引用本文: 李林, 趙建設. 兒童局灶性皮質發育不良的磁共振高分辨成像特征. 癲癇雜志, 2020, 6(1): 2-6. doi: 10.7507/2096-0247.20200001 復制
據報道約 30% 的癲癇患者伴隨著局灶性皮質發育不良(Focal cortical dysplasia,FCD)[1]。FCD 是大腦皮質發育畸形的一種類型,也是藥物難治性癲癇的常見病因之一,手術切除是其唯一根治方法。既往研究通常僅針對某一種類型的 FCD,綜合報道較少,且部分 FCD 病灶較局限、隱匿[2],常規核磁共振(MRI)漏診率較高。本研究采用 3D 高分辨 MRI,綜合分析所有類型 FCD 的 MRI 征象,以幫助臨床醫生在術前準確識別該疾病及評估病灶范圍,從而更為精準地制定手術方案及提高手術療效。
1 資料與方法
1.1 一般資料
收集山東大學齊魯兒童醫院 2015 年 4 月—2018 年 6 月間經病理證實為 FCD 的患兒 42 例,其中男 27 例,女 15 例;年齡 3 個月~9.5 歲,中位年齡 4.2 歲。診斷的金標準為 2011 年國際抗癲癇聯盟協會(ILAE)發布的病理學分類:單純型(Ⅰ、Ⅱ型)和結合型(Ⅲ型)[3]。本研究通過該醫院倫理委員會審核,患兒監護人知情同意并簽署知情同意書。
1.2 設備及參數
使用 3.0T Ingenia 超導型磁共振掃描儀(Philips),對于部分不能配合患兒,檢查前給予 5% 水合氯醛 0.4~0.5 mL/kg,口服,以助其進入深睡眠。高分辨 3D-T1W:最小 TR,最小 TE,TI 270 ms,翻轉角 10°,FOV 285 mm×285 mm,矩陣 265×265;高分辨 3D-T2 FLAIR 序列,TR 78.5 ms,TE 63.5 ms,TI 295 ms,翻轉角 10°,FOV 285 mm×285 mm,矩陣 265×265。其他常規序列:T1W,TE 12.5 ms,TR 750.0 ms,FOV 265 mm×265 mm,矩陣 245×245,層厚 5 mm,間隔 1 mm;T2W,TE 110 ms,最小 TR,FOV 265 mm×265 mm,矩陣 245×245,層厚 5 mm,間隔 1 mm;T2-FLAIR 序列,TE 150 ms,TR 12000 ms,FOV 265 mm×265 mm,矩陣 245×245,層厚 5 mm,間隔 1 mm;DWI,最小 TE,最小 TR,b 值取 0、800 mm2/s,FOV 198 mm×190 mm,矩陣 212×212,層厚 5 mm,間隔 1 mm。
1.3 圖像分析
由兩名具有 5 年以上工作經驗的影像科副主任及以上醫師閱片,經協商達成一致意見,對于不能達成一致者將予以剔除。主要觀察 MRI 征象為:① 局灶性灰白質分界模糊;② 皮質結構異常(增厚或變薄);③ T2WI/FLAIR 白質信號增高,伴或不伴 transmantle 征(皮層下白質內向腦室方向延伸的異常信號);④ T2WI/FLAIR 灰質信號增高;⑤ 異常腦溝或腦回形態及節段性和/或腦葉發育不全/萎縮。
2 結果
42 例經病理證實為 FCD 的患兒中,5 例 MRI 為陰性,均為Ⅰ型患兒。37 例(88.1%)呈陽性征象,見表 1。FCDⅠ型 13 例(35.1%),顳葉 6 例、額葉 4 例、頂葉 2 例,中央區 1 例,主要 MRI 特征:8 例表現為局灶性灰白質分界模糊及相應部位皮質結構異常(增厚或變薄);3 例除上述兩種征象外,還具有 T2WI/FLAIR 白質信號的增高;2 例為局限性腦體積縮小。