引用本文: 夏璐琦, 蔡雪碧, 鄭逸晗, 文昕然, 周方越, 直井信久, 金子兵. 小口病致病基因診斷. 中華眼底病雜志, 2020, 36(3): 192-195. doi: 10.3760/cma.j.cn511434-20190628-00206 復制
小口病為一種常染色體隱性遺傳疾病,于1907年由Oguchi[1]首次報道。本病為先天性靜止性夜盲中一種不常見類型,整個視網膜色澤呈灰暗而帶有反光的金黃色,長時間暗適應后灰黃色眼底褪色性改變會消失,稱為水尾現象[2]。患者視力、視野和色覺檢查一般正常[1, 3]。目前,已經有2個基因被證實與小口病有關,分別是GRK1和SAG[4]。本研究應用全外顯子測序技術對1例小口病患者進行了基因檢測并進行了驗證。現將結果報道如下。
1 對象和方法
本研究獲溫州醫科大學附屬眼視光醫院倫理委員會批準(批準號:KYK2012-7);嚴格遵守赫爾辛基宣言,受試者簽署知情同意書。
臨床檢查確診的1例來自日本的小口病患者納入研究。經患者知情同意后采集病史及家族史,繪制家系圖譜。行BCVA、視野、眼底彩色照相、OCT、全視野閃光ERG檢查。
采集先證者外周靜脈血并提取DNA,行全外顯子組測序。因小口病為罕見常染色體隱性遺傳疾病,故排除:(1)突變類型為同義突變;(2)突變位于非編碼區且不影響剪接位點;(3)在正常人數據庫ExAC及千人基因組計劃中的等位基因頻率高于0.05;(4)SIFT、Polyphen2、Mutation Taster預測致病性結果為良性;(5)突變在該患者DNA上表現為非純合突變。
突變體和野生型蛋白結構采用Phyre2(http://www.sbg.bio.ic.ac.uk/phyre2/html/page.cgi?id=index)進行預測并由Pymol分子圖形系統可視化。利用SMART(http://smart.embl-heidelberg.de/)模擬相關基因多肽的拓撲模型。通過PubMed獲取不用物種序列,聯合BioEdit和clustalx軟件對比分析該突變位點的保守性。
2 結果
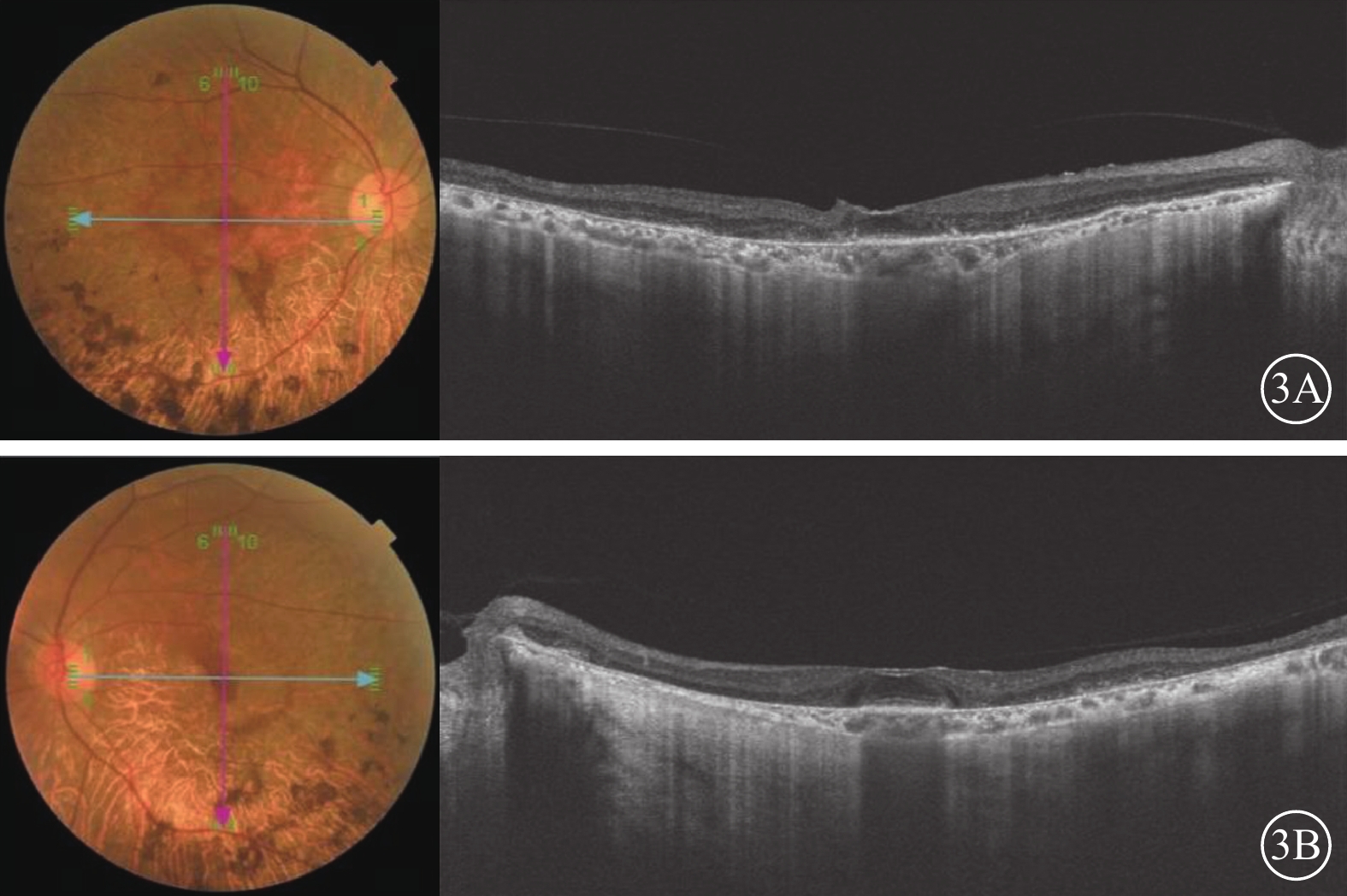
先證者(Ⅲ1)男,71歲。自幼夜盲;其父母(Ⅱ4、Ⅱ8)為表兄妹近親婚配(圖1)。患者雙眼BCVA均為0.7(+1.75 D×-3.0 D×90°)。雙眼眼前節除晶狀體混濁外,其余未見明顯異常。雙眼眼底可見點狀黑褐色色素沉著,血管細;局部金色反光(圖2)。左眼可見局部血管一側有暗影,另側有黃白色反光;視網膜周邊血管阻塞。視野檢查,中心區域顯示環狀視野缺損,敏感性下降。OCT檢查,可見黃斑區視網膜外層萎縮變薄,局部橢圓體帶缺失(圖3)。全視野閃光ERG檢查,雙眼暗適應0.01反應熄滅,暗適應3.0反應a、b波振幅均明顯降低,b波幾乎消失,呈負波形;明適應3.0閃爍光反應振幅下降(圖4)。




