引用本文: 陳林波, 張琳, 馬勛泰. 以癲癇為主要表現的繼發性甲狀旁腺功能減退一例. 癲癇雜志, 2023, 9(1): 82-84. doi: 10.7507/2096-0247.202209007 復制
甲狀旁腺功能減退癥(Hypoparathyroidism,HP)是由于甲狀旁腺素(Para-thyroid hormone,PTH)合成、分泌或作用障礙而引起機體鈣磷代謝紊亂的一組臨床綜合征,其最常見的早期癥狀是口周區和指尖感覺異常或麻木和刺痛,肌肉僵硬、抽筋和痙攣也很常見,神經精神癥狀包括困惑、憤怒、抑郁、頭昏眼花和易怒,嚴重的神經興奮性可能導致癲癇發作、充血性心力衰竭、支氣管痙攣和喉痙攣[1]。術后HP是最常見的甲旁減原因[2]。本文報道以癲癇發作為主要臨床表現一例,分析該病相關致病機制并回顧該病診斷標準及治療原則,為臨床診治提供一定的思路。
病例資料 患者 女,47歲。因“發作性四肢抽搐伴呼之不應5年”于2022年5月12日至成都醫學院第一附屬醫院住院治療。患者2017年前因“甲狀腺乳頭狀癌”相繼于外院行手術治療,術后1個月患者于夜間睡眠中突發四肢抽搐、牙關緊閉、雙眼向上凝視、嘴角流涎,呼之不應,無大小便失禁,約1 min后自行緩解,意識恢復后患者不能憶起發病前情況,家屬遂將其送至當地醫院就診,考慮為“癲癇”并予以對癥治療后好轉出院,院外未服抗癲癇發作藥物,后患者抽搐癥狀反復發作,約10天發作1次,癥狀同前,每次發作約1 min后自行緩解。1年前患者再次發作抽搐后于外院治療,長期口服丙戊酸鈉緩釋片0.375 g,每日兩次,控制癲癇,后長期于我院門診就診,服用丙戊酸鈉緩釋片0.5 g,每日兩次,但癥狀仍有反復發作。3天前因勞累后上述癥狀再發至我院就診。否認腦外傷病史。否認癲癇及其它遺傳病家族史。
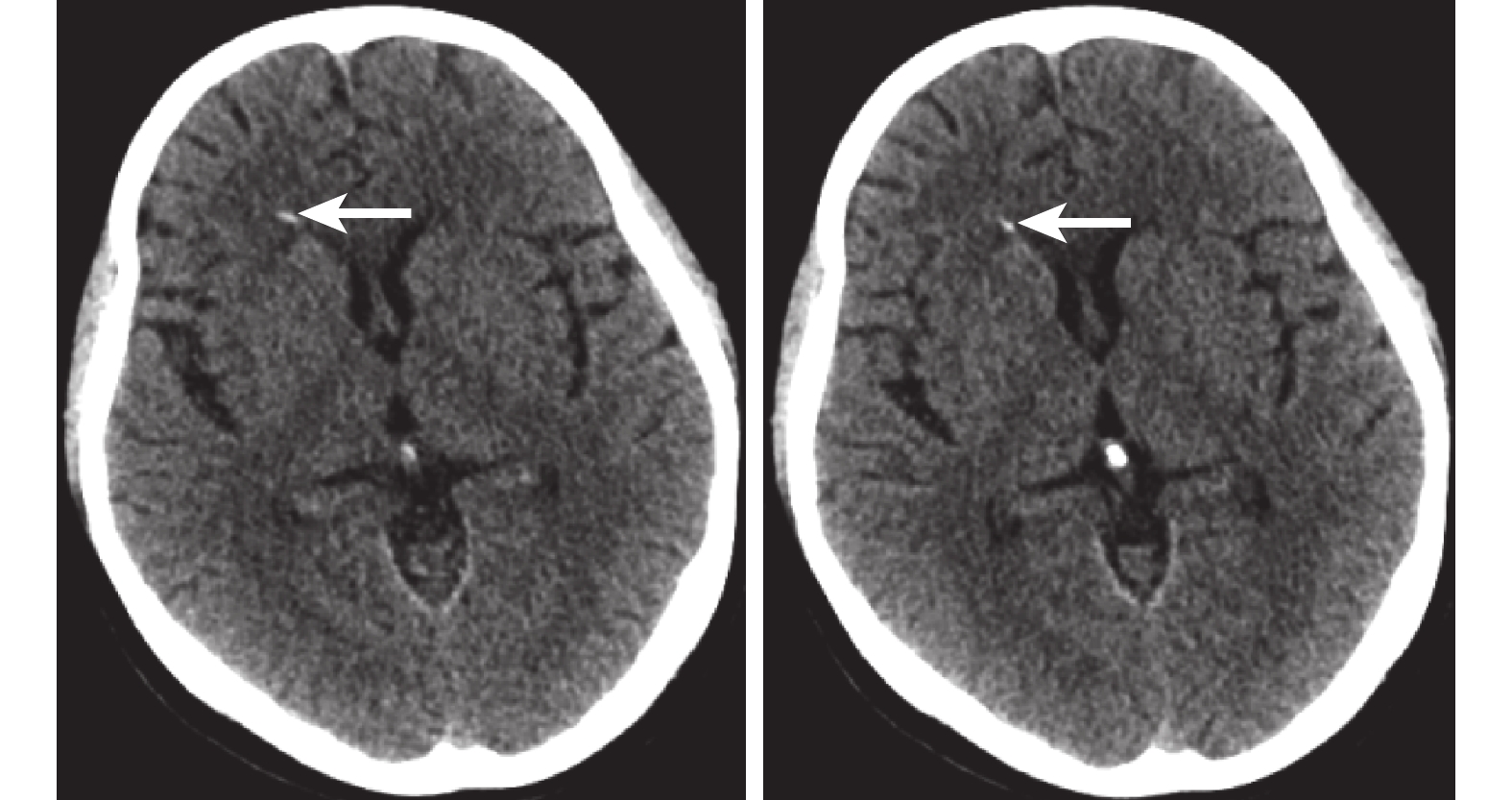
入院查體:T:36.6℃,P:75次/分,R:20次/分,BP:145/85 mmHg。身高158 cm ,體質量63 kg,體重指數:25.2 kg/m2。心肺腹查體未見明顯異常,面神經叩擊征及束臂加壓試驗陰性,神經系統查體未見陽性體征。實驗室檢查:血清鉀3.47 mmol/L、氯105.4 mmol/L、鈉145.3 mmol/L、鈣1.21 mmol/L、磷2.17 mmol/L、鎂0.64 mmol/L、鐵9.90 mg/L,甲狀旁腺激素17 pg/mL,甲狀腺功能、25羥維生素D3未見異常。心電圖示:竇性心律,大致正常心電圖。普通腦電圖示:輕度異常腦電圖。甲狀腺及頸前區淋巴結彩色超聲示:① 甲狀腺全切術后;② 雙側頸前區查見淋巴結,結構未見明顯異常。