引用本文: 陳飛, 沈吟. 新型光遺傳學工具Channelrhodopsin-XXM2.0和PsCatCh2.0恢復視覺功能的可行性分析. 中華眼底病雜志, 2020, 36(11): 838-845. doi: 10.3760/cma.j.cn511434-20200529-00253 復制
遺傳性視網膜疾病(IRDs)和老年性黃斑變性(AMD)會導致視網膜光感受器細胞凋亡,最終可致視力完全喪失。雖然IRDs和AMD光感受器細胞凋亡,但視網膜內核層及RGC層仍可在一定的時間窗內保持結構功能的完整并可向大腦視覺中樞傳遞信息。目前,至少有270個基因位點突變與IRDs相關,而且已知AMD是由多基因突變導致[1-2]。其治療手段包括干細胞移植、基因治療、視網膜假體植入及光遺傳學等[3-7]。光遺傳學正是利用退行性病變視網膜剩余結構的完整性,以腺相關病毒(AAV)為載體將光敏蛋白靶向表達在視錐細胞[8](退行性病變早期)、ON型雙極細胞或RGC(退行性病變中晚期)來恢復視網膜的光反應[9-10]。除此之外還可結合干細胞、虛擬現實系統和全息成像技術等來恢復視覺功能[11-13]。光遺傳學作為一個不依賴突變位點基因功能,并能在單細胞水平響應光刺激的治療策略,在治療IRDs和AMD上有很大潛力[14-15]。然而,光遺傳學工具的生物學性能一直是限制視覺功能恢復的關鍵因素,尤其是光敏感性和動力學。目前,應用于視覺功能恢復的光遺傳學工具包括微生物和哺乳動物光敏蛋白兩大類,但均因其各自的不足受到限制。隨著基因工程技術的進步,改造微生物光敏蛋白的特性,提高光敏感性變得可行。為此,本研究初步探討了新型光遺傳學工具Channelrhodopsin-XXM2.0和Channelrhodopsin-PsCatCh2.0的光敏感性及動力學特征,分析兩者是否可用于光遺傳學視覺功能的恢復。現將結果報道如下。
1 材料和方法
1.1 主要實驗材料
HEK 293T細胞系、質粒pCIG(c)-msFoxn3由中山大學中山眼科中心向孟清教授惠贈;質粒XXM2.0、PsCatCh2.0由維爾茨堡大學生物中心分子植物生理學和生物物理學研究所高世強教授惠贈。HEKA膜片鉗系統(德國HEKA公司),水平拉制儀MODEL P1000(美國Sutter公司),Mightex給光控制系統(加拿大Mightex公司),電生理試劑(美國Sigma公司),Trans5α化學感受態細胞(北京全式金生物技術有限公司),T4 DNA連接酶、高保真PCR試劑盒、EcoRⅤ-HF內切酶、EcoRⅠ-HF內切酶(美國New England Biolabs公司),質粒小提試劑盒、普通瓊脂糖凝膠DNA回收試劑盒(北京天根生化科技有限公司),脂質體轉染試劑(Lipofectamine 2000,美國Life Technologies公司),Gel Doc XR+凝膠成像系統、T100 PCR儀(美國Bio-RAD公司),K5600分光光度計(北京凱奧科技發展有限公司),EC 250-90電泳儀(美國Thermo公司),SPX-70BIII恒溫培養箱(天津泰斯特儀器有限公司),5424R離心機(德國Eppendorf公司)。
1.2 質粒XXM2.0、PsCatCh2.0提取與驗證
將吸附XXM2.0、PsCatCh2.0原始質粒的濾紙浸泡在含有200 μl DDH2O的1.5 ml離心管中,置于4 ℃冰箱中24 h,使質粒XXM2.0、PsCatCh2.0與DDH2O充分混合。分別吸取2 μl含質粒XXM2.0、PsCatCh2.0的DDH2O轉入50 μl Trans5α化學感受態細胞中,-80 ℃保存,置于冰上溶解,混勻后置于冰中30 min,再迅速放入42 ℃水浴鍋中水浴60 s,水浴結束后立即置于冰中3 min。在無菌工作臺中各加入500 μl的細菌基礎培養基,然后置于恒溫搖床上培養1 h(37 ℃、220 r/min)。再置于離心機中以離心半徑8.4 cm、轉速5000 r/min離心3 min,使菌體沉淀。在無菌工作臺中棄掉上清液400 μl,剩余液體充分和菌體混勻后鋪板,培養皿正置放入37 ℃生化培養箱,待培養皿中液體培養基干燥后將其倒扣,繼續在37 ℃生化培養箱中過夜培養12~16 h(根據菌落大小而定)。將生長良好的單一菌落挑入10 ml含氨芐霉素的細菌基礎培養基中,在恒溫搖床上培養12 h(37 ℃、220 r/min)。若菌落擴大、培養生長良好則可見液體培養基變混濁。將擴大培養后的菌液進行質粒小提,實驗方法參考TIANGEN質粒小提試劑盒(離心柱型)、目錄號DP103的實驗步驟進行。提取質粒XXM2.0、PsCatCh2.0的測序驗證由武漢擎科生物技術有限公司完成。XXM2.0正向引物序列5′-ATAGATACTCGCCCACCATGCGACCCCAAATACTCCTCTT-3′,反向引物序列5′-ATAGAATTCTCTAGAACTAGTGTCGACAACAT-3′;PsCatCh2.0正向引物序列5′-ATAGATATCGCCGCCACCATGCGACCCCAAATACTCCTCT-3′,反向引物序列5′-ATAGAATTCTGCCCGGTTCGCGTAGGTCTTA-3′。
