉積癥病例報道69例,多數為嬰幼兒GM1型,粗略估計屬于發病低風險人群。
神經節苷脂沉積癥主要眼部表現為不追視、眼球震顫及眼底CS。此種不追視可能是由眼部視力受損和腦部神經受損導致對外界刺激反應差共同造成。其中眼底CS為該病特征性表現,其原因是由于視網膜神經節細胞鞘脂堆積呈灰白色,黃斑中心凹在白色背景映襯下呈櫻桃紅色所致。隨著病情加重,CS顏色逐漸變淡,繼而出現視神經萎縮[30]。另外眼底CS還見于唾液酸沉積癥、神經元蠟樣脂褐質沉積癥、尼曼-匹克病和戈謝病[15,31]。嬰幼兒型神經節苷脂沉積癥眼底CS發生率約50%,其中Brunetti-Pierri和Scaglia[3]分析130例嬰幼兒GM1型病例發現黃斑部CS發生率高達59%。印度一項研究納入46個家系,發現32例嬰幼兒型GM1患兒,發生率高達76%[3-8]。Jeanine等[30]縱向觀察23例嬰幼兒型神經節苷脂沉積癥患兒,發現GM1型、GM2型眼底CS發生率分別為13%、39%。本研究發現中國人群嬰幼兒神經節苷脂沉積癥眼底CS發生率42.6%,有眼底CS者GM2型發生率為69.6%,明顯高于GM1型(12.1%)。這些研究結果的不同可能與人種不同及印度研究中納入人群的高近親結婚率有關。
本病神經系統表現主要為PMR、抽搐發作及聲音刺激出現“驚跳”現象。伴有眼底CS患兒抽搐發作及“驚跳”現象發生率明顯高于眼底無CS患兒,提示發生眼底CS患兒神經系統損傷更嚴重。目前關于眼底CS與神經系統癥狀相關性研究尚未見報道。視網膜神經節細胞主要分布于黃斑周圍,無法代謝的神經節苷脂堆積在神經節細胞的溶酶體內呈灰白色。黃斑部CS的出現是神經節苷脂沉積嚴重的表現。隨病情加重,神經節細胞死亡,CS變淡,視神經開始萎縮[30]。這提示黃斑部CS的出現可能是神經系統損傷嚴重的表現。
我國嬰幼兒神經節苷脂沉積癥以GM1型為多見,眼部視力損傷重,多無追視能力。眼底CS是此病的特征性表現,發生率約42.6%。它不僅是診斷神經節苷脂沉積癥的重要體征,也是神經系統嚴重受損的指征。這些結果提醒臨床對于嬰幼兒不明原因發育倒退或遲緩,要重視眼部視功能及眼底的檢查。
神經節苷脂沉積癥是累及神經系統的常染色體隱性遺傳代謝性疾病,屬于罕見的溶酶體貯積癥一類。根據突變的基因及造成酶活性下降的種類不同,分為GM1型、GM2型以及極為罕見的GM3型;根據發病月齡不同分為嬰幼兒型和遲發嬰幼兒型。主要臨床表現為神經運動發育倒退或遲緩(PMR)、眼部不追視和眼底黃斑部“櫻桃紅斑”(CS)[1-4]。由于此類疾病發病較早,缺乏特異性體征,臨床上診斷困難。患兒往往因為不追視就診于眼科,發現眼底CS而被確診。但目前眼科領域對此病關注較少。另外,由于神經節苷脂沉積癥發病率極低,難以進行大樣本流行病學研究[3-8]。本研究納入我院確診的嬰幼兒型神經節苷脂沉積癥3例以及文獻檢索到中國人群發病53例共56例患兒,分析其發病的人口學特征以及眼部與神經系統表現的相關性以協助診斷。現將結果報道如下。
1 對象和方法
本研究納入2018年11月至2021年1月在首都醫科大學附屬北京兒童醫院眼科及神經內科經基因檢查確診的嬰幼兒型神經節脂沉積癥患兒3例;患兒監護人均獲知情并簽署書面知情同意書。以“神經節苷脂沉積癥”、“櫻桃紅斑”及“中國人”為檢索詞,在中國知網、萬方科技期刊全文數據庫、美國國立醫學圖書館PubMed進行檢索。檢索時間為建庫至2021年2月。
納入標準為符合神經節苷脂沉積癥診斷標準[9-10]:臨床表現PMR且具備下列一項,發現相關致病基因、相關酶酶活性下降及腦組織電鏡病理檢查發現神經元和軸突內沉積膜性胞漿體和斑馬體。共檢索出相關文獻37篇,其中有詳細病情報道文獻22篇53例,有眼部癥狀報道47例,共計納入56例。對納入患兒的發病人口學特征以及眼部、神經系統、皮膚、骨骼等其他系統表現進行研究分析。
分析評估指標:眼部表現包括追視、眼球震顫及眼底CS有無;神經系統包括“驚跳”現象、抽搐發作、PMR、顱腦核磁共振成像(MRI)異常表現;其他系統包括:特殊粗陋面容(頭大、前額突出、鞍鼻、眼間距寬)、皮膚蒙古斑、肝脾腫大及骨骼異常(X線片檢查手呈“子彈頭”樣改變、脊柱后突)[3]。有以上異常表現記錄為陽性,反之記錄為陰性;病例或文獻中未記錄為零(不參與發生率計算)。
行眼底檢查的47例患兒,根據眼底檢查有無CS表現分為有眼底CS組(A組)、無眼底CS組(B組),分別為20、27例。對比分析兩組患兒發病年齡、性別、不同分型及神經系統表現的差異。
采用SPSS.19.0軟件進行統計分析。年齡均數采用M(QR)表示,組間比較采用非參數秩和檢驗;組間性別、發病類型及發生率比較采用χ2檢驗,n<5時采用Fisher精確檢驗)。P<0.05為差異有統計學意義。
2 結果
例1 患兒女,22個月。因雙眼不能追視就診。足月出生。出生后8個月出現發育倒退,聲音刺激易“驚跳”;否認家族遺傳病史。眼部檢查:雙眼不能追視;眼球運動正常;瞳孔對光反射存在;其余眼前節檢查未見異常。雙眼視盤顏色淡紅、邊界清楚,杯盤比(C/D)約0.3;視網膜在位,血管走行自然,動靜脈直徑比2:3,黃斑部呈CS(圖1)。神經系統檢查:不能豎頭、不獨坐、無自主語言;肌張力增高,膝腱反射增強。顱腦MRI檢查,雙側側腦室周圍腦白質對稱性長T2信號,腦白質髓鞘化落后,雙側丘腦短T2信號(圖2);提示遺傳代謝性疾病。血清酶學檢查,己糖苷酶活性下降。基因檢查,HEXB基因突變。診斷:遲發型嬰幼兒型GM2神經節苷脂沉積癥。