顱腦計算機斷層掃描(Computed tomography,CT)示:右側側腦室前角旁條狀致密影,鈣化?其他?(圖1)。顱腦核磁共振成像(Magnetic resonance imaging,MRI)示:右側側腦室前角旁見小片狀T1加權成像稍高信號影,T2加權成像、液體衰減反轉恢復序列(Fluid attenuated inversion recovery,FLAIR)呈高信號影,出血?其他?。結合患者病史及輔助檢查考慮繼發性甲狀腺旁腺功能減退,予葡萄糖酸鈣、碳酸鈣、骨化三醇補鈣,復查血清電解質:鉀3.95 mmol/L、氯98.7 mmol/L、鈉139.4 mmol/L、鈣2.18 mmol/L、磷2.10 mmol/L、鎂0.91 mmol/L、鐵11.51 mg/L。病情好轉出院,隨訪4個月患者未在癲癇發作。本研究已通過成都醫學院第一附屬醫院倫理委員會審核批準。

討論 本例患者為甲狀腺乳頭狀癌術后癲癇發作、低鈣血癥、高磷血癥,但PTH測定值正常,考慮低鈣血癥對甲狀旁腺是一種強烈的刺激,PTH測定值在正常范圍內,仍屬于HP[3]。患者以癲癇發作為主要臨床表現,影像學表現可見顱內鈣化,結合相關文獻檢索,目前分析其主要原因如下:
1. 顱內鈣化
HP的臨床表現是由于兩個主要靶器官:骨骼和腎臟缺乏生理作用。腎臟、大腦和其他軟組織中的鈣化很常見。顱內鈣化在成人和兒童常見,指的是腦實質或血管系統內的鈣化,可分為幾大類:生理性、營養不良、先天性疾病、感染性、血管性、腫瘤性、代謝性、炎癥性和毒性疾病[4]。生理性鈣化通常見于松果體、脈絡叢、大腦鐮和小腦幕[5-6]。甲狀旁腺機能減退癥大腦鈣化影響最顯著的是雙側基底節,最常見的是蒼白球。齒狀核、放射冠、皮質下白質和丘腦可能發生鈣化,鈣化現被認為是由長期高磷血癥引起的,但確切的病因尚不清楚[7-8]。本例中顱內鈣化見于右側側腦室旁,鈣化不明顯,考慮和病程短有關。
2. 低鈣血癥和癲癇發作
低鈣血癥會降低動作電位放電的閾值,神經肌肉興奮性增強,刺激自發高頻放電,導致肌肉痙攣[9]。高興奮性發生在外周神經元和中樞神經中,經典的Chvostek征和Trousseau征是外周神經元興奮性增高的特殊表現;Chvostek征通過輕敲耳部的面神經并看到同側面部肌肉上翻抽搐而誘發的,但敏感性不高;Trousseau征敏感性和特異性較高,超過90%的低血鈣患者和僅約1%的正常血鈣患者表現出該征[10]。若將血壓袖帶充氣至略高于收縮壓3 min后引發腕部痙攣,則Trousseau征為陽性。癲癇發作是中樞神經元興奮性增高的表現,癲癇發作可能是低鈣血癥的唯一臨床表現[11],主要發作類型有局灶性發作或全身性發作,非驚厥性癲癇持續狀態也有報道[12]。
