引用本文: 雷濤, 王潤生, 雷春靈, 鄭波, 張博, 周曉梁, 馬騰, 安金金. 甲基丙二酸尿癥致黃斑營養不良一例. 中華眼底病雜志, 2021, 37(7): 552-554. doi: 10.3760/cma.j.cn511434-20201031-00528 復制
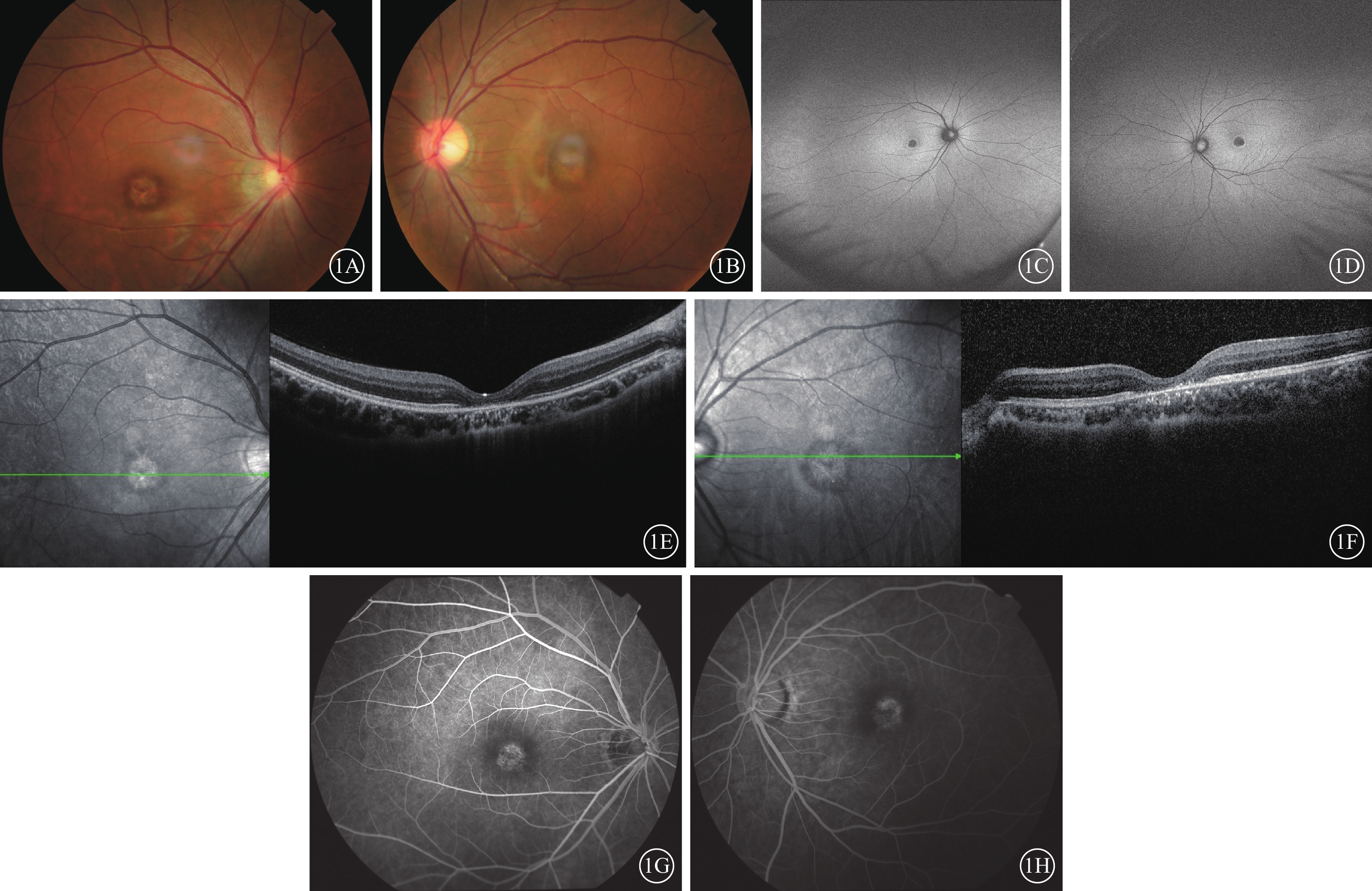
患者男,17歲。因雙眼視力減退1年于2019年1月26日到西安市人民醫院(西安市第四醫院)眼科就診。患者自幼運動能力差,學習成績一般,反應遲鈍4年余;現雙下肢無力、步態異常2年余;癲癇發作2年。外院神經內科診斷為“吉蘭-巴雷綜合征、癲癇”。眼部檢查:右眼、左眼最佳矯正視力(BCVA)分別為-5.50DS/-0.50DC×180°→0.3、-2.00DS/-2.50DC×180°→0.2。右眼、左眼眼壓分別為10.7、10.4 mm Hg(1 mm Hg =0.133 kPa)。雙眼眼前節未見異常。眼底檢查,雙眼視盤邊界清楚、顏色正常,黃斑區可見大小約1個視盤直徑(DD)的灰黃色病灶,周圍深色環包繞,視網膜血管未見異常(圖1A,1B)。眼底自身熒光(FAF)檢查,雙眼黃斑區圓形弱自身熒光,周圍強自身熒光環(圖1C,1D)。光相干斷層掃描(OCT)檢查,黃斑區視網膜變薄,外界膜和橢圓體帶中斷不連續,解剖結構不清晰,色素上皮層萎縮區脈絡膜強反射信號(圖1E,1F)。熒光素眼底血管造影(FFA)檢查,動脈期雙眼黃斑區可見大小約1 DD的透見熒光灶;動靜脈期透見熒光逐漸增強,病灶中有色素顆粒樣遮蔽熒光(圖1G,1H)。閃光視網膜電圖檢查,明適應a波、b波振幅降低(圖2)。圖形視覺誘發電位檢查,雙眼0.5、1.0、2.0 cpd P100波峰時延長,左眼1.0、2.0 cpd P100波振幅降低(圖3)。顱腦、眼眶核磁共振成像檢查未見異常。血清同型半胱氨酸(Hcy)159.40 μmmol/L(參考值范圍4.00~15.40 μmmol/L);血清維生素B12 1884 pg/ml(參考值范圍197~771 pg/ml)。尿液有機酸檢測,甲基丙二酸309.81 nmol/L(北京海斯特醫學檢驗實驗室,參考值范圍0.2~3.6 nmol/L)。基因檢測發現MMACHC錯義突變MMACHC:NM_015506:exon3:c.A365T:p.H122L,無義突變MMACHC:NM_015506:exon4:c.G609A:p.W203X(圖4A,4B)。一代測序技術驗證結果顯示,這兩個變異分別遺傳自父親和母親,共構成復合雜合變異(圖4C)。結合患者眼部改變特征及基因測序結果,診斷:甲基丙二酸尿癥[高同型半胱氨酸血癥(cblC)型]、黃斑營養不良。




給予患者甲鈷胺、腺苷鈷胺、左卡尼汀口服治療。2019年6月復查,患者右眼BCVA -5.50DS/-0.50DC×30°→0.5,左眼BCVA -2.00DS/-2.50DC×180°→0.5。血清Hcy 14.60 μmmol/L。患者未再出現癲癇發作;雙下肢無力及步態異常好轉。2020年8月復查,其眼底、OCT檢查均較治療前無明顯變化。
