引用本文: 蘇奕亮, 周瑛, 李秋紅, 張芬, 沈瓅, 胡洋, 張苑, 李惠萍. 成人支氣管異物三例報告并文獻復習. 中國呼吸與危重監護雜志, 2016, 15(5): 484-489. doi: 10.7507/1671-6205.2016112 復制
氣管、支氣管異物好發于兒童,1歲以內意外死亡病例中40%是由于呼吸道異物所致[1-2],而正常成人報道不多。本文介紹我院近期診斷的3例成人支氣管異物,并復習整理國內外文獻,旨在提高臨床醫生對成人支氣管異物的認識水平及診治水平。
臨床資料
病例1??患者男性,48歲,務農,因“間斷咯血1個月”入院。患者1個月前無明顯誘因下出現咳嗽,伴有咳痰,量少,多為白痰。間斷有咯血,色鮮紅,每日十余口,無發熱、乏力、盜汗、胸悶、胸痛、氣喘、惡心、嘔吐、頭暈、頭痛等癥狀。至當地醫院就診,胸部CT提示右肺下葉后外基底段支氣管狹窄,部分肺實變。予以口服抗感染及止血治療1周,效果欠佳。當地醫院行電子氣管鏡檢查,見右下葉支氣管管腔內新生物,表面可見膿痰及壞死物附著,懷疑腫瘤,活檢未找到腫瘤細胞、抗酸桿菌(-)。入我院前5 d咯血增多,每次咯血量約20 mL。吸煙20年,1包/d。否認酗酒史,否認家族性遺傳病史。入院時查體:神清,精神可,步入病房,皮膚鞏膜無黃染,淺表淋巴結未觸及腫大,氣管居中,口唇無發紺,雙肺呼吸音清,右下肺可聞及少許吸氣相哮鳴音,心、腹查體未見異常,雙下肢未見水腫,未見杵狀指(趾)。入院初步診斷:咯血原因待查:右肺腫瘤?
實驗室檢查:血尿大便常規均正常。肝腎功能、電解質、血脂、血凝全套正常,動脈血氣正常,紅細胞沉降率、C反應蛋白正常,類風濕因子陰性,結核抗體陰性。HIV抗體、梅毒、乙肝陰性。痰熒光染色抗酸桿菌3次均為陰性,風濕抗體檢測陰性,九項呼吸道感染病原體提示肺炎支原體抗體IgM(+),真菌(1-3)-β葡聚糖檢測(G試驗)陰性,半乳甘露聚糖檢測(GM試驗)陰性,T-SPOT:A抗原2,B抗原10 (正常參考值均<6)。血清腫瘤標記物均陰性,多種過敏原檢測陰性,隱球菌乳膠凝集試驗陰性,痰找癌細胞陰性,痰細菌、真菌培養陰性,心電圖提示竇性心律。空腹彩超、心臟彩超未見異常,肺功能正常。
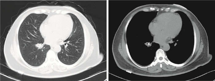
入院后予以抗感染、止血、止咳化痰等對癥治療,仍有間斷咯血。肺動脈CT血管成像提示右肺下葉外后基底段支氣管狹窄、伴多發斑塊影,邊界光整,疑似“粘液栓”,肺動脈及分支未見明顯充盈缺損(圖 1)。建議患者再次行氣管鏡檢查,但患者因外院已行氣管鏡,故拒絕再次行氣管鏡。根據患者胸部CT表現,高度懷疑患者右肺下葉外后基底段支氣管管腔內存在阻塞,并有粘液栓形成,經反復動員,患者最終同意再次行氣管鏡檢查。局麻下行氣管鏡探至右下葉后外基底段支氣管管口時,可見大量膿痰及壞死物覆蓋,疑似新生物,吸除膿痰及壞死物并予以生理鹽水15 mL灌洗后,發現右下葉后外基底段支氣管管口被完全阻塞,似有異物(圖 2)。使用活檢鉗夾出異物,異物為辣椒頭,呈傘蓋樣完全阻塞支氣管管口(圖 3)。鉗夾出異物后管腔內涌出大量膿痰,予以吸除(圖 4)。1周后復查胸部增強CT提示右肺下葉后外基底段支氣管管腔通暢,斑塊影較前明顯吸收好轉(圖 5),患者咳嗽、咳痰明顯好轉,已無痰血。再次追問患者病史,患者回憶發病前半個月左右,曾在進食辣子雞丁時出現劇烈嗆咳,后服用鎮咳藥物即好轉。



