引用本文: 陳虎, 陳亮, 楊健, 張鶴, 涂雄文, 程玉生, 陸志偉. 免疫正常宿主侵襲性氣管支氣管曲霉病一例. 中國呼吸與危重監護雜志, 2019, 18(6): 581-583. doi: 10.7507/1671-6205.201801005 復制
曲霉是導致免疫缺陷人群發生致命感染的重要真菌之一,其高危人群包括惡性腫瘤患者、器官移植患者、長期粒細胞缺乏患者、使用糖皮質激素及遺傳性或獲得性免疫缺陷等,侵襲性氣管支氣管曲霉病(invasive tracheobronchial aspergillosis,ITBA)進展迅速,在既往免疫正常的重癥患者中可能會演變成爆發性感染。本文報道 1 例免疫正常宿主 ITBA 的診療經過及詳細的臨床資料,并結合文獻進行討論。
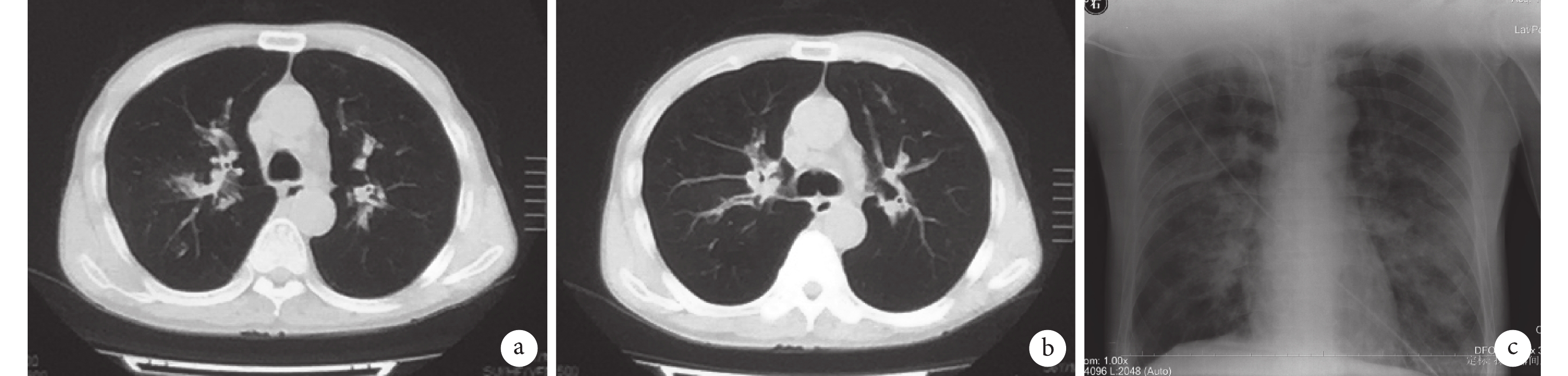
臨床資料 患者男性,56 歲,電焊工,因“咳嗽、胸悶 3 d,呼吸困難 1 d”于 2016 年 4 月 15 日入住我院呼吸內科普通病房。患者于 4 月 13 日出現咳嗽,痰不多,有胸悶,活動后明顯,至當地醫院就診,給予頭孢替安抗感染治療,患者自覺咳嗽、胸悶無緩解,漸出現呼吸困難,14 日行胸部 CT 檢查,提示雙肺斑片樣滲出(圖 1a、b),遂來我院急診,收住入院。既往有“痛風”病史 12 年,否認惡性腫瘤、器官移植、長期使用糖皮質激素及免疫抑制劑,否認吸煙。

a、b. 2016 年 4 月 14 日胸部 CT 檢查像,示雙肺散在斑片樣滲出;c. 2016 年 4 月 17 胸部 X 線檢查像,示雙肺滲出較前明顯增多
入院后查體:體溫 36.0 ℃,呼吸頻率 34 次/min,車床推入病房,脈搏 128 次/min,口唇紫紺,吸入空氣時氧飽和度 70%,鼻導管吸氧 5 L/min 時氧飽和度緩慢升至 90%,呼吸急促,左下肺可聞及呼氣相哮鳴音,右肺呼吸音稍減弱,心率 128 次/min,律齊。入院診斷:肺部感染,重癥肺炎可能、低氧血癥可能。
入院后給予鼻導管吸氧 5 L/min,急查動脈血氣分析示 pH 7.20,PaO2 91.4 mm Hg(1 mm Hg=0.113 kPa),PaCO2 41.7 mm Hg,BE –10.8 mmol/L,HCO3– 15.7 mmol/L,乳酸 1.1 mmol/L;血常規示白細胞計數 23.1×109/L,中性粒細胞百分比 93.9%,淋巴細胞計數 1.0×109/L,血紅蛋白 119 g/L,血小板計數 131×109/L;血 C 反應蛋白 284.62 mg/L,降鈣素原 3.85 ng/mL,1-3-β-D 葡聚糖<10 pg/mL;人類免疫缺陷病毒抗體陰性。考慮患者臨床表現與影像學不相符,嘗試使用亞胺培南 0.5 g 靜脈滴注 q8h 及常規支持對癥治療。16 日凌晨患者出現呼吸困難,意識模糊,復查動脈血氣分析 pH 7.013,PaCO2 升至 91.4 mm Hg,遂轉入呼吸科重癥監護室,緊急行氣管插管接呼吸機輔助通氣[同步間歇指令通氣模式,呼吸頻率 15 次/min,控制壓力 16 cm H2O(1 cm H2O=0.098 kPa),呼氣末正壓 6 cm H2O,吸氧濃度 60%],并給予適量補液及小劑量血管活性藥物去甲腎上腺素 0.01 μg/(min·kg)維持血壓。