討論 甲基丙二酸尿癥cblC型是先天性細胞內鈷胺素代謝異常,是由位于1p34.1染色體上的MMACHC基因(OMIM *609831)突變引起[1]。神經節細胞對超氧化物誘導的凋亡特別敏感,鈷胺素除了作為代謝過程中的一種輔助因子,還有助于維持細胞的還原-氧化狀態,通過清除超氧化物起到保護神經作用[2]。甲基丙二酸尿癥cblC型臨床表現多樣可能取決于不同的MMACHC突變的性質,在中國人群中,C.609G>A無義突變或c.482G>A錯義突變更為常見[3]。本例患者基因檢測結果變異1為錯義突變:MMACHC:NM_015506:exon3:c.A365T:p.H122L,變異2為無義突變:MMACHC:NM_015506:exon4:c.G609A:p.W203X,一代測序驗證兩個變異分別遺傳自他的父親和母親,構成復合雜合變異。
甲基丙二酸尿癥cblC型患者眼底表現缺乏典型特征性改變,常常表現為黃斑區視網膜變薄,外界膜和橢圓體帶中斷不連續,萎縮灶周圍有一個色素環包繞,“鹽”樣和“胡椒”樣色素改變通常從周圍到視網膜的其他部位[4]。OCT檢查可見視網膜厚度變薄,神經節細胞層和神經纖維層變薄[5];FFA檢查可見黃斑區透見熒光;FAF檢查可見黃斑區弱自身熒光,萎縮灶周圍強自身熒光環[6]。血清Hcy和尿液中甲基丙二酸濃度升高是甲基丙二酸尿癥cblC型患者的重要指標,血清總Hcy是快速診斷和隨訪觀察治療效果的指標。確定診斷之前需要測定血漿維生素B12水平,排除因維生素B12吸收障礙所導致的營養缺乏[7]。本例患者在發現雙側黃斑區視網膜萎縮后就診,追問病史發現,患者自幼運動能力差,近4年逐漸出現反應遲鈍,雙下肢無力、步態異常以及癲癇發作等臨床癥狀,血清Hcy和尿液中甲基丙二酸濃度升高,眼底、FFA、FAF及OCT檢查特征均與之吻合,結合基因檢測結果證實甲基丙二酸尿癥cblC型、黃斑營養不良診斷成立。
甲基丙二酸尿癥cblC型致黃斑營養不良容易誤診為Stargardt病。Stargardt病表現為進行性中心視力下降,色覺異常、畏光和暗適應減慢等,視網膜黃白色“魚”樣斑點是特征性眼底表現[8-10]。FAF成像最為清晰,疾病早期為黃斑區黃白色“魚”樣斑點,呈強自身熒光,隨著病程的進展變為弱自身熒光,并且由黃斑區向周邊部視網膜擴展[11-12]。Stargardt病常因ABCA4基因突變引起[13-14],而在診斷遺傳性黃斑營養不良之前需要鑒別MMACHC基因突變所致的黃斑營養不良,發現“牛眼”樣黃斑萎縮者需要注意全身及神經系統癥狀、體征[15]。
甲基丙二酸尿癥cblC型患者確定診斷后應盡快開始替代治療,有助于改善其臨床癥狀,降低血清Hcy和甲基丙二酸水平[16]。替代治療藥物包括左旋肉堿、甜菜堿、葉酸、腺苷鈷胺和甲鈷胺[7]。本例患者服用甲鈷胺、腺苷鈷胺、左卡尼汀替代治療后,BCVA有所提高,血清Hcy降至正常水平,未再出現癲癇發作,雙下肢無力及步態異常好轉,但眼底表現與治療前相比無明顯變化,其可能的原因是鈷胺素代謝異常致神經節細胞結構發生了不可逆性損害。