FCDⅡ型 17 例(45.9%),額葉 9 例、頂葉 4 例、島葉 2 例,中央區 2 例,此型未發現顳葉發病,主要 MRI 征象較多且復雜:3 例表現為局灶性灰白質分界模糊及相應部位皮質結構異常(增厚或變薄);7 例除上述兩種征象外,還具有 T2WI/FLAIR 灰、白質信號增高;9 例發現局灶性異常信號從皮質延伸到側腦室:拖尾征(transmantle sign),且均為Ⅱb 型患兒,4 例為尖端指向腦室的錐形異常信號,3 例為寬窄不等帶狀異常信號,1 例為條狀異常信號灶,1 例為斷續顯示的異常信號;3 例僅表現為異常的腦溝及腦回形態(圖 1)。FCD Ⅲ型共 7 例(18.9%),為在Ⅰ型的基礎上伴發的其他病變,其中海馬萎縮 2 例、胚胎發育不良性神經上皮瘤(Dysembryoplastic Neuroepithelial tumor,DNET)2 例、節細胞瘤 1 例、2 例軟化灶并膠質增生(圖 2)。


a,b. T1WI,左側枕葉局灶性灰白質分界模糊及相應皮層增厚;c,d. T2WI-FLAIR,病變部位 T2WI/FLAIR 灰、白質信號增高,并可見從皮質延伸到側腦室的帶狀高信號灶(transmantle sign)
Figure1. The patient one male,8 years-old. 3D high resolution MRI,frequent seizures,postoperative pathological diagnosis confirmed FCD Ⅱb typea,b. T1WI,focal gray-white matter boundary blur on left occipital lobe and corresponding cortical thickening; c,d. T2WI-FLAIR,increased signals with T2WI/FLAIR in gray and white matter at the lesion site,a band of high-signal foci extending from the cortex to the lateral ventricle were found(transmantle sign)

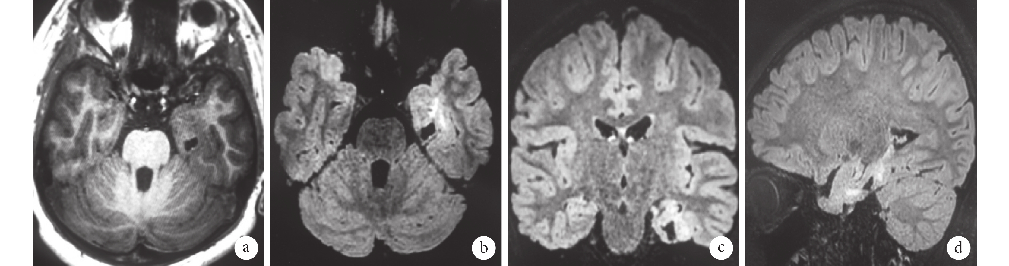
a. T1WI,左側顳葉底部局灶性灰白質分界模糊及皮層增厚,鄰近可見囊狀低信號灶;b,c,d. T2WI-FLAIR,左顳葉 T2WI/FLAIR 灰、白質信號增高伴囊狀低信號灶
Figure2. The patient two male,2 years-old. 3D high resolution MRI,seizures,postoperative pathological diagnosis confirmed FCDⅢb type(typeⅠ+DNET)a. T1WI,focal gray matter boundary demarcation and thickening of the cortex at the bottom of the left temporal lobe,cystic low signal foci are seen nearby;b,c,d. T2WI-FLAIR,increased T2WI/FLAIR gray and white matter signals in the left temporal lobe with cystic hypointensity
3 討論
FCD 是由于胚胎期神經神經元及膠質細胞的分化、增殖、遷徙等過程發生異常所導致的局部大腦皮層的發育障礙,從而產生一系列病理變化[4],主要表現為癲癇、認知損害及局灶性神經功能損失。該疾病的 MRI 表現具有一定的特征性,但對于部分病灶隱匿、局限者,常規 MRI 檢查很難發現病灶,3D 高分辨 MRI 成像具有多方位、多參數及軟組織分辨率高等特點[5],使該病的檢出率大大提高。本組患兒中,僅 5 例 MRI 未發現明顯陽性征象,且均為 FCDⅠ型患兒。
