引用本文: 畢虹, 黃照明, 和煦, 陳敏, 何劍, 何樂偉, 郭翔, 王麗艷, 杜俊毅, 周開華, 王清, 金志賢. 熏煙聯合間歇低氧暴露對大鼠肺及血管內皮功能的影響. 中國呼吸與危重監護雜志, 2019, 18(6): 560-566. doi: 10.7507/1671-6205.201809021 復制
慢性阻塞性肺疾病(簡稱慢阻肺)和阻塞性睡眠呼吸暫停低通氣綜合征(obstructive sleep apnea hypopnea syndrome,OSAHS)均可引起低氧血癥,繼而出現肺動脈高壓,最終引起肺源性心臟病。臨床上,二者合并發生可稱為重疊綜合征(overlap syndrome)。臨床研究表明,慢阻肺、OSAHS 均存在血管內皮損傷,OS 患者內皮功能紊亂更重,且與疾病嚴重程度相關[1]。本研究構建了熏煙型、間歇低氧型以及熏煙–間歇低氧雙重暴露型大鼠,評估三種疾病模型肺組織、主動脈病理改變差異;并檢測了各模型血清中血管內皮損傷相關因子,內皮素-1(endothelin-1,ET-1)、內皮型一氧化氮合酶(endothelial nitric oxide synthase,eNOS)、血管內皮生長因子(vascular endothelial growth factor,VEGF)、基質細胞衍生因子-1(stromal cell-derived factor-1α,SDF-1α)水平差異,旨在為今后深入探討重疊綜合征的病理生理機制奠定基礎。
1 材料與方法
1.1 材料
紅梅牌烤煙型香煙(紅塔煙草有限責任公司,焦油量 11 mg,煙氣煙堿量 1.0 mg,煙氣 CO 量:12 mg);熏煙艙(自制);99% 純氮(昆明氧氣廠);無油空氣壓縮機(浙江羅迪機電科技有限公司);空氣減壓表、氮氣減壓表(青島華青集團有限公司);電磁閥(上海天鑫氣動公司),氣體流量表(余姚市登月醫療器械有限公司);氧氣檢測儀(常州愛德克斯儀器儀表有限公司);蘇木精–伊紅(hematoxylin-eosin,HE)染色液及 Masson 染色試劑盒(索萊寶公司);顯微鏡(Nikon);酶聯免疫吸附試驗試劑盒(CUSABIO 公司);酶標儀。
1.2 方法
1.2.1 模型構建方法
健康 SPF 級雌性 6 周齡 SD 大鼠 24 只,體質量 150~180 g,購自昆明醫科大學實驗動物中心,飼養于昆明總醫院動物實驗中心。大鼠隨機分為對照組、熏煙暴露組、間歇低氧組及重疊組,每組 6 只。該實驗通過我院倫理審查委員會批準。對照組予假熏煙和間歇正常氧暴露;熏煙暴露組構建采用自制熏煙艙[2],熏煙方案:5 支/5 支/5 支方式連續點燃,約 45 min,艙內煙霧體積百分比約為 15%,每天 8 時和 17 時 30 分(非睡眠時段)共兩次,約 90 min,共 8 周;間歇低氧組大鼠采用間歇低氧控制系統[3],用 PT803 氧氣檢測儀監測氧濃度,采用相對標準和單一的間歇低氧暴露方案,即 99% 平衡 N2 30 s 空氣 90 s,氣體流速 10 L/min,最低氧濃度 5%,30 次/h,8 h/d(9 時~17 時),共 8 周;重疊組予上述兩種方案雙重暴露,構建重疊綜合征模型[4]。四組均于實驗時禁水、禁食 10 h/d。
1.2.2 觀察指標
造模結束后,稱取大鼠體重;予大鼠腹腔注射 10% 水合氯醛(0.3 mL/100 g)麻醉,普通采血管主動脈取血 6~8 mL,室溫靜置 2 h,以 3 000 r/min 離心 15 min,分裝后–70 ℃ 保存;采用酶聯免疫吸附試驗試劑盒分別檢測血清 ET-1[5]、eNOS[6]、VEGF[7]、SDF-1α[8]水平。取出心臟,沿室間溝邊緣分離右心室(RV),用濾紙吸去血液、鹽水,分別稱取 RV 和左心室加室間隔(LV+S)的重量,按公式右心室肥厚指數(right ventricular hypertrophy index,RVHI)=RV/(S+LV)% 計算 RVHI;取右肺下葉肺組織,常規石蠟包埋、切片,行 HE 染色作常規病理學檢查,每例標本選 2 張切片,在光鏡下(×100)觀察,每張切片隨機取上、下、中 3 個視野,盡量避開支氣管及大、中血管,在每個視野正中心劃十字交叉線,計算與交叉線相交的肺泡間隔數(Ns)和每個視野內肺泡數(Na),同時測十字線總長(L)和每個視野面積(S)(mm2),按公式平均內襯間隔(MLI)=L/Ns 計算 MLI,其數值反映肺泡平均直徑(μm)。按公式平均肺泡數(MAN)=Na/S,計算平均肺泡數,其數值反映肺泡的密度。取右肺下葉肺組織、胸主動脈行常規石蠟包埋、切片,行 Masson 染色,光鏡觀察。