術后HP診斷標準為[13]:① 頸部手術史是術后甲旁減診斷的必備條件;② 術后HP的臨床癥狀以及體征主要與低血鈣相關,常見癥狀包括手指腳趾刺痛感、口周麻木、 手足搐搦、注意力不集中等,嚴重者可出現喉痙攣、癲癇樣抽搐、心律失常等;典型體征包括面神經叩擊征(Chvostek 征)和束臂加壓征(Trousseau 征)陽性;③ 生化學異常即校正后血清鈣或離子鈣低于正常值下限、低水平的PTH,可伴有血磷和尿鈣升高,這是診斷HP的重要依據。
HP治療原則為糾正低鈣血癥,減少并發癥[14]。對于頸部手術患者預防HP遠比治療HP經濟,防遠重于治。術中應避免誤切甲狀旁腺或損傷甲狀旁腺血供,對低鈣血癥發生高風險者,術后可經驗性補鈣,或根據術后血鈣/PTH 的監測結果給予治療,維持正常血鈣水平,并在恰當時機減量甚至停藥,術后6個月仍不能恢復的HP,意味著永久性HP。有研究顯示PTH替代療法治療HP更為安全及有效[15]。
本例表現為癲癇發作,實驗室檢查提示低血鈣、高血磷、正常值范圍的甲狀旁腺激素及25羥維生素D3,顱腦CT及MRI示顱內發鈣化灶,誤診為原發性癲5年,確診為繼發性HP后給予補鈣、維生素D3治療后4個月內未出現發作性四肢抽搐等癥狀。建議對反復發作的口周區及指尖感覺異常、抽筋和痙攣、癲癇發作、軟組織鈣化,特別是頭顱基底結鈣化的患者及時行血鈣、血磷、血清PTH測定及顱腦CT、MRI檢查以明確診斷,避免誤診。甲狀腺外科醫生必須采取措施,盡量減少和預防甲狀腺切除術后低PTH。
利益沖突聲明 所有作者無利益沖突。
甲狀旁腺功能減退癥(Hypoparathyroidism,HP)是由于甲狀旁腺素(Para-thyroid hormone,PTH)合成、分泌或作用障礙而引起機體鈣磷代謝紊亂的一組臨床綜合征,其最常見的早期癥狀是口周區和指尖感覺異常或麻木和刺痛,肌肉僵硬、抽筋和痙攣也很常見,神經精神癥狀包括困惑、憤怒、抑郁、頭昏眼花和易怒,嚴重的神經興奮性可能導致癲癇發作、充血性心力衰竭、支氣管痙攣和喉痙攣[1]。術后HP是最常見的甲旁減原因[2]。本文報道以癲癇發作為主要臨床表現一例,分析該病相關致病機制并回顧該病診斷標準及治療原則,為臨床診治提供一定的思路。
病例資料 患者 女,47歲。因“發作性四肢抽搐伴呼之不應5年”于2022年5月12日至成都醫學院第一附屬醫院住院治療。患者2017年前因“甲狀腺乳頭狀癌”相繼于外院行手術治療,術后1個月患者于夜間睡眠中突發四肢抽搐、牙關緊閉、雙眼向上凝視、嘴角流涎,呼之不應,無大小便失禁,約1 min后自行緩解,意識恢復后患者不能憶起發病前情況,家屬遂將其送至當地醫院就診,考慮為“癲癇”并予以對癥治療后好轉出院,院外未服抗癲癇發作藥物,后患者抽搐癥狀反復發作,約10天發作1次,癥狀同前,每次發作約1 min后自行緩解。1年前患者再次發作抽搐后于外院治療,長期口服丙戊酸鈉緩釋片0.375 g,每日兩次,控制癲癇,后長期于我院門診就診,服用丙戊酸鈉緩釋片0.5 g,每日兩次,但癥狀仍有反復發作。3天前因勞累后上述癥狀再發至我院就診。否認腦外傷病史。否認癲癇及其它遺傳病家族史。
