引用本文: 雷濤, 王潤生, 張博, 姜媛, 張妍春, 安金金, 鄭波. 不同時間窗尿激酶動脈溶栓治療視網膜中央動脈阻塞的療效對比觀察. 中華眼底病雜志, 2020, 36(10): 788-794. doi: 10.3760/cma.j.cn511434-20191230-00416 復制
視網膜中央動脈阻塞(CRAO)是眼科急性致盲性眼病,由于視網膜中央動脈血栓形成或阻塞導致視網膜缺血。其引起的視力減退、甚至失明是不容忽視的問題。常規的擴血管、降眼壓、高壓氧、前房穿刺及按摩眼球等治療的效果甚微。動脈溶栓治療是目前較為有效的治療方法,但缺少CRAO動脈溶栓治療的指南。參考急性缺血性腦血管病溶栓治療的適應證和禁忌癥[1],同時結合CRAO動物模型實驗結果,目前認為超過240 min后RGC為不可逆的損害,因而多數CRAO患者失去動脈溶栓治療時機。為探討不同時間窗尿激酶動脈溶栓治療CRAO的有效性和安全性,我們對一組發病在3~240 h的CRAO患者尿激酶動脈溶栓治療效果和不良反應發生情況進行了回顧性分析,現將結果報道如下。
1 對象和方法
本研究為經西安市第四醫院倫理委員會審批并取得患者及其家屬書面知情同意的回顧性研究。
2014年1月至2019年11月在西安市人民醫院(西安市第四醫院)眼科住院治療的CRAO患者157例157只眼納入本研究。其中,男性120例,女性37例;年齡21~80歲,平均年齡(54.87±12.12)歲。均為單眼發病,右眼96只,左眼61只。發病時間3~240 h,平均發病時間(65.66±67.44)h。
所有患者均行BCVA、瞳孔、眼球運動、裂隙燈顯微鏡、眼前后節照相、FFA、視野、OCT以及顱腦CT、MRI檢查。BCVA檢查采用國際標準視力表進行,并將結果轉換為logMRA視力記錄。采用Topcon50EX眼底相機熒光造影儀測量臂-視網膜循環時間(A-Rct)及視網膜動脈主干-末梢充盈時間(FT),專人嚴格規范操作,確保循環時間記錄的準確性。所有患眼眼底動脈閉塞或纖細,后極部視網膜灰白色水腫,黃斑櫻桃紅(圖1A)。FFA檢查,患眼A-Rct>15 s,或FT延長、逆行充盈或動脈血管節段性充盈不良(圖1B~1D)。OCT檢查可見視網膜水腫增厚,各層解剖層次不清、反射增強(圖1E,1F)。患眼平均logMAR BCVA為2.44±0.46,平均A-Rct、FT分別為(27.72±9.78)、(13.58±14.92)s。

根據發病時間將患者分為發病3~72 h組、發病73~240 h組,分別為115、42例。發病3~72 h組115例患者中,男性82例,女性33例;平均年齡(55.08±11.96)歲;右眼75例,左眼40例。發病73~240 h組42例均為男性,平均年齡(55.66±10.98)歲;右眼22例,左眼20例。兩組患者年齡、A-Rct及logMAR BCVA比較,差異均無統計學意義(χ2=-0.197、-1.242、-8.990,P=0.844、0.369、0.369);FT比較,差異有統計學意義(χ2=-3.652,P=0.000)(表1)。