1.3 統計學方法
采用 SPSS 17.0 統計軟件。計量資料采用均數±標準差(±s)表示,多組比較采用單因素方差分析,組間比較若符合方差齊性檢驗,采用 LSD 檢驗,若不符合方差齊性檢驗,用 Tamhane 檢驗。P<0.05 為差異有統計學意義。
2 結果
2.1 各組大鼠一般情況觀察
熏煙暴露組和重疊組的大鼠熏煙初始時較煩躁,易激惹,跳動不停,隨后表現為熏煙時喜聚集成堆、少動、閉眼,隨著熏煙時程延長,逐漸出現喘息、流涎、間歇咳嗽,造 2~3 周 后可聞及喘鳴音,皮毛泛黃、脫落,精神萎靡,食欲下降,體型消瘦,活動能力下降;間歇低氧組大鼠間歇低氧初始時表現為煩躁、跳動不停及喘息,隨后聚集成堆,間斷入睡,食欲下降,體型消瘦;對照組大鼠實驗前后活動正常,食欲良好,體肥,皮毛光亮無脫落,無呼吸氣促和紫紺。
2.2 各組大鼠體重、RVHI、肺病理半定量分析
熏煙暴露組、間歇低氧組和重疊組大鼠體重均較對照組輕,RVHI 均較對照組高(均 P<0.05);熏煙暴露組、間歇低氧組間體重、RVHI 比較,差異無統計學意義;重疊組與熏煙暴露組、間歇低氧組比較,體重、RVHI 差異均有統計學意義(均 P<0.05)。各組大鼠 MAN、MLI 比較,差異有統計學意義(P<0.01);熏煙暴露組、重疊組大鼠 MAN 均較對照組少,重疊組較熏煙暴露組更少(均 P<0.05),間歇低氧組與對照組比較,差異無統計學意義;熏煙暴露組、重疊組大鼠 MLI 均較對照組大,重疊組較熏煙暴露組更大(均 P<0.05),間歇低氧組與對照組比較,差異無統計學意義。熏煙暴露組、重疊組 MAN、MLI 改變符合肺氣腫病理,重疊組肺氣腫更重,而間歇低氧組無明顯肺氣腫。結果見表 1。


2.3 血清 ET-1、eNOS、VEGF、SDF-1α 水平比較
與對照組比較,熏煙暴露、間歇低氧、重疊組大鼠血清 ET-1、VEGF、SDF-1α 水平均較高,eNOS 水平降低,差異有統計學意義(均 P<0.05),對照、重疊組間差異最明顯;熏煙暴露、間歇低氧組間比較,間歇低氧組 VEGF 水平較高,其余三個因子比較,差異無統計學意義;重疊組分別與熏煙暴露、間歇低氧組比較,ET-1、SDF-1α 均較高(均 P<0.05);重疊組 eNOS 較間歇低氧組高,VEGF 較熏煙暴露組高。結果見表 2。


2.4 肺組織 HE 染色
對照組大鼠肺組織結構基本正常,肺泡上皮完整,肺泡大小、分布相對均勻,肺泡腔及支氣管腔無明顯炎細胞及滲出物,肺間質無增厚等;熏煙暴露組肺氣腫形成,肺泡腔擴大,部分肺泡破裂融合,肺泡腔內見炎性滲出,支氣管壁大量淋巴細胞增生、細支氣管管壁平滑肌增生、杯狀細胞增生等改變;間歇低氧組肺間質淋巴細胞浸潤,間質增厚,氣管壁淋巴細胞浸潤,部分血管壁淋巴細胞、漿細胞浸潤;重疊組肺氣腫明顯,肺間質淋巴細胞、中性粒細胞浸潤更明顯,支氣管壁大量淋巴細胞增生、細支氣管管壁平滑肌增生、杯狀細胞增生等改變。熏煙暴露組和重疊組大鼠的肺氣腫病理學特征明顯,表現為炎細胞浸潤、MLI 增加和 MAN 減少,重疊組更明顯。結果見圖 1。

a. 對照組;b. 熏煙暴露組;c. 間歇低氧組;d. 重疊組。b、c、d 中肺泡破裂融合;肺泡可見明顯擴大;間質增厚,氣管壁淋巴細胞浸潤,支氣管杯狀細胞增生
2.5 肺組織 Masson 染色
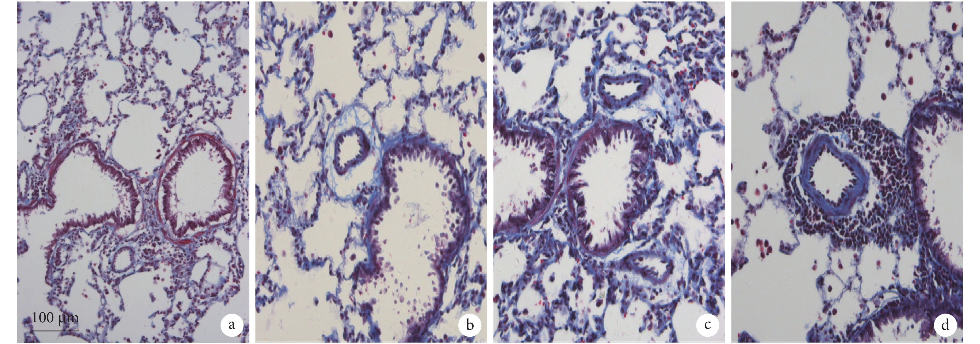
