引用本文: 邱玉英, 張英為, 陳露露, 蔡后榮, 肖永龍, 孟凡青. 艾滋病合并肺孢子菌肺炎的臨床、影像學及病理學分析. 中國呼吸與危重監護雜志, 2016, 15(1): 2-6. doi: 10.7507/1671-6205.2016002 復制
肺孢子菌肺炎(Pneumocystis carinii pneumonia,PCP)是在艾滋病(acquired immune deficiency syndrome,AIDS)患者中首先發現的,是AIDS患者最常見和最嚴重的機會性感染。在未采取PCP預防和抗逆轉錄病毒治療(antiretroviral therapy,ART)的晚期AIDS患者中發生率達70%~80%[1]。近年來隨著預防用藥和ART的推廣普及,PCP發病率明顯下降[2-3],但是重癥PCP患者仍然是導致AIDS患者死亡的常見原因[4],血氣分析中PaO2下降是PCP病情輕重的判斷指標。本研究回顧性研究我院呼吸內科2006年2月至2015年5月診治的50例AIDS合并PCP患者的臨床資料,總結其臨床特點、胸部影像學特征及病理特點,以提高臨床醫師對PCP的認識和診治水平,減少誤診、漏診率及病死率。
對象與方法
一 對象
選取2006年2月至2015年5月在南京大學醫學院附屬鼓樓醫院確診的AIDS合并PCP的住院患者50例。其中男38例,女12例,男女比例為3.17 :1;年齡25~66歲,平均年齡(48±13)歲。所有患者HIV均為陽性,其ARDS的診斷均在其PCP確診之時。
AIDS的診斷符合2011年中華醫學會感染病分會所修訂的標準[5]。PCP診斷符合下列第1項或第2~7項中的任何4項[6]。(1)?痰檢、支氣管鏡活檢或支氣管鏡肺泡灌洗肺孢子菌陽性;(2)?符合AIDS的診斷標準;(3)?CD4+ T淋巴細胞計數< 200個/μL;(4)?具有干咳、呼吸困難、發熱、胸痛或體重下降等癥狀,而胸部體征不明顯;(5)?有典型的胸部影像學表現;(6)?經驗性抗PCP治療有效;(7)?連續3次檢測乳酸脫氫酶(LDH)增高。
二 方法
對50例患者進行回顧性研究,收集臨床資料,包括病史、體征、實驗學檢查、影像學檢查、病原學檢查等資料,以及治療和轉歸等情況。按照PaO2水平將患者分為輕度組(PaO2 > 70 mm Hg)、中度組(50 mm Hg≤PaO2≤70 mm Hg)和重度組(PaO2 < 50 mm Hg)三組(1 mm Hg=0.133 kPa)。總結PCP患者的臨床特點、胸部影像學特征及病理特點。
三 統計學處理
采用SPSS 13.0統計軟件進行統計分析,計量資料以
結果
一 臨床表現
50例患者中發熱30例(60%),干咳39例(78%),咳痰12例(24%),呼吸困難38例(76%),消瘦28例(56%),腹瀉3例(6%),口腔潰瘍12例(24%),關節酸痛4例(8%),淺表淋巴結腫大者3例(6%),皮膚瘙癢2例(4%),肺部濕啰音5例(10%),肺部爆裂音3例(6%)。可見干咳、呼吸困難和發熱是ARDS合并PCP患者最常見的癥狀。
二 血氣異常
50例PCP患者按照PaO2下降程度分為輕度組20例(40%),中度組18例(36%)和重度組12例(24%)。三組患者血氣分析結果見表 1。

三 實驗室檢查