例2 患兒男,13個月。因雙眼不能追視就診。足月出生。出生6個月發育停止,9個月發育倒退;否認家族遺傳病史。眼部檢查:雙眼不能追視;眼球運動正常;瞳孔對光反射存在;其余眼前節檢查未見異常。雙眼視盤顏色淡紅,邊界清楚,C/D約0.3;視網膜在位、血管走行自然,動靜脈直徑比2:3,黃斑部呈CS。神經系統檢查:肌張力增高,膝腱反射增強。顱腦MRI檢查,內囊前肢、外囊腫脹并長T2信號,腦白質髓鞘明顯落后,丘腦短T2信號;提示遺傳代謝性疾病(圖3)。基因檢查:GLB1基因 chr3:33058242 exon15:c.1582A>G(p.Met528Val)雜合突變(來源于母親),chr3:33114105 exon3 c: 320G>A(p.Arg107His)雜合突變(來源于父親)。診斷:遲發型嬰幼兒型GM1神經節苷脂沉積癥(L-iGM1)。

例3 患兒男,12個月。因出生7個月發育倒退,雙眼不能追視就診。足月出生。出生后7個月發育倒退,聲音刺激易“驚跳”;否認家族遺傳病史。眼部檢查:雙眼不能追視;眼球運動正常;其余眼前節檢查未見異常。眼底未見明顯異常。神經系統檢查:獨坐不穩;四肢肌張力高,雙側跟膝腱反射亢進。顱腦MRI檢查,雙側額、頂、枕及顳葉腦白質長T2信號,丘腦短T2信號(圖4)。實驗室檢查,外周血β-半乳糖苷酶活性1.6 nmol/(g·min)[正常值:144.7~350.4 nmol/(g·min)]。高通量全基因組測序結果:GLB1基因chr3:33058242 exon14 c.1438A>G(p.M480V)雜合突變(來源于母親)、chr3:33059944 exon13 c.1343A>T(p.D448V)雜合突變(來源于父親)(圖5)。診斷:L-iGM1。


56例患兒中,男性27例,女性29例;發病年齡3.3~8.0個月,發病年齡中位數7.0個月。GM1型、GM2型分別為33、23例;早發型、遲發型嬰幼兒型分別為19、37例。有明確致病基因35例。其中,GLB1基因突變25例(71.4%,25/35),HEXA基因突變1例(2.9%,1/35),HEXB基因突變9例(25.7%,9/35)。腦組織電鏡觀察發現神經元和軸突內沉積膜性胞漿體和斑馬體確診8例。
眼部表現:有眼部視覺檢查記錄者44例,其中雙眼可追視3例(6.8%,3/44),不能追視41例(93.2%,41/44);眼球震顫4例(9.1%,4/44)。行眼底檢查的47例患兒中,雙眼眼底CS 20例(42.6%,20/47)。其中,GM2型16例(69.6%,16/23);GM1型4例(16.7%,4/24)。
神經系統主要表現為神經運動發育倒退或遲緩(100%,56/56),抽搐發作(58.1%,25/43),“驚跳”現象(89.7%,26/29)。有顱腦MRI檢查記錄的42例患兒中,可見異常表現39例(92.9%)。面容粗陋8例,均為GM1型;皮膚蒙古斑11例;肝脾腫大10例;骨骼發育異常13例(表1)。