病例2??患者女性,53歲,文員,因“間斷咳嗽、咳痰9個月余,氣喘5個月”入院。患者9個月前受涼后出現咳嗽、咳痰,咳嗽呈間歇性,痰量較少,多為黃膿痰,伴有咽痛,當時有發熱,38.5 ℃左右,無寒戰、胸悶、胸痛、氣促、乏力、盜汗等癥狀,當時查胸部正位片提示右肺下葉少許炎癥,予青霉素靜滴治療后熱退。5個月前咳嗽后出現氣喘,伴有喉部喘鳴音,當地醫院查肺功能通氣功能正常,胸部CT提示右肺下葉炎癥。當地醫院予以抗感染治療后復查胸部CT提示右肺下葉炎癥較前略有吸收。近期因咳嗽、咳痰、氣喘加重收治我科。既往有高血壓病史8年,口服纈沙坦、倍他樂克控制可。糖尿病史6年,口服二甲雙胍控制可。否認吸煙、酗酒史,否認家族性遺傳病史。入院時查體:神清,精神可,步入病房,皮膚鞏膜無黃染,淺表淋巴結未觸及腫大,氣管居中,口唇無發紺,雙肺呼吸音清,未及干濕啰音,心、腹查體未見異常,雙下肢未見水腫,未見杵狀指(趾)。入院初步診斷:右肺異影:炎癥可能。
實驗室檢查:多種過敏原檢測提示戶塵螨6.00 IU/ mL、狗毛皮屑1.73 IU/ mL、蟑螂8.10 IU/ mL、牛奶1.00 IU/ mL、總IgE 1190 IU/ mL。心電圖提示ST段水平型壓低0.5 mm(Ⅱ、Ⅲ、avF)。其他血液、尿、大便、痰、空腹彩超、心臟彩超及肺功能均正常。入院后予以抗感染、平喘、止咳化痰等對癥治療,仍有間斷咳嗽、氣喘。胸部CT平掃提示右肺下葉斑片、條索影,伴鈣化,感染性病變可能(圖 6)。患者右下葉支氣管內鈣化明顯,呈類圓形,既往無結核病史,血結核抗體陰性,T-SPOT陰性,因此高度懷疑支氣管內異物可能。局部麻醉下行氣管鏡,探至右下葉基底段開口處見黏膜充血腫脹,可見白色異物(圖 7)。使用活檢鉗夾出異物,異物為骨片(圖 8),鉗夾出異物后可見該處支氣管管壁凹凸不平,肉芽增生,行活檢病理提示黏膜慢性炎癥(圖 9)。1個月后復查胸部CT平掃提示右肺下葉基底段支氣管管腔通暢,右肺下葉斑片、條索影較前明顯吸收(圖 10)。患者咳嗽、咳痰、氣喘明顯好轉,再次追問患者病史,患者回憶發病前曾在進食排骨湯時出現劇烈嗆咳,后自行緩解,故未予重視。



病例3??患者男性,64歲,司機,因“干咳、氣促1個月”入院。患者1個月前無明顯誘因下出現咳嗽,呈陣發性,干咳為主,咳嗽劇烈時伴有氣促,無發熱、乏力、盜汗、咯血、胸悶、胸痛等癥狀。肺動脈CT血管成像提示右肺中下葉支氣管不規則,右肺下葉支氣管管腔內致密灶,兩肺氣腫,肺血管未見明顯異常(圖 11)。否認吸煙、酗酒史,否認家族性遺傳病史。入院時查體:神清,精神可,步入病房,皮膚鞏膜無黃染,淺表淋巴結未觸及腫大,氣管居中,口唇無發紺,雙肺呼吸音清,未及干濕啰音,心、腹查體未見異常,雙下肢未見水腫,未見杵狀指(趾)。入院初步診斷:右側支氣管內異物可能。

