引用本文: 尤運冬, 趙亮, 梅方超, 洪育蒲, 王衛星. 巨噬細胞移動抑制因子抑制劑 ISO-1 在妊娠大鼠急性壞死性胰腺炎腸損傷中的作用. 中國普外基礎與臨床雜志, 2018, 25(11): 1308-1312. doi: 10.7507/1007-9424.201805101 復制
妊娠合并急性胰腺炎(APIP)是一種相對罕見的外科急腹癥,發病率為 1/10 000~1/1 000[1-2],具有起病急、臨床表現不典型、易出現多器官功能衰竭和病死率高的特點。APIP 發病進程中,多種因素會導致腸黏膜結構完整性破壞、通透性增高、菌群移位以及內毒素血癥,甚至誘發全身炎癥反應綜合征和多器官功能衰竭,危及到母體和胎兒生命,孕產婦病死率和胎兒死亡率高[3]。本研究旨在通過探討巨噬細胞移動抑制因子(MIF)在 APIP 腸損傷發病機制中的作用,尋求有效的治療方法。
1 材料與方法
1.1 主要試劑和材料
牛磺膽酸鈉購自美國 Sigma 公司,MIF 特異抑制劑(S,R)-3-(4-羥苯基)-4,5-二氫-5-異噁唑乙酸甲酯(ISO-1)購自美國 Santa Cruz 公司,MIF、腫瘤壞死因子(TNF)-α 抗體購自美國 Abcam 公司,核因子(NF)-κB 抗體購自美國 CST 公司,二胺氧化酶(DAO)試劑盒購自南京建成生物工程研究所。
1.2 實驗動物及分組
初次妊娠 17~19 d 的 SD 大鼠(簡稱孕鼠)24 只,體質量 370~420 g,購自武漢大學實驗動物中心,經武漢大學人民醫院實驗動物倫理委員會批準(批準號:WDRM-20150606),動物飼養于武漢大學人民醫院動物實驗中心 [使用許可證編號:SYXK(鄂)2015-0027]。使用隨機數字表法隨機分為假手術組(SO 組)、急性壞死性胰腺炎組(ANP 組)和 MIF 特異抑制劑 ISO-1 干預組(ISO-1 組)3 組,每組 8 只孕鼠。
1.3 ANP 模型建立
孕鼠術前 12 h 禁食不禁水。異氟烷麻醉后取仰臥位,腹部正中切口入腹,夾閉膽總管,通過 4.5#注射器針頭穿刺十二指腸壁,逆行胰膽管注射(0.1 mL/min)5% 牛磺膽酸鈉(1 mL/kg)建立 ANP 模型并將兩側胰膽管夾閉 5 min[4]。逐層縫合后皮下注射生理鹽水補液。SO 組開腹后僅翻動十二指腸及胰腺后關腹。ISO-1 組在術前 30 min 腹腔注射溶解 ISO-1(7 mg/kg)的 5% 二甲基亞砜溶液(2 mL/kg)。SO 組和 ANP 組術前 30 min 僅經腹腔注射 5% 二甲基亞砜(2 mL/kg)溶液。孕鼠蘇醒后禁食不禁水,分籠喂養。根據血清淀粉酶(AMY)與脂肪酶(LIP)水平以及胰腺 HE 染色結果判斷 ANP 模型是否建立成功。
1.4 標本獲取
各組孕鼠均于術后 12 h 處死,經下腔靜脈穿刺取血 4~5 mL,1 500×g 離心血清 15 min,收集上清液分裝,–80 ℃ 凍存備用。取胰頭組織和距離回盲部 4~5 cm 處空腸腸管組織 1~2 cm,4% 多聚甲醛固定,常規石蠟包埋、切片。
1.5 血清指標檢測
