引用本文: 周瑞, 高勝國, 張亞飛, 許騰, 徐為. 33 例直腸間質瘤的臨床特征及預后分析. 中國普外基礎與臨床雜志, 2017, 24(12): 1496-1502. doi: 10.7507/1007-9424.201706061 復制
胃腸道間質瘤(gastrointestinal stromal tumor,GIST)是一類起源于胃腸道間葉組織的腫瘤,占胃腸道惡性腫瘤的 1%~3%,年發病率約為 1.5/10 萬[1]。GIST 最常發生在胃、十二指腸和小腸[2],而結直腸間質瘤的發生率較低,僅占 5%~10%[3]。直腸間質瘤(rectal stromal tumor)好發于 40~60 歲人群,且男性較多見,臨床早期無癥狀或癥狀輕微,瘤體較大時有類似直腸癌的癥狀[4]。由于其特殊的發生部位以及受生理因素的影響,直腸間質瘤的診治有一定特殊性。筆者回顧性收集了徐州醫科大學附屬醫院收治的 33 例直腸間質瘤患者的臨床病理學資料,分析其臨床特點及預后影響因素,旨在為直腸間質瘤的臨床診斷和治療提供參考。
1 資料與方法
1.1 臨床資料
由于直腸間質瘤罕見,經術前或術后病理學檢查診斷為直腸間質瘤并排除其他直腸惡性腫瘤者均納入。回顧性收集徐州醫科大學附屬醫院于 2008 年 1 月至 2014 年 11 月期間收治的 33 例直腸間質瘤患者的臨床病理學資料,其中男 26 例(78.8%),女 7 例(21.2%);年齡 28~85 歲,中位數為 57 歲,其中≥50 歲 19 例(57.6%)。主要臨床表現:腹部不適 21 例(63.6%),排便習慣和大便性狀改變 15 例(45.5%),便血 13 例(39.4%),肛門疼痛 9 例(27.3%)。29 例行手術治療,4 例行保守治療。腫瘤原發灶直徑 1.0~10.0 cm,中位數為4 cm,其中≤2 cm 5 例(17.2%),>2 cm 且≤5 cm13 例(44.8%),>5 cm 且≤10 cm 10 例(34.5%),>10 cm1 例(3.5%)。核分裂像 2~21 個/50 HPF,中位數為 7 個/50 HPF,其中≤5 個/50 HPF 12 例(41.4%),>5個/50 HPF且≤ 10 個/50 HPF 12 例(41.4%),>10個/50 HPF 5 例(17.2%)。按 Fletcher 分級(表 1)[5],極低危險度 3 例(10.3%),低危險度 9 例(31.1%),中危險度 5 例(17.2%),高危險度 12 例(41.4%)。4 例行保守治療者無法評估危險度和腫瘤原發灶直徑信息。

1.2 輔助檢查
本組 33 例患者術前均行肛門指檢,其中觸及直腸腫物 23 例(69.7%);31 例術前行結腸鏡檢查,10 例取活檢組織,經病理學檢查確診;29 例術前行腹部 CT 或 MRI 檢查,其中 10 例術前經活檢確診者中臨床診斷轉移 4 例,包括肝臟轉移 3 例,前列腺轉移 1 例。33 例患者術前診斷為直腸間質瘤 10 例,余 23 例患者術前經直腸指檢、 CT或MRI 檢查初步診斷為直腸腫物,待術后常規病理學檢查確診。
1.3 治療
