引用本文: 曾惠清, 蔡雪瑩, 張孝斌, 楊棟勇, 林立, 陳美珺, 郭偉峰, 朱思虹, 陳享星, 陳小蓉, 黃葉梅. 支氣管肺泡灌洗液隱球菌莢膜多糖抗原膠體金法對肺隱球菌病的診斷價值. 中國呼吸與危重監護雜志, 2020, 19(3): 258-263. doi: 10.7507/1671-6205.201902006 復制
肺隱球菌病(pulmonary cryptococcosis,PC)是由新型隱球菌感染引起的亞急性或慢性肺部疾病,病變可播散到全身。隱球菌在肺組織內呈局限性浸潤感染,傳統的墨汁染色不適合用于黏稠的呼吸道分泌物,培養陽性率也很低[1]。肺隱球菌病的確診主要依據病理檢查和取自無菌部位的活檢標本培養,均為有創檢查,不易獲得。血清隱球菌莢膜多糖抗原(cryptococcal antigen,CrAg)檢測對肺隱球菌病的診斷有重要的臨床意義,近年新開展膠體金免疫層析法(lateral flow immunochromatographic assay,LFA)更具有較高的敏感性、特異性及快速檢測得結果等優點[2-3]。在肺曲霉病的診斷中,同時檢測血清和支氣管肺泡灌洗液(bronchoalveolar lavage fluid,BALF)中的半乳甘露聚糖抗原(galactomannan antigen,GM),證實 BALF 的 GM 敏感性明顯高于血清 GM[4-5]。然而,BALF CrAg 尤其 CrAg-LFA 檢測對肺隱球菌病的診斷效能未見報道。本研究應用 BALF 進行 CrAg-LFA 檢測,對照血清并結合臨床病理結果,探討其對肺隱球菌病的診斷價值。
1 資料與方法
1.1 臨床資料
選擇 2015 年 3 月至 2018 年 10 月在廈門大學附屬中山醫院、福建醫科大學附屬第二醫院、福建醫科大學附屬漳州市立醫院和福建醫科大學附屬泉州市第一醫院等 4 家醫院的呼吸與危重癥醫學科、胸外科靠近肺周邊的結節病灶和(或)肺部陰影,經一般抗菌治療無效的非人類免疫缺陷病毒(human immunodeficiency virus,HIV)的疑似肺隱球菌病,排除支氣管鏡、支氣管肺泡灌洗及經皮肺活檢等有創檢查有禁忌或不合作患者。共納入 308 例,年齡 17~81 歲,平均年齡 57.3 歲,其中男 175 例,女 133 例。本研究通過廈門大學附屬中山醫院醫學倫理委員會批準(批件號:xmzsyyky 倫審第 2017030 號)。
1.2 方法
1.2.1 儀器和試劑
CrAg-LFA 檢測試劑盒由美國 Immuno Mycologics 有限公司生產;真菌鑒定卡 YST 購自法國生物梅里埃有限公司;Bact/Alert3D 全自動血培養儀購自法國生物梅里埃公司;BACTEC FX 全自動血培養儀購自美國 BD 公司。
1.2.2 病理檢查
采用 CT 或者 B 超引導下經皮肺穿刺活檢、電子及超聲支氣管鏡下組織活檢,在盲原則下常規進行組織固定、包埋、切片后進行蘇木精–伊紅(hematoxylin-eosin,HE)、過碘酸希夫(periodic acid Schiff,PAS)及六胺銀等染色檢查。
1.2.3 病例分組
肺隱球菌病確診病例符合肺隱球菌病的診斷標準[6]。應用前瞻性研究方法,根據病史、臨床癥狀、體征、病原學檢查和病理檢查結果的非 HIV 患者分為 2 組:(1)肺隱球菌病組:病理確診肺隱球菌病,未抗真菌治療前行血清及 BALF CrAg-LFA 檢測及微生物學培養;(2)非肺隱球菌病組:由于診斷過程需要而進行血液、支氣管鏡、BALF 及經皮肺活檢等檢查的患者。所有入選患者均要觀察分析其一般臨床資料、病原學檢測、影像學、病理、血及 BALF 中 CrAg-LFA 檢測和微生物學培養。
1.2.4 BALF 標本采集