參照文獻[1]的急性腦梗死溶栓治療適應證和禁忌癥制定本組患者急診治療干預的納入、排除標準。納入標準:(1)年齡18~80歲;(2)發病時間≤240 h;(3)血壓低于180/100 mmHg(1 mmHg=0.133 kPa);(4)血漿凝血酶原時間、凝血酶時間、纖維蛋白原、血小板計數均在正常范圍;(5)腦CT等影像學檢查排除顱內出血或急性大面積腦梗死;(6)患者或家屬簽署知情同意書。排除標準:(1)CT檢查證實顱內出血或既往有顱內出血、動靜脈畸形或顱內動脈瘤病史,最近3個月有顱內手術、頭顱外傷或卒中史;(2)最近21 d有消化道、泌尿系統等活動性出血史;(3)最近14 d有外科手術史;(4)有明顯出血傾向;(5)嚴重心、肺、腎臟、肝臟病史。
參照文獻[1]的方法,患者分別于發病后3~24 h、25~72 h、73~96 h、97~120 h、121~240 h內接受尿激酶溶栓治療治療。不同治療時間窗患者治療前年齡、A-Rct比較,差異無統計學意義(χ2=6.588、6.679,P=0.253、0.246);FT、logMAR BCVA比較,差異有統計學意義(χ2=30.150、71.378,P=0.000、0.000)(表2)。動脈溶栓穿刺部位為腹股溝區股動脈,穿刺方法為改良型Slendinger技術。2%利多卡因麻醉穿刺點皮膚,并在股動脈周圍浸潤,用手術刀片做2 mm切口,動脈穿刺針穿刺股動脈,有搏動性回流血后將導絲插入股動脈,到位后導入5F動脈導管鞘,在數字平板血管造影機下常規行全腦血管造影檢查,排除顱內動脈瘤、動靜脈畸形等病變后進行超選擇性眼動脈或選擇性頸內動脈溶栓治療。經導管緩慢注入尿激酶50萬U、地塞米松10 mg和罌粟堿30 mg,分別用0.9%氯化鈉注射液稀釋至10 ml緩慢注入,操作過程中動作輕柔避免損傷血管內膜、全身肝素化,預防血栓性栓塞。治療后24 h復查FFA,治療后30 d復查視力。對比分析患眼治療前后A-Rct、FT及BCVA的變化情況。同時觀察患者治療中及治療后不良反應的發生情況。


采用SPSS15.0統計軟件進行統計學分析,計量資料以均數±標準差(±s)表示。兩組計量資料均數比較,符合正態分布者采用t檢驗,非正態分布者采用χ2檢驗。發病時間與治療后A-Rct、FT縮短時間及logMAR BCVA差值的相關性采用Spearman相關性分析。P<0.05為差異有統計學意義。
2 結果
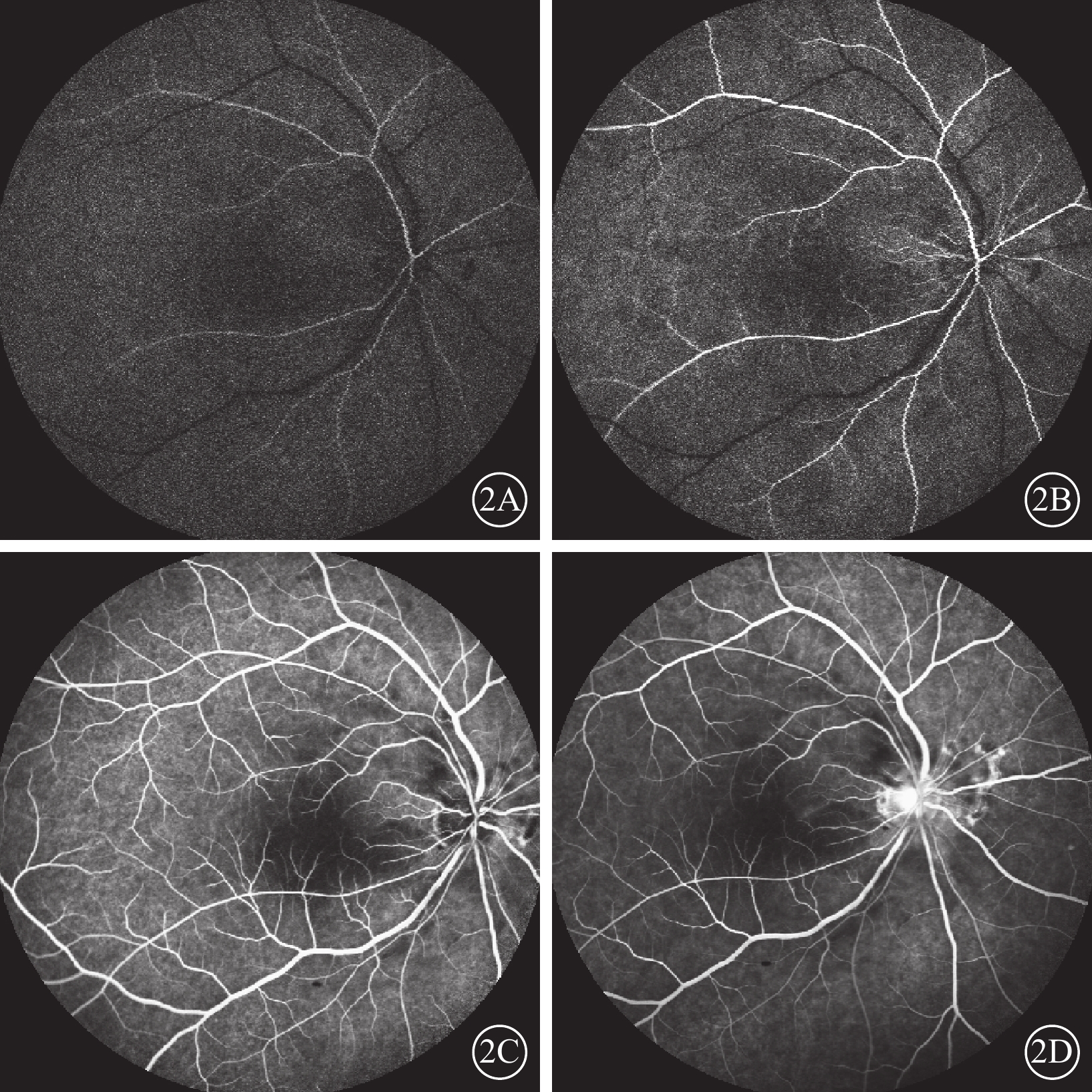
治療后24 h,患眼A-Rct、FT分別為(19.64±6.50)、(6.48±7.36)s,均較治療前明顯縮短(圖2),差異有統計學意義(χ2=-16.236、-14.703,P=0.000、0.000)。治療后30 d,患眼logMAR BCVA為1.72±0.76,較治療前明顯提高,差異有統計學意義(χ2=-14.460,P=0.000)。

