引用本文: 吉九威, 趙海平, 胡文秀, 楊麗敏, 王飛. 亞甲藍+牛磺膽酸鈉聯合逆行胰膽管注射法制備重癥急性胰腺炎大鼠模型. 中國普外基礎與臨床雜志, 2018, 25(9): 1049-1054. doi: 10.7507/1007-9424.201803092 復制
重癥急性胰腺炎(severe acute pancreatitis,SAP)發病急且病情重,特別是合并肝、肺、腦等臟器病變時病死率極高,預后不佳,成為臨床較為棘手的問題,針對 SAP 的基礎性研究仍是當今研究的熱點問題。因此,對 SAP 動物模型的要求不斷提高,需要一個穩定、重復性好、成模率高及致病因素與臨床病因相似的動物模型,其是探尋 SAP 發病機制、病理生理變化及其治療方法的基礎。自 1980 年 Aho 等[1]首次報道了通過逆行胰膽管注射牛磺膽酸鈉成功制備 SAP 大鼠模型以來,因此方法具有成模率和存活率高、穩定性好等優點,且病變符合臨床病變特征,故一直受到研究者們的認可,但其不足之處在于大鼠的胰膽管直徑小、尋找胰膽管開口及注射牛磺膽酸鈉困難、操作繁雜、對操作者技術熟練度要求高、膽漏和腸漏發生率高、病變常局限在胰頭而胰體及胰尾部組織病變表現不明顯。因此,關于 SAP 大鼠模型的建立需不斷地創新、改良和發展。本研究應用亞甲藍作為示蹤劑進行逆行胰膽管注射牛磺膽酸鈉造模,探究此法在大鼠 SAP 模型中的應用價值。
1 材料與方法
1.1 主要實驗材料
1.1.1 實驗動物
SPF 級 SD 大鼠 90 只(購自遼寧長生生物技術股份有限公司),雌雄各半,體質量為 280~320 g,鼠齡 60~70 d。
1.1.2 實驗試劑
牛磺膽酸鈉,購自北京索萊寶科技有限公司,使用前用滅菌注射水稀釋配制成濃度為 5% 的溶液;水合氯醛,購自成都市科隆化工試劑廠,使用前用滅菌注射水稀釋配制成濃度為 10% 的溶液;DAPI 熒光劑,購自美國 Sigma 公司;亞甲藍注射液,購自濟川藥業集團有限公司;4% 甲醛固定液,購自美國 Sigma 公司。
1.1.3 其他實驗物品
顯微止血夾,購自寧波醫用縫針有限公司;可吸收性外科縫線,購自上海浦東金環醫療用品股份有限公司;pH 試紙,購自上海馨晟試化工科技有限公司;1 mL 和 5 mL 注射器;HE 染色相關試劑、設備等。
1.2 動物分組及模型制備
1.2.1 動物分組
實驗 SD 大鼠購回后適應性喂養 1 周,隨后按照拆信封法隨機分配成 3 組,即對照組(C組)、牛磺膽酸鈉組(ST組)和亞甲藍+牛磺膽酸鈉組(MBST組),每組 30 只,每組再依次隨機分為 12、24 及 48 h 3 個亞組,每個亞組 10 只大鼠。
1.2.2 模型制備及標本處理
①模型制備。消毒手術器械,操作過程嚴格無菌。實驗大鼠于術前 12 h 禁食,不禁水。采用 10% 水合氯醛腹腔注射麻醉(3.3 mL/kg)。待麻醉滿意后將大鼠固定于手術臺上,腹部術區備皮,常規乙醇消毒鋪巾。取上腹正中切口長約 3 cm 入腹,顯露十二指腸,將十二指腸順時針翻轉,暴露胰腺背側,手術燈光照向胰腺背側,從胰腺腹側辨認膽管系統及十二指腸乳頭(圖 1a);用顯微止血夾暫時阻閉肝門部膽管,用棉簽鈍性分離胰頭,暴露胰膽管-十二指腸匯合部,于十二指腸乳頭開口處十二指腸對系膜緣腸壁無血管區作為穿刺點,用直徑 0.3 mm 穿刺針頭與腸管壁成 10° 角刺入十二指腸壁內,調整穿刺針方向平行于胰膽管,經乳頭部插入胰膽管內約 5 mm(此處一般無主胰管);顯微止血夾封閉胰膽管十二指腸開口端,穿刺針連接 1 mL 注射器,以 0.3 mL/min 的速度勻速向胰膽管內注入藥液,劑量為 2 mL/kg。