引用本文: 史靜宇, 朱輝, 楊賽, 劉念, 羅鳳鳴. 經支氣管鏡治療聲門下氣管血管球瘤一例. 中國呼吸與危重監護雜志, 2021, 20(2): 136-139. doi: 10.7507/1671-6205.201908080 復制
血管球瘤(glomus tumor)是一種少見的軟組織腫瘤,是由位于真皮網狀層微動靜脈吻合管(suequet-hoyer 管)周圍的與平滑肌類似的細胞組成的間葉性腫瘤[1]。血管球瘤在 1924 年由 Masson[2]首次報道,其瘤體屬于一種特殊的平滑肌細胞,與體溫調節有關[3]。血管球瘤占 500 種軟組織腫瘤的 1.6%,絕大多數為良性腫瘤,惡變者極為罕見[4]。血管球瘤的病因尚不明確,血管球瘤與吸煙也無明確因果關系[5];有人將血管球瘤歸因于創傷、內分泌失調或常染色體顯性突變[6-7]。血管球瘤在任何年齡均可發病,可發生于身體各部位,以四肢末梢多見,尤以指、趾甲下最常見,而發生于氣管的血管球瘤極其罕見[8]。現將 1 例經支氣管鏡治療的聲門下氣管血管球瘤報道如下。
臨床資料 患者男性,30 歲,因“無明顯誘因咳嗽、咳痰 1 個月余”于 2015 年 2 月 9 日入院。患病期間患者先后感冒 2 次,自覺咳嗽、咳痰癥狀加重,伴鼻塞、流涕、氣促,無發熱,自行服用感冒藥后癥狀好轉,但仍有咳嗽、偶咳痰,痰液多為暗紅色,偶鮮紅。于當地醫院就診行纖維支氣管鏡檢,查示氣管上段新生物。門診以“氣管腫瘤”收入院。
查體:體溫 36.8 ℃,心率 92 次/min,呼吸 20 次/min,血壓 123/77 mm Hg(1 mm Hg=0.133 kPa)。胸廓未見異常,雙肺叩診為清音,聽診呼吸音清,未聞及干濕啰音。全身淺表淋巴結未捫及腫大,頸靜脈正常。頸部及胸部增強 CT:C7~T1 平面氣管后壁見直徑大小約 1.7 cm 的類圓形軟組織密度結節影突入腔內,明顯均勻強化(圖 1)。2 月 11 日行支氣管鏡檢,查見氣管上段后壁(膜部)乳突樣新生物阻塞致管腔新月形狹窄(圖 2a),觸之易出血,外徑 6 mm 可彎曲支氣管鏡可擠越通過,氣管中下段及雙側支氣管未見異常。支氣管鏡下予高頻圈套(40 W)電切切除大部分新生物組織(圖 2b)送病理學檢查(圈套下組織大小約 1.8 cm×2.0 cm×1.5 cm),基底部殘留小部分新生物組織,管腔通暢。整個術中出血約 5 mL,圈切下來后新生物基底部有小股噴泉樣血流,局部予以氬氣刀(APC)電凝后止血。術后病理(圖 3)報告:氣管上段腫瘤;免疫組織化學:瘤細胞平滑肌肌動蛋白(SMA)(彌漫+)、肌特異性肌動蛋白(MSA)(彌漫+)、結蛋白(desmin)(–)、廣譜角蛋白(PCK)(–)、上皮細胞膜抗原(EMA)(–)、CAM5.2(–)、CK18(–)、神經元特異性烯醇化酶 (NSE)(–)、CD56(–)、突觸素( Syn)(–)、嗜鉻粒蛋白A(CgA)(–)、Ki67 指數<5%。結合形態學和免疫表型結果,考慮診斷為血管球瘤。
圖1
2015 年 2 月 6 日頸部及胸部增強 CT 檢查像
