引用本文: 呼風, 王茹, 程奕喆, 彭曉燕. 急性視網膜壞死伴后鞏膜炎一例. 中華眼底病雜志, 2021, 37(8): 637-638. doi: 10.3760/cma.j.cn511434-20201126-00590 復制
患者女,40歲。因左眼突然視物模糊伴眼紅、眼球轉動痛7 d,于2020年1月6日到北京同仁醫院眼科中心就診。患者既往身體健康,無眼部疾病史;否認發熱、頭痛、咳嗽、胸痛、胃痛、潰瘍、皮膚病損及關節病;3周前接受宮內節育器植入手術。眼科檢查:右眼視力1.0;左眼視力0.1,未進行矯正。右眼、左眼眼壓分別為13、19 mm Hg(1 mm Hg=0.133 kPa)。右眼眼前節檢查未見異常;左眼結膜充血,角膜透明,可見羊脂狀角膜后沉著物(+),前房細胞(++),玻璃體混濁。眼底檢查,右眼有髓神經纖維(圖1A);左眼視盤致密玻璃體積血,周圍多個視網膜下白色病灶及視網膜動脈鞘(圖1B),無周邊視網膜局灶性病灶。光相干斷層掃描(OCT)檢查,左眼視網膜下液(圖1C)。眼B型超聲檢查,左眼玻璃體混濁,視網膜、脈絡膜水腫,鞏膜增厚(圖1D)。眼眶磁共振成像(MRI)檢查,左側視神經形態扭曲,稍增粗,視神經鞘稍增厚,DWI呈稍強信號。右眼OCT、眼B型超聲及眼眶MRI檢查均未見異常。顱腦MRI檢查無異常。患者血清學檢查示單純皰疹病毒(HSV)1- IgG、巨細胞病毒(CMV)-IgG、風疹病毒-IgG陽性。左眼房水聚合酶鏈反應檢測示HSV-1陽性(滴度:2.51×104/ml),帶狀皰疹病毒、CMV、Epstein-Barr病毒、內參基因26SrRNA、革蘭氏陰性菌脂多糖、真菌(1-3)-β-D葡聚糖陰性。眼房水白細胞介素-6水平38 696.2 pg/ml(參考值范圍1.0~50.0 pg/ml)。血常規及生化常規檢測結果正常。人類免疫缺陷病毒、梅毒、肝炎檢測結果陰性。診斷:左眼急性視網膜壞死(ARN)、左眼后鞏膜炎。

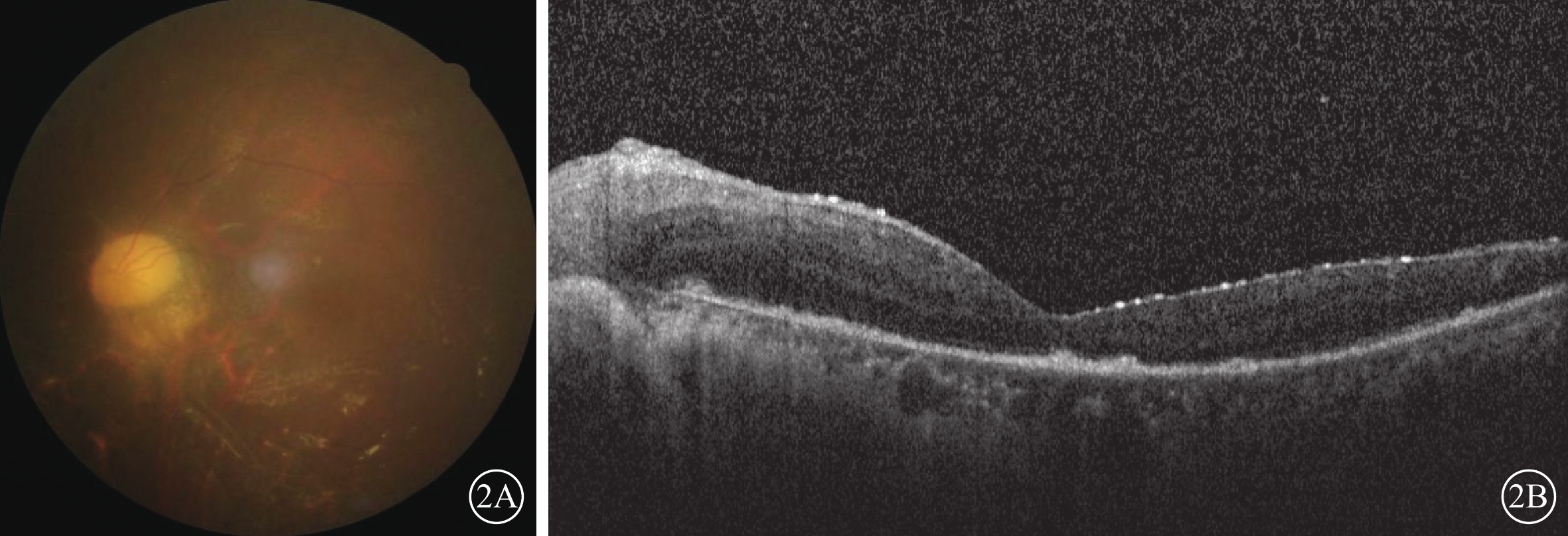
給予患者局部及系統抗病毒治療,玻璃體腔注射20 mg/ml更昔洛韋0.1 ml,每周2次,持續2周;每12小時靜脈滴注0.25 g注射用更昔洛韋,持續2周;口服泛昔洛韋分散片,0.25 g/次,3次/d,持續3個月。抗病毒治療后4 d開始,按1 mg/(kg·d)的劑量口服潑尼松龍,后逐漸減量。抗病毒治療后3 d,患者訴左眼眼球轉動痛緩解,但視力無改善。抗病毒治療后1周,眼底檢查可見左眼上方視網膜壞死灶。抗病毒治療后1個月,患者左眼因孔源性視網膜脫離行玻璃體切割聯合硅油填充手術。手術中見患眼視盤蒼白,黃斑區殘余小片灰白色水腫視網膜,伴血管白鞘;其余視網膜廣泛壞死呈“篩網”狀伴血管白線,可透見廣泛色素改變。手術后1個月,患者左眼視力眼前手動;眼底檢查可見左眼視盤蒼白,伴廣泛視網膜血管閉塞(圖2A);OCT檢查,左眼視網膜變薄、在位(圖2B)。

