引用本文: 王瓊, 丁小燕, 黃思建, 黎小瑜, 孫立梅, 李松珊, 張婷, 黃莉, 李加青. 色素失禁癥相關視網膜病變12例患者臨床分析. 中華眼底病雜志, 2021, 37(4): 277-283. doi: 10.3760/cma.j.cn511434-20200826-00407 復制
色素失禁癥(IP)又稱為Bloch Sulzberger綜合征,是一種臨床較少見的X染色體顯性遺傳病,其致病基因為IKBKG(又稱為NEMO),定位于Xq28[1]。由于男性患者多于出生前死亡[2],臨床所見患者多為女性。IP主要影響外胚層器官,引起皮膚、牙、骨骼、眼和神經系統多種變化,其中35%~77%的患者累及眼部[3]。IP相關視網膜病變與早產兒視網膜病變(ROP)相似,多表現為視網膜血管異常,包括存在無血管區、血管紆曲擴張和閉塞、新生血管形成等,晚期玻璃體增生引起滲出性或牽引性視網膜脫離,部分患眼伴有視神經萎縮、斜視、白內障、眼球震顫等[2]。目前關于IP相關視網膜病變多為個案報道。我們回顧性分析了一組IP患者的臨床資料,現將結果報道如下。
1 對象和方法
回顧性臨床病例研究。本研究經中山大學中山眼科中心倫理委員會審批(倫理編號:2014MEKY048)。行基因檢測者,患兒監護人或患者均獲知情并簽署相關書面文件。
2015年1月至2018年12月于中山大學中山眼科中心檢查確診的IP或IP相關視網膜病變患者12例24只眼納入本研究。年齡>4歲患者行最佳矯正視力(BCVA)檢查和眼壓測量。所有患者均于表面麻醉或全身麻醉下行眼前節、玻璃體、眼底檢查。眼底檢查采用兒童廣角數碼視網膜成像系統或激光掃描檢眼鏡進行,必要時行熒光素眼底血管造影(FFA)檢查。行基因檢測8例。
詳細詢問家族遺傳史,特別注意患者母親皮膚情況和眼病表現。記錄患兒出生孕周、生產方式、出生體重和全身病史;母親孕期用藥史、流產史。
參照文獻[4]的標準確立IP診斷標準:(1)有陽性家族史者,符合1條以下主要指標:①典型皮疹史;②色素沉著;③皮膚毛發損傷;④禿頂;⑤牙齒異常;⑥視網膜病變;⑦多次妊娠男胎流產證據。(2)無陽性家族史者,至少需要1條以下主要指標及1條次要指標。主要指標:①典型新生兒期紅斑、水皰,水皰內含嗜酸性粒細胞;②典型軀干部線狀色素沉著;③皮膚線狀萎縮或禿發。次要指標:①牙齒異常;②禿發;③指甲異常;④視網膜病變。
參照文獻[5-6]的分類方法對IP相關視網膜病變進行分級(表1)。雙眼等級不同者定義為不對稱型。

符合以下至少1項時定義為有活動性病變:(1)周邊視網膜有大于10個視盤直徑的無血管區,并伴有血管擴張、紆曲改變。(2)有明確視網膜新生血管及滲漏。(3)可見視網膜出血或玻璃體積血。(4)局限的牽引性視網膜脫離。有活動性病變者,給予抗血管內皮生長因子(VEGF)藥物治療、視網膜激光光凝或玻璃體切割手術(PPV);無活動性病變者給予觀察。所有患者1~3個月隨訪1次。隨訪時間6~42個月,平均隨訪時間18.7個月。
行基因檢測的8例患者,抽取外周靜脈血5 ml,按標準流程提取基因組DNA,對質量達標樣品構建測序文庫。利用液相雜交法將探針與目標區域結合,洗去非目標區域片段后,將目標區域回收并進行擴增。質檢合格的樣品在精確定量后進行高通量測序,使用全外顯子檢測模塊對23 585個基因編碼區進行檢測。根據文獻[7]報道,IP與IKBKG基因4~10號外顯子缺失有關,設計引物In2和JF3R。長片段聚合酶鏈式反應(L-PCR)對IKBKG基因4~10號外顯子進行檢測。其余外顯子區域因存在假基因(ΔIKBKG),采用目前可獲得的方法難以查出。
