引用本文: 殷慧文, 張寧, 尹伊, 張學寧, 劉建曉, 劉曉陽, 王曉莉, 趙巖松. N-乙酰-5-羥色胺對視網膜缺血再灌注損傷大鼠視網膜中腫瘤壞死因子-α表達的影響. 中華眼底病雜志, 2021, 37(6): 462-469. doi: 10.3760/cma.j.cn511434-20210222-00091 復制
視網膜缺血再灌注損傷(RIRI)是眼科臨床疾病中常見的病理生理過程,也是目前致盲的主要原因之一[1]。但目前對RIRI尚缺乏有效的治療方案。研究表明,RIRI的發病機制與炎癥反應密切相關[2-3],因而抑制炎癥反應成為RIRI治療的焦點。腫瘤壞死因子-α(TNF-α)是RIRI后的重要促炎因子,抑制TNF-α蛋白表達可減輕炎癥反應[4]。核因子E2相關因子2(Nrf2)是一種抑制細胞應激損傷的轉錄因子,血紅素氧合酶1(HO-1)為其下游分子,二者與炎癥反應的負性調控密切相關[5]。N-乙酰-5-羥色胺(NAS)是褪黑素的前體物質,具有更強的抗凋亡、抗炎的生物活性作用[6-8]。本課題組前期研究發現,褪黑素可以通過上調Nrf2、HO-1蛋白的表達,抑制RIRI大鼠視網膜細胞的凋亡[9]。既往研究證實,褪黑素可顯著上調Nrf2、HO-1蛋白表達,抑制脂多糖誘導的巨噬細胞分泌促炎介質,發揮抗炎作用[10]。我們推測NAS可通過Nrf2/HO-1通路抑制TNF-α蛋白表達,從而減輕RIRI。為此,本研究通過構建RIRI模型,觀察NAS對RIRI大鼠視網膜組織形態、TNF-α蛋白表達變化的影響,并從Nrf2/HO-1信號通路探討其機制,以期為NAS治療的臨床應用提供科學的理論依據。現將結果報道如下。
1 材料和方法
1.1 主要實驗材料、實驗分組及建模
NAS(美國Sigma公司),兔抗大鼠TNF-α(北京索萊寶科技有限公司),兔抗大鼠Nrf2、甘油醛-3-磷酸脫氫酶(GAPDH)(武漢三鷹生物技術有限公司),HO-1(武漢博士德生物工程有限公司)一抗,兔抗TNF-α、Nrf2、HO-1(美國CST公司)一抗。兔抗二步法檢測試劑盒(北京中杉金橋生物技術有限公司),光學顯微鏡(BX-51,日本Olympus公司),高性能成像分析系統(美國ProteinSimple公司)。
雄性Sprague-Dawley大鼠90只,7~8周齡,體重200~230 g,無特定病原體級,由濟南朋悅實驗動物繁育有限公司提供[許可證號:SCXK(魯)20190003]。飼養環境及實驗操作均符合國家科學技術委員會《實驗動物管理條例》規定,并獲得濰坊醫學院動物倫理委員會許可(倫理編號:2019SDL099)。采用隨機數字表法將大鼠分為假手術組(10只)、RIRI組(40只)、NAS組(40只)。
參照文獻[11]的方法建立RIRI模型,以右眼為實驗眼。RIRI組、NAS組大鼠按體重0.35 ml/100 g的劑量腹腔注射10%水合氯醛麻醉,鹽酸奧布卡因滴眼局部麻醉。27G針頭自顳側角膜緣刺入前房并固定,生理鹽水液面與大鼠角膜頂點垂直距離約150 cm,使眼壓升至110 mm Hg(1 mm Hg=0.133 kPa),此時可見大鼠球結膜變蒼白,前房加深;直接檢眼鏡檢查可見視盤蒼白,視網膜血流中斷。維持前房加壓60 min后,逐漸恢復眼壓,可見眼底視網膜血流恢復,建模成功;蘇木精-伊紅(HE)染色組織學驗證模型。假手術組大鼠僅將針頭自顳側角膜緣刺入右眼前房,不做其他處理。NAS組大鼠于建模前及建模后30 min腹腔注射NAS,10 mg/(kg·次);假手術組、RIRI組大鼠腹腔注射等量生理鹽水。
