引用本文: 劉一鷗, 豐倩, 周文靜. 立體定向腦電圖引導下射頻熱凝治療雙側后頭部癲癇一例并文獻復習. 癲癇雜志, 2020, 6(6): 479-484. doi: 10.7507/2096-0247.20200079 復制
后頭部癲癇(Posterior cortex epilepsy,PCE)是指發作起始于枕葉、頂葉和/或顳葉后部的癲癇[1]。其病因主要包括皮層發育不良、出生時缺氧缺血性腦損傷、結節性硬化、腦炎、腫瘤等。因 PCE 起病早、藥物難治,且常伴有嚴重的認知功能損害,手術治療逐漸被人們重視。PCE 影像上常有雙側后頭部損傷,最常見于新生兒缺血缺氧腦損傷、腦炎等,因其腦電圖(EEG)雙側間期放電或發作起源于雙側、放電傳導快、涉及功能區,術前定側定位困難,手術難度大。既往研究顯示,起源于雙側后頭部的癲癇發作,雖然很難達到完全停藥無發作的結果,但若切除了主要的引起致殘性發作的責任病灶,患者發作會得到顯著控制,生活質量也可以大幅提高。更有學者為了盡可能保留雙側后頭部功能,采用多灶局部熱凝的方法損毀病灶,達到了滿意的療效且無功能損傷[2]。
本例患者嬰兒期病毒性腦炎繼發雙側后頭部損傷,經過顱內電極埋藏證實癲癇發作起始于雙側后頭部,而右側后頭部是其主要的致殘性癲癇發作的起始,通過一系列完善的術前神經心理評估、后頭部功能測試發現右后頭功能較左側差,但仍有部分功能保留,因此,我們采用創傷性小的射頻熱凝治療,局部損毀發作起始觸點,患者術后隨訪 2 年,生活質量顯著改善,未出現功能缺失癥狀,現將該病例報道如下,并復習相關文獻,以期為相關疾病的臨床診治提供一定的參考。
1 資料與方法
1.1 病例資料
患者 女,12 歲,右利手,病史 11 年,出生史正常。首次發病在出生后 6 個月,發熱(38℃)后出現發作性雙眼上翻,口唇青紫,四肢僵硬,連續發作數次,當地住院診斷“病毒性腦炎”,昏迷 2 周,期間也有間斷性抽搐發作,經治療后好轉出院。此后一直到 3 歲發熱(38℃)后出現一次四肢抽搐發作,僅十余秒即緩解。6 歲后開始再次出現發作性癥狀,此后反復發作至今,其中包括兩種發作形式:① 僅表現眼前閃光或黑影,意識清楚,數秒恢復,每天出現數次至十多次,頻率不固定;② 眼前閃光或視物變形,迅速意識喪失、摔倒,伴四肢抽搐,4~5 次/d。曾服用左乙拉西坦(LEV)、卡馬西平(CBZ),最長 6~9 個月無發作,之后服用多種藥物均無效,目前服用丙戊酸鈉(VPA)700 mg/d,LEV 1 000 mg/d,苯丁酸氮芥(CLB)15 mg/d。2015 年患者于外院行迷走神經刺激術(VNS),調整刺激參數 1 年以上,未見療效。患者智力較同齡孩子落后,尤以計算力及記憶力方面為差。
1.2 視頻腦電圖
發作間期顯示雙側半球同步/非同步大量中至高波幅棘-慢波、多棘-慢波放電,雙側后頭部著(圖 1)。監測中記錄到 8 次癲癇發作,包括兩種發作形式:形式 1(共 3 次發作),表現為眼前出現彩色閃光(紅色為主)或視物變形,持續 10 s 左右,EEG 表現為左枕低波幅快波起始(圖 2);形式 2(共 5 次發作),表現為眼前出現彩色閃光(紅色為主),隨后出現發呆、低頭,頭向一側偏轉(左側多見),四肢僵硬,持續 1~2 min 緩解,有時繼發全身抽搐,EEG 表現為右枕低波幅快波起始(圖 3)。
圖1
發作間期腦電圖
Figure1.
Interictal EEG
圖2
發作期腦電圖(形式 1)
Figure2.
