引用本文: 黨連榮. 海馬硬化致顳葉癲癇的臨床及磁共振成像診斷. 癲癇雜志, 2022, 8(4): 316-319. doi: 10.7507/2096-0247.202203005 復制
顳葉癲癇臨床中比較常見,尤其海馬硬化所致癲癇,在兒童中占有較大比例。通常大部分癲癇患兒在6月齡~6歲時有熱性驚厥史,誘發海馬變性,導致選擇性神經細胞丟失和膠質細胞增生,最終形成海馬硬化[1-4]。部分患者有圍產期腦損傷、腦炎、腦外傷、腦發育不良及腦血管發育異常等疾病所致癲癇抽搐發作史[5],導致腦組織短暫缺血缺氧,海馬對缺氧和低血糖比較敏感,引起海馬損傷變性硬化[6],最終可能形成“雙源”致癇灶。但基層醫院影像科醫生在顱腦磁共振成像(Magnetic resonance imaging,MRI)檢查時,忽視海馬長軸和短軸等多軸位MRI聯合掃描觀察,影響海馬結構完整顯示,出現誤診或漏診。為此,作者在顱腦MRI常規掃描基礎上增加T2-flair序列冠狀位與矢狀位等多軸位掃描作為癲癇患者MRI檢查。本文對海馬硬化MRI多軸位掃描圖像特點進行研究,探討癲癇患者顱腦MRI T2-flair多軸位掃描對海馬硬化的診斷價值。
1 資料與方法
1.1 研究對象
回顧性分析2019年3月—2020年12月在天水市第三人民醫院癲癇中心就診的135例海馬硬化所致癲癇患者,其中男75例、女60例,年齡為4~61歲,平均(26.38±3.24)歲,病程2~47年,平均(6.35±2.31)年。該研究獲得天水市第三人民醫院醫學倫理委員會審核批準,且所有患者/患兒監護人知情同意。
1.1.1 納入標準
① 所有患者均有癲癇抽搐發作病史2年或以上,患者抽搐發作48 h后臨床癥狀穩定時進行顱腦MRI掃描檢查;② 腦電圖檢查有癇樣放電。
1.1.2 排除標準
① 腦卒中;② 顱內急、慢性感染疾病;③ 遺傳代謝性疾病如鈣磷代謝異常;④ 各種顱腦腫瘤;⑤ MRI檢查發現發育性海馬結構異常或海馬旋轉不良;⑥ 既往中樞神經手術史;⑦ 不能配合完成顱腦MRI檢查的患者。
1.2 MRI檢查方法
采用Siemens Skyra 3.0T 磁共振成像儀,16通道頭部線圈,進行常規MRI檢查獲得T1WI、T2WI、T2-flair軸位、冠狀位和矢狀位圖像。掃描范圍包括從延髓至顱頂區域。T1WI掃描參數:TE/TR=9 ms/2 000 ms,掃描層厚6 mm,層間距1.2 mm。T2WI掃描參數:TE/TR=99 ms/420 ms,掃描層厚6 mm,層間距1.2 mm;T2-flair橫軸位掃描參數:TE/TR=99 ms/8 000 ms,掃描層厚6 mm,層間距1.2 mm;T2-flair冠狀位和矢狀位掃描參數:TE/TR=92 ms/8 000 ms,掃描層厚5 mm,層間距1.2 mm。橫斷面軸位沿海馬長軸、冠狀位垂直于海馬長軸及矢狀位垂直于眶間連線進行掃描。所有患者均行MRI常規T1和T2軸位,T2-flair軸位、冠狀位及矢狀位掃描檢查。
1.3 MRI圖像評價
由一名影像科高級職稱醫師在PACS系統上對本組研究的每個病例逐層閱片,觀察各層面T1WI、T2WI及T2-flair多軸位對海馬信號變化特點進行目測分析比較,尤其是T2-flair冠、矢狀位信號變化特點。依據本組海馬硬化及是否伴有其他病灶MRI影像特點,可分為單純性海馬硬化和伴有其他病灶的海馬硬化。
1.4 統計學分析