入選患者在未抗真菌治療前收集 BALF。BALF 采集按氣管鏡操作標準操作程序進行,選用 2% 利多卡因進行麻醉,局麻后經鼻行支氣管鏡檢測,依高分辨率 CT 定位將支氣管鏡插入至目標亞段支氣管,注入 37 ℃ 滅菌生理鹽水 30 mL 共 1~2 次,進行病變部位的支氣管肺泡灌洗,回收 15~30 mL BALF,將回收液裝入硅塑瓶中,立即送檢,室溫運輸。4 ℃ 保存,最多放置 72 h。
1.2.5 微生物學培養
血培養采用血清標本,入選患者均在未抗真菌治療前抽空腹血清 5 mL,留取其上清液置于 –20 ℃ 冰箱保存。報警陽性的培養瓶立即轉種血瓊脂平板和沙保氏平板,生長并分純后用 YST 卡片進行鑒定。BALF 或者經支氣管鏡毛刷直接接種血瓊脂平板和沙保氏平板,生長并分純后用 YST 卡片進行鑒定。
1.2.6 CrAg-LFA 檢測
在盲原則下常規取收集 BALF 的離心沉淀部分 5~10 mL 及全血無菌樣本,分離血清,按照試劑盒說明書進行 CrAg-LFA 檢測。取 1 滴樣本稀釋液加入小試管內,再加入 40 μL 分離好的樣本并混合,將檢測試紙條的白端沒入到樣本液中,10 min 后讀取結果。出現一條質控線為陰性,質控線與檢測線同時出現為陽性(圖 1),只出現檢測線而無質控線則檢測失敗,需要重做。

a. 陽性結果,可見同時出現的質控線與檢測線;b. 陰性結果,只出現一條質控線。
1.3 統計學方法
采用 SPSS 17.0 統計軟件。計數資料以例數和百分比表示,行 χ2 檢驗。繪制受試者操作特性(receiver operating characteristic,ROC)曲線,分析 ROC 曲線下面積(area under the ROC curve, AUC),比較 BALF 與血清 CrAg-LFA 的診斷效能。P<0.05 為差異有統計學意義。
2 結果
2.1 一般資料
308 例患者中,根據病史、臨床癥狀、體征、病原學檢查和病理檢查確診為非 HIV 肺隱球菌病 72 例,非肺隱球菌病 236 例。
2.2 肺隱球菌病組臨床及檢查結果
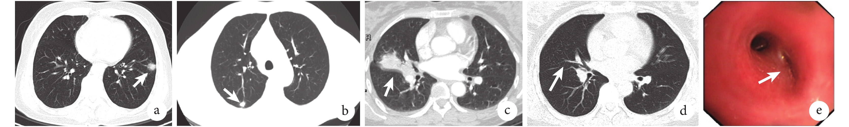
72 例(包括支氣管隱球菌病 1 例)肺隱球菌病患者中,男 39 例,女 33 例,年齡 23~69 歲,平均年齡 48.4 歲。其中,無癥狀體檢發現者 40 例,咳嗽 32 例,咳痰 21 例,氣喘 8 例,痰中帶血 8 例,發熱 23 例,體溫在 37.3~38.5 ℃。26 例白細胞計數升高,中位數為 8.85×109/L;降鈣素原升高 17 例,中位數為 0.13 μg/L。72 例中 66 例的病灶位于肺野外周帶;雙肺均有病灶者 37 例,以下肺部受累多見;單發性結節影 21 例,多發結節影 32 例,其中右肺 21 例,左肺 14 例;多發斑片狀影 8 例,腫塊伴多發結節 15 例,彌漫性肺實質浸潤影 7 例;病灶內可見空洞或空泡征 9 例,伴縱隔淋巴結腫大 7 例;胸腔積液 6 例。部分典型患者的影像檢查及支氣管鏡檢查結果見圖 2。

a. 患者男性,40 歲,反復咳嗽 2 個月,肺部 CT 示左下肺周邊靠胸膜結節影(白箭);b. 患者女性,43 歲,體檢時行肺部 CT 發現右上肺后段周邊靠胸膜結節影(白箭);c. 患者女性,46 歲,咳嗽、咳痰、咯血 20+d,肺部 CT 示右肺中葉不張(白箭);d. c 圖同一患者治療后 7 個月復查肺部 CT 示右中葉復張(白箭);e. c 圖同一患者支氣管鏡下見右中葉外側段支氣管管腔狹窄(白箭)
血清 CrAg-LFA 陽性 54 例,陰性 18 例,培養隱球菌陽性 1 例,陰性 71 例;BALF CrAg-LFA 陽性 66 例,陰性 5 例,支氣管沖洗液 CrAg-LFA 陽性 1 例(該患者 BALF CrAg-LFA 陰性),涂片或培養隱球菌陽性 9 例,陰性 63 例。CrAg-LFA 檢測及隱球菌培養結果見表 1 和表 2。部分典型患者的病原學和病理學檢查結果見圖 3。


