引用本文: 吳素蘭, 毛劍波, 沈麗君. 玻璃體腔注射雷珠單抗治療兒童牽牛花綜合征合并脈絡膜新生血管一例. 中華眼底病雜志, 2020, 36(8): 645-647. doi: 10.3760/cma.j.cn511434-20190409-00130 復制
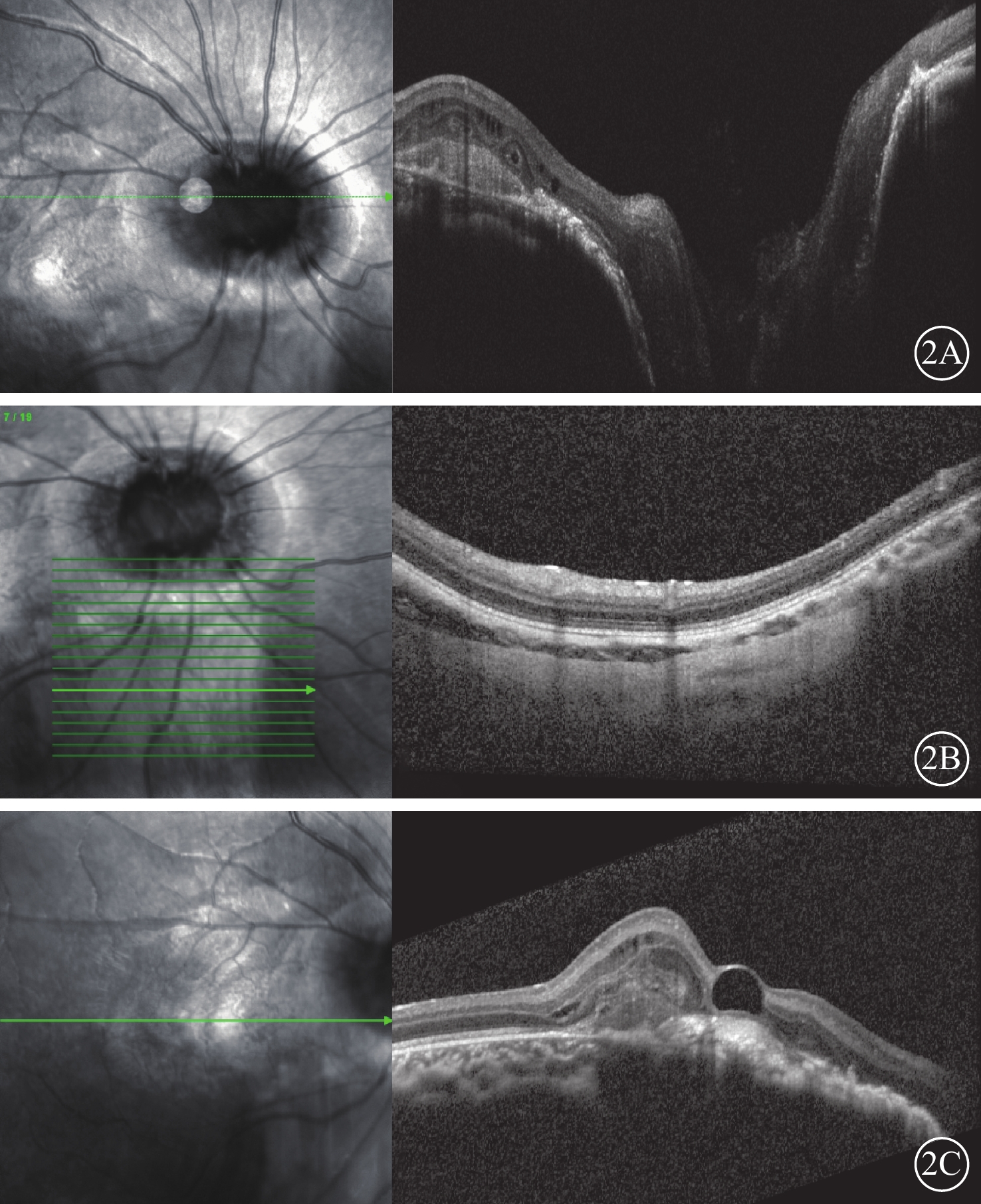
患兒男,3歲。因體檢發現右眼眼底異常于2018年8月21日至溫州醫科大學附屬眼視光醫院杭州院區就診。患兒足月順產,否認吸氧史、家族史;父母非近親結婚;母親無孕期疾病史或特殊用藥史。全身檢查:顱腦CT及MRI檢查未見明顯異常。眼部檢查:右眼視力+2.00/-2.00×25→0.05,左眼視力+2.00/-0.75×180→0.7。雙眼眼壓指測Tn。雙眼眼前節未見明顯異常。右眼視盤增大,周邊呈粉紅色,中央有漏斗形深凹陷,底部被灰白色膠質樣組織填充,其邊緣不規則,且隆起似環形嵴,其上有色素沉著,嵴環外為視網膜脈絡膜萎縮區;視盤邊緣有約20支狹細血管,呈放射狀走行,爬出嵴環向四周視網膜分布,黃斑區可見灰白色病灶,呈瘢痕樣改變,視盤下方視網膜見橘紅色改變,透見脈絡膜血管。左眼視盤顏色淡、邊界清楚,呈橫橢圓形,C/D≈0.2,其邊緣視網膜血管分支稍增多,走行異常(圖1)。OCT檢查,右眼視盤深度凹陷,視盤上見異常物質,黃斑區視網膜下見中強反射灶,視網膜層間見弱反射暗腔,視盤下方(眼底彩色照相對應橘紅色區域)脈絡膜血管層萎縮變薄(圖2);左眼黃斑中心凹形態正常。B型超聲檢查,右眼視盤漏斗狀凹陷,其后回聲增強,黃斑區局部隆起(圖3)。FFA檢查,右眼早期擴大的視盤呈弱熒光,其周圍色素遮蔽呈弱熒光,外側不規則視網膜脈絡膜萎縮區呈強熒光環,視盤邊緣處血管數量明顯增多,周邊視網膜存在無灌注區,視網膜血管異常吻合,晚期視盤組織著染呈強熒光;黃斑區視網膜早期見強熒光,隨時間延長,滲漏逐漸明顯,范圍擴大。視盤下方早期輕度強熒光,晚期熒光明顯增強。左眼未見明顯熒光素滲漏(圖4)。診斷:右眼牽牛花綜合征(MGS)合并脈絡膜新生血管(CNV),右眼脈絡膜缺損。




明確診斷后,右眼給予玻璃體腔注射雷珠單抗0.025 ml(含雷珠單抗0.25 mg)治療。治療后1周,右眼矯正視力+2.00/-2.00×25→0.1;黃斑區視網膜層間水腫稍有消退(圖5A)。1個月后再次給予玻璃體腔注射雷珠單抗治療。再次治療后1個月,右眼矯正視力+1.25/-2.00×15→0.05;視網膜層間水腫較之前增多(圖5B)。給予第3次玻璃體腔注射雷珠單抗治療。第3次治療后1個月時,FFA檢查可見黃斑區滲漏較前明顯減少(圖5C);3個月時,右眼矯正視力+1.25/-2.25×25→0.16;視網膜下強反射團塊較前減小(圖5D),CNV無明顯復發跡象。患兒目前隨訪觀察中。