其中 NC 組注射 0.9% 生理鹽水,ST 組注射 5% 牛磺膽酸鈉+3 μL DAPI 熒光劑,MBST 組注射 5% 牛磺膽酸鈉+ 0.1 mL 亞甲藍注射液+ 3 μL DAPI 熒光劑。注藥完畢后 5 min,MBST 組大鼠的分支胰膽管被逐漸清晰地顯示出來(圖 1b),同時在藥液分布區域可見胰腺組織充血水腫(圖 1c),注藥后10 min,胰膽管內的亞甲藍逐漸被吸收(圖 1d),然后去除肝門部膽管及乳頭處顯微止血夾,8-0 可吸收性外科縫線“8”字縫合腸壁穿刺口,用 5 mL 注射器抽取溫鹽水沖洗穿刺口及乳頭部位;5 min 后用 pH 試紙蘸取穿刺口周圍腸壁及乳頭部組織液,與標準卡比色,判斷是否出現腸漏或膽漏(比色后呈現堿性,則認為出現腸漏或膽漏);干紗布擦凈腹腔內沖洗液及滲液,檢查無活動性出血后逐層關腹。術畢背部皮下注射 5 mL 生理鹽水補液。②標本處理。大鼠蘇醒后禁食,可飲水,分組進行飼養。每組大鼠于穿刺成功后分別于 12 h、24 h 及 48 h 采用斷頭法處死,完整切除大鼠胰腺組織,4% 甲醛固定備用。以上所有操作均由同一名術者完成。

a:在燈光下辨認胰膽管及十二指腸乳頭(黑箭);b:MBST 組注射藥液后胰膽管清晰可見(黑箭);c:MBST 組注射藥液后 5 min 可見分支胰管顯影,藥液周圍的胰腺組織充血水腫明顯(黑箭);d:MBST 組注射藥液后 10 min 亞甲藍逐漸被吸收,胰腺出現散在出血點(黑箭)
1.3 SAP 模型納入與排除標準
1.3.1 納入標準
① 穿刺過程中無肉眼可見的胰膽管穿透性損傷;② 無胰腺及其被膜損傷;③ 無胰腺及穿刺部位的活動性出血;④ 穿刺口及十二指腸乳頭周圍無膽漏或腸漏;⑤ 操作過程中無其他器官組織的副損傷;⑥ 大鼠在處死的各時間點仍然存活。對符合以上全部條件的大鼠納入本研究。
1.3.2 排除標準
① 穿刺過程中有肉眼可見的胰膽管穿透性損傷;② 穿刺十二指腸后針頭脫出或反復穿刺;③ 有胰腺及其被膜損傷;④ 有胰腺及穿刺部位活動性出血且按壓止血后仍有出血;⑤ 穿刺口及十二指腸乳頭周圍有膽漏或腸漏;⑥ 操作過程中有其他器官組織的副損傷;⑦ 在處死的各時間點大鼠已經死亡。對符合以上任何一條的大鼠均不納入研究范圍。
1.4 觀察指標
1.4.1 穿刺成功率
符合以下全部條件者則認為穿刺成功:① 穿刺過程中無胰膽管穿透性損傷;② 無胰腺及其被膜損傷;③ 無胰腺及穿刺部位活動性出血;④ 穿刺口及乳頭周圍無腸漏及胰漏;⑤ 操作過程中無其他器官組織的副損傷。計算 3 組的穿刺成功率。
1.4.2 壞死程度
取各組術后 12、24 及 48 h 時存活大鼠的胰腺體部標本,常規 HE 染色后,采用盲法由專科醫師在光鏡下閱片。每張切片隨機選擇10 個高倍視野(×200),觀察胰腺組織的病理變化,并參照 Schmidt 等[2]的鏡下評分法(表 1)對胰腺病理變化進行評分,計算 3 組在各時間點時的平均分數。

1.4.3 病變范圍
分別取 ST 組及 MBST 組在 24 h 時的胰頭、胰體及胰尾組織做成冰凍切片,每張切片隨機選擇 5 個高倍視野(×200),在熒光顯微鏡下觀察評分,每個視野若見熒光分布則計 1 分,同一只大鼠最高 15 分,最低 0 分,分別計算 ST 組及 MBST 組的平均評分。
1.4.4 膽腸漏率
注射藥液且縫合穿刺口后,用溫鹽水沖洗穿刺口及乳頭部位 5 min 后用 pH 試紙蘸取穿刺口周圍腸壁及乳頭部組織液,與標準卡比色呈現堿性,則認為腸漏或膽漏發生,計算 3 組的總體膽腸漏率。