根據患者癲癇發作頻次對研究病例進行分組。患者每年發作3次以內者,稱為年癲癇發作;每年發作3次以上至10次以內者,稱為月癲癇發作;每年發作10次以上者,稱為頻繁癲癇發作。并依據海馬硬化T2-flair信號變化與癲癇發作頻次相關性進行χ2檢驗,以P值<0.05為差異具有統計學意義。
2 結果
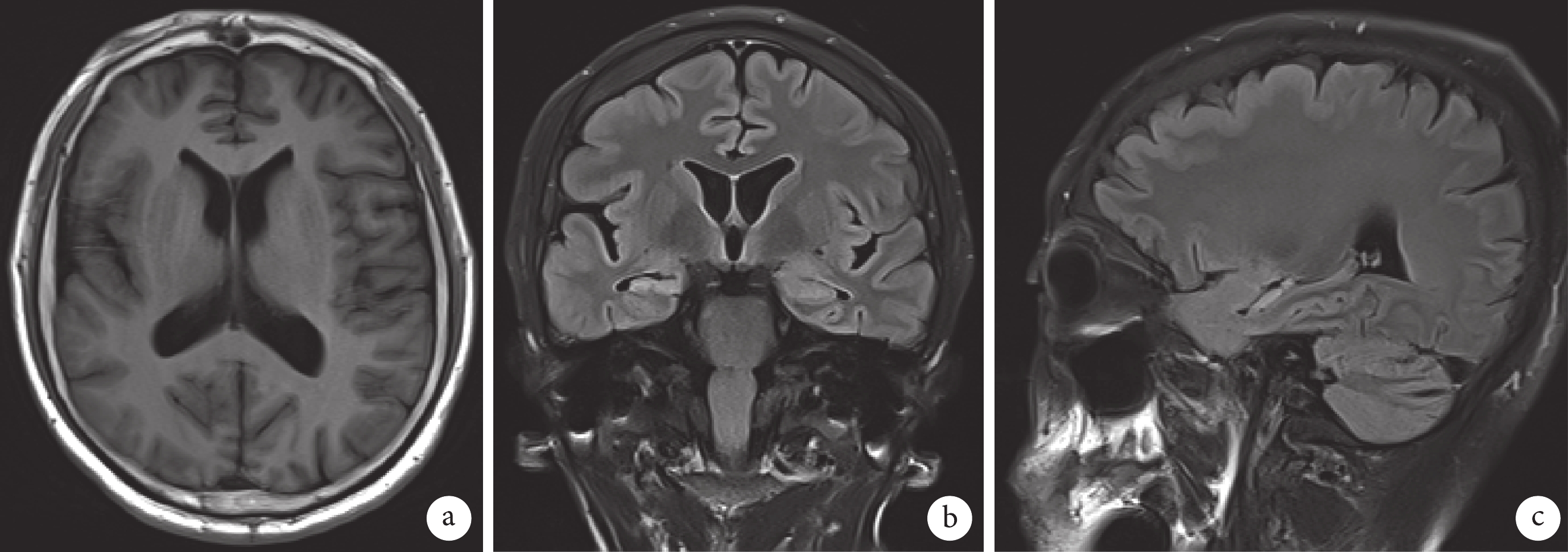
135例海馬硬化患者中MRI掃描顯示單純性海馬硬化109例,伴有其他病灶的海馬硬化26例,其中伴有海綿狀血管瘤8例、外傷性或感染性軟化灶9例、局灶性皮層發育不良2例、腦裂畸形1例、巨腦回1例(圖1)、圍產期缺血缺氧所致白質減少并伴有軟化灶5例。海馬硬化MRI掃描檢查影像特點為:① 海馬體積略增大,結構模糊, T2-flair顯示海馬信號略增高,脈絡膜裂及顳角略變窄15例,占11.11%;② 海馬結構模糊,T2-flair呈斑點狀高信號,體積無變化17例,占12.59%;③ 海馬體積縮小,固縮成小團塊狀,T2-flair序列呈高信號,脈絡膜裂及顳角略擴大(圖2)103例,占76.30%。78例海馬硬化患者伴有乳頭體、穹隆、杏仁核及海馬旁回出現不同程度萎縮。

患者 男,32歲,抽搐發作病史13年余。a,b,c. T2-flair軸位、冠、矢狀位示右側巨腦回,雙側海馬體積縮小,結構模糊,信號增高,右側為顯著,右側杏仁核萎縮、信號增高
Figure1. Hippocampal sclerosis accompanied by right brain dysplasiaPatient, male, 32 years old, had a history of convulsions for more than 13 years. a, b, c. T2 flair axial position, coronal and sagittal positions show the right giant gyrus. The volume of bilateral hippocampus is reduced, the structure is blurred, the signal is increased, which is significant on the right, the amygdala atrophied and signal are increased on the right

患者 男,11歲,抽搐發作病史4年余。a,b,c. T2-flair冠、矢狀位示杏仁體及海馬信號增高,結構消失,體積縮小
Figure2. Simple hippocampal sclerosisPatient, male, 11 years old, with a history of convulsion for more than 4 years. a, b, c. T2 flair coronal and sagittal positions show that the signal of amygdala and hippocampus increased, the structure disappeared and the volume decreased
單純性海馬硬化以年抽搐發作19例、月抽搐發作41例、頻繁發作49例;伴有其他病灶的海馬硬化患者26例,均以頻繁發作就診。本研究結果顯示海馬硬化MRI信號變化與癲癇發作頻次有相關性(χ2=94.94,P<0.05),海馬硬化T2-flair信號越高,癲癇發作頻率越多(表1)。

3 討論
