引用本文: 郝娜娜, 譚惠文, 王椿, 李建薇, 余葉蓉. 庫欣病合并肺栓塞一例并文獻復習. 中國呼吸與危重監護雜志, 2023, 22(8): 587-590. doi: 10.7507/1671-6205.202210004 復制
庫欣綜合征(Cushing syndrome,CS)是一種以高皮質醇血癥為特征的內分泌疾病,其病情復雜,可累及全身多個系統臟器功能[1]。近年來,CS與高凝狀態之間的關系引起了越來越多的關注,有證據表明,與普通人群相比,CS患者VTE的發生率升高了近18倍[2]。在本文中,我們報道了1例庫欣病(Cushing disease,CD)合并肺栓塞的患者,并結合文獻復習,對其發病機制、臨床評估及預防治療進行總結,旨在加強臨床醫師對該并發癥的認識,避免漏診、誤診。
1 臨床資料
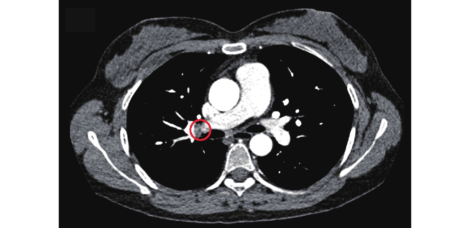
患者女,31歲,因“體重增加1年,顏面浮腫、痤瘡半年”于2022年4月6日入院。查體:身高 160.5 cm,體重 54 kg,腰圍 86 cm,體質指數20.9 kg/cm2,滿月臉,皮膚菲薄,面部痤瘡、多血質,雙上臂毳毛增多,腹部稍膨隆,無紫紋。入院后完善垂體–靶腺功能評估:24點皮質醇430 nmol/L,8-10點皮質醇518 nmol/L,促腎上腺皮質激素(adrenocorticotropic hormone,ACTH) 22.08 ng/L;2次24小時尿游離皮質醇分別為720.9、782.2 μg/24 h;1 mg過夜地塞米松抑制試驗:次晨ACTH 20.89 ng/L,8點皮質醇427 nmol/L;去氨加壓素興奮試驗:ACTH較基線升高4.31倍,皮質醇較基線升高1.56倍;8 mg地塞米松抑制試驗皮質醇被抑制81%;雙側巖下竇采血+去氨加壓素興奮試驗:巖下竇與外周血漿ACTH比值在基線狀態≥2、去氨加壓素刺激后≥3。游離甲狀腺素13.6 pmol/L,游離三碘甲腺原氨酸 3.36 pmol/L,促甲狀腺激素1.910 mU/L;黃體生成素 22.1 IU/L,卵泡刺激素5.6 IU/L,雌二醇339 pg/mL,孕酮0.23 ng/mL,睪酮0.281 ng/mL,泌乳素19.0 ng/mL;生長激素 4.9 ng/mL,類胰島素樣生長因子-1 132.29 ng/mL。雙下肢靜脈彩色多普勒超聲成像未見明顯異常。垂體增強核磁共振:垂體偏左側份見一等T1稍短T2信號微小結節影,大小約0.3 cm×0.3 cm,增強后似輕度強化,邊界清;垂體偏左側份可疑小結節。2022年4月22日在全麻下行內鏡下經鼻中顱底及鞍區占位切除術。術后病理診斷:垂體腺瘤(促腎上腺皮質激素腺瘤),免疫組織化學檢查:ACTH(+)、GH(–)、TSH(–)、PRL(–)、FSH(–)、LH(–)、Syn(+)、CK8/18(+)、PIT-1(–)、SF(–)、Ki67陽性率約4%,腫瘤網織纖維減少。術后復查下肢靜脈彩色多普勒超聲成像:右側股總靜脈及大隱靜脈反流,右下肢靜脈血流緩慢。止凝血全套:血漿凝血酶原時間(prothrombin time,PT) 10.2 s,活化的部分凝血活酶時間(activated partial thromboplastin time,APTT) 32.7 s,纖維蛋白原4.64 g/L,纖維蛋白及纖維蛋白原降解產物5.8 mg/L,D-二聚體2.12 mg/L。