1.5 統計學方法
采用 SPSS 22.0 統計軟件對數據進行分析,計量資料采用均數±標準差(
±s)表示,兩樣本均數比較采用兩獨立樣本 t 檢驗;多個樣本均數比較經方差齊性檢驗,滿足方差齊性,使用方差分析,兩兩比較采用 LSD-t 檢驗;計數資料采用 R×C 列聯表卡方(χ2)檢驗。檢驗水準 α=0.050。
2 結果
2.1 穿刺成功率
C 組穿刺成功 21 只(70%),失敗 9 只,其中 8 只出現膽漏或腸漏,1 只出現肉眼可見的胰膽管穿透性損傷,但胰腺被膜完整;ST 組穿刺成功 20 只(67%),失敗 10 只,其中 9 只出現膽漏或腸漏,1 只出現胰頭部出血且按壓止血無效;MBST 組穿刺成功 29 只(97%),失敗 1 只,為穿刺部位持續性出血。穿刺成功率在 3 組間總體比較差異有統計學意義(P=0.009),其在 MBST 組明顯高于 ST 組(P=0.003)和 C 組(P=0.006),ST 組和 C 組間比較差異無統計學意義(P=0.782)。
2.2 胰腺壞死程度
C 組在 3 個觀察時間點時大鼠均存活。ST 組和 MBST 組在制模后 12、24 及 48 h 時存活大鼠分別為 7 和 7 只、5 和 6 只及 4 和 4 只。其中 MBST 組隨著時間的延長胰腺的病變程度越來越重(圖 2a–圖 2d),48 h 時大體標本出現了胰腺大片壞死及皂化斑(圖 2e)。3 組大鼠胰腺體部組織病理評分結果見表 2。各組間的病理評分在相同時間點比較:在 12、24 及 48 h 時間點時 MBST 組均明顯高于 ST 組(P=0.003,P=0.002,P=0.046)和 C 組(P<0.001,P<0.001,P<0.001),ST 組也明顯高于 C 組(P<0.001,P<0.001,P<0.001)。同一組內不同時間點的病理評分比較:MBST 組在 48 h 時明顯高于 12 h 時(P<0.001),與 24 h 時比較差異無統計學意義(P=0.410),在 24 h 時明顯高于 12 h 時(P=0.040);ST 組在 48 h 時明顯高于 12 h 時(P=0.009),與 24 h 時比較差異無統計學意義(P=0.110),24 h 與 12 h 時比較差異亦無統計學意義(P=0.840);C 組在 48 h 時明顯低于 12 h 時(P=0.012)和 24 h 時(P=0.019),24 h 與 12 h 比較差異亦無統計學意義(P=0.818)。

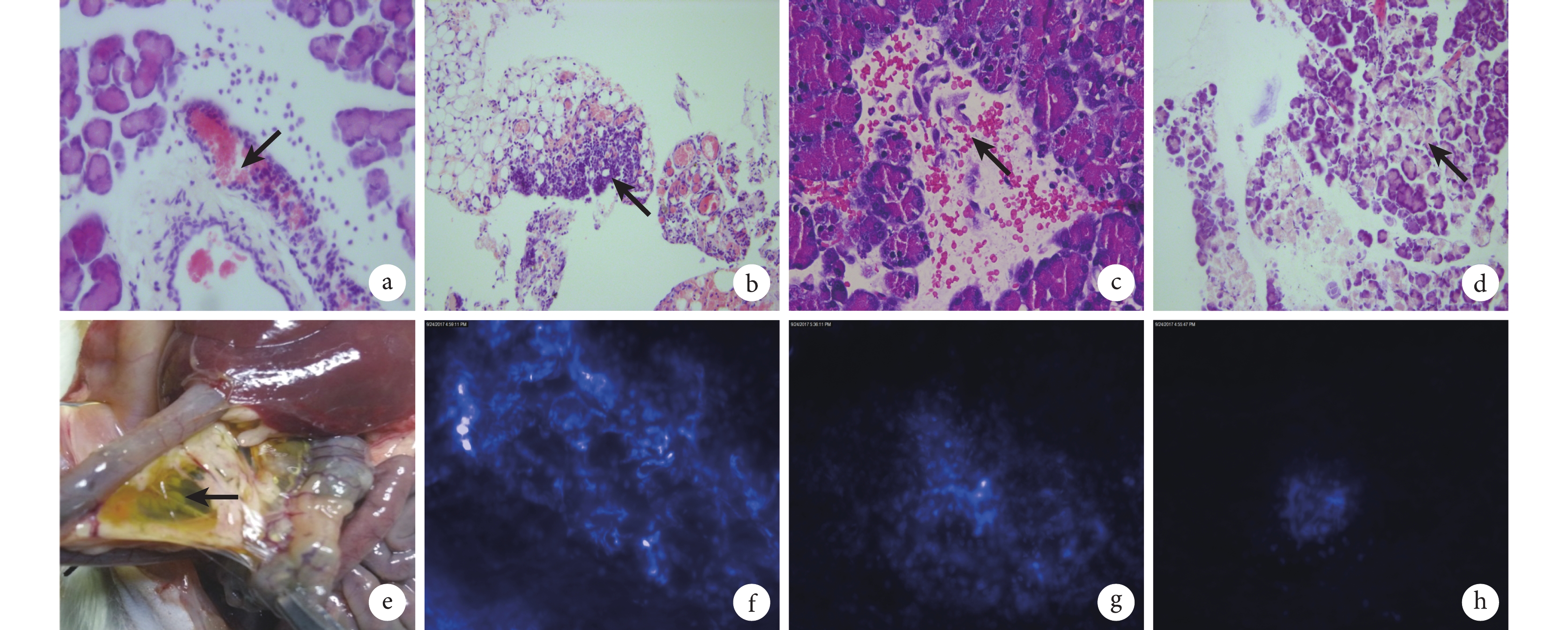
a:建模后 12 h 時胰腺組織出現充血、水腫及炎性細胞浸潤表現(黑箭,HE ×200);b:建模后 12 h 時胰周脂肪出現出血、炎癥細胞浸潤表現(黑箭,HE ×100);c:建模后 24 h 時胰腺組織出現充血、水腫,在炎性細胞浸潤、腺泡破裂的基礎上可見少量纖維細胞浸入(黑箭,HE ×200);d:建模后 48 h 時胰腺組織出現大片壞死(黑箭,HE ×100);e:建模后 48 h 時胰腺組織出現大片壞死及皂化斑(黑箭);f–h:分別示胰頭、胰體和胰腺尾部的熒光素聚集情況( ×200)


2.3 胰腺病變范圍
制模后 24 h 時大鼠存活情況為 ST 組 5 只,MBST 組 6 只。在 MBST 組,見胰頭部熒光素聚集量最多,胰體部次之,胰尾部最少,見圖 2f–圖 2h。MBST 組的胰腺病變范圍評分明顯高于 ST 組,差異有統計學意義 [(10.67±1.21)分比(7.40±1.82)分,t=3.56,P=0.003]。