實驗室檢查:T-SPOT:A抗原10,B抗原12(正常參考值均<6)。多種過敏原檢測提示總IgE 300 IU/ mL。心電圖提示完全性右束支傳導阻滯。空腹彩超提示肝多發囊腫,其他血液、尿、大便、痰、心臟彩超及肺功能均正常。
入院后予以抗感染、平喘、止咳化痰等對癥治療,仍有間斷咳嗽、氣喘。患者肺動脈CT血管成像提示右肺中下葉支氣管不規則,右肺下葉支氣管管腔內致密灶。局麻下行氣管鏡探至右中間支氣管開口處見黏膜充血腫脹,可見白色異物(圖 12)。使用活檢鉗夾出異物,異物為骨片(圖 13),鉗夾出異物后可見該處支氣管管壁凹凸不平,肉芽增生,行活檢病理提示黏膜慢性炎癥伴鱗化增生(圖 14)。術后患者咳嗽、氣喘明顯好轉,再次追問病史,患者回憶起1年前進食雞肉時曾有嗆咳史,后自行緩解,故未予重視。

文獻復習
通過檢索Pubmed數據庫,以“adult”、“bronchi”和“foreign bodies”為關鍵詞,檢索到英文文獻共848篇。通過檢索萬方數據庫,以“成人”和“支氣管異物”為關鍵詞,檢索到中文文獻共130篇。上述文獻主要聚焦于以下幾個方面:(1)病例報道;(2)臨床分析;(3)誤診原因分析;(4)影像學表現;(5)支氣管鏡的診治;(6)外科手術治療;(7)異物取出術的麻醉。整理分析978篇國內外文獻,報道成人支氣管異物病例數2 920例,其中國外1 470例(50.3%),國內1 450例(49.7%)。2 190例患者(75.00%)未主動提供異物吸入史,多在異物取出后才回憶出曾經有過嗆咳史。80.13%(2 340/2 920)患者在行氣管鏡檢查前被誤診為其他疾病,包括肺炎731例(31.23%)、肺癌590例(25.21%)、肺結核136例(5.81%)、支氣管擴張154例(6.58%)、支氣管哮喘292例(12.47%)等呼吸系統疾病,誤診為其他疾病的437例(18.68%),有些甚至誤診長達30余年。氣道吸入的異物種類多樣,主要包括植物性異物、礦物性異物、金屬性異物、動物性異物和化學制品。支氣管異物發生部位以右側居多,約占50%。
討論
氣管、支氣管異物是兒科、呼吸科、耳鼻咽喉科常見的急危重癥之一,治療不及時可發生窒息及心肺并發癥而危及患者生命。氣管、支氣管異物多發生于兒童和老人[3-5],與他們生理功能發育不全或者退化等相關。而青壯年成人的異物吸入多在進食時說笑、突然打噴嚏、或者由于各種原因導致意識不清而發生誤吸,誤吸后癥狀輕微甚至無主觀不適,因
此常被忽視而未及時就診。國內外文獻報道約75%的患者未主動提供異物吸入史。本文3例患者均是在事后回憶起曾出現進食時嗆咳,而后很快自行緩解,故未予重視。此外,部分醫生警惕性不高,常常忽視對患者誤吸嗆咳史的詢問。另外,成人支氣管異物的臨床表現缺乏特異性也是容易誤診的原因,有些患者因異物阻塞氣道而引起阻塞性肺部炎癥時方到醫院就診,易被誤診為肺炎、肺結核、中央型肺癌;有些患者反復咯血或痰中帶血,反復同一部位肺炎易被誤診為支氣管擴張;部分患者咳嗽、咳痰、氣喘反復發作,久治不愈,易被誤診為慢性支氣管炎或支氣管哮喘。復習國內外文獻報道發現氣管鏡檢查前誤診率高達80.13%。