顳葉癲癇中海馬硬化所致患者抽搐發作是臨床中常見類型[7],其病因較多,如圍產期缺氧缺血所致腦損傷、腦發育畸形、腦血管畸形、外傷和感染性瘢痕腦等病因所致抽搐發作,導致大腦缺氧引起海馬變性硬化,形成“新”的致癇灶。有報道稱,海馬硬化也是引起癲癇的重要病因,最終形成“雙源”癲癇灶[8]。此外,還有大部分癲癇患者,可能嬰幼兒時期存在高熱驚厥和其他精神心理創傷等病史,誘發海馬硬化引起癲癇重要病因。有研究發現,海馬對各種應急損傷、炎癥和缺氧比較敏感,尤其是嬰幼兒期,反復高熱驚厥及感染住院病史,部分成人可能也存在[9]。前期高熱驚厥和各種腦及海馬損傷可能是后期癲癇發生的基礎。海馬損傷是一種漸進的病理過程,早期可能是高熱驚厥和/或各種應急損傷,誘發海馬變性,但持續反復高熱驚厥等其他損傷,超出海馬自身修復限度,海馬自身神經細胞變性、凋亡及膠質細胞增生,從局部波及至整體,神經元丟失和膠質細胞增生,海馬體積硬化而縮小形成海馬硬化[10-13]。
本組伴有其他病灶的海馬硬化26例,包括海綿狀血管瘤、外傷性或感染性軟化灶、局灶性皮層發育不良、腦裂畸形、巨腦回、圍產期缺血缺氧所致軟化灶,表明這些疾病有可能是引起患者早期抽搐發作主要致病因素,早期患者及其家屬未引起足夠重視和系統治療,導致中、后期繼發性海馬損傷或變性。也可能患者伴有其他病灶初期原本存在海馬硬化致癇灶,但在MRI掃描檢查時關注了影像顯示明顯的伴有病灶,如腦發育畸形,而忽視了海馬硬化的影像觀察。本組伴有其他病灶的海馬硬化患者均以頻繁抽搐發作就診,MRI T2-flair提示雙側海馬損傷程度不一致,伴有其他病灶一側海馬硬化更明顯、信號較高,對側較輕。可能與患側致癇灶異常放電,引起同側海馬首先受累,隨著病程延長,逐漸累及到對側有關。本組研究推斷可能原有伴有病灶具有異常致癇放電性,導致同側或(和)對側海馬相繼損傷變性硬化,最終可能形成“雙源”致癇灶,導致患者抽搐發作更頻繁有關[14]。但伴有其他病灶患者癲癇發作與海馬硬化和其他病灶有無相關性、是否有致癇功能,需要在臨床中大量病例進行長期追蹤觀察進一步驗證研究。
本研究發現MRI T2-flair序列顯示海馬硬化信號增高較弱患者,年、月癲癇發作多見,而海馬硬化信號增高較明顯患者,以頻繁癲癇發作多見,可能與海馬硬化嚴重程度有關[14]。統計結果顯示,海馬硬化T2-flair序列信號增高與癲癇抽搐發作頻次有相關性。海馬硬化所致癲癇患者未經系統、科學、合理地抗癲癇治療,海馬硬化信號變化和癲癇抽搐發作頻次可能存在正反饋現象,隨著病程延長,海馬硬化逐漸加重,抽搐發作頻次增加,最終形成難治性癲癇。但文獻提示兩者間是否相互存在因果關系,說法不一,近年來比較一致看法是海馬硬化與癲癇兩者間可相互影響、相互促進,形成惡性循環[9]。本組MRI T2-flair序列顯示雙側不對稱海馬硬化,可能患側海馬癇樣放電流經海馬聯合或前聯合傳導至對側海馬,長期反復抽搐發作導致對側缺氧損傷變性,最終形成雙側海馬硬化[15-17]。也有文獻報道海馬硬化發生可能與原本海馬存在發育不良病理現象,在此基礎上易感損傷有關[16]。
本研究以MRI Flair多軸位掃描為技術支撐。由于T2-flair有效抑制腦脊液在T2相上高信號干擾,比較清楚顯示海馬細微解剖結構及膠質細胞增生所致信號變化細節 [18-19]。本組所有病例MRI T2-flair序列多角度掃描顯示海馬硬化信號略增高或高信號,體積略增大或縮小,內部結構模糊等直接影像特點,部分患者伴有乳頭體、穹隆、杏仁核及海馬旁回萎縮等間接MRI征象出現。因此,影像科醫師在癲癇患者MRI檢查閱片時,除了關注海馬硬化MRI影像征象外,還應多結合臨床抽搐發作類型和頻次可提高海馬硬化患者的診斷準確性和可靠性,指導臨床醫生選擇比較科學的治療方法。