2.4 各組膽腸漏發生率結果
出現膽腸漏大鼠 C 組中有 8 只(27%),ST 組有 9 只(30%),MBST 組沒有發生膽腸漏。3 組間膽腸漏發生率總體比較差異有統計學意義(χ2=10.59,P=0.005),其中 MBST 組的膽腸漏發生率明顯低于 C 組(χ2=7.07,P=0.008)和 ST 組(χ2=8.37,P=0.004),C 組和 ST 組間比較差異無統計學意義(χ2=0.93,P=0.334)。
3 討論
SAP 病因復雜,其原因以膽管疾病及飲酒過度為主,也可由缺血性損傷、高脂血癥、高鈣血癥、Oddi 括約肌功能障礙、感染、手術等因素所致;該病具有起病急、進展快、病情復雜以及病死率高的特點,其發病率在近 10 年來呈上升趨勢[3-6]。為此,構建一個更加可靠的 SAP 模型對研究該疾病的發病機制、病理生理以及治療效果是至關重要的。
SAP 大鼠模型的建立方法較多,主要包括侵襲性法和非侵襲性法兩種。侵襲性法主要包括逆行胰膽管注射法[1, 7-8]、胰膽管直接結扎法[9-10]及胰腺被膜下注射法[11-12];非侵襲性法主要包括分次腹腔注射 L-arginine 法[13-15]、高鈣血癥法[16]、雨蛙素腹腔注射法[17]、雨蛙素聯合脂多糖腹腔注射法[18-20]及無膽鹽乙硫氨酸喂養法[21-22];此外,還有多種方法聯合應用,如 Gr?nroos 等[23]報道的慢性乙醇攝入聯合牛磺膽酸鈉刺激造模和 van Baal 等[24]的靜脈注射雨蛙素聯合胰膽管注射膽鹽刺激法造模。
由于逆行胰膽管注射法具有成模率和存活率高、穩定性好等優點,且病變符合臨床病變特征,一直被廣大研究者認可,故在 Aho 等[1]首次應用逆行胰膽管注射法成功制備 SAP 大鼠模型后仍有很多研究者在其基礎上不斷地進行改良。在改良過程中發現仍有較多問題需要解決,如尋找胰膽管開口及注射藥液困難、容易發生膽腸漏等。李洋等[25]曾報道將亞甲藍染色法應用于乳腺癌前哨淋巴結活檢中,具有很好的示蹤效果,并且發現小劑量亞甲藍并無毒副作用。據此,本研究在逆行胰膽管注射牛磺膽酸鈉制備 SAP 大鼠模型的基礎上也在藥液中添加亞甲藍作為示蹤劑,結果發現,在穿刺注藥過程中,在藍色藥液的映襯下胰膽管清晰可見,穿刺針在胰膽管中的方位容易確定且在穿刺過程中可以根據情況隨時調整針頭位置,避免胰膽管或胰腺被膜被穿破而造成胰漏或膽漏,即便第 1 次穿刺注藥后藥液并未進入胰膽管僅在胰頭被膜下聚集,但此時胰膽管-十二指腸連接處在藍色藥液的背景下十分清楚,僅需輕微調整穿刺針方向就可以穿刺成功,這就有效避免了因反復穿刺造成十二指腸漏及穿刺部位的出血,大大提高了穿刺成功率,降低了膽腸漏發生率。本研究中 MBST 組的穿刺成功率明顯高于 ST 組(P<0.050)和 C 組(P<0.050);MBST 組的膽腸漏發生率明顯低于 C 組(P<0.050)和 ST 組(P<0.050);此外,在注藥過程中,可以看到藍色藥液經主胰膽管逐漸分散到分支胰管,最終散布到整個胰腺組織,同時藥液分布的周圍往往有肉眼可見的胰腺組織充血水腫,可根據藥液在胰膽管中流動的情況以及穿刺部位是否有藍色藥液反流至十二指腸從而調整穿刺針的位置、注藥的速度和壓力,確保藥液均勻分布在胰腺組織內,盡量使胰腺病變輕重一致,病變范圍廣泛。在本研究中,MBST 組的胰腺病變范圍評分明顯高于 ST 組(P<0.050);同時也避免了藥液浪費以及注藥不足所致的胰腺病變過輕致造模失敗。