采用全自動多功能生化儀檢測大鼠血清 AMY 與 LIP 水平(武漢大學人民醫院醫學檢驗中心),血清 IL-1β、IL-6 與 DAO 水平采用特定 ELISA 試劑盒檢測。
1.6 胰腺及腸道組織病理學檢測
將胰腺及腸道組織固定包埋后切片,HE 染色并在光鏡下觀察。胰腺組織病理評分根據是否出現水腫、壞死、出血、脂肪壞死、炎癥和血管炎性細胞浸潤進行[5]。腸道組織病理評分根據腸道絨毛是否變性、擴張、絨毛脫落、固有層是否水腫、出血及崩解進行[6]。
1.7 免疫組織化學方法檢測
采用免疫組織化學方法檢測 MIF、TNF-α 及 NF-κB 蛋白在腸道組織中的表達。取各組空腸組織切片(4 μm),脫蠟水化后在壓力鍋(121 ℃,4 min)中用檸檬酸鈉緩沖液行抗原修復,3% H2O2 阻斷內源性H2O2 酶,一抗二抗孵育、鏈霉素抗生物素-過氧化酶依次孵育后,DAB 顯色,觀察 MIF、TNF-α及 NF-κB 蛋白表達,以細胞質或細胞核呈棕色為陽性表達,并使用 Image Pro-Plus 6.0 軟件進行累積光密度(IODsum)值測量,行半定量分析。
1.8 統計學方法
采用 SPSS 20.0 統計軟件對數據進行分析。符合正態分布的計量資料以均數±標準差(
±s)表示,多組間差異比較采用單因素方差分析和Bonferroni檢驗。檢驗水準α=0.05。
2 結果
2.1 孕鼠血清中 AMY、LIP、DAO、IL-1β 及IL-6 水平
3 組孕鼠血清中 AMY、LIP、DAO、IL-1β 及 IL-6水平檢測結果見圖 1。從圖 1 可見,ANP組的AMY、LIP、DAO、IL-1β及IL-6水平均明顯高于SO組(t值分別為16.80、12.22、9.78、18.32及20.32、P值均<0.001),ISO-1組的AMY、LIP、DAO、IL-1β及IL-6水平亦均明顯高于SO組(t值分別為14.70、11.19、6.32、39.97及8.11、P值均<0.001)。與ANP組比較,ISO-1組血清AMY、LIP水平下降并不明顯(t=2.18、P=0.122,t=1.03、P=0.949),而DAO、IL-1β和IL-6水平均顯著降低(t值分別為3.46、9.36及12.21、P值均<0.001)。

a:AMY;b:LIP;c:DAO;d:IL-1β;e:IL-6。與 SO 組比較,*
2.2 孕鼠胰腺與腸道組織病理學改變及其評分
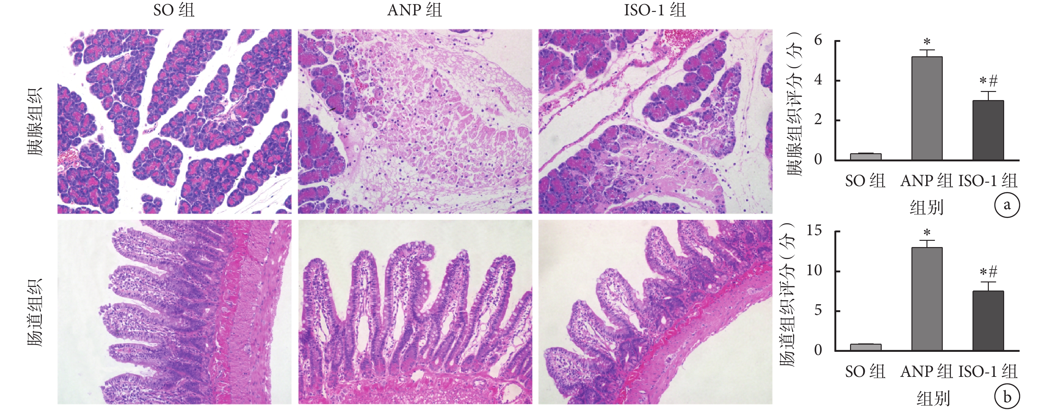
3 組孕鼠胰腺組織和腸道組織病理學改變結果見圖 2。從圖 2a 可見,SO 組胰腺小葉完整,無明顯病理改變或僅見輕度水腫;ANP 組胰腺出現不同程度間質水腫,腺泡細胞壞死、腺葉間隙增寬及炎性細胞浸潤,其病理評分明顯高于 SO 組(t=29.30 ,P<0.001);與 ANP 組相比,ISO-1 組胰腺腺泡輕度水腫,間質內少量出血及炎性細胞浸潤,其病理評分明顯低于 ANP 組(t=13.23,P<0.001),但仍明顯高于 SO 組(t=16.07,P<0.001)。從圖 2b 可見,SO 組腸黏膜組織的組織學結構正常,ANP 組腸道出現不同程度絨毛水腫、脫落、黏膜變性、壞死、出血以及炎性細胞浸潤,其腸道組織病理評分明顯高于 SO 組(t=16.73 ,P<0.001);與 ANP 組相比,ISO-1 組腸道組織損傷有所減輕,其腸道組織病理評分明顯低于 ANP 組(t=11.81,P<0.001),但仍明顯高于 SO 組(t=13.46 ,P<0.001)。