術后第6天(2022年4月28日)肺動脈CTA:右肺下葉基底段肺動脈分支見少許充盈缺損,多系肺栓塞(圖1)。血氣分析未見明顯異常。予依諾肝素鈉注射液(商品名克賽)0.4 mL 1次/d皮下注射等治療,復查止凝血全套:PT 10.8 s,APTT 25.4 s,纖維蛋白原4.06 g/L,纖維蛋白及纖維蛋白原降解產物<2.5 mg/L,D-二聚體0.60 mg/L,血常規未見明顯異常,病情平穩出院,出院后調整為利伐沙班10 mg/d口服抗凝治療(2個月余)。2022年7月18日復查肺動脈CTA未見明顯異常。隨訪1年,患者CD相關臨床表現緩解,血尿皮質醇、垂體增強核磁共振提示CD未復發,下肢靜脈彩色多普勒超聲成像、止凝血參數均未見異常。
圖1
肺動脈CTA檢查像
示右肺下葉基底段肺動脈分支充盈缺損(紅色圓框)。
2 文獻復習
CS是一種內分泌疾病,其中CD是CS中最常見的病因,約占患者總數的70%。據美國的一項流行病學調查顯示,CS發生率較前增加,低于65歲的人群CS年發病率接近49/1000000[3]。盡管CS罕見,但其病情復雜,長期高皮質醇血癥可導致高血壓、糖尿病、肥胖、骨質疏松、消化道潰瘍等,并且還可引發高凝狀態,導致靜脈血栓形成,甚至肺栓塞。不同年齡段的臨床特點有所不同,老年CS患者臨床表現更不典型[4]。考慮到該疾病臨床表現譜非常廣泛,發病率可能存在低估的情況。目前國內CS發病率尚不清楚。
CS患者存在高凝狀態,發生VTE的風險較普通人群明顯升高,然而,國內對于此方面的相關文獻相對較少。以“庫欣病、庫欣綜合征”與“肺栓塞、靜脈血栓栓塞癥”為關鍵詞檢索中國知網醫學數據庫、萬方醫學數據庫和維普網數據庫,共檢索到文獻3篇,1篇為短篇綜述,介紹了CS高凝狀態的病理生理機制[5];另外1篇為個案,報道了1例以肺栓塞入院的CS[6];孫旭等[7]則回顧性分析了20例CS伴圍手術期肺栓塞患者的臨床特點。
在Pubmed數據庫,以“cushing disease or cushing syndrome” and “pulmonary embolism or venous thromboembolism”為檢索詞,共檢索到111篇文獻,經文獻閱讀排除非CD或CS合并肺栓塞或靜脈血栓栓塞癥、外源性CS、動物實驗、解剖病理研究等文獻38篇。相關文獻共73篇,其中包含28篇個案報道,10篇綜述,35篇臨床論著。數據表明,未經治療的活動性CS患者與普通人群相比發生VTE的比值比為17.82[2]。確診后1年內VTE風險較前明顯增加(風險比 20.6),在長期隨訪過程中仍存在較高風險(風險比 1.6)[1]。盡管采取藥物等血栓預防措施,無癥狀的VTE在CS患者中仍不少見[8]。CS的高凝狀態尚不完全清楚,但認為是促凝機制和抗凝機制之間失衡所致[9]。在一部分CS患者中,APTT水平下降,凝血因子–5(FⅤ)、凝血因子-8(FⅧ)、凝血因子-9(FⅨ)、凝血因子-12(FⅫ)及血管性血友病因子(vWF)升高[10-12]。此外,CS患者凝血酶激活纖溶抑制物、纖溶酶原激活物抑制物-1和α2-纖溶酶抑制物水平下降,血栓溶解時間延遲[13]。研究顯示,CS患者在手術后止凝血參數異常仍持續異常,這可能部分解釋了前面提到的CS患者術后隨訪中仍存在較高VTE風險[14]。