1.2 HE染色觀察大鼠視網膜組織病理變化并計數視網膜神經節細胞(RGC)
建模后6、12、24、72 h,各組取6只大鼠腹腔麻醉處死,摘除眼球并置于眼球固定液中固定,梯度乙醇脫水,二甲苯透明,常規石蠟包埋。平行于眼球矢狀軸行非連續切片,每3~4張切片取1張,厚度約4 μm。HE染色,光學顯微鏡下觀察大鼠視網膜細胞形態學變化。應用CellSens Dimension 1.6圖像分析軟件于視盤兩側100~300 μm內,隨機取4點測量視網膜厚度,即視網膜內界膜至色素上皮層間的距離,計算平均視網膜厚度[9];并計數視盤外200 μm內神經節細胞層(GCL)單位面積RGC。
1.3 免疫組織化學染色及蛋白質免疫印跡法(Western blot)檢測大鼠視網膜中Nrf2、HO-1、TNF-α蛋白表達
建模后12 h,大鼠視網膜石蠟切片脫蠟、梯度乙醇水合至水,水浴加熱修復抗原,3% H2O2去除內源性過氧化物酶。正常山羊血清 37 ℃封閉60 min,棄封閉液,分別滴加兔抗大鼠TNF-α(1∶100)、Nrf2(1∶300)和HO-1(1∶100)一抗,0.01 mmol/L的磷酸鹽緩沖液替代一抗作為陰性對照,4 ℃過夜。沖洗后,滴加山羊抗兔二抗,二氨基聯苯胺顯色,光學顯微鏡下觀察。TNF-α+、HO-1+細胞胞漿及Nrf2+細胞胞漿或胞核呈棕黃色。蘇木素染核,梯度乙醇脫水、二甲苯透明,中性樹膠封片。光學顯微鏡觀察、拍照并計數各組大鼠視網膜單位面積TNF-α+、Nrf2+、HO-1+細胞。
建模后6、12、24、72 h,取各組3只大鼠視網膜新鮮組織,二喹啉甲酸法檢測Nrf2、HO-1、TNF-α蛋白含量。15%十二烷基硫酸鈉-聚丙烯酰胺凝膠電泳分離蛋白,電轉移(200 mA)1 h(TNF-α、HO-1、GAPDH)或1 h 50 min(Nrf2)至聚偏氟乙烯膜,5%脫脂奶粉室溫下封閉1.5 h,分別加入兔抗TNF-α(1∶500)、兔抗Nrf2(1∶500)、HO-1(1∶500)和GAPDH一抗(1∶500),4 ℃孵育過夜。洗膜后,加入辣根過氧化物酶標記的二抗(1∶5000)封閉1.5 h,電化學發光試劑盒顯影,化學發光儀拍照,Image J軟件進行條帶灰度分析。以GAPDH為內參照,通過分析目的蛋白與內參照灰度比值計算目的蛋白相對表達量。
1.4 統計學分析
采用SPSS 22.0軟件進行統計學分析。計量資料以均數±標準差(±s)表示,組間差異采用單因素方差分析。方差齊性時,組間兩兩比較采用SNK-q檢驗;一般線性回歸法分析建模后12 h時,RIRI組與NAS組TNF-α+細胞數差值與活性Nrf2+、HO-1+細胞數差值的相關性。P<0.05為差異有統計學意義。
2 結果
光學顯微鏡觀察發現,假手術組大鼠視網膜各層細胞形態規則,排列整齊,可見較多RGC。建模后6、12、24 h,RIRI組大鼠視網膜細胞排列紊亂,視網膜細胞嚴重水腫;NAS組大鼠視網膜各層細胞形態較規則,排列較整齊,仍可見視網膜細胞水腫(圖1)。