1.3 質粒XXM2.0、PsCatCh2.0、pCIG(c)-msFoxn3酶切與連接
參照pCIG(c)-msFoxn3(圖1A)所含的酶切位點EcoRⅠ和EcoRⅤ,設計包含酶切位點EcoRⅠ和EcoRⅤ的XXM2.0和PsCatCh2.0的引物序列如上。用高保真PCR試劑盒將XXM2.0和PsCatCh2.0序列進行擴增,2倍Q5高保真反應酶混合物25 μl,正向引物和反向引物各2.5 μl,質粒XXM2.0和PsCatCh2.0各2 μl,剩余用無核酸酶水補齊至50 μl,得到含有酶切位點EcoRⅠ和EcoRⅤ的XXM2.0和PsCatCh2.0序列(圖1B)。將高保真擴增后的XXM2.0和PsCatCh2.0序列進行EcoRⅠ和EcoRⅤ酶切。酶切條件為XXM2.0和PsCatCh2.0各1 μg,分別加入EcoRⅠ-HF和EcoRⅤ-HF限制性內切酶1 μl,10倍反應緩沖液5 μl,用DDH2O補齊至總體積50 μl,在37 ℃水浴鍋中酶切6 h。pCIG(c)-msFoxn3質粒也用相同條件酶切。質粒XXM2.0、PsCatCh2.0、pCIG(c)-msFoxn3的酶切產物用普通瓊脂糖凝膠DNA回收試劑盒進行回收,回收實驗方法參考TIANGEN普通瓊脂糖凝膠DNA回收試劑盒(離心柱型)、目錄號DP209的實驗步驟進行。將回收的XXM2.0、PsCatCh2.0序列片段及pCIG(c)-msFoxn3框架用T4 DNA連接酶(濃度400 000 U/ml)進行連接,因EcoRⅠ-HF限制性內切酶酶切的DNA為粘性末端,而EcoRⅤ-HF限制性內切酶酶切的DNA為平滑末端,故實驗條件統一為20 μl的反應體系中加入1 μl的T4 DNA連接酶,25 ℃下反應2 h。酶連接反應完成后分別將pCIG(c)-msFoxn3-XXM2.0 和pCIG(c)-msFoxn3-PsCatCh2.0連接的產物轉入Trans5α化學感受態細胞中,然后進行單菌落擴大培養、質粒提取及測序驗證,該步驟同前。

1.4 細胞系HEK 293T的培養與DNA轉染
HEK 293T細胞首先種植在5 ml含有10%胎牛血清、1倍DMEM、100 U/ml青霉素G、100 μg鏈霉素培養基的6 cm培養皿中,置于37 ℃、95%空氣、5%CO2的生化培養箱中進行傳代培養。待HEK 293T細胞鋪滿90%左右的培養皿后,將HEK 293T細胞轉入含有包被明膠的玻片的24孔板中培養,所含培養基與上述相同,培養24 h后進行質粒轉染。測序驗證通過的質粒pCIG(c)-msFoxn3-XXM2.0和pCIG(c)-msFoxn3-PsCatCh2.0各2 μg加入250 μl的Opti-MEM培養基中,3 μl的Lipofectamine 2000加入另外250 μl的Opti-MEM培養基中,然后將含有質粒和Lipofectamine 2000的Opti-MEM培養基充分混合,室溫放置15 min,使Lipofectamine 2000試劑充分包裹質粒。將24孔板中的培養基吸出,然后將混合充分的500 μl Opti-MEM培養基加入24孔板中,放入生化培養箱培養6 h。轉染完成后將500 μl的Opti-MEM培養基吸出,加入500 μl含1%胎牛血清、1倍DMEM、100 U/ml青霉素G及100 μg鏈霉素的低血清培養基,繼續培養48 h。培養完成后用熒光顯微鏡觀察表達情況,再進行電生理實驗。
1.5 全細胞模式膜片鉗記錄對光反應
轉染后繼續培養48 h后的HEK 293T細胞在恒定室溫25 ℃條件下進行全細胞電壓鉗模式記錄。細胞外液140 mmol/L NaCl、5 mmol/L KCl、2 mmol/L CaCl2、20 mmol/L 4-羥乙基哌嗪乙磺酸、16 mmol/L葡萄糖,用NaOH將PH調至7.4,置于室溫;細胞內液115 mmol/L CsCH3O3、20 mmol/L CsCl、2.5 mmol/L MgCl2、0.6 mmol/L乙二醇雙(2-氨基乙基醚)四乙酸、10 mmol/L 4-羥乙基哌嗪乙磺酸、4 mmol/L腺苷5ˊ-三磷酸鎂鹽、0.4 mmol/L鳥苷5ˊ-三磷酸鈉鹽、10 mmol/L磷酸肌酸,用CsOH將PH調至7.2,置于冰上。實驗前30 min將細胞外液用100% O2進行預充氧。用水平拉制儀拉制玻璃微電極,電阻大小為6~8 MΩ。轉染XXM2.0和PsCatCh2.0的HEK 293T細胞置于細胞外液中暗適應30 min,待細胞狀態穩定后進行膜片鉗實驗。為驗證XXM2.0和PsCatCh2.0的光敏感性,依次在2.7×1016、4.7×1015、6.4×1014 photons/(cm2·s)光強下記錄電流,并在2.7×1016 photons/(cm2·s)的光強下讓XXM2.0和PsCatCh2.0在1 s光刺激后充分恢復,在Clampfit 10.6軟件中分析開放時間常數和關閉時間常數。為探討XXM2.0和PsCatCh2.0的對光響應頻率,設置2、4、8、16、32 Hz脈沖光刺激,并在重復刺激固定長間隔4000 ms和短間隔200 ms分析電流衰減情況。光源為Mightex外置光纖(470 nm),刺激時間由BioLED控制軟件設置,具體光強由光功率計測量。
