引用本文: 王永芹, 黃子星, 袁放, 宋彬. CT 平掃圖像紋理分析對肝癌與肝血管瘤鑒別診斷的初步研究. 中國普外基礎與臨床雜志, 2017, 24(2): 254-258. doi: 10.7507/1007-9424.201611102 復制
圖像紋理是指圖像中局部不規則而宏觀有規律的灰度變化[1],是一種客觀存在的、可反映出所研究對象的內部結構特點。圖像紋理分析即是對圖像像素灰度值的局部特征、像素灰度值變化規律及其分布模式進行研究[2]。在醫學圖像中,紋理的定量或定性變化往往反映機體的病理改變。因此,國內外研究者嘗試利用紋理分析技術對多種醫學成像圖像進行分析,以探索疾病診斷和治療的新途徑。紋理分析現已用于肝臟纖維化的病理分級[3],肝囊腫與血管瘤[4]、顱腦[5-6]、乳腺[7]、腎臟[8-9]、腮腺[10]疾病的鑒別診斷,顱腦[11]、肺部疾病[12-13]、非霍奇金淋巴瘤[14]、肝癌[15]、肝轉移瘤[16]及乳腺癌[17-18]的療效評價,乳腺癌的風險預測[19]等。目前還沒有肝癌和肝血管瘤的 CT 平掃圖像的紋理分析的相關報道。本研究利用 CT 平掃圖像的紋理分析評價其對肝癌和肝血管瘤進行鑒別診斷的可行性。
1 資料與方法
1.1 臨床資料
回顧性納入 2014 年 1 月至 2014 年 9 月期間在四川大學華西醫院行 CT 平掃檢查發現的肝臟局灶性占位性病變,經手術證實為肝癌或肝血管瘤的患者 56 例,其中男 35 例,女 21 例;年齡 31~81 歲,(52.4±12.079)歲,排除圖像有偽影干擾和病灶小于 1.0 cm 的患者 4 例(避免病灶過小容積效應影響),剩余 52 例患者共 57 個病灶(肝癌 25 個、肝血管瘤 32 個,其中 5 例血管瘤患者均各有 2 個血管瘤病灶)。
1.2 CT 平掃
52 例患者中 29 例為西門子(SOMATOM Definition AS+)掃描,23 例為飛利浦(Brilliance 64)掃描,120~140 kV,210 mA,螺距 5 mm、層厚 5 mm,窗寬 250~300 HU,窗位 35~40 HU。掃描范圍為上腹部(肝頂至肝臟下緣)。
1.3 分析方法
利用 Mazda 紋理分析軟件對病變進行紋理分析,主要操作流程見圖 1。

1.3.1 圖像的選擇 從 CT 平掃圖像上選擇病灶最大層面的圖像,以 bmp 格式保存。
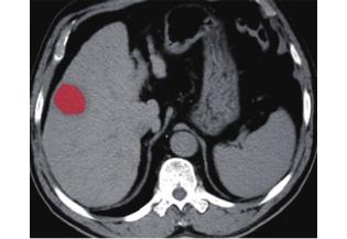
1.3.2 ROI 的定義 利用 Mazda 4.6[3,20]紋理分析軟件加載之前保存的 bmp 格式的圖像,在病灶區域手動畫出 ROI(圖 2、3)。為了最大程度地減少容積效應的影響,手動畫出 ROI 范圍在距病灶內側緣 2~3 mm。


1.3.3 圖像均一化處理 選擇 Mazda 軟件中μ±3σ(其中μ 為圖像灰度值的平均值,σ 為圖像灰度值的標準差)進行圖像灰度均一化處理,最大限度地減少對比度和明亮度對圖像灰度值的影響[21]。
1.3.4 紋理特征的提取 利用 Mazda 軟件從灰度直方圖、共生矩陣、游程矩陣、絕對梯度、自回歸模型和小波變換中提取紋理特征,產生約 300 個紋理特征參數[22-23]。
