引用本文: 孫云暉, 楊鑫蕾, 馬雪梅, 楊曉東, 平洋, 于蓮, 鮑文華. 不同劑量丹參酮ⅡA微乳對放射性肺損傷的治療效果. 中國呼吸與危重監護雜志, 2016, 15(4): 374-378. doi: 10.7507/1671-6205.2016088 復制
放射性肺損傷(radiation-induced lung injury,RILI)多見于放射性治療胸部惡性腫瘤后出現的肺組織損傷引起的非感染性炎性反應,嚴重影響了惡性腫瘤的正常治療及患者的生活質量[1]。Smad7是Smads超家族中抑制炎性反應的組織蛋白,參與了RILI的整個過程[2]。目前對RILI的治療不但要發掘出有效的藥物,提高藥物的生物利用度也至關重要。丹參酮ⅡA微乳是通過超聲乳化[1]等作用將丹參酮ⅡA包裹在固體脂質納米粒中,從而達到藥物緩釋及提高生物利用度等作用。本實驗通過復制RILI動物模型,觀察RILI大鼠肺組織病理、檢測肺組織Smad7 mRNA以及血清還原型谷胱甘肽(glutathione,GSH)含量的動態變化,進一步探討在用藥范圍內,不同劑量丹參酮ⅡA微乳對RILI的治療效果。
材料與方法
一 材料
Wistar大鼠72只,健康清潔級,雌雄各半,體重(210±10) g,購自大連醫科大學實驗動物中心。GSH試劑盒購于南京建成生物工程研究所,RNA提取試劑盒購于北京艾德萊生物科技有限公司,PCR試劑盒及Smad7、β-actin的引物購于大連寶生物工程有限公司。丹參酮ⅡA購于西安匯林生物科技有限公司,泊洛沙姆188購于武漢勝天宇生物科技有限公司,硬脂酸甘油酯購于南京森貝伽生物科技有限公司,大豆磷脂購于合肥博美生物科技有限責任公司。
二 方法
1.微乳的制備及質量評價:采用超聲乳化法,以泊洛沙姆、大豆卵磷脂及硬脂酸甘油酸為藥物載體,丹參酮ⅡA為被載藥物,制備丹參酮ⅡA微乳。藥物用量以泊洛沙姆與大豆磷脂質量比1∶1為原則[3-4],采用正交試驗篩選O/W超聲乳化法反應體系及實驗條件[5-6]。反應體系為:泊洛沙姆0.3 g,大豆磷脂0.3 g,硬脂酸甘油酸70 mg,丹參酮ⅡA 5 mg,雙蒸水20 mL,無水乙醇3 mL。稱取處方量的丹參酮ⅡA,硬脂酸甘油酸水浴加熱成熔融狀態后加入無水乙醇作為油相,將泊洛沙姆及大豆卵磷脂復合乳化劑超聲熔融后加入雙蒸水中作為水相,在操作溫度為70 ℃的條件下,將同溫度的油相以0.5 mL/s的速度緩慢滴加到水相中,滴加完畢后攪拌20 min,轉速為3 000 r/min,在超聲功率為800 W作用下,超聲10 min(間隔3 s),4 ℃下水流動冷卻固化,將超聲制得的丹參酮ⅡA微乳原液用濾膜(孔徑為0.2 μm 過濾,濾過液即實驗用藥[7-8]。據上述方法重復制備3次,采用高效液相色譜法[9]分別對濾過液進行質量評價。脂質體組用藥制備方法同上,但不加入丹參酮ⅡA。