本組患者中有 29 例行手術治療,其中行局部切除手術 13 例(中危險度 2 例,低危險度 8 例,極低危險度 3 例),行低位前切除手術 11 例(高危險度 7 例,中危險度 3 例,低危險度 1 例),行經腹會陰聯合手術 5 例(均為高危險度),4 例術前診斷已發生轉移者行保守治療。術前診斷為直腸間質瘤的 10 例患者中,有 3 例接受了伊馬替尼(imatinib,IM)輔助治療,且該 3 例患者 IM 治療后行手術切除了病灶。29 例手術患者中,有 26 例接受了 IM 治療,包括術前 3 例行 IM 治療者。IM 的初始用量為 400 mg/d,每 3 個月查 1 次 CT 以觀察療效。若因毒性反應重、患者不能耐受可減量至 300 mg/d,但血藥濃度必須不低于 1 100 μg/L;部分患者服用劑量為 400 mg/d 時,血藥濃度達不到 1 100 μg/L,而劑量為 600 mg/d 時副反應又很重,難以忍受,則可選用 500 mg/d。本組患者的服藥療程為 1~88 個月,中位療程為 34 個月(IM 治療的終點:根據復查結果及患者經濟情況決定,低危險度患者至少口服 1 年 IM,中危險度險患者至少口服 3 年 IM,高危險度患者至少口服 5 年 IM)。
1.4 術后隨訪
采用門診復查和電話相結合的方式進行隨訪。生存時間為手術之日(行保守治療的 4 例患者為活檢穿刺確診為直腸間質瘤時)至末次隨訪日或死亡的時間,本組患者的末次隨訪日期為 2017 年 4 月 10 日。
1.5 統計學方法
采用 SPSS 16.0 軟件進行統計學分析。生存曲線繪制采用 Kaplan-Meier 法,生存分析的單因素分析采用 log-rank 檢驗,多因素分析采用 Cox 比例風險回歸模型(將單因素分析有統計學意義的因素及專業上認為有影響的變量均納入 Cox 比例風險回歸模型)。檢驗水準 α=0.05。
2 結果
2.1 直腸間質瘤的結腸鏡所見及影像學表現
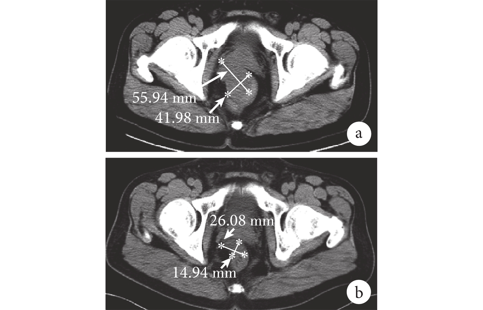
直腸間質瘤在結腸鏡下均表現為扁平黏膜隆起,表面光滑,形態尚規則,基底部寬(圖 1)。本組 29 例患者行 CT 或 MRI 檢查,表現為盆腔邊界清楚的軟組織腫塊,主要為黏膜下、肌間層或漿膜下的圓形或分葉狀腫塊,其向腸腔內、外突出生長,直腸可呈不同程度地受壓和變窄,腫瘤密度及信號不均,可見壞死、鈣化和出血;增強掃描時腫瘤邊緣帶可呈中等程度結節樣強化,腫塊中心部分無強化,呈壞死樣改變(圖 2)。


2.2 HE 染色及免疫組織化學檢查結果
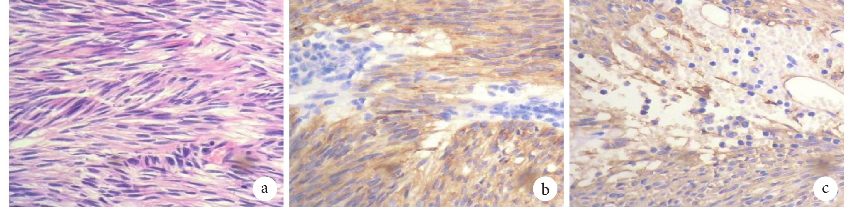
術后病理學及免疫組化檢查結果見圖 3。光鏡下見,直腸間質瘤以梭形細胞多見,呈束狀或編織狀排列(圖 3a)。本組患者均行免疫組化檢測(圖 3b 和 3c),其中酪氨酸激酶受體(CD117)陽性 31 例(93.9%),均呈強陽性表達;造血干細胞抗原(CD34)陽性 28 例(84.8%),均呈強陽性表達;平滑肌肌動蛋白(SMA)陽性 15 例(45.5%);波形蛋白(vimentin)陽性 13 例(39.4%);可溶性酸性蛋白(S-100)陽性 3 例(9.1%)。


2.3 治療效果