不同治療時間窗的患眼治療前后A-Rct、FT縮短時間和logMAR BCVA差值比較,差異有統計學意義(χ2=12.408、24.200、104.388,P=0.030、0.000、0.000)(表3)。


發病3~72 h組和發病73~240 h組治療后A-Rct縮短時間比較,差異無統計學意義(χ2=-1.042,P=0.297);FT縮短時間比較,差異有統計學意義(χ2=-3.581,P=0.000);logMAR BCVA差值比較,差異有統計學意義(χ2=-9.905,P=0.000)(表4)。


Spearman相關性分析結果顯示,發病時間與治療后A-Rct、FT縮短時間均無相關性(rp=-0.040、-0.081,P=0.436、0.115),與logMAR BCVA差值呈負相關(rp=-0.486,P=0.000)。
治療后發生顱內出血1例患者,給予甘露醇脫水減輕腦細胞水腫、依達拉奉清除自由基以及尼莫地平保護腦細胞等治療1周后好轉。
3 討論
CRAO常規治療方法效果有限,且缺少CRAO診療指南和專家共識。動脈溶栓治療CRAO是一種有效的方法,但缺少大樣本隨機對照試驗結果支持[2-3]。目前大多是參考急性缺血性腦血管病溶栓治療指南推薦的適應證和禁忌癥,認為240 min是CRAO動脈溶栓的有效時間窗,超過該時間后缺血導致RGC不可逆的損害,多數患者因就診延遲而失去治療機會[4-5]。有研究發現,靜脈或動脈超過4.5 h時間窗采用尿激酶動脈溶栓治療仍然有效[6]。
本研究回顧性分析了157例CRAO患者在不同治療時間窗內尿激酶動脈溶栓治療的效果,結果顯示治療后24 h的A-Rct、FT均有縮短,治療后30 d視力均得到改善。我們分析超過4 h時間窗后動脈溶栓治療有效的原因是:(1)動脈溶栓過程中溶栓藥物直接到達栓子和血栓部位,局部藥物濃度高,作用迅速;無論哪種栓子進入血管內多數為較小的初級栓子,血細胞、血小板極易吸附在初級栓子周圍使栓子擴大,阻塞眼動脈、視網膜中央動脈血流,導致視網膜低灌注[7]。栓子進入血液后會在其周圍發生血小板、血細胞和纖維蛋白原聚集,導致繼發性血栓,尿激酶可以充分溶解血栓性栓子以及栓子周圍繼發性血栓,使得阻塞范圍縮小[7-9]。(2)CRAO大多為不完全型阻塞,少數為完全型阻塞[10]。兩者可通過FFA做出鑒別,評估阻塞程度是動脈溶栓后改善視覺效果的一個重要因素[11]。Ahn等[12]研究表明,與完全型阻塞相比,不完全型阻塞患者的臨床顯著視力改善率明顯更高[13]。Schmidt等[6]研究發現,CRAO經動脈溶栓治療后,存在殘余視網膜血液循環的不完全型阻塞患者視力明顯改善率為50%,而完全型阻塞患者的視力明顯改善率為0%。Vestergaard等[14]研究發現,FFA檢測可見CRAO獼猴模型有殘余視網膜循環,認為是由于閉塞遠端視網膜中央動脈與睫狀視網膜毛細血管和軟腦膜毛細血管之間存在吻合支。CRAO的阻塞程度可能比治療時間窗對治療效果的影響更重要,選擇不完全型阻塞者進行動脈溶栓治療對視功能的恢復更有價值[15]。