針對CS患者VTE風險評估模型的研究來自Zilio等[15]的一項回顧性分析,其對176例內源性CS患者數據多元回歸分析后提出了CS-VTE評分,以評分≥3分作為預測VTE的標準,敏感性85%,特異性95%,然而這一模型暫未在其他研究中得到驗證。目前關于CS患者血栓預防策略的文獻很少,三項回顧性研究對經蝶鞍手術和/或腎上腺切除術后 CS 患者抗凝預防血栓形成進行了評估,結果表明術后血栓預防可以減少VTE發生,但這些研究的入選患者人數較少且異質性大[16-18]。Huckhagel等[8]的數據顯示圍手術期予以CD患者40 mg/d依諾肝素皮下注射,仍有6.7%的患者出現VTE,但該研究樣本量少,嚴重限制了患有和未患有血栓事件的患者之間的統計比較,并阻礙了對VTE潛在預測因素的發現。目前最佳的術后預防時間也沒有達成共識,多數主張抗凝治療維持至出院后大約1個月[19]。也有學者認為術后30~60 d血栓風險較高,建議繼續預防至術后60 d,特別是在雙側腎上腺切除術后[20]。而近期數據表明,高皮質血癥高凝狀態可持續到術后6個月[21],是否繼續延長術后抗凝時間仍需進一步探索。
綜合文獻分析,VTE作為CS患者的一種嚴重并發癥,尚未引起國內醫師足夠重視。國外研究針對其發病機制及診治方案進行了進一步的探索,但多數為回顧性研究,其風險評估、抗凝持續時間和方案仍有待前瞻性研究來確定。
3 討論
CD是最常見的一種CS類型,多為ACTH細胞腺瘤,大部分患者在切除腺瘤后治愈。本例年輕女性患者,通過功能及定位檢查,明確診斷為CD。該患者除高皮質醇血癥外無吸煙、肥胖、高血糖、高血脂、心力衰竭、呼吸衰竭等VTE危險因素,鞍區術后第6天發生肺栓塞,先后予以低分子肝素、利伐沙班抗凝治療好轉。
這一病例引起了我們對于CS與VTE之間潛在關聯的思考。雖然本例中患者缺乏常見的VTE危險因素,但CS患者的血液存在高凝狀態[9],加之手術、麻醉以及術后臥床,CS患者發生血栓的風險顯著升高。在一項納入473例CS的隊列研究中(其中CD 360例),VTE 1000人年發病率為14.6,多表現為下肢深靜脈血栓形成(deep venous thrombosis,DVT)(12例)、肺血栓血栓癥(pulmonary thromboembolism,PTE)(15例),或同時存在下肢DVT和PTE(6例),但VTE也可發生在腸系膜靜脈、頸靜脈等不常見的解剖位置[22]。同時,數據表明,接受垂體手術的ACTH依賴性CS患者其術后VTE發生率明顯高于經蝶竇手術治療的無功能垂體腺瘤患者[20]。與因其他原因而行腎上腺切除術的患者相比,CS患者的腎上腺切除術顯著增加了VTE的風險[19, 23]。其強調了CS術后VTE的高風險是由皮質醇介導的假設。因此,對于CS患者不論是否合并多種VTE風險因素,術前及術后預防和監測VTE并發癥非常重要。
鑒于CS患者發生VTE風險較高,且多項研究表明,CS患者高凝狀態是促凝機制和抗凝機制之間失衡所致。因此該患者術前及術后均監測了止凝血參數及雙下肢靜脈彩色多普勒超聲成像。該患者術前PT、APTT、D-二聚體未見異常。下肢血管彩色多普勒超聲成像提示未合并下肢深靜脈血栓。患者術后6天發生肺栓塞,復查下肢血管彩色多普勒超聲成像示右側股總靜脈及大隱靜脈反流,右下肢靜脈血流緩慢,復查D-二聚體升高,提示手術、臥床等因素加重CD患者血液高凝狀態。對比文獻該個案未見APTT下降,可能存在個體差異原因。D-二聚體升高符合庫CS患者靜脈血栓形成的變化,但并未達到Fukuoka等[24]提出的CS患者合并DVT的切點值2.6 μg/mL。根據Zilio等臨床風險評估模型屬于VTE中度風險。但目前對于CS患者VTE風險的評估不論D-二聚體還是CS-VTE風險模型,均需前瞻性研究進一步驗證。
