引用本文: 龍娟, 張凌峰, 顧美娟. 以意識障礙為主要癥狀的假性甲狀旁腺功能減退癥伴顱內鈣化一例. 癲癇雜志, 2022, 8(3): 277-279. doi: 10.7507/2096-0247.202201001 復制
甲狀旁腺功能減退癥(Hypoparathyroidism,HP)和假性甲狀旁腺功能減退癥(Pseudohypoparathyroidism,PHP)均以低鈣血癥及高磷血癥為主要實驗室變化指標,前者是因多種因素導致甲狀旁腺功能受損,造成甲狀旁腺激素(Parathyroid hormone,PTH)分泌不足;后者是因基因突變或甲基化異常等引起的外周靶器官對PTH作用抵抗,造成PTH水平升高[1]。HP和PHP主要臨床表現均為低鈣血癥相關癥狀,輕微的低鈣血癥,較少出現臨床癥狀,隨著血鈣水平的進一步降低,出現肢體麻木和刺痛感、手足抽搐,嚴重時可出現癲癇發作、心力衰竭、支氣管痙攣和喉痙攣等危及生命。臨床上以抽搐為主要表現的低鈣血癥多見,而以意識障礙為主要癥狀的病例較為少見。本文報道以意識障礙為首發的PHP一例,綜合分析該病所致意識障礙的相關原因,為臨床診治提供一定的思路。
病例簡介 患兒 男,12歲。以“5個月內發作性意識喪失2次”于2021年12月2日收入昆明醫科大學第一附屬醫院治療。患兒父母訴其于2021年7月吃飯時突然出現緩慢倒地、呼之不應,無肢體抽搐、強直、口吐白沫、舌咬傷、二便失禁等,持續約8 min左右自行恢復意識,醒后不能回憶所發生事情,感全身乏力、酸痛,肢體活動正常。立即至當地醫院就診,抽血結果提示低鈣、高磷,考慮“低鈣驚厥”,予補鈣治療后出院。半個月前患者無明顯誘因再次出現意識喪失,性質同前,為求進一步診治收入我院。既往曾因“雙側隱睪”行手術治療,余無特殊。
入院查體:T 36.2℃,R 20次/min,P 87次/min,BP 98/73 mmHg。一般查體:身高 157 cm,臂長 155 cm,腿長 83 cm,體重 48 kg,體重指數 19.47 kg/m2,心肺腹查體未見明顯異常,雙手第5指長度僅達第4指第一指節關節處。面神經叩擊征及束臂加壓試驗陰性。神經系統查體未見陽性體征。
實驗室檢查:血鈣1.57 mmol/L(2.1~2.8 mmol/L),血磷3.22 mmol/L(1.15~2.01 mmol/L);PTH水平49.29 pmol/L(1.6~6.9 pmol/L),25-羥維生素D 54.95 nmol/L(75~250 nmol/L);甲狀脈功能全套正常參考值范圍。
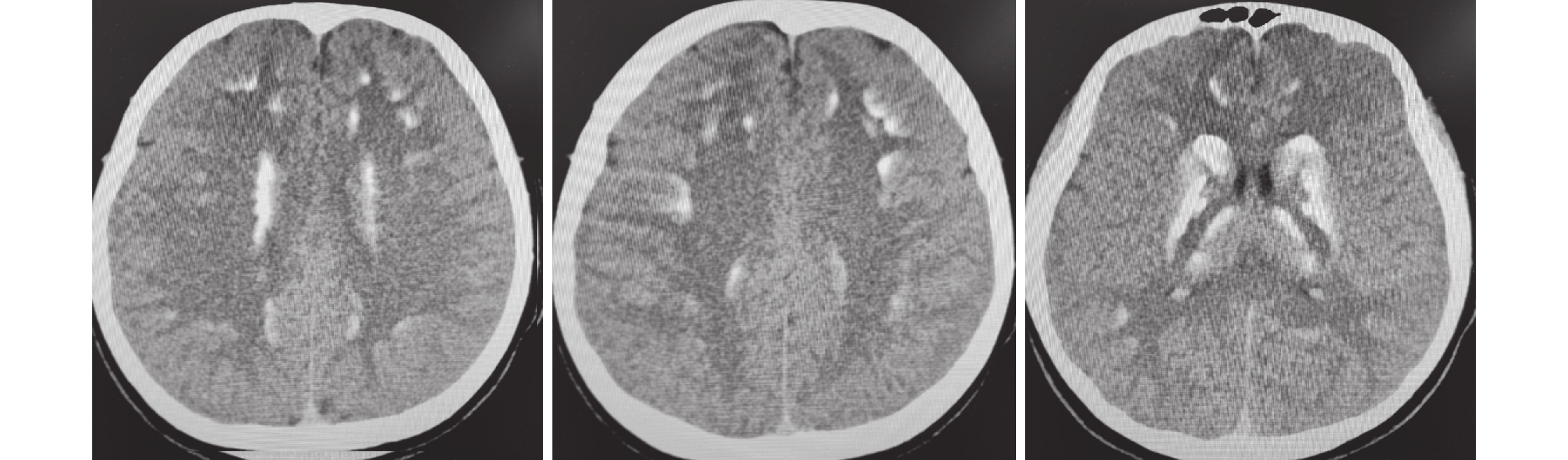
影像學檢查:入院心電圖正常。甲狀旁腺彩超未見異常。心臟彩超未見異常。全身骨代謝顯像未見異常。頭部計算機斷層掃描(Computed Tomography, CT)提示腦實質內多發對稱性鈣化(圖1)。