建模后6、12、24 h,RIRI組大鼠視網膜厚度較假手術組明顯增厚,差異有統計學意義(F=251.240、1 107.798、39.864,P<0.01);NAS組大鼠視網膜厚度顯著薄于RIRI組(F=9.645、477.150、2.432),但仍厚于假手術組(F=101.548、183.117、113.489),差異均有統計學意義(P<0.05)。建模后72 h,RIRI組大鼠視網膜萎縮,其厚度顯著薄于NAS組,差異有統計學意義(F=123.408,P<0.01)(表1,圖2)。



建模后6、12、24、72 h,RIRI組大鼠視網膜RGC計數顯著低于假手術組,差異有統計學意義(F=34.321、122.740、187.234、317.675,P<0.01)。建模后6 h,NAS組大鼠視網膜RGC計數開始降低,至建模后12 h達較低水平,其后逐漸增加,均顯著高于RIRI組(F=12.225、12.848、117.655、306.394),但仍低于假手術組(F=11.667、46.025、35.659、30.991),差異均有統計學意義(P<0.05)(表2,圖3)。



免疫組織化學染色結果顯示,假手術組大鼠視網膜各層偶見少量TNF-α+細胞,胞漿呈棕黃色;建模后6、12、24、72 h,RIRI組、NAS組大鼠視網膜組織均可見TNF-α+細胞,多位于GCL、內核層(INL)(圖4)。建模后不同時間,RIRI組(F=105.893、1 356.076、434.026、337.351)、NAS組(F=40.709、151.032、156.321、216.035)大鼠視網膜TNF-α+細胞數明顯多于假手術組,差異有統計學意義(P<0.01);NAS組大鼠視網膜TNF-α+細胞數明顯少于RIRI組,差異有統計學意義(F=15.408、570.482、21.070、13.767,P<0.05)(表3,圖5)。




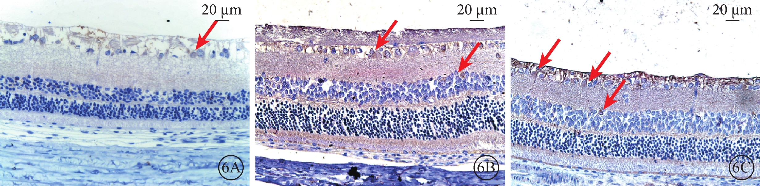
假手術組大鼠視網膜各層均可見Nrf2+細胞,胞漿呈棕黃色。建模后12 h,RIRI組、NAS組大鼠視網膜GCL、INL均可見較多Nrf2+細胞,細胞核呈棕黃色(圖6)。假手術組大鼠視網膜Nrf2+細胞數為(184.27±20.49)個/mm2;建模后12 h,RIRI組、NAS組大鼠視網膜Nrf2+細胞數分別為(389.67±43.76)、(565.89±77.34)個/mm2。RIRI組大鼠視網膜Nrf2+細胞數明顯多于假手術組,差異有統計學意義(F=170.354,P<0.01);NAS組大鼠視網膜Nrf2+細胞數明顯多于RIRI組,差異有統計學意義(F=51.122,P<0.01)。

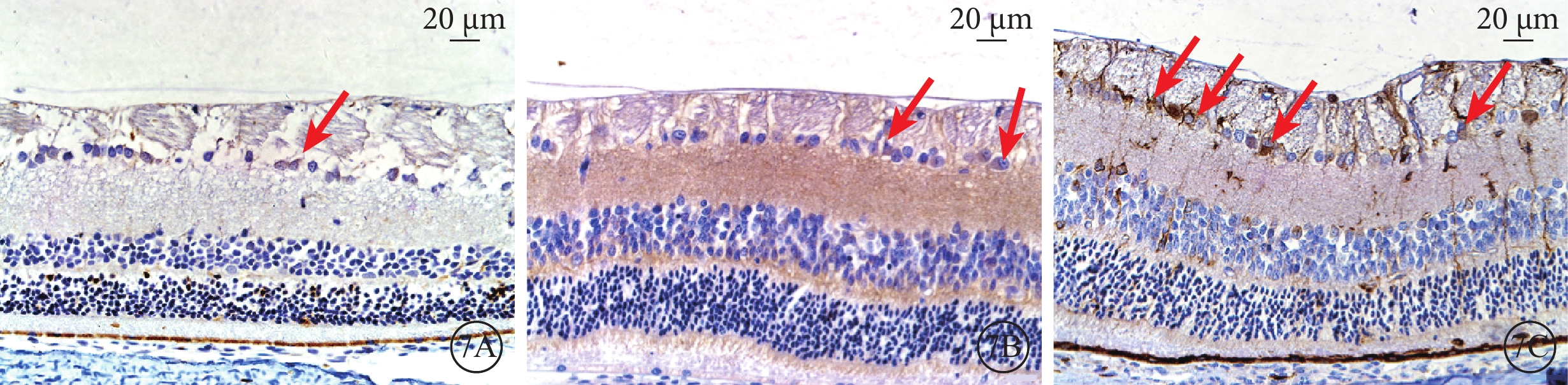
假手術組大鼠視網膜各層偶見少量HO-1+細胞;建模后12 h,RIRI組大鼠視網膜HO-1+細胞數顯著多于假手術組;NAS組大鼠視網膜GCL、INL可見大量HO-1+細胞(圖7)。假手術組大鼠視網膜HO-1+細胞數為(161.01±13.25)個/mm2;建模后12 h,RIRI組、NAS組大鼠視網膜HO-1+細胞數分別為(275.05±29.46)、(339.05±29.38)個/mm2。RIRI組大鼠視網膜HO-1+細胞數明顯多于假手術組,差異有統計學意義(F=105.083,P<0.01);NAS組大鼠視網膜HO-1+細胞數明顯多于RIRI組,差別有統計學意義(F=30.750,P<0.01)。