72 例非 HIV 肺隱球菌確診病例,其中合并糖尿病 6 例,陳舊性肺結核 5 例,肺癌 5 例,其他系統惡性腫瘤 3 例,血液系統疾病 1 例,結締組織肺疾病、肺血管炎 1 例,無合并原發疾病 51 例;同時進行血 GM 試驗、血 1,3-β-D 葡聚糖試驗(G 試驗)各 54 例,無 GM 試驗陽性病例,G 試驗陽性 7 例;均未同時進行 BALF 的 GM 試驗及 G 試驗檢測。
2.3 非肺隱球菌病組臨床及檢查結果
236 例非肺隱球菌病患者中,肺癌 40 例、肺淋巴瘤 6 例、結核病 31 例、細菌性肺炎 84 例、侵襲性肺曲霉病 20 例、機化性肺炎 14 例、免疫性、風濕性及結締組織肺疾病 9 例、肺血管炎 7 例、其他 25 例。血清 CrAg-LFA 弱陽性 1 例,陰性 235 例;血清微生物培養 97 例,無隱球菌生長;BALF CrAg-LFA 均為陰性,培養 121 例,無隱球菌生長。CrAg-LFA 檢測及隱球菌培養結果見表 1 和表 2。
2.4 血清及 BALF CrAg-LFA 檢測結果比較
二組的血清和 BALF CrAg-LFA 檢測及隱球菌培養結果分別見表 1 和表 2;血清 CrAg-LFA 檢測的敏感性為 75.0%,特異性為 99.6%,陽性預測值為 98.2%,陰性預測值 92.9%;BALF CrAg-LFA 檢測的敏感性為 93.6%,特異性為 100.0%,陽性預測值為 100.0%,陰性預測值 97.9%。肺隱球菌病組血清和 BALF CrAg-LFA 檢測結果對比,BALF CrAg-LFA 檢測的敏感性高于血清,差異有統計學意義(χ2=8.745,P<0.05),結果見表 3;同時,BALF CrAg-LFA 檢測的 AUC 和 AUC 的 95% 可信區間均大于血清 CrAg-LFA 檢測,結果見圖 4。


ROC 曲線圖表明,BALF CrAg-LFA 檢測的 AUC(0.95,95% 可信區間 0.931~1.00)明顯高于血清 CrAg-LFA 檢測(0.873,95% 可信區間 0.812~0.934)(
3 討論
由于肺隱球菌病臨床特征無特異性,故其診斷主要依賴病理檢查[7-8],金標準為肺組織病理活檢以及行 HE、PAS 及六胺銀染色,病變類型與患者免疫狀態有關,免疫功能正常者常形成非干酪性肉芽腫,在巨噬細胞胞質內可見被吞噬的隱球菌和莢膜;免疫功能受損者不易見到肉芽腫,但肺泡腔中可充滿隱球菌孢子[9];特殊染色結果 PAS(+),阿利新(–),六胺銀(+),抗酸(–);病原學檢查多為血液或穿刺物培養檢到新型隱球菌[10]。本研究的入選病例在病理上或病原學檢查結果符合以上條件,符合肺隱球菌病的診斷標準[6],確診肺隱球菌病無疑。近年來血清 CrAg 測定為診斷提供了病原學證據,因特異性及敏感性高且能快速得出結論而受到臨床關注;目前檢測方法主要包括乳膠凝集法、酶聯免疫法和 CrAg-LFA[11]。研究表明,CrAg-LFA 比乳膠凝集法和酶聯免疫法具有更高的準確性,其在室溫下穩定,10 min 即可出結果,對實驗室設備的要求不高易于操作,具有極重要的臨床價值[12]。
大量的臨床研究證明,在侵襲性肺曲霉病的診斷上 GM 檢測在 BALF 中的敏感性、特異性及在臨床應用價值明顯高于血清,然而,BALF CrAg-LFA 檢測對肺隱球菌病的診斷效能未見報道。本研究因此得到啟示,采用前瞻性研究方法收集經肺組織活檢病理確認的病例分為肺隱球菌病組作為試驗組,非肺隱球菌病組作為對照組,觀察指標為血清和 BALF 的 CrAg-LFA。具體的步驟是對確診肺隱球菌感染病例,予高分辨率 CT 定位下行病變部位支氣管鏡肺泡灌洗術,通過對 BALF 的 CrAg-LFA 檢測,與血清 CrAg-LFA 檢測比較,結果表明:BALF CrAg-LFA 檢測的敏感性和特異性均高于血清 CrAg-LFA 檢測,BALF CrAg-LFA 在肺隱球菌感染中的診斷價值高于血清(χ2=8.745,P<0.05)。