聲門下氣管后壁軟組織影,明顯強化均勻
圖2
支氣管鏡檢查像
a. 2015 年 2 月 2 日。新生物基底部位于氣管膜部,阻塞管腔約 90%。b. 2015 年 2 月 11 日。行第 1 次熱治療,應用高頻電刀圈切新生物。c. 2015 年 2 月 13 日。第 1 次熱治療后 2 d 復查,見基底部殘余組織及表面少許壞死物;d. 2015 年 2 月 13 日。對新生物基底部殘余組織行第 2 次熱治療,應用 APC、圈切、電凝后,氣管表面見少許焦痂,管腔通暢度基本正常。e. 2015 年 2 月 16 日。第 2 次熱治療后 3 d 復查,見基底部少許炎性壞死物。f. 2015 年 2 月 26 日。第 2 次熱治療后 13 d 復查,見基底部少許肉芽及壞死物。g. 2015 年 5 月 22 日。治療 3 個月后復查,見氣管上段后壁黏膜瘢痕化伴肉芽小結節,管腔大小基本正常。
圖3
氣管血管球瘤經支氣管鏡下切除術后病理像(×400)
a. 蘇木精–伊紅染色可見腫瘤細胞圓形為主,大小較均勻,且圍繞血管分布;b. 免疫組織化學 SMA 標記陽性。
患者拒絕外科手術治療。2 d 后復查支氣管鏡見氣管上段后壁(基底部)殘余部分新生物組織,表面少量炎性壞死物(圖 2c),支氣管鏡下再次行活檢鉗鉗夾、APC、高頻圈套電切清除殘余新生物、高頻電凝治療,氣管管腔通暢(圖 2d);術中出血約 20 mL。間隔 3 d 后復查支氣管鏡見氣管上段后壁(原新生物基底部)表面少量炎性壞死物(圖 2e),予以活檢鉗夾清除壞死物;10 d 后復查支氣管鏡,見基底部少許肉芽增生伴表面少量炎性壞死物(圖 2f),鏡下再次活檢鉗夾清除部分壞死物;3 個月后復查支氣管鏡見氣管上段后壁黏膜瘢痕樣改變伴局部肉芽樣小結節(圖 2g),鏡下活檢鉗夾清除;半年后復查支氣管鏡見氣管上段后壁黏膜瘢痕樣改變,色澤蒼白,表面光滑,管腔大小基本正常。在多次的支氣管鏡下治療過程中,患者僅在第 1 次圈切術后 1 周內出現咽喉部一過性疼痛及咯血,術后 10 d 未再咯血及出現其他不適。隨訪至 2018 年 3 月 30 日,氣管上段后壁黏膜光滑,局部瘢痕樣改變,未見腫瘤復發跡象。
討論 氣管血管球瘤大多數是發生在氣管后壁的無痛性腫塊,臨床多表現為胸悶、咯血,常常誤認為是慢性支氣管炎及支氣管哮喘等慢性疾病,往往以慢性炎癥性疾病收入呼吸科,后轉入心胸外科接受手術治療[9]。也有一些患者無癥狀,于體檢時發現[10]。結合國內外文獻報道,氣管血管球瘤大多發生于成年人,男性多于女性[10-11],其發病部位從氣管上段、氣管中段、下段及隆突水平均有報道,且以氣管下段三分之一為多見[10, 12-13],但都以氣管膜部為主,主要原因為氣管下段黏液腺和血管比氣管中上段豐富[13-14]。本例患者的病變部位為聲門下氣管膜部(矢狀位于 C7~T1 水平),與其他大多數病例報道的氣管血管球瘤的好發部位略有不同,目前僅與孫榮慶等[15]報道的 1 例聲門下氣管血管球瘤發病部位相似。