2.模型的建立與分組:健康清潔級Wistar大鼠72只,隨機分為對照組、肺損傷模型組(模型組)、脂質體微乳組(脂質體組)、丹參酮ⅡA微乳高劑量組(丹參酮高劑量組)、丹參酮ⅡA微乳中劑量組(丹參酮中劑量組)、丹參酮ⅡA微乳低劑量組(丹參酮低劑量組),每組12只。除對照組大鼠外,其余各組大鼠均采用放療體外照射儀進行胸前一次性照射,6 MV X射線,22 Gy/次;在放射性射線照射后,脂質體組給予脂質體微乳5 mL·kg-1·d-1,丹參酮高劑量組、丹參酮中劑量組、丹參酮低劑量組分別給予丹參酮ⅡA微乳5、2、1 mL·kg-1·d-1。各給藥組均通過腹腔注射法連續給藥10 d。
3.肺組織標本制備及圖像分析:各組分別于第7、14、28 d隨機選取大鼠4只,采用10%水合氯醛350 mg/kg腹腔注射麻醉,分別收集大鼠血液5 mL后腹主動脈放血處死,離心留取血清,用于檢測GSH水平;取右上肺組織,0.9%生理鹽水沖洗干凈,濾紙吸干,用10%甲醛溶液固定24 h后,石蠟包埋,常規切片后行HE染色,觀察肺組織形態變化,同時在HE染色切片下,圖像分析軟件測定炎性細胞核數、肺泡面積和肺泡間隔面積,并用Pbm標化。取右肺中葉,放入Eppendorf管內,-80 ℃保存,用于肺組織Smad7 mRNA檢測。
4.RT-PCR法檢測肺組織Smad7 mRNA表達水平:嚴格按照RNA提取試劑盒說明書提取總RNA,將RNA逆轉錄為cDNA,以cDNA為模板,采用熒光定量RT-PCR,嚴格按照試劑盒說明進行PCR反應,PCR反應體系共20 μL:cDNA 2 μL,上下游引物各0.8 μL,TaqⅡ 10 μL,Dye 0.4 μL,去離子水6 μL。采用兩步法PCR擴增標準程序:步驟1:預變性(Reps:1,95 ℃反應30 s),步驟2:PCR反應(Reps:40,95 ℃反應5 s,60 ℃反應30~34 s)。用ABI Prism 7300 SDS Software測定光密度值CT,通過2-△△CT計算Smad7 mRNA的相對表達量。相關序列見表 1。

5.紫外分光光度法檢測GSH:對留取的大鼠血清嚴格按照GSH試劑盒說明書進行,在420 nm處測定各管吸光度值,按照說明書公式計算血清中GSH的含量,以“mmol/mg”來表示GSH水平。
三 統計學處理
采用SPSS 17.0軟件進行統計學分析。實驗結果以x±s表示,采用組內單因素、組間多重比較、LSD-t檢驗進行方差分析。P<0.05為差異有統計學意義。
結果
一 微乳制備情況
肉眼觀察丹參酮ⅡA微乳,顏色均一、透亮,呈橙黃色,在取適量微乳滴加于蠟板上的銅網后,用透射電鏡觀察微乳形態,可見乳滴呈球形,大小較均一,形態較規整,藥物平均粒徑為(162.9±3.7) nm。結果見圖 1。采用高效液相色譜法對濾過液進行質量評價,得回歸方程為Y=0.119X+0.025 7(γ=0.999 9,n=3),計算得藥物的平均包封率為98.1%,平均載藥量為0.732%。

二 大鼠肺組織病理形態學變化
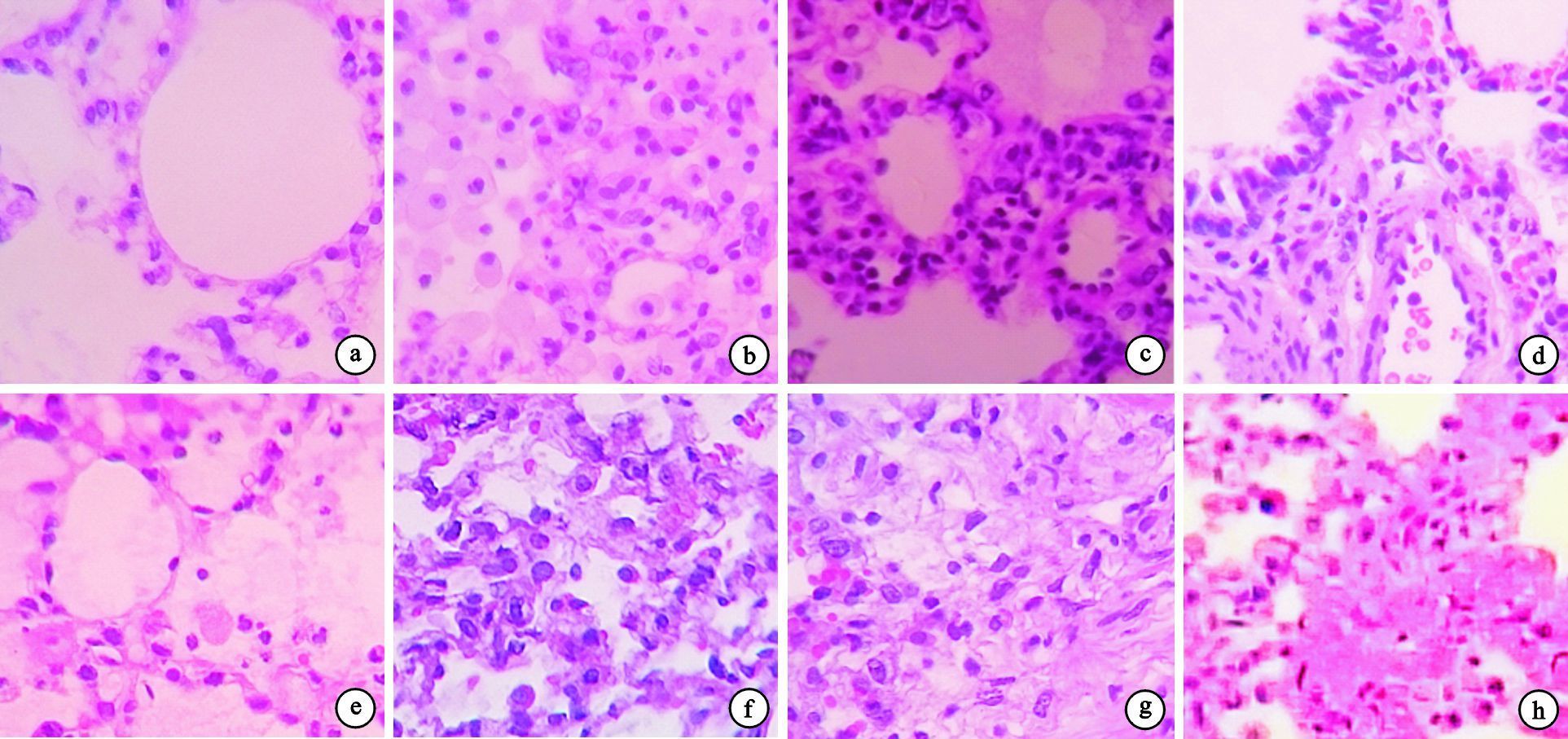