采用IBM SPSS25.0軟件行統計學分析。離散型變量(如患者例數等)以頻數和頻率(百分數)表示;連續型變量使用正態性Kolmogotov-Smirnov方法進行正態性檢驗;符合正態分布的變量以平均數和標準差表示,并使用t檢驗進行總體均值的比較;不符合正態分布的變量以中位數表示,并使用非參數檢驗(Mann-Whitney U檢驗)進行總體中位數的比較。P<0.05為差異有統計學意義。
2 結果
患者均為女性。首診眼科時年齡1個月~31歲,平均年齡(6.3±9.8)歲。≤10歲9例(75%,9/12),其中<1歲3例;>10歲3例(25%,3/12),其中>18歲2例。試管嬰兒1例。順產8例,剖宮產4例。早產兒2例,其中胎齡33、35周各1例;足月兒10例,其中胎齡37~41周7例,>41周3例。出生體重<2500 g 3例,2800~4000 g 9例。4例患者母親幼時有皮膚病變,均未獲診斷。所有患者母親均未發現明顯眼部病變。5例患者母親曾有自然流產史,其中≥2次者3例,1次者2例(表2)。

因皮膚病變兒科確診IP者6例(50%,6/12)。其中,根據兒科醫生建議主動行眼科篩查(轉診者)3例(25%,3/12),其平均年齡(0.4±0.5)歲(中位年齡:2個月),首診既確診;未獲轉診建議9例(非轉診者),包括因視力障礙首診眼科者3例(25%,3/12)和眼科就診前未確診IP者6例(50%,6/12),其首診平均年齡(8.2±10.8)歲(中位年齡:3歲)。非轉診者首診年齡較轉診者大,差異有統計學意義(Z=?2.141,P<0.05)。非轉診者9例中,因視力不佳、眼球小、白瞳、斜視而就診者分別為6、1、1、1例。
12例中,四肢或軀干部散在色素沉著9例,色素消退期皮膚表現2例,無相關皮膚改變1例。4歲以上首診患兒皮膚改變輕微。瘢痕性頂禿5例。牙齒發育異常8例,包括缺牙、呈錐形牙、牙齒切緣不規整。合并癲癇、動脈導管未閉、房間隔缺損、甲狀腺功能低下1例;未見其他全身改變11例(表2)。
行BCVA檢查和眼壓測量3例6只眼。其中,BCVA無光感者2只眼;手動/50 cm者1只眼;0.32~1.0者3只眼。眼壓均未見異常。眼底未見明顯異常1例2只眼(8.3%,2/24)。IP相關視網膜病變11例22只眼(91.7%,22/24)。24只眼中,玻璃體積血1只眼(4.2%,1/24),視網膜色素上皮(RPE)異常或脫失5只眼(20.8%,5/24),視網膜皺襞(圖1A)1只眼(4.2%,1/24),黃斑異位(圖1B)1只眼(4.2%,1/24),視網膜周邊部無血管區(圖1C)3只眼(12.5%,3/24),視網膜新生血管(圖1D)5只眼(20.8%,5/24),全周視網膜脫離、眼球萎縮(圖1E)6只眼(25.0%,6/24)。

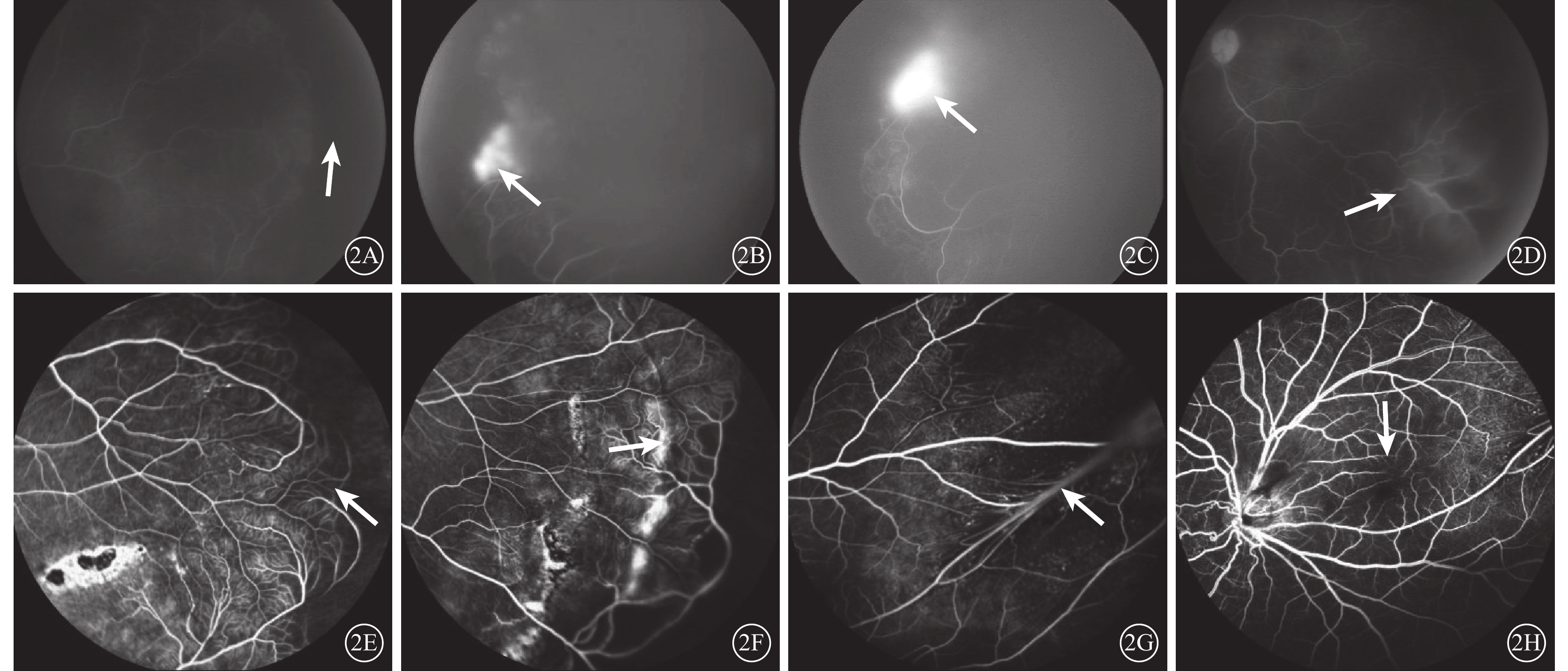
11例15只眼行FFA檢查,7例7只眼因對側眼全視網膜脫離未行FFA檢查。其中,未見明顯異常1只眼,視網膜周邊無血管區(圖2A)13只眼(86.7%,13/15),視網膜新生血管局灶性強熒光且晚期熒光素滲漏增大(圖2B)6只眼(40%,6/15),視網膜末梢血管紆曲、擴張伴輕微熒光素滲漏者(圖2C)9只眼(60%,9/15),視網膜周邊部血管吻合支(圖2D)6只眼(40%,6/15),周邊末梢血管襻樣改變(圖2E)4只眼(26.7%,4/15),視網膜皺襞(圖2F)2只眼(13.3%,2/15),黃斑區無血管區縮小(圖2G)2只眼(13.3%,2/15),黃斑部異常視網膜血管1只眼(6.7%,1/15),視網膜前出血1只眼(6.7%,1/15)。