A組、B組患兒發病年齡、早發型/遲發型構成比比較,差異無統計學意義(P>0.05);性別、GM1型/GM2型構成比比較,差異有統計學意義(P=0.001、0.000)。眼部CS易發生于男性和GM2型患兒(表2);眼部CS患兒“驚跳”現象和抽搐發作發生率較不伴眼底CS者高,差異有統計學意義(P=0.021、0.013)(表3)。


3 討論
神經節苷脂沉積癥是由于GLB1或HEX基因編碼的β-半乳糖苷酶或氨基己糖苷酶缺陷,神經節苷脂代謝受阻,在神經元溶酶體內堆積造成神經系統損傷所致。其中,GM1型是由于GLB1基因突變致β-半乳糖苷酶活性下降引起;GM2型是由于HEXA或HEXB基因突變引起氨基己糖苷酶活性下降所致。HEXA基因突變導致的GM2型又被稱為Tay-Sachs病(OMIM No. 272800),HEXB基因突變引起的GM2型被稱為Sandhoff病(OMIM No. 268800)以及AB 變異型(OMIM #272750)[10]。根據發病年齡及病程進展又分為嬰幼兒型、遲發型嬰幼兒型、青少年型和成年型。嬰幼兒型發病年齡在6個月之前,1~2歲死亡;遲發型嬰幼兒型發病年齡在7個月至3歲,兒童期死亡[1-3]。對于此類疾病的治療,造血干細胞移植、酶替代治療、底物減少治療及小分子藥物伴侶治療法尚處在研究階段,目前臨床上無有效治療方法[10]。
神經節苷脂沉積癥為罕見溶酶體病,全球范圍內發病率為1∶100 000~1∶200 000成活嬰兒,特別是GM2型神經節苷脂沉積癥如Sandhoff病,發病率約1∶400 000成活嬰兒[1-2]。但因地域和人種不同,其發病率也不同。德裔猶太人Tay-Sachs病致病基因攜帶率高達30∶1,魁北克東部法國加拿大人更高為1∶14,而普通人僅為1∶300。由于目前高風險人群產前篩查的開展,發病率逐年下降[4-7]。本研究發現目前中國人群中共有確診的神經節苷脂沉積癥病例報道69例,多數為嬰幼兒GM1型,粗略估計屬于發病低風險人群。
神經節苷脂沉積癥主要眼部表現為不追視、眼球震顫及眼底CS。此種不追視可能是由眼部視力受損和腦部神經受損導致對外界刺激反應差共同造成。其中眼底CS為該病特征性表現,其原因是由于視網膜神經節細胞鞘脂堆積呈灰白色,黃斑中心凹在白色背景映襯下呈櫻桃紅色所致。隨著病情加重,CS顏色逐漸變淡,繼而出現視神經萎縮[30]。另外眼底CS還見于唾液酸沉積癥、神經元蠟樣脂褐質沉積癥、尼曼-匹克病和戈謝病[15,31]。嬰幼兒型神經節苷脂沉積癥眼底CS發生率約50%,其中Brunetti-Pierri和Scaglia[3]分析130例嬰幼兒GM1型病例發現黃斑部CS發生率高達59%。印度一項研究納入46個家系,發現32例嬰幼兒型GM1患兒,發生率高達76%[3-8]。Jeanine等[30]縱向觀察23例嬰幼兒型神經節苷脂沉積癥患兒,發現GM1型、GM2型眼底CS發生率分別為13%、39%。本研究發現中國人群嬰幼兒神經節苷脂沉積癥眼底CS發生率42.6%,有眼底CS者GM2型發生率為69.6%,明顯高于GM1型(12.1%)。這些研究結果的不同可能與人種不同及印度研究中納入人群的高近親結婚率有關。
本病神經系統表現主要為PMR、抽搐發作及聲音刺激出現“驚跳”現象。伴有眼底CS患兒抽搐發作及“驚跳”現象發生率明顯高于眼底無CS患兒,提示發生眼底CS患兒神經系統損傷更嚴重。目前關于眼底CS與神經系統癥狀相關性研究尚未見報道。視網膜神經節細胞主要分布于黃斑周圍,無法代謝的神經節苷脂堆積在神經節細胞的溶酶體內呈灰白色。黃斑部CS的出現是神經節苷脂沉積嚴重的表現。隨病情加重,神經節細胞死亡,CS變淡,視神經開始萎縮[30]。這提示黃斑部CS的出現可能是神經系統損傷嚴重的表現。
我國嬰幼兒神經節苷脂沉積癥以GM1型為多見,眼部視力損傷重,多無追視能力。眼底CS是此病的特征性表現,發生率約42.6%。它不僅是診斷神經節苷脂沉積癥的重要體征,也是神經系統嚴重受損的指征。這些結果提醒臨床對于嬰幼兒不明原因發育倒退或遲緩,要重視眼部視功能及眼底的檢查。