血管球瘤以良性為多,極少有惡性報道。且 90% 的血管球瘤以單發為主[1]。大多數已報告的氣管血管球瘤均良性,只有 5% 有惡性組織學表現[16]。大多數患者(64.29%)確診時該疾病已有超過 1 個月,并且文獻報道的最長疾病持續時間是 10 年,表明該類型的腫瘤生長緩慢[10]。因為影像學缺乏特異性,氣管血管球瘤的臨床診斷以病理學為主,其病理表現與其他部位無異。其病理學特點為:腫瘤主要由成片的、大小相對一致的、境界清楚的圓形或卵圓形細胞圍繞大小不等的血管構成,胞質少到中等,嗜酸性或者少透亮,胞核圓且規則,核仁不明顯,一般沒有異形或核分裂現象[11]。其獨特的鏡下表現,再結合免疫組織化學 SMA、波形蛋白陽性則可以診斷,且與其他腫瘤相鑒別。
治療方面,為了避免局部復發,氣管切除術被廣泛使用并且預后良好[17],而氣管袖狀切除術是目前認為最佳的治療方案,經氣管袖狀切除術治療氣管血管球瘤的病例均無腫瘤復發報道[18]。對于病變范圍較大的患者,Wu 等[19]建議采用螺旋氣管成形術進行縱向切除,該方法可以顯著減輕氣管組織損傷。需要注意的是,氣管血管球瘤作為罕見部位腫瘤,在圍手術期治療并發癥和伴隨疾病對于提高生存率至關重要[17]。一方面是之前有病例報道提示血管球瘤術后死亡的原因不是腫瘤復發或遠處轉移,而是并發癥[20];另一方面,對于氣管血管球瘤嚴重阻塞氣道導致明顯通氣障礙的患者,需要立即恢復氣道通暢的緊急情況下,支氣管鏡介入治療無疑是首選治療[21]。此外,Sakr 等[21]認為支氣管鏡在血管球瘤中的適應證包括:病變嚴格限制在氣道內腔中,且沒有延伸到氣道壁中;組織學證實腫瘤是良性的;或患者不適合或不愿接受手術切除。氣管血管球瘤常用的內鏡下治療技術包括激光切除、高頻電凝和 APC、硬鏡旋切以及支架植入。
2017 年,Venegas 等[13]對 1950 至 2016 年報道的 40 例氣管血管球瘤進行了統計,僅 2 例表現為惡性組織;外科開胸手術的有 27 例(67.5%),經內鏡治療的有 12 例,1 例拒絕任何治療。分析指出,內鏡治療在排除惡性可能的患者中較為合適,因為兩種方法之間的生存率相似(外科切除組中位生存期為 18.0 個月,內鏡組為 18.5 個月;P=0.94),但由于缺乏長期隨訪數據,故不能得出明確結論。另外需要注意的是,在時間上,2008 年以前僅 2 例,2008 年以后內鏡治療高達 10 例。這很可能與內鏡技術發展更加成熟相關。
目前國內文獻所報道氣管或主支氣管血管球瘤以胸外科手術完全切除為多,通過內鏡治療切除氣管或主支氣管血管球瘤的病例較少。對國內報道的采用內鏡治療氣管或主支氣管血管球瘤的 6 篇文獻[4, 12, 22-25]中的 8 個病例進行整理發現:首次治療時僅 1 例采用高頻電刀灼燒,其余 7 例均采用高頻圈套對新生物進行圈切,且其中 3 例輔以高頻電凝或 APC 及藥物(腎上腺素、血凝酶)止血。后續治療方法則是根據首次治療后的情況,選擇高頻電凝或 APC、冷凍、機械清除或局部放療。除宋艷紅等[4]報道的 1 例病理性質為惡性潛能不確定外,其余 7 例病理診斷均為良性,可能這也與這些病例經內鏡治療后隨訪(3 個月至 6 年)未見復發明顯相關。