Western blot檢測結果顯示,假手術組大鼠視網膜中TNF-α蛋白相對表達量較低。建模后6 h,RIRI組、NAS組大鼠視網膜中TNF-α蛋白相對表達量開始升高,其中RIRI組至12 h達較高水平后下降,NAS組至建模后24 h達較高水平后下降;與假手術組比較,差異均有統計學意義(RIRI組:F=92.906、534.948、327.600、385.324,P<0.01;NAS組:F=33.943、79.729、74.057、64.488,P<0.01)(圖8)。

假手術組大鼠視網膜中Nrf2蛋白相對表達量為0.377±0.015;建模后12 h,RIRI組、NAS組大鼠視網膜中Nrf2蛋白相對表達量分別為0.760±0.031、0.980±0.058。假手術組大鼠視網膜中Nrf2蛋白相對表達量較少;建模后12 h,RIRI組大鼠視網膜中Nrf2蛋白相對表達量明顯高于假手術組,差異有統計學意義(F=371.932,P<0.01);NAS組大鼠視網膜中Nrf2蛋白相對表達量明顯高于RIRI、假手術組,差異均有統計學意義(F=33.972、307.200,P<0.05、<0.01)(圖9)。

假手術組視網膜中HO-1蛋白相對表達量為0.375±0.009;建模后12 h,RIRI組、NAS組大鼠視網膜中HO-1蛋白相對表達量分別為0.702±0.090、0.932±0.025。假手術組大鼠視網膜中HO-1蛋白相對表達量較少;RIRI組視網膜HO-1相對蛋白表達量明顯高于假手術組,差別有統計學意義(F=39.557,P<0.05);NAS組大鼠視網膜HO-1相對蛋白表達量明顯高于RIRI組、假手術組,差異均有統計學意義(F=18.283、1 361.927,P<0.05、<0.01)(圖10)。

一般線性回歸分析結果顯示,建模后12 h,RIRI組、NAS組TNF-α+細胞數差值與Nrf2+(r2=0.923)、HO-1+(r2=0.936)細胞數差值均呈負相關(P<0.01)(圖11)。