討論 MGS患者常合并眼部異常,如斜視、永存原始玻璃體增生癥、并發性白內障、視網膜脫離、繼發性青光眼等,還常累及神經系統、腦血管、內分泌等全身多系統[1-2]。本例患兒表現為MGS合并CNV,目前報道較少。國外僅有4例報道[3-6]:1例為成人,其余3例為兒童;CNV有3例位于視盤萎縮區旁,1例位于黃斑區。CNV產生機制尚不明確,推測視盤萎縮區旁的CNV可能與MGS患者視盤葡萄腫周圍的血液動力學或力學改變相關[4, 7]。本例患兒CNV位于黃斑區,對患兒視力影響大。
由于MGS合并CNV少見,目前尚無明確的治療方案。本例患兒CNV位于黃斑區,病灶范圍大,經過兩次抗VEGF藥物治療后仍有復發跡象,遂行第三次治療。治療后FFA、OCT復查均顯示CNV病灶無明顯復發跡象,予以密切隨訪。本例患兒抗VEGF藥物治療次數較既往報道多,可能與CNV位置有關,其CNV生長方式及血管成熟度不同,因而對抗VEGF藥物治療的應答反應不同,且可能存在東西方患兒種族差異。
我們使用歐堡超廣角造影對該患兒的周邊部進行觀察發現,患兒周邊存在動靜脈異常吻合,周邊可見無灌注區。有研究發現,80%以上MGS患者可能存在無灌注區,可能與早期VEGF分泌不足有關[8]。因此,對于MGS患者除了后極部的情況以外,我們需要關注周邊血管的病變。超廣角造影對于兒童具有更好的實用性,能一次性拍攝后極部及周邊部。
MGS多為單眼發病,偶見雙眼。本例患兒對側眼矯正視力處于正常范圍,眼底可見視盤呈橫橢圓形,C/D≈0.2,視盤邊緣視網膜血管分支稍增多,走行異常,需要長期觀察。這提示對于MGS單眼發病的患兒,其對側眼視神經、血管是否存在異常,也需要臨床多加關注。
患兒男,3歲。因體檢發現右眼眼底異常于2018年8月21日至溫州醫科大學附屬眼視光醫院杭州院區就診。患兒足月順產,否認吸氧史、家族史;父母非近親結婚;母親無孕期疾病史或特殊用藥史。全身檢查:顱腦CT及MRI檢查未見明顯異常。眼部檢查:右眼視力+2.00/-2.00×25→0.05,左眼視力+2.00/-0.75×180→0.7。雙眼眼壓指測Tn。雙眼眼前節未見明顯異常。右眼視盤增大,周邊呈粉紅色,中央有漏斗形深凹陷,底部被灰白色膠質樣組織填充,其邊緣不規則,且隆起似環形嵴,其上有色素沉著,嵴環外為視網膜脈絡膜萎縮區;視盤邊緣有約20支狹細血管,呈放射狀走行,爬出嵴環向四周視網膜分布,黃斑區可見灰白色病灶,呈瘢痕樣改變,視盤下方視網膜見橘紅色改變,透見脈絡膜血管。左眼視盤顏色淡、邊界清楚,呈橫橢圓形,C/D≈0.2,其邊緣視網膜血管分支稍增多,走行異常(圖1)。OCT檢查,右眼視盤深度凹陷,視盤上見異常物質,黃斑區視網膜下見中強反射灶,視網膜層間見弱反射暗腔,視盤下方(眼底彩色照相對應橘紅色區域)脈絡膜血管層萎縮變薄(圖2);左眼黃斑中心凹形態正常。B型超聲檢查,右眼視盤漏斗狀凹陷,其后回聲增強,黃斑區局部隆起(圖3)。