本例患者于支氣管鏡下行高頻圈套圈切大部分瘤體組織后,基底部 APC 電凝治療止血,之后數次將基底部治療所致的壞死物及殘留的瘤體組織清理干凈,基本上達到了治愈的效果。結合國內報道的 8 例患者在采用內鏡技術(高頻電凝、圈套、APC、冷凍)治療時及治療后均沒有發生大出血等嚴重并發癥,表明呼吸內鏡技術在氣管血管球瘤的治療中一定程度上是安全的。
采用呼吸內鏡技術(如高頻圈套電切、激光、APC 等)獲取較大病理標本,在明確氣管血管球瘤的病理診斷后可進一步選取其他治療方案,例如可選擇外科手術完全切除,或聯合局部放療,也可繼續鏡下治療盡量清除腫瘤組織。治療方案主要是根據腫瘤的良、惡性程度來決定。少數氣管血管球瘤具有侵襲性的生物學特征,包括局部復發、浸潤及轉移,被視為非典型血管球瘤或惡性血管球瘤[26],則優先考慮外科手術完全切除。國內文獻[12, 22, 24-25]報道的 5 例患者病理診斷為良性的血管球瘤,通過呼吸內鏡技術治療(其中 2 例結合局部放療)后,并且隨訪 3 個月到 2 年無復發,一定程度上說明呼吸內鏡技術對氣管、主支氣管血管球瘤的治療效果較好。所以對于病理診斷腫瘤為良性,或者不適合或不愿意行外科手術治療的患者來說,支氣管鏡下治療切除血管球瘤,是一種可行的、微創的治療方法。但是支氣管鏡下治療也存在一定的局限性,包括鏡下無法判斷管壁浸潤的深度及范圍,治療的長期有效性還需要進一步驗證。
由于氣管血管球瘤血運豐富,應避免使用活檢鉗進行支氣管鏡活檢[10];若采用鏡下治療,應首選熱消融[4, 12, 22]。但是,對于采用呼吸內鏡技術在氣管血管球瘤的治療過程中的具體細節,相關文獻并未提及。由于 Nd∶YAG 激光可產生巨大的熱沉積效應,且激光的吸收受組織表面顏色的影響,深色組織具有更大的吸收率,因此激光治療的深度是不可預測的,并且存在組織穿孔的風險;而高頻電凝和 APC 主要作用于接觸部位或組織表面,燒灼的深度可控制,可能較激光并發癥率低。總結本例患者的經驗,我們發現在圈切的過程中可以選擇凝切結合的技巧以減少出血。在該病例治療的過程中,一方面需要盡可能完全把瘤體組織清理干凈,另一方面要注意防止清理過度而導致氣管瘺的發生,我們通過分多次鏡下治療而達到最佳的效果。但是將大部分新生物圈切下來后,對殘余新生物的處理時機和頻率(比如以盡量少的治療次數,達到清理干凈、降低復發、盡量恢復正常管腔大小的效果)有待進一步的探討。因為該病例患者病變位置高(瘤體組織位于聲門下約 1 cm 處),且新生物阻塞致氣管上段管腔新月形狹窄,考慮到全身麻醉下治療可能會更容易導致通氣障礙,故采取的是相對安全的局部麻醉。當然,有條件也可以行硬質支氣管鏡下切除,一旦發生并發癥,可采取有效的措施;或者也可以在氣管切開后、保障通氣的情況下,行腫瘤的切除,但是術后可能會存在氣道狹窄的風險。此外,血管球瘤的血供相對豐富,術前一定要做增強 CT,明確瘤體組織的血供情況,做好大出血的應急預案。雖然有報道血管球瘤切除術前可結合血管栓塞防止出血并發癥[10],但是其必要性有待驗證。