1.6 統計學方法
采用SPSS 25.0軟件進行統計學分析,數據均用均數±標準差()表示。組間比較采用獨立樣本t檢驗。P<0.05為差異有統計學意義。
2 結果
2.1 以pCIG(c)-msFoxn3為載體構建的XXM2.0、PsCatCh2.0質粒鑒定
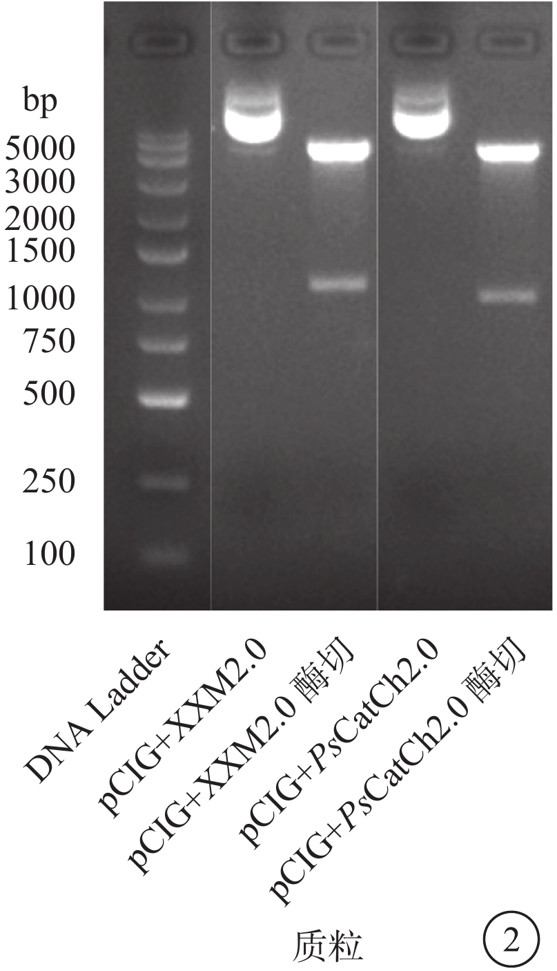
載體質粒pCIG(c)-msFoxn3含有EcoRⅠ、EcoRⅤ的酶切位點、EGFP、amp,堿基數大約為6200 bp。pCIG(c)-msFoxn3-XXM2.0和pCIG(c)-msFoxn3-PsCatCh2.0質粒均可被限制性內切酶EcoRⅠ、EcoRⅤ切開,條帶大小符合載體質粒pCIG(c)-msFoxn3及目的片段XXM2.0、PsCatCh2.0的長度(圖2)。構建的pCIG(c)-msFoxn3-XXM2.0和pCIG(c)-msFoxn3-PsCatCh2.0質粒所含序列均用基因測序驗證。

2.2 XXM2.0、PsCatCh2.0的光敏感性
新型光敏蛋白XXM2.0和PsCatCh2.0光刺激后產生的電流表現出光強依賴性,光強越大電流越大。在強光刺激下光敏蛋白XXM2.0和PsCatCh2.0表現出明顯的峰電流和平臺電流,隨著光強降低,峰電流逐漸減少至和平臺電流相等。在光強為2.7×1016 photons/(cm2·s)的刺激下,XXM2.0、PsCatCh2.0的峰電流分別為(424.7±589.9)、(117.8±60.6)pA,平臺電流分別為(397.3±528.9)、(105.4±5.6)pA;兩者峰電流和平臺電流比較,差異無統計學意義(t=1.16、1.30,P=0.31、0.26)。在光強為4.7×1015 photons/(cm2·s)的刺激下,XXM2.0、PsCatCh2.0的峰電流分別為(192.9±262.4)、(39.97±15.1)pA,平臺電流分別為(192.6±262.4)、(38.6±15.1)pA;兩者峰電流和平臺電流比較,差異無統計學意義(t=1.24、1.23,P=0.28、0.29)。在光強為6.4×1014 photons/(cm2·s)的刺激下,XXM2.0、PsCatCh2.0的峰電流分別為(92.8±142.0)、(13.9±5.6)pA,平臺電流分別為(92.8±142.0)、(13.9±5.6)pA;兩者峰電流和平臺電流比較,差異無統計學意義(t=1.24、1.24,P=0.28、0.29)(圖3)。

2.3 XXM2.0、PsCatCh2.0的動力學特征
在光強為2.7×1016 photons/(cm2·s)的470 nm藍光刺激下,XXM2.0、PsCatCh2.0的開放時間常數分別為(23.9±6.7)、(2.4±0.8)ms,關閉時間常數分別為(5 803.0±568.2)、(219.9±25.6)ms;兩者比較,XXM2.0的開放時間常數、關閉時間常數值均較PsCatCh2.0大,差異均有統計學意義(t=7.10、31.60,P=0.00、0.00)(圖4)。

2.4 XXM2.0、PsCatCh2.0的響應頻率
在2~32 Hz的脈沖光刺激下,XXM2.0和PsCatCh2.0均能響應32 Hz的高頻脈沖光刺激(圖5A)。由于XXM2.0的關閉時間常數要明顯慢于PsCatCh2.0,所以XXM2.0的電流還不能很好地恢復到基線水平又進一步增大,并且電流恢復程度逐漸變小。在高頻率的光刺激下,XXM2.0及PsCatCh2.0均沒有再出現明顯的峰電流。在470 nm光強為2.7×1016 photons/(cm2·s)的1 s重復光刺激、長間隔4000 ms的條件下,XXM2.0、PsCatCh2.0的電流衰減率分別為0.08±0.04、0.08±0.20,兩者之間的差異無統計學意義(t=0.00,P=1.00);再進行200 ms的稍短時間間隔的刺激下,XXM2.0、PsCatCh2.0的電流衰減率分別為0.08±0.05、0.07±0.02,兩者之間的差異無統計學意義(t=0.19,P=0.83)(圖5B~5D)。

3 討論