16 日白天多次出現呼吸機報警提示潮氣量低至 150 mL,動脈血氣分析提示 PaCO2 升高(高達 121 mm Hg)。行床邊氣管鏡檢查,鏡下見氣管、左右主支氣管及各段支氣管黏膜充血、水腫、炎癥樣改變,管腔內見大量黃白黏痰,留取痰標本送病原學培養,予以充分吸引及調整呼吸機參數后潮氣量有改觀,維持在 400 mL,結合本科室既往對相關文獻的學習,不能排除 ITBA 可能,但追問患者工作及工作場所均無吸入霉菌因素。17 日加用伏立康唑治療(第 1 天 6 mg/kg 靜脈滴注 q12h,隨后 4 mg/kg 靜脈滴注 q12h),但仍間斷出現潮氣量反復下降至 150 mL 左右,動態復查動脈血氣分析提示 PaCO2 上升(最高達 169 mm Hg),嚴重呼吸性酸中毒(pH 值最低為 6.45),胸部 X 線檢查提示雙肺沿氣管支氣管樹斑片樣滲出(圖 1c)。多次行氣管鏡吸痰處理,鏡下見黏膜潰瘍及壞死,且患者出現急性腎損傷,血肌酐為 470 mmol/L,需要大劑量血管活性藥物,去甲腎上腺素加量至 0.2 μg/(min·kg)才能勉強維持血壓(平均動脈壓 65 mm Hg)。18 日下午痰標本(16 日氣管鏡下留取)培養回報為煙曲霉(半定量 4+)(圖 2),診斷考慮為 ITBA、2 型呼吸衰竭、膿毒性休克、急性腎損傷,并加用卡泊芬凈(第 1 天 70 mg/d,然后 50 mg/d)聯合抗真菌治療。19 日開始給予床邊血液透析治療。20 日晨出現心跳驟停,搶救無效,宣布臨床死亡,家屬拒絕尸體解剖進一步明確死亡原因。

a. 菌落大體像,培養基上見大量煙曲霉菌落生長,呈棉花狀;b. 菌落顯微鏡像(蘇木精–伊紅×400),見煙曲霉產生的分生孢子頭,頂囊呈燒瓶頸樣
討論 曲霉是肺真菌病的主要致病菌之一,根據臨床表現,主要可分為侵襲性曲霉病、慢性曲霉病及過敏性曲霉病[1]。近年來,越來越多文獻報道,在部分患者中,曲霉僅累及或主要累及氣管、支氣管[2],而 ITBA 較少見[3],通常發生在器官移植、長期粒細胞缺乏或嚴重免疫抑制的患者,Fernández-Ruiz 等[4]研究中顯示 ITBA 患者中實體器官移植占 44.2%(主要為肺移植),21.2% 為血液系統腫瘤,中性粒細胞缺乏占 18.7%,71.8% 的患者在發病前接受過長期糖皮質激素治療。也有報道顯示 ITBA 可見于免疫功能完全正常者[5]。本例患者為中年男性,否認免疫抑制相關的基礎疾病,既往體健,出現膿毒性休克后病情急轉直下,呈爆發性感染。
ITBA 的臨床表現無特異性,臨床癥狀包括咳嗽、咳痰、發熱、咯血,部分患者表現為呼吸困難甚至呼吸衰竭,快速進展[4]。ITBA 僅累及或主要累及氣管支氣管,影像學早期可能僅表現為氣管支氣管管壁增厚,隨著曲菌的侵襲及疾病的進展,胸部影像學可出現結節、實變,甚至空洞形成,但這些均非 ITBA 特征性影像學改變,故胸部影像學對于 ITBA 診斷價值不大[6]。本例患者發病初期僅表現為咳嗽、胸悶,快速進展為呼吸困難及呼吸衰竭,后誘發膿毒性休克,且初始胸部 CT 無明顯重癥感染征象,病情進展后胸部 X 線檢查提示雙肺斑片樣滲出,若無豐富臨床經驗,單純從臨床表現及影像學確實難以做出準確判斷。
