引用本文: 陳巍, 劉敬花, 毛羽, 彭曉燕. RP1L1基因突變所致黃斑營養不良一例. 中華眼底病雜志, 2020, 36(3): 229-231. doi: 10.3760/cma.j.cn511434-20181204-00415 復制
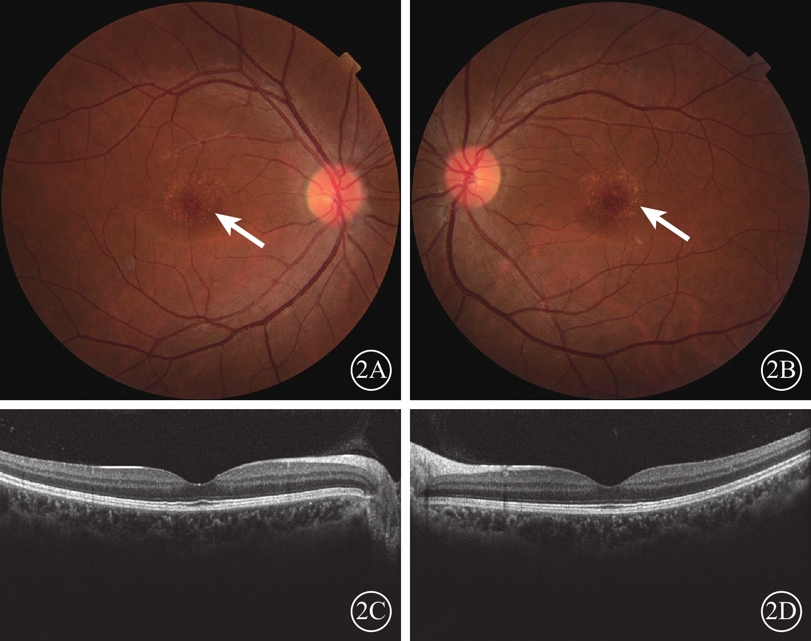
患兒男,3歲2個月。因體檢時發現雙眼黃斑區爆米花樣黃白色病變于2017年8月22日至北京市海淀區婦幼保健院眼科就診。家長述未發現患兒有視物異常表現,無畏光及夜盲,無外傷史。足月順產;既往身體健康,身高體重發育正常。眼部檢查,雙眼BCVA均為0.6;屈光度檢測,右眼+1.50 DS,左眼+1.75 DS。雙眼眼前節檢查未見明顯異常;晶狀體、玻璃體透明。雙眼視盤邊界清楚,顏色正常;視網膜血管形態正常,黃斑區彌漫爆米花樣黃白色病變,病灶范圍約1 DD(圖1A,1B),中心凹反光正常。為明確診斷轉診到北京同仁醫院眼科中心。OCT檢查,雙眼黃斑交叉區結構紊亂(圖1C,1D),右眼中心凹下橢圓體帶斷裂(圖1C)。其母親雙眼視力均為1.0。雙眼黃斑區散在點狀樣黃白色病變(圖2A,2B);眼前節未見明顯異常。OCT檢查,雙眼黃斑區厚度正常;黃斑中心凹下交叉區結構稍紊亂(圖2C,2D)。FAF檢查,雙眼黃斑中心凹周圍環狀強熒光(圖3A,3B)。FFA檢查,雙眼黃斑區點狀強熒光,未見熒光素滲漏(圖3C,3D)。眼電圖檢查,右眼、左眼Arden比分別為184%、177%,光峰潛伏期無延長;全視網膜ERG檢查未見異常。其父親雙眼BCVA均為1.0;雙眼眼前節及眼底檢查未見明顯異常。患兒及其父母基因檢測結果顯示,患兒及其母親均攜帶RP1L1基因新地雜合錯義突變C275A突變(NM_178857:c.275C>A,p.A92D),基因編碼區第275位堿基由鳥嘌呤變為腺嘌呤,導致編碼蛋白的第92位氨基酸由丙氨酸變為天冬氨酸;其父親基因檢測結果正常。診斷:雙眼遺傳性黃斑營養不良;隱匿性黃斑營養不良。



討論 本例患兒表現為黃斑區黃白色病變,應與兒童遺傳性黃斑疾病Best卵黃樣黃斑營養不良和Stargardt 黃斑營養不良相鑒別。
Best卵黃樣黃斑營養不良是一種常染色體顯性遺傳疾病,表現為幼年時雙眼對稱性黃斑部卵黃樣病變,黃斑區病變一般為單個邊界清晰、蛋黃樣圓形或卵圓形特征性卵黃樣改變[1];FAF表現為強熒光[2];OCT顯示黃斑中心凹處位于外核層和RPE之間的強反射物質[3-4];為BEST-1基因突變所致[5]。本例患兒和其母親黃斑區均為多個散在斑片狀和點狀黃白色病變,FAF、OCT表現和基因檢查與Best卵黃樣黃斑營養不良不符,可以排除此病。
Stargardt 黃斑營養不良也表現為后極部散在的淡黃色不規則斑點,黃斑區呈青銅色金箔樣反光,視力明顯下降[6];FFA早期特征性暗脈絡膜征,RPE萎縮后的透見熒光[7];OCT顯示光感受器層和RPE層斷裂[6,8];多為ABCR基因突變所致[9]。本例患兒和其母親視力無受損,FFA、OCT檢查和基因檢測均與Stargardt 黃斑營養不良不符,也可排除此病。