全外顯子測序及生物信息學分析結果顯示,患者帶有SAG基因的一個純合移碼突變(c.924delA, p.N309Tfs*12),測序深度為50×。Mutation Taster對該位點的預測值為1,預測結果為很可能致病。該突變在Esp6500和千人基因組計劃數據庫中未發現,在ExAC數據庫的等位基因頻率極低,為0.000 025 02,rs號為rs587776778;在gnomAD數據庫中查詢該突變在人群中的發生頻率為0.000 012。該突變導致其編碼的s抗原第309位氨基酸由天冬酰胺(Asn)變為蘇氨酸(Thr),表達產物氨基酸數量由405縮短為319,且該位點定位于功能結構域(圖5),蛋白結構和功能受到嚴重破壞。預測野生型和突變型的蛋白質晶體結構并進行對比,該位點氨基酸由Asn變為Thr,與之相互作用的殘基類別及氫鍵數目無變化(圖6)。蛋白序列同源性分析結果顯示,SAG p.N309Tfs*12突變所對應的第309號氨基酸位點在多個物種中均高度保守(圖7)。



3 討論
本研究先證者訴自幼夜盲,呈靜止性,眼底可見局部金箔樣反光。雙眼暗適應視桿細胞反應熄滅,暗適應最大反應a、b波振幅均明顯降低,b波幾乎消失。臨床表現符合小口病特點。小口病是一種罕見的常染色體隱性遺傳性疾病,是先天性靜止性夜盲中一種不常見類型。研究表明,患者桿狀光感受器的暗適應過程非常緩慢,而視錐細胞的暗適應過程似乎仍正常進行[5],這或許能解釋ERG波形的特殊改變。本研究通過全外顯子組測序聯合生物信息學分析發現,患者SAG基因發生了純合移碼突變(c.924delA, p.N309Tfs*12)。
該突變已被多次報道是小口病的致病突變[6-7]。攜帶該突變的患者多數BCVA較好,夜盲是其唯一臨床表現;眼底均可見金黃色反光,充分暗適應后水尾現象可引出;部分患者中央旁視野缺損。但與本研究先證者不同的是,文獻所報道的患者并非近親婚配后代[4, 8-9],其中1例患者父母攜帶雜合突變但未發病[9]。值得注意的是,Fujinami等[10]發現1例小口病患者攜帶一個SAG基因雜合缺失突變(c.924delA, p.N309Tfs*12),該患者并無夜盲癥,唯一臨床癥狀為畏光。此外,N309Tfs*12突變是日本小口病患者中最常見的突變[11],也被證實與常染色體隱性遺傳性視網膜色素變性(RP)有關[12]。相較于小口病,攜帶該突變的RP患者BCVA較差,視野缺損范圍更大。N309Tfs*12突變的個體可表現出不同的表型,包括典型的小口病、合并黃斑變性或廣泛視網膜變性的小口病、眼底呈現特征性金色反光的RP以及典型的RP。少數被診斷為小口病的患者在多年后表現出典型的RP。對此,有學者推測,從小口病到RP是疾病的發展過程,不同個體所表現出的各種視網膜表型可能被認為是個體的疾病嚴重程度差異[7]。
目前SAG有6個突變被報道與小口病有關,除本研究患者所攜帶的突變外,其余5個分別為R193X、R175X、R292X、E306X、S133L[13-16]。SAG編碼的視紫紅質抑制蛋白是arrestin/beta arrestin蛋白家族的一個成員,在視網膜和松果體中均有表達。除參與光激活轉導級聯的脫敏,抑制視紫紅質在體外轉導的偶聯之外,視紫紅質抑制蛋白在視桿細胞中的另一個作用可能是抑制視紫紅質在視網膜上的某些釋放和調節Meta Ⅱ[17]。本研究結果顯示,患者所攜帶SAG基因上的1-bp缺失(c.924delA,p. N309Tfs*12)導致視紫紅質抑制蛋白的翻譯提前終止,進而光轉導過程不能正常進行,而具體發病機制亟待研究。