曲霉在氣道內爆發性感染后,其生長迅速,可導致進行呼吸困難,需要使用有創機械通氣及相關支持治療,而 ITBA 的臨床表現、影像學均無特異性,故其診斷往往不能迅速確立,延誤治療,所以積極的支氣管鏡檢查對于早期診斷、清除氣道內分泌物、留取標本甚至管腔壁的活檢及早期抗真菌治療有著至關重要的作用。ITBA 的氣管鏡鏡下主要表現為偽膜性分泌物、氣管支氣管結節斑塊和潰瘍性病變[7],對分泌物的吸取可緩解氣道阻塞,為藥物治療爭取時間。本例患者因快速出現呼吸困難、難以解釋的高碳酸血癥及氣道阻塞,床邊氣管鏡檢查見大量痰液及管壁炎癥樣改變,我們結合既往文獻學習,臨床診斷 ITBA,在患者入院 48 h 內做出了準確的診斷。
ITBA 最可靠的診斷標準是經支氣管活檢病理見真菌菌絲侵襲累及呼吸道基膜[8],本例因患者病情進展快,一般情況極差,未行鏡下活檢,實屬遺憾,所幸氣管鏡見典型管壁炎癥性改變,氣管鏡留痰多次培養分離出煙曲霉,并未耽誤臨床診斷。
侵襲性曲霉病的首選藥物為伏立康唑,部分學者推薦嘗試聯合棘白菌素類用藥可發揮相加或協同效應,因不同試驗的結果有矛盾之處,故指南僅給予弱推薦[1]。其他治療包括支氣管鏡下除去黏液堵塞,但可能誘發出血。對于肺移植受者,因其基礎情況特殊,推薦術后全身應用抗真菌治療或使用兩性霉素 B 吸入制劑[1]。本例患者入院后給予積極抗真菌治療,包括聯合抗真菌治療,多次氣管鏡去除氣道內黏液以求改善氣道阻塞,但患者病情進展快,最終仍難以逆轉。
綜上,臨床醫師應提高對 ITBA 的認識,根據臨床及影像學表現,尤其是氣管鏡鏡下改變盡早診斷 ITBA,并給予準確的藥物治療,若為爆發性病例,進展極快,病死率高。
利益沖突:本研究不涉及任何利益沖突。
曲霉是導致免疫缺陷人群發生致命感染的重要真菌之一,其高危人群包括惡性腫瘤患者、器官移植患者、長期粒細胞缺乏患者、使用糖皮質激素及遺傳性或獲得性免疫缺陷等,侵襲性氣管支氣管曲霉病(invasive tracheobronchial aspergillosis,ITBA)進展迅速,在既往免疫正常的重癥患者中可能會演變成爆發性感染。本文報道 1 例免疫正常宿主 ITBA 的診療經過及詳細的臨床資料,并結合文獻進行討論。
臨床資料 患者男性,56 歲,電焊工,因“咳嗽、胸悶 3 d,呼吸困難 1 d”于 2016 年 4 月 15 日入住我院呼吸內科普通病房。患者于 4 月 13 日出現咳嗽,痰不多,有胸悶,活動后明顯,至當地醫院就診,給予頭孢替安抗感染治療,患者自覺咳嗽、胸悶無緩解,漸出現呼吸困難,14 日行胸部 CT 檢查,提示雙肺斑片樣滲出(圖 1a、b),遂來我院急診,收住入院。既往有“痛風”病史 12 年,否認惡性腫瘤、器官移植、長期使用糖皮質激素及免疫抑制劑,否認吸煙。

a、b. 2016 年 4 月 14 日胸部 CT 檢查像,示雙肺散在斑片樣滲出;c. 2016 年 4 月 17 胸部 X 線檢查像,示雙肺滲出較前明顯增多
