引用本文: 王建倉, 杜非凡, 楊曉格, 魏云碩, 劉曉瑜, 陳少華, 欒紅晶, 孫穎, 郭熙婷, 蘇鳴. 早產兒視網膜病變合并黃斑囊樣水腫四例. 中華眼底病雜志, 2020, 36(5): 384-385. doi: 10.3760/cma.j.cn511434-20190121-00027 復制
早產兒視網膜病變(ROP)是目前兒童盲的首位原因[1]。既往對ROP的研究主要關注于周邊視網膜血管的發育停滯及病理性增生過程,而對黃斑區視網膜的結構特征研究較少[2];并且,由于坐位OCT檢查對體位及眼位配合的要求,新生兒行OCT檢測較為困難[3-4]。因此,關于合并黃斑囊樣水腫(CME)的ROP患兒鮮有報道。OCT應用于早產兒視網膜眼底檢查,有助于對嬰幼兒黃斑區發育進行觀察,更易發現黃斑區異常病變。我們回顧分析了4例ROP合并CME患兒的臨床資料。現將結果報道如下。
1 對象和方法
回顧性病例分析。本研究經我院倫理委員會審核批準。患兒監護人均獲知情并簽署書面同意書。
2018年1~12月于河北省兒童醫院眼科檢查確診的ROP合并CME患兒4例8只眼納入本研究。其中,男性2例4只眼,女性2例4只眼;均為雙眼發病。平均孕周(29.7±6.2)周,平均出生體重(1 525.0±321.1)g。自然受孕3例,試管受孕1例;順產2例,剖宮產2例。母親平均年齡為(31.5±2.69)歲。所有患兒出生后均有不同程度吸氧史。出生時,呼吸暫停2例,呼吸衰竭1例,窒息1例,顱內出血2例,肺炎2例,貧血3例,黃疸2例,心肌損傷1例,新生兒呼吸窘迫綜合征1例。
納入標準:(1)孕周<32周或出生體重<2000 g;(2)ROP診斷及程度符合《中國早產兒視網膜病變篩查指南(2014年)》標準[5];(3)眼底檢查發現黃斑區可疑水腫或結構異常,周圍視網膜反光增強;(4)全身情況較好,可耐受坐位OCT檢查;(5)OCT檢查可見黃斑中心凹扁平隆起,視網膜呈囊腔樣改變,囊腔內呈弱反射信號(圖1)。排除病史收集不全及合并眼部其他病變者。
圖1
ROP合并CME患眼SD-OCT像。左圖為掃描部位和方向,右圖為檢查結果。黃斑區隆起,視網膜外叢狀層可見多個囊腔,囊腔內呈弱反射信號
采用德國Heidelberg公司Spectralis HRA+OCT儀行頻域OCT(SD-OCT)檢查。患兒均能在脫離吸氧或保溫箱且全身情況穩定條件下行SD-OCT檢查。復方托吡卡胺滴眼液雙眼散瞳,鹽酸丙美卡因滴眼液表面麻醉后,由一位有經驗的護士右手扶患兒枕部,左手托起其下頜置于SD-OCT下頜托上。小兒專用開瞼器撐開眼瞼,掃描鏡頭對準瞳孔,使視頻圖像中心瞳孔標記線對準瞳孔正中央,直至看清視網膜特征,并通過自動對焦功能調整SD-OCT圖像至清晰,再對圖像進行捕捉和保存。必要時使用眼用頂壓器頂壓球周肌肉或組織調整眼球位置,以暴露鏡頭下黃斑區。檢查完畢后雙眼結膜囊內滴加替沙星眼用凝膠預防感染。
根據患兒眼底病變情況進行定期隨訪,必要時給予處理,直至ROP消退終止篩查及CME吸收。
2 結果
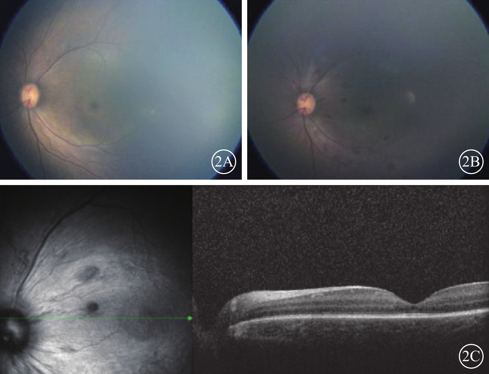
4例患兒發現CME時的平均矯正胎齡分別為(40+2)、(42+3)、(43+1)、(40+1)周;CME平均吸收時間分別為21、14、21、21 d。8只眼中,Ⅲ區1期病變(圖2A)4只眼;Ⅲ區2期病變2只眼;Ⅱ~Ⅲ區2期病變2只眼。Ⅲ區1期病變4只眼,隨訪3周后,CME完全吸收且周邊血管發育完全,其中視網膜出現散在出血(圖2B)1只眼;黃斑區中心凹凹陷可見,視網膜各層結構未見明顯異常(圖2C)。Ⅲ區2期病變2只眼,CME程度較輕,隨訪3周后CME吸收且病變較前退行;Ⅱ~Ⅲ區2期病變2只眼,隨訪2周后,CME較前消退,但病變同前。其后每2周進行隨訪,均無CME再次出現。所有患眼均未予特殊治療。