(3)視網膜動脈阻塞發生后,內層視網膜主要依賴視網膜末端動脈循環供氧[16]。外層視網膜由睫狀后長動脈和短動脈形成的豐富的脈絡膜循環供氧,部分CRAO存在睫狀視網膜動脈,預后好于完全型阻塞者[16-17]。(4)超過4 h尿激酶動脈溶栓治療CRAO有效的一個重要原因是視網膜存在缺血半暗帶區,其類似于急性腦梗死的缺血半暗帶區[18]。CRAO缺氧核心周圍是一個電靜止但透明的環形區域,為半暗帶區[19]。(5)脈絡膜血流量高,血管內氧分壓高,類似一條巨大的薄壁動脈,向缺血的視網膜供氧,在后極部的氧向內擴散被氧分壓下降或線粒體堆積所阻斷,而周邊視網膜光感受器細胞密度低,對氧的阻斷較輕,因而周邊部視網膜缺血缺氧程度輕于后極部。(6)視網膜血液灌注的輕度減少不會對視網膜細胞造成損害,但血流量減少50%左右時,Na+、Cl-、Ca++和H2O內流增加,K+和谷氨酸流出,導致RGC發生去極化和腫大,處于電靜止狀態;但細胞結構完整,當血流改善后RGC電活動恢復[18]。
既往研究發現,CRAO治療時間窗與視力改善之間沒有顯著相關性[6]。特別是在較長的時間窗內進行動脈溶栓后的視力改善,可能原因是在癥狀出現后的一些超早期之后,或許存在其他影響視力改善的因素,且其影響程度大于時間窗因素[6]。通過對不同時間窗(3~24 h、25~48 h、49~72 h、73~96 h、97~120 h、121~240 h)內尿激酶動脈溶栓治療后A-Rct縮短時間、FT縮短時間、logMAR BCVA差值比較,我們發現,不同時間窗內尿激酶動脈溶栓治療后視力改善程度有差異,隨著治療時間窗的延長,治療效果降低。我們還發現,發病時間與logMAR BCVA差值呈負相關,與治療后A-Rct縮短時間、FT縮短時間無相關性。不同時間窗內尿激酶動脈溶栓治療CRAO均有效果,視力得到不同程度的提高;但發病73~240 h組患者視力差值和FT縮短時間低于發病3~72 h組,A-Rct縮短時間兩組無差異。分析可能的原因是,腦組織和視網膜對缺血的反應是有差異的,腦細胞的“存活時間”被認為是30~40 min,半暗帶區1~6 h轉化為壞死組織,“半暗帶區到壞死區的轉換”是由一波又一波的梗死周圍去極化引起的。而視網膜半暗帶區RGC存活時間要長于腦細胞,視網膜血流恢復后電活動恢復,若視網膜血流未能及時恢復,隨著時間延長視網膜缺血半暗帶區RGC凋亡。而視網膜中央邊緣的半暗帶區組織不會發生延遲的凋亡,這可能是因為RGC外流的K+進入玻璃體,減少了RGC的凋亡[18]。
尿激酶動脈溶栓治療超過發病4 h CRAO的安全性是眼科醫生關注的焦點。本組患者中有1例在尿激酶動脈溶栓治療后出現頭痛,顱腦MRI檢查顯示額葉出血,經脫水減輕腦水腫、清除自由基以及腦保護等治療后好轉,未遺留后遺癥。盡管尿激酶動脈溶栓治療CRAO的出血并發癥較低,動脈溶栓治療前做顱腦CT、MRI等影像學評估,手術中及手術后嚴密觀察及早發現并處理動脈溶栓治療的并發癥仍然十分重要。