入院后查體:體溫 36.0 ℃,呼吸頻率 34 次/min,車床推入病房,脈搏 128 次/min,口唇紫紺,吸入空氣時氧飽和度 70%,鼻導管吸氧 5 L/min 時氧飽和度緩慢升至 90%,呼吸急促,左下肺可聞及呼氣相哮鳴音,右肺呼吸音稍減弱,心率 128 次/min,律齊。入院診斷:肺部感染,重癥肺炎可能、低氧血癥可能。
入院后給予鼻導管吸氧 5 L/min,急查動脈血氣分析示 pH 7.20,PaO2 91.4 mm Hg(1 mm Hg=0.113 kPa),PaCO2 41.7 mm Hg,BE –10.8 mmol/L,HCO3– 15.7 mmol/L,乳酸 1.1 mmol/L;血常規示白細胞計數 23.1×109/L,中性粒細胞百分比 93.9%,淋巴細胞計數 1.0×109/L,血紅蛋白 119 g/L,血小板計數 131×109/L;血 C 反應蛋白 284.62 mg/L,降鈣素原 3.85 ng/mL,1-3-β-D 葡聚糖<10 pg/mL;人類免疫缺陷病毒抗體陰性。考慮患者臨床表現與影像學不相符,嘗試使用亞胺培南 0.5 g 靜脈滴注 q8h 及常規支持對癥治療。16 日凌晨患者出現呼吸困難,意識模糊,復查動脈血氣分析 pH 7.013,PaCO2 升至 91.4 mm Hg,遂轉入呼吸科重癥監護室,緊急行氣管插管接呼吸機輔助通氣[同步間歇指令通氣模式,呼吸頻率 15 次/min,控制壓力 16 cm H2O(1 cm H2O=0.098 kPa),呼氣末正壓 6 cm H2O,吸氧濃度 60%],并給予適量補液及小劑量血管活性藥物去甲腎上腺素 0.01 μg/(min·kg)維持血壓。16 日白天多次出現呼吸機報警提示潮氣量低至 150 mL,動脈血氣分析提示 PaCO2 升高(高達 121 mm Hg)。行床邊氣管鏡檢查,鏡下見氣管、左右主支氣管及各段支氣管黏膜充血、水腫、炎癥樣改變,管腔內見大量黃白黏痰,留取痰標本送病原學培養,予以充分吸引及調整呼吸機參數后潮氣量有改觀,維持在 400 mL,結合本科室既往對相關文獻的學習,不能排除 ITBA 可能,但追問患者工作及工作場所均無吸入霉菌因素。17 日加用伏立康唑治療(第 1 天 6 mg/kg 靜脈滴注 q12h,隨后 4 mg/kg 靜脈滴注 q12h),但仍間斷出現潮氣量反復下降至 150 mL 左右,動態復查動脈血氣分析提示 PaCO2 上升(最高達 169 mm Hg),嚴重呼吸性酸中毒(pH 值最低為 6.45),胸部 X 線檢查提示雙肺沿氣管支氣管樹斑片樣滲出(圖 1c)。多次行氣管鏡吸痰處理,鏡下見黏膜潰瘍及壞死,且患者出現急性腎損傷,血肌酐為 470 mmol/L,需要大劑量血管活性藥物,去甲腎上腺素加量至 0.2 μg/(min·kg)才能勉強維持血壓(平均動脈壓 65 mm Hg)。18 日下午痰標本(16 日氣管鏡下留取)培養回報為煙曲霉(半定量 4+)(圖 2),診斷考慮為 ITBA、2 型呼吸衰竭、膿毒性休克、急性腎損傷,并加用卡泊芬凈(第 1 天 70 mg/d,然后 50 mg/d)聯合抗真菌治療。19 日開始給予床邊血液透析治療。20 日晨出現心跳驟停,搶救無效,宣布臨床死亡,家屬拒絕尸體解剖進一步明確死亡原因。

a. 菌落大體像,培養基上見大量煙曲霉菌落生長,呈棉花狀;b. 菌落顯微鏡像(蘇木精–伊紅×400),見煙曲霉產生的分生孢子頭,頂囊呈燒瓶頸樣