24小時視頻腦電圖提示:異常視頻腦電圖:① 右額見陣發短-中程14 Hz左右正相棘波活動;② 非快速眼動睡眠期頻繁見全導爆發中-長程2~4 Hz高波幅慢波活動,常伴四肢伸直,口部自動癥狀,短暫覺醒10 s內,后繼續慢波睡眠)。
根據患者實驗室檢查提示低鈣、高磷結合PTH升高,臨床診斷為PHP,遂予碳酸鈣D和骨化三醇口服對癥治療,后患者未再發作意識喪失情況。建議患者完善動態心電圖及相關基因檢測,患者及家屬表示拒絕,自動出院。囑繼續當地醫院完善相關檢查,密切隨診。
討論 PHP是一種對PTH抵抗,并伴有低血鈣、高血磷的一種罕見遺傳性疾病。除PTH抵抗外,PHP患者還常表現其他激素抵抗,如促甲狀腺激素抵抗、生長激素釋放激素抵抗等。根據臨床表現不同可分為PHP I型和II型。PHP患者的發病是由于PTH受體突變,對PTH反應減低或無反應,多與編碼Gsα蛋白的GNAS基因突變導致Gsα表達減少或功能下降有關,血清PTH水平升高、血鈣降低和血磷升高是其主要實驗室特征[2]。由于PHP缺乏典型的特異性體征,且常常表現為神經及精神系統相關癥狀,因此在臨床上很容易誤診。PTH是調節血鈣和血磷最重要的激素,PTH分泌不足或作用缺陷會導致血清鈣下降,血清磷升高。血清鈣濃度降低可使神經肌肉興奮性增加,可出現手足抽搐,甚至驚厥,癲癇發作可能是低鈣的唯一臨床表現[3]。PHP另一突出臨床表現為顱內基底節鈣化和長期低鈣血癥和高磷血癥導致的白內障[4]。該患者廣泛顱內鈣化的病史表明其長期慢性低血鈣病史,與既往報道相符合。高血磷攜帶鈣離子在腦內的沉積也與精神癥狀相關,包括情緒波動、幻覺和譫妄等,可能被誤診為精神類疾病[5]。意識障礙為醫療診療過程中的急危重癥,正確識別病因至關重要。PHP患者亦可合并意識障礙,如本文報道的此例患者以意識喪失為主要臨床表現,結合相關文獻檢索,目前分析其主要原因如下:
① 低鈣驚厥和癲癇發作
低鈣血癥(Hypocalcaemia)是指由于各種原因導致PTH分泌減少或其作用障礙,同時伴有維生素D異常,使骨鈣釋放減少,腎小管對鈣重吸收障礙,引起血游離鈣濃度降低而出現的一組臨床癥候群[6]。血清鈣濃度降低可使神經肌肉興奮性增加,最常見的臨床表現為手足抽動。低鈣驚厥常常發生在嬰兒期,與維生素D缺乏密切相關,由于此時機體生長代謝過快,同時機體維生素D攝入不足及內源性合成不足,導致鈣磷代謝障礙,可表現為突發四肢抽動伴有雙眼上翻,可有一過性意識喪失或二便失禁,每次發作數秒或數分鐘,一日可發作數次。有時癲癇發作可能是低鈣血癥的唯一臨床表現[3],常呈癲癇大發作,也可表現為癲癇小發作、局限性發作及Jackson發作,非驚厥性癲癇持續狀態也有報道[7]。
本例患者出現意識喪失,實驗室檢查提示明確的低鈣血癥,目前低鈣驚厥不能排外;雖然患者意識喪失時不伴明顯的肢體抽搐、二便失禁等癥狀,且視頻腦電圖未見確切臨床發作,但腦電圖提示腦電波異常,目前癇性發作亦不能排外,必要時需進一步完善長程腦電圖檢查。