所有患者外周血CD4+ T淋巴細胞計數< 200個/μL,其中< 50個/μL者12例(24%),50~100個/μL者24例(48%),100~200個/μL者14例(28%)。所有患者CD4+/CD8+均降低。三組患者年齡、性別、感染途徑、CD4+淋巴細胞計數、LDH、是否接受ART、血常規、肝腎功能等指標比較差異均無統計學意義(P > 0.05)。而血清白蛋白(ALB)水平在三組間差異有統計學意義(P < 0.01),其中輕度組顯著高于重度組(P < 0.001),中度組顯著高于重度組(P < 0.01),輕度組與中度組比較差異無統計學意義(P=0.912)。結果見表 2。

四 病原學檢查
50例患者中有15例行支氣管鏡肺泡灌洗,3例支氣管肺泡灌洗液(BALF)作銀染找到肺孢子菌包囊,結果見圖 1。20例行經支氣管肺活檢(TBLB)檢查,16例病理證實肺孢子菌,結果見圖 2。其余患者因全身情況差、病情重不能作或因家屬擔心風險而不愿作支氣管鏡肺泡灌洗或TBLB。


五 影像學檢查
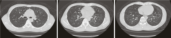
本組50例患者出現雙肺彌漫性磨玻璃影、小葉間隔增厚、網狀影結節影、肺氣囊、斑片影、碎石路征、支氣管擴張、縱隔淋巴結腫大及胸腔積液分別為100%、48%、44%、36%、30%、20%、16%、8%及4%。典型病例胸部HRCT結果見圖 3和圖 4。


討論
PCP主要經呼吸道傳染,感染機體的Ⅰ型肺泡上皮細胞,在免疫功能正常的宿主中依靠巨噬細胞的吞噬作用以及T淋巴細胞的免疫反應可以將其成功清除,而在免疫功能嚴重受損的宿主,則肺孢子菌可以不斷增殖,使肺泡腔內充滿菌體和泡沫狀嗜酸性物質,致使肺泡間質增厚、氧交換障礙,最終可引起肺間質纖維化。低氧血癥是PCP患者最主要的特點,可能是由于肺泡腔內充滿菌體和泡沫性物質導致換氣障礙。PCP臨床表現呈現多樣性,缺乏特異性,多數患者以咳嗽、發熱、呼吸困難為主要臨床癥狀。本組50例患者均有程度不等的呼吸困難、咳嗽及發熱,由此可見呼吸困難、咳嗽、發熱是PCP最主要的臨床癥狀,與文獻報道一致[6-9]。一半以上的患者有體重減輕,考慮與發熱機體消耗及營養狀況有關。PCP患者肺部常無陽性體征,少部分患者肺部可聞及濕啰音或爆裂音,本組大部分患者肺部聽診正常。所有患者均因發熱、呼吸困難或咳嗽及雙肺彌漫性浸潤影入我院呼吸內科,常規行HIV抗體篩查,初篩及確診試驗均陽性,也就是說在確診PCP之前其AIDS的診斷也未確定。結合目前AIDS發病率明顯上升,建議臨床上遇到發熱、呼吸困難及肺部彌漫性病變患者應常規行HIV抗體篩查以及外周血CD4+ T淋巴細胞計數檢查,并應詳細詢問其有無冶游史、靜脈吸毒史、輸血史等特殊流行病史,以盡早明確診斷,及時治療,減少漏診率及病死率。
低氧血癥是PCP患者最主要的特點,PCP患者血氧降低是由于肺泡腔內充滿菌體和泡沫性物質導致換氣障礙,表現為PaO2降低。低氧血癥可以刺激頸動脈竇、主動脈體的化學感受器,引起反射性的通氣增強。血液中PaCO2降低,引起呼吸性堿中毒,如果低氧血癥不能有效控制,病情進展引起組織缺氧,呼吸性堿中毒可使氧離曲線左移,不利于組織獲氧,加之重度低氧血癥患者多數采用激素治療,則可在呼吸性堿中毒基礎上進一步發生復合性酸堿失衡。各組患者pH值和HCO3-均無明顯改變,提示PCP患者即使出現嚴重呼吸困難和呼吸衰竭,由于機體代償機制較好,酸堿平衡紊亂出現較少。