討論 ARN的特征性表現為起始于周邊視網膜的壞死病灶,患眼在未經抗病毒治療情況下,視網膜病灶逐漸融合并向后極部發展[1]。疾病早期缺乏周邊視網膜壞死灶容易導致ARN誤診或漏診。視神經病變是ARN的支持指征之一,可出現在ARN病變的各個時期,其相關視神經病變可表現為視盤水腫、視盤蒼白或正常外觀。本例患者在發病初期缺乏周邊視網膜壞死灶,視神經病變的視盤表現為始于視盤的玻璃體積血;發病前有系統手術史。基于上述眼底影像特征,并結合其眼房水HSV-1陽性結果,ARN診斷成立。
HSV-ARN的特點是視網膜后極部受累明顯,尤其是視盤[2-3]。其視神經受累的早期征象包括視盤充血水腫、視盤旁視網膜出血、視網膜靜脈擴張、神經纖維層和黃斑水腫[4]。視網膜脫離在HSV-ARN患者中很常見;此外,視網膜動脈阻塞和視神經受累也是導致HSV-ARN患者視力嚴重受損的常見原因[2,5]。Sergott等[6]定義了ARN相關視神經受累的絕對標準和相對標準。絕對標準包括:(1)傳入性瞳孔功能障礙,與視網膜病變不一致;(2)視網膜病變與視力、視野損害程度不一致;(3)24~36 h內視網膜病灶無相應變化,而視力突然下降至0.2或以下。相對標準包括:(1)視盤水腫;(2)通過CT掃描或B型超聲檢查發現視神經與其周圍間隙增大。既往研究報道,ARN相關視神經病變的視神經表現包括視盤水腫、視盤蒼白或表現正常[4]。本例患者視力突然下降伴眼球轉動痛,視神經增粗、信號增強,以上均表明其視神經受累。但值得注意的是,視神經病變、鞏膜炎、眼痛被提出作為是ARN診斷的支持性征象,而非確診ARN所必須的條件。
皰疹病毒是感染性鞏膜炎最常見的病因,皰疹病毒相關性鞏膜炎最常表現為急性單眼彌漫性前鞏膜炎,常伴有前葡萄膜炎或周邊角膜炎[7]。Ramsay等[8]認為,前鞏膜炎可能是ARN的眼局部反應。與既往報道不同,本例患者具有后鞏膜炎的癥狀及超聲學依據。后鞏膜炎和視神經炎的眼底均可表現視盤水腫、盤緣少許出血、靜脈擴張,但是后鞏膜炎累及視盤改變較輕,后鞏膜炎可引起黃斑區滲出性視網膜脫離[9]。而黃斑區視網膜脫離罕見于ARN患者,我們分析本例患者黃斑區視網膜脫離與合并后鞏膜炎有關。其表現為始于視盤的玻璃體積血,這可能與HSV對于視盤血管的直接侵襲有關。此外,本例患者視盤周圍有位于脈絡膜層的黃白色病灶,并非視網膜壞死病灶,推測這可能與脈絡膜層次的局灶性病毒浸潤及繼發的炎癥反應有關。手術后OCT檢查可見視網膜外層結構缺如,也符合脈絡膜炎導致的視網膜損害而非視網膜壞死的改變。
手術可能是ARN的危險因素。Rochat等[10]報道,大多數看似免疫功能正常的ARN患者,實則細胞免疫受損。Chen等[11]報道,手術、麻醉、創傷是潛在的皰疹病毒重新激活的危險因素。本例患者既往身體健康,僅發病前3周接受宮內節育器植入手術。目前雖無證據表明手術與ARN的直接關聯,但其可能是ARN的誘發因素之一。皰疹病毒感染是全身性手術后急性眼部感染的潛在病因之一,尤其是伴視神經病變和鞏膜炎的全葡萄膜炎患者。本例患者的診治經驗提示臨床,對于ARN患者,及時、準確的診斷和治療至關重要。