本研究 CrAg 采用膠體金法檢測。膠體金試紙條是一種簡便快速的檢測試劑,可以檢測新型隱球菌的 4 種(A~D)血清型。檢測中樣本通過毛細作用層析至金標抗隱球菌莢膜多糖抗原捕獲單抗和位于檢測膜上的金標對照抗體。如果樣本中有 CrAg 存在,它將與金標抗隱球菌抗體結合。該金標抗體–抗原復合物繼續通過毛細作用在膜上層析并與包含固定化抗隱球菌單抗的檢測條帶反應,待測樣本中存在的 CrAg 可與膠體金標記的抗體發生抗原抗體結合反應,抗原抗體復合物在毛細作用下在試紙表面遷移,并與固化在硝酸纖維薄膜上的單克隆抗體發生結合反應,出現一條紅線,即檢測線[13]。試紙條本身攜帶質控線,質控線與檢測線同時出現為陽性,只出現一條質控線為陰性(圖 1),因此不需要做陰性對照,結果更加可靠[14]。
本研究中有經病理確診肺隱球菌病而血清 CrAg-LFA 抗原結果呈陰性者 18 例,其中 13 例 BALF CrAg-LFA 抗原結果呈陽性;部分病例無臨床癥狀而是肺 CT 體檢發現位于肺邊緣甚至靠近胸膜的小病灶(圖 2 的 a、b 小圖)。有文獻指出,CrAg 檢測的假陰性多出現于感染早期[14-15]。本研究中 BALF CrAg-LFA 陽性率及敏感性高于血清的現象,我們推測與隱球菌在肺部浸潤性生長,CrAg 較難或早期尚未或較少釋放入血有關,尤其是小病灶或無全身癥狀患者,此外有報道可能也與肺部病變局部隱球菌載量較高有關[16];此推測有待進一步研究證實。本研究有 5 例確診病例血清及 BALF CrAg-LFA 檢測結果同時呈陰性,多為微小病灶、無癥狀的患者,提示此種情況 BALF CrAg-LFA 也可能存在假陰性的結果,值得臨床重視。本組有 1 例典型的支氣管隱球菌確診病例,其病變位于右中葉外側段支氣管(圖 2 的 c~e 小圖),血清及 BALF CrAg-LFA 結果呈陰性,而支氣管沖洗液 CrAg-LFA 結果呈陽性,此結果提示只有病變組織的沖洗液才能早期獲得陽性結果。本研究未發現有確診病例血清 CrAg-LFA 抗原陽性而 BALF 呈陰性的檢測結果。
支氣管肺泡灌洗術號稱液體肺活檢,與組織病理活檢比較,其簡單易行,安全方便,基層醫院都能開展,在不具備組織活檢的條件下,值得推廣應用于 CrAg 的檢測。但采集 BALF 的過程及對操作者的要求需進一步標準化,對操作者的操作技能及準確達到病灶所在的亞段部位進行灌洗有較高的要求,尤其對小病灶更重要。本研究中 BALF 采集的部位通過肺 CT 準確定位,灌注的液體量僅 30~60 mL,因 CrAg-LFA 檢測所需要的液體量僅 1 mL,應避免多的灌注液造成標本的稀釋而影響檢查結果,此與指南中支氣管肺泡灌洗術操作規范的要求不同[17]。本研究取灌洗液的離心沉淀部分進行測試的方法有助于提高陽性率,值得推廣。如同 GM 檢測在 BALF 中的敏感性, 特異性及應用價值明顯高于血清一樣,BALF 的 CrAg-LFA 檢測也顯示同樣的價值,但 GM 檢測無論是血清或 BALF 均存在假陽性及眾多的影響因素[18-19]。文獻報道血清 CrAg 乳膠凝集法及膠體金法偶有假陽性[20-21]。本研究 236 例非肺隱球菌病也出現 1 例血清 CrAg-LFA 測定弱陽性,提示血清 CrAg 滴度較低時應注意排除某些因素導致的交叉反應,最好能再做半定量測定。該例患者最終病理診斷為類風濕性肺疾病,此類疾病在一定程度上是否與血清 CrAg 存在交叉反應,需要更多樣本的臨床試驗來證實。本研究未進行 CrAg-LFA 和 CrAg 乳膠凝集法的對照研究,未進行半定量測定也是本研究的不足之處。另外,對病灶大小、臨床癥狀與血、BALF CrAg-LFA 檢測結果之間可能存在的相關性進行深入探討,有待今后進一步的研究。本研究 4 個中心 BALF 的 CrAg-LFA 檢測未發現有假陽性,特異性達 100.0%。因此,我們有理由認為,在診斷價值上,BALF 的 CrAg-LFA 陽性等同于微生物學培養陽性結果,僅次組織病理活檢的臨床價值,若檢測陰性可再行肺部穿刺等創傷大的檢查;同時,由于快速、簡單、安全,在早期病灶小不適合行組織活檢情況下,BALF 的 CrAg-LFA 檢測對肺隱球菌早期診斷有重要意義,且優于血清的 CrAg-LFA 檢測。