24只眼中,存在并發癥10只眼(41.7%,10/24)。其中,并發性白內障8只眼(33.3%,8/24),眼球震顫2只眼(8.3%,2/24),繼發性青光眼、高度近視、直覺性內斜視及眼球萎縮各1只眼(4.2%,1/24)。
IP相關視網膜病變分級結果顯示,根據Holmstrom和Thoren[5]分類法,24只眼中,眼底未見明顯異常者1只眼,1、2、3級者分別為5、9、9只眼。雙眼對稱者3例,不對稱者9例。轉診者3例6只眼中,未見明顯異常1只眼,1、2、3級分別為2、2、1只眼。非轉診者9例18只眼中,1、2、3級分別為3、7、8只眼。根據Peng等[6]分類法,24只眼中,眼底未見明顯異常2只眼,1、2、3、4、5級分別為5、2、8、1、6只眼。雙眼對稱者4例,不對稱者8例。轉診者3例6只眼中,眼底未見明顯異常2只眼;1、2、3級分別為2、1、1只眼,平均級數1.167級(中位級數:1級)。非轉診者9例18只眼中,1、2、3、4、5級分別為3、1、7、1、6只眼,平均級數為3.334級(中位級數:3級)。轉診者、非轉診者視網膜病變分級比較,差異有統計學意義(Z=?2.752,P=0.006)(表3)。

24只眼中,眼底有活動性病變7只眼(29.2%,7/24)。其中,視網膜周邊部新生血管6只眼;玻璃體積血合并高眼壓1只眼。行單純視網膜激光光凝治療2只眼,單次抗VEGF藥物治療1只眼,激光聯合抗VEGF藥物治療1只眼,PPV聯合激光光凝治療2只眼,預防性激光虹膜周邊切除1只眼。眼底無活動性病變17只眼。隨訪期間,眼底病變未進展23只眼。凡進行視網膜激光光凝治療者視網膜病變活動性有效控制(圖3),且隨訪期內無明顯進展;僅1只眼行單純抗VEGF藥物治療者復發視網膜視盤新生血管,再次行抗VEGF藥物治療,效果不佳,因患兒腦電圖提示癲癇,患兒家屬拒絕全身麻醉下行激光治療,末次隨訪時發展為玻璃體積血。

行基因檢測的8例中,IKBKG基因4~10號外顯子缺失(圖4)3例(37.5%,3/8),該突變是已知突變[7-8]。檢出基因突變者與未檢出者之間,臨床表型未見明顯差異。

3 討論
IP或Bloch-Sulzberger綜合征是一種罕見的X連鎖顯性多系統疾病,主要累及皮膚、牙、眼、神經系統及骨骼等外胚層組織[4, 9]。90%以上患者出生后出現皮膚改變,表現為四肢及軀干部散在色素沉著,且皮膚改變為自限性,至學齡前可完全消退。本組12例患者中,轉診至眼科進行主動篩查3例,以眼科癥狀為首診9例。患兒家長主訴中均未提及皮膚病變,顏面部等暴露區域也未見皮膚改變,在進一步詢問皮膚病史或全身皮膚檢查時,明確具有皮膚特征性改變進而確立診斷。臨床中年輕女性出現不明原因視網膜新生血管或增生性改變時,需要考慮IP的可能。
IP最具特征性病變包括視網膜血管發育異常和RPE改變,常出現視網膜缺血和新生血管,伴有出血、滲出、纖維增生和牽拉性視網膜脫離,與ROP和家族性滲出性視網膜病變(FEVR)不易鑒別[10-16]。本組IP患兒與ROP、FEVR不同,91.7%的患兒為雙眼同時發病(11/12)且具有高度不對稱性(66.7%,8/12),可作為鑒別要點輔助診斷,且不可遺漏對側眼的詳細檢查,尤其是周邊部視網膜情況。