應用于視覺功能恢復的光遺傳學工具主要包括微生物光敏蛋白和哺乳動物光敏蛋白。人視網膜的安全光強閾值與波長相關,波長越短,光子能量越強,就更容易導致視網膜光毒性損害。視覺信號處理依賴高頻率的時空分辨率,以現在人們熟知的電影播放幀數為例,為24幀/s,即24 Hz,如低于24 Hz就會使人感覺畫面不連續[16]。ChR2作為最早應用于視覺恢復的微生物光敏蛋白,最佳激活波長在470 nm左右,光強為1017~1018 photons/(cm2·s),超過了470 nm藍光應用在視網膜上的安全閾值7.62×1014 photons/(cm2·s) [16-17]。相反,哺乳動物光敏蛋白視紫紅質和黑視蛋白在室內的環境光強下就可激活,但需要數百毫秒甚至數十秒的時間才能充分恢復光敏感性,又不能滿足視覺信號的空間分辨率[18-21](圖6)。所以,目前應用于視覺恢復的光敏蛋白不能很好平衡光敏感性和動力學來滿足視覺信號需求。因此,我們需要一類新型的光敏蛋白能同時兼顧高敏感性、快動力學,并在高頻率響應下保持電流信號的穩定。

隨著基因工程技術的發展,改造微生物光敏蛋白,提升生物學性能變得可能。策略一是延長光敏蛋白關閉時間常數。如ChR2突變體ChR2 L132C、T159C、L123C/T159C和L123C/T159S,它們的關閉時間常數在45 ms到1.4 s之間,空間響應頻率不足20 Hz[22]。雖然光敏感性比ChR2提升了15~20倍,但依然不足以降低對視網膜的光毒性損害[17]。目前應用于視覺功能恢復的光敏感性最高的ChR突變體是CoChR-H94E/L112C/K264T,可以在1012 photons/(cm2·s)的室內環境光強下被激活,但關閉時間常數為723 ms,響應頻率僅10 Hz左右[23]。所以,通過延長關閉時間常數的策略來提高光敏感性就導致了響應頻率降低,在視覺功能恢復中只能滿足光強要求。二是紅移激活波長,波長越長,視網膜可接受的光強就越強。ReaChR的激活波長從470 nm紅移至590 nm,590 nm的黃橙光對視網膜的安全閾值為5.94×1017 photons/(cm2·s),從而可以利用處于對視網膜安全閾值內的黃橙光來激活ReaChR,且ReaChR的響應頻率可達30 Hz,可滿足視覺信號處理的時空分辨率[16]。三是改變光敏蛋白通道離子通透性。如對Ca2+通透性增加的ChR突變體CatCh。光敏蛋白ChR2的離子通道是非選擇性的陽離子通道,且以Na+為主。CatCh的關閉時間常數在16 ms左右,與ChR2的關閉時間常數10 ms差別不大,但光敏感性與ChR2相比提高了70倍,其主要原因就是CatCh提高了6倍的Ca2+通透性[20]。在哺乳動物光敏蛋白上,由于其光敏感性要比微生物光敏蛋白高103甚至104倍[24-25],所以利用光遺傳學技術恢復視覺功能的最大限制是動力學不足。為了彌補黑視蛋白在視覺信號空間分辨率的不足,將mGluR6和黑視蛋白嵌合形成新光敏蛋白Opto-mGluR6。mGluR6是視網膜ON型雙極細胞的特異性谷氨酸受體,可以通過結合從光感受器細胞到TRPM1陽離子通道的谷氨酸信號來調節光反應,并且可以結合細胞內G蛋白偶聯的第二信使級聯反應大大增強谷氨酸信號[26-27]。所以Opto-mGluR6在一定程度上改善了黑視蛋白動力學不足。除了視紫紅質和黑視蛋白外,錐視蛋白尤其是對中等波長敏感的錐視蛋白,其光敏感性和視紫紅質差不多,光刺激后達到峰電流的時間比視紫紅質快3倍,關閉時間常數時間要快7倍,但可響應的光刺激脈沖只有2 Hz[28]。
XXM2.0和PsCatCh2.0均可在視網膜安全閾值內的低光強6.4×1014 photons/(cm2·s)(470 nm)下被激活,并且XXM2.0的關閉時間常數顯著大于PsCatCh2.0,所以XXM2.0具有更好的光敏感性。其次XXM2.0和PsCatCh2.0光敏蛋白均能以較小電流衰減來響應高頻率光刺激(至少32 Hz),這也滿足視覺信號處理所需的24 Hz。PsCatCh2.0是一個Ca2+、Na+通透性高的光敏蛋白,其Ca2+電流比CatCh要高4倍,在相同的光刺激條件下具有更快的響應頻率和更大光電流,所以在利用光遺傳學恢復視覺功能與CatCh相比更具優勢。雖然XXM2.0的時間關閉常數在5803 ms,但依然可以響應32 Hz頻率的光刺激并且電流衰減只有7%~8%,該性能要遠遠優于哺乳動物光敏蛋白視紫紅質。但XXM2.0在響應脈沖光刺激的時候并不能充分恢復至基線水平,這一電流形式是否會影響視覺信號傳導還得繼續研究。
XXM2.0和PsCatCh2.0作為新型的光敏蛋白,具有較高的光敏感性和高頻率的對光響應,均可作為視覺恢復的光遺傳學工具使用,可以有效降低視網膜光毒性損害。由于XXM2.0和PsCatCh2.0的光敏感性均在體外檢測,真正應用到動物模型或臨床試驗上還要考慮光強通過角膜和晶狀體的損耗,所以通過基因工程改造具有更高光敏感性的光敏蛋白具有重要意義,如提升Ca2+等二價離子的通透性、離子通道的電導率、靶向細胞膜的表達能力及紅移激活光波譜來提高光敏感性而不影響光敏蛋白的動力學特征。隨著基因工程技術的進步,在將來會有越來越多的性能優越的光遺傳學工具應用到視覺功能恢復中來。