1.3.5 最佳紋理特征參數的選擇 對前面提取出的近 300 個紋理特征參數,利用 Mazda 軟件中的費希爾參數法(Fisher coefficients,Fisher)、最小分類誤差與最小平均相關系數法(minimization of both classification error probability and average correlation coefficients,POE+ACC)及相關信息測度法(mutual information coefficients,MI)3 個特征選擇方法[20,24]分別選擇 10 個區別肝癌、肝血管瘤的最佳紋理特征參數,見表 1。

1.3.6 特征數據分析 對提取出的最佳紋理特征向量,用 Mazda 軟件中的 B11 模塊提供的 LDA 和 NDA 進行分析,計算出鑒別診斷肝癌和肝血管瘤的最小錯誤率。LDA 的最大分類特征應用于 K 鄰近分類(K nearest neighbor classification,KNN,其中 K=2);NDA 提取出的數據用于人工神經網絡(artificial neural network,ANN)進行分類。
1.4 統計學方法
用 SPSS 17.0 對 NDA/ANN-POE+ACC 法分別與 LDA/KNN-Fisher、LDA/KNN-POE+ACC、LDA/KNN-MI、NDA/ANN-Fisher 及 NDA/ANN-MI 法進行對比分析,采用了χ2 檢驗中的 Fisher 精確檢驗。檢驗水準α=0.05。
2 結果
Fisher、POE+ACC 和 MI 法提取出的最佳紋理特征向量,用 LDA/KNN 和 NDA/ANN 法鑒別診斷肝癌和肝血管瘤的最小錯誤率見表 2。從表 2 可見,NDA/ANN-POE+ACC 法鑒別診斷肝癌和肝血管瘤的最小錯誤率最低,其分別與 LDA/KNN-Fisher、LDA/KNN-POE+ACC、LDA/KNN-MI、NDA/ANN-Fisher 及 NDA/ANN-MI 法進行對比分析,其差異均有統計學意義(χ2值分別為 4.56、4.26、3.14、3.14、3.33;P 值分別為 0.020、0.018、0.026、0.026、0.022)。

3 討論
隨著計算機技術和醫學圖像設備的迅速發展,高清晰度的醫學影像診斷大大提高了病變的檢出率和診斷準確率。現階段,醫學影像診斷主要還是通過醫生肉眼觀察圖像獲得,病變診斷的正確性受醫生經驗、疲勞等主觀因素影響較大。
近年來,對病變診斷的定量研究越來越多,國內外學者嘗試用紋理分析的方法對疾病進行定量分析,期望能夠獲得更為可靠的診斷結果。圖像紋理分析是通過一定的計算機輔助圖像處理后技術,從灰度直方圖、絕對梯度、游程矩陣、共生矩陣、自回歸模型和小波變換 6 個方面提取出紋理特征參數,從而獲得紋理特征的定量或定性描述的處理過程[25]。在醫學圖像中,紋理特征的定量變化往往反映機體的病理改變,能夠區別正常及病變組織及不同病變組織類型[4,26],為疾病診斷和治療提供新的輔助途徑。
肝癌和肝血管瘤均是較常見的肝臟病變,最常用的影像診斷方法是 CT、MRI 平掃及動態增強掃描。但是 MRI 檢查時間長、費用高,CT 動態增強檢查輻射劑量較 CT 平掃明顯增加,而且有些患者對造影劑過敏,無法進行增強檢查,且基層醫院 CT 增強檢查開展得不多。而 CT 平掃應用最為廣泛,特別是很多病變是體檢時常規 CT 平掃發現的,而且目前的 CT 設備圖像分辨率都很高。但是僅憑平掃圖像并不能對病變進行定性診斷,所以本研究嘗試利用專業的圖像紋理分析軟件——Mazda 軟件對病變進行分析。