Masson 染色下,肺組織中的肌纖維呈紅色,膠原纖維呈藍色,三個模型組與對照組相比,肌纖維著色明顯減少,膠原纖維大量沉積,氣道壁結構重塑,細支氣管平滑肌肌層增厚,支氣管管壁及外周炎癥滲出,其中重疊組最明顯;對照組大鼠肺小動脈內皮細胞扁平連續,分布均勻,厚薄一致,中膜肌層較薄,外膜僅有少量膠原纖維;熏煙暴露組大鼠肺小動脈肌化稍增強,外膜膠原纖維沉積;間歇低氧組、重疊組肺小動脈肌化明顯增強,外膜膠原纖維高度沉積,血管壁正常結構喪失,血管周圍炎癥明顯,肺間質增厚,重疊組最為明顯。結果見圖 2。

a. 對照組;b. 熏煙暴露組;c. 間歇低氧組;d. 重疊組。b、c、d 中組肺小動脈肌化增強,外膜膠原纖維高度沉積,血管周圍炎癥明顯
2.6 主動脈病理切片 HE 染色
對照組大鼠主動脈內膜光滑、平整,內皮排列完整有序,中膜的平滑肌細胞完整,排列規則。熏煙暴露、間歇低氧、重疊組出現血管壁增厚,內膜斷裂、粗糙、不規整,內皮細胞排列紊亂、腫脹脫落,中膜平滑肌細胞肥大、排列紊亂,血管中膜厚度明顯增加。結果見圖 3。

a. 對照組;b. 熏煙暴露組;c. 間歇低氧組;d. 重疊組。b、c、d 中主動脈血管壁增厚,內皮細胞排列紊亂、腫脹脫落,血管中膜厚度明顯增加
2.7 主動脈 Masson 染色
對照組大鼠主動脈管壁膠原纖維分布均勻,膠原纖維網完好,血管周圍有少量藍色膠原纖維,纖維化程度輕。三個模型組與對照組相比,肌纖維著色不同程度減少,膠原纖維染色不同程度增加,血管周圍膠原纖維染色增加,重疊組改變最為明顯。結果見圖 4。

a. 對照組;b. 熏煙暴露組;c. 間歇低氧組;d. 重疊組。b、c、d 中主動脈肌纖維著色不同程度減少,膠原纖維染色不同程度增加
3 討論
慢阻肺是以持續氣流受限、外周氣道阻塞、肺實質破壞、肺血管的異常進一步導致肺功能受損,從而并發肺動脈高壓、肺心病等。OSAHS 睡眠時間歇性呼吸暫停導致夜間呈現間歇性低氧狀態,嚴重者夜間血氧飽和度可降至 40%,日間清醒時無低氧血癥。研究表明,動脈粥樣硬化和心血管疾病是慢阻肺和 OSAHS 的主要合并癥[9]。Flenley[10]首次將慢阻肺和 OSAHS 的共同存在命名為重疊綜合征(overlap syndrome)。研究證明,與單獨患有慢阻肺和 OSAHS 的患者相比,同時患有慢阻肺和 OSAHS 患者夜間氧飽和度降低,且睡眠障礙更嚴重[11]。Marin 等[12]研究發現,患有慢阻肺和 OSAHS 重疊綜合征的患者比單獨慢阻肺或 OSAHS 的患者生存率低。與單獨慢阻肺患者相比,重疊綜合征的患者心臟損傷更嚴重[13-14]。因此,對重疊綜合征的研究引起了越來越多科學家的關注。但是對重疊綜合征的研究卻很少,而這種疾病又很難完全復制在動物模型中。研究顯示,香煙暴露可使循環內皮微粒增加,影響凋亡細胞的清除,導致內皮損傷,但此循環內皮微粒的結構、功能及釋放機制尚不清楚[15]。間歇低氧暴露模擬了 OSAHS 患者夜間間歇性低氧–再氧合循環狀態,目前廣泛應用于動物實驗研究。即使煙熏和間歇低氧聯合處理的大鼠不能完全等同于臨床上的慢阻肺和 OSAHS,但也可以為重疊綜合征提供理論研究基礎。本研究中旨在動物模型中驗證,熏煙聯合間歇低氧暴露是否會比單獨處理損傷更嚴重。
本研究中,肺組織 HE 染色半定量分析結果證明,熏煙暴露、重疊組均有明顯的肺氣腫,重疊組較熏煙暴露組明顯(P<0.05),熏煙暴露、間歇低氧、重疊組均顯示不同程度的肺間質炎癥浸潤、支氣管壁淋巴細胞增生及肺纖維化,符合各疾病模型特征。心肌肥厚數據顯示,重疊組的右心室肥厚指標顯著高于熏煙暴露組和間歇低氧組。有研究表明,持續熏煙 6 個月后,小鼠右心室壓力較對照組相比明顯增高,肺動脈管壁明顯增厚,右心室明顯肥厚[16]。這與我們的研究結果一致。肺血管重塑會影響小氣道功能,使肺泡通氣量下降,導致肺節段性缺氧和通氣血流比例失調,引發肺血管收縮,兩者相互影響進一步加重肺血管重塑[17]。臨床研究亦顯示重疊綜合征較單純的肺氣腫或 OSAHS 右心室肥厚更嚴重[1]。這說明熏煙暴露與間歇低氧聯合處理組較單獨處理造成了更嚴重的肺損傷。主動脈 HE 及 Masson 染色觀察示熏煙暴露、間歇低氧、重疊組呈現不同程度的主動脈內皮粗糙、斷裂、細胞損傷,中膜增厚、平滑肌細胞肥大、排列紊亂,膠原纖維增生情況;肺小動脈壁呈現不同程度增厚、纖維化、周圍炎癥浸潤等改變。重疊組病理學特征更明顯。這提示了煙熏、間歇低氧可能通過損傷血管內皮,導致血管內皮損傷、修復失衡,血管內皮結構及功能紊亂,進而導致肺小動脈及大動脈血管壁結構重塑,雙重暴露時,血管結構重塑更加明顯。因此,我們隨后又檢測了內皮損傷的標志物,驗證是否重疊組存在更嚴重的內皮損傷。