a:胰腺組織;b:腸道組織。與 SO 組比較,*
2.3 免疫組織化學檢測腸道組織中 MIF、NF-κB 及 TNF-α 的表達
3 組孕鼠腸道組織中 MIF、NF-κB 及 TNF-α 蛋白表達的免疫組織化學檢測結果見圖 3。MIF 染色陽性表達為視野內細胞質被染成棕黃色,NF-κB 陽性表達為視野內細胞質及細胞核,或單純細胞核被染成棕黃色。TNF-α 染色陽性表達為視野內細胞質被染成棕黃色。ANP 組孕鼠腸道組織中 MIF、NF-κB 及 TNF-α 蛋白表達的 IOD 值均明顯高于 SO 組(t 值分別為 21.78、37.58及19.92,P值均<0.001);ISO-1 組孕鼠腸道組織中 MIF、NF-κB 及 TNF-α 蛋白表達的 IOD 值均明顯低于 ANP 組(t 值分別為 13.30、16.40及10.34,P值均<0.001),但仍高于 SO 組(t 值分別為8.48、11.18及9.58,P 值均<0.001)。

a:MIF;b:NF-κB;c:TNF-α。與 SO 組比較,*
3 討論
APIP 是一種嚴重的妊娠并發癥,主要發生在產程后期,極易導致流產、死胎和早產,孕產婦病死率和胎兒病死率高達 20%~50%[7]。近年來,隨著飲食習慣的改變,APIP 的發病率有升高的趨勢。APIP 發病最常見的原因是膽結石[8],由于妊娠期孕酮水平升高,導致膽管張力減退,增加了 Oddi 括約肌的壓力,從而導致膽汁淤積及結石形成,約占 60%[9]。因此 ,逆行性胰膽管注射牛磺膽酸鈉誘導 APIP 的發生與自然條件下發生的 APIP 病理生理學改變基本一致。
急性胰腺炎導致腸損傷文獻早有報道,主要原因之一是大量細胞因子、炎癥介質、蛋白酶類和氧自由基的釋放,導致機體細胞的免疫調節功能紊亂,如產生過量的 TNF-α,加重腸黏膜損傷,造成細菌移位、內毒素血癥,進而加重原發疾病病情[10]。本研究結果表明,ANP 組孕鼠血清 AMY、LIP、胰腺組織病理評分均顯著高于 SO 組,表明逆行性注射牛磺膽酸鈉誘導 ANP 模型成功,血清 DAO 水平、腸道組織病理學評分較 SO 組顯著升高,反應了 ANP 時腸道組織出現了損傷。
MIF 作為一種重要的多功能細胞因子,涉及各種生理和病理過程,包括炎癥、免疫[11]、腫瘤和妊娠。MIF 在 ANP[12]、肝損傷[13]、急性呼吸窘迫綜合征[14]和敗血癥[15]的發生和發展中起著一定的作用。MIF 能激活 NF-κB 的表達以及刺激 TNF-α 與 IL-1β 的分泌[16],同時 TNF-α、NF-κB 能減少 MIF 的產生[17-18],MIF-NF-κB-TNF-α/IL-1β 的瀑式激活可能最終導致了 APIP 腸損傷;此外,MIF 信號轉導和炎癥細胞的浸潤可能加速了腸損傷過程。