本組 3 例經術前活檢確診者,接受了 IM 新輔助治療(400 mg/d),4 個月后腫塊明顯減小(圖 4),再行手術完整切除腫瘤。29 例手術患者的手術時間為 34~205 min、(94.2±4.7)min;術中出血量為 10~60 mL、(30.9±1.3)mL;術后住院時間為 5~23 d、(11.7±4.4)d。術后 7 d 發生吻合口漏 1 例,予以禁食、補液、引流管沖洗等處理,愈合良好;術后 1 d 發生切口滲血 2 例(局部切除患者),予以紗布卷肛門填塞止血后滲血停止。

2.4 預后影響因素分析
本組患者均獲得隨訪,隨訪時間為 10~102 個月,中位隨訪時間為 58 個月。隨訪期間,發生直腸間質瘤復發和轉移 8 例(4 例復發,其中高危險度3 例,中危險度 1 例;4 例轉移,其中肝臟轉移3 例,前列腺轉移 1 例),予以 IM 姑息治療(用藥方法同術前),2 例存活,6 例死亡;隨訪期間共死亡 15 例(包括 4 例行保守治療者),死亡時間為出院后 10~85 個月、(38.8±2.12)個月。本組患者的術后 1、3 及 5 年累積生存率分別為 90.2%、61.0%及 57.4%(圖 5)。

2.4.1 單因素分析
單因素分析結果顯示(表 2):患者的術后生存與腫瘤直徑(圖 6)、治療方式(圖 7a)、術后復發和轉移(圖 7b)以及 IM 治療(圖 7c)有關,而與年齡、性別、核分裂像及 Fletcher 分級均無關(P>0.05)。


2.4.2 多因素分析
將腫瘤直徑(以線性變量納入)、核分裂像、治療方法、術后復發和轉移以及 IM 治療納入 Cox 比例風險回歸模型進行多因素分析,結果顯示:術后復發和轉移〔RR=19.338,95% CI 為(2.821,132.568),P=0.003〕是直腸間質瘤患者的預后影響因素,術后發生復發和轉移患者的生存情況較差,見表 3。

3 討論
3.1 直腸間質瘤的流行病學特點
直腸間質瘤的發病率低,多發于 40~60 歲人群,且以男性較多見[4]。直腸間質瘤患者的臨床癥狀無特異性,且臨床癥狀與腫瘤的大小、部位和侵犯的周圍器官類型密切相關,需與直腸癌、直腸淋巴瘤、前列腺肉瘤等進行鑒別診斷。常見首發癥狀為排便習慣和大便性狀改變、腹部不適、便血等。直腸間質瘤的臨床表現還具有隱匿性,病變早期可無明顯癥狀。有文獻[6]報道,有些結直腸間質瘤直至病灶侵及其他部位時,患者才出現相應癥狀。本組患者的主要臨床癥狀為腹部不適、排便習慣和大便性狀改變、便血以及肛門疼痛。
3.2 直腸間質瘤的診斷
直腸間質瘤的確診尚需依賴病理學檢查,但因解剖位置特殊及取材困難,術前不利于確診。直腸間質瘤多發生于直腸的中低位,直腸指診可對腫瘤的位置、大小、質地和活動度作出直觀判斷。因此,直腸指診對于直腸間質瘤的早期檢出和鑒別診斷具有不可忽視的作用[7]。本組 33 例患者均行直腸指檢,觸及腫物 23 例,指套取出可見血;結腸鏡下見腫物形狀尚規則,黏膜多光滑。