本研究發現 13 例Ⅰ型 FCD 中,顳葉 6 例,占發病部位之首,這與既往相關文獻報道是一致的[6]。FCD 主要 MRI 表現為局灶性灰白質分界模糊及相應皮層的增厚或變薄,本研究中有 8 例患兒出現此征象,為本型的主要 MRI 特征。根據 ILAE 發布的病理診斷標準,FCDⅠ型為皮層的放射狀及切線方向的結構不良,但皮層的 6 層結構還是存在的,故影像學表現相對單一,本組中僅 3 例患兒 MRI 具有 T2WI/FLAIR 白質信號增高的表現,有相關文獻報道,灰白質分界模糊及皮質結構異常為Ⅰ型患兒的主要 MRI 表現[7],這與我們的研究結果是一致的。既往研究報道皮質結構異常均為增厚[1],我們的研究結果提示皮質結構異常部分患兒為增厚,另一部分為變薄,產生分歧的原因可能在于對病理學的認識及閱片者自身的理解差異有關系:神經元的分化、遷徙、增殖及成熟是從內向外進行的[8],在此過程中如果任何一個環節出現差錯,皮層發育將會出現停滯、畸形,大量神經元將會在位置較深的白質內滯留,此時相應的灰質結構好像深入了白質內,影像學上閱片者主觀判斷是皮層整體增厚;若少量神經元滯留在白質內,相應灰質的神經元減少,那么影像學則表現為變薄,出現增厚或變薄的主要區別在于神經元移行停滯的數量、時間及位置[9]。
本組 17 例 FCD Ⅱ型患兒中,額葉發病率最高,顳葉未見受累,這與相關文獻[10]報道Ⅱ型患兒不可能發生在顳葉是一致的。所有患兒均發現 MRI 陽性征象,此型患兒的主要病理為在 FCDⅠ 型的基礎上又并發異形神經元及氣球樣細胞,因此,FCDⅡ型 MRI 表現較多,且復雜,容易被識別,13 例患兒出現灰白質分界模糊及相應部位皮質結構異常,同時 7 例伴有 T2WI/FLAIR 灰白質信號的增高,上述 MRI 征象與 FCDⅠ型的發病機制基本是一致的,只是范圍更加廣泛。在此型中,我們發現 9 例患兒 transmantle 征,且病理學均為 FCDⅡb 型,這與既往文獻[11]報道是一致的,表現為皮層下白質內向腦室方向延伸的異常信號,這種帶狀異常信號的病理基礎是白質內的氣球樣細胞及畸形神經元[12],這種征象的出現具有特異性,可以幫助臨床在術前準確定性。本型中只有 3 例 MRI 征象表現輕微,術前的 MRI 報告為正常,術后回顧閱片時發現了輕微的腦溝及腦回形態異常。本組中 FCD Ⅲ型共 7 例,分別為在Ⅰ型的基礎上伴發海馬硬化,膠質瘤或神經節細胞瘤,血管畸形及出生后早期的獲得性損傷,此型診斷較困難,術后效果較差。
臨床上以下疾病需與 FCD 相鑒別:① 結節硬化癥,臨床為智力低下、癲癇、皮脂腺瘤三聯征,表現為室管膜下多發結節灶突入腦室內,呈細頸狀,表現為波浪狀或鋸齒狀改變,灰白質內異常信號灶[13],通常為多發,FCD 一般為單發局灶性病變,增強掃描部分未鈣化的結節可明顯強化;② 多發硬化,常見于女性,表現為腦室旁、胼胝體區及半卵圓中心的多發異常信號灶,以雙側額頂葉較為常見,其發病部位特征性,導致了側腦室旁病灶與側腦室壁垂直[14],FCD 屬于灰質病變,常單發;③ 神經元移行異常及髓質內脫髓鞘病變,如巨腦回等。
3D 高分辨 MRI 成像較常規序列大大提高了 FCD 病灶檢出率,其 MRI 征象也具有較高的特異性,可以幫助臨床在對其進行術前定性,在術前診斷及致癇灶評估中起著非常重要作用,對于部分 MRI 表現為陰性的 FCD 患兒,術前無法對其進行器質性病變的定位,導致術后效果較差,這部分患兒將是我們今后的研究重點。相關文獻報道,對于部分術前 MRI 表現為陰性的 FCD 患兒,術后回顧性閱片會發現術區腦溝的微小異常及局部腦回形態的欠規整,這也提示了我們術前仔細閱片及多人閱片的重要性[15]。