遺傳性視網膜疾病(IRDs)和老年性黃斑變性(AMD)會導致視網膜光感受器細胞凋亡,最終可致視力完全喪失。雖然IRDs和AMD光感受器細胞凋亡,但視網膜內核層及RGC層仍可在一定的時間窗內保持結構功能的完整并可向大腦視覺中樞傳遞信息。目前,至少有270個基因位點突變與IRDs相關,而且已知AMD是由多基因突變導致[1-2]。其治療手段包括干細胞移植、基因治療、視網膜假體植入及光遺傳學等[3-7]。光遺傳學正是利用退行性病變視網膜剩余結構的完整性,以腺相關病毒(AAV)為載體將光敏蛋白靶向表達在視錐細胞[8](退行性病變早期)、ON型雙極細胞或RGC(退行性病變中晚期)來恢復視網膜的光反應[9-10]。除此之外還可結合干細胞、虛擬現實系統和全息成像技術等來恢復視覺功能[11-13]。光遺傳學作為一個不依賴突變位點基因功能,并能在單細胞水平響應光刺激的治療策略,在治療IRDs和AMD上有很大潛力[14-15]。然而,光遺傳學工具的生物學性能一直是限制視覺功能恢復的關鍵因素,尤其是光敏感性和動力學。目前,應用于視覺功能恢復的光遺傳學工具包括微生物和哺乳動物光敏蛋白兩大類,但均因其各自的不足受到限制。隨著基因工程技術的進步,改造微生物光敏蛋白的特性,提高光敏感性變得可行。為此,本研究初步探討了新型光遺傳學工具Channelrhodopsin-XXM2.0和Channelrhodopsin-PsCatCh2.0的光敏感性及動力學特征,分析兩者是否可用于光遺傳學視覺功能的恢復。現將結果報道如下。
1 材料和方法
1.1 主要實驗材料
HEK 293T細胞系、質粒pCIG(c)-msFoxn3由中山大學中山眼科中心向孟清教授惠贈;質粒XXM2.0、PsCatCh2.0由維爾茨堡大學生物中心分子植物生理學和生物物理學研究所高世強教授惠贈。HEKA膜片鉗系統(德國HEKA公司),水平拉制儀MODEL P1000(美國Sutter公司),Mightex給光控制系統(加拿大Mightex公司),電生理試劑(美國Sigma公司),Trans5α化學感受態細胞(北京全式金生物技術有限公司),T4 DNA連接酶、高保真PCR試劑盒、EcoRⅤ-HF內切酶、EcoRⅠ-HF內切酶(美國New England Biolabs公司),質粒小提試劑盒、普通瓊脂糖凝膠DNA回收試劑盒(北京天根生化科技有限公司),脂質體轉染試劑(Lipofectamine 2000,美國Life Technologies公司),Gel Doc XR+凝膠成像系統、T100 PCR儀(美國Bio-RAD公司),K5600分光光度計(北京凱奧科技發展有限公司),EC 250-90電泳儀(美國Thermo公司),SPX-70BIII恒溫培養箱(天津泰斯特儀器有限公司),5424R離心機(德國Eppendorf公司)。
1.2 質粒XXM2.0、PsCatCh2.0提取與驗證
將吸附XXM2.0、PsCatCh2.0原始質粒的濾紙浸泡在含有200 μl DDH2O的1.5 ml離心管中,置于4 ℃冰箱中24 h,使質粒XXM2.0、PsCatCh2.0與DDH2O充分混合。分別吸取2 μl含質粒XXM2.0、PsCatCh2.0的DDH2O轉入50 μl Trans5α化學感受態細胞中,-80 ℃保存,置于冰上溶解,混勻后置于冰中30 min,再迅速放入42 ℃水浴鍋中水浴60 s,水浴結束后立即置于冰中3 min。在無菌工作臺中各加入500 μl的細菌基礎培養基,然后置于恒溫搖床上培養1 h(37 ℃、220 r/min)。再置于離心機中以離心半徑8.4 cm、轉速5000 r/min離心3 min,使菌體沉淀。在無菌工作臺中棄掉上清液400 μl,剩余液體充分和菌體混勻后鋪板,培養皿正置放入37 ℃生化培養箱,待培養皿中液體培養基干燥后將其倒扣,繼續在37 ℃生化培養箱中過夜培養12~16 h(根據菌落大小而定)。將生長良好的單一菌落挑入10 ml含氨芐霉素的細菌基礎培養基中,在恒溫搖床上培養12 h(37 ℃、220 r/min)。若菌落擴大、培養生長良好則可見液體培養基變混濁。將擴大培養后的菌液進行質粒小提,實驗方法參考TIANGEN質粒小提試劑盒(離心柱型)、目錄號DP103的實驗步驟進行。提取質粒XXM2.0、PsCatCh2.0的測序驗證由武漢擎科生物技術有限公司完成。XXM2.0正向引物序列5′-ATAGATACTCGCCCACCATGCGACCCCAAATACTCCTCTT-3′,反向引物序列5′-ATAGAATTCTCTAGAACTAGTGTCGACAACAT-3′;PsCatCh2.0正向引物序列5′-ATAGATATCGCCGCCACCATGCGACCCCAAATACTCCTCT-3′,反向引物序列5′-ATAGAATTCTGCCCGGTTCGCGTAGGTCTTA-3′。