目前認為小口病可能是一種靜止性視網膜功能障礙,患者通常不需特殊治療。但有研究者指出,其視網膜結構并非無變化。Godara等[18]發現,在完全暗適應后,患者視桿細胞的強度變為光適應條件下的4倍。黃斑外區橢圓體帶的缺失與視閾值較高且視桿細胞最有可能不能正常工作的時間相吻合,經長時間暗適應后,視閾值恢復,眼底表現正常,橢圓體帶也重新出現。提示橢圓體帶的存在與否與其特殊表現存在某種相關[19]。Usui等[20]發現氦氖激光成像中可見視網膜聚集彌漫性、細小白色顆粒,這些顆粒在暗適應時消失,而在光照下又逐漸出現,表明視網膜上聚集的白色顆粒可能是導致小口病眼底反射異常的原因。雖然長時間暗適應后,患者對光線的敏感度有所提高[9, 11],夜盲癥狀似乎也不會進展,但這些視網膜結構的改變對患者是否有更多影響,仍需進一步研究。同時,盡早確診并明確患者致病原因,監測眼底的變化有重要意義。
本研究通過全外顯子測序聯合深度生物信息學分析發現1例小口病患者SAG基因的致病突變(c.924delA, p.N309Tfs*12)。由于未能獲取患者直系親屬的DNA樣本及臨床資料,不能確定該突變是遺傳抑或新生。但考慮到其父母為近親婚配,我們推測本例患者極有可能為常染色體隱性遺傳。小口病是一種罕見的遺傳性疾病,好發于黃色人種,父母多為近親婚配。應用遺傳學手段如全外顯子測序技術有助于提高對該病的診斷率,減少漏診、誤診。全外顯子測序具有成本低、通量高、效率高的特點,將其應用于臨床,對罕見遺傳性疾病的早期診斷、明確病因、遺傳咨詢及產前診斷具有重要意義。
小口病為一種常染色體隱性遺傳疾病,于1907年由Oguchi[1]首次報道。本病為先天性靜止性夜盲中一種不常見類型,整個視網膜色澤呈灰暗而帶有反光的金黃色,長時間暗適應后灰黃色眼底褪色性改變會消失,稱為水尾現象[2]。患者視力、視野和色覺檢查一般正常[1, 3]。目前,已經有2個基因被證實與小口病有關,分別是GRK1和SAG[4]。本研究應用全外顯子測序技術對1例小口病患者進行了基因檢測并進行了驗證。現將結果報道如下。
1 對象和方法
本研究獲溫州醫科大學附屬眼視光醫院倫理委員會批準(批準號:KYK2012-7);嚴格遵守赫爾辛基宣言,受試者簽署知情同意書。
臨床檢查確診的1例來自日本的小口病患者納入研究。經患者知情同意后采集病史及家族史,繪制家系圖譜。行BCVA、視野、眼底彩色照相、OCT、全視野閃光ERG檢查。
采集先證者外周靜脈血并提取DNA,行全外顯子組測序。因小口病為罕見常染色體隱性遺傳疾病,故排除:(1)突變類型為同義突變;(2)突變位于非編碼區且不影響剪接位點;(3)在正常人數據庫ExAC及千人基因組計劃中的等位基因頻率高于0.05;(4)SIFT、Polyphen2、Mutation Taster預測致病性結果為良性;(5)突變在該患者DNA上表現為非純合突變。