患兒及其母親基因檢測為RP1L1基因突變。RP1L1基因是2008年發現的與RP1基因相似的序列,在8p染色體上50 kb[10]。其主要表達于視錐細胞內,編碼一個大的、高度多態性的視網膜特異性蛋白。RP1L1基因突變可導致隱匿性黃斑營養不良[11]。隱匿性黃斑營養不良屬常染色體顯性遺傳,其最常見地基因突變是RP1L1 c.133C>T,p.Arg45Trp[11-15],其次是c.3596 C>G,p.S1199P[11-12,16],另有文獻報道RP1L1基因多個其他位點的突變[12-13]。隱匿性黃斑營養不良典型病變特征為黃斑中心視錐細胞功能障礙致視力喪失,眼底和FFA正常,全視野ERG正常,局部黃斑ERG或多焦ERG異常,OCT表現為橢圓體帶、交叉區和外界膜連續性破壞[17-18]。隱匿性黃斑營養不良具有臨床和遺傳的異質性,根據RP1L1突變不同,其視網膜病理學具有不同的形態學特征,基因型與表型相關[13,16]。
本例患兒和其母親基因檢測結果均為RP1L1基因新地雜合錯義突變C275A(c.275C>A,p.A92D),基因編碼區第275位堿基由鳥嘌呤變為腺嘌呤,導致編碼蛋白的第92位氨基酸由丙氨酸變為天冬氨酸。該突變在千人基因組計劃、ExAC等公共數據庫均無記錄,SIFT和PolyPhen2預測該突變為有害。患兒及其母親均攜帶該罕見突變,其正常父親并不攜帶該突變。患兒和其母親黃斑區均有明顯黃白色病變,視力受損不明顯,與典型隱匿性黃斑營養不良不符;但OCT檢查均有輕微橢圓體帶和交叉區異常,與隱匿性黃斑營養不良相符。因此我們認為本文2例患者為非典型隱匿性黃斑營養不良,是RP1L1基因突變的不同表型。
患兒男,3歲2個月。因體檢時發現雙眼黃斑區爆米花樣黃白色病變于2017年8月22日至北京市海淀區婦幼保健院眼科就診。家長述未發現患兒有視物異常表現,無畏光及夜盲,無外傷史。足月順產;既往身體健康,身高體重發育正常。眼部檢查,雙眼BCVA均為0.6;屈光度檢測,右眼+1.50 DS,左眼+1.75 DS。雙眼眼前節檢查未見明顯異常;晶狀體、玻璃體透明。雙眼視盤邊界清楚,顏色正常;視網膜血管形態正常,黃斑區彌漫爆米花樣黃白色病變,病灶范圍約1 DD(圖1A,1B),中心凹反光正常。為明確診斷轉診到北京同仁醫院眼科中心。OCT檢查,雙眼黃斑交叉區結構紊亂(圖1C,1D),右眼中心凹下橢圓體帶斷裂(圖1C)。其母親雙眼視力均為1.0。雙眼黃斑區散在點狀樣黃白色病變(圖2A,2B);眼前節未見明顯異常。OCT檢查,雙眼黃斑區厚度正常;黃斑中心凹下交叉區結構稍紊亂(圖2C,2D)。FAF檢查,雙眼黃斑中心凹周圍環狀強熒光(圖3A,3B)。FFA檢查,雙眼黃斑區點狀強熒光,未見熒光素滲漏(圖3C,3D)。眼電圖檢查,右眼、左眼Arden比分別為184%、177%,光峰潛伏期無延長;全視網膜ERG檢查未見異常。其父親雙眼BCVA均為1.0;雙眼眼前節及眼底檢查未見明顯異常。患兒及其父母基因檢測結果顯示,患兒及其母親均攜帶RP1L1基因新地雜合錯義突變C275A突變(NM_178857:c.275C>A,p.A92D),基因編碼區第275位堿基由鳥嘌呤變為腺嘌呤,導致編碼蛋白的第92位氨基酸由丙氨酸變為天冬氨酸;其父親基因檢測結果正常。診斷:雙眼遺傳性黃斑營養不良;隱匿性黃斑營養不良。