CRAO的最佳治療時間窗尚未確定,及時確定診斷和采取有效的治療措施很有必要,發病超過4 h積極采用尿激酶動脈溶栓治療能在一定程度上改善視網膜動脈循環和視力[6, 20]。但由于本研究為單中心研究且納入病例數較少,其結果有待今后多中心、更大樣本量研究加以驗證。
視網膜中央動脈阻塞(CRAO)是眼科急性致盲性眼病,由于視網膜中央動脈血栓形成或阻塞導致視網膜缺血。其引起的視力減退、甚至失明是不容忽視的問題。常規的擴血管、降眼壓、高壓氧、前房穿刺及按摩眼球等治療的效果甚微。動脈溶栓治療是目前較為有效的治療方法,但缺少CRAO動脈溶栓治療的指南。參考急性缺血性腦血管病溶栓治療的適應證和禁忌癥[1],同時結合CRAO動物模型實驗結果,目前認為超過240 min后RGC為不可逆的損害,因而多數CRAO患者失去動脈溶栓治療時機。為探討不同時間窗尿激酶動脈溶栓治療CRAO的有效性和安全性,我們對一組發病在3~240 h的CRAO患者尿激酶動脈溶栓治療效果和不良反應發生情況進行了回顧性分析,現將結果報道如下。
1 對象和方法
本研究為經西安市第四醫院倫理委員會審批并取得患者及其家屬書面知情同意的回顧性研究。
2014年1月至2019年11月在西安市人民醫院(西安市第四醫院)眼科住院治療的CRAO患者157例157只眼納入本研究。其中,男性120例,女性37例;年齡21~80歲,平均年齡(54.87±12.12)歲。均為單眼發病,右眼96只,左眼61只。發病時間3~240 h,平均發病時間(65.66±67.44)h。
所有患者均行BCVA、瞳孔、眼球運動、裂隙燈顯微鏡、眼前后節照相、FFA、視野、OCT以及顱腦CT、MRI檢查。BCVA檢查采用國際標準視力表進行,并將結果轉換為logMRA視力記錄。采用Topcon50EX眼底相機熒光造影儀測量臂-視網膜循環時間(A-Rct)及視網膜動脈主干-末梢充盈時間(FT),專人嚴格規范操作,確保循環時間記錄的準確性。所有患眼眼底動脈閉塞或纖細,后極部視網膜灰白色水腫,黃斑櫻桃紅(圖1A)。FFA檢查,患眼A-Rct>15 s,或FT延長、逆行充盈或動脈血管節段性充盈不良(圖1B~1D)。OCT檢查可見視網膜水腫增厚,各層解剖層次不清、反射增強(圖1E,1F)。患眼平均logMAR BCVA為2.44±0.46,平均A-Rct、FT分別為(27.72±9.78)、(13.58±14.92)s。

根據發病時間將患者分為發病3~72 h組、發病73~240 h組,分別為115、42例。發病3~72 h組115例患者中,男性82例,女性33例;平均年齡(55.08±11.96)歲;右眼75例,左眼40例。發病73~240 h組42例均為男性,平均年齡(55.66±10.98)歲;右眼22例,左眼20例。兩組患者年齡、A-Rct及logMAR BCVA比較,差異均無統計學意義(χ2=-0.197、-1.242、-8.990,P=0.844、0.369、0.369);FT比較,差異有統計學意義(χ2=-3.652,P=0.000)(表1)。