突變體和野生型蛋白結構采用Phyre2(http://www.sbg.bio.ic.ac.uk/phyre2/html/page.cgi?id=index)進行預測并由Pymol分子圖形系統可視化。利用SMART(http://smart.embl-heidelberg.de/)模擬相關基因多肽的拓撲模型。通過PubMed獲取不用物種序列,聯合BioEdit和clustalx軟件對比分析該突變位點的保守性。
2 結果
先證者(Ⅲ1)男,71歲。自幼夜盲;其父母(Ⅱ4、Ⅱ8)為表兄妹近親婚配(圖1)。患者雙眼BCVA均為0.7(+1.75 D×-3.0 D×90°)。雙眼眼前節除晶狀體混濁外,其余未見明顯異常。雙眼眼底可見點狀黑褐色色素沉著,血管細;局部金色反光(圖2)。左眼可見局部血管一側有暗影,另側有黃白色反光;視網膜周邊血管阻塞。視野檢查,中心區域顯示環狀視野缺損,敏感性下降。OCT檢查,可見黃斑區視網膜外層萎縮變薄,局部橢圓體帶缺失(圖3)。全視野閃光ERG檢查,雙眼暗適應0.01反應熄滅,暗適應3.0反應a、b波振幅均明顯降低,b波幾乎消失,呈負波形;明適應3.0閃爍光反應振幅下降(圖4)。




全外顯子測序及生物信息學分析結果顯示,患者帶有SAG基因的一個純合移碼突變(c.924delA, p.N309Tfs*12),測序深度為50×。Mutation Taster對該位點的預測值為1,預測結果為很可能致病。該突變在Esp6500和千人基因組計劃數據庫中未發現,在ExAC數據庫的等位基因頻率極低,為0.000 025 02,rs號為rs587776778;在gnomAD數據庫中查詢該突變在人群中的發生頻率為0.000 012。該突變導致其編碼的s抗原第309位氨基酸由天冬酰胺(Asn)變為蘇氨酸(Thr),表達產物氨基酸數量由405縮短為319,且該位點定位于功能結構域(圖5),蛋白結構和功能受到嚴重破壞。預測野生型和突變型的蛋白質晶體結構并進行對比,該位點氨基酸由Asn變為Thr,與之相互作用的殘基類別及氫鍵數目無變化(圖6)。蛋白序列同源性分析結果顯示,SAG p.N309Tfs*12突變所對應的第309號氨基酸位點在多個物種中均高度保守(圖7)。



3 討論
本研究先證者訴自幼夜盲,呈靜止性,眼底可見局部金箔樣反光。雙眼暗適應視桿細胞反應熄滅,暗適應最大反應a、b波振幅均明顯降低,b波幾乎消失。臨床表現符合小口病特點。小口病是一種罕見的常染色體隱性遺傳性疾病,是先天性靜止性夜盲中一種不常見類型。研究表明,患者桿狀光感受器的暗適應過程非常緩慢,而視錐細胞的暗適應過程似乎仍正常進行[5],這或許能解釋ERG波形的特殊改變。本研究通過全外顯子組測序聯合生物信息學分析發現,患者SAG基因發生了純合移碼突變(c.924delA, p.N309Tfs*12)。