3 討論
RIRI常見于青光眼、糖尿病視網膜病變、視網膜血管阻塞等,可導致患者視力障礙甚至喪失[1]。本研究結果顯示,RIRI后6、12、24 h,視網膜細胞水腫且排列紊亂,視網膜厚度增加;RIRI后72 h,視網膜萎縮、變薄且RGC計數顯著降低,RIRI建模成功。在此基礎上,經NAS干預,RIRI后6、12、24 h,大鼠視網膜水腫減輕;而在RIRI后72 h,其視網膜厚度較RIRI組增厚。這提示NAS可改善RIRI大鼠視網膜細胞形態學,減輕RIRI,具有神經保護作用。
炎癥反應在RIRI的病理發展過程中發揮極其重要的作用,TNF-α是重要的促炎因子之一,可引發組織細胞水腫,形成并加重氧化應激反應,從而導致組織損傷[12]。本研究動態觀察結果顯示,建模后6 h,RIRI組大鼠視網膜GCL、INL可見較多TNF-α+細胞,12 h達到較高水平,且數量多于假手術組,其后下降,結果與文獻報道結果一致[13];建模后6 h,NAS組大鼠視網膜GCL、INL可見TNF-α+細胞,24 h達到較高水平,72 h后降低,各時間點均少于RIRI組;Western blot檢測結果顯示,建模后不同時間點NAS組大鼠視網膜中TNF-α蛋白相對表達量均低于RIRI組。這提示RIRI可促進大鼠視網膜細胞促炎因子TNF-α的表達,以建模后12 h為著;NAS可抑制RIRI大鼠視網膜中TNF-α蛋白的表達,但其機制尚有待于進一步研究。
Nrf2/HO-1信號通路在調控炎癥反應及氧化應激中占有重要地位。研究發現,RIRI早期,炎癥反應可活化Nrf2/HO-1通路,表現為Nrf2被激活,由胞漿入核啟動下游的HO-1表達[14],進而可抑制TNF-α蛋白的表達,減輕炎癥反應[15]。本研究結果顯示,建模后12 h,RIRI組大鼠視網膜中Nrf2、HO-1蛋白表達較假手術組增加,結果與文獻報道結果一致[16]。Yoo等[17]發現,NAS可促進氧化應激引起的小鼠海馬神經元細胞中Nrf2核轉位,激活Nrf2信號通路,對海馬神經元發揮神經保護作用,但NAS經Nrf2/HO-1通路對視網膜的保護作用尚未見報道。本研究Western blot檢測結果顯示,NAS組大鼠視網膜中Nrf2、HO-1蛋白水平均高于RIRI組;免疫組織化學染色結果也顯示NAS組大鼠視網膜胞核內Nrf2+、HO-1+細胞數多于RIRI組。這提示在RIRI中,NAS可通過促進視網膜Nrf2核轉位,上調Nrf2、HO-1蛋白的表達,進而抑制TNF-α蛋白表達水平,從而減輕RIRI。為進一步驗證此結果,本研究對建模后12 h時RIRI組、NAS組大鼠視網膜TNF-α+細胞數差值與Nrf2+、HO-1+細胞數差值進行相關性分析,發現兩組TNF-α+細胞數差值均與Nrf2+、HO-1+細胞數差值呈負相關,提示NAS可能通過Nrf2/HO-1通路抑制RIRI大鼠視網膜中TNF-α蛋白表達,從而減輕RIRI,發揮保護作用。
本研究結果表明,NAS可抑制RIRI大鼠視網膜中TNF-α蛋白表達,進而減輕RIRI,其機制可能與Nrf2/HO-1通路有關,具有神經保護作用。但有關NAS對大鼠視網膜電生理反應的影響、NAS治療的時效及其副作用以及NAS如何經Nrf2/HO-1通路調控炎性介質的表達,從而減輕RIRI,尚有待于進一步探究。
視網膜缺血再灌注損傷(RIRI)是眼科臨床疾病中常見的病理生理過程,也是目前致盲的主要原因之一[1]。但目前對RIRI尚缺乏有效的治療方案。研究表明,RIRI的發病機制與炎癥反應密切相關[2-3],因而抑制炎癥反應成為RIRI治療的焦點。腫瘤壞死因子-α(TNF-α)是RIRI后的重要促炎因子,抑制TNF-α蛋白表達可減輕炎癥反應[4]。核因子E2相關因子2(Nrf2)是一種抑制細胞應激損傷的轉錄因子,血紅素氧合酶1(HO-1)為其下游分子,二者與炎癥反應的負性調控密切相關[5]。N-乙酰-5-羥色胺(NAS)是褪黑素的前體物質,具有更強的抗凋亡、抗炎的生物活性作用[6-8]。本課題組前期研究發現,褪黑素可以通過上調Nrf2、HO-1蛋白的表達,抑制RIRI大鼠視網膜細胞的凋亡[9]。既往研究證實,褪黑素可顯著上調Nrf2、HO-1蛋白表達,抑制脂多糖誘導的巨噬細胞分泌促炎介質,發揮抗炎作用[10]。我們推測NAS可通過Nrf2/HO-1通路抑制TNF-α蛋白表達,從而減輕RIRI。為此,本研究通過構建RIRI模型,觀察NAS對RIRI大鼠視網膜組織形態、TNF-α蛋白表達變化的影響,并從Nrf2/HO-1信號通路探討其機制,以期為NAS治療的臨床應用提供科學的理論依據。現將結果報道如下。
1 材料和方法
1.1 主要實驗材料、實驗分組及建模