利益沖突:本研究不涉及任何利益沖突。
血管球瘤(glomus tumor)是一種少見的軟組織腫瘤,是由位于真皮網狀層微動靜脈吻合管(suequet-hoyer 管)周圍的與平滑肌類似的細胞組成的間葉性腫瘤[1]。血管球瘤在 1924 年由 Masson[2]首次報道,其瘤體屬于一種特殊的平滑肌細胞,與體溫調節有關[3]。血管球瘤占 500 種軟組織腫瘤的 1.6%,絕大多數為良性腫瘤,惡變者極為罕見[4]。血管球瘤的病因尚不明確,血管球瘤與吸煙也無明確因果關系[5];有人將血管球瘤歸因于創傷、內分泌失調或常染色體顯性突變[6-7]。血管球瘤在任何年齡均可發病,可發生于身體各部位,以四肢末梢多見,尤以指、趾甲下最常見,而發生于氣管的血管球瘤極其罕見[8]。現將 1 例經支氣管鏡治療的聲門下氣管血管球瘤報道如下。
臨床資料 患者男性,30 歲,因“無明顯誘因咳嗽、咳痰 1 個月余”于 2015 年 2 月 9 日入院。患病期間患者先后感冒 2 次,自覺咳嗽、咳痰癥狀加重,伴鼻塞、流涕、氣促,無發熱,自行服用感冒藥后癥狀好轉,但仍有咳嗽、偶咳痰,痰液多為暗紅色,偶鮮紅。于當地醫院就診行纖維支氣管鏡檢,查示氣管上段新生物。門診以“氣管腫瘤”收入院。
查體:體溫 36.8 ℃,心率 92 次/min,呼吸 20 次/min,血壓 123/77 mm Hg(1 mm Hg=0.133 kPa)。胸廓未見異常,雙肺叩診為清音,聽診呼吸音清,未聞及干濕啰音。全身淺表淋巴結未捫及腫大,頸靜脈正常。頸部及胸部增強 CT:C7~T1 平面氣管后壁見直徑大小約 1.7 cm 的類圓形軟組織密度結節影突入腔內,明顯均勻強化(圖 1)。2 月 11 日行支氣管鏡檢,查見氣管上段后壁(膜部)乳突樣新生物阻塞致管腔新月形狹窄(圖 2a),觸之易出血,外徑 6 mm 可彎曲支氣管鏡可擠越通過,氣管中下段及雙側支氣管未見異常。支氣管鏡下予高頻圈套(40 W)電切切除大部分新生物組織(圖 2b)送病理學檢查(圈套下組織大小約 1.8 cm×2.0 cm×1.5 cm),基底部殘留小部分新生物組織,管腔通暢。整個術中出血約 5 mL,圈切下來后新生物基底部有小股噴泉樣血流,局部予以氬氣刀(APC)電凝后止血。術后病理(圖 3)報告:氣管上段腫瘤;免疫組織化學:瘤細胞平滑肌肌動蛋白(SMA)(彌漫+)、肌特異性肌動蛋白(MSA)(彌漫+)、結蛋白(desmin)(–)、廣譜角蛋白(PCK)(–)、上皮細胞膜抗原(EMA)(–)、CAM5.2(–)、CK18(–)、神經元特異性烯醇化酶 (NSE)(–)、CD56(–)、突觸素( Syn)(–)、嗜鉻粒蛋白A(CgA)(–)、Ki67 指數<5%。結合形態學和免疫表型結果,考慮診斷為血管球瘤。
圖1
2015 年 2 月 6 日頸部及胸部增強 CT 檢查像
聲門下氣管后壁軟組織影,明顯強化均勻
圖2
支氣管鏡檢查像
