引用本文: 余龍, 葉輝, 蔣力生. 膽石性十二指腸梗阻 1 例報道. 中國普外基礎與臨床雜志, 2017, 24(12): 1551-1552. doi: 10.7507/1007-9424.201702075 復制
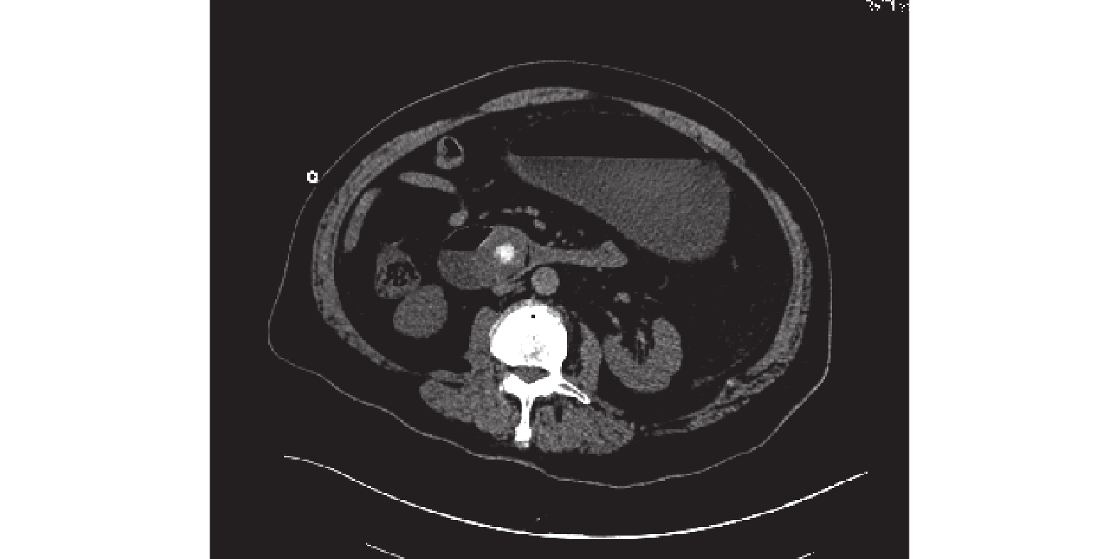
病例資料 患者,男,73 歲,因“進食后嘔吐 5 d、腹痛 1 d”入院。不伴發熱,無黃疸。既往有 10 余年右上腹不適病史,未予重視。入院后查體:皮膚、鞏膜無黃染,腹部膨隆,見胃形,未見腹壁靜脈曲張,未見腸形及蠕動波,腹軟,全腹壓痛,無肌緊張及反跳痛,莫非氏征陰性,肝區無叩痛,移動性濁音陰性,腸鳴音活躍,未聞及高調腸鳴音及氣過水聲。腹部 CT 示:膽囊壁僵硬,不均勻增厚,周圍脂肪間隙模糊,十二指腸降段見高密度結節影,邊緣等密度影,約 3.4 cm×3.0 cm 大小,其遠端腸腔塌陷,上胃腸道明顯擴張、積氣、積液,見氣液平;肝內外膽管積氣,管壁稍增厚毛糙(圖 1)。胃鏡示:十二指腸降段黏膜充血水腫,乳頭遠端可見一巨大圓形異物嵌頓(圖 2),阻塞管腔,內鏡無法通過,質地堅硬,反復嘗試無法取出。初步診斷:急性腸梗阻(結石性);膽囊十二指腸瘺?入院后予胃腸減壓、抗感染、靜脈營養支持等對癥治療 7 d 后,在全麻下行剖腹探查術。術中見膽囊與周圍組織致密粘連,膽囊約 4 cm×3 cm×3 cm 大,膽囊壁厚約 0.4 cm,囊內未見結石,體部與十二指腸球部相通,瘺口直徑約 1.5 cm。胃十二指腸壁增厚、水腫,于十二指腸降部與水平部交界處捫及一約 4.5 cm×4.0 cm×3.0 cm 大結石,膽總管無擴張。行膽囊切除、十二指腸切開取石、十二指腸修補術,術中將十二指腸降部與水平部交界處結石推至十二指腸降球部瘺口處,沿瘺口縱行切開十二指腸降部 3 cm,完整取出結石(圖 3),將胃管通過幽門送達十二指腸切開段下方,全層間斷縫合十二指腸降部切口,修補十二指腸球部瘺口。術后患者恢復良好,于術后 10 d 痊愈出院。診斷:① 急性十二指腸梗阻(結石性);② 膽囊十二指腸瘺。



討論 慢性結石性膽囊炎因結石長期壓迫和炎癥刺激可導致膽囊與相鄰的十二指腸或結腸粘連、穿通形成內瘺,結石可通過內瘺進入腸道堵塞腸管,引起機械性腸梗阻。以膽囊十二指腸瘺最為常見,結石通過內瘺進入十二指腸而引起梗阻,稱為“膽石性十二指腸梗阻(Bouveret 綜合征)”[1],多發生于 65 歲以上老年人,臨床表現無特殊,癥狀主要有惡心、嘔吐、腹痛、腹脹等,查體可見腹部膨隆、腸鳴音活躍等,因其早期癥狀多不典型,發病率較低,極容易誤診[2-3],疾病進展快,致死率遠高于其他病因所致的腸梗阻。