Mazda 軟件應用方便,可根據病變圈定任意形狀的 ROI,保證 ROI 與病灶的一致性;另外 Mazda 軟件包含 Mazda 和 B11 模塊兩部分,Mazda 用于對病變的紋理特征信息進行提取,其內包含 Fisher、POE+ACC 及 MI 三種最佳紋理特征提取方法,從灰度直方圖、絕對梯度、游程矩陣、共生矩陣、自回歸模型和小波變換 6 個方面提取出豐富的紋理特征參數;而 B11 模塊是用于對 Mazda 從 Fisher、POE+ACC 及 MI 中提取出的紋理信息用 LDA/KNN 和 NDA/ANN 兩種分析方法進行計算分析,對病變做出分類鑒別。本研究初步研究結果示 NDA/ANN-POE+ACC 法對鑒別肝癌和肝血管瘤效果最好,最小錯誤率僅為 8.77%,因此采用 CT 平掃圖像紋理分析的方法對于鑒別肝癌和肝血管瘤是可行的,對于鑒別診斷肝癌和肝血管瘤具有潛在的臨床價值。
由于肝癌和肝血管瘤的病理基礎不同,當然其微觀結構也不相同,只是人用肉眼無法觀察到。利用 Mazda 軟件對肝癌和肝血管瘤進行紋理分析,從分析結果也能反映出其微觀結構不同;而且從初步研究結果來看,采用紋理分析的方法對肝癌和肝血管瘤也不能百分百地鑒別,筆者認為可能是因為不同病變組織在某些微觀結構上有一定的重疊性,紋理特征的微觀分布在某些區域也會相互重疊,沒有組織特異性。
利用紋理分析對 CT 平掃圖像對肝癌和肝血管瘤進行鑒別診斷,不使用造影劑,即無需動態增強掃描,不僅大大減少了患者 X 射線輻射,而且在經濟上為患者節約了診治成本,還避免了造影劑不良反應的發生。
但是本研究也存在一些不足:① 樣本量較少;② 部分病變較小,容積效應影響難免;③ 樣本非同一機型設備獲得,雖經過圖像均一化處理,但可能還是會有一定的影響。
總之,本研究初步的研究結果顯示,NDA/ANN-POE+ACC 法對鑒別肝癌和肝血管瘤效果最好,因此,采用 CT 平掃圖像紋理分析的方法對于鑒別肝癌和肝血管瘤是可行的。在以后的研究中,我們會進一步增加樣本量和標準化掃描規范來評價紋理分析在肝臟其他局灶性病變(如肝腺瘤、肝轉移瘤、膽管細胞癌等)及其他臟器病變的應用價值,若進一步的研究結果值得肯定,能夠為我們將來的臨床診斷提供很好的診斷輔助。
圖像紋理是指圖像中局部不規則而宏觀有規律的灰度變化[1],是一種客觀存在的、可反映出所研究對象的內部結構特點。圖像紋理分析即是對圖像像素灰度值的局部特征、像素灰度值變化規律及其分布模式進行研究[2]。在醫學圖像中,紋理的定量或定性變化往往反映機體的病理改變。因此,國內外研究者嘗試利用紋理分析技術對多種醫學成像圖像進行分析,以探索疾病診斷和治療的新途徑。紋理分析現已用于肝臟纖維化的病理分級[3],肝囊腫與血管瘤[4]、顱腦[5-6]、乳腺[7]、腎臟[8-9]、腮腺[10]疾病的鑒別診斷,顱腦[11]、肺部疾病[12-13]、非霍奇金淋巴瘤[14]、肝癌[15]、肝轉移瘤[16]及乳腺癌[17-18]的療效評價,乳腺癌的風險預測[19]等。目前還沒有肝癌和肝血管瘤的 CT 平掃圖像的紋理分析的相關報道。本研究利用 CT 平掃圖像的紋理分析評價其對肝癌和肝血管瘤進行鑒別診斷的可行性。
1 資料與方法
1.1 臨床資料
回顧性納入 2014 年 1 月至 2014 年 9 月期間在四川大學華西醫院行 CT 平掃檢查發現的肝臟局灶性占位性病變,經手術證實為肝癌或肝血管瘤的患者 56 例,其中男 35 例,女 21 例;年齡 31~81 歲,(52.4±12.079)歲,排除圖像有偽影干擾和病灶小于 1.0 cm 的患者 4 例(避免病灶過小容積效應影響),剩余 52 例患者共 57 個病灶(肝癌 25 個、肝血管瘤 32 個,其中 5 例血管瘤患者均各有 2 個血管瘤病灶)。
1.2 CT 平掃