血管內皮的完整性對于人體血液循環和全身組織的生理屏障的作用至關重要,血管內皮損傷是一系列血管問題的使動環節,其中包括很重要、最常見的動脈粥樣硬化問題,內皮損傷繼而發生的功能障礙會引起血管收縮、血液高凝甚至形成血栓等,最終引起一系列心腦血管事件的發生。慢阻肺及 OSAHS 的發病和病情進展均涉及缺氧、炎癥、氧化應激、交感神經活性改變等,這些因素均可引起血管內皮損傷及功能障礙[18]。NO 和 ET-1 是相拮抗的內皮源性舒張因子,兩者在血管中處于動態平衡的狀態,共同參與有效調節血管舒縮功能及血液動力學,可有效反映血管內皮功能[19]。NO 由 eNOS 催化底物 L-精氨酸合成,低氧造成內皮細胞 eNOS 合成減少、活性降低。血管內皮細胞產生和分泌的 ET-1 是具有強烈的縮血管作用[20]。VEGF 是特異性促進血管內皮細胞有絲分裂的生長因子,具有較強的增加血管通透性的作用,其合成和分泌受缺氧、癌基因、細胞因子、細胞間質成分等因素影響[21]。SDF-1α 是細胞膜半胱氨酸-X-半胱氨酸(CXC)趨化因子之一,祖細胞可表達 SDF-1α 及其受體 CXCR-4,SDF-1α 可通過 CXCR-4 動員內皮祖細胞到外周血,并遷移到血管受損處,修復損傷的血管內皮及促進新生血管形成[22-23]。目前,通過檢測血清中上述內皮細胞功能標志物來間接反映血管內皮損傷及功能情況已被廣泛應用于臨床及動物實驗研究。本研究中,熏煙暴露組、間歇低氧組、重疊組血清中 ET-1、VEGF、SDF-1α 水平均較對照組高,eNOS 水平較對照組低(均 P<0.05),對照組、重疊組間差異最明顯。這提示熏煙、間歇低氧聯合處理加重了大鼠血管內皮損傷,導致血管內皮損傷及功能障礙。有研究顯示,缺氧時,血管內皮細胞合成一種缺氧誘導因子,激活缺氧感受基因,引起 VEGF 表達上調,蛋白合成增加[24]。間歇低氧可激發、刺激大量交感刺激因子逐漸釋放以適應低氧,主要包含 HIF-1α、VEGF、SDF-1α 等因子[19]。重疊綜合征患者血清 VEGF 水平高于中重度慢阻肺及中重度 OSAHS 患者,考慮系重疊綜合征患者缺氧程度較單純的慢阻肺或 OSAHS 嚴重所致[25]。另一項研究中,老年重疊綜合征患者 NO 顯著降低,ET-1 顯著增高,NO/ET-1 比值下降提示有血管內皮細胞功能損傷的存在[26]。這與我們檢測的內皮損傷指標的變化一致。這充分說明了熏煙、間歇低氧聯合處理加重了大鼠血管內皮損傷及功能障礙,進而加重了大鼠的肺損傷。但其損傷的詳細機制還有待進一步研究。
而熏煙暴露組、間歇低氧組間比較,間歇低氧組 VEGF 水平較熏煙暴露組高,其余三個因子無統計學差異,這并不能說明熏煙、間歇低氧對血管內皮損傷孰輕孰重,二者的損傷因素、機制等均不同,因此二者比較無客觀意義。重疊組分別與熏煙暴露組、間歇低氧組比較,ET-1、SDF-1α 均較高(均 P<0.05),重疊組 eNOS 較間歇低氧組低(P<0.05),VEGF 較熏煙暴露組高(均 P<0.05),提示熏煙–間歇低氧雙重暴露可致使血管內皮合成分泌保護性因子、促血管生成因子減少,血管內皮損傷比單一的熏煙或間歇低氧暴露更加嚴重,二者可能協同加重血管內皮的損傷,但目前尚缺乏明確研究依據。另外,三種模型肺小血管均有不同程度的炎癥細胞浸潤,重疊組最明顯,提示炎癥反應可能參與血管內皮損傷及血管重塑。