1.3 質粒XXM2.0、PsCatCh2.0、pCIG(c)-msFoxn3酶切與連接
參照pCIG(c)-msFoxn3(圖1A)所含的酶切位點EcoRⅠ和EcoRⅤ,設計包含酶切位點EcoRⅠ和EcoRⅤ的XXM2.0和PsCatCh2.0的引物序列如上。用高保真PCR試劑盒將XXM2.0和PsCatCh2.0序列進行擴增,2倍Q5高保真反應酶混合物25 μl,正向引物和反向引物各2.5 μl,質粒XXM2.0和PsCatCh2.0各2 μl,剩余用無核酸酶水補齊至50 μl,得到含有酶切位點EcoRⅠ和EcoRⅤ的XXM2.0和PsCatCh2.0序列(圖1B)。將高保真擴增后的XXM2.0和PsCatCh2.0序列進行EcoRⅠ和EcoRⅤ酶切。酶切條件為XXM2.0和PsCatCh2.0各1 μg,分別加入EcoRⅠ-HF和EcoRⅤ-HF限制性內切酶1 μl,10倍反應緩沖液5 μl,用DDH2O補齊至總體積50 μl,在37 ℃水浴鍋中酶切6 h。pCIG(c)-msFoxn3質粒也用相同條件酶切。質粒XXM2.0、PsCatCh2.0、pCIG(c)-msFoxn3的酶切產物用普通瓊脂糖凝膠DNA回收試劑盒進行回收,回收實驗方法參考TIANGEN普通瓊脂糖凝膠DNA回收試劑盒(離心柱型)、目錄號DP209的實驗步驟進行。將回收的XXM2.0、PsCatCh2.0序列片段及pCIG(c)-msFoxn3框架用T4 DNA連接酶(濃度400 000 U/ml)進行連接,因EcoRⅠ-HF限制性內切酶酶切的DNA為粘性末端,而EcoRⅤ-HF限制性內切酶酶切的DNA為平滑末端,故實驗條件統一為20 μl的反應體系中加入1 μl的T4 DNA連接酶,25 ℃下反應2 h。酶連接反應完成后分別將pCIG(c)-msFoxn3-XXM2.0 和pCIG(c)-msFoxn3-PsCatCh2.0連接的產物轉入Trans5α化學感受態細胞中,然后進行單菌落擴大培養、質粒提取及測序驗證,該步驟同前。

1.4 細胞系HEK 293T的培養與DNA轉染
HEK 293T細胞首先種植在5 ml含有10%胎牛血清、1倍DMEM、100 U/ml青霉素G、100 μg鏈霉素培養基的6 cm培養皿中,置于37 ℃、95%空氣、5%CO2的生化培養箱中進行傳代培養。待HEK 293T細胞鋪滿90%左右的培養皿后,將HEK 293T細胞轉入含有包被明膠的玻片的24孔板中培養,所含培養基與上述相同,培養24 h后進行質粒轉染。測序驗證通過的質粒pCIG(c)-msFoxn3-XXM2.0和pCIG(c)-msFoxn3-PsCatCh2.0各2 μg加入250 μl的Opti-MEM培養基中,3 μl的Lipofectamine 2000加入另外250 μl的Opti-MEM培養基中,然后將含有質粒和Lipofectamine 2000的Opti-MEM培養基充分混合,室溫放置15 min,使Lipofectamine 2000試劑充分包裹質粒。將24孔板中的培養基吸出,然后將混合充分的500 μl Opti-MEM培養基加入24孔板中,放入生化培養箱培養6 h。轉染完成后將500 μl的Opti-MEM培養基吸出,加入500 μl含1%胎牛血清、1倍DMEM、100 U/ml青霉素G及100 μg鏈霉素的低血清培養基,繼續培養48 h。培養完成后用熒光顯微鏡觀察表達情況,再進行電生理實驗。
1.5 全細胞模式膜片鉗記錄對光反應
轉染后繼續培養48 h后的HEK 293T細胞在恒定室溫25 ℃條件下進行全細胞電壓鉗模式記錄。細胞外液140 mmol/L NaCl、5 mmol/L KCl、2 mmol/L CaCl2、20 mmol/L 4-羥乙基哌嗪乙磺酸、16 mmol/L葡萄糖,用NaOH將PH調至7.4,置于室溫;細胞內液115 mmol/L CsCH3O3、20 mmol/L CsCl、2.5 mmol/L MgCl2、0.6 mmol/L乙二醇雙(2-氨基乙基醚)四乙酸、10 mmol/L 4-羥乙基哌嗪乙磺酸、4 mmol/L腺苷5ˊ-三磷酸鎂鹽、0.4 mmol/L鳥苷5ˊ-三磷酸鈉鹽、10 mmol/L磷酸肌酸,用CsOH將PH調至7.2,置于冰上。實驗前30 min將細胞外液用100% O2進行預充氧。用水平拉制儀拉制玻璃微電極,電阻大小為6~8 MΩ。轉染XXM2.0和PsCatCh2.0的HEK 293T細胞置于細胞外液中暗適應30 min,待細胞狀態穩定后進行膜片鉗實驗。為驗證XXM2.0和PsCatCh2.0的光敏感性,依次在2.7×1016、4.7×1015、6.4×1014 photons/(cm2·s)光強下記錄電流,并在2.7×1016 photons/(cm2·s)的光強下讓XXM2.0和PsCatCh2.0在1 s光刺激后充分恢復,在Clampfit 10.6軟件中分析開放時間常數和關閉時間常數。為探討XXM2.0和PsCatCh2.0的對光響應頻率,設置2、4、8、16、32 Hz脈沖光刺激,并在重復刺激固定長間隔4000 ms和短間隔200 ms分析電流衰減情況。光源為Mightex外置光纖(470 nm),刺激時間由BioLED控制軟件設置,具體光強由光功率計測量。