外周血CD4+ T淋巴細胞計數是HIV感染者合并PCP最好的預測指標,CD4+ T淋巴細胞計數< 200個/μL時PCP感染的危險性明顯增加。本組50例患者CD4+ T淋巴細胞計數均小于200個/μL,且小于100個/μL者占64%,所有患者CD4+/CD8+均降低。三組患者CD4+ T淋巴細胞計數均有不同程度下降,重度組降低最多,但三組之間差異無統計學意義(P > 0.05)。50例患者中45例LDH常均有不同程度的升高,三組間差異無統計學意義(P > 0.05)。文獻報道血清LDH水平升高在PCP診斷中已較常見。Boldt等[10]研究認為血清LDH對于PCP的診斷敏感性高達100%,但對診斷PCP特異性較差。β-D(1, 3)葡聚糖是目前研究較多的指標之一,為肺孢子菌包囊的主要構成成分,具有較強的免疫原性和抗原特異性。Esteve等[11]研究認為LDH聯合β-D(1, 3)葡聚糖診斷PCP時,兩者的診斷界值分別為400 pg/mL和350 ng/L(敏感性92.8%,特異性83.9%)。血清ALB水平下降也有報道,尤其重度PCP患者下降更為明顯[7]。本組50例患者ALB水平均低于40 g/L,22例(44%)患者ALB水平低于30 g/L。其中重度組ALB水平最低,與輕度組、中度組相比,差異有統計學意義(P < 0.05)。ALB水平降低可能與患者發熱導致消耗增加,而同時攝入不足導致機體營養狀況下降有關。
以往研究表明影像學檢查在AIDS合并PCP的診斷中具有不可低估的作用[12-15]。PCP典型胸部HRCT表現為兩側肺門周圍對稱性的磨玻璃影,由肺門向外周肺野發展并有融合的趨勢。可伴有不同程度的網狀影或有小葉間隔增厚,形成“鋪路石征”,可伴有縱隔淋巴結腫大,部分可見肺氣囊、少量胸腔積液、牽拉性支氣管擴張等征象,本組50例患者出現雙肺彌漫性磨玻璃影、小葉間隔增厚、網狀影結節影及肺氣囊分別為100%、48%、44%及36%。其病理基礎是肺孢子菌侵入機體肺部,破壞Ⅰ型肺泡細胞和肺間質,出現不同程度的滲出性改變,影像學表現出磨玻璃影、網狀結節影和小葉間隔增厚影。鋪路石征是磨玻璃樣變與網狀影混合形成的影像,是增厚的肺間隔形成線狀陰影將病灶分割成多邊、不規則形,狀似鋪路石樣改變。肺氣囊是PCP的特異性影像,呈多發性,分布于胸膜近處及肺實質內,其形成與肺泡、肺間質性炎癥以及不同程度的纖維化導致肺組織重構、形成囊性病變有關。囊腫破裂可引起氣胸或縱隔皮下氣腫。一旦磨玻璃影區域內出現肺氣囊或氣胸,則強烈提示PCP。
目前病原學診斷的標準方法是自痰液、BALF以及各種肺活檢標本中借助特殊染色(吉姆薩、六胺銀染、甲苯胺藍等)鏡下檢查找病原體,查到肺孢子菌的包囊為確診依據[16]。本組50例患者中有16例行TBLB檢查,病理證實肺孢子菌肺炎,BALF(銀染)中查到肺孢子菌僅僅3例,可能與病理科醫
師對灌洗液中肺孢子菌的識別率低有關。我們已加強與病理科的聯系,督促病理科醫師重視對巨噬細胞內外的肺孢子菌的認識。
對各種原因導致的免疫損害宿主出現上述典型臨床表現及胸部影像學,尤其是對血CD4+ T細胞低于0.2×109/L的AIDS患者,應考慮PCP。確診需要在肺實質或下呼吸道分泌物中證實肺孢子菌的存在。PCP臨床特點缺乏特異性,并且免疫缺陷患者可同時合并其他病原(如巨細胞病毒、其他細菌等)感染,因此需與細菌性肺炎、病毒性肺炎、真菌性肺炎、ARDS及淋巴細胞性間質性肺炎(LIP)等相鑒別。