參照文獻[1]的急性腦梗死溶栓治療適應證和禁忌癥制定本組患者急診治療干預的納入、排除標準。納入標準:(1)年齡18~80歲;(2)發病時間≤240 h;(3)血壓低于180/100 mmHg(1 mmHg=0.133 kPa);(4)血漿凝血酶原時間、凝血酶時間、纖維蛋白原、血小板計數均在正常范圍;(5)腦CT等影像學檢查排除顱內出血或急性大面積腦梗死;(6)患者或家屬簽署知情同意書。排除標準:(1)CT檢查證實顱內出血或既往有顱內出血、動靜脈畸形或顱內動脈瘤病史,最近3個月有顱內手術、頭顱外傷或卒中史;(2)最近21 d有消化道、泌尿系統等活動性出血史;(3)最近14 d有外科手術史;(4)有明顯出血傾向;(5)嚴重心、肺、腎臟、肝臟病史。
參照文獻[1]的方法,患者分別于發病后3~24 h、25~72 h、73~96 h、97~120 h、121~240 h內接受尿激酶溶栓治療治療。不同治療時間窗患者治療前年齡、A-Rct比較,差異無統計學意義(χ2=6.588、6.679,P=0.253、0.246);FT、logMAR BCVA比較,差異有統計學意義(χ2=30.150、71.378,P=0.000、0.000)(表2)。動脈溶栓穿刺部位為腹股溝區股動脈,穿刺方法為改良型Slendinger技術。2%利多卡因麻醉穿刺點皮膚,并在股動脈周圍浸潤,用手術刀片做2 mm切口,動脈穿刺針穿刺股動脈,有搏動性回流血后將導絲插入股動脈,到位后導入5F動脈導管鞘,在數字平板血管造影機下常規行全腦血管造影檢查,排除顱內動脈瘤、動靜脈畸形等病變后進行超選擇性眼動脈或選擇性頸內動脈溶栓治療。經導管緩慢注入尿激酶50萬U、地塞米松10 mg和罌粟堿30 mg,分別用0.9%氯化鈉注射液稀釋至10 ml緩慢注入,操作過程中動作輕柔避免損傷血管內膜、全身肝素化,預防血栓性栓塞。治療后24 h復查FFA,治療后30 d復查視力。對比分析患眼治療前后A-Rct、FT及BCVA的變化情況。同時觀察患者治療中及治療后不良反應的發生情況。


采用SPSS15.0統計軟件進行統計學分析,計量資料以均數±標準差(±s)表示。兩組計量資料均數比較,符合正態分布者采用t檢驗,非正態分布者采用χ2檢驗。發病時間與治療后A-Rct、FT縮短時間及logMAR BCVA差值的相關性采用Spearman相關性分析。P<0.05為差異有統計學意義。
2 結果
治療后24 h,患眼A-Rct、FT分別為(19.64±6.50)、(6.48±7.36)s,均較治療前明顯縮短(圖2),差異有統計學意義(χ2=-16.236、-14.703,P=0.000、0.000)。治療后30 d,患眼logMAR BCVA為1.72±0.76,較治療前明顯提高,差異有統計學意義(χ2=-14.460,P=0.000)。

不同治療時間窗的患眼治療前后A-Rct、FT縮短時間和logMAR BCVA差值比較,差異有統計學意義(χ2=12.408、24.200、104.388,P=0.030、0.000、0.000)(表3)。