CS患者的血栓預防管理在臨床實踐中存在很大差異。van Haalen等[25]在2022年繪制了歐洲CS患者血栓管理實踐圖,大多數中心對患者進行了血栓藥物預防,但只有一個中心制定了血栓標準化預防方案,血栓預防均選擇低分子肝素,大多數中心血栓預防的指征、起始時間、終止時間均個體化而非統一標準。既往有VTE病史、嚴重高皮質醇血癥、活動能力受限是起始血栓預防的三大因素[25]。國內目前尚無CS患者血栓預防抗凝相關研究。本例患者在診治過程中我們予以VTE基本預防如避免脫水,加強教育,早期下床活動等。患者術后第6天發生肺栓塞,綜合我院呼吸內科和神經外科會診意見予以依諾肝素鈉注射液0.4 mL 1次/d,出院后予以利伐沙班10 mg/d口服抗凝治療,術后3個月復查肺動脈CTA未見異常。因該患者血流動力學穩定,肺動脈CTA示亞段肺栓塞,且考慮到高皮質醇血癥與出血傾向相關,該患者抗凝藥物每日劑量低于2018年肺血栓栓塞癥診治及預防指南推薦劑量[26]。目前有許多出血風險評估評分用于評估抗凝治療的風險與益處,但所有這些評分都是針對房顫患者進行驗證的,而沒有用于其他目的,比如活動性內源性高皮質醇血癥患者。
綜上所述,CS患者的VTE風險顯著增加。鑒于VTE的高致殘率及死亡率,臨床醫師在診療過程中嚴密觀察患者癥狀體征、監測止凝血等指標,及早進行VTE風險評估及預防抗凝是有必要的。然而,目前CS患者合并VTE風險的評估、預防或治療的方案并未達成共識,因此需進一步的經驗積累和深入研究。
利益沖突:本研究不涉及任何利益沖突。
庫欣綜合征(Cushing syndrome,CS)是一種以高皮質醇血癥為特征的內分泌疾病,其病情復雜,可累及全身多個系統臟器功能[1]。近年來,CS與高凝狀態之間的關系引起了越來越多的關注,有證據表明,與普通人群相比,CS患者VTE的發生率升高了近18倍[2]。在本文中,我們報道了1例庫欣病(Cushing disease,CD)合并肺栓塞的患者,并結合文獻復習,對其發病機制、臨床評估及預防治療進行總結,旨在加強臨床醫師對該并發癥的認識,避免漏診、誤診。
1 臨床資料
患者女,31歲,因“體重增加1年,顏面浮腫、痤瘡半年”于2022年4月6日入院。查體:身高 160.5 cm,體重 54 kg,腰圍 86 cm,體質指數20.9 kg/cm2,滿月臉,皮膚菲薄,面部痤瘡、多血質,雙上臂毳毛增多,腹部稍膨隆,無紫紋。入院后完善垂體–靶腺功能評估:24點皮質醇430 nmol/L,8-10點皮質醇518 nmol/L,促腎上腺皮質激素(adrenocorticotropic hormone,ACTH) 22.08 ng/L;2次24小時尿游離皮質醇分別為720.9、782.2 μg/24 h;1 mg過夜地塞米松抑制試驗:次晨ACTH 20.89 ng/L,8點皮質醇427 nmol/L;去氨加壓素興奮試驗:ACTH較基線升高4.31倍,皮質醇較基線升高1.56倍;8 mg地塞米松抑制試驗皮質醇被抑制81%;雙側巖下竇采血+去氨加壓素興奮試驗:巖下竇與外周血漿ACTH比值在基線狀態≥2、去氨加壓素刺激后≥3。