a. 2015 年 2 月 2 日。新生物基底部位于氣管膜部,阻塞管腔約 90%。b. 2015 年 2 月 11 日。行第 1 次熱治療,應用高頻電刀圈切新生物。c. 2015 年 2 月 13 日。第 1 次熱治療后 2 d 復查,見基底部殘余組織及表面少許壞死物;d. 2015 年 2 月 13 日。對新生物基底部殘余組織行第 2 次熱治療,應用 APC、圈切、電凝后,氣管表面見少許焦痂,管腔通暢度基本正常。e. 2015 年 2 月 16 日。第 2 次熱治療后 3 d 復查,見基底部少許炎性壞死物。f. 2015 年 2 月 26 日。第 2 次熱治療后 13 d 復查,見基底部少許肉芽及壞死物。g. 2015 年 5 月 22 日。治療 3 個月后復查,見氣管上段后壁黏膜瘢痕化伴肉芽小結節,管腔大小基本正常。
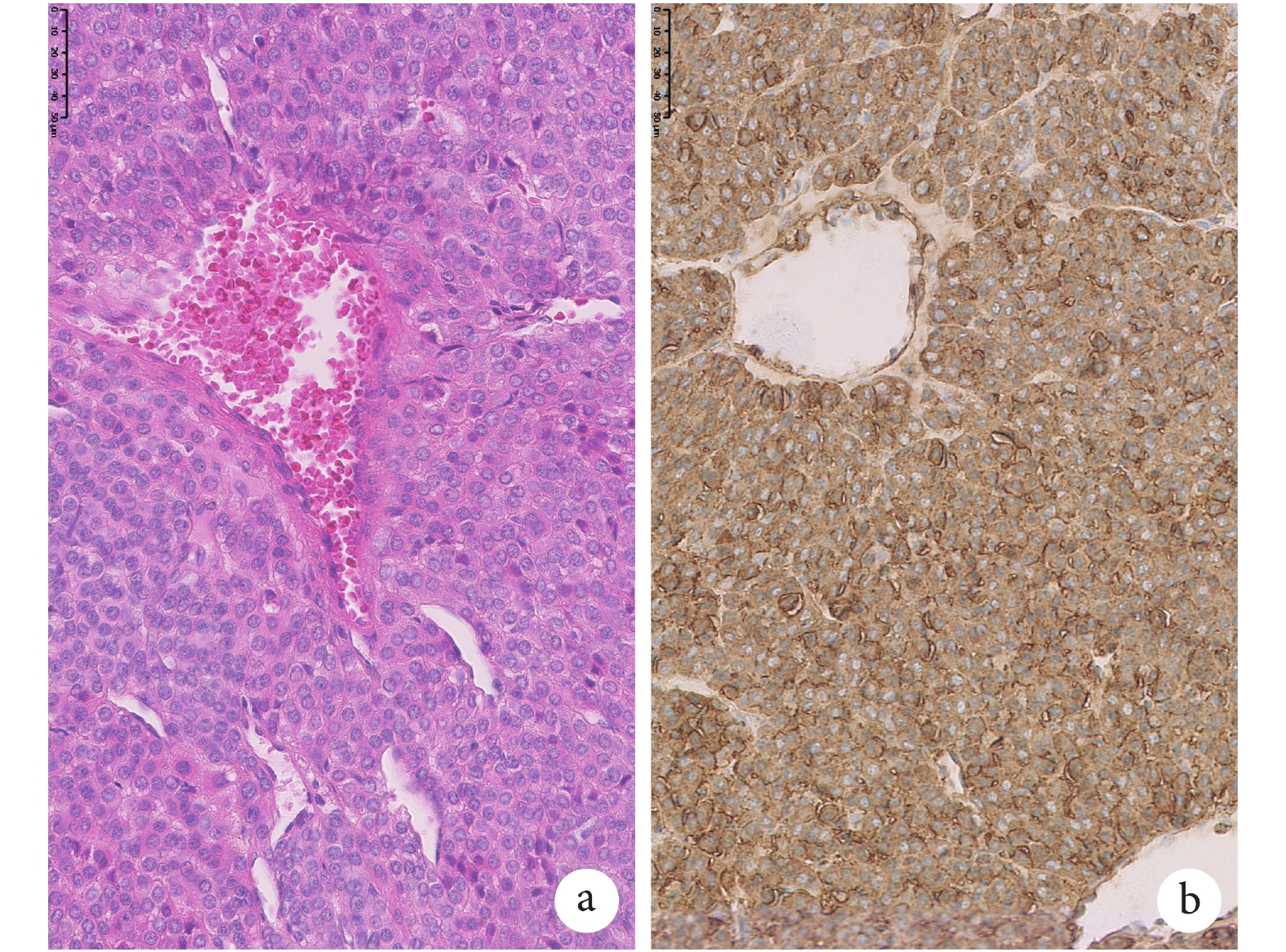
圖3
氣管血管球瘤經支氣管鏡下切除術后病理像(×400)
a. 蘇木精–伊紅染色可見腫瘤細胞圓形為主,大小較均勻,且圍繞血管分布;b. 免疫組織化學 SMA 標記陽性。
患者拒絕外科手術治療。2 d 后復查支氣管鏡見氣管上段后壁(基底部)殘余部分新生物組織,表面少量炎性壞死物(圖 2c),支氣管鏡下再次行活檢鉗鉗夾、APC、高頻圈套電切清除殘余新生物、高頻電凝治療,氣管管腔通暢(圖 2d);術中出血約 20 mL。間隔 3 d 后復查支氣管鏡見氣管上段后壁(原新生物基底部)表面少量炎性壞死物(圖 2e),予以活檢鉗夾清除壞死物;10 d 后復查支氣管鏡,見基底部少許肉芽增生伴表面少量炎性壞死物(圖 2f),鏡下再次活檢鉗夾清除部分壞死物;3 個月后復查支氣管鏡見氣管上段后壁黏膜瘢痕樣改變伴局部肉芽樣小結節(圖 2g),鏡下活檢鉗夾清除;半年后復查支氣管鏡見氣管上段后壁黏膜瘢痕樣改變,色澤蒼白,表面光滑,管腔大小基本正常。在多次的支氣管鏡下治療過程中,患者僅在第 1 次圈切術后 1 周內出現咽喉部一過性疼痛及咯血,術后 10 d 未再咯血及出現其他不適。隨訪至 2018 年 3 月 30 日,氣管上段后壁黏膜光滑,局部瘢痕樣改變,未見腫瘤復發跡象。
討論 氣管血管球瘤大多數是發生在氣管后壁的無痛性腫塊,臨床多表現為胸悶、咯血,常常誤認為是慢性支氣管炎及支氣管哮喘等慢性疾病,往往以慢性炎癥性疾病收入呼吸科,后轉入心胸外科接受手術治療[9]。也有一些患者無癥狀,于體檢時發現[10]。結合國內外文獻報道,氣管血管球瘤大多發生于成年人,男性多于女性[10-11],其發病部位從氣管上段、氣管中段、下段及隆突水平均有報道,且以氣管下段三分之一為多見[10, 12-13],但都以氣管膜部為主,主要原因為氣管下段黏液腺和血管比氣管中上段豐富[13-14]。本例患者的病變部位為聲門下氣管膜部(矢狀位于 C7~T1 水平),與其他大多數病例報道的氣管血管球瘤的好發部位略有不同,目前僅與孫榮慶等[15]報道的 1 例聲門下氣管血管球瘤發病部位相似。