對照組肺組織無炎性細胞浸潤。與對照組比較,第7 d時,模型組大鼠肺組織有大量炎性細胞浸潤,伴有部分肺泡腔塌陷,肺泡腔內可見大量中性粒細胞和單核細胞,肺泡間隔略增寬;第14 d時,肺組織仍有大量炎性細胞浸潤,并且成纖維細胞增多,肺泡間隔進一步增寬,部分肺泡腔完全塌陷,肺泡結構消失;第28 d時,肺組織內炎性細胞浸潤較之前減少,肺泡完全萎縮或消失,肺泡間隔明顯增寬,大量成纖維細胞和膠原纖維聚集在肺泡間隔內,纖維組織呈條索狀瘢痕樣改變。丹參酮干預組大鼠肺組織內中性粒細胞和單核細胞較模型組增高,肺泡間隔增寬低于模型組,其中以丹參酮高劑量組最為顯著。第28 d脂質體組與第28 d模型組比較無明顯變化。結果見圖 2。圖像分析結果顯示模型組肺組織炎性細胞核數、肺泡面積及肺泡間隔面積均顯著高于正常組,而且第14 d模型組高于第7 d模型組,第28 d模型組高于第14 d模型組(P<0.05)。第28 d丹參酮干預組大鼠肺組織內炎性細胞核數及肺泡面積較第28 d模型組增加,肺泡間隔面積減少,其中以丹參酮高劑量組最為顯著(P<0.05)。第28 d脂質體組與第28 d模型組比較差異無統計學意義(P>0.05)。結果見表 2。


三 Smad7 mRNA的表達情況
與對照組比較,在不同時間點模型組、丹參酮中劑量組、丹參酮低劑量組大鼠肺組織Smad7 mRNA表達均降低(P<0.05),丹參酮高劑量組Smad7 mRNA表達增高(P<0.05);與模型組比較,脂質體組大鼠肺組織Smad7 mRNA表達無明顯變化(P>0.05),在不同時間點丹參酮高劑量組、丹參酮中劑量組、丹參酮低劑量組大鼠Smad7 mRNA表達均增高(P<0.05),且丹參酮高劑量組增高最顯著。結果見表 3。

四 GSH在大鼠外周血中的變化
與對照組比較,在不同時間點內其余各組大鼠GSH表達量均降低(P均<0.05);與模型組比較,脂質體組大鼠GSH表達量無明顯變化(P>0.05),在不同時間點丹參酮高劑量組、丹參酮中劑量組、丹參酮低劑量組大鼠GSH表達均增高(P均<0.05),其中丹參酮高劑量組增高最顯著。結果見表 4。

討論
RILI是經放射性射線治療胸部惡性腫瘤等疾病后所產生的不良生物事件,嚴重影響臨床治療效果及患者的生活生命質量。對RILI的治療及發生機制的研究成為近年來的熱點,Nakao等[9]通過對博來霉素誘導的大鼠肺纖維化模型的研究發現Smad7對RILI過程中的信號傳導有阻斷作用,可以減輕和緩解RILI。目前為止,對于RILI的治療和預防尚無特效藥,臨床上常用糖皮質激素、抗生素等,但效果并不理想,不良反應往往較大。丹參酮ⅡA是從丹參中提取的有效活性成分之一,具有抗氧化、抗炎等多種藥理作用,同時對機體的不良反應小[10]。李廣虎等[11]通過建立放射性肺纖維化動物模型,驗證了丹參酮ⅡA對放射性肺纖維化的防治作用,但由于丹參酮ⅡA藥理特性是脂溶性,導致了其在臨床應用過程中的局限性。微乳由乳化劑、促乳化劑、油相、水相組成,一般粒徑在10~1 000 nm之間,可經過超聲乳化等方法制得,方法簡單而易于保存,可以間接增加脂溶性藥物的水溶性,提高藥物在微乳中的溶解度,增加生物利用度[12]。有研究表明,在治療炎癥、癌癥等疾病時,藥物粒徑在30~500 nm時可以通過毛細淋巴管靶向作用于病灶部位,其中毛細淋巴管廣泛分布與全身各個器官,腹腔給藥時,可以通過腹腔內的大量淋巴小孔,將親水性小分子藥物吸入到淋巴管道并靶向運輸到病灶部位[13]。