圖2
Ⅲ區1期病變合并CME患兒左眼彩色眼底、SD-OCT像。2A示初診時彩色眼底像,黃斑中心凹疑似水腫,周圍視網膜輕微反光增強。2B示隨訪3周后彩色眼底像,黃斑中心凹反光隱約可見,視網膜可見散在出血。2C示隨訪3周后SD-OCT像,左圖為掃描部位和方向,右圖為檢查結果。黃斑區中心凹凹陷可見,視網膜各層結構未見明顯異常
3 討論
既往研究較多關注ROP患兒周邊視網膜血管的發育停滯與增生,對其黃斑區病變則較少關注。SD-OCT能夠清晰顯示黃斑區視網膜結構特征,廣泛應用于成人視網膜疾病的診斷和監測。由于檢查體位的要求,在嬰幼兒中的應用受到限制。本研究在多位有經驗的兒科醫技人員協作下,完成了多例ROP患兒的OCT圖像采集工作。
由于受ROP患兒全身情況的限制及配合的局限性,所完成的SD-OCT檢查、采集到清晰圖像的患兒例數較少,因此我們僅選擇了獲得清晰黃斑區圖像的4例患兒眼底情況進行報道。既往有學者通過對63例ROP患兒的研究,發現ROP合并CME的發病率為54%[6],但病例數同樣較少。因此,ROP合并CME的發病率有待進一步大樣本研究。
本研究結果顯示,4例ROP合并CME患兒均為雙眼發病,且水腫發生于外核層,其中Ⅲ區病變3例,Ⅱ~Ⅲ區病變1例,1、2期病變均有發生,4例患兒CME的發生與ROP嚴重程度未發現明顯相關性。CME與ROP是否存在相關性研究結論尚不統一。有學者發現,CME嚴重程度與ROP嚴重程度呈正相關[6]。也有學者表示,CME與ROP嚴重程度無明顯相關[7],但作者同時指出黃斑區視網膜厚度增厚可能是ROP患兒需要激光光凝治療及發展為3期病變的高危因素。但上述研究中ROP嚴重程度僅以分期來評判,未考慮分區的因素。我們認為ROP嚴重程度不應僅局限于分期,還應該考慮分區因素。因此,CME與ROP嚴重程度是否存在相關性,還有待進一步研究。
ROP患兒發生CME的機制尚不完全清楚,推測可能與早產兒VEGF活性、胰島素樣生長因子1等有關[7-8]。本組所有患眼均未給予特殊干預,CME均自行消退。這提示ROP患兒的CME存在一過性表現。
早產兒視網膜病變(ROP)是目前兒童盲的首位原因[1]。既往對ROP的研究主要關注于周邊視網膜血管的發育停滯及病理性增生過程,而對黃斑區視網膜的結構特征研究較少[2];并且,由于坐位OCT檢查對體位及眼位配合的要求,新生兒行OCT檢測較為困難[3-4]。因此,關于合并黃斑囊樣水腫(CME)的ROP患兒鮮有報道。OCT應用于早產兒視網膜眼底檢查,有助于對嬰幼兒黃斑區發育進行觀察,更易發現黃斑區異常病變。我們回顧分析了4例ROP合并CME患兒的臨床資料。現將結果報道如下。
1 對象和方法
回顧性病例分析。本研究經我院倫理委員會審核批準。患兒監護人均獲知情并簽署書面同意書。
2018年1~12月于河北省兒童醫院眼科檢查確診的ROP合并CME患兒4例8只眼納入本研究。其中,男性2例4只眼,女性2例4只眼;均為雙眼發病。平均孕周(29.7±6.2)周,平均出生體重(1 525.0±321.1)g。自然受孕3例,試管受孕1例;順產2例,剖宮產2例。母親平均年齡為(31.5±2.69)歲。所有患兒出生后均有不同程度吸氧史。出生時,呼吸暫停2例,呼吸衰竭1例,窒息1例,顱內出血2例,肺炎2例,貧血3例,黃疸2例,心肌損傷1例,新生兒呼吸窘迫綜合征1例。
納入標準:(1)孕周<32周或出生體重<2000 g;(2)ROP診斷及程度符合《中國早產兒視網膜病變篩查指南(2014年)》標準[5];(3)眼底檢查發現黃斑區可疑水腫或結構異常,周圍視網膜反光增強;(4)全身情況較好,可耐受坐位OCT檢查;(5)OCT檢查可見黃斑中心凹扁平隆起,視網膜呈囊腔樣改變,囊腔內呈弱反射信號(圖1)。排除病史收集不全及合并眼部其他病變者。