本研究結果證實,亞甲藍+牛磺膽酸鈉聯合逆行胰膽管注射法制備急性 SAP 大鼠模型可以顯著提高穿刺成功率、加重胰腺病變程度、擴大胰腺病變范圍及降低膽漏或腸漏率,使得模型穩定、重復性好及成模率高,可以成為制備 SAP 大鼠模型的合適方法。
重癥急性胰腺炎(severe acute pancreatitis,SAP)發病急且病情重,特別是合并肝、肺、腦等臟器病變時病死率極高,預后不佳,成為臨床較為棘手的問題,針對 SAP 的基礎性研究仍是當今研究的熱點問題。因此,對 SAP 動物模型的要求不斷提高,需要一個穩定、重復性好、成模率高及致病因素與臨床病因相似的動物模型,其是探尋 SAP 發病機制、病理生理變化及其治療方法的基礎。自 1980 年 Aho 等[1]首次報道了通過逆行胰膽管注射牛磺膽酸鈉成功制備 SAP 大鼠模型以來,因此方法具有成模率和存活率高、穩定性好等優點,且病變符合臨床病變特征,故一直受到研究者們的認可,但其不足之處在于大鼠的胰膽管直徑小、尋找胰膽管開口及注射牛磺膽酸鈉困難、操作繁雜、對操作者技術熟練度要求高、膽漏和腸漏發生率高、病變常局限在胰頭而胰體及胰尾部組織病變表現不明顯。因此,關于 SAP 大鼠模型的建立需不斷地創新、改良和發展。本研究應用亞甲藍作為示蹤劑進行逆行胰膽管注射牛磺膽酸鈉造模,探究此法在大鼠 SAP 模型中的應用價值。
1 材料與方法
1.1 主要實驗材料
1.1.1 實驗動物
SPF 級 SD 大鼠 90 只(購自遼寧長生生物技術股份有限公司),雌雄各半,體質量為 280~320 g,鼠齡 60~70 d。
1.1.2 實驗試劑
牛磺膽酸鈉,購自北京索萊寶科技有限公司,使用前用滅菌注射水稀釋配制成濃度為 5% 的溶液;水合氯醛,購自成都市科隆化工試劑廠,使用前用滅菌注射水稀釋配制成濃度為 10% 的溶液;DAPI 熒光劑,購自美國 Sigma 公司;亞甲藍注射液,購自濟川藥業集團有限公司;4% 甲醛固定液,購自美國 Sigma 公司。
1.1.3 其他實驗物品
顯微止血夾,購自寧波醫用縫針有限公司;可吸收性外科縫線,購自上海浦東金環醫療用品股份有限公司;pH 試紙,購自上海馨晟試化工科技有限公司;1 mL 和 5 mL 注射器;HE 染色相關試劑、設備等。
1.2 動物分組及模型制備
1.2.1 動物分組
實驗 SD 大鼠購回后適應性喂養 1 周,隨后按照拆信封法隨機分配成 3 組,即對照組(C組)、牛磺膽酸鈉組(ST組)和亞甲藍+牛磺膽酸鈉組(MBST組),每組 30 只,每組再依次隨機分為 12、24 及 48 h 3 個亞組,每個亞組 10 只大鼠。
1.2.2 模型制備及標本處理
①模型制備。消毒手術器械,操作過程嚴格無菌。實驗大鼠于術前 12 h 禁食,不禁水。采用 10% 水合氯醛腹腔注射麻醉(3.3 mL/kg)。待麻醉滿意后將大鼠固定于手術臺上,腹部術區備皮,常規乙醇消毒鋪巾。取上腹正中切口長約 3 cm 入腹,顯露十二指腸,將十二指腸順時針翻轉,暴露胰腺背側,手術燈光照向胰腺背側,從胰腺腹側辨認膽管系統及十二指腸乳頭(圖 1a);用顯微止血夾暫時阻閉肝門部膽管,用棉簽鈍性分離胰頭,暴露胰膽管-十二指腸匯合部,于十二指腸乳頭開口處十二指腸對系膜緣腸壁無血管區作為穿刺點,用直徑 0.3 mm 穿刺針頭與腸管壁成 10° 角刺入十二指腸壁內,調整穿刺針方向平行于胰膽管,經乳頭部插入胰膽管內約 5 mm(此處一般無主胰管);顯微止血夾封閉胰膽管十二指腸開口端,穿刺針連接 1 mL 注射器,以 0.3 mL/min 的速度勻速向胰膽管內注入藥液,劑量為 2 mL/kg。