NAS(美國Sigma公司),兔抗大鼠TNF-α(北京索萊寶科技有限公司),兔抗大鼠Nrf2、甘油醛-3-磷酸脫氫酶(GAPDH)(武漢三鷹生物技術有限公司),HO-1(武漢博士德生物工程有限公司)一抗,兔抗TNF-α、Nrf2、HO-1(美國CST公司)一抗。兔抗二步法檢測試劑盒(北京中杉金橋生物技術有限公司),光學顯微鏡(BX-51,日本Olympus公司),高性能成像分析系統(美國ProteinSimple公司)。
雄性Sprague-Dawley大鼠90只,7~8周齡,體重200~230 g,無特定病原體級,由濟南朋悅實驗動物繁育有限公司提供[許可證號:SCXK(魯)20190003]。飼養環境及實驗操作均符合國家科學技術委員會《實驗動物管理條例》規定,并獲得濰坊醫學院動物倫理委員會許可(倫理編號:2019SDL099)。采用隨機數字表法將大鼠分為假手術組(10只)、RIRI組(40只)、NAS組(40只)。
參照文獻[11]的方法建立RIRI模型,以右眼為實驗眼。RIRI組、NAS組大鼠按體重0.35 ml/100 g的劑量腹腔注射10%水合氯醛麻醉,鹽酸奧布卡因滴眼局部麻醉。27G針頭自顳側角膜緣刺入前房并固定,生理鹽水液面與大鼠角膜頂點垂直距離約150 cm,使眼壓升至110 mm Hg(1 mm Hg=0.133 kPa),此時可見大鼠球結膜變蒼白,前房加深;直接檢眼鏡檢查可見視盤蒼白,視網膜血流中斷。維持前房加壓60 min后,逐漸恢復眼壓,可見眼底視網膜血流恢復,建模成功;蘇木精-伊紅(HE)染色組織學驗證模型。假手術組大鼠僅將針頭自顳側角膜緣刺入右眼前房,不做其他處理。NAS組大鼠于建模前及建模后30 min腹腔注射NAS,10 mg/(kg·次);假手術組、RIRI組大鼠腹腔注射等量生理鹽水。
1.2 HE染色觀察大鼠視網膜組織病理變化并計數視網膜神經節細胞(RGC)
建模后6、12、24、72 h,各組取6只大鼠腹腔麻醉處死,摘除眼球并置于眼球固定液中固定,梯度乙醇脫水,二甲苯透明,常規石蠟包埋。平行于眼球矢狀軸行非連續切片,每3~4張切片取1張,厚度約4 μm。HE染色,光學顯微鏡下觀察大鼠視網膜細胞形態學變化。應用CellSens Dimension 1.6圖像分析軟件于視盤兩側100~300 μm內,隨機取4點測量視網膜厚度,即視網膜內界膜至色素上皮層間的距離,計算平均視網膜厚度[9];并計數視盤外200 μm內神經節細胞層(GCL)單位面積RGC。
1.3 免疫組織化學染色及蛋白質免疫印跡法(Western blot)檢測大鼠視網膜中Nrf2、HO-1、TNF-α蛋白表達
建模后12 h,大鼠視網膜石蠟切片脫蠟、梯度乙醇水合至水,水浴加熱修復抗原,3% H2O2去除內源性過氧化物酶。正常山羊血清 37 ℃封閉60 min,棄封閉液,分別滴加兔抗大鼠TNF-α(1∶100)、Nrf2(1∶300)和HO-1(1∶100)一抗,0.01 mmol/L的磷酸鹽緩沖液替代一抗作為陰性對照,4 ℃過夜。沖洗后,滴加山羊抗兔二抗,二氨基聯苯胺顯色,光學顯微鏡下觀察。TNF-α+、HO-1+細胞胞漿及Nrf2+細胞胞漿或胞核呈棕黃色。蘇木素染核,梯度乙醇脫水、二甲苯透明,中性樹膠封片。光學顯微鏡觀察、拍照并計數各組大鼠視網膜單位面積TNF-α+、Nrf2+、HO-1+細胞。
建模后6、12、24、72 h,取各組3只大鼠視網膜新鮮組織,二喹啉甲酸法檢測Nrf2、HO-1、TNF-α蛋白含量。15%十二烷基硫酸鈉-聚丙烯酰胺凝膠電泳分離蛋白,電轉移(200 mA)1 h(TNF-α、HO-1、GAPDH)或1 h 50 min(Nrf2)至聚偏氟乙烯膜,5%脫脂奶粉室溫下封閉1.5 h,分別加入兔抗TNF-α(1∶500)、兔抗Nrf2(1∶500)、HO-1(1∶500)和GAPDH一抗(1∶500),4 ℃孵育過夜。洗膜后,加入辣根過氧化物酶標記的二抗(1∶5000)封閉1.5 h,電化學發光試劑盒顯影,化學發光儀拍照,Image J軟件進行條帶灰度分析。以GAPDH為內參照,通過分析目的蛋白與內參照灰度比值計算目的蛋白相對表達量。
1.4 統計學分析
采用SPSS 22.0軟件進行統計學分析。計量資料以均數±標準差(±s)表示,組間差異采用單因素方差分析。方差齊性時,組間兩兩比較采用SNK-q檢驗;一般線性回歸法分析建模后12 h時,RIRI組與NAS組TNF-α+細胞數差值與活性Nrf2+、HO-1+細胞數差值的相關性。P<0.05為差異有統計學意義。
2 結果
光學顯微鏡觀察發現,假手術組大鼠視網膜各層細胞形態規則,排列整齊,可見較多RGC。建模后6、12、24 h,RIRI組大鼠視網膜細胞排列紊亂,視網膜細胞嚴重水腫;NAS組大鼠視網膜各層細胞形態較規則,排列較整齊,仍可見視網膜細胞水腫(圖1)。