利益沖突:本研究不涉及任何利益沖突。
肺隱球菌病(pulmonary cryptococcosis,PC)是由新型隱球菌感染引起的亞急性或慢性肺部疾病,病變可播散到全身。隱球菌在肺組織內呈局限性浸潤感染,傳統的墨汁染色不適合用于黏稠的呼吸道分泌物,培養陽性率也很低[1]。肺隱球菌病的確診主要依據病理檢查和取自無菌部位的活檢標本培養,均為有創檢查,不易獲得。血清隱球菌莢膜多糖抗原(cryptococcal antigen,CrAg)檢測對肺隱球菌病的診斷有重要的臨床意義,近年新開展膠體金免疫層析法(lateral flow immunochromatographic assay,LFA)更具有較高的敏感性、特異性及快速檢測得結果等優點[2-3]。在肺曲霉病的診斷中,同時檢測血清和支氣管肺泡灌洗液(bronchoalveolar lavage fluid,BALF)中的半乳甘露聚糖抗原(galactomannan antigen,GM),證實 BALF 的 GM 敏感性明顯高于血清 GM[4-5]。然而,BALF CrAg 尤其 CrAg-LFA 檢測對肺隱球菌病的診斷效能未見報道。本研究應用 BALF 進行 CrAg-LFA 檢測,對照血清并結合臨床病理結果,探討其對肺隱球菌病的診斷價值。
1 資料與方法
1.1 臨床資料
選擇 2015 年 3 月至 2018 年 10 月在廈門大學附屬中山醫院、福建醫科大學附屬第二醫院、福建醫科大學附屬漳州市立醫院和福建醫科大學附屬泉州市第一醫院等 4 家醫院的呼吸與危重癥醫學科、胸外科靠近肺周邊的結節病灶和(或)肺部陰影,經一般抗菌治療無效的非人類免疫缺陷病毒(human immunodeficiency virus,HIV)的疑似肺隱球菌病,排除支氣管鏡、支氣管肺泡灌洗及經皮肺活檢等有創檢查有禁忌或不合作患者。共納入 308 例,年齡 17~81 歲,平均年齡 57.3 歲,其中男 175 例,女 133 例。本研究通過廈門大學附屬中山醫院醫學倫理委員會批準(批件號:xmzsyyky 倫審第 2017030 號)。
1.2 方法
1.2.1 儀器和試劑
CrAg-LFA 檢測試劑盒由美國 Immuno Mycologics 有限公司生產;真菌鑒定卡 YST 購自法國生物梅里埃有限公司;Bact/Alert3D 全自動血培養儀購自法國生物梅里埃公司;BACTEC FX 全自動血培養儀購自美國 BD 公司。
1.2.2 病理檢查
采用 CT 或者 B 超引導下經皮肺穿刺活檢、電子及超聲支氣管鏡下組織活檢,在盲原則下常規進行組織固定、包埋、切片后進行蘇木精–伊紅(hematoxylin-eosin,HE)、過碘酸希夫(periodic acid Schiff,PAS)及六胺銀等染色檢查。
1.2.3 病例分組
肺隱球菌病確診病例符合肺隱球菌病的診斷標準[6]。應用前瞻性研究方法,根據病史、臨床癥狀、體征、病原學檢查和病理檢查結果的非 HIV 患者分為 2 組:(1)肺隱球菌病組:病理確診肺隱球菌病,未抗真菌治療前行血清及 BALF CrAg-LFA 檢測及微生物學培養;(2)非肺隱球菌病組:由于診斷過程需要而進行血液、支氣管鏡、BALF 及經皮肺活檢等檢查的患者。所有入選患者均要觀察分析其一般臨床資料、病原學檢測、影像學、病理、血及 BALF 中 CrAg-LFA 檢測和微生物學培養。
1.2.4 BALF 標本采集
入選患者在未抗真菌治療前收集 BALF。BALF 采集按氣管鏡操作標準操作程序進行,選用 2% 利多卡因進行麻醉,局麻后經鼻行支氣管鏡檢測,依高分辨率 CT 定位將支氣管鏡插入至目標亞段支氣管,注入 37 ℃ 滅菌生理鹽水 30 mL 共 1~2 次,進行病變部位的支氣管肺泡灌洗,回收 15~30 mL BALF,將回收液裝入硅塑瓶中,立即送檢,室溫運輸。4 ℃ 保存,最多放置 72 h。