EEG during seizures(type 1)
圖3
發作期腦電圖(形式 2)
Figure3.
EEG during seizures(type 2)
1.3 影像學
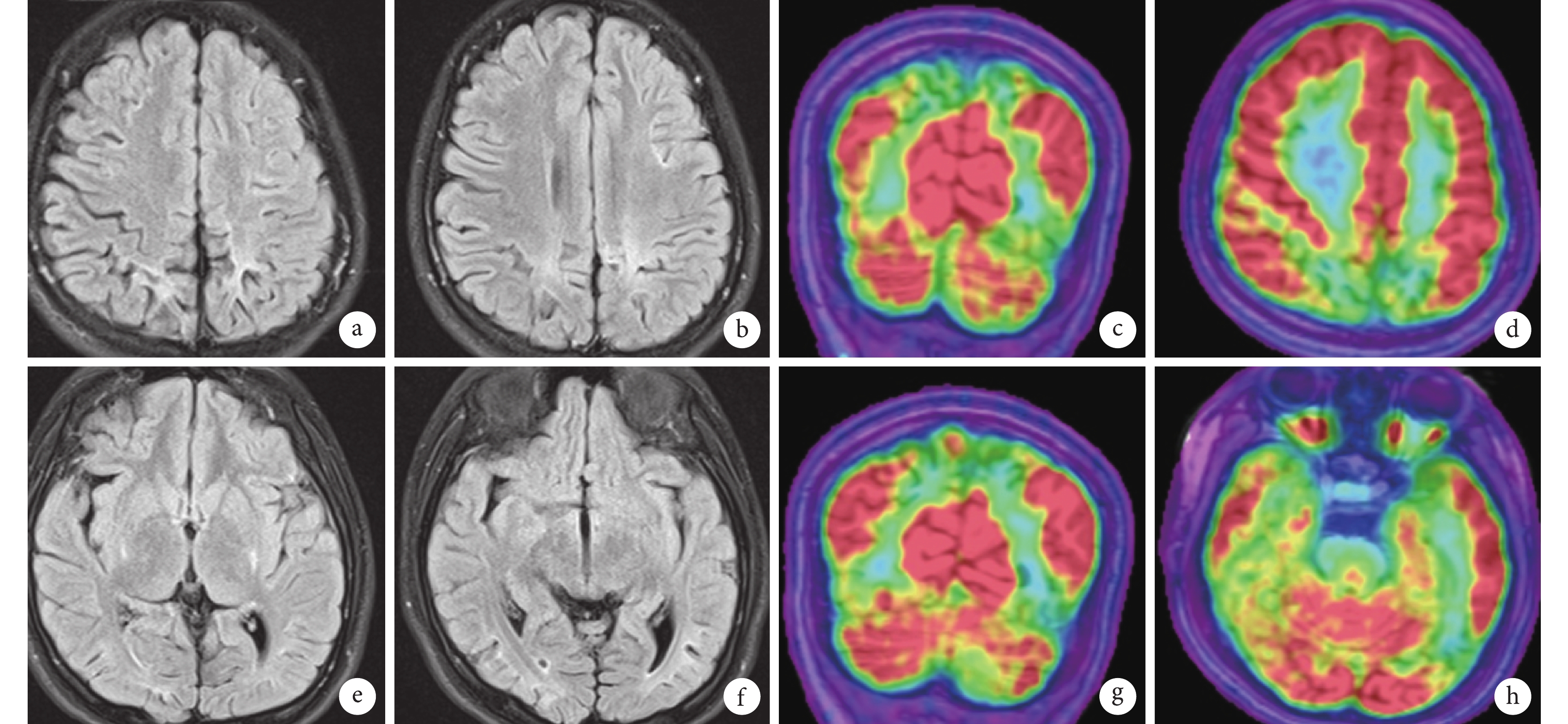
患者頭顱核磁共振成像(MRI)表現為 Flair 像雙側頂、枕及后顳高信號及局部腦萎縮。18F-2-氟-2-脫氧-D-葡萄糖-正電子發射計算機斷層顯像(18FDG-PET-CT)表現為雙側頂、枕、后顳代謝減低(圖 4)。
圖4
患者影像學檢查 MRI 顯示雙側枕及顳后異常信號及局部腦萎縮;MRI-PET 融合可見相應部位低代謝
Figure4.