建模后6、12、24 h,RIRI組大鼠視網膜厚度較假手術組明顯增厚,差異有統計學意義(F=251.240、1 107.798、39.864,P<0.01);NAS組大鼠視網膜厚度顯著薄于RIRI組(F=9.645、477.150、2.432),但仍厚于假手術組(F=101.548、183.117、113.489),差異均有統計學意義(P<0.05)。建模后72 h,RIRI組大鼠視網膜萎縮,其厚度顯著薄于NAS組,差異有統計學意義(F=123.408,P<0.01)(表1,圖2)。



建模后6、12、24、72 h,RIRI組大鼠視網膜RGC計數顯著低于假手術組,差異有統計學意義(F=34.321、122.740、187.234、317.675,P<0.01)。建模后6 h,NAS組大鼠視網膜RGC計數開始降低,至建模后12 h達較低水平,其后逐漸增加,均顯著高于RIRI組(F=12.225、12.848、117.655、306.394),但仍低于假手術組(F=11.667、46.025、35.659、30.991),差異均有統計學意義(P<0.05)(表2,圖3)。



免疫組織化學染色結果顯示,假手術組大鼠視網膜各層偶見少量TNF-α+細胞,胞漿呈棕黃色;建模后6、12、24、72 h,RIRI組、NAS組大鼠視網膜組織均可見TNF-α+細胞,多位于GCL、內核層(INL)(圖4)。建模后不同時間,RIRI組(F=105.893、1 356.076、434.026、337.351)、NAS組(F=40.709、151.032、156.321、216.035)大鼠視網膜TNF-α+細胞數明顯多于假手術組,差異有統計學意義(P<0.01);NAS組大鼠視網膜TNF-α+細胞數明顯少于RIRI組,差異有統計學意義(F=15.408、570.482、21.070、13.767,P<0.05)(表3,圖5)。




假手術組大鼠視網膜各層均可見Nrf2+細胞,胞漿呈棕黃色。建模后12 h,RIRI組、NAS組大鼠視網膜GCL、INL均可見較多Nrf2+細胞,細胞核呈棕黃色(圖6)。假手術組大鼠視網膜Nrf2+細胞數為(184.27±20.49)個/mm2;建模后12 h,RIRI組、NAS組大鼠視網膜Nrf2+細胞數分別為(389.67±43.76)、(565.89±77.34)個/mm2。RIRI組大鼠視網膜Nrf2+細胞數明顯多于假手術組,差異有統計學意義(F=170.354,P<0.01);NAS組大鼠視網膜Nrf2+細胞數明顯多于RIRI組,差異有統計學意義(F=51.122,P<0.01)。

假手術組大鼠視網膜各層偶見少量HO-1+細胞;建模后12 h,RIRI組大鼠視網膜HO-1+細胞數顯著多于假手術組;NAS組大鼠視網膜GCL、INL可見大量HO-1+細胞(圖7)。假手術組大鼠視網膜HO-1+細胞數為(161.01±13.25)個/mm2;建模后12 h,RIRI組、NAS組大鼠視網膜HO-1+細胞數分別為(275.05±29.46)、(339.05±29.38)個/mm2。RIRI組大鼠視網膜HO-1+細胞數明顯多于假手術組,差異有統計學意義(F=105.083,P<0.01);NAS組大鼠視網膜HO-1+細胞數明顯多于RIRI組,差別有統計學意義(F=30.750,P<0.01)。

Western blot檢測結果顯示,假手術組大鼠視網膜中TNF-α蛋白相對表達量較低。建模后6 h,RIRI組、NAS組大鼠視網膜中TNF-α蛋白相對表達量開始升高,其中RIRI組至12 h達較高水平后下降,NAS組至建模后24 h達較高水平后下降;與假手術組比較,差異均有統計學意義(RIRI組:F=92.906、534.948、327.600、385.324,P<0.01;NAS組:F=33.943、79.729、74.057、64.488,P<0.01)(圖8)。

假手術組大鼠視網膜中Nrf2蛋白相對表達量為0.377±0.015;建模后12 h,RIRI組、NAS組大鼠視網膜中Nrf2蛋白相對表達量分別為0.760±0.031、0.980±0.058。假手術組大鼠視網膜中Nrf2蛋白相對表達量較少;建模后12 h,RIRI組大鼠視網膜中Nrf2蛋白相對表達量明顯高于假手術組,差異有統計學意義(F=371.932,P<0.01);NAS組大鼠視網膜中Nrf2蛋白相對表達量明顯高于RIRI、假手術組,差異均有統計學意義(F=33.972、307.200,P<0.05、<0.01)(圖9)。