促炎細胞因子 TNF-α 被認為是 ANP 炎癥聯級反應的關鍵啟動因子之一,并且胰腺的損傷程度與 TNF-α 水平直接相關[19],TNF-α 水平上升,可引起進一步的組織損傷,加重 ANP 遠端臟器損傷,如腎損傷等[20-21];p38 絲裂原活化蛋白激酶與 NF-κB 是 ANP 發病機制中調節炎癥介質的基本途徑[22],NF-κB能調控多種炎性細胞因子的表達[23-24]。APIP 合并腸損傷時,腸道組織中 NF-κB 的激活可引起多種促炎蛋白的表達,如 IL-1β、IL-6、TNF-α 等,從而導致腸損傷。本研究中免疫組織化學檢測結果顯示,ANP 組 MIF、TNF-α、NF-κB 表達較 SO 組顯著升高,提示 APIP 時,MIF 可對 NF-κB 的激活進行調控,促進炎性細胞因子的釋放,最終導致腸損傷。
ISO-1 作為一種化合物往往用于結直腸癌、卵巢癌的研究中,能夠抑制結直腸癌、卵巢癌的生長。ISO-1 可選擇性地結合 MIF D-多巴胺互變異構酶活性位點,從而抑制 MIF 的一些生物學功能[25]。本研究結果顯示,使用 ISO-1 處理后,血清中 DAO 水平較 ANP 組顯著降低;HE 染色發現胰腺、腸道組織損傷較 ANP 組有所改善;免疫組織化學結果顯示 MIF、TNF-α、NF-κB 表達較 ANP 組顯著下降,結果提示,ISO-1 對 APIP 孕鼠腸損傷具有一定的保護作用,其機制可能與 ISO-1 抑制了 MIF 的部分功能,進而抑制了 TNF-α、NF-κB 的激活有關。
綜上所述,本研究結果提示 MIF 抑制劑 ISO-1 可以通過抑制 MIF 的活性進而抑制 NF-κB 的活化,減少炎癥細胞因子 TNF-α 的表達,進而減輕組織炎癥細胞浸潤,達到保護胰腺與腸道組織損傷的作用。但本研究存在一定的局限性,未對 ISO-1 通過抑制 MIF 的活性減輕 ANP 是腸損傷的具體機制進行闡明,有待進一步的研究。
妊娠合并急性胰腺炎(APIP)是一種相對罕見的外科急腹癥,發病率為 1/10 000~1/1 000[1-2],具有起病急、臨床表現不典型、易出現多器官功能衰竭和病死率高的特點。APIP 發病進程中,多種因素會導致腸黏膜結構完整性破壞、通透性增高、菌群移位以及內毒素血癥,甚至誘發全身炎癥反應綜合征和多器官功能衰竭,危及到母體和胎兒生命,孕產婦病死率和胎兒死亡率高[3]。本研究旨在通過探討巨噬細胞移動抑制因子(MIF)在 APIP 腸損傷發病機制中的作用,尋求有效的治療方法。
1 材料與方法
1.1 主要試劑和材料
牛磺膽酸鈉購自美國 Sigma 公司,MIF 特異抑制劑(S,R)-3-(4-羥苯基)-4,5-二氫-5-異噁唑乙酸甲酯(ISO-1)購自美國 Santa Cruz 公司,MIF、腫瘤壞死因子(TNF)-α 抗體購自美國 Abcam 公司,核因子(NF)-κB 抗體購自美國 CST 公司,二胺氧化酶(DAO)試劑盒購自南京建成生物工程研究所。
1.2 實驗動物及分組
初次妊娠 17~19 d 的 SD 大鼠(簡稱孕鼠)24 只,體質量 370~420 g,購自武漢大學實驗動物中心,經武漢大學人民醫院實驗動物倫理委員會批準(批準號:WDRM-20150606),動物飼養于武漢大學人民醫院動物實驗中心 [使用許可證編號:SYXK(鄂)2015-0027]。使用隨機數字表法隨機分為假手術組(SO 組)、急性壞死性胰腺炎組(ANP 組)和 MIF 特異抑制劑 ISO-1 干預組(ISO-1 組)3 組,每組 8 只孕鼠。