目前對丹參酮ⅡA的用藥劑量高低標準沒有明確的規定,趙斐[14]在丹參酮ⅡA用藥量對大鼠腎纖維化模型的實驗過程中,采用1、5、10 mL·kg-1·d-1的劑量分組法,最終結果驗證隨著用藥量增加,丹參酮ⅡA對大鼠的腎纖維化治療效果越明顯。因本實驗中輔助用藥含有大豆卵磷脂,具有促進膽汁分泌抗炎作用[15],所以一定程度上對丹參酮ⅡA微乳的抗炎作用存在干擾。為了降低輔助用藥的干擾性,本實驗暫時選擇以1、2、5 mL·kg-1·d-1的分組方法,初步探討丹參酮ⅡA微乳對大鼠放射性肺損傷的治療作用,為今后動物實驗中丹參酮ⅡA微乳的給藥劑量提供參考。
放射性射線治療胸部惡性腫瘤有明顯的療效,但長期接觸放射性射線可以影響患者的肺部通氣血流量,使肺組織灌注與通氣明顯降低,并且產生多種細胞因子,主要有轉化生長因子β(TGF-β)、白細胞介素6(IL-6)、IL-10、KL-6、GSH等[16]。其中GSH具有清除氧自由基、抗氧化作用,能夠緩解炎性反應[17]。而TGF-β是近年來研究最多的炎性因子之一,可促進肺組織炎性反應,主要包括TGF-β1、TGF-β2、 TGF-β3三種亞型,其中TGF-β1作用最明顯。Smads蛋白家族包括Smad2、Smad3、Smad7等多種蛋白類型,其中Smad2、Smad3可以通過與TGF-β1型受體結合,形成具有生物活性的跨膜復合物,激活TGF/Smads信號傳導通路,促進炎性反應的發生。Smad7屬于負性調控因子,具有拮抗作用,能夠抑制Smads信號傳遞,同時競爭性抑制Smad2、Smad3與TGF-β1型受體的結合,抑制了TGF-β1型受體磷酸化,阻斷了TGF/Smads信號傳導通路[18]。
本研究采用放射性射線體外照射制備大鼠RILI模型,模型組在造模后第7 d,肺泡腔內可見大量炎性細胞浸潤;第14 d,肺泡間隔明顯增寬;第28 d,肺泡腔塌陷,肺泡間隔出現大量成纖維細胞。肺部呈現出肺泡炎到間質纖維化的動態演變過程,說明RILI動物模型制備成功。采用超聲乳化法制備丹參酮ⅡA微乳,藥物平均粒徑為(162.9±3.7)nm,成功將大分子物質制備成納米粒,并且將脂溶性藥物轉化為水溶性,通過腹腔注射的給藥方式,將丹參酮ⅡA微乳靶向作用于被放射性射線照射后的大鼠肺組織損傷部位。第28 d丹參酮干預組大鼠肺組織炎性細胞核數及肺泡面積均顯著高于第28 d模型組,而肺泡間隔面積顯著低于第28 d模型組,其中以丹參酮高劑量組最為顯著,說明本實驗用藥對大鼠放射性肺損傷有一定的治療作用。此外,第28 d時脂質體組與第28 d時模型組比較差異無統計學意義,提示脂質體對本實驗的結果影響可忽略不計。RT-PCR實驗結果顯示,與模型組比較,脂質體組大鼠肺組織Smad7 mRNA的表達無明顯變化,提示微乳中的藥物載體成分對實驗結果無影響,對丹參酮ⅡA微乳的藥性無干擾作用;另外,與模型組對比,各丹參酮ⅡA給藥組大鼠外周血清GSH及肺組織Smad7 mRNA在各個時間點均有不同程度的增高,說明經過藥物干預后,隨著放射性肺損傷程度的減緩,GSH及Smad7 mRNA會出現一定程度的表達上調,并且隨著給藥劑量的增加,GSH及Smad7 mRNA的含量相對增加得越明顯。