臨床診斷多依據于病史、查體、臨床表現和內鏡或影像學征象,患者既往多有慢性膽囊炎的病史。CT 是目前診斷膽石性十二指腸梗阻最常用的檢查方法,主要征象表現為腸管積氣、積液、擴張,膽管積氣及異位結石(Rigler 三聯征)[4-5]。回顧性研究[6]指出,腹部 CT 聯合 X 線(腹部平片及消化道碘水造影)檢查可更好地顯示內瘺大小及位置、結石梗阻部位和腸壁損傷壞死情況,對治療方式的選擇具有指導作用。胃十二指腸鏡對診斷也有一定的輔助作用。本例為 73 歲老年患者,長期右上腹不適未予重視,當出現明顯腸梗阻癥狀才來就診。極少數結石較小的膽石性十二指腸梗阻者可通過保守治療、自行排石緩解,治療方式上主要有內鏡治療和手術治療。內鏡結合體外碎石術適用于年齡較大、病情較重、不能耐受麻醉或手術者,具有創傷小、恢復快等優勢[7-8]。外科手術治療采用腸切開取石術、瘺口修補術和膽囊切除術。當患者不能耐受一期手術也可先行取石術,后期行瘺口修補術及膽囊切除術[7],對于經驗豐富的外科醫生也可選用腹腔鏡下手術[3,9]。本例患者入院時病情重,一般情況差,結石阻塞腸管管腔,內鏡無法通過,質地堅硬,反復嘗試無法取出。入院后予胃腸減壓、抗感染及靜脈營養支持后行一期的膽囊切除、十二指腸切開取石及十二指腸修補術,術后患者恢復好,痊愈出院。膽石性十二指腸梗阻雖然少見,但因其病情進展快、易誤診,因此臨床上需詳細詢問病史、查體并結合影像學表現,一旦確診,根據患者情況采取合適的手術方式及時手術。針對老年性膽囊結石患者尤其是結石較大者,應避免膽腸瘺的發生,建議早期手術治療。
病例資料 患者,男,73 歲,因“進食后嘔吐 5 d、腹痛 1 d”入院。不伴發熱,無黃疸。既往有 10 余年右上腹不適病史,未予重視。入院后查體:皮膚、鞏膜無黃染,腹部膨隆,見胃形,未見腹壁靜脈曲張,未見腸形及蠕動波,腹軟,全腹壓痛,無肌緊張及反跳痛,莫非氏征陰性,肝區無叩痛,移動性濁音陰性,腸鳴音活躍,未聞及高調腸鳴音及氣過水聲。腹部 CT 示:膽囊壁僵硬,不均勻增厚,周圍脂肪間隙模糊,十二指腸降段見高密度結節影,邊緣等密度影,約 3.4 cm×3.0 cm 大小,其遠端腸腔塌陷,上胃腸道明顯擴張、積氣、積液,見氣液平;肝內外膽管積氣,管壁稍增厚毛糙(圖 1)。胃鏡示:十二指腸降段黏膜充血水腫,乳頭遠端可見一巨大圓形異物嵌頓(圖 2),阻塞管腔,內鏡無法通過,質地堅硬,反復嘗試無法取出。初步診斷:急性腸梗阻(結石性);膽囊十二指腸瘺?入院后予胃腸減壓、抗感染、靜脈營養支持等對癥治療 7 d 后,在全麻下行剖腹探查術。術中見膽囊與周圍組織致密粘連,膽囊約 4 cm×3 cm×3 cm 大,膽囊壁厚約 0.4 cm,囊內未見結石,體部與十二指腸球部相通,瘺口直徑約 1.5 cm。