52 例患者中 29 例為西門子(SOMATOM Definition AS+)掃描,23 例為飛利浦(Brilliance 64)掃描,120~140 kV,210 mA,螺距 5 mm、層厚 5 mm,窗寬 250~300 HU,窗位 35~40 HU。掃描范圍為上腹部(肝頂至肝臟下緣)。
1.3 分析方法
利用 Mazda 紋理分析軟件對病變進行紋理分析,主要操作流程見圖 1。

1.3.1 圖像的選擇 從 CT 平掃圖像上選擇病灶最大層面的圖像,以 bmp 格式保存。
1.3.2 ROI 的定義 利用 Mazda 4.6[3,20]紋理分析軟件加載之前保存的 bmp 格式的圖像,在病灶區域手動畫出 ROI(圖 2、3)。為了最大程度地減少容積效應的影響,手動畫出 ROI 范圍在距病灶內側緣 2~3 mm。


1.3.3 圖像均一化處理 選擇 Mazda 軟件中μ±3σ(其中μ 為圖像灰度值的平均值,σ 為圖像灰度值的標準差)進行圖像灰度均一化處理,最大限度地減少對比度和明亮度對圖像灰度值的影響[21]。
1.3.4 紋理特征的提取 利用 Mazda 軟件從灰度直方圖、共生矩陣、游程矩陣、絕對梯度、自回歸模型和小波變換中提取紋理特征,產生約 300 個紋理特征參數[22-23]。
1.3.5 最佳紋理特征參數的選擇 對前面提取出的近 300 個紋理特征參數,利用 Mazda 軟件中的費希爾參數法(Fisher coefficients,Fisher)、最小分類誤差與最小平均相關系數法(minimization of both classification error probability and average correlation coefficients,POE+ACC)及相關信息測度法(mutual information coefficients,MI)3 個特征選擇方法[20,24]分別選擇 10 個區別肝癌、肝血管瘤的最佳紋理特征參數,見表 1。

1.3.6 特征數據分析 對提取出的最佳紋理特征向量,用 Mazda 軟件中的 B11 模塊提供的 LDA 和 NDA 進行分析,計算出鑒別診斷肝癌和肝血管瘤的最小錯誤率。LDA 的最大分類特征應用于 K 鄰近分類(K nearest neighbor classification,KNN,其中 K=2);NDA 提取出的數據用于人工神經網絡(artificial neural network,ANN)進行分類。
1.4 統計學方法
用 SPSS 17.0 對 NDA/ANN-POE+ACC 法分別與 LDA/KNN-Fisher、LDA/KNN-POE+ACC、LDA/KNN-MI、NDA/ANN-Fisher 及 NDA/ANN-MI 法進行對比分析,采用了χ2 檢驗中的 Fisher 精確檢驗。檢驗水準α=0.05。
2 結果
Fisher、POE+ACC 和 MI 法提取出的最佳紋理特征向量,用 LDA/KNN 和 NDA/ANN 法鑒別診斷肝癌和肝血管瘤的最小錯誤率見表 2。從表 2 可見,NDA/ANN-POE+ACC 法鑒別診斷肝癌和肝血管瘤的最小錯誤率最低,其分別與 LDA/KNN-Fisher、LDA/KNN-POE+ACC、LDA/KNN-MI、NDA/ANN-Fisher 及 NDA/ANN-MI 法進行對比分析,其差異均有統計學意義(χ2值分別為 4.56、4.26、3.14、3.14、3.33;P 值分別為 0.020、0.018、0.026、0.026、0.022)。

3 討論