理想的PCP治療方案應包括抗肺孢子菌治療,控制肺部炎癥反應,重建免疫功能,最終降低死亡率。本組所有病例均使用TMP-SMZ治療,其作用機制為抑制二氫葉酸還原酶和合成酶,雙重阻斷葉酸的合成。治療AIDS并發PCP的有效率為80%~95%。輕、中度患者口服,重癥病例靜脈滴注,療程均為21 d。本組有32例(64%)患者使用卡泊芬凈,卡泊芬凈屬棘球白素類抗真菌劑,能抑制肺孢子菌包囊壁的主要成分β-D(1, 3)-葡聚糖的生物合成,首劑70 mg,次日50 mg,療程2~3周。AIDS并發PCP時治療上應用激素已成共識。糖皮質激素能抑制PCP的炎癥反應并減輕由此造成的肺損傷,降低中、重度PCP呼吸衰竭的發生率和病死率。50例患者中有36例(72%)使用了激素。甲基潑尼松龍40~80 mg/d,經治療后無一例死亡,可能與PCP的及時診斷與治療有關。AIDS合并PCP的治療效果較非AIDS合并PCP治療效果好,死亡率低,這與其他的研究結果基本一致[17]。
綜上所述,結合其特殊流行病學史、典型的臨床表現、實驗學檢查及影像學表現,可對PCP作出初步臨床診斷。確診依靠病原學檢查,通過咳深部痰液、支氣管肺泡灌洗、肺活檢病理檢查找到肺孢子菌。因PCP多數以干咳為主,痰量少,故痰檢陽性率低。另一方面,BALF及TBLB均為有創性檢查,雖然陽性率高,但重癥患者因呼吸困難及缺氧明顯,較難接受這樣的檢查。PCP的病原學診斷較困難,當患者出現發熱、干咳、呼吸困難的臨床表現,雙肺出現彌漫性的磨玻璃影、網狀影、碎路石征,血氣分析提示低氧血癥或Ⅰ型呼吸衰竭,LDH及β-D(1, 3)葡聚糖增高,應考慮PCP可能,進行常規HIV抗體篩查,應詳細詢問有無冶游史、輸血史等特殊病史。對高度懷疑PCP的患者,在疑診之后,應盡早給予SMZco抗PCP治療;病情允許的條件下,盡量行BALF或肺活檢尋找病原學證據。
肺孢子菌肺炎(Pneumocystis carinii pneumonia,PCP)是在艾滋病(acquired immune deficiency syndrome,AIDS)患者中首先發現的,是AIDS患者最常見和最嚴重的機會性感染。在未采取PCP預防和抗逆轉錄病毒治療(antiretroviral therapy,ART)的晚期AIDS患者中發生率達70%~80%[1]。近年來隨著預防用藥和ART的推廣普及,PCP發病率明顯下降[2-3],但是重癥PCP患者仍然是導致AIDS患者死亡的常見原因[4],血氣分析中PaO2下降是PCP病情輕重的判斷指標。本研究回顧性研究我院呼吸內科2006年2月至2015年5月診治的50例AIDS合并PCP患者的臨床資料,總結其臨床特點、胸部影像學特征及病理特點,以提高臨床醫師對PCP的認識和診治水平,減少誤診、漏診率及病死率。
對象與方法
一 對象
選取2006年2月至2015年5月在南京大學醫學院附屬鼓樓醫院確診的AIDS合并PCP的住院患者50例。其中男38例,女12例,男女比例為3.17 :1;年齡25~66歲,平均年齡(48±13)歲。所有患者HIV均為陽性,其ARDS的診斷均在其PCP確診之時。