發病3~72 h組和發病73~240 h組治療后A-Rct縮短時間比較,差異無統計學意義(χ2=-1.042,P=0.297);FT縮短時間比較,差異有統計學意義(χ2=-3.581,P=0.000);logMAR BCVA差值比較,差異有統計學意義(χ2=-9.905,P=0.000)(表4)。


Spearman相關性分析結果顯示,發病時間與治療后A-Rct、FT縮短時間均無相關性(rp=-0.040、-0.081,P=0.436、0.115),與logMAR BCVA差值呈負相關(rp=-0.486,P=0.000)。
治療后發生顱內出血1例患者,給予甘露醇脫水減輕腦細胞水腫、依達拉奉清除自由基以及尼莫地平保護腦細胞等治療1周后好轉。
3 討論
CRAO常規治療方法效果有限,且缺少CRAO診療指南和專家共識。動脈溶栓治療CRAO是一種有效的方法,但缺少大樣本隨機對照試驗結果支持[2-3]。目前大多是參考急性缺血性腦血管病溶栓治療指南推薦的適應證和禁忌癥,認為240 min是CRAO動脈溶栓的有效時間窗,超過該時間后缺血導致RGC不可逆的損害,多數患者因就診延遲而失去治療機會[4-5]。有研究發現,靜脈或動脈超過4.5 h時間窗采用尿激酶動脈溶栓治療仍然有效[6]。
本研究回顧性分析了157例CRAO患者在不同治療時間窗內尿激酶動脈溶栓治療的效果,結果顯示治療后24 h的A-Rct、FT均有縮短,治療后30 d視力均得到改善。我們分析超過4 h時間窗后動脈溶栓治療有效的原因是:(1)動脈溶栓過程中溶栓藥物直接到達栓子和血栓部位,局部藥物濃度高,作用迅速;無論哪種栓子進入血管內多數為較小的初級栓子,血細胞、血小板極易吸附在初級栓子周圍使栓子擴大,阻塞眼動脈、視網膜中央動脈血流,導致視網膜低灌注[7]。栓子進入血液后會在其周圍發生血小板、血細胞和纖維蛋白原聚集,導致繼發性血栓,尿激酶可以充分溶解血栓性栓子以及栓子周圍繼發性血栓,使得阻塞范圍縮小[7-9]。(2)CRAO大多為不完全型阻塞,少數為完全型阻塞[10]。兩者可通過FFA做出鑒別,評估阻塞程度是動脈溶栓后改善視覺效果的一個重要因素[11]。Ahn等[12]研究表明,與完全型阻塞相比,不完全型阻塞患者的臨床顯著視力改善率明顯更高[13]。Schmidt等[6]研究發現,CRAO經動脈溶栓治療后,存在殘余視網膜血液循環的不完全型阻塞患者視力明顯改善率為50%,而完全型阻塞患者的視力明顯改善率為0%。Vestergaard等[14]研究發現,FFA檢測可見CRAO獼猴模型有殘余視網膜循環,認為是由于閉塞遠端視網膜中央動脈與睫狀視網膜毛細血管和軟腦膜毛細血管之間存在吻合支。CRAO的阻塞程度可能比治療時間窗對治療效果的影響更重要,選擇不完全型阻塞者進行動脈溶栓治療對視功能的恢復更有價值[15]。(3)視網膜動脈阻塞發生后,內層視網膜主要依賴視網膜末端動脈循環供氧[16]。外層視網膜由睫狀后長動脈和短動脈形成的豐富的脈絡膜循環供氧,部分CRAO存在睫狀視網膜動脈,預后好于完全型阻塞者[16-17]。