對丹參酮ⅡA微乳不同給藥方式時治療效果是否有差異有待于進一步研究。下一步將在相同用藥劑量的條件下,研究丹參酮ⅡA微乳與丹參酮ⅡA的治療效果是否存在明顯差異。
放射性肺損傷(radiation-induced lung injury,RILI)多見于放射性治療胸部惡性腫瘤后出現的肺組織損傷引起的非感染性炎性反應,嚴重影響了惡性腫瘤的正常治療及患者的生活質量[1]。Smad7是Smads超家族中抑制炎性反應的組織蛋白,參與了RILI的整個過程[2]。目前對RILI的治療不但要發掘出有效的藥物,提高藥物的生物利用度也至關重要。丹參酮ⅡA微乳是通過超聲乳化[1]等作用將丹參酮ⅡA包裹在固體脂質納米粒中,從而達到藥物緩釋及提高生物利用度等作用。本實驗通過復制RILI動物模型,觀察RILI大鼠肺組織病理、檢測肺組織Smad7 mRNA以及血清還原型谷胱甘肽(glutathione,GSH)含量的動態變化,進一步探討在用藥范圍內,不同劑量丹參酮ⅡA微乳對RILI的治療效果。
材料與方法
一 材料
Wistar大鼠72只,健康清潔級,雌雄各半,體重(210±10) g,購自大連醫科大學實驗動物中心。GSH試劑盒購于南京建成生物工程研究所,RNA提取試劑盒購于北京艾德萊生物科技有限公司,PCR試劑盒及Smad7、β-actin的引物購于大連寶生物工程有限公司。丹參酮ⅡA購于西安匯林生物科技有限公司,泊洛沙姆188購于武漢勝天宇生物科技有限公司,硬脂酸甘油酯購于南京森貝伽生物科技有限公司,大豆磷脂購于合肥博美生物科技有限責任公司。
二 方法
1.微乳的制備及質量評價:采用超聲乳化法,以泊洛沙姆、大豆卵磷脂及硬脂酸甘油酸為藥物載體,丹參酮ⅡA為被載藥物,制備丹參酮ⅡA微乳。藥物用量以泊洛沙姆與大豆磷脂質量比1∶1為原則[3-4],采用正交試驗篩選O/W超聲乳化法反應體系及實驗條件[5-6]。反應體系為:泊洛沙姆0.3 g,大豆磷脂0.3 g,硬脂酸甘油酸70 mg,丹參酮ⅡA 5 mg,雙蒸水20 mL,無水乙醇3 mL。稱取處方量的丹參酮ⅡA,硬脂酸甘油酸水浴加熱成熔融狀態后加入無水乙醇作為油相,將泊洛沙姆及大豆卵磷脂復合乳化劑超聲熔融后加入雙蒸水中作為水相,在操作溫度為70 ℃的條件下,將同溫度的油相以0.5 mL/s的速度緩慢滴加到水相中,滴加完畢后攪拌20 min,轉速為3 000 r/min,在超聲功率為800 W作用下,超聲10 min(間隔3 s),4 ℃下水流動冷卻固化,將超聲制得的丹參酮ⅡA微乳原液用濾膜(孔徑為0.2 μm 過濾,濾過液即實驗用藥[7-8]。據上述方法重復制備3次,采用高效液相色譜法[9]分別對濾過液進行質量評價。脂質體組用藥制備方法同上,但不加入丹參酮ⅡA。
2.模型的建立與分組:健康清潔級Wistar大鼠72只,隨機分為對照組、肺損傷模型組(模型組)、脂質體微乳組(脂質體組)、丹參酮ⅡA微乳高劑量組(丹參酮高劑量組)、丹參酮ⅡA微乳中劑量組(丹參酮中劑量組)、丹參酮ⅡA微乳低劑量組(丹參酮低劑量組),每組12只。除對照組大鼠外,其余各組大鼠均采用放療體外照射儀進行胸前一次性照射,6 MV X射線,22 Gy/次;在放射性射線照射后,脂質體組給予脂質體微乳5 mL·kg-1·d-1,丹參酮高劑量組、丹參酮中劑量組、丹參酮低劑量組分別給予丹參酮ⅡA微乳5、2、1 mL·kg-1·d-1。各給藥組均通過腹腔注射法連續給藥10 d。