影像學輔助檢查具有相對特征性,利于對直腸間質瘤作出初步診斷。有研究[8]報道,直腸間質瘤典型的 CT 和 MRI 表現為:黏膜下、肌間層或漿膜下的圓形或分葉狀腫塊,邊界清晰,腫塊主要向直腸腔外生長,直腸可呈不同程度地受壓和變窄。CT 增強掃描時腫瘤邊緣帶呈中等程度結節樣強化,腫塊中心部分無強化,呈壞死樣改變;MRI 表現為動脈早期病灶周邊顯著不均勻強化,而中心區無明顯強化[9]。因此,影像學檢查可以協助判斷腫瘤進展的狀況,提高術前診斷的準確性,為手術方案的制定提供指導依據[10]。本組 29 例行 CT 或 MRI 檢查者所表現的影像學特征與文獻[8-9]所述基本相符。
在病理學上,直腸間質瘤的細胞形態主要分為梭形細胞型、皮樣細胞型和混合型,且以梭形細胞多見,呈束狀或編織狀排列,其與平滑肌瘤、神經鞘膜瘤等難以鑒別。直腸間質瘤的最終診斷及鑒別診斷是通過對免疫組織化學標志物如 CD117、CD34 和血小板生長因子受體(PDGFR)的檢測來實現的,其中 CD117 和 CD34 陽性是診斷直腸間質瘤最有價值的診斷指標[11]。本組 33 例患者均行免疫組織化學檢測,其中 31 例 CD117 呈強陽性表達,28 例 CD34 呈強陽性表達。
3.3 直腸間質瘤的治療
直腸間質瘤對普通放療和化療均不敏感[12],轉移途徑主要為血行轉移,多見于肝臟,較少發生淋巴結轉移,一般不需進行淋巴結清掃及全系膜切除。直腸間質瘤在治療方案的選擇及疾病轉歸方面與其他的胃腸道腫瘤有所不同[13]。外科手術切除是治療直腸間質瘤的主要方式[14],首次治療能否完整切除腫瘤是影響預后的重要因素[15],完整切除可使 5 年生存率提高 48%~65%[16]。手術治療原則為:瘤體較小者可即刻手術,且局部切除術為首選;瘤體較大者,無論是可切除還是不能完整切除者,均應行新輔助治療;外科手術應盡可能保留括約肌;腫瘤侵犯括約肌或位置很低者行 Miles 手術[17]。有報道[18]稱,極低危險度和低危險度患者首選局部切除術,中危險度和高危險度患者建議行根治性切除,并輔助 IM 治療等。
IM 已被證實對控制 GIST 非常有效[19],很多病例在接受 IM 治療后腫瘤明顯縮小,故提高了腫瘤的切除率,并使保留肛門括約肌的手術成為可能[20]。有文獻[21]報道,直腸間質瘤在術前若未經 IM 治療,術后復發率約為 40%,5 年生存率約為 54%。手術完整性切除聯合 IM 的綜合治療手段可有效治療中高危險度 GIST 患者,改善患者的預后[22]。對于中晚期 GIST 患者,新輔助治療具有一定的優勢,可提高患者的生活質量,并為不適宜手術的患者爭取了寶貴的手術機會[23]。目前,新輔助治療已成為 GIST 治療過程中的一個重要環節[24]。直腸間質瘤患者術前行 IM 新輔助治療的指征包括:術前經穿刺病理學檢查證實為直腸間質瘤,且瘤體直徑較大、與周圍組織界限不清,不能依靠手術完整切除,另外患者的一般情況尚可,能耐受新輔助治療。此外,對于是否需行新輔助治療與外科醫生的臨床經驗也有關。本組 3 例患者術前行 IM 新輔助治療后,腫瘤直徑明顯縮小,行手術切除。
3.4 直腸間質瘤預后的影響因素
目前認為,與直腸間質瘤預后相關的影響因素主要有:危險程度分級、腫瘤直徑、核分裂像、手術切除的完整性等[25]。本組單因素分析結果表明,直腸間質瘤患者的術后生存情況與腫瘤直徑、術后復發和轉移,治療方法以及 IM 治療有關,而多因素分析結果顯示,術后復發和轉移是直腸間質瘤的獨立預后因素,術后發生復發和轉移患者的生存情況較差。