AIDS的診斷符合2011年中華醫學會感染病分會所修訂的標準[5]。PCP診斷符合下列第1項或第2~7項中的任何4項[6]。(1)?痰檢、支氣管鏡活檢或支氣管鏡肺泡灌洗肺孢子菌陽性;(2)?符合AIDS的診斷標準;(3)?CD4+ T淋巴細胞計數< 200個/μL;(4)?具有干咳、呼吸困難、發熱、胸痛或體重下降等癥狀,而胸部體征不明顯;(5)?有典型的胸部影像學表現;(6)?經驗性抗PCP治療有效;(7)?連續3次檢測乳酸脫氫酶(LDH)增高。
二 方法
對50例患者進行回顧性研究,收集臨床資料,包括病史、體征、實驗學檢查、影像學檢查、病原學檢查等資料,以及治療和轉歸等情況。按照PaO2水平將患者分為輕度組(PaO2 > 70 mm Hg)、中度組(50 mm Hg≤PaO2≤70 mm Hg)和重度組(PaO2 < 50 mm Hg)三組(1 mm Hg=0.133 kPa)。總結PCP患者的臨床特點、胸部影像學特征及病理特點。
三 統計學處理
采用SPSS 13.0統計軟件進行統計分析,計量資料以
結果
一 臨床表現
50例患者中發熱30例(60%),干咳39例(78%),咳痰12例(24%),呼吸困難38例(76%),消瘦28例(56%),腹瀉3例(6%),口腔潰瘍12例(24%),關節酸痛4例(8%),淺表淋巴結腫大者3例(6%),皮膚瘙癢2例(4%),肺部濕啰音5例(10%),肺部爆裂音3例(6%)。可見干咳、呼吸困難和發熱是ARDS合并PCP患者最常見的癥狀。
二 血氣異常
50例PCP患者按照PaO2下降程度分為輕度組20例(40%),中度組18例(36%)和重度組12例(24%)。三組患者血氣分析結果見表 1。

三 實驗室檢查
所有患者外周血CD4+ T淋巴細胞計數< 200個/μL,其中< 50個/μL者12例(24%),50~100個/μL者24例(48%),100~200個/μL者14例(28%)。所有患者CD4+/CD8+均降低。三組患者年齡、性別、感染途徑、CD4+淋巴細胞計數、LDH、是否接受ART、血常規、肝腎功能等指標比較差異均無統計學意義(P > 0.05)。而血清白蛋白(ALB)水平在三組間差異有統計學意義(P < 0.01),其中輕度組顯著高于重度組(P < 0.001),中度組顯著高于重度組(P < 0.01),輕度組與中度組比較差異無統計學意義(P=0.912)。結果見表 2。

四 病原學檢查
50例患者中有15例行支氣管鏡肺泡灌洗,3例支氣管肺泡灌洗液(BALF)作銀染找到肺孢子菌包囊,結果見圖 1。20例行經支氣管肺活檢(TBLB)檢查,16例病理證實肺孢子菌,結果見圖 2。其余患者因全身情況差、病情重不能作或因家屬擔心風險而不愿作支氣管鏡肺泡灌洗或TBLB。


五 影像學檢查
本組50例患者出現雙肺彌漫性磨玻璃影、小葉間隔增厚、網狀影結節影、肺氣囊、斑片影、碎石路征、支氣管擴張、縱隔淋巴結腫大及胸腔積液分別為100%、48%、44%、36%、30%、20%、16%、8%及4%。典型病例胸部HRCT結果見圖 3和圖 4。


討論
PCP主要經呼吸道傳染,感染機體的Ⅰ型肺泡上皮細胞,在免疫功能正常的宿主中依靠巨噬細胞的吞噬作用以及T淋巴細胞的免疫反應可以將其成功清除,而在免疫功能嚴重受損的宿主,則肺孢子菌可以不斷增殖,使肺泡腔內充滿菌體和泡沫狀嗜酸性物質,致使肺泡間質增厚、氧交換障礙,最終可引起肺間質纖維化。低氧血癥是PCP患者最主要的特點,可能是由于肺泡腔內充滿菌體和泡沫性物質導致換氣障礙。PCP臨床表現呈現多樣性,缺乏特異性,多數患者以咳嗽、發熱、呼吸困難為主要臨床癥狀。