患者女,40歲。因左眼突然視物模糊伴眼紅、眼球轉動痛7 d,于2020年1月6日到北京同仁醫院眼科中心就診。患者既往身體健康,無眼部疾病史;否認發熱、頭痛、咳嗽、胸痛、胃痛、潰瘍、皮膚病損及關節病;3周前接受宮內節育器植入手術。眼科檢查:右眼視力1.0;左眼視力0.1,未進行矯正。右眼、左眼眼壓分別為13、19 mm Hg(1 mm Hg=0.133 kPa)。右眼眼前節檢查未見異常;左眼結膜充血,角膜透明,可見羊脂狀角膜后沉著物(+),前房細胞(++),玻璃體混濁。眼底檢查,右眼有髓神經纖維(圖1A);左眼視盤致密玻璃體積血,周圍多個視網膜下白色病灶及視網膜動脈鞘(圖1B),無周邊視網膜局灶性病灶。光相干斷層掃描(OCT)檢查,左眼視網膜下液(圖1C)。眼B型超聲檢查,左眼玻璃體混濁,視網膜、脈絡膜水腫,鞏膜增厚(圖1D)。眼眶磁共振成像(MRI)檢查,左側視神經形態扭曲,稍增粗,視神經鞘稍增厚,DWI呈稍強信號。右眼OCT、眼B型超聲及眼眶MRI檢查均未見異常。顱腦MRI檢查無異常。患者血清學檢查示單純皰疹病毒(HSV)1- IgG、巨細胞病毒(CMV)-IgG、風疹病毒-IgG陽性。左眼房水聚合酶鏈反應檢測示HSV-1陽性(滴度:2.51×104/ml),帶狀皰疹病毒、CMV、Epstein-Barr病毒、內參基因26SrRNA、革蘭氏陰性菌脂多糖、真菌(1-3)-β-D葡聚糖陰性。眼房水白細胞介素-6水平38 696.2 pg/ml(參考值范圍1.0~50.0 pg/ml)。血常規及生化常規檢測結果正常。人類免疫缺陷病毒、梅毒、肝炎檢測結果陰性。診斷:左眼急性視網膜壞死(ARN)、左眼后鞏膜炎。

給予患者局部及系統抗病毒治療,玻璃體腔注射20 mg/ml更昔洛韋0.1 ml,每周2次,持續2周;每12小時靜脈滴注0.25 g注射用更昔洛韋,持續2周;口服泛昔洛韋分散片,0.25 g/次,3次/d,持續3個月。抗病毒治療后4 d開始,按1 mg/(kg·d)的劑量口服潑尼松龍,后逐漸減量。抗病毒治療后3 d,患者訴左眼眼球轉動痛緩解,但視力無改善。抗病毒治療后1周,眼底檢查可見左眼上方視網膜壞死灶。抗病毒治療后1個月,患者左眼因孔源性視網膜脫離行玻璃體切割聯合硅油填充手術。手術中見患眼視盤蒼白,黃斑區殘余小片灰白色水腫視網膜,伴血管白鞘;其余視網膜廣泛壞死呈“篩網”狀伴血管白線,可透見廣泛色素改變。手術后1個月,患者左眼視力眼前手動;眼底檢查可見左眼視盤蒼白,伴廣泛視網膜血管閉塞(圖2A);OCT檢查,左眼視網膜變薄、在位(圖2B)。