其中 NC 組注射 0.9% 生理鹽水,ST 組注射 5% 牛磺膽酸鈉+3 μL DAPI 熒光劑,MBST 組注射 5% 牛磺膽酸鈉+ 0.1 mL 亞甲藍注射液+ 3 μL DAPI 熒光劑。注藥完畢后 5 min,MBST 組大鼠的分支胰膽管被逐漸清晰地顯示出來(圖 1b),同時在藥液分布區域可見胰腺組織充血水腫(圖 1c),注藥后10 min,胰膽管內的亞甲藍逐漸被吸收(圖 1d),然后去除肝門部膽管及乳頭處顯微止血夾,8-0 可吸收性外科縫線“8”字縫合腸壁穿刺口,用 5 mL 注射器抽取溫鹽水沖洗穿刺口及乳頭部位;5 min 后用 pH 試紙蘸取穿刺口周圍腸壁及乳頭部組織液,與標準卡比色,判斷是否出現腸漏或膽漏(比色后呈現堿性,則認為出現腸漏或膽漏);干紗布擦凈腹腔內沖洗液及滲液,檢查無活動性出血后逐層關腹。術畢背部皮下注射 5 mL 生理鹽水補液。②標本處理。大鼠蘇醒后禁食,可飲水,分組進行飼養。每組大鼠于穿刺成功后分別于 12 h、24 h 及 48 h 采用斷頭法處死,完整切除大鼠胰腺組織,4% 甲醛固定備用。以上所有操作均由同一名術者完成。

a:在燈光下辨認胰膽管及十二指腸乳頭(黑箭);b:MBST 組注射藥液后胰膽管清晰可見(黑箭);c:MBST 組注射藥液后 5 min 可見分支胰管顯影,藥液周圍的胰腺組織充血水腫明顯(黑箭);d:MBST 組注射藥液后 10 min 亞甲藍逐漸被吸收,胰腺出現散在出血點(黑箭)
1.3 SAP 模型納入與排除標準
1.3.1 納入標準
① 穿刺過程中無肉眼可見的胰膽管穿透性損傷;② 無胰腺及其被膜損傷;③ 無胰腺及穿刺部位的活動性出血;④ 穿刺口及十二指腸乳頭周圍無膽漏或腸漏;⑤ 操作過程中無其他器官組織的副損傷;⑥ 大鼠在處死的各時間點仍然存活。對符合以上全部條件的大鼠納入本研究。
1.3.2 排除標準
① 穿刺過程中有肉眼可見的胰膽管穿透性損傷;② 穿刺十二指腸后針頭脫出或反復穿刺;③ 有胰腺及其被膜損傷;④ 有胰腺及穿刺部位活動性出血且按壓止血后仍有出血;⑤ 穿刺口及十二指腸乳頭周圍有膽漏或腸漏;⑥ 操作過程中有其他器官組織的副損傷;⑦ 在處死的各時間點大鼠已經死亡。對符合以上任何一條的大鼠均不納入研究范圍。
1.4 觀察指標
1.4.1 穿刺成功率
符合以下全部條件者則認為穿刺成功:① 穿刺過程中無胰膽管穿透性損傷;② 無胰腺及其被膜損傷;③ 無胰腺及穿刺部位活動性出血;④ 穿刺口及乳頭周圍無腸漏及胰漏;⑤ 操作過程中無其他器官組織的副損傷。計算 3 組的穿刺成功率。
1.4.2 壞死程度
取各組術后 12、24 及 48 h 時存活大鼠的胰腺體部標本,常規 HE 染色后,采用盲法由專科醫師在光鏡下閱片。每張切片隨機選擇10 個高倍視野(×200),觀察胰腺組織的病理變化,并參照 Schmidt 等[2]的鏡下評分法(表 1)對胰腺病理變化進行評分,計算 3 組在各時間點時的平均分數。

1.4.3 病變范圍
分別取 ST 組及 MBST 組在 24 h 時的胰頭、胰體及胰尾組織做成冰凍切片,每張切片隨機選擇 5 個高倍視野(×200),在熒光顯微鏡下觀察評分,每個視野若見熒光分布則計 1 分,同一只大鼠最高 15 分,最低 0 分,分別計算 ST 組及 MBST 組的平均評分。
1.4.4 膽腸漏率
注射藥液且縫合穿刺口后,用溫鹽水沖洗穿刺口及乳頭部位 5 min 后用 pH 試紙蘸取穿刺口周圍腸壁及乳頭部組織液,與標準卡比色呈現堿性,則認為腸漏或膽漏發生,計算 3 組的總體膽腸漏率。
1.5 統計學方法
采用 SPSS 22.0 統計軟件對數據進行分析,計量資料采用均數±標準差(