直腸間質瘤在臨床工作中較少見,其臨床表現缺乏特異性,易于同胃腸道其他疾患相混淆。綜上所述,直腸指檢是診斷直腸間質瘤的重要輔助手段,CD117 和 CD34 陽性是診斷直腸間質瘤的有價值的診斷指標,手術切除是直腸間質瘤最有效的治療方式。
胃腸道間質瘤(gastrointestinal stromal tumor,GIST)是一類起源于胃腸道間葉組織的腫瘤,占胃腸道惡性腫瘤的 1%~3%,年發病率約為 1.5/10 萬[1]。GIST 最常發生在胃、十二指腸和小腸[2],而結直腸間質瘤的發生率較低,僅占 5%~10%[3]。直腸間質瘤(rectal stromal tumor)好發于 40~60 歲人群,且男性較多見,臨床早期無癥狀或癥狀輕微,瘤體較大時有類似直腸癌的癥狀[4]。由于其特殊的發生部位以及受生理因素的影響,直腸間質瘤的診治有一定特殊性。筆者回顧性收集了徐州醫科大學附屬醫院收治的 33 例直腸間質瘤患者的臨床病理學資料,分析其臨床特點及預后影響因素,旨在為直腸間質瘤的臨床診斷和治療提供參考。
1 資料與方法
1.1 臨床資料
由于直腸間質瘤罕見,經術前或術后病理學檢查診斷為直腸間質瘤并排除其他直腸惡性腫瘤者均納入。回顧性收集徐州醫科大學附屬醫院于 2008 年 1 月至 2014 年 11 月期間收治的 33 例直腸間質瘤患者的臨床病理學資料,其中男 26 例(78.8%),女 7 例(21.2%);年齡 28~85 歲,中位數為 57 歲,其中≥50 歲 19 例(57.6%)。主要臨床表現:腹部不適 21 例(63.6%),排便習慣和大便性狀改變 15 例(45.5%),便血 13 例(39.4%),肛門疼痛 9 例(27.3%)。29 例行手術治療,4 例行保守治療。腫瘤原發灶直徑 1.0~10.0 cm,中位數為4 cm,其中≤2 cm 5 例(17.2%),>2 cm 且≤5 cm13 例(44.8%),>5 cm 且≤10 cm 10 例(34.5%),>10 cm1 例(3.5%)。核分裂像 2~21 個/50 HPF,中位數為 7 個/50 HPF,其中≤5 個/50 HPF 12 例(41.4%),>5個/50 HPF且≤ 10 個/50 HPF 12 例(41.4%),>10個/50 HPF 5 例(17.2%)。按 Fletcher 分級(表 1)[5],極低危險度 3 例(10.3%),低危險度 9 例(31.1%),中危險度 5 例(17.2%),高危險度 12 例(41.4%)。4 例行保守治療者無法評估危險度和腫瘤原發灶直徑信息。

1.2 輔助檢查
本組 33 例患者術前均行肛門指檢,其中觸及直腸腫物 23 例(69.7%);31 例術前行結腸鏡檢查,10 例取活檢組織,經病理學檢查確診;29 例術前行腹部 CT 或 MRI 檢查,其中 10 例術前經活檢確診者中臨床診斷轉移 4 例,包括肝臟轉移 3 例,前列腺轉移 1 例。33 例患者術前診斷為直腸間質瘤 10 例,余 23 例患者術前經直腸指檢、 CT或MRI 檢查初步診斷為直腸腫物,待術后常規病理學檢查確診。
1.3 治療