綜上所述,熏煙、間歇低氧均可引起血管內皮細胞結構損傷、功能紊亂,進而引起肺小動脈、主動脈發生增厚、纖維化等結構重塑。而聯合煙熏和間歇低氧雙重暴露的血管內皮損傷、內皮功能紊亂及血管病理損傷更嚴重。重疊綜合征的血管內皮損傷具體分子機制仍需要進一步探究。本研究為后續研究重疊綜合征的發生機制及針對性治療手段提供了理論基礎。
利益沖突:本研究不涉及任何利益沖突。
慢性阻塞性肺疾病(簡稱慢阻肺)和阻塞性睡眠呼吸暫停低通氣綜合征(obstructive sleep apnea hypopnea syndrome,OSAHS)均可引起低氧血癥,繼而出現肺動脈高壓,最終引起肺源性心臟病。臨床上,二者合并發生可稱為重疊綜合征(overlap syndrome)。臨床研究表明,慢阻肺、OSAHS 均存在血管內皮損傷,OS 患者內皮功能紊亂更重,且與疾病嚴重程度相關[1]。本研究構建了熏煙型、間歇低氧型以及熏煙–間歇低氧雙重暴露型大鼠,評估三種疾病模型肺組織、主動脈病理改變差異;并檢測了各模型血清中血管內皮損傷相關因子,內皮素-1(endothelin-1,ET-1)、內皮型一氧化氮合酶(endothelial nitric oxide synthase,eNOS)、血管內皮生長因子(vascular endothelial growth factor,VEGF)、基質細胞衍生因子-1(stromal cell-derived factor-1α,SDF-1α)水平差異,旨在為今后深入探討重疊綜合征的病理生理機制奠定基礎。
1 材料與方法
1.1 材料
紅梅牌烤煙型香煙(紅塔煙草有限責任公司,焦油量 11 mg,煙氣煙堿量 1.0 mg,煙氣 CO 量:12 mg);熏煙艙(自制);99% 純氮(昆明氧氣廠);無油空氣壓縮機(浙江羅迪機電科技有限公司);空氣減壓表、氮氣減壓表(青島華青集團有限公司);電磁閥(上海天鑫氣動公司),氣體流量表(余姚市登月醫療器械有限公司);氧氣檢測儀(常州愛德克斯儀器儀表有限公司);蘇木精–伊紅(hematoxylin-eosin,HE)染色液及 Masson 染色試劑盒(索萊寶公司);顯微鏡(Nikon);酶聯免疫吸附試驗試劑盒(CUSABIO 公司);酶標儀。
1.2 方法
1.2.1 模型構建方法
健康 SPF 級雌性 6 周齡 SD 大鼠 24 只,體質量 150~180 g,購自昆明醫科大學實驗動物中心,飼養于昆明總醫院動物實驗中心。大鼠隨機分為對照組、熏煙暴露組、間歇低氧組及重疊組,每組 6 只。該實驗通過我院倫理審查委員會批準。對照組予假熏煙和間歇正常氧暴露;熏煙暴露組構建采用自制熏煙艙[2],熏煙方案:5 支/5 支/5 支方式連續點燃,約 45 min,艙內煙霧體積百分比約為 15%,每天 8 時和 17 時 30 分(非睡眠時段)共兩次,約 90 min,共 8 周;間歇低氧組大鼠采用間歇低氧控制系統[3],用 PT803 氧氣檢測儀監測氧濃度,采用相對標準和單一的間歇低氧暴露方案,即 99% 平衡 N2 30 s 空氣 90 s,氣體流速 10 L/min,最低氧濃度 5%,30 次/h,8 h/d(9 時~17 時),共 8 周;重疊組予上述兩種方案雙重暴露,構建重疊綜合征模型[4]。四組均于實驗時禁水、禁食 10 h/d。
1.2.2 觀察指標
造模結束后,稱取大鼠體重;予大鼠腹腔注射 10% 水合氯醛(0.3 mL/100 g)麻醉,普通采血管主動脈取血 6~8 mL,室溫靜置 2 h,以 3 000 r/min 離心 15 min,分裝后–70 ℃ 保存;采用酶聯免疫吸附試驗試劑盒分別檢測血清 ET-1[5]、eNOS[6]、VEGF[7]、SDF-1α[8]水平。取出心臟,沿室間溝邊緣分離右心室(RV),用濾紙吸去血液、鹽水,分別稱取 RV 和左心室加室間隔(LV+S)的重量,按公式右心室肥厚指數(right ventricular hypertrophy index,RVHI)=RV/(S+LV)% 計算 RVHI;取右肺下葉肺組織,常規石蠟包埋、切片,行 HE 染色作常規病理學檢查,每例標本選 2 張切片,在光鏡下(×100)觀察,每張切片隨機取上、下、中 3 個視野,盡量避開支氣管及大、中血管,在每個視野正中心劃十字交叉線,計算與交叉線相交的肺泡間隔數(Ns)和每個視野內肺泡數(Na),同時測十字線總長(L)和每個視野面積(S)(mm2),按公式平均內襯間隔(MLI)=L/Ns 計算 MLI,其數值反映肺泡平均直徑(μm)。按公式平均肺泡數(MAN)=Na/S,計算平均肺泡數,其數值反映肺泡的密度。取右肺下葉肺組織、胸主動脈行常規石蠟包埋、切片,行 Masson 染色,光鏡觀察。