1.6 統計學方法
采用SPSS 25.0軟件進行統計學分析,數據均用均數±標準差()表示。組間比較采用獨立樣本t檢驗。P<0.05為差異有統計學意義。
2 結果
2.1 以pCIG(c)-msFoxn3為載體構建的XXM2.0、PsCatCh2.0質粒鑒定
載體質粒pCIG(c)-msFoxn3含有EcoRⅠ、EcoRⅤ的酶切位點、EGFP、amp,堿基數大約為6200 bp。pCIG(c)-msFoxn3-XXM2.0和pCIG(c)-msFoxn3-PsCatCh2.0質粒均可被限制性內切酶EcoRⅠ、EcoRⅤ切開,條帶大小符合載體質粒pCIG(c)-msFoxn3及目的片段XXM2.0、PsCatCh2.0的長度(圖2)。構建的pCIG(c)-msFoxn3-XXM2.0和pCIG(c)-msFoxn3-PsCatCh2.0質粒所含序列均用基因測序驗證。

2.2 XXM2.0、PsCatCh2.0的光敏感性
新型光敏蛋白XXM2.0和PsCatCh2.0光刺激后產生的電流表現出光強依賴性,光強越大電流越大。在強光刺激下光敏蛋白XXM2.0和PsCatCh2.0表現出明顯的峰電流和平臺電流,隨著光強降低,峰電流逐漸減少至和平臺電流相等。在光強為2.7×1016 photons/(cm2·s)的刺激下,XXM2.0、PsCatCh2.0的峰電流分別為(424.7±589.9)、(117.8±60.6)pA,平臺電流分別為(397.3±528.9)、(105.4±5.6)pA;兩者峰電流和平臺電流比較,差異無統計學意義(t=1.16、1.30,P=0.31、0.26)。在光強為4.7×1015 photons/(cm2·s)的刺激下,XXM2.0、PsCatCh2.0的峰電流分別為(192.9±262.4)、(39.97±15.1)pA,平臺電流分別為(192.6±262.4)、(38.6±15.1)pA;兩者峰電流和平臺電流比較,差異無統計學意義(t=1.24、1.23,P=0.28、0.29)。在光強為6.4×1014 photons/(cm2·s)的刺激下,XXM2.0、PsCatCh2.0的峰電流分別為(92.8±142.0)、(13.9±5.6)pA,平臺電流分別為(92.8±142.0)、(13.9±5.6)pA;兩者峰電流和平臺電流比較,差異無統計學意義(t=1.24、1.24,P=0.28、0.29)(圖3)。

2.3 XXM2.0、PsCatCh2.0的動力學特征
在光強為2.7×1016 photons/(cm2·s)的470 nm藍光刺激下,XXM2.0、PsCatCh2.0的開放時間常數分別為(23.9±6.7)、(2.4±0.8)ms,關閉時間常數分別為(5 803.0±568.2)、(219.9±25.6)ms;兩者比較,XXM2.0的開放時間常數、關閉時間常數值均較PsCatCh2.0大,差異均有統計學意義(t=7.10、31.60,P=0.00、0.00)(圖4)。

2.4 XXM2.0、PsCatCh2.0的響應頻率
在2~32 Hz的脈沖光刺激下,XXM2.0和PsCatCh2.0均能響應32 Hz的高頻脈沖光刺激(圖5A)。由于XXM2.0的關閉時間常數要明顯慢于PsCatCh2.0,所以XXM2.0的電流還不能很好地恢復到基線水平又進一步增大,并且電流恢復程度逐漸變小。在高頻率的光刺激下,XXM2.0及PsCatCh2.0均沒有再出現明顯的峰電流。在470 nm光強為2.7×1016 photons/(cm2·s)的1 s重復光刺激、長間隔4000 ms的條件下,XXM2.0、PsCatCh2.0的電流衰減率分別為0.08±0.04、0.08±0.20,兩者之間的差異無統計學意義(t=0.00,P=1.00);再進行200 ms的稍短時間間隔的刺激下,XXM2.0、PsCatCh2.0的電流衰減率分別為0.08±0.05、0.07±0.02,兩者之間的差異無統計學意義(t=0.19,P=0.83)(圖5B~5D)。

3 討論