討論 本例患兒表現為黃斑區黃白色病變,應與兒童遺傳性黃斑疾病Best卵黃樣黃斑營養不良和Stargardt 黃斑營養不良相鑒別。
Best卵黃樣黃斑營養不良是一種常染色體顯性遺傳疾病,表現為幼年時雙眼對稱性黃斑部卵黃樣病變,黃斑區病變一般為單個邊界清晰、蛋黃樣圓形或卵圓形特征性卵黃樣改變[1];FAF表現為強熒光[2];OCT顯示黃斑中心凹處位于外核層和RPE之間的強反射物質[3-4];為BEST-1基因突變所致[5]。本例患兒和其母親黃斑區均為多個散在斑片狀和點狀黃白色病變,FAF、OCT表現和基因檢查與Best卵黃樣黃斑營養不良不符,可以排除此病。
Stargardt 黃斑營養不良也表現為后極部散在的淡黃色不規則斑點,黃斑區呈青銅色金箔樣反光,視力明顯下降[6];FFA早期特征性暗脈絡膜征,RPE萎縮后的透見熒光[7];OCT顯示光感受器層和RPE層斷裂[6,8];多為ABCR基因突變所致[9]。本例患兒和其母親視力無受損,FFA、OCT檢查和基因檢測均與Stargardt 黃斑營養不良不符,也可排除此病。
患兒及其母親基因檢測為RP1L1基因突變。RP1L1基因是2008年發現的與RP1基因相似的序列,在8p染色體上50 kb[10]。其主要表達于視錐細胞內,編碼一個大的、高度多態性的視網膜特異性蛋白。RP1L1基因突變可導致隱匿性黃斑營養不良[11]。隱匿性黃斑營養不良屬常染色體顯性遺傳,其最常見地基因突變是RP1L1 c.133C>T,p.Arg45Trp[11-15],其次是c.3596 C>G,p.S1199P[11-12,16],另有文獻報道RP1L1基因多個其他位點的突變[12-13]。隱匿性黃斑營養不良典型病變特征為黃斑中心視錐細胞功能障礙致視力喪失,眼底和FFA正常,全視野ERG正常,局部黃斑ERG或多焦ERG異常,OCT表現為橢圓體帶、交叉區和外界膜連續性破壞[17-18]。隱匿性黃斑營養不良具有臨床和遺傳的異質性,根據RP1L1突變不同,其視網膜病理學具有不同的形態學特征,基因型與表型相關[13,16]。
本例患兒和其母親基因檢測結果均為RP1L1基因新地雜合錯義突變C275A(c.275C>A,p.A92D),基因編碼區第275位堿基由鳥嘌呤變為腺嘌呤,導致編碼蛋白的第92位氨基酸由丙氨酸變為天冬氨酸。該突變在千人基因組計劃、ExAC等公共數據庫均無記錄,SIFT和PolyPhen2預測該突變為有害。患兒及其母親均攜帶該罕見突變,其正常父親并不攜帶該突變。患兒和其母親黃斑區均有明顯黃白色病變,視力受損不明顯,與典型隱匿性黃斑營養不良不符;但OCT檢查均有輕微橢圓體帶和交叉區異常,與隱匿性黃斑營養不良相符。因此我們認為本文2例患者為非典型隱匿性黃斑營養不良,是RP1L1基因突變的不同表型。