1.3 統計學方法
采用 SPSS 17.0 統計軟件。計量資料采用均數±標準差(±s)表示,多組比較采用單因素方差分析,組間比較若符合方差齊性檢驗,采用 LSD 檢驗,若不符合方差齊性檢驗,用 Tamhane 檢驗。P<0.05 為差異有統計學意義。
2 結果
2.1 各組大鼠一般情況觀察
熏煙暴露組和重疊組的大鼠熏煙初始時較煩躁,易激惹,跳動不停,隨后表現為熏煙時喜聚集成堆、少動、閉眼,隨著熏煙時程延長,逐漸出現喘息、流涎、間歇咳嗽,造 2~3 周 后可聞及喘鳴音,皮毛泛黃、脫落,精神萎靡,食欲下降,體型消瘦,活動能力下降;間歇低氧組大鼠間歇低氧初始時表現為煩躁、跳動不停及喘息,隨后聚集成堆,間斷入睡,食欲下降,體型消瘦;對照組大鼠實驗前后活動正常,食欲良好,體肥,皮毛光亮無脫落,無呼吸氣促和紫紺。
2.2 各組大鼠體重、RVHI、肺病理半定量分析
熏煙暴露組、間歇低氧組和重疊組大鼠體重均較對照組輕,RVHI 均較對照組高(均 P<0.05);熏煙暴露組、間歇低氧組間體重、RVHI 比較,差異無統計學意義;重疊組與熏煙暴露組、間歇低氧組比較,體重、RVHI 差異均有統計學意義(均 P<0.05)。各組大鼠 MAN、MLI 比較,差異有統計學意義(P<0.01);熏煙暴露組、重疊組大鼠 MAN 均較對照組少,重疊組較熏煙暴露組更少(均 P<0.05),間歇低氧組與對照組比較,差異無統計學意義;熏煙暴露組、重疊組大鼠 MLI 均較對照組大,重疊組較熏煙暴露組更大(均 P<0.05),間歇低氧組與對照組比較,差異無統計學意義。熏煙暴露組、重疊組 MAN、MLI 改變符合肺氣腫病理,重疊組肺氣腫更重,而間歇低氧組無明顯肺氣腫。結果見表 1。


2.3 血清 ET-1、eNOS、VEGF、SDF-1α 水平比較
與對照組比較,熏煙暴露、間歇低氧、重疊組大鼠血清 ET-1、VEGF、SDF-1α 水平均較高,eNOS 水平降低,差異有統計學意義(均 P<0.05),對照、重疊組間差異最明顯;熏煙暴露、間歇低氧組間比較,間歇低氧組 VEGF 水平較高,其余三個因子比較,差異無統計學意義;重疊組分別與熏煙暴露、間歇低氧組比較,ET-1、SDF-1α 均較高(均 P<0.05);重疊組 eNOS 較間歇低氧組高,VEGF 較熏煙暴露組高。結果見表 2。


2.4 肺組織 HE 染色
對照組大鼠肺組織結構基本正常,肺泡上皮完整,肺泡大小、分布相對均勻,肺泡腔及支氣管腔無明顯炎細胞及滲出物,肺間質無增厚等;熏煙暴露組肺氣腫形成,肺泡腔擴大,部分肺泡破裂融合,肺泡腔內見炎性滲出,支氣管壁大量淋巴細胞增生、細支氣管管壁平滑肌增生、杯狀細胞增生等改變;間歇低氧組肺間質淋巴細胞浸潤,間質增厚,氣管壁淋巴細胞浸潤,部分血管壁淋巴細胞、漿細胞浸潤;重疊組肺氣腫明顯,肺間質淋巴細胞、中性粒細胞浸潤更明顯,支氣管壁大量淋巴細胞增生、細支氣管管壁平滑肌增生、杯狀細胞增生等改變。熏煙暴露組和重疊組大鼠的肺氣腫病理學特征明顯,表現為炎細胞浸潤、MLI 增加和 MAN 減少,重疊組更明顯。結果見圖 1。

a. 對照組;b. 熏煙暴露組;c. 間歇低氧組;d. 重疊組。b、c、d 中肺泡破裂融合;肺泡可見明顯擴大;間質增厚,氣管壁淋巴細胞浸潤,支氣管杯狀細胞增生
2.5 肺組織 Masson 染色
Masson 染色下,肺組織中的肌纖維呈紅色,膠原纖維呈藍色,三個模型組與對照組相比,肌纖維著色明顯減少,膠原纖維大量沉積,氣道壁結構重塑,細支氣管平滑肌肌層增厚,支氣管管壁及外周炎癥滲出,其中重疊組最明顯;對照組大鼠肺小動脈內皮細胞扁平連續,分布均勻,厚薄一致,中膜肌層較薄,外膜僅有少量膠原纖維;熏煙暴露組大鼠肺小動脈肌化稍增強,外膜膠原纖維沉積;間歇低氧組、重疊組肺小動脈肌化明顯增強,外膜膠原纖維高度沉積,血管壁正常結構喪失,血管周圍炎癥明顯,肺間質增厚,重疊組最為明顯。結果見圖 2。