應用于視覺功能恢復的光遺傳學工具主要包括微生物光敏蛋白和哺乳動物光敏蛋白。人視網膜的安全光強閾值與波長相關,波長越短,光子能量越強,就更容易導致視網膜光毒性損害。視覺信號處理依賴高頻率的時空分辨率,以現在人們熟知的電影播放幀數為例,為24幀/s,即24 Hz,如低于24 Hz就會使人感覺畫面不連續[16]。ChR2作為最早應用于視覺恢復的微生物光敏蛋白,最佳激活波長在470 nm左右,光強為1017~1018 photons/(cm2·s),超過了470 nm藍光應用在視網膜上的安全閾值7.62×1014 photons/(cm2·s) [16-17]。相反,哺乳動物光敏蛋白視紫紅質和黑視蛋白在室內的環境光強下就可激活,但需要數百毫秒甚至數十秒的時間才能充分恢復光敏感性,又不能滿足視覺信號的空間分辨率[18-21](圖6)。所以,目前應用于視覺恢復的光敏蛋白不能很好平衡光敏感性和動力學來滿足視覺信號需求。因此,我們需要一類新型的光敏蛋白能同時兼顧高敏感性、快動力學,并在高頻率響應下保持電流信號的穩定。

隨著基因工程技術的發展,改造微生物光敏蛋白,提升生物學性能變得可能。策略一是延長光敏蛋白關閉時間常數。如ChR2突變體ChR2 L132C、T159C、L123C/T159C和L123C/T159S,它們的關閉時間常數在45 ms到1.4 s之間,空間響應頻率不足20 Hz[22]。雖然光敏感性比ChR2提升了15~20倍,但依然不足以降低對視網膜的光毒性損害[17]。目前應用于視覺功能恢復的光敏感性最高的ChR突變體是CoChR-H94E/L112C/K264T,可以在1012 photons/(cm2·s)的室內環境光強下被激活,但關閉時間常數為723 ms,響應頻率僅10 Hz左右[23]。所以,通過延長關閉時間常數的策略來提高光敏感性就導致了響應頻率降低,在視覺功能恢復中只能滿足光強要求。二是紅移激活波長,波長越長,視網膜可接受的光強就越強。ReaChR的激活波長從470 nm紅移至590 nm,590 nm的黃橙光對視網膜的安全閾值為5.94×1017 photons/(cm2·s),從而可以利用處于對視網膜安全閾值內的黃橙光來激活ReaChR,且ReaChR的響應頻率可達30 Hz,可滿足視覺信號處理的時空分辨率[16]。三是改變光敏蛋白通道離子通透性。如對Ca2+通透性增加的ChR突變體CatCh。光敏蛋白ChR2的離子通道是非選擇性的陽離子通道,且以Na+為主。CatCh的關閉時間常數在16 ms左右,與ChR2的關閉時間常數10 ms差別不大,但光敏感性與ChR2相比提高了70倍,其主要原因就是CatCh提高了6倍的Ca2+通透性[20]。在哺乳動物光敏蛋白上,由于其光敏感性要比微生物光敏蛋白高103甚至104倍[24-25],所以利用光遺傳學技術恢復視覺功能的最大限制是動力學不足。為了彌補黑視蛋白在視覺信號空間分辨率的不足,將mGluR6和黑視蛋白嵌合形成新光敏蛋白Opto-mGluR6。mGluR6是視網膜ON型雙極細胞的特異性谷氨酸受體,可以通過結合從光感受器細胞到TRPM1陽離子通道的谷氨酸信號來調節光反應,并且可以結合細胞內G蛋白偶聯的第二信使級聯反應大大增強谷氨酸信號[26-27]。所以Opto-mGluR6在一定程度上改善了黑視蛋白動力學不足。除了視紫紅質和黑視蛋白外,錐視蛋白尤其是對中等波長敏感的錐視蛋白,其光敏感性和視紫紅質差不多,光刺激后達到峰電流的時間比視紫紅質快3倍,關閉時間常數時間要快7倍,但可響應的光刺激脈沖只有2 Hz[28]。
XXM2.0和PsCatCh2.0均可在視網膜安全閾值內的低光強6.4×1014 photons/(cm2·s)(470 nm)下被激活,并且XXM2.0的關閉時間常數顯著大于PsCatCh2.0,所以XXM2.0具有更好的光敏感性。其次XXM2.0和PsCatCh2.0光敏蛋白均能以較小電流衰減來響應高頻率光刺激(至少32 Hz),這也滿足視覺信號處理所需的24 Hz。PsCatCh2.0是一個Ca2+、Na+通透性高的光敏蛋白,其Ca2+電流比CatCh要高4倍,在相同的光刺激條件下具有更快的響應頻率和更大光電流,所以在利用光遺傳學恢復視覺功能與CatCh相比更具優勢。雖然XXM2.0的時間關閉常數在5803 ms,但依然可以響應32 Hz頻率的光刺激并且電流衰減只有7%~8%,該性能要遠遠優于哺乳動物光敏蛋白視紫紅質。但XXM2.0在響應脈沖光刺激的時候并不能充分恢復至基線水平,這一電流形式是否會影響視覺信號傳導還得繼續研究。
XXM2.0和PsCatCh2.0作為新型的光敏蛋白,具有較高的光敏感性和高頻率的對光響應,均可作為視覺恢復的光遺傳學工具使用,可以有效降低視網膜光毒性損害。由于XXM2.0和PsCatCh2.0的光敏感性均在體外檢測,真正應用到動物模型或臨床試驗上還要考慮光強通過角膜和晶狀體的損耗,所以通過基因工程改造具有更高光敏感性的光敏蛋白具有重要意義,如提升Ca2+等二價離子的通透性、離子通道的電導率、靶向細胞膜的表達能力及紅移激活光波譜來提高光敏感性而不影響光敏蛋白的動力學特征。隨著基因工程技術的進步,在將來會有越來越多的性能優越的光遺傳學工具應用到視覺功能恢復中來。