游離甲狀腺素13.6 pmol/L,游離三碘甲腺原氨酸 3.36 pmol/L,促甲狀腺激素1.910 mU/L;黃體生成素 22.1 IU/L,卵泡刺激素5.6 IU/L,雌二醇339 pg/mL,孕酮0.23 ng/mL,睪酮0.281 ng/mL,泌乳素19.0 ng/mL;生長激素 4.9 ng/mL,類胰島素樣生長因子-1 132.29 ng/mL。雙下肢靜脈彩色多普勒超聲成像未見明顯異常。垂體增強核磁共振:垂體偏左側份見一等T1稍短T2信號微小結節影,大小約0.3 cm×0.3 cm,增強后似輕度強化,邊界清;垂體偏左側份可疑小結節。2022年4月22日在全麻下行內鏡下經鼻中顱底及鞍區占位切除術。術后病理診斷:垂體腺瘤(促腎上腺皮質激素腺瘤),免疫組織化學檢查:ACTH(+)、GH(–)、TSH(–)、PRL(–)、FSH(–)、LH(–)、Syn(+)、CK8/18(+)、PIT-1(–)、SF(–)、Ki67陽性率約4%,腫瘤網織纖維減少。術后復查下肢靜脈彩色多普勒超聲成像:右側股總靜脈及大隱靜脈反流,右下肢靜脈血流緩慢。止凝血全套:血漿凝血酶原時間(prothrombin time,PT) 10.2 s,活化的部分凝血活酶時間(activated partial thromboplastin time,APTT) 32.7 s,纖維蛋白原4.64 g/L,纖維蛋白及纖維蛋白原降解產物5.8 mg/L,D-二聚體2.12 mg/L。術后第6天(2022年4月28日)肺動脈CTA:右肺下葉基底段肺動脈分支見少許充盈缺損,多系肺栓塞(圖1)。血氣分析未見明顯異常。予依諾肝素鈉注射液(商品名克賽)0.4 mL 1次/d皮下注射等治療,復查止凝血全套:PT 10.8 s,APTT 25.4 s,纖維蛋白原4.06 g/L,纖維蛋白及纖維蛋白原降解產物<2.5 mg/L,D-二聚體0.60 mg/L,血常規未見明顯異常,病情平穩出院,出院后調整為利伐沙班10 mg/d口服抗凝治療(2個月余)。2022年7月18日復查肺動脈CTA未見明顯異常。隨訪1年,患者CD相關臨床表現緩解,血尿皮質醇、垂體增強核磁共振提示CD未復發,下肢靜脈彩色多普勒超聲成像、止凝血參數均未見異常。
圖1
肺動脈CTA檢查像
示右肺下葉基底段肺動脈分支充盈缺損(紅色圓框)。
2 文獻復習
CS是一種內分泌疾病,其中CD是CS中最常見的病因,約占患者總數的70%。據美國的一項流行病學調查顯示,CS發生率較前增加,低于65歲的人群CS年發病率接近49/1000000[3]。盡管CS罕見,但其病情復雜,長期高皮質醇血癥可導致高血壓、糖尿病、肥胖、骨質疏松、消化道潰瘍等,并且還可引發高凝狀態,導致靜脈血栓形成,甚至肺栓塞。不同年齡段的臨床特點有所不同,老年CS患者臨床表現更不典型[4]。考慮到該疾病臨床表現譜非常廣泛,發病率可能存在低估的情況。目前國內CS發病率尚不清楚。
CS患者存在高凝狀態,發生VTE的風險較普通人群明顯升高,然而,國內對于此方面的相關文獻相對較少。以“庫欣病、庫欣綜合征”與“肺栓塞、靜脈血栓栓塞癥”為關鍵詞檢索中國知網醫學數據庫、萬方醫學數據庫和維普網數據庫,共檢索到文獻3篇,1篇為短篇綜述,介紹了CS高凝狀態的病理生理機制[5];另外1篇為個案,報道了1例以肺栓塞入院的CS[6];孫旭等[7]則回顧性分析了20例CS伴圍手術期肺栓塞患者的臨床特點。