1.2.5 微生物學培養
血培養采用血清標本,入選患者均在未抗真菌治療前抽空腹血清 5 mL,留取其上清液置于 –20 ℃ 冰箱保存。報警陽性的培養瓶立即轉種血瓊脂平板和沙保氏平板,生長并分純后用 YST 卡片進行鑒定。BALF 或者經支氣管鏡毛刷直接接種血瓊脂平板和沙保氏平板,生長并分純后用 YST 卡片進行鑒定。
1.2.6 CrAg-LFA 檢測
在盲原則下常規取收集 BALF 的離心沉淀部分 5~10 mL 及全血無菌樣本,分離血清,按照試劑盒說明書進行 CrAg-LFA 檢測。取 1 滴樣本稀釋液加入小試管內,再加入 40 μL 分離好的樣本并混合,將檢測試紙條的白端沒入到樣本液中,10 min 后讀取結果。出現一條質控線為陰性,質控線與檢測線同時出現為陽性(圖 1),只出現檢測線而無質控線則檢測失敗,需要重做。

a. 陽性結果,可見同時出現的質控線與檢測線;b. 陰性結果,只出現一條質控線。
1.3 統計學方法
采用 SPSS 17.0 統計軟件。計數資料以例數和百分比表示,行 χ2 檢驗。繪制受試者操作特性(receiver operating characteristic,ROC)曲線,分析 ROC 曲線下面積(area under the ROC curve, AUC),比較 BALF 與血清 CrAg-LFA 的診斷效能。P<0.05 為差異有統計學意義。
2 結果
2.1 一般資料
308 例患者中,根據病史、臨床癥狀、體征、病原學檢查和病理檢查確診為非 HIV 肺隱球菌病 72 例,非肺隱球菌病 236 例。
2.2 肺隱球菌病組臨床及檢查結果
72 例(包括支氣管隱球菌病 1 例)肺隱球菌病患者中,男 39 例,女 33 例,年齡 23~69 歲,平均年齡 48.4 歲。其中,無癥狀體檢發現者 40 例,咳嗽 32 例,咳痰 21 例,氣喘 8 例,痰中帶血 8 例,發熱 23 例,體溫在 37.3~38.5 ℃。26 例白細胞計數升高,中位數為 8.85×109/L;降鈣素原升高 17 例,中位數為 0.13 μg/L。72 例中 66 例的病灶位于肺野外周帶;雙肺均有病灶者 37 例,以下肺部受累多見;單發性結節影 21 例,多發結節影 32 例,其中右肺 21 例,左肺 14 例;多發斑片狀影 8 例,腫塊伴多發結節 15 例,彌漫性肺實質浸潤影 7 例;病灶內可見空洞或空泡征 9 例,伴縱隔淋巴結腫大 7 例;胸腔積液 6 例。部分典型患者的影像檢查及支氣管鏡檢查結果見圖 2。

a. 患者男性,40 歲,反復咳嗽 2 個月,肺部 CT 示左下肺周邊靠胸膜結節影(白箭);b. 患者女性,43 歲,體檢時行肺部 CT 發現右上肺后段周邊靠胸膜結節影(白箭);c. 患者女性,46 歲,咳嗽、咳痰、咯血 20+d,肺部 CT 示右肺中葉不張(白箭);d. c 圖同一患者治療后 7 個月復查肺部 CT 示右中葉復張(白箭);e. c 圖同一患者支氣管鏡下見右中葉外側段支氣管管腔狹窄(白箭)
血清 CrAg-LFA 陽性 54 例,陰性 18 例,培養隱球菌陽性 1 例,陰性 71 例;BALF CrAg-LFA 陽性 66 例,陰性 5 例,支氣管沖洗液 CrAg-LFA 陽性 1 例(該患者 BALF CrAg-LFA 陰性),涂片或培養隱球菌陽性 9 例,陰性 63 例。CrAg-LFA 檢測及隱球菌培養結果見表 1 和表 2。部分典型患者的病原學和病理學檢查結果見圖 3。


72 例非 HIV 肺隱球菌確診病例,其中合并糖尿病 6 例,陳舊性肺結核 5 例,肺癌 5 例,其他系統惡性腫瘤 3 例,血液系統疾病 1 例,結締組織肺疾病、肺血管炎 1 例,無合并原發疾病 51 例;同時進行血 GM 試驗、血 1,3-β-D 葡聚糖試驗(G 試驗)各 54 例,無 GM 試驗陽性病例,G 試驗陽性 7 例;均未同時進行 BALF 的 GM 試驗及 G 試驗檢測。