本組患者中有 29 例行手術治療,其中行局部切除手術 13 例(中危險度 2 例,低危險度 8 例,極低危險度 3 例),行低位前切除手術 11 例(高危險度 7 例,中危險度 3 例,低危險度 1 例),行經腹會陰聯合手術 5 例(均為高危險度),4 例術前診斷已發生轉移者行保守治療。術前診斷為直腸間質瘤的 10 例患者中,有 3 例接受了伊馬替尼(imatinib,IM)輔助治療,且該 3 例患者 IM 治療后行手術切除了病灶。29 例手術患者中,有 26 例接受了 IM 治療,包括術前 3 例行 IM 治療者。IM 的初始用量為 400 mg/d,每 3 個月查 1 次 CT 以觀察療效。若因毒性反應重、患者不能耐受可減量至 300 mg/d,但血藥濃度必須不低于 1 100 μg/L;部分患者服用劑量為 400 mg/d 時,血藥濃度達不到 1 100 μg/L,而劑量為 600 mg/d 時副反應又很重,難以忍受,則可選用 500 mg/d。本組患者的服藥療程為 1~88 個月,中位療程為 34 個月(IM 治療的終點:根據復查結果及患者經濟情況決定,低危險度患者至少口服 1 年 IM,中危險度險患者至少口服 3 年 IM,高危險度患者至少口服 5 年 IM)。
1.4 術后隨訪
采用門診復查和電話相結合的方式進行隨訪。生存時間為手術之日(行保守治療的 4 例患者為活檢穿刺確診為直腸間質瘤時)至末次隨訪日或死亡的時間,本組患者的末次隨訪日期為 2017 年 4 月 10 日。
1.5 統計學方法
采用 SPSS 16.0 軟件進行統計學分析。生存曲線繪制采用 Kaplan-Meier 法,生存分析的單因素分析采用 log-rank 檢驗,多因素分析采用 Cox 比例風險回歸模型(將單因素分析有統計學意義的因素及專業上認為有影響的變量均納入 Cox 比例風險回歸模型)。檢驗水準 α=0.05。
2 結果
2.1 直腸間質瘤的結腸鏡所見及影像學表現
直腸間質瘤在結腸鏡下均表現為扁平黏膜隆起,表面光滑,形態尚規則,基底部寬(圖 1)。本組 29 例患者行 CT 或 MRI 檢查,表現為盆腔邊界清楚的軟組織腫塊,主要為黏膜下、肌間層或漿膜下的圓形或分葉狀腫塊,其向腸腔內、外突出生長,直腸可呈不同程度地受壓和變窄,腫瘤密度及信號不均,可見壞死、鈣化和出血;增強掃描時腫瘤邊緣帶可呈中等程度結節樣強化,腫塊中心部分無強化,呈壞死樣改變(圖 2)。


2.2 HE 染色及免疫組織化學檢查結果
術后病理學及免疫組化檢查結果見圖 3。光鏡下見,直腸間質瘤以梭形細胞多見,呈束狀或編織狀排列(圖 3a)。本組患者均行免疫組化檢測(圖 3b 和 3c),其中酪氨酸激酶受體(CD117)陽性 31 例(93.9%),均呈強陽性表達;造血干細胞抗原(CD34)陽性 28 例(84.8%),均呈強陽性表達;平滑肌肌動蛋白(SMA)陽性 15 例(45.5%);波形蛋白(vimentin)陽性 13 例(39.4%);可溶性酸性蛋白(S-100)陽性 3 例(9.1%)。


2.3 治療效果
本組 3 例經術前活檢確診者,接受了 IM 新輔助治療(400 mg/d),4 個月后腫塊明顯減小(圖 4),再行手術完整切除腫瘤。29 例手術患者的手術時間為 34~205 min、(94.2±4.7)min;術中出血量為 10~60 mL、(30.9±1.3)mL;術后住院時間為 5~23 d、(11.7±4.4)d。術后 7 d 發生吻合口漏 1 例,予以禁食、補液、引流管沖洗等處理,愈合良好;術后 1 d 發生切口滲血 2 例(局部切除患者),予以紗布卷肛門填塞止血后滲血停止。