氣管支氣管異物以右側居多[1-2, 5],占50%左右,主要與右主支氣管與氣管長軸相交角度小、右主支氣管短而粗有關,本文3例均發生于右側支氣管。金屬異物或者魚骨等含鈣質異物在胸部X線片及CT上可直接診斷,但可透X線的低密度異物則很難直接診斷,如發生了阻塞性肺氣腫、阻塞性肺不張等則間接提示相應氣道可能有異物阻塞,應提高警覺性并及時進行氣管鏡檢查以明確診斷。有些患者需多次氣管鏡檢查,因為支氣管異物阻塞的部位常有膿痰、壞死物或肉芽組織覆蓋,需反復吸除覆蓋物后才能發現異物。本文第1例患者在外院曾行氣管鏡檢查,發現右下葉支氣管“新生物”,但活檢并未明確診斷。到我院再次行氣管鏡檢查,探到右下葉后外基底段管口時同樣見到可疑“新生物”,后經生理鹽水反復沖洗,表面的膿痰壞死物被徹底吸除后才露出了阻塞支氣管的異物。
氣管支氣管異物最主要的治療方法是手術取出異物[6]。多數異物可經硬質支氣管鏡取出[7],纖維支氣管鏡用于取出小支氣管異物,少數小異物可自行咳出。氣管鏡鉗夾異物需謹慎,尤其是肉芽組織增生明顯的病灶觸碰極易出血,需選擇合適的工具精細操作慢慢取出,同時對可能引起的大出血和異物的再次脫落做好應急預案。術前應常規行增強CT檢查以明確異物是否傷及大血管,否則貿然取出時可能造成難以控制的大出血。對于傷及大血管或者引起嚴重肺實質破壞的異物,需外科手術治療,部分需要行肺葉切除[8]。有些異物一次操作不易取出時不能勉強,可擇期再行安排。
綜上所述,成人支氣管異物較易誤診,臨床醫生需提高對該病的認識,尤其需仔細詢問患者誤吸史;氣管鏡檢查是氣道異物診斷和治療的主要措施[9]。
氣管、支氣管異物好發于兒童,1歲以內意外死亡病例中40%是由于呼吸道異物所致[1-2],而正常成人報道不多。本文介紹我院近期診斷的3例成人支氣管異物,并復習整理國內外文獻,旨在提高臨床醫生對成人支氣管異物的認識水平及診治水平。
臨床資料
病例1??患者男性,48歲,務農,因“間斷咯血1個月”入院。患者1個月前無明顯誘因下出現咳嗽,伴有咳痰,量少,多為白痰。間斷有咯血,色鮮紅,每日十余口,無發熱、乏力、盜汗、胸悶、胸痛、氣喘、惡心、嘔吐、頭暈、頭痛等癥狀。至當地醫院就診,胸部CT提示右肺下葉后外基底段支氣管狹窄,部分肺實變。予以口服抗感染及止血治療1周,效果欠佳。當地醫院行電子氣管鏡檢查,見右下葉支氣管管腔內新生物,表面可見膿痰及壞死物附著,懷疑腫瘤,活檢未找到腫瘤細胞、抗酸桿菌(-)。入我院前5 d咯血增多,每次咯血量約20 mL。吸煙20年,1包/d。否認酗酒史,否認家族性遺傳病史。入院時查體:神清,精神可,步入病房,皮膚鞏膜無黃染,淺表淋巴結未觸及腫大,氣管居中,口唇無發紺,雙肺呼吸音清,右下肺可聞及少許吸氣相哮鳴音,心、腹查體未見異常,雙下肢未見水腫,未見杵狀指(趾)。入院初步診斷:咯血原因待查:右肺腫瘤?