2.3 非肺隱球菌病組臨床及檢查結果
236 例非肺隱球菌病患者中,肺癌 40 例、肺淋巴瘤 6 例、結核病 31 例、細菌性肺炎 84 例、侵襲性肺曲霉病 20 例、機化性肺炎 14 例、免疫性、風濕性及結締組織肺疾病 9 例、肺血管炎 7 例、其他 25 例。血清 CrAg-LFA 弱陽性 1 例,陰性 235 例;血清微生物培養 97 例,無隱球菌生長;BALF CrAg-LFA 均為陰性,培養 121 例,無隱球菌生長。CrAg-LFA 檢測及隱球菌培養結果見表 1 和表 2。
2.4 血清及 BALF CrAg-LFA 檢測結果比較
二組的血清和 BALF CrAg-LFA 檢測及隱球菌培養結果分別見表 1 和表 2;血清 CrAg-LFA 檢測的敏感性為 75.0%,特異性為 99.6%,陽性預測值為 98.2%,陰性預測值 92.9%;BALF CrAg-LFA 檢測的敏感性為 93.6%,特異性為 100.0%,陽性預測值為 100.0%,陰性預測值 97.9%。肺隱球菌病組血清和 BALF CrAg-LFA 檢測結果對比,BALF CrAg-LFA 檢測的敏感性高于血清,差異有統計學意義(χ2=8.745,P<0.05),結果見表 3;同時,BALF CrAg-LFA 檢測的 AUC 和 AUC 的 95% 可信區間均大于血清 CrAg-LFA 檢測,結果見圖 4。


ROC 曲線圖表明,BALF CrAg-LFA 檢測的 AUC(0.95,95% 可信區間 0.931~1.00)明顯高于血清 CrAg-LFA 檢測(0.873,95% 可信區間 0.812~0.934)(
3 討論
由于肺隱球菌病臨床特征無特異性,故其診斷主要依賴病理檢查[7-8],金標準為肺組織病理活檢以及行 HE、PAS 及六胺銀染色,病變類型與患者免疫狀態有關,免疫功能正常者常形成非干酪性肉芽腫,在巨噬細胞胞質內可見被吞噬的隱球菌和莢膜;免疫功能受損者不易見到肉芽腫,但肺泡腔中可充滿隱球菌孢子[9];特殊染色結果 PAS(+),阿利新(–),六胺銀(+),抗酸(–);病原學檢查多為血液或穿刺物培養檢到新型隱球菌[10]。本研究的入選病例在病理上或病原學檢查結果符合以上條件,符合肺隱球菌病的診斷標準[6],確診肺隱球菌病無疑。近年來血清 CrAg 測定為診斷提供了病原學證據,因特異性及敏感性高且能快速得出結論而受到臨床關注;目前檢測方法主要包括乳膠凝集法、酶聯免疫法和 CrAg-LFA[11]。研究表明,CrAg-LFA 比乳膠凝集法和酶聯免疫法具有更高的準確性,其在室溫下穩定,10 min 即可出結果,對實驗室設備的要求不高易于操作,具有極重要的臨床價值[12]。
大量的臨床研究證明,在侵襲性肺曲霉病的診斷上 GM 檢測在 BALF 中的敏感性、特異性及在臨床應用價值明顯高于血清,然而,BALF CrAg-LFA 檢測對肺隱球菌病的診斷效能未見報道。本研究因此得到啟示,采用前瞻性研究方法收集經肺組織活檢病理確認的病例分為肺隱球菌病組作為試驗組,非肺隱球菌病組作為對照組,觀察指標為血清和 BALF 的 CrAg-LFA。具體的步驟是對確診肺隱球菌感染病例,予高分辨率 CT 定位下行病變部位支氣管鏡肺泡灌洗術,通過對 BALF 的 CrAg-LFA 檢測,與血清 CrAg-LFA 檢測比較,結果表明:BALF CrAg-LFA 檢測的敏感性和特異性均高于血清 CrAg-LFA 檢測,BALF CrAg-LFA 在肺隱球菌感染中的診斷價值高于血清(χ2=8.745,P<0.05)。