該突變已被多次報道是小口病的致病突變[6-7]。攜帶該突變的患者多數BCVA較好,夜盲是其唯一臨床表現;眼底均可見金黃色反光,充分暗適應后水尾現象可引出;部分患者中央旁視野缺損。但與本研究先證者不同的是,文獻所報道的患者并非近親婚配后代[4, 8-9],其中1例患者父母攜帶雜合突變但未發病[9]。值得注意的是,Fujinami等[10]發現1例小口病患者攜帶一個SAG基因雜合缺失突變(c.924delA, p.N309Tfs*12),該患者并無夜盲癥,唯一臨床癥狀為畏光。此外,N309Tfs*12突變是日本小口病患者中最常見的突變[11],也被證實與常染色體隱性遺傳性視網膜色素變性(RP)有關[12]。相較于小口病,攜帶該突變的RP患者BCVA較差,視野缺損范圍更大。N309Tfs*12突變的個體可表現出不同的表型,包括典型的小口病、合并黃斑變性或廣泛視網膜變性的小口病、眼底呈現特征性金色反光的RP以及典型的RP。少數被診斷為小口病的患者在多年后表現出典型的RP。對此,有學者推測,從小口病到RP是疾病的發展過程,不同個體所表現出的各種視網膜表型可能被認為是個體的疾病嚴重程度差異[7]。
目前SAG有6個突變被報道與小口病有關,除本研究患者所攜帶的突變外,其余5個分別為R193X、R175X、R292X、E306X、S133L[13-16]。SAG編碼的視紫紅質抑制蛋白是arrestin/beta arrestin蛋白家族的一個成員,在視網膜和松果體中均有表達。除參與光激活轉導級聯的脫敏,抑制視紫紅質在體外轉導的偶聯之外,視紫紅質抑制蛋白在視桿細胞中的另一個作用可能是抑制視紫紅質在視網膜上的某些釋放和調節Meta Ⅱ[17]。本研究結果顯示,患者所攜帶SAG基因上的1-bp缺失(c.924delA,p. N309Tfs*12)導致視紫紅質抑制蛋白的翻譯提前終止,進而光轉導過程不能正常進行,而具體發病機制亟待研究。
目前認為小口病可能是一種靜止性視網膜功能障礙,患者通常不需特殊治療。但有研究者指出,其視網膜結構并非無變化。Godara等[18]發現,在完全暗適應后,患者視桿細胞的強度變為光適應條件下的4倍。黃斑外區橢圓體帶的缺失與視閾值較高且視桿細胞最有可能不能正常工作的時間相吻合,經長時間暗適應后,視閾值恢復,眼底表現正常,橢圓體帶也重新出現。提示橢圓體帶的存在與否與其特殊表現存在某種相關[19]。Usui等[20]發現氦氖激光成像中可見視網膜聚集彌漫性、細小白色顆粒,這些顆粒在暗適應時消失,而在光照下又逐漸出現,表明視網膜上聚集的白色顆粒可能是導致小口病眼底反射異常的原因。雖然長時間暗適應后,患者對光線的敏感度有所提高[9, 11],夜盲癥狀似乎也不會進展,但這些視網膜結構的改變對患者是否有更多影響,仍需進一步研究。同時,盡早確診并明確患者致病原因,監測眼底的變化有重要意義。
本研究通過全外顯子測序聯合深度生物信息學分析發現1例小口病患者SAG基因的致病突變(c.924delA, p.N309Tfs*12)。由于未能獲取患者直系親屬的DNA樣本及臨床資料,不能確定該突變是遺傳抑或新生。但考慮到其父母為近親婚配,我們推測本例患者極有可能為常染色體隱性遺傳。小口病是一種罕見的遺傳性疾病,好發于黃色人種,父母多為近親婚配。應用遺傳學手段如全外顯子測序技術有助于提高對該病的診斷率,減少漏診、誤診。全外顯子測序具有成本低、通量高、效率高的特點,將其應用于臨床,對罕見遺傳性疾病的早期診斷、明確病因、遺傳咨詢及產前診斷具有重要意義。