實驗室檢查:血尿大便常規均正常。肝腎功能、電解質、血脂、血凝全套正常,動脈血氣正常,紅細胞沉降率、C反應蛋白正常,類風濕因子陰性,結核抗體陰性。HIV抗體、梅毒、乙肝陰性。痰熒光染色抗酸桿菌3次均為陰性,風濕抗體檢測陰性,九項呼吸道感染病原體提示肺炎支原體抗體IgM(+),真菌(1-3)-β葡聚糖檢測(G試驗)陰性,半乳甘露聚糖檢測(GM試驗)陰性,T-SPOT:A抗原2,B抗原10 (正常參考值均<6)。血清腫瘤標記物均陰性,多種過敏原檢測陰性,隱球菌乳膠凝集試驗陰性,痰找癌細胞陰性,痰細菌、真菌培養陰性,心電圖提示竇性心律。空腹彩超、心臟彩超未見異常,肺功能正常。
入院后予以抗感染、止血、止咳化痰等對癥治療,仍有間斷咯血。肺動脈CT血管成像提示右肺下葉外后基底段支氣管狹窄、伴多發斑塊影,邊界光整,疑似“粘液栓”,肺動脈及分支未見明顯充盈缺損(圖 1)。建議患者再次行氣管鏡檢查,但患者因外院已行氣管鏡,故拒絕再次行氣管鏡。根據患者胸部CT表現,高度懷疑患者右肺下葉外后基底段支氣管管腔內存在阻塞,并有粘液栓形成,經反復動員,患者最終同意再次行氣管鏡檢查。局麻下行氣管鏡探至右下葉后外基底段支氣管管口時,可見大量膿痰及壞死物覆蓋,疑似新生物,吸除膿痰及壞死物并予以生理鹽水15 mL灌洗后,發現右下葉后外基底段支氣管管口被完全阻塞,似有異物(圖 2)。使用活檢鉗夾出異物,異物為辣椒頭,呈傘蓋樣完全阻塞支氣管管口(圖 3)。鉗夾出異物后管腔內涌出大量膿痰,予以吸除(圖 4)。1周后復查胸部增強CT提示右肺下葉后外基底段支氣管管腔通暢,斑塊影較前明顯吸收好轉(圖 5),患者咳嗽、咳痰明顯好轉,已無痰血。再次追問患者病史,患者回憶發病前半個月左右,曾在進食辣子雞丁時出現劇烈嗆咳,后服用鎮咳藥物即好轉。



病例2??患者女性,53歲,文員,因“間斷咳嗽、咳痰9個月余,氣喘5個月”入院。患者9個月前受涼后出現咳嗽、咳痰,咳嗽呈間歇性,痰量較少,多為黃膿痰,伴有咽痛,當時有發熱,38.5 ℃左右,無寒戰、胸悶、胸痛、氣促、乏力、盜汗等癥狀,當時查胸部正位片提示右肺下葉少許炎癥,予青霉素靜滴治療后熱退。5個月前咳嗽后出現氣喘,伴有喉部喘鳴音,當地醫院查肺功能通氣功能正常,胸部CT提示右肺下葉炎癥。當地醫院予以抗感染治療后復查胸部CT提示右肺下葉炎癥較前略有吸收。近期因咳嗽、咳痰、氣喘加重收治我科。既往有高血壓病史8年,口服纈沙坦、倍他樂克控制可。糖尿病史6年,口服二甲雙胍控制可。否認吸煙、酗酒史,否認家族性遺傳病史。入院時查體:神清,精神可,步入病房,皮膚鞏膜無黃染,淺表淋巴結未觸及腫大,氣管居中,口唇無發紺,雙肺呼吸音清,未及干濕啰音,心、腹查體未見異常,雙下肢未見水腫,未見杵狀指(趾)。入院初步診斷:右肺異影:炎癥可能。