IP眼部表現多樣,以視網膜血管性病變及RPE改變為典型特征,但具有顯著異質性[2]。本組12例24只眼中,主動篩查者3例6只眼眼底病變程度輕,其中1例2只眼眼底未見明顯異常,RPE異常、視網膜周邊部無血管區、視網膜周邊部新生血管分別為2、1、1只眼,未見全視網膜脫離等終末期改變。以眼部癥狀首診的非轉診者9例18只眼中,RPE異常、視網膜周邊部無血管區、視網膜周邊部新生血管、全周視網膜脫離、眼球萎縮分別為3、1、7、7只眼。轉診者與非轉診者確診年齡差異有統計學意義,且非轉診者眼底病變嚴重程度顯著高于轉診者。一項回顧性研究表明,多數IP患者為足月嬰兒,出生體重正常,不屬于新生兒眼病篩查范圍,臨床上容易被忽略[16]。同一項大樣本研究表明,IP相關視網膜病變幾乎均發生在出生后1周內(65/66),甚至多數在3 d內(62/65)[16]。上述研究結果表明,多數IP患者若能出生后立即接受篩查,有利于早診斷早治療,保存患兒有用視功能。因此,應加強多學科協作,新生兒科、皮膚科和眼科醫生通力合作,重視IP眼底篩查[5, 17]。我們建議疑診IP患兒出生后應盡早進行眼底篩查,以72 h內為佳。若隨訪發現眼部異常應酌情增加隨訪頻率,并建議行FFA檢查以協助診斷、指導治療。
IP遺傳方式為X連鎖顯性遺傳,其發病與IKBKG基因缺陷有關。IKBKG位于Xq28染色體,長23 kb,包含10個外顯子,編碼415個氨基酸。IP臨床基因檢測陽性率低,本組行基因檢測的8例中,陽性率為37.5%。其原因主要為:(1)假基因的干擾,IKBKG基因下游35.5 kb的重復區域中,存在一個高度同源的假基因,稱為ΔIKBKG,序列排列方向與IKBKG基因相反。(2)基因長片段缺失,IP發病并非由傳統點突變引起,而是與IKBKG基因的外顯子4~10的長片段缺失有關。目前下一代基因測序(NGS)技術對該基因的長片段檢測無效,需使用L-PCR技術。約80%的IP患者由IKBKG基因4~10號外顯子缺失導致[18]。本組行全外顯子組測序分析的8例患者中,僅3例(37.5%)檢測到IKBKG基因4~10外顯子缺失,其余5例均未檢測出疾病相關變異。所以,IKBKG基因檢測到致病突變可明確診斷,但陰性不能排除該診斷。目前主要基于臨床表現即可確立診斷,同時家族史或母親既往流產史有利于確立診斷[18-19]。
由于IP與ROP臨床表現相似,既往常用冷凍療法或激光光凝對無血管區進行治療,預防視網膜脫離或視網膜新生血管導致的玻璃體積血[20-22]。然而,上述兩種方法療效有限并可引起大面積視野缺損[23]。目前抗VEGF藥物治療IP相關視網膜病變成為臨床首選。本研究結果顯示,視網膜激光光凝聯合或不聯合玻璃體腔注射抗VEGF藥物均可有效抑制IP相關視網膜病變的新生血管形成。既往研究也表明,抗VEGF藥物治療IP相關視網膜新生血管可獲得一定療效[24]。僅當出現不可吸收的玻璃體積血或視網膜脫離等嚴重并發癥時,方選擇PPV[25]。
由于IP臨床罕見,本研究為單中心回顧性觀察,因此存在樣本量小、臨床治療方案不統一等局限性。但本研究為迄今為止國內最大IP研究之一,具有隨訪時間長,有基因學診斷支持等優點。通過12例患者的臨床資料和基因學診斷的總結,我們建議,對IP患兒只有做到出生后早篩查、密切隨訪,必要時給予抗VEGF藥物或激光光凝治療,方能保存患者有用視功能。眼科醫生需注意其隨年齡而變化的皮膚病變,詢問病史,快速確定診斷,避免誤診和漏診。鑒于目前該病基因學診斷的陽性率低,需正確客觀解讀基因診斷結果。