1.3 ANP 模型建立
孕鼠術前 12 h 禁食不禁水。異氟烷麻醉后取仰臥位,腹部正中切口入腹,夾閉膽總管,通過 4.5#注射器針頭穿刺十二指腸壁,逆行胰膽管注射(0.1 mL/min)5% 牛磺膽酸鈉(1 mL/kg)建立 ANP 模型并將兩側胰膽管夾閉 5 min[4]。逐層縫合后皮下注射生理鹽水補液。SO 組開腹后僅翻動十二指腸及胰腺后關腹。ISO-1 組在術前 30 min 腹腔注射溶解 ISO-1(7 mg/kg)的 5% 二甲基亞砜溶液(2 mL/kg)。SO 組和 ANP 組術前 30 min 僅經腹腔注射 5% 二甲基亞砜(2 mL/kg)溶液。孕鼠蘇醒后禁食不禁水,分籠喂養。根據血清淀粉酶(AMY)與脂肪酶(LIP)水平以及胰腺 HE 染色結果判斷 ANP 模型是否建立成功。
1.4 標本獲取
各組孕鼠均于術后 12 h 處死,經下腔靜脈穿刺取血 4~5 mL,1 500×g 離心血清 15 min,收集上清液分裝,–80 ℃ 凍存備用。取胰頭組織和距離回盲部 4~5 cm 處空腸腸管組織 1~2 cm,4% 多聚甲醛固定,常規石蠟包埋、切片。
1.5 血清指標檢測
采用全自動多功能生化儀檢測大鼠血清 AMY 與 LIP 水平(武漢大學人民醫院醫學檢驗中心),血清 IL-1β、IL-6 與 DAO 水平采用特定 ELISA 試劑盒檢測。
1.6 胰腺及腸道組織病理學檢測
將胰腺及腸道組織固定包埋后切片,HE 染色并在光鏡下觀察。胰腺組織病理評分根據是否出現水腫、壞死、出血、脂肪壞死、炎癥和血管炎性細胞浸潤進行[5]。腸道組織病理評分根據腸道絨毛是否變性、擴張、絨毛脫落、固有層是否水腫、出血及崩解進行[6]。
1.7 免疫組織化學方法檢測
采用免疫組織化學方法檢測 MIF、TNF-α 及 NF-κB 蛋白在腸道組織中的表達。取各組空腸組織切片(4 μm),脫蠟水化后在壓力鍋(121 ℃,4 min)中用檸檬酸鈉緩沖液行抗原修復,3% H2O2 阻斷內源性H2O2 酶,一抗二抗孵育、鏈霉素抗生物素-過氧化酶依次孵育后,DAB 顯色,觀察 MIF、TNF-α及 NF-κB 蛋白表達,以細胞質或細胞核呈棕色為陽性表達,并使用 Image Pro-Plus 6.0 軟件進行累積光密度(IODsum)值測量,行半定量分析。
1.8 統計學方法
采用 SPSS 20.0 統計軟件對數據進行分析。符合正態分布的計量資料以均數±標準差(
±s)表示,多組間差異比較采用單因素方差分析和Bonferroni檢驗。檢驗水準α=0.05。
2 結果
2.1 孕鼠血清中 AMY、LIP、DAO、IL-1β 及IL-6 水平