實驗室檢查:多種過敏原檢測提示戶塵螨6.00 IU/ mL、狗毛皮屑1.73 IU/ mL、蟑螂8.10 IU/ mL、牛奶1.00 IU/ mL、總IgE 1190 IU/ mL。心電圖提示ST段水平型壓低0.5 mm(Ⅱ、Ⅲ、avF)。其他血液、尿、大便、痰、空腹彩超、心臟彩超及肺功能均正常。入院后予以抗感染、平喘、止咳化痰等對癥治療,仍有間斷咳嗽、氣喘。胸部CT平掃提示右肺下葉斑片、條索影,伴鈣化,感染性病變可能(圖 6)。患者右下葉支氣管內鈣化明顯,呈類圓形,既往無結核病史,血結核抗體陰性,T-SPOT陰性,因此高度懷疑支氣管內異物可能。局部麻醉下行氣管鏡,探至右下葉基底段開口處見黏膜充血腫脹,可見白色異物(圖 7)。使用活檢鉗夾出異物,異物為骨片(圖 8),鉗夾出異物后可見該處支氣管管壁凹凸不平,肉芽增生,行活檢病理提示黏膜慢性炎癥(圖 9)。1個月后復查胸部CT平掃提示右肺下葉基底段支氣管管腔通暢,右肺下葉斑片、條索影較前明顯吸收(圖 10)。患者咳嗽、咳痰、氣喘明顯好轉,再次追問患者病史,患者回憶發病前曾在進食排骨湯時出現劇烈嗆咳,后自行緩解,故未予重視。



病例3??患者男性,64歲,司機,因“干咳、氣促1個月”入院。患者1個月前無明顯誘因下出現咳嗽,呈陣發性,干咳為主,咳嗽劇烈時伴有氣促,無發熱、乏力、盜汗、咯血、胸悶、胸痛等癥狀。肺動脈CT血管成像提示右肺中下葉支氣管不規則,右肺下葉支氣管管腔內致密灶,兩肺氣腫,肺血管未見明顯異常(圖 11)。否認吸煙、酗酒史,否認家族性遺傳病史。入院時查體:神清,精神可,步入病房,皮膚鞏膜無黃染,淺表淋巴結未觸及腫大,氣管居中,口唇無發紺,雙肺呼吸音清,未及干濕啰音,心、腹查體未見異常,雙下肢未見水腫,未見杵狀指(趾)。入院初步診斷:右側支氣管內異物可能。

實驗室檢查:T-SPOT:A抗原10,B抗原12(正常參考值均<6)。多種過敏原檢測提示總IgE 300 IU/ mL。心電圖提示完全性右束支傳導阻滯。空腹彩超提示肝多發囊腫,其他血液、尿、大便、痰、心臟彩超及肺功能均正常。
入院后予以抗感染、平喘、止咳化痰等對癥治療,仍有間斷咳嗽、氣喘。患者肺動脈CT血管成像提示右肺中下葉支氣管不規則,右肺下葉支氣管管腔內致密灶。局麻下行氣管鏡探至右中間支氣管開口處見黏膜充血腫脹,可見白色異物(圖 12)。使用活檢鉗夾出異物,異物為骨片(圖 13),鉗夾出異物后可見該處支氣管管壁凹凸不平,肉芽增生,行活檢病理提示黏膜慢性炎癥伴鱗化增生(圖 14)。術后患者咳嗽、氣喘明顯好轉,再次追問病史,患者回憶起1年前進食雞肉時曾有嗆咳史,后自行緩解,故未予重視。

文獻復習
通過檢索Pubmed數據庫,以“adult”、“bronchi”和“foreign bodies”為關鍵詞,檢索到英文文獻共848篇。通過檢索萬方數據庫,以“成人”和“支氣管異物”為關鍵詞,檢索到中文文獻共130篇。上述文獻主要聚焦于以下幾個方面:(1)病例報道;(2)臨床分析;(3)誤診原因分析;(4)影像學表現;(5)支氣管鏡的診治;(6)外科手術治療;(7)異物取出術的麻醉。整理分析978篇國內外文獻,報道成人支氣管異物病例數2 920例,其中國外1 470例(50.3%),國內1 450例(49.7%)。2 190例患者(75.00%)未主動提供異物吸入史,多在異物取出后才回憶出曾經有過嗆咳史。80.13%(2 340/2 920)患者在行氣管鏡檢查前被誤診為其他疾病,包括肺炎731例(31.23%)、肺癌590例(25.21%)、肺結核136例(5.81%)、支氣管擴張154例(6.58%)、支氣管哮喘292例(12.47%)等呼吸系統疾病,誤診為其他疾病的437例(18.68%),有些甚至誤診長達30余年。氣道吸入的異物種類多樣,主要包括植物性異物、礦物性異物、金屬性異物、動物性異物和化學制品。支氣管異物發生部位以右側居多,約占50%。