3.肺組織標本制備及圖像分析:各組分別于第7、14、28 d隨機選取大鼠4只,采用10%水合氯醛350 mg/kg腹腔注射麻醉,分別收集大鼠血液5 mL后腹主動脈放血處死,離心留取血清,用于檢測GSH水平;取右上肺組織,0.9%生理鹽水沖洗干凈,濾紙吸干,用10%甲醛溶液固定24 h后,石蠟包埋,常規切片后行HE染色,觀察肺組織形態變化,同時在HE染色切片下,圖像分析軟件測定炎性細胞核數、肺泡面積和肺泡間隔面積,并用Pbm標化。取右肺中葉,放入Eppendorf管內,-80 ℃保存,用于肺組織Smad7 mRNA檢測。
4.RT-PCR法檢測肺組織Smad7 mRNA表達水平:嚴格按照RNA提取試劑盒說明書提取總RNA,將RNA逆轉錄為cDNA,以cDNA為模板,采用熒光定量RT-PCR,嚴格按照試劑盒說明進行PCR反應,PCR反應體系共20 μL:cDNA 2 μL,上下游引物各0.8 μL,TaqⅡ 10 μL,Dye 0.4 μL,去離子水6 μL。采用兩步法PCR擴增標準程序:步驟1:預變性(Reps:1,95 ℃反應30 s),步驟2:PCR反應(Reps:40,95 ℃反應5 s,60 ℃反應30~34 s)。用ABI Prism 7300 SDS Software測定光密度值CT,通過2-△△CT計算Smad7 mRNA的相對表達量。相關序列見表 1。

5.紫外分光光度法檢測GSH:對留取的大鼠血清嚴格按照GSH試劑盒說明書進行,在420 nm處測定各管吸光度值,按照說明書公式計算血清中GSH的含量,以“mmol/mg”來表示GSH水平。
三 統計學處理
采用SPSS 17.0軟件進行統計學分析。實驗結果以x±s表示,采用組內單因素、組間多重比較、LSD-t檢驗進行方差分析。P<0.05為差異有統計學意義。
結果
一 微乳制備情況
肉眼觀察丹參酮ⅡA微乳,顏色均一、透亮,呈橙黃色,在取適量微乳滴加于蠟板上的銅網后,用透射電鏡觀察微乳形態,可見乳滴呈球形,大小較均一,形態較規整,藥物平均粒徑為(162.9±3.7) nm。結果見圖 1。采用高效液相色譜法對濾過液進行質量評價,得回歸方程為Y=0.119X+0.025 7(γ=0.999 9,n=3),計算得藥物的平均包封率為98.1%,平均載藥量為0.732%。

二 大鼠肺組織病理形態學變化
對照組肺組織無炎性細胞浸潤。與對照組比較,第7 d時,模型組大鼠肺組織有大量炎性細胞浸潤,伴有部分肺泡腔塌陷,肺泡腔內可見大量中性粒細胞和單核細胞,肺泡間隔略增寬;第14 d時,肺組織仍有大量炎性細胞浸潤,并且成纖維細胞增多,肺泡間隔進一步增寬,部分肺泡腔完全塌陷,肺泡結構消失;第28 d時,肺組織內炎性細胞浸潤較之前減少,肺泡完全萎縮或消失,肺泡間隔明顯增寬,大量成纖維細胞和膠原纖維聚集在肺泡間隔內,纖維組織呈條索狀瘢痕樣改變。