血管球瘤以良性為多,極少有惡性報道。且 90% 的血管球瘤以單發為主[1]。大多數已報告的氣管血管球瘤均良性,只有 5% 有惡性組織學表現[16]。大多數患者(64.29%)確診時該疾病已有超過 1 個月,并且文獻報道的最長疾病持續時間是 10 年,表明該類型的腫瘤生長緩慢[10]。因為影像學缺乏特異性,氣管血管球瘤的臨床診斷以病理學為主,其病理表現與其他部位無異。其病理學特點為:腫瘤主要由成片的、大小相對一致的、境界清楚的圓形或卵圓形細胞圍繞大小不等的血管構成,胞質少到中等,嗜酸性或者少透亮,胞核圓且規則,核仁不明顯,一般沒有異形或核分裂現象[11]。其獨特的鏡下表現,再結合免疫組織化學 SMA、波形蛋白陽性則可以診斷,且與其他腫瘤相鑒別。
治療方面,為了避免局部復發,氣管切除術被廣泛使用并且預后良好[17],而氣管袖狀切除術是目前認為最佳的治療方案,經氣管袖狀切除術治療氣管血管球瘤的病例均無腫瘤復發報道[18]。對于病變范圍較大的患者,Wu 等[19]建議采用螺旋氣管成形術進行縱向切除,該方法可以顯著減輕氣管組織損傷。需要注意的是,氣管血管球瘤作為罕見部位腫瘤,在圍手術期治療并發癥和伴隨疾病對于提高生存率至關重要[17]。一方面是之前有病例報道提示血管球瘤術后死亡的原因不是腫瘤復發或遠處轉移,而是并發癥[20];另一方面,對于氣管血管球瘤嚴重阻塞氣道導致明顯通氣障礙的患者,需要立即恢復氣道通暢的緊急情況下,支氣管鏡介入治療無疑是首選治療[21]。此外,Sakr 等[21]認為支氣管鏡在血管球瘤中的適應證包括:病變嚴格限制在氣道內腔中,且沒有延伸到氣道壁中;組織學證實腫瘤是良性的;或患者不適合或不愿接受手術切除。氣管血管球瘤常用的內鏡下治療技術包括激光切除、高頻電凝和 APC、硬鏡旋切以及支架植入。
2017 年,Venegas 等[13]對 1950 至 2016 年報道的 40 例氣管血管球瘤進行了統計,僅 2 例表現為惡性組織;外科開胸手術的有 27 例(67.5%),經內鏡治療的有 12 例,1 例拒絕任何治療。分析指出,內鏡治療在排除惡性可能的患者中較為合適,因為兩種方法之間的生存率相似(外科切除組中位生存期為 18.0 個月,內鏡組為 18.5 個月;P=0.94),但由于缺乏長期隨訪數據,故不能得出明確結論。另外需要注意的是,在時間上,2008 年以前僅 2 例,2008 年以后內鏡治療高達 10 例。這很可能與內鏡技術發展更加成熟相關。
目前國內文獻所報道氣管或主支氣管血管球瘤以胸外科手術完全切除為多,通過內鏡治療切除氣管或主支氣管血管球瘤的病例較少。對國內報道的采用內鏡治療氣管或主支氣管血管球瘤的 6 篇文獻[4, 12, 22-25]中的 8 個病例進行整理發現:首次治療時僅 1 例采用高頻電刀灼燒,其余 7 例均采用高頻圈套對新生物進行圈切,且其中 3 例輔以高頻電凝或 APC 及藥物(腎上腺素、血凝酶)止血。后續治療方法則是根據首次治療后的情況,選擇高頻電凝或 APC、冷凍、機械清除或局部放療。除宋艷紅等[4]報道的 1 例病理性質為惡性潛能不確定外,其余 7 例病理診斷均為良性,可能這也與這些病例經內鏡治療后隨訪(3 個月至 6 年)未見復發明顯相關。