本研究的局限性在于樣本量較少。相信隨著功能 MRI 成像技術的不斷發展,FCD 病灶的識別率及定位將會更高及精準,從而為臨床制定手術方案提供更為準確的信息。
據報道約 30% 的癲癇患者伴隨著局灶性皮質發育不良(Focal cortical dysplasia,FCD)[1]。FCD 是大腦皮質發育畸形的一種類型,也是藥物難治性癲癇的常見病因之一,手術切除是其唯一根治方法。既往研究通常僅針對某一種類型的 FCD,綜合報道較少,且部分 FCD 病灶較局限、隱匿[2],常規核磁共振(MRI)漏診率較高。本研究采用 3D 高分辨 MRI,綜合分析所有類型 FCD 的 MRI 征象,以幫助臨床醫生在術前準確識別該疾病及評估病灶范圍,從而更為精準地制定手術方案及提高手術療效。
1 資料與方法
1.1 一般資料
收集山東大學齊魯兒童醫院 2015 年 4 月—2018 年 6 月間經病理證實為 FCD 的患兒 42 例,其中男 27 例,女 15 例;年齡 3 個月~9.5 歲,中位年齡 4.2 歲。診斷的金標準為 2011 年國際抗癲癇聯盟協會(ILAE)發布的病理學分類:單純型(Ⅰ、Ⅱ型)和結合型(Ⅲ型)[3]。本研究通過該醫院倫理委員會審核,患兒監護人知情同意并簽署知情同意書。
1.2 設備及參數
使用 3.0T Ingenia 超導型磁共振掃描儀(Philips),對于部分不能配合患兒,檢查前給予 5% 水合氯醛 0.4~0.5 mL/kg,口服,以助其進入深睡眠。高分辨 3D-T1W:最小 TR,最小 TE,TI 270 ms,翻轉角 10°,FOV 285 mm×285 mm,矩陣 265×265;高分辨 3D-T2 FLAIR 序列,TR 78.5 ms,TE 63.5 ms,TI 295 ms,翻轉角 10°,FOV 285 mm×285 mm,矩陣 265×265。其他常規序列:T1W,TE 12.5 ms,TR 750.0 ms,FOV 265 mm×265 mm,矩陣 245×245,層厚 5 mm,間隔 1 mm;T2W,TE 110 ms,最小 TR,FOV 265 mm×265 mm,矩陣 245×245,層厚 5 mm,間隔 1 mm;T2-FLAIR 序列,TE 150 ms,TR 12000 ms,FOV 265 mm×265 mm,矩陣 245×245,層厚 5 mm,間隔 1 mm;DWI,最小 TE,最小 TR,b 值取 0、800 mm2/s,FOV 198 mm×190 mm,矩陣 212×212,層厚 5 mm,間隔 1 mm。
1.3 圖像分析
由兩名具有 5 年以上工作經驗的影像科副主任及以上醫師閱片,經協商達成一致意見,對于不能達成一致者將予以剔除。主要觀察 MRI 征象為:① 局灶性灰白質分界模糊;② 皮質結構異常(增厚或變薄);③ T2WI/FLAIR 白質信號增高,伴或不伴 transmantle 征(皮層下白質內向腦室方向延伸的異常信號);④ T2WI/FLAIR 灰質信號增高;⑤ 異常腦溝或腦回形態及節段性和/或腦葉發育不全/萎縮。
2 結果
42 例經病理證實為 FCD 的患兒中,5 例 MRI 為陰性,均為Ⅰ型患兒。37 例(88.1%)呈陽性征象,見表 1。FCDⅠ型 13 例(35.1%),顳葉 6 例、額葉 4 例、頂葉 2 例,中央區 1 例,主要 MRI 特征:8 例表現為局灶性灰白質分界模糊及相應部位皮質結構異常(增厚或變薄);3 例除上述兩種征象外,還具有 T2WI/FLAIR 白質信號的增高;2 例為局限性腦體積縮小。