MRI showed abnormal signals and brain atrophy in bilateral temporal and occipital regions. MRI-PET fusion showed low metabolism at corresponding area
1.4 顱內電極方案及結果
根據患者的病史、癥狀學、影像學及頭皮 EEG 結果,雙側后頭部,以雙枕為主,均需顱內電極進一步驗證。選用 LEKSELL 立體定向儀(Leksell Stereotactic System,瑞典)進行立體定向腦電圖(SEEG)電極雙側置入方案[3],采用 NeuroTech 軟件系統(北京同方鼎欣公司,中國)將患者的多種影像(包括 3D T1-MRI、Flair-MRI、PCA-MRI、CT、PET 等)進行三維重建,設計每一根電極的路徑如圖 5。
圖5
雙側后頭部 SEEG 電極置入方案
Figure5.
The SEEG electrode placement scheme in the bilateral posterior head
患者 SEEG 電極置入后進行長程視頻腦電監測,采用 256 導聯腦電圖儀(Nihon-Kohden,日本)記錄,采樣率 2 000 Hz。發作間期可見雙側多灶不同步異常放電,以雙側枕區為著。監測中共記錄到 15 次臨床發作,其中僅有先兆的發作(形式 1)均從左側枕葉舌回內側部位起始,另外一種繼發強直陣攣的發作(形式 2)均從右側枕葉舌回內側發作起始。通過對發作期腦電提取高頻信號,并結合高頻起始的時間進行定量分析,可以得到反應致癇灶信息的結果,即致癇指數(Epilepstogenicity index,EI)[4, 5]。我們使用清華大學醫學院自主研發的 Brainquake 軟件完成 EI 值的測定,同時將 EI 值和融合到患者的影像中,可更直觀地顯示發作起始部位(圖 6)。
圖6
第二種發作形式(繼發強直陣攣)的發作期顱內腦電圖(a)及 EI 顯示的發作起始部位(b)
Figure6.
Intracranial EEG during the second form of seizures(secondary tonic-clonic seizure) (a) and Seizure onset shown in EI (b)
監測記錄到充分的發作期與發作間期的腦電信息后,進行電刺激功能測試(50 Hz,1~3 mA),發現雙枕均有視覺反應(患者自述眼前閃光等現象),另外采用任務相關的高頻腦電分析方法,選用簡單視覺刺激(如黑白格)、復雜視覺刺激(如彩色圖片)、圖片命名等三種任務,雙枕均有響應,提示雙側枕葉均保留視覺功能,術前的視野檢查結果顯示右眼鼻側視野少量缺損,接近正常。
1.5 術前討論及手術方案制定
SEEG 電極置入后的腦電檢查顯示,患者的臨床發作分別雙側枕葉,其中左枕起始為癥狀較輕的視幻覺發作,右枕起始為視幻覺繼發強直陣攣發作。雖然 MRI 和 PET 顯示雙側頂枕均有損傷和功能下降,但顱內電極腦電監測提示雙枕均保留視覺功能。初步制定了右側枕區切除計劃,同時也考慮到,患者雙側后頭部病變,如果切除右側枕區,可能會導致視野的大范圍缺損,而且左側枕區也存在獨立的致癇灶,術后可能仍然發作,甚至會繼發強直陣攣發作。
右枕起始的發作雖然容易繼發強直陣攣,但起始區較為局限,采取在手術切除之前,先進行右側枕區局部進行 SEEG 電極引導的射頻熱凝治療,觀察療效決定是否進一步病灶切除。
1.6 手術方法及預后
患者在病房床旁行 SEEG 引導下射頻熱凝治療,患者為清醒無麻醉狀態,將右側發作起始觸點連接射頻熱凝毀損儀,功率設定為 8 W,熱凝時間限定 20 s。熱凝過程順利,期間患者自覺眼前閃光現象,數秒即消失,無其它不適。一周后拔除電極出院。