a. 對照組;b. 熏煙暴露組;c. 間歇低氧組;d. 重疊組。b、c、d 中組肺小動脈肌化增強,外膜膠原纖維高度沉積,血管周圍炎癥明顯
2.6 主動脈病理切片 HE 染色
對照組大鼠主動脈內膜光滑、平整,內皮排列完整有序,中膜的平滑肌細胞完整,排列規則。熏煙暴露、間歇低氧、重疊組出現血管壁增厚,內膜斷裂、粗糙、不規整,內皮細胞排列紊亂、腫脹脫落,中膜平滑肌細胞肥大、排列紊亂,血管中膜厚度明顯增加。結果見圖 3。

a. 對照組;b. 熏煙暴露組;c. 間歇低氧組;d. 重疊組。b、c、d 中主動脈血管壁增厚,內皮細胞排列紊亂、腫脹脫落,血管中膜厚度明顯增加
2.7 主動脈 Masson 染色
對照組大鼠主動脈管壁膠原纖維分布均勻,膠原纖維網完好,血管周圍有少量藍色膠原纖維,纖維化程度輕。三個模型組與對照組相比,肌纖維著色不同程度減少,膠原纖維染色不同程度增加,血管周圍膠原纖維染色增加,重疊組改變最為明顯。結果見圖 4。

a. 對照組;b. 熏煙暴露組;c. 間歇低氧組;d. 重疊組。b、c、d 中主動脈肌纖維著色不同程度減少,膠原纖維染色不同程度增加
3 討論
慢阻肺是以持續氣流受限、外周氣道阻塞、肺實質破壞、肺血管的異常進一步導致肺功能受損,從而并發肺動脈高壓、肺心病等。OSAHS 睡眠時間歇性呼吸暫停導致夜間呈現間歇性低氧狀態,嚴重者夜間血氧飽和度可降至 40%,日間清醒時無低氧血癥。研究表明,動脈粥樣硬化和心血管疾病是慢阻肺和 OSAHS 的主要合并癥[9]。Flenley[10]首次將慢阻肺和 OSAHS 的共同存在命名為重疊綜合征(overlap syndrome)。研究證明,與單獨患有慢阻肺和 OSAHS 的患者相比,同時患有慢阻肺和 OSAHS 患者夜間氧飽和度降低,且睡眠障礙更嚴重[11]。Marin 等[12]研究發現,患有慢阻肺和 OSAHS 重疊綜合征的患者比單獨慢阻肺或 OSAHS 的患者生存率低。與單獨慢阻肺患者相比,重疊綜合征的患者心臟損傷更嚴重[13-14]。因此,對重疊綜合征的研究引起了越來越多科學家的關注。但是對重疊綜合征的研究卻很少,而這種疾病又很難完全復制在動物模型中。研究顯示,香煙暴露可使循環內皮微粒增加,影響凋亡細胞的清除,導致內皮損傷,但此循環內皮微粒的結構、功能及釋放機制尚不清楚[15]。間歇低氧暴露模擬了 OSAHS 患者夜間間歇性低氧–再氧合循環狀態,目前廣泛應用于動物實驗研究。即使煙熏和間歇低氧聯合處理的大鼠不能完全等同于臨床上的慢阻肺和 OSAHS,但也可以為重疊綜合征提供理論研究基礎。本研究中旨在動物模型中驗證,熏煙聯合間歇低氧暴露是否會比單獨處理損傷更嚴重。
本研究中,肺組織 HE 染色半定量分析結果證明,熏煙暴露、重疊組均有明顯的肺氣腫,重疊組較熏煙暴露組明顯(P<0.05),熏煙暴露、間歇低氧、重疊組均顯示不同程度的肺間質炎癥浸潤、支氣管壁淋巴細胞增生及肺纖維化,符合各疾病模型特征。心肌肥厚數據顯示,重疊組的右心室肥厚指標顯著高于熏煙暴露組和間歇低氧組。有研究表明,持續熏煙 6 個月后,小鼠右心室壓力較對照組相比明顯增高,肺動脈管壁明顯增厚,右心室明顯肥厚[16]。這與我們的研究結果一致。肺血管重塑會影響小氣道功能,使肺泡通氣量下降,導致肺節段性缺氧和通氣血流比例失調,引發肺血管收縮,兩者相互影響進一步加重肺血管重塑[17]。臨床研究亦顯示重疊綜合征較單純的肺氣腫或 OSAHS 右心室肥厚更嚴重[1]。這說明熏煙暴露與間歇低氧聯合處理組較單獨處理造成了更嚴重的肺損傷。主動脈 HE 及 Masson 染色觀察示熏煙暴露、間歇低氧、重疊組呈現不同程度的主動脈內皮粗糙、斷裂、細胞損傷,中膜增厚、平滑肌細胞肥大、排列紊亂,膠原纖維增生情況;肺小動脈壁呈現不同程度增厚、纖維化、周圍炎癥浸潤等改變。重疊組病理學特征更明顯。這提示了煙熏、間歇低氧可能通過損傷血管內皮,導致血管內皮損傷、修復失衡,血管內皮結構及功能紊亂,進而導致肺小動脈及大動脈血管壁結構重塑,雙重暴露時,血管結構重塑更加明顯。因此,我們隨后又檢測了內皮損傷的標志物,驗證是否重疊組存在更嚴重的內皮損傷。