色素失禁癥(IP)又稱為Bloch Sulzberger綜合征,是一種臨床較少見的X染色體顯性遺傳病,其致病基因為IKBKG(又稱為NEMO),定位于Xq28[1]。由于男性患者多于出生前死亡[2],臨床所見患者多為女性。IP主要影響外胚層器官,引起皮膚、牙、骨骼、眼和神經系統多種變化,其中35%~77%的患者累及眼部[3]。IP相關視網膜病變與早產兒視網膜病變(ROP)相似,多表現為視網膜血管異常,包括存在無血管區、血管紆曲擴張和閉塞、新生血管形成等,晚期玻璃體增生引起滲出性或牽引性視網膜脫離,部分患眼伴有視神經萎縮、斜視、白內障、眼球震顫等[2]。目前關于IP相關視網膜病變多為個案報道。我們回顧性分析了一組IP患者的臨床資料,現將結果報道如下。
1 對象和方法
回顧性臨床病例研究。本研究經中山大學中山眼科中心倫理委員會審批(倫理編號:2014MEKY048)。行基因檢測者,患兒監護人或患者均獲知情并簽署相關書面文件。
2015年1月至2018年12月于中山大學中山眼科中心檢查確診的IP或IP相關視網膜病變患者12例24只眼納入本研究。年齡>4歲患者行最佳矯正視力(BCVA)檢查和眼壓測量。所有患者均于表面麻醉或全身麻醉下行眼前節、玻璃體、眼底檢查。眼底檢查采用兒童廣角數碼視網膜成像系統或激光掃描檢眼鏡進行,必要時行熒光素眼底血管造影(FFA)檢查。行基因檢測8例。
詳細詢問家族遺傳史,特別注意患者母親皮膚情況和眼病表現。記錄患兒出生孕周、生產方式、出生體重和全身病史;母親孕期用藥史、流產史。
參照文獻[4]的標準確立IP診斷標準:(1)有陽性家族史者,符合1條以下主要指標:①典型皮疹史;②色素沉著;③皮膚毛發損傷;④禿頂;⑤牙齒異常;⑥視網膜病變;⑦多次妊娠男胎流產證據。(2)無陽性家族史者,至少需要1條以下主要指標及1條次要指標。主要指標:①典型新生兒期紅斑、水皰,水皰內含嗜酸性粒細胞;②典型軀干部線狀色素沉著;③皮膚線狀萎縮或禿發。次要指標:①牙齒異常;②禿發;③指甲異常;④視網膜病變。
參照文獻[5-6]的分類方法對IP相關視網膜病變進行分級(表1)。雙眼等級不同者定義為不對稱型。

符合以下至少1項時定義為有活動性病變:(1)周邊視網膜有大于10個視盤直徑的無血管區,并伴有血管擴張、紆曲改變。(2)有明確視網膜新生血管及滲漏。(3)可見視網膜出血或玻璃體積血。(4)局限的牽引性視網膜脫離。有活動性病變者,給予抗血管內皮生長因子(VEGF)藥物治療、視網膜激光光凝或玻璃體切割手術(PPV);無活動性病變者給予觀察。所有患者1~3個月隨訪1次。隨訪時間6~42個月,平均隨訪時間18.7個月。
行基因檢測的8例患者,抽取外周靜脈血5 ml,按標準流程提取基因組DNA,對質量達標樣品構建測序文庫。利用液相雜交法將探針與目標區域結合,洗去非目標區域片段后,將目標區域回收并進行擴增。質檢合格的樣品在精確定量后進行高通量測序,使用全外顯子檢測模塊對23 585個基因編碼區進行檢測。根據文獻[7]報道,IP與IKBKG基因4~10號外顯子缺失有關,設計引物In2和JF3R。長片段聚合酶鏈式反應(L-PCR)對IKBKG基因4~10號外顯子進行檢測。其余外顯子區域因存在假基因(ΔIKBKG),采用目前可獲得的方法難以查出。