本組50例患者均有程度不等的呼吸困難、咳嗽及發熱,由此可見呼吸困難、咳嗽、發熱是PCP最主要的臨床癥狀,與文獻報道一致[6-9]。一半以上的患者有體重減輕,考慮與發熱機體消耗及營養狀況有關。PCP患者肺部常無陽性體征,少部分患者肺部可聞及濕啰音或爆裂音,本組大部分患者肺部聽診正常。所有患者均因發熱、呼吸困難或咳嗽及雙肺彌漫性浸潤影入我院呼吸內科,常規行HIV抗體篩查,初篩及確診試驗均陽性,也就是說在確診PCP之前其AIDS的診斷也未確定。結合目前AIDS發病率明顯上升,建議臨床上遇到發熱、呼吸困難及肺部彌漫性病變患者應常規行HIV抗體篩查以及外周血CD4+ T淋巴細胞計數檢查,并應詳細詢問其有無冶游史、靜脈吸毒史、輸血史等特殊流行病史,以盡早明確診斷,及時治療,減少漏診率及病死率。
低氧血癥是PCP患者最主要的特點,PCP患者血氧降低是由于肺泡腔內充滿菌體和泡沫性物質導致換氣障礙,表現為PaO2降低。低氧血癥可以刺激頸動脈竇、主動脈體的化學感受器,引起反射性的通氣增強。血液中PaCO2降低,引起呼吸性堿中毒,如果低氧血癥不能有效控制,病情進展引起組織缺氧,呼吸性堿中毒可使氧離曲線左移,不利于組織獲氧,加之重度低氧血癥患者多數采用激素治療,則可在呼吸性堿中毒基礎上進一步發生復合性酸堿失衡。各組患者pH值和HCO3-均無明顯改變,提示PCP患者即使出現嚴重呼吸困難和呼吸衰竭,由于機體代償機制較好,酸堿平衡紊亂出現較少。
外周血CD4+ T淋巴細胞計數是HIV感染者合并PCP最好的預測指標,CD4+ T淋巴細胞計數< 200個/μL時PCP感染的危險性明顯增加。本組50例患者CD4+ T淋巴細胞計數均小于200個/μL,且小于100個/μL者占64%,所有患者CD4+/CD8+均降低。三組患者CD4+ T淋巴細胞計數均有不同程度下降,重度組降低最多,但三組之間差異無統計學意義(P > 0.05)。50例患者中45例LDH常均有不同程度的升高,三組間差異無統計學意義(P > 0.05)。文獻報道血清LDH水平升高在PCP診斷中已較常見。Boldt等[10]研究認為血清LDH對于PCP的診斷敏感性高達100%,但對診斷PCP特異性較差。β-D(1, 3)葡聚糖是目前研究較多的指標之一,為肺孢子菌包囊的主要構成成分,具有較強的免疫原性和抗原特異性。Esteve等[11]研究認為LDH聯合β-D(1, 3)葡聚糖診斷PCP時,兩者的診斷界值分別為400 pg/mL和350 ng/L(敏感性92.8%,特異性83.9%)。血清ALB水平下降也有報道,尤其重度PCP患者下降更為明顯[7]。本組50例患者ALB水平均低于40 g/L,22例(44%)患者ALB水平低于30 g/L。其中重度組ALB水平最低,與輕度組、中度組相比,差異有統計學意義(P < 0.05)。ALB水平降低可能與患者發熱導致消耗增加,而同時攝入不足導致機體營養狀況下降有關。