FFA檢查,右眼早期擴大的視盤呈弱熒光,其周圍色素遮蔽呈弱熒光,外側不規則視網膜脈絡膜萎縮區呈強熒光環,視盤邊緣處血管數量明顯增多,周邊視網膜存在無灌注區,視網膜血管異常吻合,晚期視盤組織著染呈強熒光;黃斑區視網膜早期見強熒光,隨時間延長,滲漏逐漸明顯,范圍擴大。視盤下方早期輕度強熒光,晚期熒光明顯增強。左眼未見明顯熒光素滲漏(圖4)。診斷:右眼牽牛花綜合征(MGS)合并脈絡膜新生血管(CNV),右眼脈絡膜缺損。




明確診斷后,右眼給予玻璃體腔注射雷珠單抗0.025 ml(含雷珠單抗0.25 mg)治療。治療后1周,右眼矯正視力+2.00/-2.00×25→0.1;黃斑區視網膜層間水腫稍有消退(圖5A)。1個月后再次給予玻璃體腔注射雷珠單抗治療。再次治療后1個月,右眼矯正視力+1.25/-2.00×15→0.05;視網膜層間水腫較之前增多(圖5B)。給予第3次玻璃體腔注射雷珠單抗治療。第3次治療后1個月時,FFA檢查可見黃斑區滲漏較前明顯減少(圖5C);3個月時,右眼矯正視力+1.25/-2.25×25→0.16;視網膜下強反射團塊較前減小(圖5D),CNV無明顯復發跡象。患兒目前隨訪觀察中。

討論 MGS患者常合并眼部異常,如斜視、永存原始玻璃體增生癥、并發性白內障、視網膜脫離、繼發性青光眼等,還常累及神經系統、腦血管、內分泌等全身多系統[1-2]。本例患兒表現為MGS合并CNV,目前報道較少。國外僅有4例報道[3-6]:1例為成人,其余3例為兒童;CNV有3例位于視盤萎縮區旁,1例位于黃斑區。CNV產生機制尚不明確,推測視盤萎縮區旁的CNV可能與MGS患者視盤葡萄腫周圍的血液動力學或力學改變相關[4, 7]。本例患兒CNV位于黃斑區,對患兒視力影響大。
由于MGS合并CNV少見,目前尚無明確的治療方案。本例患兒CNV位于黃斑區,病灶范圍大,經過兩次抗VEGF藥物治療后仍有復發跡象,遂行第三次治療。治療后FFA、OCT復查均顯示CNV病灶無明顯復發跡象,予以密切隨訪。本例患兒抗VEGF藥物治療次數較既往報道多,可能與CNV位置有關,其CNV生長方式及血管成熟度不同,因而對抗VEGF藥物治療的應答反應不同,且可能存在東西方患兒種族差異。
我們使用歐堡超廣角造影對該患兒的周邊部進行觀察發現,患兒周邊存在動靜脈異常吻合,周邊可見無灌注區。有研究發現,80%以上MGS患者可能存在無灌注區,可能與早期VEGF分泌不足有關[8]。因此,對于MGS患者除了后極部的情況以外,我們需要關注周邊血管的病變。超廣角造影對于兒童具有更好的實用性,能一次性拍攝后極部及周邊部。
MGS多為單眼發病,偶見雙眼。本例患兒對側眼矯正視力處于正常范圍,眼底可見視盤呈橫橢圓形,C/D≈0.2,視盤邊緣視網膜血管分支稍增多,走行異常,需要長期觀察。這提示對于MGS單眼發病的患兒,其對側眼視神經、血管是否存在異常,也需要臨床多加關注。