2.4 預后影響因素分析
本組患者均獲得隨訪,隨訪時間為 10~102 個月,中位隨訪時間為 58 個月。隨訪期間,發生直腸間質瘤復發和轉移 8 例(4 例復發,其中高危險度3 例,中危險度 1 例;4 例轉移,其中肝臟轉移3 例,前列腺轉移 1 例),予以 IM 姑息治療(用藥方法同術前),2 例存活,6 例死亡;隨訪期間共死亡 15 例(包括 4 例行保守治療者),死亡時間為出院后 10~85 個月、(38.8±2.12)個月。本組患者的術后 1、3 及 5 年累積生存率分別為 90.2%、61.0%及 57.4%(圖 5)。

2.4.1 單因素分析
單因素分析結果顯示(表 2):患者的術后生存與腫瘤直徑(圖 6)、治療方式(圖 7a)、術后復發和轉移(圖 7b)以及 IM 治療(圖 7c)有關,而與年齡、性別、核分裂像及 Fletcher 分級均無關(P>0.05)。


2.4.2 多因素分析
將腫瘤直徑(以線性變量納入)、核分裂像、治療方法、術后復發和轉移以及 IM 治療納入 Cox 比例風險回歸模型進行多因素分析,結果顯示:術后復發和轉移〔RR=19.338,95% CI 為(2.821,132.568),P=0.003〕是直腸間質瘤患者的預后影響因素,術后發生復發和轉移患者的生存情況較差,見表 3。

3 討論
3.1 直腸間質瘤的流行病學特點
直腸間質瘤的發病率低,多發于 40~60 歲人群,且以男性較多見[4]。直腸間質瘤患者的臨床癥狀無特異性,且臨床癥狀與腫瘤的大小、部位和侵犯的周圍器官類型密切相關,需與直腸癌、直腸淋巴瘤、前列腺肉瘤等進行鑒別診斷。常見首發癥狀為排便習慣和大便性狀改變、腹部不適、便血等。直腸間質瘤的臨床表現還具有隱匿性,病變早期可無明顯癥狀。有文獻[6]報道,有些結直腸間質瘤直至病灶侵及其他部位時,患者才出現相應癥狀。本組患者的主要臨床癥狀為腹部不適、排便習慣和大便性狀改變、便血以及肛門疼痛。
3.2 直腸間質瘤的診斷
直腸間質瘤的確診尚需依賴病理學檢查,但因解剖位置特殊及取材困難,術前不利于確診。直腸間質瘤多發生于直腸的中低位,直腸指診可對腫瘤的位置、大小、質地和活動度作出直觀判斷。因此,直腸指診對于直腸間質瘤的早期檢出和鑒別診斷具有不可忽視的作用[7]。本組 33 例患者均行直腸指檢,觸及腫物 23 例,指套取出可見血;結腸鏡下見腫物形狀尚規則,黏膜多光滑。
影像學輔助檢查具有相對特征性,利于對直腸間質瘤作出初步診斷。有研究[8]報道,直腸間質瘤典型的 CT 和 MRI 表現為:黏膜下、肌間層或漿膜下的圓形或分葉狀腫塊,邊界清晰,腫塊主要向直腸腔外生長,直腸可呈不同程度地受壓和變窄。CT 增強掃描時腫瘤邊緣帶呈中等程度結節樣強化,腫塊中心部分無強化,呈壞死樣改變;MRI 表現為動脈早期病灶周邊顯著不均勻強化,而中心區無明顯強化[9]。因此,影像學檢查可以協助判斷腫瘤進展的狀況,提高術前診斷的準確性,為手術方案的制定提供指導依據[10]。本組 29 例行 CT 或 MRI 檢查者所表現的影像學特征與文獻[8-9]所述基本相符。