青少年或成人出現黃斑營養不良,特別是合并認知功能障礙、共濟失調、癲癇等神經系統癥狀,且其血漿Hcy水平增高時,需要考慮甲基丙二酸尿癥cblC型[7]。對MMACHC基因突變進行遺傳分析,以便早期確定診斷。
患者男,17歲。因雙眼視力減退1年于2019年1月26日到西安市人民醫院(西安市第四醫院)眼科就診。患者自幼運動能力差,學習成績一般,反應遲鈍4年余;現雙下肢無力、步態異常2年余;癲癇發作2年。外院神經內科診斷為“吉蘭-巴雷綜合征、癲癇”。眼部檢查:右眼、左眼最佳矯正視力(BCVA)分別為-5.50DS/-0.50DC×180°→0.3、-2.00DS/-2.50DC×180°→0.2。右眼、左眼眼壓分別為10.7、10.4 mm Hg(1 mm Hg =0.133 kPa)。雙眼眼前節未見異常。眼底檢查,雙眼視盤邊界清楚、顏色正常,黃斑區可見大小約1個視盤直徑(DD)的灰黃色病灶,周圍深色環包繞,視網膜血管未見異常(圖1A,1B)。眼底自身熒光(FAF)檢查,雙眼黃斑區圓形弱自身熒光,周圍強自身熒光環(圖1C,1D)。光相干斷層掃描(OCT)檢查,黃斑區視網膜變薄,外界膜和橢圓體帶中斷不連續,解剖結構不清晰,色素上皮層萎縮區脈絡膜強反射信號(圖1E,1F)。熒光素眼底血管造影(FFA)檢查,動脈期雙眼黃斑區可見大小約1 DD的透見熒光灶;動靜脈期透見熒光逐漸增強,病灶中有色素顆粒樣遮蔽熒光(圖1G,1H)。閃光視網膜電圖檢查,明適應a波、b波振幅降低(圖2)。圖形視覺誘發電位檢查,雙眼0.5、1.0、2.0 cpd P100波峰時延長,左眼1.0、2.0 cpd P100波振幅降低(圖3)。顱腦、眼眶核磁共振成像檢查未見異常。血清同型半胱氨酸(Hcy)159.40 μmmol/L(參考值范圍4.00~15.40 μmmol/L);血清維生素B12 1884 pg/ml(參考值范圍197~771 pg/ml)。尿液有機酸檢測,甲基丙二酸309.81 nmol/L(北京海斯特醫學檢驗實驗室,參考值范圍0.2~3.6 nmol/L)。基因檢測發現MMACHC錯義突變MMACHC:NM_015506:exon3:c.A365T:p.H122L,無義突變MMACHC:NM_015506:exon4:c.G609A:p.W203X(圖4A,4B)。一代測序技術驗證結果顯示,這兩個變異分別遺傳自父親和母親,共構成復合雜合變異(圖4C)。結合患者眼部改變特征及基因測序結果,診斷:甲基丙二酸尿癥[高同型半胱氨酸血癥(cblC)型]、黃斑營養不良。




給予患者甲鈷胺、腺苷鈷胺、左卡尼汀口服治療。2019年6月復查,患者右眼BCVA -5.50DS/-0.50DC×30°→0.5,左眼BCVA -2.00DS/-2.50DC×180°→0.5。血清Hcy 14.60 μmmol/L。患者未再出現癲癇發作;雙下肢無力及步態異常好轉。2020年8月復查,其眼底、OCT檢查均較治療前無明顯變化。