患者熱凝后至今隨訪 2 年,術后仍有輕微的發作,表現為眼前閃光,數秒消失。未出現繼發強直陣攣發作。生活質量顯著提高,術前無法正常上學,目前可以與同齡兒童正常上學,且智力、記憶力顯著提高,未出現視野缺損癥狀。圖 7 顯示為術前、術后的 MRI 對比。
圖7
手術前后 MRI 對比
a. SEEG 電極置入后的 CT 影像與術前 MRI 融合的結果,紅色圓圈內為熱凝的靶點;b. 熱凝后 1 年復查 MRI,可見熱凝的毀損灶
Figure7. MRI Comparison between pre-operation and post-operationa. Fusion of CT images after SEEG electrode implantation and preoperative MRI, the target of thermalcoagulation are in the red circle; b. Thermal coagulation damage showed on MRI one year later
2 討論
2.1 雙側后頭部癲癇的手術治療
多數癥狀性后頭部癲癇可通過神經影像學發現結構性異常,病因包括枕葉皮層發育不良、出生時缺氧缺血性腦損傷、低血糖、結節性硬化、腫瘤等。后頭部癲癇早期快速傳導擴散而易導致定位錯誤,同時涉及到功能區,既往手術病例及相關文獻不多。而發作獨立起始于雙側后頭部的癲癇,對于外科手術來說更是挑戰。本案例患者從癥狀學、頭皮 EEG、影像資料提示為 PCE,但雙側均有陽性表現,因此進行了顱內電極植入,顱內 EEG 結果顯示為雙側后頭部獨立發作起始。這給我們提出一個難題,如何設計手術方案?Sierra-Marcos 等[6]曾報道一例類似的病例,9 歲女孩,癲癇性腦病、雙側枕區瘢痕腦,PET-CT 顯示雙側枕區低代謝,雙側枕區放電,因其右側枕區病灶較大,術者設計切除了其右側顳、頂、枕聯合皮層,患兒術后癲癇得到控制同時認知功能得到顯著改善。也就是說,并非所有的雙側病灶都有致癇性或都能導致致殘性發作,設計切除引起患者主要致殘性發作的病灶,患者癥狀往往能得到顯著改善,從而提高生活質量。但同時也要和患者及家屬溝通,了解他們的意愿,同時明確了解其功能區范圍及術后可能造成的功能損傷。
2.2 立體定向腦電圖引導下射頻熱凝治療
本案例患者迫切希望解決其繼發強直陣攣發作問題,而該發作均從右側起始,因此我們設計了右側枕區的切除計劃。但同時擺在我們面前的是右側枕區的功能保護問題。術前功能測試表明患者右側枕區視覺功能接近正常。因此,在常規手術切除之前,我們先采用 SEEG 引導下射頻熱凝右側病灶,特別是針對發作起始觸點進行熱凝。該方法是利用蛋白高溫變性原理,熱凝毀損致癇灶,或阻斷癲癇網絡關鍵節點阻止放電擴散。其優勢在于[7]:① 直接熱凝由 SEEG 確定的癲癇起始區,并可以通過電極對多個病灶進行熱凝毀損;② 重要功能區得到保護同時減少了另外放置毀損電極造成的并發癥;③ 患者完全可以耐受熱凝過程,不需要麻醉,如果熱凝無效,并不影響后期手術。該病例發作起始點比較局限,且右側切除范圍涉及到枕葉功能皮層區,符合 SEEG 引導下射頻熱凝治療條件。患兒術后癲癇得到顯著控制,認知得到改善,未進一步行切除手術從而最大程度的保留了枕葉功能。
2.3 小結與展望
雙側后頭部獨立起始的癲癇發作以前是功能外科手術的禁區:術前定側定位難、涉及功能區,很多患者因此放棄手術治療。而本病例患者卻從中獲益,生活質量得到顯著改善。這主要基于:腦電及后處理、影像學及后處理、神經心理評估、腦功能測試等一系列完善的術前評估檢查,以及微創治療方法局部損毀病灶,最大限度的保護患者功能區。同時要和患者及家屬充分溝通,了解其手術意愿。這為今后雙側后頭部癲癇,特別是出生時缺氧缺血性腦損傷、腦炎等病因引起的癥狀性癲癇提出了新的外科治療思路。