胃十二指腸壁增厚、水腫,于十二指腸降部與水平部交界處捫及一約 4.5 cm×4.0 cm×3.0 cm 大結石,膽總管無擴張。行膽囊切除、十二指腸切開取石、十二指腸修補術,術中將十二指腸降部與水平部交界處結石推至十二指腸降球部瘺口處,沿瘺口縱行切開十二指腸降部 3 cm,完整取出結石(圖 3),將胃管通過幽門送達十二指腸切開段下方,全層間斷縫合十二指腸降部切口,修補十二指腸球部瘺口。術后患者恢復良好,于術后 10 d 痊愈出院。診斷:① 急性十二指腸梗阻(結石性);② 膽囊十二指腸瘺。



討論 慢性結石性膽囊炎因結石長期壓迫和炎癥刺激可導致膽囊與相鄰的十二指腸或結腸粘連、穿通形成內瘺,結石可通過內瘺進入腸道堵塞腸管,引起機械性腸梗阻。以膽囊十二指腸瘺最為常見,結石通過內瘺進入十二指腸而引起梗阻,稱為“膽石性十二指腸梗阻(Bouveret 綜合征)”[1],多發生于 65 歲以上老年人,臨床表現無特殊,癥狀主要有惡心、嘔吐、腹痛、腹脹等,查體可見腹部膨隆、腸鳴音活躍等,因其早期癥狀多不典型,發病率較低,極容易誤診[2-3],疾病進展快,致死率遠高于其他病因所致的腸梗阻。臨床診斷多依據于病史、查體、臨床表現和內鏡或影像學征象,患者既往多有慢性膽囊炎的病史。CT 是目前診斷膽石性十二指腸梗阻最常用的檢查方法,主要征象表現為腸管積氣、積液、擴張,膽管積氣及異位結石(Rigler 三聯征)[4-5]。回顧性研究[6]指出,腹部 CT 聯合 X 線(腹部平片及消化道碘水造影)檢查可更好地顯示內瘺大小及位置、結石梗阻部位和腸壁損傷壞死情況,對治療方式的選擇具有指導作用。胃十二指腸鏡對診斷也有一定的輔助作用。本例為 73 歲老年患者,長期右上腹不適未予重視,當出現明顯腸梗阻癥狀才來就診。極少數結石較小的膽石性十二指腸梗阻者可通過保守治療、自行排石緩解,治療方式上主要有內鏡治療和手術治療。內鏡結合體外碎石術適用于年齡較大、病情較重、不能耐受麻醉或手術者,具有創傷小、恢復快等優勢[7-8]。外科手術治療采用腸切開取石術、瘺口修補術和膽囊切除術。當患者不能耐受一期手術也可先行取石術,后期行瘺口修補術及膽囊切除術[7],對于經驗豐富的外科醫生也可選用腹腔鏡下手術[3,9]。本例患者入院時病情重,一般情況差,結石阻塞腸管管腔,內鏡無法通過,質地堅硬,反復嘗試無法取出。入院后予胃腸減壓、抗感染及靜脈營養支持后行一期的膽囊切除、十二指腸切開取石及十二指腸修補術,術后患者恢復好,痊愈出院。膽石性十二指腸梗阻雖然少見,但因其病情進展快、易誤診,因此臨床上需詳細詢問病史、查體并結合影像學表現,一旦確診,根據患者情況采取合適的手術方式及時手術。針對老年性膽囊結石患者尤其是結石較大者,應避免膽腸瘺的發生,建議早期手術治療。