討論 甲基丙二酸尿癥cblC型是先天性細胞內鈷胺素代謝異常,是由位于1p34.1染色體上的MMACHC基因(OMIM *609831)突變引起[1]。神經節細胞對超氧化物誘導的凋亡特別敏感,鈷胺素除了作為代謝過程中的一種輔助因子,還有助于維持細胞的還原-氧化狀態,通過清除超氧化物起到保護神經作用[2]。甲基丙二酸尿癥cblC型臨床表現多樣可能取決于不同的MMACHC突變的性質,在中國人群中,C.609G>A無義突變或c.482G>A錯義突變更為常見[3]。本例患者基因檢測結果變異1為錯義突變:MMACHC:NM_015506:exon3:c.A365T:p.H122L,變異2為無義突變:MMACHC:NM_015506:exon4:c.G609A:p.W203X,一代測序驗證兩個變異分別遺傳自他的父親和母親,構成復合雜合變異。
甲基丙二酸尿癥cblC型患者眼底表現缺乏典型特征性改變,常常表現為黃斑區視網膜變薄,外界膜和橢圓體帶中斷不連續,萎縮灶周圍有一個色素環包繞,“鹽”樣和“胡椒”樣色素改變通常從周圍到視網膜的其他部位[4]。OCT檢查可見視網膜厚度變薄,神經節細胞層和神經纖維層變薄[5];FFA檢查可見黃斑區透見熒光;FAF檢查可見黃斑區弱自身熒光,萎縮灶周圍強自身熒光環[6]。血清Hcy和尿液中甲基丙二酸濃度升高是甲基丙二酸尿癥cblC型患者的重要指標,血清總Hcy是快速診斷和隨訪觀察治療效果的指標。確定診斷之前需要測定血漿維生素B12水平,排除因維生素B12吸收障礙所導致的營養缺乏[7]。本例患者在發現雙側黃斑區視網膜萎縮后就診,追問病史發現,患者自幼運動能力差,近4年逐漸出現反應遲鈍,雙下肢無力、步態異常以及癲癇發作等臨床癥狀,血清Hcy和尿液中甲基丙二酸濃度升高,眼底、FFA、FAF及OCT檢查特征均與之吻合,結合基因檢測結果證實甲基丙二酸尿癥cblC型、黃斑營養不良診斷成立。
甲基丙二酸尿癥cblC型致黃斑營養不良容易誤診為Stargardt病。Stargardt病表現為進行性中心視力下降,色覺異常、畏光和暗適應減慢等,視網膜黃白色“魚”樣斑點是特征性眼底表現[8-10]。FAF成像最為清晰,疾病早期為黃斑區黃白色“魚”樣斑點,呈強自身熒光,隨著病程的進展變為弱自身熒光,并且由黃斑區向周邊部視網膜擴展[11-12]。Stargardt病常因ABCA4基因突變引起[13-14],而在診斷遺傳性黃斑營養不良之前需要鑒別MMACHC基因突變所致的黃斑營養不良,發現“牛眼”樣黃斑萎縮者需要注意全身及神經系統癥狀、體征[15]。
甲基丙二酸尿癥cblC型患者確定診斷后應盡快開始替代治療,有助于改善其臨床癥狀,降低血清Hcy和甲基丙二酸水平[16]。替代治療藥物包括左旋肉堿、甜菜堿、葉酸、腺苷鈷胺和甲鈷胺[7]。本例患者服用甲鈷胺、腺苷鈷胺、左卡尼汀替代治療后,BCVA有所提高,血清Hcy降至正常水平,未再出現癲癇發作,雙下肢無力及步態異常好轉,但眼底表現與治療前相比無明顯變化,其可能的原因是鈷胺素代謝異常致神經節細胞結構發生了不可逆性損害。
青少年或成人出現黃斑營養不良,特別是合并認知功能障礙、共濟失調、癲癇等神經系統癥狀,且其血漿Hcy水平增高時,需要考慮甲基丙二酸尿癥cblC型[7]。對MMACHC基因突變進行遺傳分析,以便早期確定診斷。