后頭部癲癇(Posterior cortex epilepsy,PCE)是指發作起始于枕葉、頂葉和/或顳葉后部的癲癇[1]。其病因主要包括皮層發育不良、出生時缺氧缺血性腦損傷、結節性硬化、腦炎、腫瘤等。因 PCE 起病早、藥物難治,且常伴有嚴重的認知功能損害,手術治療逐漸被人們重視。PCE 影像上常有雙側后頭部損傷,最常見于新生兒缺血缺氧腦損傷、腦炎等,因其腦電圖(EEG)雙側間期放電或發作起源于雙側、放電傳導快、涉及功能區,術前定側定位困難,手術難度大。既往研究顯示,起源于雙側后頭部的癲癇發作,雖然很難達到完全停藥無發作的結果,但若切除了主要的引起致殘性發作的責任病灶,患者發作會得到顯著控制,生活質量也可以大幅提高。更有學者為了盡可能保留雙側后頭部功能,采用多灶局部熱凝的方法損毀病灶,達到了滿意的療效且無功能損傷[2]。
本例患者嬰兒期病毒性腦炎繼發雙側后頭部損傷,經過顱內電極埋藏證實癲癇發作起始于雙側后頭部,而右側后頭部是其主要的致殘性癲癇發作的起始,通過一系列完善的術前神經心理評估、后頭部功能測試發現右后頭功能較左側差,但仍有部分功能保留,因此,我們采用創傷性小的射頻熱凝治療,局部損毀發作起始觸點,患者術后隨訪 2 年,生活質量顯著改善,未出現功能缺失癥狀,現將該病例報道如下,并復習相關文獻,以期為相關疾病的臨床診治提供一定的參考。
1 資料與方法
1.1 病例資料
患者 女,12 歲,右利手,病史 11 年,出生史正常。首次發病在出生后 6 個月,發熱(38℃)后出現發作性雙眼上翻,口唇青紫,四肢僵硬,連續發作數次,當地住院診斷“病毒性腦炎”,昏迷 2 周,期間也有間斷性抽搐發作,經治療后好轉出院。此后一直到 3 歲發熱(38℃)后出現一次四肢抽搐發作,僅十余秒即緩解。6 歲后開始再次出現發作性癥狀,此后反復發作至今,其中包括兩種發作形式:① 僅表現眼前閃光或黑影,意識清楚,數秒恢復,每天出現數次至十多次,頻率不固定;② 眼前閃光或視物變形,迅速意識喪失、摔倒,伴四肢抽搐,4~5 次/d。曾服用左乙拉西坦(LEV)、卡馬西平(CBZ),最長 6~9 個月無發作,之后服用多種藥物均無效,目前服用丙戊酸鈉(VPA)700 mg/d,LEV 1 000 mg/d,苯丁酸氮芥(CLB)15 mg/d。2015 年患者于外院行迷走神經刺激術(VNS),調整刺激參數 1 年以上,未見療效。患者智力較同齡孩子落后,尤以計算力及記憶力方面為差。
1.2 視頻腦電圖
發作間期顯示雙側半球同步/非同步大量中至高波幅棘-慢波、多棘-慢波放電,雙側后頭部著(圖 1)。監測中記錄到 8 次癲癇發作,包括兩種發作形式:形式 1(共 3 次發作),表現為眼前出現彩色閃光(紅色為主)或視物變形,持續 10 s 左右,EEG 表現為左枕低波幅快波起始(圖 2);形式 2(共 5 次發作),表現為眼前出現彩色閃光(紅色為主),隨后出現發呆、低頭,頭向一側偏轉(左側多見),四肢僵硬,持續 1~2 min 緩解,有時繼發全身抽搐,EEG 表現為右枕低波幅快波起始(圖 3)。
圖1
發作間期腦電圖
Figure1.
Interictal EEG
圖2
發作期腦電圖(形式 1)
Figure2.
EEG during seizures(type 1)
圖3
發作期腦電圖(形式 2)
Figure3.
EEG during seizures(type 2)
1.3 影像學
患者頭顱核磁共振成像(MRI)表現為 Flair 像雙側頂、枕及后顳高信號及局部腦萎縮。18F-2-氟-2-脫氧-D-葡萄糖-正電子發射計算機斷層顯像(18FDG-PET-CT)表現為雙側頂、枕、后顳代謝減低(圖 4)。
圖4
患者影像學檢查 MRI 顯示雙側枕及顳后異常信號及局部腦萎縮;MRI-PET 融合可見相應部位低代謝
Figure4.