丹參酮干預組大鼠肺組織內中性粒細胞和單核細胞較模型組增高,肺泡間隔增寬低于模型組,其中以丹參酮高劑量組最為顯著。第28 d脂質體組與第28 d模型組比較無明顯變化。結果見圖 2。圖像分析結果顯示模型組肺組織炎性細胞核數、肺泡面積及肺泡間隔面積均顯著高于正常組,而且第14 d模型組高于第7 d模型組,第28 d模型組高于第14 d模型組(P<0.05)。第28 d丹參酮干預組大鼠肺組織內炎性細胞核數及肺泡面積較第28 d模型組增加,肺泡間隔面積減少,其中以丹參酮高劑量組最為顯著(P<0.05)。第28 d脂質體組與第28 d模型組比較差異無統計學意義(P>0.05)。結果見表 2。


三 Smad7 mRNA的表達情況
與對照組比較,在不同時間點模型組、丹參酮中劑量組、丹參酮低劑量組大鼠肺組織Smad7 mRNA表達均降低(P<0.05),丹參酮高劑量組Smad7 mRNA表達增高(P<0.05);與模型組比較,脂質體組大鼠肺組織Smad7 mRNA表達無明顯變化(P>0.05),在不同時間點丹參酮高劑量組、丹參酮中劑量組、丹參酮低劑量組大鼠Smad7 mRNA表達均增高(P<0.05),且丹參酮高劑量組增高最顯著。結果見表 3。

四 GSH在大鼠外周血中的變化
與對照組比較,在不同時間點內其余各組大鼠GSH表達量均降低(P均<0.05);與模型組比較,脂質體組大鼠GSH表達量無明顯變化(P>0.05),在不同時間點丹參酮高劑量組、丹參酮中劑量組、丹參酮低劑量組大鼠GSH表達均增高(P均<0.05),其中丹參酮高劑量組增高最顯著。結果見表 4。

討論
RILI是經放射性射線治療胸部惡性腫瘤等疾病后所產生的不良生物事件,嚴重影響臨床治療效果及患者的生活生命質量。對RILI的治療及發生機制的研究成為近年來的熱點,Nakao等[9]通過對博來霉素誘導的大鼠肺纖維化模型的研究發現Smad7對RILI過程中的信號傳導有阻斷作用,可以減輕和緩解RILI。目前為止,對于RILI的治療和預防尚無特效藥,臨床上常用糖皮質激素、抗生素等,但效果并不理想,不良反應往往較大。丹參酮ⅡA是從丹參中提取的有效活性成分之一,具有抗氧化、抗炎等多種藥理作用,同時對機體的不良反應小[10]。李廣虎等[11]通過建立放射性肺纖維化動物模型,驗證了丹參酮ⅡA對放射性肺纖維化的防治作用,但由于丹參酮ⅡA藥理特性是脂溶性,導致了其在臨床應用過程中的局限性。微乳由乳化劑、促乳化劑、油相、水相組成,一般粒徑在10~1 000 nm之間,可經過超聲乳化等方法制得,方法簡單而易于保存,可以間接增加脂溶性藥物的水溶性,提高藥物在微乳中的溶解度,增加生物利用度[12]。有研究表明,在治療炎癥、癌癥等疾病時,藥物粒徑在30~500 nm時可以通過毛細淋巴管靶向作用于病灶部位,其中毛細淋巴管廣泛分布與全身各個器官,腹腔給藥時,可以通過腹腔內的大量淋巴小孔,將親水性小分子藥物吸入到淋巴管道并靶向運輸到病灶部位[13]。目前對丹參酮ⅡA的用藥劑量高低標準沒有明確的規定,趙斐[14]在丹參酮ⅡA用藥量對大鼠腎纖維化模型的實驗過程中,采用1、5、10 mL·kg-1·d-1的劑量分組法,最終結果驗證隨著用藥量增加,丹參酮ⅡA對大鼠的腎纖維化治療效果越明顯。因本實驗中輔助用藥含有大豆卵磷脂,具有促進膽汁分泌抗炎作用[15],所以一定程度上對丹參酮ⅡA微乳的抗炎作用存在干擾。為了降低輔助用藥的干擾性,本實驗暫時選擇以1、2、5 mL·kg-1·d-1的分組方法,初步探討丹參酮ⅡA微乳對大鼠放射性肺損傷的治療作用,為今后動物實驗中丹參酮ⅡA微乳的給藥劑量提供參考。