采用IBM SPSS25.0軟件行統計學分析。離散型變量(如患者例數等)以頻數和頻率(百分數)表示;連續型變量使用正態性Kolmogotov-Smirnov方法進行正態性檢驗;符合正態分布的變量以平均數和標準差表示,并使用t檢驗進行總體均值的比較;不符合正態分布的變量以中位數表示,并使用非參數檢驗(Mann-Whitney U檢驗)進行總體中位數的比較。P<0.05為差異有統計學意義。
2 結果
患者均為女性。首診眼科時年齡1個月~31歲,平均年齡(6.3±9.8)歲。≤10歲9例(75%,9/12),其中<1歲3例;>10歲3例(25%,3/12),其中>18歲2例。試管嬰兒1例。順產8例,剖宮產4例。早產兒2例,其中胎齡33、35周各1例;足月兒10例,其中胎齡37~41周7例,>41周3例。出生體重<2500 g 3例,2800~4000 g 9例。4例患者母親幼時有皮膚病變,均未獲診斷。所有患者母親均未發現明顯眼部病變。5例患者母親曾有自然流產史,其中≥2次者3例,1次者2例(表2)。

因皮膚病變兒科確診IP者6例(50%,6/12)。其中,根據兒科醫生建議主動行眼科篩查(轉診者)3例(25%,3/12),其平均年齡(0.4±0.5)歲(中位年齡:2個月),首診既確診;未獲轉診建議9例(非轉診者),包括因視力障礙首診眼科者3例(25%,3/12)和眼科就診前未確診IP者6例(50%,6/12),其首診平均年齡(8.2±10.8)歲(中位年齡:3歲)。非轉診者首診年齡較轉診者大,差異有統計學意義(Z=?2.141,P<0.05)。非轉診者9例中,因視力不佳、眼球小、白瞳、斜視而就診者分別為6、1、1、1例。
12例中,四肢或軀干部散在色素沉著9例,色素消退期皮膚表現2例,無相關皮膚改變1例。4歲以上首診患兒皮膚改變輕微。瘢痕性頂禿5例。牙齒發育異常8例,包括缺牙、呈錐形牙、牙齒切緣不規整。合并癲癇、動脈導管未閉、房間隔缺損、甲狀腺功能低下1例;未見其他全身改變11例(表2)。
行BCVA檢查和眼壓測量3例6只眼。其中,BCVA無光感者2只眼;手動/50 cm者1只眼;0.32~1.0者3只眼。眼壓均未見異常。眼底未見明顯異常1例2只眼(8.3%,2/24)。IP相關視網膜病變11例22只眼(91.7%,22/24)。24只眼中,玻璃體積血1只眼(4.2%,1/24),視網膜色素上皮(RPE)異常或脫失5只眼(20.8%,5/24),視網膜皺襞(圖1A)1只眼(4.2%,1/24),黃斑異位(圖1B)1只眼(4.2%,1/24),視網膜周邊部無血管區(圖1C)3只眼(12.5%,3/24),視網膜新生血管(圖1D)5只眼(20.8%,5/24),全周視網膜脫離、眼球萎縮(圖1E)6只眼(25.0%,6/24)。

11例15只眼行FFA檢查,7例7只眼因對側眼全視網膜脫離未行FFA檢查。其中,未見明顯異常1只眼,視網膜周邊無血管區(圖2A)13只眼(86.7%,13/15),視網膜新生血管局灶性強熒光且晚期熒光素滲漏增大(圖2B)6只眼(40%,6/15),視網膜末梢血管紆曲、擴張伴輕微熒光素滲漏者(圖2C)9只眼(60%,9/15),視網膜周邊部血管吻合支(圖2D)6只眼(40%,6/15),周邊末梢血管襻樣改變(圖2E)4只眼(26.7%,4/15),視網膜皺襞(圖2F)2只眼(13.3%,2/15),黃斑區無血管區縮小(圖2G)2只眼(13.3%,2/15),黃斑部異常視網膜血管1只眼(6.7%,1/15),視網膜前出血1只眼(6.7%,1/15)。