(4)超過4 h尿激酶動脈溶栓治療CRAO有效的一個重要原因是視網膜存在缺血半暗帶區,其類似于急性腦梗死的缺血半暗帶區[18]。CRAO缺氧核心周圍是一個電靜止但透明的環形區域,為半暗帶區[19]。(5)脈絡膜血流量高,血管內氧分壓高,類似一條巨大的薄壁動脈,向缺血的視網膜供氧,在后極部的氧向內擴散被氧分壓下降或線粒體堆積所阻斷,而周邊視網膜光感受器細胞密度低,對氧的阻斷較輕,因而周邊部視網膜缺血缺氧程度輕于后極部。(6)視網膜血液灌注的輕度減少不會對視網膜細胞造成損害,但血流量減少50%左右時,Na+、Cl-、Ca++和H2O內流增加,K+和谷氨酸流出,導致RGC發生去極化和腫大,處于電靜止狀態;但細胞結構完整,當血流改善后RGC電活動恢復[18]。
既往研究發現,CRAO治療時間窗與視力改善之間沒有顯著相關性[6]。特別是在較長的時間窗內進行動脈溶栓后的視力改善,可能原因是在癥狀出現后的一些超早期之后,或許存在其他影響視力改善的因素,且其影響程度大于時間窗因素[6]。通過對不同時間窗(3~24 h、25~48 h、49~72 h、73~96 h、97~120 h、121~240 h)內尿激酶動脈溶栓治療后A-Rct縮短時間、FT縮短時間、logMAR BCVA差值比較,我們發現,不同時間窗內尿激酶動脈溶栓治療后視力改善程度有差異,隨著治療時間窗的延長,治療效果降低。我們還發現,發病時間與logMAR BCVA差值呈負相關,與治療后A-Rct縮短時間、FT縮短時間無相關性。不同時間窗內尿激酶動脈溶栓治療CRAO均有效果,視力得到不同程度的提高;但發病73~240 h組患者視力差值和FT縮短時間低于發病3~72 h組,A-Rct縮短時間兩組無差異。分析可能的原因是,腦組織和視網膜對缺血的反應是有差異的,腦細胞的“存活時間”被認為是30~40 min,半暗帶區1~6 h轉化為壞死組織,“半暗帶區到壞死區的轉換”是由一波又一波的梗死周圍去極化引起的。而視網膜半暗帶區RGC存活時間要長于腦細胞,視網膜血流恢復后電活動恢復,若視網膜血流未能及時恢復,隨著時間延長視網膜缺血半暗帶區RGC凋亡。而視網膜中央邊緣的半暗帶區組織不會發生延遲的凋亡,這可能是因為RGC外流的K+進入玻璃體,減少了RGC的凋亡[18]。
尿激酶動脈溶栓治療超過發病4 h CRAO的安全性是眼科醫生關注的焦點。本組患者中有1例在尿激酶動脈溶栓治療后出現頭痛,顱腦MRI檢查顯示額葉出血,經脫水減輕腦水腫、清除自由基以及腦保護等治療后好轉,未遺留后遺癥。盡管尿激酶動脈溶栓治療CRAO的出血并發癥較低,動脈溶栓治療前做顱腦CT、MRI等影像學評估,手術中及手術后嚴密觀察及早發現并處理動脈溶栓治療的并發癥仍然十分重要。
CRAO的最佳治療時間窗尚未確定,及時確定診斷和采取有效的治療措施很有必要,發病超過4 h積極采用尿激酶動脈溶栓治療能在一定程度上改善視網膜動脈循環和視力[6, 20]。但由于本研究為單中心研究且納入病例數較少,其結果有待今后多中心、更大樣本量研究加以驗證。