MRI showed abnormal signals and brain atrophy in bilateral temporal and occipital regions. MRI-PET fusion showed low metabolism at corresponding area
1.4 顱內電極方案及結果
根據患者的病史、癥狀學、影像學及頭皮 EEG 結果,雙側后頭部,以雙枕為主,均需顱內電極進一步驗證。選用 LEKSELL 立體定向儀(Leksell Stereotactic System,瑞典)進行立體定向腦電圖(SEEG)電極雙側置入方案[3],采用 NeuroTech 軟件系統(北京同方鼎欣公司,中國)將患者的多種影像(包括 3D T1-MRI、Flair-MRI、PCA-MRI、CT、PET 等)進行三維重建,設計每一根電極的路徑如圖 5。
圖5
雙側后頭部 SEEG 電極置入方案
Figure5.
The SEEG electrode placement scheme in the bilateral posterior head
患者 SEEG 電極置入后進行長程視頻腦電監測,采用 256 導聯腦電圖儀(Nihon-Kohden,日本)記錄,采樣率 2 000 Hz。發作間期可見雙側多灶不同步異常放電,以雙側枕區為著。監測中共記錄到 15 次臨床發作,其中僅有先兆的發作(形式 1)均從左側枕葉舌回內側部位起始,另外一種繼發強直陣攣的發作(形式 2)均從右側枕葉舌回內側發作起始。通過對發作期腦電提取高頻信號,并結合高頻起始的時間進行定量分析,可以得到反應致癇灶信息的結果,即致癇指數(Epilepstogenicity index,EI)[4, 5]。我們使用清華大學醫學院自主研發的 Brainquake 軟件完成 EI 值的測定,同時將 EI 值和融合到患者的影像中,可更直觀地顯示發作起始部位(圖 6)。
圖6
第二種發作形式(繼發強直陣攣)的發作期顱內腦電圖(a)及 EI 顯示的發作起始部位(b)
Figure6.
Intracranial EEG during the second form of seizures(secondary tonic-clonic seizure) (a) and Seizure onset shown in EI (b)
監測記錄到充分的發作期與發作間期的腦電信息后,進行電刺激功能測試(50 Hz,1~3 mA),發現雙枕均有視覺反應(患者自述眼前閃光等現象),另外采用任務相關的高頻腦電分析方法,選用簡單視覺刺激(如黑白格)、復雜視覺刺激(如彩色圖片)、圖片命名等三種任務,雙枕均有響應,提示雙側枕葉均保留視覺功能,術前的視野檢查結果顯示右眼鼻側視野少量缺損,接近正常。
1.5 術前討論及手術方案制定
SEEG 電極置入后的腦電檢查顯示,患者的臨床發作分別雙側枕葉,其中左枕起始為癥狀較輕的視幻覺發作,右枕起始為視幻覺繼發強直陣攣發作。雖然 MRI 和 PET 顯示雙側頂枕均有損傷和功能下降,但顱內電極腦電監測提示雙枕均保留視覺功能。初步制定了右側枕區切除計劃,同時也考慮到,患者雙側后頭部病變,如果切除右側枕區,可能會導致視野的大范圍缺損,而且左側枕區也存在獨立的致癇灶,術后可能仍然發作,甚至會繼發強直陣攣發作。
右枕起始的發作雖然容易繼發強直陣攣,但起始區較為局限,采取在手術切除之前,先進行右側枕區局部進行 SEEG 電極引導的射頻熱凝治療,觀察療效決定是否進一步病灶切除。
1.6 手術方法及預后
患者在病房床旁行 SEEG 引導下射頻熱凝治療,患者為清醒無麻醉狀態,將右側發作起始觸點連接射頻熱凝毀損儀,功率設定為 8 W,熱凝時間限定 20 s。熱凝過程順利,期間患者自覺眼前閃光現象,數秒即消失,無其它不適。一周后拔除電極出院。