24只眼中,存在并發癥10只眼(41.7%,10/24)。其中,并發性白內障8只眼(33.3%,8/24),眼球震顫2只眼(8.3%,2/24),繼發性青光眼、高度近視、直覺性內斜視及眼球萎縮各1只眼(4.2%,1/24)。
IP相關視網膜病變分級結果顯示,根據Holmstrom和Thoren[5]分類法,24只眼中,眼底未見明顯異常者1只眼,1、2、3級者分別為5、9、9只眼。雙眼對稱者3例,不對稱者9例。轉診者3例6只眼中,未見明顯異常1只眼,1、2、3級分別為2、2、1只眼。非轉診者9例18只眼中,1、2、3級分別為3、7、8只眼。根據Peng等[6]分類法,24只眼中,眼底未見明顯異常2只眼,1、2、3、4、5級分別為5、2、8、1、6只眼。雙眼對稱者4例,不對稱者8例。轉診者3例6只眼中,眼底未見明顯異常2只眼;1、2、3級分別為2、1、1只眼,平均級數1.167級(中位級數:1級)。非轉診者9例18只眼中,1、2、3、4、5級分別為3、1、7、1、6只眼,平均級數為3.334級(中位級數:3級)。轉診者、非轉診者視網膜病變分級比較,差異有統計學意義(Z=?2.752,P=0.006)(表3)。

24只眼中,眼底有活動性病變7只眼(29.2%,7/24)。其中,視網膜周邊部新生血管6只眼;玻璃體積血合并高眼壓1只眼。行單純視網膜激光光凝治療2只眼,單次抗VEGF藥物治療1只眼,激光聯合抗VEGF藥物治療1只眼,PPV聯合激光光凝治療2只眼,預防性激光虹膜周邊切除1只眼。眼底無活動性病變17只眼。隨訪期間,眼底病變未進展23只眼。凡進行視網膜激光光凝治療者視網膜病變活動性有效控制(圖3),且隨訪期內無明顯進展;僅1只眼行單純抗VEGF藥物治療者復發視網膜視盤新生血管,再次行抗VEGF藥物治療,效果不佳,因患兒腦電圖提示癲癇,患兒家屬拒絕全身麻醉下行激光治療,末次隨訪時發展為玻璃體積血。

行基因檢測的8例中,IKBKG基因4~10號外顯子缺失(圖4)3例(37.5%,3/8),該突變是已知突變[7-8]。檢出基因突變者與未檢出者之間,臨床表型未見明顯差異。

3 討論
IP或Bloch-Sulzberger綜合征是一種罕見的X連鎖顯性多系統疾病,主要累及皮膚、牙、眼、神經系統及骨骼等外胚層組織[4, 9]。90%以上患者出生后出現皮膚改變,表現為四肢及軀干部散在色素沉著,且皮膚改變為自限性,至學齡前可完全消退。本組12例患者中,轉診至眼科進行主動篩查3例,以眼科癥狀為首診9例。患兒家長主訴中均未提及皮膚病變,顏面部等暴露區域也未見皮膚改變,在進一步詢問皮膚病史或全身皮膚檢查時,明確具有皮膚特征性改變進而確立診斷。臨床中年輕女性出現不明原因視網膜新生血管或增生性改變時,需要考慮IP的可能。
IP最具特征性病變包括視網膜血管發育異常和RPE改變,常出現視網膜缺血和新生血管,伴有出血、滲出、纖維增生和牽拉性視網膜脫離,與ROP和家族性滲出性視網膜病變(FEVR)不易鑒別[10-16]。本組IP患兒與ROP、FEVR不同,91.7%的患兒為雙眼同時發病(11/12)且具有高度不對稱性(66.7%,8/12),可作為鑒別要點輔助診斷,且不可遺漏對側眼的詳細檢查,尤其是周邊部視網膜情況。