血管內皮的完整性對于人體血液循環和全身組織的生理屏障的作用至關重要,血管內皮損傷是一系列血管問題的使動環節,其中包括很重要、最常見的動脈粥樣硬化問題,內皮損傷繼而發生的功能障礙會引起血管收縮、血液高凝甚至形成血栓等,最終引起一系列心腦血管事件的發生。慢阻肺及 OSAHS 的發病和病情進展均涉及缺氧、炎癥、氧化應激、交感神經活性改變等,這些因素均可引起血管內皮損傷及功能障礙[18]。NO 和 ET-1 是相拮抗的內皮源性舒張因子,兩者在血管中處于動態平衡的狀態,共同參與有效調節血管舒縮功能及血液動力學,可有效反映血管內皮功能[19]。NO 由 eNOS 催化底物 L-精氨酸合成,低氧造成內皮細胞 eNOS 合成減少、活性降低。血管內皮細胞產生和分泌的 ET-1 是具有強烈的縮血管作用[20]。VEGF 是特異性促進血管內皮細胞有絲分裂的生長因子,具有較強的增加血管通透性的作用,其合成和分泌受缺氧、癌基因、細胞因子、細胞間質成分等因素影響[21]。SDF-1α 是細胞膜半胱氨酸-X-半胱氨酸(CXC)趨化因子之一,祖細胞可表達 SDF-1α 及其受體 CXCR-4,SDF-1α 可通過 CXCR-4 動員內皮祖細胞到外周血,并遷移到血管受損處,修復損傷的血管內皮及促進新生血管形成[22-23]。目前,通過檢測血清中上述內皮細胞功能標志物來間接反映血管內皮損傷及功能情況已被廣泛應用于臨床及動物實驗研究。本研究中,熏煙暴露組、間歇低氧組、重疊組血清中 ET-1、VEGF、SDF-1α 水平均較對照組高,eNOS 水平較對照組低(均 P<0.05),對照組、重疊組間差異最明顯。這提示熏煙、間歇低氧聯合處理加重了大鼠血管內皮損傷,導致血管內皮損傷及功能障礙。有研究顯示,缺氧時,血管內皮細胞合成一種缺氧誘導因子,激活缺氧感受基因,引起 VEGF 表達上調,蛋白合成增加[24]。間歇低氧可激發、刺激大量交感刺激因子逐漸釋放以適應低氧,主要包含 HIF-1α、VEGF、SDF-1α 等因子[19]。重疊綜合征患者血清 VEGF 水平高于中重度慢阻肺及中重度 OSAHS 患者,考慮系重疊綜合征患者缺氧程度較單純的慢阻肺或 OSAHS 嚴重所致[25]。另一項研究中,老年重疊綜合征患者 NO 顯著降低,ET-1 顯著增高,NO/ET-1 比值下降提示有血管內皮細胞功能損傷的存在[26]。這與我們檢測的內皮損傷指標的變化一致。這充分說明了熏煙、間歇低氧聯合處理加重了大鼠血管內皮損傷及功能障礙,進而加重了大鼠的肺損傷。但其損傷的詳細機制還有待進一步研究。
而熏煙暴露組、間歇低氧組間比較,間歇低氧組 VEGF 水平較熏煙暴露組高,其余三個因子無統計學差異,這并不能說明熏煙、間歇低氧對血管內皮損傷孰輕孰重,二者的損傷因素、機制等均不同,因此二者比較無客觀意義。重疊組分別與熏煙暴露組、間歇低氧組比較,ET-1、SDF-1α 均較高(均 P<0.05),重疊組 eNOS 較間歇低氧組低(P<0.05),VEGF 較熏煙暴露組高(均 P<0.05),提示熏煙–間歇低氧雙重暴露可致使血管內皮合成分泌保護性因子、促血管生成因子減少,血管內皮損傷比單一的熏煙或間歇低氧暴露更加嚴重,二者可能協同加重血管內皮的損傷,但目前尚缺乏明確研究依據。另外,三種模型肺小血管均有不同程度的炎癥細胞浸潤,重疊組最明顯,提示炎癥反應可能參與血管內皮損傷及血管重塑。
綜上所述,熏煙、間歇低氧均可引起血管內皮細胞結構損傷、功能紊亂,進而引起肺小動脈、主動脈發生增厚、纖維化等結構重塑。而聯合煙熏和間歇低氧雙重暴露的血管內皮損傷、內皮功能紊亂及血管病理損傷更嚴重。重疊綜合征的血管內皮損傷具體分子機制仍需要進一步探究。本研究為后續研究重疊綜合征的發生機制及針對性治療手段提供了理論基礎。
利益沖突:本研究不涉及任何利益沖突。