±s)表示,兩樣本均數比較采用兩獨立樣本 t 檢驗;多個樣本均數比較經方差齊性檢驗,滿足方差齊性,使用方差分析,兩兩比較采用 LSD-t 檢驗;計數資料采用 R×C 列聯表卡方(χ2)檢驗。檢驗水準 α=0.050。
2 結果
2.1 穿刺成功率
C 組穿刺成功 21 只(70%),失敗 9 只,其中 8 只出現膽漏或腸漏,1 只出現肉眼可見的胰膽管穿透性損傷,但胰腺被膜完整;ST 組穿刺成功 20 只(67%),失敗 10 只,其中 9 只出現膽漏或腸漏,1 只出現胰頭部出血且按壓止血無效;MBST 組穿刺成功 29 只(97%),失敗 1 只,為穿刺部位持續性出血。穿刺成功率在 3 組間總體比較差異有統計學意義(P=0.009),其在 MBST 組明顯高于 ST 組(P=0.003)和 C 組(P=0.006),ST 組和 C 組間比較差異無統計學意義(P=0.782)。
2.2 胰腺壞死程度
C 組在 3 個觀察時間點時大鼠均存活。ST 組和 MBST 組在制模后 12、24 及 48 h 時存活大鼠分別為 7 和 7 只、5 和 6 只及 4 和 4 只。其中 MBST 組隨著時間的延長胰腺的病變程度越來越重(圖 2a–圖 2d),48 h 時大體標本出現了胰腺大片壞死及皂化斑(圖 2e)。3 組大鼠胰腺體部組織病理評分結果見表 2。各組間的病理評分在相同時間點比較:在 12、24 及 48 h 時間點時 MBST 組均明顯高于 ST 組(P=0.003,P=0.002,P=0.046)和 C 組(P<0.001,P<0.001,P<0.001),ST 組也明顯高于 C 組(P<0.001,P<0.001,P<0.001)。同一組內不同時間點的病理評分比較:MBST 組在 48 h 時明顯高于 12 h 時(P<0.001),與 24 h 時比較差異無統計學意義(P=0.410),在 24 h 時明顯高于 12 h 時(P=0.040);ST 組在 48 h 時明顯高于 12 h 時(P=0.009),與 24 h 時比較差異無統計學意義(P=0.110),24 h 與 12 h 時比較差異亦無統計學意義(P=0.840);C 組在 48 h 時明顯低于 12 h 時(P=0.012)和 24 h 時(P=0.019),24 h 與 12 h 比較差異亦無統計學意義(P=0.818)。

a:建模后 12 h 時胰腺組織出現充血、水腫及炎性細胞浸潤表現(黑箭,HE ×200);b:建模后 12 h 時胰周脂肪出現出血、炎癥細胞浸潤表現(黑箭,HE ×100);c:建模后 24 h 時胰腺組織出現充血、水腫,在炎性細胞浸潤、腺泡破裂的基礎上可見少量纖維細胞浸入(黑箭,HE ×200);d:建模后 48 h 時胰腺組織出現大片壞死(黑箭,HE ×100);e:建模后 48 h 時胰腺組織出現大片壞死及皂化斑(黑箭);f–h:分別示胰頭、胰體和胰腺尾部的熒光素聚集情況( ×200)


2.3 胰腺病變范圍
制模后 24 h 時大鼠存活情況為 ST 組 5 只,MBST 組 6 只。在 MBST 組,見胰頭部熒光素聚集量最多,胰體部次之,胰尾部最少,見圖 2f–圖 2h。MBST 組的胰腺病變范圍評分明顯高于 ST 組,差異有統計學意義 [(10.67±1.21)分比(7.40±1.82)分,t=3.56,P=0.003]。
2.4 各組膽腸漏發生率結果