以往研究表明影像學檢查在AIDS合并PCP的診斷中具有不可低估的作用[12-15]。PCP典型胸部HRCT表現為兩側肺門周圍對稱性的磨玻璃影,由肺門向外周肺野發展并有融合的趨勢。可伴有不同程度的網狀影或有小葉間隔增厚,形成“鋪路石征”,可伴有縱隔淋巴結腫大,部分可見肺氣囊、少量胸腔積液、牽拉性支氣管擴張等征象,本組50例患者出現雙肺彌漫性磨玻璃影、小葉間隔增厚、網狀影結節影及肺氣囊分別為100%、48%、44%及36%。其病理基礎是肺孢子菌侵入機體肺部,破壞Ⅰ型肺泡細胞和肺間質,出現不同程度的滲出性改變,影像學表現出磨玻璃影、網狀結節影和小葉間隔增厚影。鋪路石征是磨玻璃樣變與網狀影混合形成的影像,是增厚的肺間隔形成線狀陰影將病灶分割成多邊、不規則形,狀似鋪路石樣改變。肺氣囊是PCP的特異性影像,呈多發性,分布于胸膜近處及肺實質內,其形成與肺泡、肺間質性炎癥以及不同程度的纖維化導致肺組織重構、形成囊性病變有關。囊腫破裂可引起氣胸或縱隔皮下氣腫。一旦磨玻璃影區域內出現肺氣囊或氣胸,則強烈提示PCP。
目前病原學診斷的標準方法是自痰液、BALF以及各種肺活檢標本中借助特殊染色(吉姆薩、六胺銀染、甲苯胺藍等)鏡下檢查找病原體,查到肺孢子菌的包囊為確診依據[16]。本組50例患者中有16例行TBLB檢查,病理證實肺孢子菌肺炎,BALF(銀染)中查到肺孢子菌僅僅3例,可能與病理科醫
師對灌洗液中肺孢子菌的識別率低有關。我們已加強與病理科的聯系,督促病理科醫師重視對巨噬細胞內外的肺孢子菌的認識。
對各種原因導致的免疫損害宿主出現上述典型臨床表現及胸部影像學,尤其是對血CD4+ T細胞低于0.2×109/L的AIDS患者,應考慮PCP。確診需要在肺實質或下呼吸道分泌物中證實肺孢子菌的存在。PCP臨床特點缺乏特異性,并且免疫缺陷患者可同時合并其他病原(如巨細胞病毒、其他細菌等)感染,因此需與細菌性肺炎、病毒性肺炎、真菌性肺炎、ARDS及淋巴細胞性間質性肺炎(LIP)等相鑒別。
理想的PCP治療方案應包括抗肺孢子菌治療,控制肺部炎癥反應,重建免疫功能,最終降低死亡率。本組所有病例均使用TMP-SMZ治療,其作用機制為抑制二氫葉酸還原酶和合成酶,雙重阻斷葉酸的合成。治療AIDS并發PCP的有效率為80%~95%。輕、中度患者口服,重癥病例靜脈滴注,療程均為21 d。本組有32例(64%)患者使用卡泊芬凈,卡泊芬凈屬棘球白素類抗真菌劑,能抑制肺孢子菌包囊壁的主要成分β-D(1, 3)-葡聚糖的生物合成,首劑70 mg,次日50 mg,療程2~3周。AIDS并發PCP時治療上應用激素已成共識。糖皮質激素能抑制PCP的炎癥反應并減輕由此造成的肺損傷,降低中、重度PCP呼吸衰竭的發生率和病死率。50例患者中有36例(72%)使用了激素。甲基潑尼松龍40~80 mg/d,經治療后無一例死亡,可能與PCP的及時診斷與治療有關。AIDS合并PCP的治療效果較非AIDS合并PCP治療效果好,死亡率低,這與其他的研究結果基本一致[17]。
綜上所述,結合其特殊流行病學史、典型的臨床表現、實驗學檢查及影像學表現,可對PCP作出初步臨床診斷。確診依靠病原學檢查,通過咳深部痰液、支氣管肺泡灌洗、肺活檢病理檢查找到肺孢子菌。因PCP多數以干咳為主,痰量少,故痰檢陽性率低。另一方面,BALF及TBLB均為有創性檢查,雖然陽性率高,但重癥患者因呼吸困難及缺氧明顯,較難接受這樣的檢查。PCP的病原學診斷較困難,當患者出現發熱、干咳、呼吸困難的臨床表現,雙肺出現彌漫性的磨玻璃影、網狀影、碎路石征,血氣分析提示低氧血癥或Ⅰ型呼吸衰竭,LDH及β-D(1, 3)葡聚糖增高,應考慮PCP可能,進行常規HIV抗體篩查,應詳細詢問有無冶游史、輸血史等特殊病史。對高度懷疑PCP的患者,在疑診之后,應盡早給予SMZco抗PCP治療;病情允許的條件下,盡量行BALF或肺活檢尋找病原學證據。