利益沖突聲明 所有作者無利益沖突。
顳葉癲癇臨床中比較常見,尤其海馬硬化所致癲癇,在兒童中占有較大比例。通常大部分癲癇患兒在6月齡~6歲時有熱性驚厥史,誘發海馬變性,導致選擇性神經細胞丟失和膠質細胞增生,最終形成海馬硬化[1-4]。部分患者有圍產期腦損傷、腦炎、腦外傷、腦發育不良及腦血管發育異常等疾病所致癲癇抽搐發作史[5],導致腦組織短暫缺血缺氧,海馬對缺氧和低血糖比較敏感,引起海馬損傷變性硬化[6],最終可能形成“雙源”致癇灶。但基層醫院影像科醫生在顱腦磁共振成像(Magnetic resonance imaging,MRI)檢查時,忽視海馬長軸和短軸等多軸位MRI聯合掃描觀察,影響海馬結構完整顯示,出現誤診或漏診。為此,作者在顱腦MRI常規掃描基礎上增加T2-flair序列冠狀位與矢狀位等多軸位掃描作為癲癇患者MRI檢查。本文對海馬硬化MRI多軸位掃描圖像特點進行研究,探討癲癇患者顱腦MRI T2-flair多軸位掃描對海馬硬化的診斷價值。
1 資料與方法
1.1 研究對象
回顧性分析2019年3月—2020年12月在天水市第三人民醫院癲癇中心就診的135例海馬硬化所致癲癇患者,其中男75例、女60例,年齡為4~61歲,平均(26.38±3.24)歲,病程2~47年,平均(6.35±2.31)年。該研究獲得天水市第三人民醫院醫學倫理委員會審核批準,且所有患者/患兒監護人知情同意。
1.1.1 納入標準
① 所有患者均有癲癇抽搐發作病史2年或以上,患者抽搐發作48 h后臨床癥狀穩定時進行顱腦MRI掃描檢查;② 腦電圖檢查有癇樣放電。
1.1.2 排除標準
① 腦卒中;② 顱內急、慢性感染疾病;③ 遺傳代謝性疾病如鈣磷代謝異常;④ 各種顱腦腫瘤;⑤ MRI檢查發現發育性海馬結構異常或海馬旋轉不良;⑥ 既往中樞神經手術史;⑦ 不能配合完成顱腦MRI檢查的患者。
1.2 MRI檢查方法
采用Siemens Skyra 3.0T 磁共振成像儀,16通道頭部線圈,進行常規MRI檢查獲得T1WI、T2WI、T2-flair軸位、冠狀位和矢狀位圖像。掃描范圍包括從延髓至顱頂區域。T1WI掃描參數:TE/TR=9 ms/2 000 ms,掃描層厚6 mm,層間距1.2 mm。T2WI掃描參數:TE/TR=99 ms/420 ms,掃描層厚6 mm,層間距1.2 mm;T2-flair橫軸位掃描參數:TE/TR=99 ms/8 000 ms,掃描層厚6 mm,層間距1.2 mm;T2-flair冠狀位和矢狀位掃描參數:TE/TR=92 ms/8 000 ms,掃描層厚5 mm,層間距1.2 mm。橫斷面軸位沿海馬長軸、冠狀位垂直于海馬長軸及矢狀位垂直于眶間連線進行掃描。所有患者均行MRI常規T1和T2軸位,T2-flair軸位、冠狀位及矢狀位掃描檢查。
1.3 MRI圖像評價
由一名影像科高級職稱醫師在PACS系統上對本組研究的每個病例逐層閱片,觀察各層面T1WI、T2WI及T2-flair多軸位對海馬信號變化特點進行目測分析比較,尤其是T2-flair冠、矢狀位信號變化特點。依據本組海馬硬化及是否伴有其他病灶MRI影像特點,可分為單純性海馬硬化和伴有其他病灶的海馬硬化。
1.4 統計學分析
根據患者癲癇發作頻次對研究病例進行分組。患者每年發作3次以內者,稱為年癲癇發作;每年發作3次以上至10次以內者,稱為月癲癇發作;每年發作10次以上者,稱為頻繁癲癇發作。并依據海馬硬化T2-flair信號變化與癲癇發作頻次相關性進行χ2檢驗,以P值<0.05為差異具有統計學意義。