在病理學上,直腸間質瘤的細胞形態主要分為梭形細胞型、皮樣細胞型和混合型,且以梭形細胞多見,呈束狀或編織狀排列,其與平滑肌瘤、神經鞘膜瘤等難以鑒別。直腸間質瘤的最終診斷及鑒別診斷是通過對免疫組織化學標志物如 CD117、CD34 和血小板生長因子受體(PDGFR)的檢測來實現的,其中 CD117 和 CD34 陽性是診斷直腸間質瘤最有價值的診斷指標[11]。本組 33 例患者均行免疫組織化學檢測,其中 31 例 CD117 呈強陽性表達,28 例 CD34 呈強陽性表達。
3.3 直腸間質瘤的治療
直腸間質瘤對普通放療和化療均不敏感[12],轉移途徑主要為血行轉移,多見于肝臟,較少發生淋巴結轉移,一般不需進行淋巴結清掃及全系膜切除。直腸間質瘤在治療方案的選擇及疾病轉歸方面與其他的胃腸道腫瘤有所不同[13]。外科手術切除是治療直腸間質瘤的主要方式[14],首次治療能否完整切除腫瘤是影響預后的重要因素[15],完整切除可使 5 年生存率提高 48%~65%[16]。手術治療原則為:瘤體較小者可即刻手術,且局部切除術為首選;瘤體較大者,無論是可切除還是不能完整切除者,均應行新輔助治療;外科手術應盡可能保留括約肌;腫瘤侵犯括約肌或位置很低者行 Miles 手術[17]。有報道[18]稱,極低危險度和低危險度患者首選局部切除術,中危險度和高危險度患者建議行根治性切除,并輔助 IM 治療等。
IM 已被證實對控制 GIST 非常有效[19],很多病例在接受 IM 治療后腫瘤明顯縮小,故提高了腫瘤的切除率,并使保留肛門括約肌的手術成為可能[20]。有文獻[21]報道,直腸間質瘤在術前若未經 IM 治療,術后復發率約為 40%,5 年生存率約為 54%。手術完整性切除聯合 IM 的綜合治療手段可有效治療中高危險度 GIST 患者,改善患者的預后[22]。對于中晚期 GIST 患者,新輔助治療具有一定的優勢,可提高患者的生活質量,并為不適宜手術的患者爭取了寶貴的手術機會[23]。目前,新輔助治療已成為 GIST 治療過程中的一個重要環節[24]。直腸間質瘤患者術前行 IM 新輔助治療的指征包括:術前經穿刺病理學檢查證實為直腸間質瘤,且瘤體直徑較大、與周圍組織界限不清,不能依靠手術完整切除,另外患者的一般情況尚可,能耐受新輔助治療。此外,對于是否需行新輔助治療與外科醫生的臨床經驗也有關。本組 3 例患者術前行 IM 新輔助治療后,腫瘤直徑明顯縮小,行手術切除。
3.4 直腸間質瘤預后的影響因素
目前認為,與直腸間質瘤預后相關的影響因素主要有:危險程度分級、腫瘤直徑、核分裂像、手術切除的完整性等[25]。本組單因素分析結果表明,直腸間質瘤患者的術后生存情況與腫瘤直徑、術后復發和轉移,治療方法以及 IM 治療有關,而多因素分析結果顯示,術后復發和轉移是直腸間質瘤的獨立預后因素,術后發生復發和轉移患者的生存情況較差。
直腸間質瘤在臨床工作中較少見,其臨床表現缺乏特異性,易于同胃腸道其他疾患相混淆。綜上所述,直腸指檢是診斷直腸間質瘤的重要輔助手段,CD117 和 CD34 陽性是診斷直腸間質瘤的有價值的診斷指標,手術切除是直腸間質瘤最有效的治療方式。