入院查體:T:36.6℃,P:75次/分,R:20次/分,BP:145/85 mmHg。身高158 cm ,體質量63 kg,體重指數:25.2 kg/m2。心肺腹查體未見明顯異常,面神經叩擊征及束臂加壓試驗陰性,神經系統查體未見陽性體征。實驗室檢查:血清鉀3.47 mmol/L、氯105.4 mmol/L、鈉145.3 mmol/L、鈣1.21 mmol/L、磷2.17 mmol/L、鎂0.64 mmol/L、鐵9.90 mg/L,甲狀旁腺激素17 pg/mL,甲狀腺功能、25羥維生素D3未見異常。心電圖示:竇性心律,大致正常心電圖。普通腦電圖示:輕度異常腦電圖。甲狀腺及頸前區淋巴結彩色超聲示:① 甲狀腺全切術后;② 雙側頸前區查見淋巴結,結構未見明顯異常。顱腦計算機斷層掃描(Computed tomography,CT)示:右側側腦室前角旁條狀致密影,鈣化?其他?(圖1)。顱腦核磁共振成像(Magnetic resonance imaging,MRI)示:右側側腦室前角旁見小片狀T1加權成像稍高信號影,T2加權成像、液體衰減反轉恢復序列(Fluid attenuated inversion recovery,FLAIR)呈高信號影,出血?其他?。結合患者病史及輔助檢查考慮繼發性甲狀腺旁腺功能減退,予葡萄糖酸鈣、碳酸鈣、骨化三醇補鈣,復查血清電解質:鉀3.95 mmol/L、氯98.7 mmol/L、鈉139.4 mmol/L、鈣2.18 mmol/L、磷2.10 mmol/L、鎂0.91 mmol/L、鐵11.51 mg/L。病情好轉出院,隨訪4個月患者未在癲癇發作。本研究已通過成都醫學院第一附屬醫院倫理委員會審核批準。

討論 本例患者為甲狀腺乳頭狀癌術后癲癇發作、低鈣血癥、高磷血癥,但PTH測定值正常,考慮低鈣血癥對甲狀旁腺是一種強烈的刺激,PTH測定值在正常范圍內,仍屬于HP[3]。患者以癲癇發作為主要臨床表現,影像學表現可見顱內鈣化,結合相關文獻檢索,目前分析其主要原因如下:
1. 顱內鈣化