3 組孕鼠血清中 AMY、LIP、DAO、IL-1β 及 IL-6水平檢測結果見圖 1。從圖 1 可見,ANP組的AMY、LIP、DAO、IL-1β及IL-6水平均明顯高于SO組(t值分別為16.80、12.22、9.78、18.32及20.32、P值均<0.001),ISO-1組的AMY、LIP、DAO、IL-1β及IL-6水平亦均明顯高于SO組(t值分別為14.70、11.19、6.32、39.97及8.11、P值均<0.001)。與ANP組比較,ISO-1組血清AMY、LIP水平下降并不明顯(t=2.18、P=0.122,t=1.03、P=0.949),而DAO、IL-1β和IL-6水平均顯著降低(t值分別為3.46、9.36及12.21、P值均<0.001)。

a:AMY;b:LIP;c:DAO;d:IL-1β;e:IL-6。與 SO 組比較,*
2.2 孕鼠胰腺與腸道組織病理學改變及其評分
3 組孕鼠胰腺組織和腸道組織病理學改變結果見圖 2。從圖 2a 可見,SO 組胰腺小葉完整,無明顯病理改變或僅見輕度水腫;ANP 組胰腺出現不同程度間質水腫,腺泡細胞壞死、腺葉間隙增寬及炎性細胞浸潤,其病理評分明顯高于 SO 組(t=29.30 ,P<0.001);與 ANP 組相比,ISO-1 組胰腺腺泡輕度水腫,間質內少量出血及炎性細胞浸潤,其病理評分明顯低于 ANP 組(t=13.23,P<0.001),但仍明顯高于 SO 組(t=16.07,P<0.001)。從圖 2b 可見,SO 組腸黏膜組織的組織學結構正常,ANP 組腸道出現不同程度絨毛水腫、脫落、黏膜變性、壞死、出血以及炎性細胞浸潤,其腸道組織病理評分明顯高于 SO 組(t=16.73 ,P<0.001);與 ANP 組相比,ISO-1 組腸道組織損傷有所減輕,其腸道組織病理評分明顯低于 ANP 組(t=11.81,P<0.001),但仍明顯高于 SO 組(t=13.46 ,P<0.001)。

a:胰腺組織;b:腸道組織。與 SO 組比較,*
2.3 免疫組織化學檢測腸道組織中 MIF、NF-κB 及 TNF-α 的表達
3 組孕鼠腸道組織中 MIF、NF-κB 及 TNF-α 蛋白表達的免疫組織化學檢測結果見圖 3。MIF 染色陽性表達為視野內細胞質被染成棕黃色,NF-κB 陽性表達為視野內細胞質及細胞核,或單純細胞核被染成棕黃色。TNF-α 染色陽性表達為視野內細胞質被染成棕黃色。ANP 組孕鼠腸道組織中 MIF、NF-κB 及 TNF-α 蛋白表達的 IOD 值均明顯高于 SO 組(t 值分別為 21.78、37.58及19.92,P值均<0.001);ISO-1 組孕鼠腸道組織中 MIF、NF-κB 及 TNF-α 蛋白表達的 IOD 值均明顯低于 ANP 組(t 值分別為 13.30、16.40及10.34,P值均<0.001),但仍高于 SO 組(t 值分別為8.48、11.18及9.58,P 值均<0.001)。

a:MIF;b:NF-κB;c:TNF-α。與 SO 組比較,*
3 討論
APIP 是一種嚴重的妊娠并發癥,主要發生在產程后期,極易導致流產、死胎和早產,孕產婦病死率和胎兒病死率高達 20%~50%[7]。近年來,隨著飲食習慣的改變,APIP 的發病率有升高的趨勢。APIP 發病最常見的原因是膽結石[8],由于妊娠期孕酮水平升高,導致膽管張力減退,增加了 Oddi 括約肌的壓力,從而導致膽汁淤積及結石形成,約占 60%[9]。因此 ,逆行性胰膽管注射牛磺膽酸鈉誘導 APIP 的發生與自然條件下發生的 APIP 病理生理學改變基本一致。