FCDⅡ型 17 例(45.9%),額葉 9 例、頂葉 4 例、島葉 2 例,中央區 2 例,此型未發現顳葉發病,主要 MRI 征象較多且復雜:3 例表現為局灶性灰白質分界模糊及相應部位皮質結構異常(增厚或變薄);7 例除上述兩種征象外,還具有 T2WI/FLAIR 灰、白質信號增高;9 例發現局灶性異常信號從皮質延伸到側腦室:拖尾征(transmantle sign),且均為Ⅱb 型患兒,4 例為尖端指向腦室的錐形異常信號,3 例為寬窄不等帶狀異常信號,1 例為條狀異常信號灶,1 例為斷續顯示的異常信號;3 例僅表現為異常的腦溝及腦回形態(圖 1)。FCD Ⅲ型共 7 例(18.9%),為在Ⅰ型的基礎上伴發的其他病變,其中海馬萎縮 2 例、胚胎發育不良性神經上皮瘤(Dysembryoplastic Neuroepithelial tumor,DNET)2 例、節細胞瘤 1 例、2 例軟化灶并膠質增生(圖 2)。


a,b. T1WI,左側枕葉局灶性灰白質分界模糊及相應皮層增厚;c,d. T2WI-FLAIR,病變部位 T2WI/FLAIR 灰、白質信號增高,并可見從皮質延伸到側腦室的帶狀高信號灶(transmantle sign)
Figure1. The patient one male,8 years-old. 3D high resolution MRI,frequent seizures,postoperative pathological diagnosis confirmed FCD Ⅱb typea,b. T1WI,focal gray-white matter boundary blur on left occipital lobe and corresponding cortical thickening; c,d. T2WI-FLAIR,increased signals with T2WI/FLAIR in gray and white matter at the lesion site,a band of high-signal foci extending from the cortex to the lateral ventricle were found(transmantle sign)

a. T1WI,左側顳葉底部局灶性灰白質分界模糊及皮層增厚,鄰近可見囊狀低信號灶;b,c,d. T2WI-FLAIR,左顳葉 T2WI/FLAIR 灰、白質信號增高伴囊狀低信號灶
Figure2. The patient two male,2 years-old. 3D high resolution MRI,seizures,postoperative pathological diagnosis confirmed FCDⅢb type(typeⅠ+DNET)a. T1WI,focal gray matter boundary demarcation and thickening of the cortex at the bottom of the left temporal lobe,cystic low signal foci are seen nearby;b,c,d. T2WI-FLAIR,increased T2WI/FLAIR gray and white matter signals in the left temporal lobe with cystic hypointensity
3 討論
FCD 是由于胚胎期神經神經元及膠質細胞的分化、增殖、遷徙等過程發生異常所導致的局部大腦皮層的發育障礙,從而產生一系列病理變化[4],主要表現為癲癇、認知損害及局灶性神經功能損失。該疾病的 MRI 表現具有一定的特征性,但對于部分病灶隱匿、局限者,常規 MRI 檢查很難發現病灶,3D 高分辨 MRI 成像具有多方位、多參數及軟組織分辨率高等特點[5],使該病的檢出率大大提高。本組患兒中,僅 5 例 MRI 未發現明顯陽性征象,且均為 FCDⅠ型患兒。