出現膽腸漏大鼠 C 組中有 8 只(27%),ST 組有 9 只(30%),MBST 組沒有發生膽腸漏。3 組間膽腸漏發生率總體比較差異有統計學意義(χ2=10.59,P=0.005),其中 MBST 組的膽腸漏發生率明顯低于 C 組(χ2=7.07,P=0.008)和 ST 組(χ2=8.37,P=0.004),C 組和 ST 組間比較差異無統計學意義(χ2=0.93,P=0.334)。
3 討論
SAP 病因復雜,其原因以膽管疾病及飲酒過度為主,也可由缺血性損傷、高脂血癥、高鈣血癥、Oddi 括約肌功能障礙、感染、手術等因素所致;該病具有起病急、進展快、病情復雜以及病死率高的特點,其發病率在近 10 年來呈上升趨勢[3-6]。為此,構建一個更加可靠的 SAP 模型對研究該疾病的發病機制、病理生理以及治療效果是至關重要的。
SAP 大鼠模型的建立方法較多,主要包括侵襲性法和非侵襲性法兩種。侵襲性法主要包括逆行胰膽管注射法[1, 7-8]、胰膽管直接結扎法[9-10]及胰腺被膜下注射法[11-12];非侵襲性法主要包括分次腹腔注射 L-arginine 法[13-15]、高鈣血癥法[16]、雨蛙素腹腔注射法[17]、雨蛙素聯合脂多糖腹腔注射法[18-20]及無膽鹽乙硫氨酸喂養法[21-22];此外,還有多種方法聯合應用,如 Gr?nroos 等[23]報道的慢性乙醇攝入聯合牛磺膽酸鈉刺激造模和 van Baal 等[24]的靜脈注射雨蛙素聯合胰膽管注射膽鹽刺激法造模。
由于逆行胰膽管注射法具有成模率和存活率高、穩定性好等優點,且病變符合臨床病變特征,一直被廣大研究者認可,故在 Aho 等[1]首次應用逆行胰膽管注射法成功制備 SAP 大鼠模型后仍有很多研究者在其基礎上不斷地進行改良。在改良過程中發現仍有較多問題需要解決,如尋找胰膽管開口及注射藥液困難、容易發生膽腸漏等。李洋等[25]曾報道將亞甲藍染色法應用于乳腺癌前哨淋巴結活檢中,具有很好的示蹤效果,并且發現小劑量亞甲藍并無毒副作用。據此,本研究在逆行胰膽管注射牛磺膽酸鈉制備 SAP 大鼠模型的基礎上也在藥液中添加亞甲藍作為示蹤劑,結果發現,在穿刺注藥過程中,在藍色藥液的映襯下胰膽管清晰可見,穿刺針在胰膽管中的方位容易確定且在穿刺過程中可以根據情況隨時調整針頭位置,避免胰膽管或胰腺被膜被穿破而造成胰漏或膽漏,即便第 1 次穿刺注藥后藥液并未進入胰膽管僅在胰頭被膜下聚集,但此時胰膽管-十二指腸連接處在藍色藥液的背景下十分清楚,僅需輕微調整穿刺針方向就可以穿刺成功,這就有效避免了因反復穿刺造成十二指腸漏及穿刺部位的出血,大大提高了穿刺成功率,降低了膽腸漏發生率。本研究中 MBST 組的穿刺成功率明顯高于 ST 組(P<0.050)和 C 組(P<0.050);MBST 組的膽腸漏發生率明顯低于 C 組(P<0.050)和 ST 組(P<0.050);此外,在注藥過程中,可以看到藍色藥液經主胰膽管逐漸分散到分支胰管,最終散布到整個胰腺組織,同時藥液分布的周圍往往有肉眼可見的胰腺組織充血水腫,可根據藥液在胰膽管中流動的情況以及穿刺部位是否有藍色藥液反流至十二指腸從而調整穿刺針的位置、注藥的速度和壓力,確保藥液均勻分布在胰腺組織內,盡量使胰腺病變輕重一致,病變范圍廣泛。在本研究中,MBST 組的胰腺病變范圍評分明顯高于 ST 組(P<0.050);同時也避免了藥液浪費以及注藥不足所致的胰腺病變過輕致造模失敗。
本研究結果證實,亞甲藍+牛磺膽酸鈉聯合逆行胰膽管注射法制備急性 SAP 大鼠模型可以顯著提高穿刺成功率、加重胰腺病變程度、擴大胰腺病變范圍及降低膽漏或腸漏率,使得模型穩定、重復性好及成模率高,可以成為制備 SAP 大鼠模型的合適方法。