IP眼部表現多樣,以視網膜血管性病變及RPE改變為典型特征,但具有顯著異質性[2]。本組12例24只眼中,主動篩查者3例6只眼眼底病變程度輕,其中1例2只眼眼底未見明顯異常,RPE異常、視網膜周邊部無血管區、視網膜周邊部新生血管分別為2、1、1只眼,未見全視網膜脫離等終末期改變。以眼部癥狀首診的非轉診者9例18只眼中,RPE異常、視網膜周邊部無血管區、視網膜周邊部新生血管、全周視網膜脫離、眼球萎縮分別為3、1、7、7只眼。轉診者與非轉診者確診年齡差異有統計學意義,且非轉診者眼底病變嚴重程度顯著高于轉診者。一項回顧性研究表明,多數IP患者為足月嬰兒,出生體重正常,不屬于新生兒眼病篩查范圍,臨床上容易被忽略[16]。同一項大樣本研究表明,IP相關視網膜病變幾乎均發生在出生后1周內(65/66),甚至多數在3 d內(62/65)[16]。上述研究結果表明,多數IP患者若能出生后立即接受篩查,有利于早診斷早治療,保存患兒有用視功能。因此,應加強多學科協作,新生兒科、皮膚科和眼科醫生通力合作,重視IP眼底篩查[5, 17]。我們建議疑診IP患兒出生后應盡早進行眼底篩查,以72 h內為佳。若隨訪發現眼部異常應酌情增加隨訪頻率,并建議行FFA檢查以協助診斷、指導治療。
IP遺傳方式為X連鎖顯性遺傳,其發病與IKBKG基因缺陷有關。IKBKG位于Xq28染色體,長23 kb,包含10個外顯子,編碼415個氨基酸。IP臨床基因檢測陽性率低,本組行基因檢測的8例中,陽性率為37.5%。其原因主要為:(1)假基因的干擾,IKBKG基因下游35.5 kb的重復區域中,存在一個高度同源的假基因,稱為ΔIKBKG,序列排列方向與IKBKG基因相反。(2)基因長片段缺失,IP發病并非由傳統點突變引起,而是與IKBKG基因的外顯子4~10的長片段缺失有關。目前下一代基因測序(NGS)技術對該基因的長片段檢測無效,需使用L-PCR技術。約80%的IP患者由IKBKG基因4~10號外顯子缺失導致[18]。本組行全外顯子組測序分析的8例患者中,僅3例(37.5%)檢測到IKBKG基因4~10外顯子缺失,其余5例均未檢測出疾病相關變異。所以,IKBKG基因檢測到致病突變可明確診斷,但陰性不能排除該診斷。目前主要基于臨床表現即可確立診斷,同時家族史或母親既往流產史有利于確立診斷[18-19]。
由于IP與ROP臨床表現相似,既往常用冷凍療法或激光光凝對無血管區進行治療,預防視網膜脫離或視網膜新生血管導致的玻璃體積血[20-22]。然而,上述兩種方法療效有限并可引起大面積視野缺損[23]。目前抗VEGF藥物治療IP相關視網膜病變成為臨床首選。本研究結果顯示,視網膜激光光凝聯合或不聯合玻璃體腔注射抗VEGF藥物均可有效抑制IP相關視網膜病變的新生血管形成。既往研究也表明,抗VEGF藥物治療IP相關視網膜新生血管可獲得一定療效[24]。僅當出現不可吸收的玻璃體積血或視網膜脫離等嚴重并發癥時,方選擇PPV[25]。
由于IP臨床罕見,本研究為單中心回顧性觀察,因此存在樣本量小、臨床治療方案不統一等局限性。但本研究為迄今為止國內最大IP研究之一,具有隨訪時間長,有基因學診斷支持等優點。通過12例患者的臨床資料和基因學診斷的總結,我們建議,對IP患兒只有做到出生后早篩查、密切隨訪,必要時給予抗VEGF藥物或激光光凝治療,方能保存患者有用視功能。眼科醫生需注意其隨年齡而變化的皮膚病變,詢問病史,快速確定診斷,避免誤診和漏診。鑒于目前該病基因學診斷的陽性率低,需正確客觀解讀基因診斷結果。