本研究發現 13 例Ⅰ型 FCD 中,顳葉 6 例,占發病部位之首,這與既往相關文獻報道是一致的[6]。FCD 主要 MRI 表現為局灶性灰白質分界模糊及相應皮層的增厚或變薄,本研究中有 8 例患兒出現此征象,為本型的主要 MRI 特征。根據 ILAE 發布的病理診斷標準,FCDⅠ型為皮層的放射狀及切線方向的結構不良,但皮層的 6 層結構還是存在的,故影像學表現相對單一,本組中僅 3 例患兒 MRI 具有 T2WI/FLAIR 白質信號增高的表現,有相關文獻報道,灰白質分界模糊及皮質結構異常為Ⅰ型患兒的主要 MRI 表現[7],這與我們的研究結果是一致的。既往研究報道皮質結構異常均為增厚[1],我們的研究結果提示皮質結構異常部分患兒為增厚,另一部分為變薄,產生分歧的原因可能在于對病理學的認識及閱片者自身的理解差異有關系:神經元的分化、遷徙、增殖及成熟是從內向外進行的[8],在此過程中如果任何一個環節出現差錯,皮層發育將會出現停滯、畸形,大量神經元將會在位置較深的白質內滯留,此時相應的灰質結構好像深入了白質內,影像學上閱片者主觀判斷是皮層整體增厚;若少量神經元滯留在白質內,相應灰質的神經元減少,那么影像學則表現為變薄,出現增厚或變薄的主要區別在于神經元移行停滯的數量、時間及位置[9]。
本組 17 例 FCD Ⅱ型患兒中,額葉發病率最高,顳葉未見受累,這與相關文獻[10]報道Ⅱ型患兒不可能發生在顳葉是一致的。所有患兒均發現 MRI 陽性征象,此型患兒的主要病理為在 FCDⅠ 型的基礎上又并發異形神經元及氣球樣細胞,因此,FCDⅡ型 MRI 表現較多,且復雜,容易被識別,13 例患兒出現灰白質分界模糊及相應部位皮質結構異常,同時 7 例伴有 T2WI/FLAIR 灰白質信號的增高,上述 MRI 征象與 FCDⅠ型的發病機制基本是一致的,只是范圍更加廣泛。在此型中,我們發現 9 例患兒 transmantle 征,且病理學均為 FCDⅡb 型,這與既往文獻[11]報道是一致的,表現為皮層下白質內向腦室方向延伸的異常信號,這種帶狀異常信號的病理基礎是白質內的氣球樣細胞及畸形神經元[12],這種征象的出現具有特異性,可以幫助臨床在術前準確定性。本型中只有 3 例 MRI 征象表現輕微,術前的 MRI 報告為正常,術后回顧閱片時發現了輕微的腦溝及腦回形態異常。本組中 FCD Ⅲ型共 7 例,分別為在Ⅰ型的基礎上伴發海馬硬化,膠質瘤或神經節細胞瘤,血管畸形及出生后早期的獲得性損傷,此型診斷較困難,術后效果較差。
臨床上以下疾病需與 FCD 相鑒別:① 結節硬化癥,臨床為智力低下、癲癇、皮脂腺瘤三聯征,表現為室管膜下多發結節灶突入腦室內,呈細頸狀,表現為波浪狀或鋸齒狀改變,灰白質內異常信號灶[13],通常為多發,FCD 一般為單發局灶性病變,增強掃描部分未鈣化的結節可明顯強化;② 多發硬化,常見于女性,表現為腦室旁、胼胝體區及半卵圓中心的多發異常信號灶,以雙側額頂葉較為常見,其發病部位特征性,導致了側腦室旁病灶與側腦室壁垂直[14],FCD 屬于灰質病變,常單發;③ 神經元移行異常及髓質內脫髓鞘病變,如巨腦回等。
3D 高分辨 MRI 成像較常規序列大大提高了 FCD 病灶檢出率,其 MRI 征象也具有較高的特異性,可以幫助臨床在對其進行術前定性,在術前診斷及致癇灶評估中起著非常重要作用,對于部分 MRI 表現為陰性的 FCD 患兒,術前無法對其進行器質性病變的定位,導致術后效果較差,這部分患兒將是我們今后的研究重點。相關文獻報道,對于部分術前 MRI 表現為陰性的 FCD 患兒,術后回顧性閱片會發現術區腦溝的微小異常及局部腦回形態的欠規整,這也提示了我們術前仔細閱片及多人閱片的重要性[15]。
本研究的局限性在于樣本量較少。相信隨著功能 MRI 成像技術的不斷發展,FCD 病灶的識別率及定位將會更高及精準,從而為臨床制定手術方案提供更為準確的信息。