在Pubmed數據庫,以“cushing disease or cushing syndrome” and “pulmonary embolism or venous thromboembolism”為檢索詞,共檢索到111篇文獻,經文獻閱讀排除非CD或CS合并肺栓塞或靜脈血栓栓塞癥、外源性CS、動物實驗、解剖病理研究等文獻38篇。相關文獻共73篇,其中包含28篇個案報道,10篇綜述,35篇臨床論著。數據表明,未經治療的活動性CS患者與普通人群相比發生VTE的比值比為17.82[2]。確診后1年內VTE風險較前明顯增加(風險比 20.6),在長期隨訪過程中仍存在較高風險(風險比 1.6)[1]。盡管采取藥物等血栓預防措施,無癥狀的VTE在CS患者中仍不少見[8]。CS的高凝狀態尚不完全清楚,但認為是促凝機制和抗凝機制之間失衡所致[9]。在一部分CS患者中,APTT水平下降,凝血因子–5(FⅤ)、凝血因子-8(FⅧ)、凝血因子-9(FⅨ)、凝血因子-12(FⅫ)及血管性血友病因子(vWF)升高[10-12]。此外,CS患者凝血酶激活纖溶抑制物、纖溶酶原激活物抑制物-1和α2-纖溶酶抑制物水平下降,血栓溶解時間延遲[13]。研究顯示,CS患者在手術后止凝血參數異常仍持續異常,這可能部分解釋了前面提到的CS患者術后隨訪中仍存在較高VTE風險[14]。針對CS患者VTE風險評估模型的研究來自Zilio等[15]的一項回顧性分析,其對176例內源性CS患者數據多元回歸分析后提出了CS-VTE評分,以評分≥3分作為預測VTE的標準,敏感性85%,特異性95%,然而這一模型暫未在其他研究中得到驗證。目前關于CS患者血栓預防策略的文獻很少,三項回顧性研究對經蝶鞍手術和/或腎上腺切除術后 CS 患者抗凝預防血栓形成進行了評估,結果表明術后血栓預防可以減少VTE發生,但這些研究的入選患者人數較少且異質性大[16-18]。Huckhagel等[8]的數據顯示圍手術期予以CD患者40 mg/d依諾肝素皮下注射,仍有6.7%的患者出現VTE,但該研究樣本量少,嚴重限制了患有和未患有血栓事件的患者之間的統計比較,并阻礙了對VTE潛在預測因素的發現。目前最佳的術后預防時間也沒有達成共識,多數主張抗凝治療維持至出院后大約1個月[19]。也有學者認為術后30~60 d血栓風險較高,建議繼續預防至術后60 d,特別是在雙側腎上腺切除術后[20]。而近期數據表明,高皮質血癥高凝狀態可持續到術后6個月[21],是否繼續延長術后抗凝時間仍需進一步探索。
綜合文獻分析,VTE作為CS患者的一種嚴重并發癥,尚未引起國內醫師足夠重視。國外研究針對其發病機制及診治方案進行了進一步的探索,但多數為回顧性研究,其風險評估、抗凝持續時間和方案仍有待前瞻性研究來確定。
3 討論
CD是最常見的一種CS類型,多為ACTH細胞腺瘤,大部分患者在切除腺瘤后治愈。本例年輕女性患者,通過功能及定位檢查,明確診斷為CD。該患者除高皮質醇血癥外無吸煙、肥胖、高血糖、高血脂、心力衰竭、呼吸衰竭等VTE危險因素,鞍區術后第6天發生肺栓塞,先后予以低分子肝素、利伐沙班抗凝治療好轉。