討論 曲霉是肺真菌病的主要致病菌之一,根據臨床表現,主要可分為侵襲性曲霉病、慢性曲霉病及過敏性曲霉病[1]。近年來,越來越多文獻報道,在部分患者中,曲霉僅累及或主要累及氣管、支氣管[2],而 ITBA 較少見[3],通常發生在器官移植、長期粒細胞缺乏或嚴重免疫抑制的患者,Fernández-Ruiz 等[4]研究中顯示 ITBA 患者中實體器官移植占 44.2%(主要為肺移植),21.2% 為血液系統腫瘤,中性粒細胞缺乏占 18.7%,71.8% 的患者在發病前接受過長期糖皮質激素治療。也有報道顯示 ITBA 可見于免疫功能完全正常者[5]。本例患者為中年男性,否認免疫抑制相關的基礎疾病,既往體健,出現膿毒性休克后病情急轉直下,呈爆發性感染。
ITBA 的臨床表現無特異性,臨床癥狀包括咳嗽、咳痰、發熱、咯血,部分患者表現為呼吸困難甚至呼吸衰竭,快速進展[4]。ITBA 僅累及或主要累及氣管支氣管,影像學早期可能僅表現為氣管支氣管管壁增厚,隨著曲菌的侵襲及疾病的進展,胸部影像學可出現結節、實變,甚至空洞形成,但這些均非 ITBA 特征性影像學改變,故胸部影像學對于 ITBA 診斷價值不大[6]。本例患者發病初期僅表現為咳嗽、胸悶,快速進展為呼吸困難及呼吸衰竭,后誘發膿毒性休克,且初始胸部 CT 無明顯重癥感染征象,病情進展后胸部 X 線檢查提示雙肺斑片樣滲出,若無豐富臨床經驗,單純從臨床表現及影像學確實難以做出準確判斷。
曲霉在氣道內爆發性感染后,其生長迅速,可導致進行呼吸困難,需要使用有創機械通氣及相關支持治療,而 ITBA 的臨床表現、影像學均無特異性,故其診斷往往不能迅速確立,延誤治療,所以積極的支氣管鏡檢查對于早期診斷、清除氣道內分泌物、留取標本甚至管腔壁的活檢及早期抗真菌治療有著至關重要的作用。ITBA 的氣管鏡鏡下主要表現為偽膜性分泌物、氣管支氣管結節斑塊和潰瘍性病變[7],對分泌物的吸取可緩解氣道阻塞,為藥物治療爭取時間。本例患者因快速出現呼吸困難、難以解釋的高碳酸血癥及氣道阻塞,床邊氣管鏡檢查見大量痰液及管壁炎癥樣改變,我們結合既往文獻學習,臨床診斷 ITBA,在患者入院 48 h 內做出了準確的診斷。
ITBA 最可靠的診斷標準是經支氣管活檢病理見真菌菌絲侵襲累及呼吸道基膜[8],本例因患者病情進展快,一般情況極差,未行鏡下活檢,實屬遺憾,所幸氣管鏡見典型管壁炎癥性改變,氣管鏡留痰多次培養分離出煙曲霉,并未耽誤臨床診斷。
侵襲性曲霉病的首選藥物為伏立康唑,部分學者推薦嘗試聯合棘白菌素類用藥可發揮相加或協同效應,因不同試驗的結果有矛盾之處,故指南僅給予弱推薦[1]。其他治療包括支氣管鏡下除去黏液堵塞,但可能誘發出血。對于肺移植受者,因其基礎情況特殊,推薦術后全身應用抗真菌治療或使用兩性霉素 B 吸入制劑[1]。本例患者入院后給予積極抗真菌治療,包括聯合抗真菌治療,多次氣管鏡去除氣道內黏液以求改善氣道阻塞,但患者病情進展快,最終仍難以逆轉。
綜上,臨床醫師應提高對 ITBA 的認識,根據臨床及影像學表現,尤其是氣管鏡鏡下改變盡早診斷 ITBA,并給予準確的藥物治療,若為爆發性病例,進展極快,病死率高。
利益沖突:本研究不涉及任何利益沖突。