2 結果
135例海馬硬化患者中MRI掃描顯示單純性海馬硬化109例,伴有其他病灶的海馬硬化26例,其中伴有海綿狀血管瘤8例、外傷性或感染性軟化灶9例、局灶性皮層發育不良2例、腦裂畸形1例、巨腦回1例(圖1)、圍產期缺血缺氧所致白質減少并伴有軟化灶5例。海馬硬化MRI掃描檢查影像特點為:① 海馬體積略增大,結構模糊, T2-flair顯示海馬信號略增高,脈絡膜裂及顳角略變窄15例,占11.11%;② 海馬結構模糊,T2-flair呈斑點狀高信號,體積無變化17例,占12.59%;③ 海馬體積縮小,固縮成小團塊狀,T2-flair序列呈高信號,脈絡膜裂及顳角略擴大(圖2)103例,占76.30%。78例海馬硬化患者伴有乳頭體、穹隆、杏仁核及海馬旁回出現不同程度萎縮。

患者 男,32歲,抽搐發作病史13年余。a,b,c. T2-flair軸位、冠、矢狀位示右側巨腦回,雙側海馬體積縮小,結構模糊,信號增高,右側為顯著,右側杏仁核萎縮、信號增高
Figure1. Hippocampal sclerosis accompanied by right brain dysplasiaPatient, male, 32 years old, had a history of convulsions for more than 13 years. a, b, c. T2 flair axial position, coronal and sagittal positions show the right giant gyrus. The volume of bilateral hippocampus is reduced, the structure is blurred, the signal is increased, which is significant on the right, the amygdala atrophied and signal are increased on the right

患者 男,11歲,抽搐發作病史4年余。a,b,c. T2-flair冠、矢狀位示杏仁體及海馬信號增高,結構消失,體積縮小
Figure2. Simple hippocampal sclerosisPatient, male, 11 years old, with a history of convulsion for more than 4 years. a, b, c. T2 flair coronal and sagittal positions show that the signal of amygdala and hippocampus increased, the structure disappeared and the volume decreased
單純性海馬硬化以年抽搐發作19例、月抽搐發作41例、頻繁發作49例;伴有其他病灶的海馬硬化患者26例,均以頻繁發作就診。本研究結果顯示海馬硬化MRI信號變化與癲癇發作頻次有相關性(χ2=94.94,P<0.05),海馬硬化T2-flair信號越高,癲癇發作頻率越多(表1)。

3 討論