急性胰腺炎導致腸損傷文獻早有報道,主要原因之一是大量細胞因子、炎癥介質、蛋白酶類和氧自由基的釋放,導致機體細胞的免疫調節功能紊亂,如產生過量的 TNF-α,加重腸黏膜損傷,造成細菌移位、內毒素血癥,進而加重原發疾病病情[10]。本研究結果表明,ANP 組孕鼠血清 AMY、LIP、胰腺組織病理評分均顯著高于 SO 組,表明逆行性注射牛磺膽酸鈉誘導 ANP 模型成功,血清 DAO 水平、腸道組織病理學評分較 SO 組顯著升高,反應了 ANP 時腸道組織出現了損傷。
MIF 作為一種重要的多功能細胞因子,涉及各種生理和病理過程,包括炎癥、免疫[11]、腫瘤和妊娠。MIF 在 ANP[12]、肝損傷[13]、急性呼吸窘迫綜合征[14]和敗血癥[15]的發生和發展中起著一定的作用。MIF 能激活 NF-κB 的表達以及刺激 TNF-α 與 IL-1β 的分泌[16],同時 TNF-α、NF-κB 能減少 MIF 的產生[17-18],MIF-NF-κB-TNF-α/IL-1β 的瀑式激活可能最終導致了 APIP 腸損傷;此外,MIF 信號轉導和炎癥細胞的浸潤可能加速了腸損傷過程。
促炎細胞因子 TNF-α 被認為是 ANP 炎癥聯級反應的關鍵啟動因子之一,并且胰腺的損傷程度與 TNF-α 水平直接相關[19],TNF-α 水平上升,可引起進一步的組織損傷,加重 ANP 遠端臟器損傷,如腎損傷等[20-21];p38 絲裂原活化蛋白激酶與 NF-κB 是 ANP 發病機制中調節炎癥介質的基本途徑[22],NF-κB能調控多種炎性細胞因子的表達[23-24]。APIP 合并腸損傷時,腸道組織中 NF-κB 的激活可引起多種促炎蛋白的表達,如 IL-1β、IL-6、TNF-α 等,從而導致腸損傷。本研究中免疫組織化學檢測結果顯示,ANP 組 MIF、TNF-α、NF-κB 表達較 SO 組顯著升高,提示 APIP 時,MIF 可對 NF-κB 的激活進行調控,促進炎性細胞因子的釋放,最終導致腸損傷。
ISO-1 作為一種化合物往往用于結直腸癌、卵巢癌的研究中,能夠抑制結直腸癌、卵巢癌的生長。ISO-1 可選擇性地結合 MIF D-多巴胺互變異構酶活性位點,從而抑制 MIF 的一些生物學功能[25]。本研究結果顯示,使用 ISO-1 處理后,血清中 DAO 水平較 ANP 組顯著降低;HE 染色發現胰腺、腸道組織損傷較 ANP 組有所改善;免疫組織化學結果顯示 MIF、TNF-α、NF-κB 表達較 ANP 組顯著下降,結果提示,ISO-1 對 APIP 孕鼠腸損傷具有一定的保護作用,其機制可能與 ISO-1 抑制了 MIF 的部分功能,進而抑制了 TNF-α、NF-κB 的激活有關。
綜上所述,本研究結果提示 MIF 抑制劑 ISO-1 可以通過抑制 MIF 的活性進而抑制 NF-κB 的活化,減少炎癥細胞因子 TNF-α 的表達,進而減輕組織炎癥細胞浸潤,達到保護胰腺與腸道組織損傷的作用。但本研究存在一定的局限性,未對 ISO-1 通過抑制 MIF 的活性減輕 ANP 是腸損傷的具體機制進行闡明,有待進一步的研究。