患者熱凝后至今隨訪 2 年,術后仍有輕微的發作,表現為眼前閃光,數秒消失。未出現繼發強直陣攣發作。生活質量顯著提高,術前無法正常上學,目前可以與同齡兒童正常上學,且智力、記憶力顯著提高,未出現視野缺損癥狀。圖 7 顯示為術前、術后的 MRI 對比。
圖7
手術前后 MRI 對比
a. SEEG 電極置入后的 CT 影像與術前 MRI 融合的結果,紅色圓圈內為熱凝的靶點;b. 熱凝后 1 年復查 MRI,可見熱凝的毀損灶
Figure7. MRI Comparison between pre-operation and post-operationa. Fusion of CT images after SEEG electrode implantation and preoperative MRI, the target of thermalcoagulation are in the red circle; b. Thermal coagulation damage showed on MRI one year later
2 討論
2.1 雙側后頭部癲癇的手術治療
多數癥狀性后頭部癲癇可通過神經影像學發現結構性異常,病因包括枕葉皮層發育不良、出生時缺氧缺血性腦損傷、低血糖、結節性硬化、腫瘤等。后頭部癲癇早期快速傳導擴散而易導致定位錯誤,同時涉及到功能區,既往手術病例及相關文獻不多。而發作獨立起始于雙側后頭部的癲癇,對于外科手術來說更是挑戰。本案例患者從癥狀學、頭皮 EEG、影像資料提示為 PCE,但雙側均有陽性表現,因此進行了顱內電極植入,顱內 EEG 結果顯示為雙側后頭部獨立發作起始。這給我們提出一個難題,如何設計手術方案?Sierra-Marcos 等[6]曾報道一例類似的病例,9 歲女孩,癲癇性腦病、雙側枕區瘢痕腦,PET-CT 顯示雙側枕區低代謝,雙側枕區放電,因其右側枕區病灶較大,術者設計切除了其右側顳、頂、枕聯合皮層,患兒術后癲癇得到控制同時認知功能得到顯著改善。也就是說,并非所有的雙側病灶都有致癇性或都能導致致殘性發作,設計切除引起患者主要致殘性發作的病灶,患者癥狀往往能得到顯著改善,從而提高生活質量。但同時也要和患者及家屬溝通,了解他們的意愿,同時明確了解其功能區范圍及術后可能造成的功能損傷。
2.2 立體定向腦電圖引導下射頻熱凝治療
本案例患者迫切希望解決其繼發強直陣攣發作問題,而該發作均從右側起始,因此我們設計了右側枕區的切除計劃。但同時擺在我們面前的是右側枕區的功能保護問題。術前功能測試表明患者右側枕區視覺功能接近正常。因此,在常規手術切除之前,我們先采用 SEEG 引導下射頻熱凝右側病灶,特別是針對發作起始觸點進行熱凝。該方法是利用蛋白高溫變性原理,熱凝毀損致癇灶,或阻斷癲癇網絡關鍵節點阻止放電擴散。其優勢在于[7]:① 直接熱凝由 SEEG 確定的癲癇起始區,并可以通過電極對多個病灶進行熱凝毀損;② 重要功能區得到保護同時減少了另外放置毀損電極造成的并發癥;③ 患者完全可以耐受熱凝過程,不需要麻醉,如果熱凝無效,并不影響后期手術。該病例發作起始點比較局限,且右側切除范圍涉及到枕葉功能皮層區,符合 SEEG 引導下射頻熱凝治療條件。患兒術后癲癇得到顯著控制,認知得到改善,未進一步行切除手術從而最大程度的保留了枕葉功能。
2.3 小結與展望
雙側后頭部獨立起始的癲癇發作以前是功能外科手術的禁區:術前定側定位難、涉及功能區,很多患者因此放棄手術治療。而本病例患者卻從中獲益,生活質量得到顯著改善。這主要基于:腦電及后處理、影像學及后處理、神經心理評估、腦功能測試等一系列完善的術前評估檢查,以及微創治療方法局部損毀病灶,最大限度的保護患者功能區。同時要和患者及家屬充分溝通,了解其手術意愿。這為今后雙側后頭部癲癇,特別是出生時缺氧缺血性腦損傷、腦炎等病因引起的癥狀性癲癇提出了新的外科治療思路。