放射性射線治療胸部惡性腫瘤有明顯的療效,但長期接觸放射性射線可以影響患者的肺部通氣血流量,使肺組織灌注與通氣明顯降低,并且產生多種細胞因子,主要有轉化生長因子β(TGF-β)、白細胞介素6(IL-6)、IL-10、KL-6、GSH等[16]。其中GSH具有清除氧自由基、抗氧化作用,能夠緩解炎性反應[17]。而TGF-β是近年來研究最多的炎性因子之一,可促進肺組織炎性反應,主要包括TGF-β1、TGF-β2、 TGF-β3三種亞型,其中TGF-β1作用最明顯。Smads蛋白家族包括Smad2、Smad3、Smad7等多種蛋白類型,其中Smad2、Smad3可以通過與TGF-β1型受體結合,形成具有生物活性的跨膜復合物,激活TGF/Smads信號傳導通路,促進炎性反應的發生。Smad7屬于負性調控因子,具有拮抗作用,能夠抑制Smads信號傳遞,同時競爭性抑制Smad2、Smad3與TGF-β1型受體的結合,抑制了TGF-β1型受體磷酸化,阻斷了TGF/Smads信號傳導通路[18]。
本研究采用放射性射線體外照射制備大鼠RILI模型,模型組在造模后第7 d,肺泡腔內可見大量炎性細胞浸潤;第14 d,肺泡間隔明顯增寬;第28 d,肺泡腔塌陷,肺泡間隔出現大量成纖維細胞。肺部呈現出肺泡炎到間質纖維化的動態演變過程,說明RILI動物模型制備成功。采用超聲乳化法制備丹參酮ⅡA微乳,藥物平均粒徑為(162.9±3.7)nm,成功將大分子物質制備成納米粒,并且將脂溶性藥物轉化為水溶性,通過腹腔注射的給藥方式,將丹參酮ⅡA微乳靶向作用于被放射性射線照射后的大鼠肺組織損傷部位。第28 d丹參酮干預組大鼠肺組織炎性細胞核數及肺泡面積均顯著高于第28 d模型組,而肺泡間隔面積顯著低于第28 d模型組,其中以丹參酮高劑量組最為顯著,說明本實驗用藥對大鼠放射性肺損傷有一定的治療作用。此外,第28 d時脂質體組與第28 d時模型組比較差異無統計學意義,提示脂質體對本實驗的結果影響可忽略不計。RT-PCR實驗結果顯示,與模型組比較,脂質體組大鼠肺組織Smad7 mRNA的表達無明顯變化,提示微乳中的藥物載體成分對實驗結果無影響,對丹參酮ⅡA微乳的藥性無干擾作用;另外,與模型組對比,各丹參酮ⅡA給藥組大鼠外周血清GSH及肺組織Smad7 mRNA在各個時間點均有不同程度的增高,說明經過藥物干預后,隨著放射性肺損傷程度的減緩,GSH及Smad7 mRNA會出現一定程度的表達上調,并且隨著給藥劑量的增加,GSH及Smad7 mRNA的含量相對增加得越明顯。
對丹參酮ⅡA微乳不同給藥方式時治療效果是否有差異有待于進一步研究。下一步將在相同用藥劑量的條件下,研究丹參酮ⅡA微乳與丹參酮ⅡA的治療效果是否存在明顯差異。