顳葉癲癇中海馬硬化所致患者抽搐發作是臨床中常見類型[7],其病因較多,如圍產期缺氧缺血所致腦損傷、腦發育畸形、腦血管畸形、外傷和感染性瘢痕腦等病因所致抽搐發作,導致大腦缺氧引起海馬變性硬化,形成“新”的致癇灶。有報道稱,海馬硬化也是引起癲癇的重要病因,最終形成“雙源”癲癇灶[8]。此外,還有大部分癲癇患者,可能嬰幼兒時期存在高熱驚厥和其他精神心理創傷等病史,誘發海馬硬化引起癲癇重要病因。有研究發現,海馬對各種應急損傷、炎癥和缺氧比較敏感,尤其是嬰幼兒期,反復高熱驚厥及感染住院病史,部分成人可能也存在[9]。前期高熱驚厥和各種腦及海馬損傷可能是后期癲癇發生的基礎。海馬損傷是一種漸進的病理過程,早期可能是高熱驚厥和/或各種應急損傷,誘發海馬變性,但持續反復高熱驚厥等其他損傷,超出海馬自身修復限度,海馬自身神經細胞變性、凋亡及膠質細胞增生,從局部波及至整體,神經元丟失和膠質細胞增生,海馬體積硬化而縮小形成海馬硬化[10-13]。
本組伴有其他病灶的海馬硬化26例,包括海綿狀血管瘤、外傷性或感染性軟化灶、局灶性皮層發育不良、腦裂畸形、巨腦回、圍產期缺血缺氧所致軟化灶,表明這些疾病有可能是引起患者早期抽搐發作主要致病因素,早期患者及其家屬未引起足夠重視和系統治療,導致中、后期繼發性海馬損傷或變性。也可能患者伴有其他病灶初期原本存在海馬硬化致癇灶,但在MRI掃描檢查時關注了影像顯示明顯的伴有病灶,如腦發育畸形,而忽視了海馬硬化的影像觀察。本組伴有其他病灶的海馬硬化患者均以頻繁抽搐發作就診,MRI T2-flair提示雙側海馬損傷程度不一致,伴有其他病灶一側海馬硬化更明顯、信號較高,對側較輕。可能與患側致癇灶異常放電,引起同側海馬首先受累,隨著病程延長,逐漸累及到對側有關。本組研究推斷可能原有伴有病灶具有異常致癇放電性,導致同側或(和)對側海馬相繼損傷變性硬化,最終可能形成“雙源”致癇灶,導致患者抽搐發作更頻繁有關[14]。但伴有其他病灶患者癲癇發作與海馬硬化和其他病灶有無相關性、是否有致癇功能,需要在臨床中大量病例進行長期追蹤觀察進一步驗證研究。
本研究發現MRI T2-flair序列顯示海馬硬化信號增高較弱患者,年、月癲癇發作多見,而海馬硬化信號增高較明顯患者,以頻繁癲癇發作多見,可能與海馬硬化嚴重程度有關[14]。統計結果顯示,海馬硬化T2-flair序列信號增高與癲癇抽搐發作頻次有相關性。海馬硬化所致癲癇患者未經系統、科學、合理地抗癲癇治療,海馬硬化信號變化和癲癇抽搐發作頻次可能存在正反饋現象,隨著病程延長,海馬硬化逐漸加重,抽搐發作頻次增加,最終形成難治性癲癇。但文獻提示兩者間是否相互存在因果關系,說法不一,近年來比較一致看法是海馬硬化與癲癇兩者間可相互影響、相互促進,形成惡性循環[9]。本組MRI T2-flair序列顯示雙側不對稱海馬硬化,可能患側海馬癇樣放電流經海馬聯合或前聯合傳導至對側海馬,長期反復抽搐發作導致對側缺氧損傷變性,最終形成雙側海馬硬化[15-17]。也有文獻報道海馬硬化發生可能與原本海馬存在發育不良病理現象,在此基礎上易感損傷有關[16]。
本研究以MRI Flair多軸位掃描為技術支撐。由于T2-flair有效抑制腦脊液在T2相上高信號干擾,比較清楚顯示海馬細微解剖結構及膠質細胞增生所致信號變化細節 [18-19]。本組所有病例MRI T2-flair序列多角度掃描顯示海馬硬化信號略增高或高信號,體積略增大或縮小,內部結構模糊等直接影像特點,部分患者伴有乳頭體、穹隆、杏仁核及海馬旁回萎縮等間接MRI征象出現。因此,影像科醫師在癲癇患者MRI檢查閱片時,除了關注海馬硬化MRI影像征象外,還應多結合臨床抽搐發作類型和頻次可提高海馬硬化患者的診斷準確性和可靠性,指導臨床醫生選擇比較科學的治療方法。
利益沖突聲明 所有作者無利益沖突。