隨著計算機技術和醫學圖像設備的迅速發展,高清晰度的醫學影像診斷大大提高了病變的檢出率和診斷準確率。現階段,醫學影像診斷主要還是通過醫生肉眼觀察圖像獲得,病變診斷的正確性受醫生經驗、疲勞等主觀因素影響較大。
近年來,對病變診斷的定量研究越來越多,國內外學者嘗試用紋理分析的方法對疾病進行定量分析,期望能夠獲得更為可靠的診斷結果。圖像紋理分析是通過一定的計算機輔助圖像處理后技術,從灰度直方圖、絕對梯度、游程矩陣、共生矩陣、自回歸模型和小波變換 6 個方面提取出紋理特征參數,從而獲得紋理特征的定量或定性描述的處理過程[25]。在醫學圖像中,紋理特征的定量變化往往反映機體的病理改變,能夠區別正常及病變組織及不同病變組織類型[4,26],為疾病診斷和治療提供新的輔助途徑。
肝癌和肝血管瘤均是較常見的肝臟病變,最常用的影像診斷方法是 CT、MRI 平掃及動態增強掃描。但是 MRI 檢查時間長、費用高,CT 動態增強檢查輻射劑量較 CT 平掃明顯增加,而且有些患者對造影劑過敏,無法進行增強檢查,且基層醫院 CT 增強檢查開展得不多。而 CT 平掃應用最為廣泛,特別是很多病變是體檢時常規 CT 平掃發現的,而且目前的 CT 設備圖像分辨率都很高。但是僅憑平掃圖像并不能對病變進行定性診斷,所以本研究嘗試利用專業的圖像紋理分析軟件——Mazda 軟件對病變進行分析。
Mazda 軟件應用方便,可根據病變圈定任意形狀的 ROI,保證 ROI 與病灶的一致性;另外 Mazda 軟件包含 Mazda 和 B11 模塊兩部分,Mazda 用于對病變的紋理特征信息進行提取,其內包含 Fisher、POE+ACC 及 MI 三種最佳紋理特征提取方法,從灰度直方圖、絕對梯度、游程矩陣、共生矩陣、自回歸模型和小波變換 6 個方面提取出豐富的紋理特征參數;而 B11 模塊是用于對 Mazda 從 Fisher、POE+ACC 及 MI 中提取出的紋理信息用 LDA/KNN 和 NDA/ANN 兩種分析方法進行計算分析,對病變做出分類鑒別。本研究初步研究結果示 NDA/ANN-POE+ACC 法對鑒別肝癌和肝血管瘤效果最好,最小錯誤率僅為 8.77%,因此采用 CT 平掃圖像紋理分析的方法對于鑒別肝癌和肝血管瘤是可行的,對于鑒別診斷肝癌和肝血管瘤具有潛在的臨床價值。
由于肝癌和肝血管瘤的病理基礎不同,當然其微觀結構也不相同,只是人用肉眼無法觀察到。利用 Mazda 軟件對肝癌和肝血管瘤進行紋理分析,從分析結果也能反映出其微觀結構不同;而且從初步研究結果來看,采用紋理分析的方法對肝癌和肝血管瘤也不能百分百地鑒別,筆者認為可能是因為不同病變組織在某些微觀結構上有一定的重疊性,紋理特征的微觀分布在某些區域也會相互重疊,沒有組織特異性。
利用紋理分析對 CT 平掃圖像對肝癌和肝血管瘤進行鑒別診斷,不使用造影劑,即無需動態增強掃描,不僅大大減少了患者 X 射線輻射,而且在經濟上為患者節約了診治成本,還避免了造影劑不良反應的發生。
但是本研究也存在一些不足:① 樣本量較少;② 部分病變較小,容積效應影響難免;③ 樣本非同一機型設備獲得,雖經過圖像均一化處理,但可能還是會有一定的影響。
總之,本研究初步的研究結果顯示,NDA/ANN-POE+ACC 法對鑒別肝癌和肝血管瘤效果最好,因此,采用 CT 平掃圖像紋理分析的方法對于鑒別肝癌和肝血管瘤是可行的。在以后的研究中,我們會進一步增加樣本量和標準化掃描規范來評價紋理分析在肝臟其他局灶性病變(如肝腺瘤、肝轉移瘤、膽管細胞癌等)及其他臟器病變的應用價值,若進一步的研究結果值得肯定,能夠為我們將來的臨床診斷提供很好的診斷輔助。