假手術組視網膜中HO-1蛋白相對表達量為0.375±0.009;建模后12 h,RIRI組、NAS組大鼠視網膜中HO-1蛋白相對表達量分別為0.702±0.090、0.932±0.025。假手術組大鼠視網膜中HO-1蛋白相對表達量較少;RIRI組視網膜HO-1相對蛋白表達量明顯高于假手術組,差別有統計學意義(F=39.557,P<0.05);NAS組大鼠視網膜HO-1相對蛋白表達量明顯高于RIRI組、假手術組,差異均有統計學意義(F=18.283、1 361.927,P<0.05、<0.01)(圖10)。

一般線性回歸分析結果顯示,建模后12 h,RIRI組、NAS組TNF-α+細胞數差值與Nrf2+(r2=0.923)、HO-1+(r2=0.936)細胞數差值均呈負相關(P<0.01)(圖11)。

3 討論
RIRI常見于青光眼、糖尿病視網膜病變、視網膜血管阻塞等,可導致患者視力障礙甚至喪失[1]。本研究結果顯示,RIRI后6、12、24 h,視網膜細胞水腫且排列紊亂,視網膜厚度增加;RIRI后72 h,視網膜萎縮、變薄且RGC計數顯著降低,RIRI建模成功。在此基礎上,經NAS干預,RIRI后6、12、24 h,大鼠視網膜水腫減輕;而在RIRI后72 h,其視網膜厚度較RIRI組增厚。這提示NAS可改善RIRI大鼠視網膜細胞形態學,減輕RIRI,具有神經保護作用。
炎癥反應在RIRI的病理發展過程中發揮極其重要的作用,TNF-α是重要的促炎因子之一,可引發組織細胞水腫,形成并加重氧化應激反應,從而導致組織損傷[12]。本研究動態觀察結果顯示,建模后6 h,RIRI組大鼠視網膜GCL、INL可見較多TNF-α+細胞,12 h達到較高水平,且數量多于假手術組,其后下降,結果與文獻報道結果一致[13];建模后6 h,NAS組大鼠視網膜GCL、INL可見TNF-α+細胞,24 h達到較高水平,72 h后降低,各時間點均少于RIRI組;Western blot檢測結果顯示,建模后不同時間點NAS組大鼠視網膜中TNF-α蛋白相對表達量均低于RIRI組。這提示RIRI可促進大鼠視網膜細胞促炎因子TNF-α的表達,以建模后12 h為著;NAS可抑制RIRI大鼠視網膜中TNF-α蛋白的表達,但其機制尚有待于進一步研究。
Nrf2/HO-1信號通路在調控炎癥反應及氧化應激中占有重要地位。研究發現,RIRI早期,炎癥反應可活化Nrf2/HO-1通路,表現為Nrf2被激活,由胞漿入核啟動下游的HO-1表達[14],進而可抑制TNF-α蛋白的表達,減輕炎癥反應[15]。本研究結果顯示,建模后12 h,RIRI組大鼠視網膜中Nrf2、HO-1蛋白表達較假手術組增加,結果與文獻報道結果一致[16]。Yoo等[17]發現,NAS可促進氧化應激引起的小鼠海馬神經元細胞中Nrf2核轉位,激活Nrf2信號通路,對海馬神經元發揮神經保護作用,但NAS經Nrf2/HO-1通路對視網膜的保護作用尚未見報道。本研究Western blot檢測結果顯示,NAS組大鼠視網膜中Nrf2、HO-1蛋白水平均高于RIRI組;免疫組織化學染色結果也顯示NAS組大鼠視網膜胞核內Nrf2+、HO-1+細胞數多于RIRI組。這提示在RIRI中,NAS可通過促進視網膜Nrf2核轉位,上調Nrf2、HO-1蛋白的表達,進而抑制TNF-α蛋白表達水平,從而減輕RIRI。為進一步驗證此結果,本研究對建模后12 h時RIRI組、NAS組大鼠視網膜TNF-α+細胞數差值與Nrf2+、HO-1+細胞數差值進行相關性分析,發現兩組TNF-α+細胞數差值均與Nrf2+、HO-1+細胞數差值呈負相關,提示NAS可能通過Nrf2/HO-1通路抑制RIRI大鼠視網膜中TNF-α蛋白表達,從而減輕RIRI,發揮保護作用。
本研究結果表明,NAS可抑制RIRI大鼠視網膜中TNF-α蛋白表達,進而減輕RIRI,其機制可能與Nrf2/HO-1通路有關,具有神經保護作用。但有關NAS對大鼠視網膜電生理反應的影響、NAS治療的時效及其副作用以及NAS如何經Nrf2/HO-1通路調控炎性介質的表達,從而減輕RIRI,尚有待于進一步探究。