HP的臨床表現是由于兩個主要靶器官:骨骼和腎臟缺乏生理作用。腎臟、大腦和其他軟組織中的鈣化很常見。顱內鈣化在成人和兒童常見,指的是腦實質或血管系統內的鈣化,可分為幾大類:生理性、營養不良、先天性疾病、感染性、血管性、腫瘤性、代謝性、炎癥性和毒性疾病[4]。生理性鈣化通常見于松果體、脈絡叢、大腦鐮和小腦幕[5-6]。甲狀旁腺機能減退癥大腦鈣化影響最顯著的是雙側基底節,最常見的是蒼白球。齒狀核、放射冠、皮質下白質和丘腦可能發生鈣化,鈣化現被認為是由長期高磷血癥引起的,但確切的病因尚不清楚[7-8]。本例中顱內鈣化見于右側側腦室旁,鈣化不明顯,考慮和病程短有關。
2. 低鈣血癥和癲癇發作
低鈣血癥會降低動作電位放電的閾值,神經肌肉興奮性增強,刺激自發高頻放電,導致肌肉痙攣[9]。高興奮性發生在外周神經元和中樞神經中,經典的Chvostek征和Trousseau征是外周神經元興奮性增高的特殊表現;Chvostek征通過輕敲耳部的面神經并看到同側面部肌肉上翻抽搐而誘發的,但敏感性不高;Trousseau征敏感性和特異性較高,超過90%的低血鈣患者和僅約1%的正常血鈣患者表現出該征[10]。若將血壓袖帶充氣至略高于收縮壓3 min后引發腕部痙攣,則Trousseau征為陽性。癲癇發作是中樞神經元興奮性增高的表現,癲癇發作可能是低鈣血癥的唯一臨床表現[11],主要發作類型有局灶性發作或全身性發作,非驚厥性癲癇持續狀態也有報道[12]。
術后HP診斷標準為[13]:① 頸部手術史是術后甲旁減診斷的必備條件;② 術后HP的臨床癥狀以及體征主要與低血鈣相關,常見癥狀包括手指腳趾刺痛感、口周麻木、 手足搐搦、注意力不集中等,嚴重者可出現喉痙攣、癲癇樣抽搐、心律失常等;典型體征包括面神經叩擊征(Chvostek 征)和束臂加壓征(Trousseau 征)陽性;③ 生化學異常即校正后血清鈣或離子鈣低于正常值下限、低水平的PTH,可伴有血磷和尿鈣升高,這是診斷HP的重要依據。
HP治療原則為糾正低鈣血癥,減少并發癥[14]。對于頸部手術患者預防HP遠比治療HP經濟,防遠重于治。術中應避免誤切甲狀旁腺或損傷甲狀旁腺血供,對低鈣血癥發生高風險者,術后可經驗性補鈣,或根據術后血鈣/PTH 的監測結果給予治療,維持正常血鈣水平,并在恰當時機減量甚至停藥,術后6個月仍不能恢復的HP,意味著永久性HP。有研究顯示PTH替代療法治療HP更為安全及有效[15]。
本例表現為癲癇發作,實驗室檢查提示低血鈣、高血磷、正常值范圍的甲狀旁腺激素及25羥維生素D3,顱腦CT及MRI示顱內發鈣化灶,誤診為原發性癲5年,確診為繼發性HP后給予補鈣、維生素D3治療后4個月內未出現發作性四肢抽搐等癥狀。建議對反復發作的口周區及指尖感覺異常、抽筋和痙攣、癲癇發作、軟組織鈣化,特別是頭顱基底結鈣化的患者及時行血鈣、血磷、血清PTH測定及顱腦CT、MRI檢查以明確診斷,避免誤診。甲狀腺外科醫生必須采取措施,盡量減少和預防甲狀腺切除術后低PTH。
利益沖突聲明 所有作者無利益沖突。