② 心血管系統損害
研究表明,HP和PHP均可由低鈣血癥、高磷血癥、PTH水平異常等原因對心血管系統產生不利的影響[8]。低鈣血癥是心臟驟停的獨立危險因素[9],嚴重低鈣血癥時(血鈣<1.55 mmol/L)會出現左心擴大、心室室壁運動減弱、左室收縮功能下降和急性心力衰竭,且低鈣血癥和左室射血分數顯著相關[10-12]。血磷水平越高,全因死亡風險、新發心衰、非致死性心梗和致死性冠狀動脈疾病風險均有所增加[13]。高PTH水平者出現室壁厚度增加、新發心衰和心血管疾患死亡風險均增加[14-15]。故HP及PHP患者出現嚴重低鈣血癥時導致心臟結構及功能的改變,同時還可以合并心臟傳動系統異常,導致心血管疾病、心衰及心律失常等臨床事件發生。該患者心臟彩超正常及心電圖未見缺血性改變,存在心臟結構及心血管疾患的可能性較小,但由于患者未完成動態心電圖檢查,是否存在心臟傳導系統異常導致的心律失常不能排外,發作性意識喪失是否為心源性暈厥尚需進一步追蹤。
綜上,PHP是臨床中罕見病,尤其以意識障礙為首發者更為少見,應引起廣大醫務人員的重視。意識障礙的根本原因在于低鈣血癥,可表現為癇性發作及心血管系統疾患,故在接診過程中醫務人員應關注心電圖、腦電圖及頭部影像學的變化,低鈣血癥合并顱內多發鈣化,同時存在心電圖的相關改變時,應高度警惕PHP和HP,早期診斷和及時治療,控制病情,緩解癥狀,糾正低鈣血癥,補充維生素D,通常無需抗癲癇藥物等。
利益沖突聲明 所有作者無利益沖突。
甲狀旁腺功能減退癥(Hypoparathyroidism,HP)和假性甲狀旁腺功能減退癥(Pseudohypoparathyroidism,PHP)均以低鈣血癥及高磷血癥為主要實驗室變化指標,前者是因多種因素導致甲狀旁腺功能受損,造成甲狀旁腺激素(Parathyroid hormone,PTH)分泌不足;后者是因基因突變或甲基化異常等引起的外周靶器官對PTH作用抵抗,造成PTH水平升高[1]。HP和PHP主要臨床表現均為低鈣血癥相關癥狀,輕微的低鈣血癥,較少出現臨床癥狀,隨著血鈣水平的進一步降低,出現肢體麻木和刺痛感、手足抽搐,嚴重時可出現癲癇發作、心力衰竭、支氣管痙攣和喉痙攣等危及生命。臨床上以抽搐為主要表現的低鈣血癥多見,而以意識障礙為主要癥狀的病例較為少見。本文報道以意識障礙為首發的PHP一例,綜合分析該病所致意識障礙的相關原因,為臨床診治提供一定的思路。
病例簡介 患兒 男,12歲。以“5個月內發作性意識喪失2次”于2021年12月2日收入昆明醫科大學第一附屬醫院治療。患兒父母訴其于2021年7月吃飯時突然出現緩慢倒地、呼之不應,無肢體抽搐、強直、口吐白沫、舌咬傷、二便失禁等,持續約8 min左右自行恢復意識,醒后不能回憶所發生事情,感全身乏力、酸痛,肢體活動正常。立即至當地醫院就診,抽血結果提示低鈣、高磷,考慮“低鈣驚厥”,予補鈣治療后出院。半個月前患者無明顯誘因再次出現意識喪失,性質同前,為求進一步診治收入我院。既往曾因“雙側隱睪”行手術治療,余無特殊。