本研究 CrAg 采用膠體金法檢測。膠體金試紙條是一種簡便快速的檢測試劑,可以檢測新型隱球菌的 4 種(A~D)血清型。檢測中樣本通過毛細作用層析至金標抗隱球菌莢膜多糖抗原捕獲單抗和位于檢測膜上的金標對照抗體。如果樣本中有 CrAg 存在,它將與金標抗隱球菌抗體結合。該金標抗體–抗原復合物繼續通過毛細作用在膜上層析并與包含固定化抗隱球菌單抗的檢測條帶反應,待測樣本中存在的 CrAg 可與膠體金標記的抗體發生抗原抗體結合反應,抗原抗體復合物在毛細作用下在試紙表面遷移,并與固化在硝酸纖維薄膜上的單克隆抗體發生結合反應,出現一條紅線,即檢測線[13]。試紙條本身攜帶質控線,質控線與檢測線同時出現為陽性,只出現一條質控線為陰性(圖 1),因此不需要做陰性對照,結果更加可靠[14]。
本研究中有經病理確診肺隱球菌病而血清 CrAg-LFA 抗原結果呈陰性者 18 例,其中 13 例 BALF CrAg-LFA 抗原結果呈陽性;部分病例無臨床癥狀而是肺 CT 體檢發現位于肺邊緣甚至靠近胸膜的小病灶(圖 2 的 a、b 小圖)。有文獻指出,CrAg 檢測的假陰性多出現于感染早期[14-15]。本研究中 BALF CrAg-LFA 陽性率及敏感性高于血清的現象,我們推測與隱球菌在肺部浸潤性生長,CrAg 較難或早期尚未或較少釋放入血有關,尤其是小病灶或無全身癥狀患者,此外有報道可能也與肺部病變局部隱球菌載量較高有關[16];此推測有待進一步研究證實。本研究有 5 例確診病例血清及 BALF CrAg-LFA 檢測結果同時呈陰性,多為微小病灶、無癥狀的患者,提示此種情況 BALF CrAg-LFA 也可能存在假陰性的結果,值得臨床重視。本組有 1 例典型的支氣管隱球菌確診病例,其病變位于右中葉外側段支氣管(圖 2 的 c~e 小圖),血清及 BALF CrAg-LFA 結果呈陰性,而支氣管沖洗液 CrAg-LFA 結果呈陽性,此結果提示只有病變組織的沖洗液才能早期獲得陽性結果。本研究未發現有確診病例血清 CrAg-LFA 抗原陽性而 BALF 呈陰性的檢測結果。
支氣管肺泡灌洗術號稱液體肺活檢,與組織病理活檢比較,其簡單易行,安全方便,基層醫院都能開展,在不具備組織活檢的條件下,值得推廣應用于 CrAg 的檢測。但采集 BALF 的過程及對操作者的要求需進一步標準化,對操作者的操作技能及準確達到病灶所在的亞段部位進行灌洗有較高的要求,尤其對小病灶更重要。本研究中 BALF 采集的部位通過肺 CT 準確定位,灌注的液體量僅 30~60 mL,因 CrAg-LFA 檢測所需要的液體量僅 1 mL,應避免多的灌注液造成標本的稀釋而影響檢查結果,此與指南中支氣管肺泡灌洗術操作規范的要求不同[17]。本研究取灌洗液的離心沉淀部分進行測試的方法有助于提高陽性率,值得推廣。如同 GM 檢測在 BALF 中的敏感性, 特異性及應用價值明顯高于血清一樣,BALF 的 CrAg-LFA 檢測也顯示同樣的價值,但 GM 檢測無論是血清或 BALF 均存在假陽性及眾多的影響因素[18-19]。文獻報道血清 CrAg 乳膠凝集法及膠體金法偶有假陽性[20-21]。本研究 236 例非肺隱球菌病也出現 1 例血清 CrAg-LFA 測定弱陽性,提示血清 CrAg 滴度較低時應注意排除某些因素導致的交叉反應,最好能再做半定量測定。該例患者最終病理診斷為類風濕性肺疾病,此類疾病在一定程度上是否與血清 CrAg 存在交叉反應,需要更多樣本的臨床試驗來證實。本研究未進行 CrAg-LFA 和 CrAg 乳膠凝集法的對照研究,未進行半定量測定也是本研究的不足之處。另外,對病灶大小、臨床癥狀與血、BALF CrAg-LFA 檢測結果之間可能存在的相關性進行深入探討,有待今后進一步的研究。本研究 4 個中心 BALF 的 CrAg-LFA 檢測未發現有假陽性,特異性達 100.0%。因此,我們有理由認為,在診斷價值上,BALF 的 CrAg-LFA 陽性等同于微生物學培養陽性結果,僅次組織病理活檢的臨床價值,若檢測陰性可再行肺部穿刺等創傷大的檢查;同時,由于快速、簡單、安全,在早期病灶小不適合行組織活檢情況下,BALF 的 CrAg-LFA 檢測對肺隱球菌早期診斷有重要意義,且優于血清的 CrAg-LFA 檢測。
利益沖突:本研究不涉及任何利益沖突。