討論 ARN的特征性表現為起始于周邊視網膜的壞死病灶,患眼在未經抗病毒治療情況下,視網膜病灶逐漸融合并向后極部發展[1]。疾病早期缺乏周邊視網膜壞死灶容易導致ARN誤診或漏診。視神經病變是ARN的支持指征之一,可出現在ARN病變的各個時期,其相關視神經病變可表現為視盤水腫、視盤蒼白或正常外觀。本例患者在發病初期缺乏周邊視網膜壞死灶,視神經病變的視盤表現為始于視盤的玻璃體積血;發病前有系統手術史。基于上述眼底影像特征,并結合其眼房水HSV-1陽性結果,ARN診斷成立。
HSV-ARN的特點是視網膜后極部受累明顯,尤其是視盤[2-3]。其視神經受累的早期征象包括視盤充血水腫、視盤旁視網膜出血、視網膜靜脈擴張、神經纖維層和黃斑水腫[4]。視網膜脫離在HSV-ARN患者中很常見;此外,視網膜動脈阻塞和視神經受累也是導致HSV-ARN患者視力嚴重受損的常見原因[2,5]。Sergott等[6]定義了ARN相關視神經受累的絕對標準和相對標準。絕對標準包括:(1)傳入性瞳孔功能障礙,與視網膜病變不一致;(2)視網膜病變與視力、視野損害程度不一致;(3)24~36 h內視網膜病灶無相應變化,而視力突然下降至0.2或以下。相對標準包括:(1)視盤水腫;(2)通過CT掃描或B型超聲檢查發現視神經與其周圍間隙增大。既往研究報道,ARN相關視神經病變的視神經表現包括視盤水腫、視盤蒼白或表現正常[4]。本例患者視力突然下降伴眼球轉動痛,視神經增粗、信號增強,以上均表明其視神經受累。但值得注意的是,視神經病變、鞏膜炎、眼痛被提出作為是ARN診斷的支持性征象,而非確診ARN所必須的條件。
皰疹病毒是感染性鞏膜炎最常見的病因,皰疹病毒相關性鞏膜炎最常表現為急性單眼彌漫性前鞏膜炎,常伴有前葡萄膜炎或周邊角膜炎[7]。Ramsay等[8]認為,前鞏膜炎可能是ARN的眼局部反應。與既往報道不同,本例患者具有后鞏膜炎的癥狀及超聲學依據。后鞏膜炎和視神經炎的眼底均可表現視盤水腫、盤緣少許出血、靜脈擴張,但是后鞏膜炎累及視盤改變較輕,后鞏膜炎可引起黃斑區滲出性視網膜脫離[9]。而黃斑區視網膜脫離罕見于ARN患者,我們分析本例患者黃斑區視網膜脫離與合并后鞏膜炎有關。其表現為始于視盤的玻璃體積血,這可能與HSV對于視盤血管的直接侵襲有關。此外,本例患者視盤周圍有位于脈絡膜層的黃白色病灶,并非視網膜壞死病灶,推測這可能與脈絡膜層次的局灶性病毒浸潤及繼發的炎癥反應有關。手術后OCT檢查可見視網膜外層結構缺如,也符合脈絡膜炎導致的視網膜損害而非視網膜壞死的改變。
手術可能是ARN的危險因素。Rochat等[10]報道,大多數看似免疫功能正常的ARN患者,實則細胞免疫受損。Chen等[11]報道,手術、麻醉、創傷是潛在的皰疹病毒重新激活的危險因素。本例患者既往身體健康,僅發病前3周接受宮內節育器植入手術。目前雖無證據表明手術與ARN的直接關聯,但其可能是ARN的誘發因素之一。皰疹病毒感染是全身性手術后急性眼部感染的潛在病因之一,尤其是伴視神經病變和鞏膜炎的全葡萄膜炎患者。本例患者的診治經驗提示臨床,對于ARN患者,及時、準確的診斷和治療至關重要。