圖1
ROP合并CME患眼SD-OCT像。左圖為掃描部位和方向,右圖為檢查結果。黃斑區隆起,視網膜外叢狀層可見多個囊腔,囊腔內呈弱反射信號
采用德國Heidelberg公司Spectralis HRA+OCT儀行頻域OCT(SD-OCT)檢查。患兒均能在脫離吸氧或保溫箱且全身情況穩定條件下行SD-OCT檢查。復方托吡卡胺滴眼液雙眼散瞳,鹽酸丙美卡因滴眼液表面麻醉后,由一位有經驗的護士右手扶患兒枕部,左手托起其下頜置于SD-OCT下頜托上。小兒專用開瞼器撐開眼瞼,掃描鏡頭對準瞳孔,使視頻圖像中心瞳孔標記線對準瞳孔正中央,直至看清視網膜特征,并通過自動對焦功能調整SD-OCT圖像至清晰,再對圖像進行捕捉和保存。必要時使用眼用頂壓器頂壓球周肌肉或組織調整眼球位置,以暴露鏡頭下黃斑區。檢查完畢后雙眼結膜囊內滴加替沙星眼用凝膠預防感染。
根據患兒眼底病變情況進行定期隨訪,必要時給予處理,直至ROP消退終止篩查及CME吸收。
2 結果
4例患兒發現CME時的平均矯正胎齡分別為(40+2)、(42+3)、(43+1)、(40+1)周;CME平均吸收時間分別為21、14、21、21 d。8只眼中,Ⅲ區1期病變(圖2A)4只眼;Ⅲ區2期病變2只眼;Ⅱ~Ⅲ區2期病變2只眼。Ⅲ區1期病變4只眼,隨訪3周后,CME完全吸收且周邊血管發育完全,其中視網膜出現散在出血(圖2B)1只眼;黃斑區中心凹凹陷可見,視網膜各層結構未見明顯異常(圖2C)。Ⅲ區2期病變2只眼,CME程度較輕,隨訪3周后CME吸收且病變較前退行;Ⅱ~Ⅲ區2期病變2只眼,隨訪2周后,CME較前消退,但病變同前。其后每2周進行隨訪,均無CME再次出現。所有患眼均未予特殊治療。
圖2
Ⅲ區1期病變合并CME患兒左眼彩色眼底、SD-OCT像。2A示初診時彩色眼底像,黃斑中心凹疑似水腫,周圍視網膜輕微反光增強。2B示隨訪3周后彩色眼底像,黃斑中心凹反光隱約可見,視網膜可見散在出血。2C示隨訪3周后SD-OCT像,左圖為掃描部位和方向,右圖為檢查結果。黃斑區中心凹凹陷可見,視網膜各層結構未見明顯異常
3 討論
既往研究較多關注ROP患兒周邊視網膜血管的發育停滯與增生,對其黃斑區病變則較少關注。SD-OCT能夠清晰顯示黃斑區視網膜結構特征,廣泛應用于成人視網膜疾病的診斷和監測。由于檢查體位的要求,在嬰幼兒中的應用受到限制。本研究在多位有經驗的兒科醫技人員協作下,完成了多例ROP患兒的OCT圖像采集工作。
由于受ROP患兒全身情況的限制及配合的局限性,所完成的SD-OCT檢查、采集到清晰圖像的患兒例數較少,因此我們僅選擇了獲得清晰黃斑區圖像的4例患兒眼底情況進行報道。既往有學者通過對63例ROP患兒的研究,發現ROP合并CME的發病率為54%[6],但病例數同樣較少。因此,ROP合并CME的發病率有待進一步大樣本研究。
本研究結果顯示,4例ROP合并CME患兒均為雙眼發病,且水腫發生于外核層,其中Ⅲ區病變3例,Ⅱ~Ⅲ區病變1例,1、2期病變均有發生,4例患兒CME的發生與ROP嚴重程度未發現明顯相關性。CME與ROP是否存在相關性研究結論尚不統一。有學者發現,CME嚴重程度與ROP嚴重程度呈正相關[6]。也有學者表示,CME與ROP嚴重程度無明顯相關[7],但作者同時指出黃斑區視網膜厚度增厚可能是ROP患兒需要激光光凝治療及發展為3期病變的高危因素。但上述研究中ROP嚴重程度僅以分期來評判,未考慮分區的因素。我們認為ROP嚴重程度不應僅局限于分期,還應該考慮分區因素。因此,CME與ROP嚴重程度是否存在相關性,還有待進一步研究。
ROP患兒發生CME的機制尚不完全清楚,推測可能與早產兒VEGF活性、胰島素樣生長因子1等有關[7-8]。本組所有患眼均未給予特殊干預,CME均自行消退。這提示ROP患兒的CME存在一過性表現。