這一病例引起了我們對于CS與VTE之間潛在關聯的思考。雖然本例中患者缺乏常見的VTE危險因素,但CS患者的血液存在高凝狀態[9],加之手術、麻醉以及術后臥床,CS患者發生血栓的風險顯著升高。在一項納入473例CS的隊列研究中(其中CD 360例),VTE 1000人年發病率為14.6,多表現為下肢深靜脈血栓形成(deep venous thrombosis,DVT)(12例)、肺血栓血栓癥(pulmonary thromboembolism,PTE)(15例),或同時存在下肢DVT和PTE(6例),但VTE也可發生在腸系膜靜脈、頸靜脈等不常見的解剖位置[22]。同時,數據表明,接受垂體手術的ACTH依賴性CS患者其術后VTE發生率明顯高于經蝶竇手術治療的無功能垂體腺瘤患者[20]。與因其他原因而行腎上腺切除術的患者相比,CS患者的腎上腺切除術顯著增加了VTE的風險[19, 23]。其強調了CS術后VTE的高風險是由皮質醇介導的假設。因此,對于CS患者不論是否合并多種VTE風險因素,術前及術后預防和監測VTE并發癥非常重要。
鑒于CS患者發生VTE風險較高,且多項研究表明,CS患者高凝狀態是促凝機制和抗凝機制之間失衡所致。因此該患者術前及術后均監測了止凝血參數及雙下肢靜脈彩色多普勒超聲成像。該患者術前PT、APTT、D-二聚體未見異常。下肢血管彩色多普勒超聲成像提示未合并下肢深靜脈血栓。患者術后6天發生肺栓塞,復查下肢血管彩色多普勒超聲成像示右側股總靜脈及大隱靜脈反流,右下肢靜脈血流緩慢,復查D-二聚體升高,提示手術、臥床等因素加重CD患者血液高凝狀態。對比文獻該個案未見APTT下降,可能存在個體差異原因。D-二聚體升高符合庫CS患者靜脈血栓形成的變化,但并未達到Fukuoka等[24]提出的CS患者合并DVT的切點值2.6 μg/mL。根據Zilio等臨床風險評估模型屬于VTE中度風險。但目前對于CS患者VTE風險的評估不論D-二聚體還是CS-VTE風險模型,均需前瞻性研究進一步驗證。
CS患者的血栓預防管理在臨床實踐中存在很大差異。van Haalen等[25]在2022年繪制了歐洲CS患者血栓管理實踐圖,大多數中心對患者進行了血栓藥物預防,但只有一個中心制定了血栓標準化預防方案,血栓預防均選擇低分子肝素,大多數中心血栓預防的指征、起始時間、終止時間均個體化而非統一標準。既往有VTE病史、嚴重高皮質醇血癥、活動能力受限是起始血栓預防的三大因素[25]。國內目前尚無CS患者血栓預防抗凝相關研究。本例患者在診治過程中我們予以VTE基本預防如避免脫水,加強教育,早期下床活動等。患者術后第6天發生肺栓塞,綜合我院呼吸內科和神經外科會診意見予以依諾肝素鈉注射液0.4 mL 1次/d,出院后予以利伐沙班10 mg/d口服抗凝治療,術后3個月復查肺動脈CTA未見異常。因該患者血流動力學穩定,肺動脈CTA示亞段肺栓塞,且考慮到高皮質醇血癥與出血傾向相關,該患者抗凝藥物每日劑量低于2018年肺血栓栓塞癥診治及預防指南推薦劑量[26]。目前有許多出血風險評估評分用于評估抗凝治療的風險與益處,但所有這些評分都是針對房顫患者進行驗證的,而沒有用于其他目的,比如活動性內源性高皮質醇血癥患者。
綜上所述,CS患者的VTE風險顯著增加。鑒于VTE的高致殘率及死亡率,臨床醫師在診療過程中嚴密觀察患者癥狀體征、監測止凝血等指標,及早進行VTE風險評估及預防抗凝是有必要的。然而,目前CS患者合并VTE風險的評估、預防或治療的方案并未達成共識,因此需進一步的經驗積累和深入研究。
利益沖突:本研究不涉及任何利益沖突。