討論
氣管、支氣管異物是兒科、呼吸科、耳鼻咽喉科常見的急危重癥之一,治療不及時可發生窒息及心肺并發癥而危及患者生命。氣管、支氣管異物多發生于兒童和老人[3-5],與他們生理功能發育不全或者退化等相關。而青壯年成人的異物吸入多在進食時說笑、突然打噴嚏、或者由于各種原因導致意識不清而發生誤吸,誤吸后癥狀輕微甚至無主觀不適,因
此常被忽視而未及時就診。國內外文獻報道約75%的患者未主動提供異物吸入史。本文3例患者均是在事后回憶起曾出現進食時嗆咳,而后很快自行緩解,故未予重視。此外,部分醫生警惕性不高,常常忽視對患者誤吸嗆咳史的詢問。另外,成人支氣管異物的臨床表現缺乏特異性也是容易誤診的原因,有些患者因異物阻塞氣道而引起阻塞性肺部炎癥時方到醫院就診,易被誤診為肺炎、肺結核、中央型肺癌;有些患者反復咯血或痰中帶血,反復同一部位肺炎易被誤診為支氣管擴張;部分患者咳嗽、咳痰、氣喘反復發作,久治不愈,易被誤診為慢性支氣管炎或支氣管哮喘。復習國內外文獻報道發現氣管鏡檢查前誤診率高達80.13%。
氣管支氣管異物以右側居多[1-2, 5],占50%左右,主要與右主支氣管與氣管長軸相交角度小、右主支氣管短而粗有關,本文3例均發生于右側支氣管。金屬異物或者魚骨等含鈣質異物在胸部X線片及CT上可直接診斷,但可透X線的低密度異物則很難直接診斷,如發生了阻塞性肺氣腫、阻塞性肺不張等則間接提示相應氣道可能有異物阻塞,應提高警覺性并及時進行氣管鏡檢查以明確診斷。有些患者需多次氣管鏡檢查,因為支氣管異物阻塞的部位常有膿痰、壞死物或肉芽組織覆蓋,需反復吸除覆蓋物后才能發現異物。本文第1例患者在外院曾行氣管鏡檢查,發現右下葉支氣管“新生物”,但活檢并未明確診斷。到我院再次行氣管鏡檢查,探到右下葉后外基底段管口時同樣見到可疑“新生物”,后經生理鹽水反復沖洗,表面的膿痰壞死物被徹底吸除后才露出了阻塞支氣管的異物。
氣管支氣管異物最主要的治療方法是手術取出異物[6]。多數異物可經硬質支氣管鏡取出[7],纖維支氣管鏡用于取出小支氣管異物,少數小異物可自行咳出。氣管鏡鉗夾異物需謹慎,尤其是肉芽組織增生明顯的病灶觸碰極易出血,需選擇合適的工具精細操作慢慢取出,同時對可能引起的大出血和異物的再次脫落做好應急預案。術前應常規行增強CT檢查以明確異物是否傷及大血管,否則貿然取出時可能造成難以控制的大出血。對于傷及大血管或者引起嚴重肺實質破壞的異物,需外科手術治療,部分需要行肺葉切除[8]。有些異物一次操作不易取出時不能勉強,可擇期再行安排。
綜上所述,成人支氣管異物較易誤診,臨床醫生需提高對該病的認識,尤其需仔細詢問患者誤吸史;氣管鏡檢查是氣道異物診斷和治療的主要措施[9]。