本例患者于支氣管鏡下行高頻圈套圈切大部分瘤體組織后,基底部 APC 電凝治療止血,之后數次將基底部治療所致的壞死物及殘留的瘤體組織清理干凈,基本上達到了治愈的效果。結合國內報道的 8 例患者在采用內鏡技術(高頻電凝、圈套、APC、冷凍)治療時及治療后均沒有發生大出血等嚴重并發癥,表明呼吸內鏡技術在氣管血管球瘤的治療中一定程度上是安全的。
采用呼吸內鏡技術(如高頻圈套電切、激光、APC 等)獲取較大病理標本,在明確氣管血管球瘤的病理診斷后可進一步選取其他治療方案,例如可選擇外科手術完全切除,或聯合局部放療,也可繼續鏡下治療盡量清除腫瘤組織。治療方案主要是根據腫瘤的良、惡性程度來決定。少數氣管血管球瘤具有侵襲性的生物學特征,包括局部復發、浸潤及轉移,被視為非典型血管球瘤或惡性血管球瘤[26],則優先考慮外科手術完全切除。國內文獻[12, 22, 24-25]報道的 5 例患者病理診斷為良性的血管球瘤,通過呼吸內鏡技術治療(其中 2 例結合局部放療)后,并且隨訪 3 個月到 2 年無復發,一定程度上說明呼吸內鏡技術對氣管、主支氣管血管球瘤的治療效果較好。所以對于病理診斷腫瘤為良性,或者不適合或不愿意行外科手術治療的患者來說,支氣管鏡下治療切除血管球瘤,是一種可行的、微創的治療方法。但是支氣管鏡下治療也存在一定的局限性,包括鏡下無法判斷管壁浸潤的深度及范圍,治療的長期有效性還需要進一步驗證。
由于氣管血管球瘤血運豐富,應避免使用活檢鉗進行支氣管鏡活檢[10];若采用鏡下治療,應首選熱消融[4, 12, 22]。但是,對于采用呼吸內鏡技術在氣管血管球瘤的治療過程中的具體細節,相關文獻并未提及。由于 Nd∶YAG 激光可產生巨大的熱沉積效應,且激光的吸收受組織表面顏色的影響,深色組織具有更大的吸收率,因此激光治療的深度是不可預測的,并且存在組織穿孔的風險;而高頻電凝和 APC 主要作用于接觸部位或組織表面,燒灼的深度可控制,可能較激光并發癥率低。總結本例患者的經驗,我們發現在圈切的過程中可以選擇凝切結合的技巧以減少出血。在該病例治療的過程中,一方面需要盡可能完全把瘤體組織清理干凈,另一方面要注意防止清理過度而導致氣管瘺的發生,我們通過分多次鏡下治療而達到最佳的效果。但是將大部分新生物圈切下來后,對殘余新生物的處理時機和頻率(比如以盡量少的治療次數,達到清理干凈、降低復發、盡量恢復正常管腔大小的效果)有待進一步的探討。因為該病例患者病變位置高(瘤體組織位于聲門下約 1 cm 處),且新生物阻塞致氣管上段管腔新月形狹窄,考慮到全身麻醉下治療可能會更容易導致通氣障礙,故采取的是相對安全的局部麻醉。當然,有條件也可以行硬質支氣管鏡下切除,一旦發生并發癥,可采取有效的措施;或者也可以在氣管切開后、保障通氣的情況下,行腫瘤的切除,但是術后可能會存在氣道狹窄的風險。此外,血管球瘤的血供相對豐富,術前一定要做增強 CT,明確瘤體組織的血供情況,做好大出血的應急預案。雖然有報道血管球瘤切除術前可結合血管栓塞防止出血并發癥[10],但是其必要性有待驗證。
利益沖突:本研究不涉及任何利益沖突。