入院查體:T 36.2℃,R 20次/min,P 87次/min,BP 98/73 mmHg。一般查體:身高 157 cm,臂長 155 cm,腿長 83 cm,體重 48 kg,體重指數 19.47 kg/m2,心肺腹查體未見明顯異常,雙手第5指長度僅達第4指第一指節關節處。面神經叩擊征及束臂加壓試驗陰性。神經系統查體未見陽性體征。
實驗室檢查:血鈣1.57 mmol/L(2.1~2.8 mmol/L),血磷3.22 mmol/L(1.15~2.01 mmol/L);PTH水平49.29 pmol/L(1.6~6.9 pmol/L),25-羥維生素D 54.95 nmol/L(75~250 nmol/L);甲狀脈功能全套正常參考值范圍。
影像學檢查:入院心電圖正常。甲狀旁腺彩超未見異常。心臟彩超未見異常。全身骨代謝顯像未見異常。頭部計算機斷層掃描(Computed Tomography, CT)提示腦實質內多發對稱性鈣化(圖1)。

24小時視頻腦電圖提示:異常視頻腦電圖:① 右額見陣發短-中程14 Hz左右正相棘波活動;② 非快速眼動睡眠期頻繁見全導爆發中-長程2~4 Hz高波幅慢波活動,常伴四肢伸直,口部自動癥狀,短暫覺醒10 s內,后繼續慢波睡眠)。
根據患者實驗室檢查提示低鈣、高磷結合PTH升高,臨床診斷為PHP,遂予碳酸鈣D和骨化三醇口服對癥治療,后患者未再發作意識喪失情況。建議患者完善動態心電圖及相關基因檢測,患者及家屬表示拒絕,自動出院。囑繼續當地醫院完善相關檢查,密切隨診。
討論 PHP是一種對PTH抵抗,并伴有低血鈣、高血磷的一種罕見遺傳性疾病。除PTH抵抗外,PHP患者還常表現其他激素抵抗,如促甲狀腺激素抵抗、生長激素釋放激素抵抗等。根據臨床表現不同可分為PHP I型和II型。PHP患者的發病是由于PTH受體突變,對PTH反應減低或無反應,多與編碼Gsα蛋白的GNAS基因突變導致Gsα表達減少或功能下降有關,血清PTH水平升高、血鈣降低和血磷升高是其主要實驗室特征[2]。由于PHP缺乏典型的特異性體征,且常常表現為神經及精神系統相關癥狀,因此在臨床上很容易誤診。PTH是調節血鈣和血磷最重要的激素,PTH分泌不足或作用缺陷會導致血清鈣下降,血清磷升高。血清鈣濃度降低可使神經肌肉興奮性增加,可出現手足抽搐,甚至驚厥,癲癇發作可能是低鈣的唯一臨床表現[3]。PHP另一突出臨床表現為顱內基底節鈣化和長期低鈣血癥和高磷血癥導致的白內障[4]。該患者廣泛顱內鈣化的病史表明其長期慢性低血鈣病史,與既往報道相符合。高血磷攜帶鈣離子在腦內的沉積也與精神癥狀相關,包括情緒波動、幻覺和譫妄等,可能被誤診為精神類疾病[5]。意識障礙為醫療診療過程中的急危重癥,正確識別病因至關重要。PHP患者亦可合并意識障礙,如本文報道的此例患者以意識喪失為主要臨床表現,結合相關文獻檢索,目前分析其主要原因如下:
① 低鈣驚厥和癲癇發作
低鈣血癥(Hypocalcaemia)是指由于各種原因導致PTH分泌減少或其作用障礙,同時伴有維生素D異常,使骨鈣釋放減少,腎小管對鈣重吸收障礙,引起血游離鈣濃度降低而出現的一組臨床癥候群[6]。血清鈣濃度降低可使神經肌肉興奮性增加,最常見的臨床表現為手足抽動。低鈣驚厥常常發生在嬰兒期,與維生素D缺乏密切相關,由于此時機體生長代謝過快,同時機體維生素D攝入不足及內源性合成不足,導致鈣磷代謝障礙,可表現為突發四肢抽動伴有雙眼上翻,可有一過性意識喪失或二便失禁,每次發作數秒或數分鐘,一日可發作數次。有時癲癇發作可能是低鈣血癥的唯一臨床表現[3],常呈癲癇大發作,也可表現為癲癇小發作、局限性發作及Jackson發作,非驚厥性癲癇持續狀態也有報道[7]。
本例患者出現意識喪失,實驗室檢查提示明確的低鈣血癥,目前低鈣驚厥不能排外;雖然患者意識喪失時不伴明顯的肢體抽搐、二便失禁等癥狀,且視頻腦電圖未見確切臨床發作,但腦電圖提示腦電波異常,目前癇性發作亦不能排外,必要時需進一步完善長程腦電圖檢查。
② 心血管系統損害
研究表明,HP和PHP均可由低鈣血癥、高磷血癥、PTH水平異常等原因對心血管系統產生不利的影響[8]。低鈣血癥是心臟驟停的獨立危險因素[9],嚴重低鈣血癥時(血鈣<1.55 mmol/L)會出現左心擴大、心室室壁運動減弱、左室收縮功能下降和急性心力衰竭,且低鈣血癥和左室射血分數顯著相關[10-12]。血磷水平越高,全因死亡風險、新發心衰、非致死性心梗和致死性冠狀動脈疾病風險均有所增加[13]。高PTH水平者出現室壁厚度增加、新發心衰和心血管疾患死亡風險均增加[14-15]。故HP及PHP患者出現嚴重低鈣血癥時導致心臟結構及功能的改變,同時還可以合并心臟傳動系統異常,導致心血管疾病、心衰及心律失常等臨床事件發生。該患者心臟彩超正常及心電圖未見缺血性改變,存在心臟結構及心血管疾患的可能性較小,但由于患者未完成動態心電圖檢查,是否存在心臟傳導系統異常導致的心律失常不能排外,發作性意識喪失是否為心源性暈厥尚需進一步追蹤。
綜上,PHP是臨床中罕見病,尤其以意識障礙為首發者更為少見,應引起廣大醫務人員的重視。意識障礙的根本原因在于低鈣血癥,可表現為癇性發作及心血管系統疾患,故在接診過程中醫務人員應關注心電圖、腦電圖及頭部影像學的變化,低鈣血癥合并顱內多發鈣化,同時存在心電圖的相關改變時,應高度警惕PHP和HP,早期診斷和及時治療,控制病情,緩解癥狀,糾正低鈣血癥,補充維生素D,通常無需抗癲癇藥物等。
利益沖突聲明 所有作者無利益沖突。