引用本文: 張成, 高廣榮, 張雪峰. 大網膜內巨大副脾 1 例報道. 中國普外基礎與臨床雜志, 2017, 24(5): 655-656. doi: 10.7507/1007-9424.201611008 復制
病例資料 患者,女,22 歲。因“左上腹部不適伴大便次數增多 3 個月”來我院就診。患者 3 個月前開始出現左上腹部不適,同時伴有大便次數增多,3~4 次/d,為黃色軟便,但無惡心、嘔吐,無腹痛、腹脹及腹瀉,亦無畏寒及發熱,未做治療。體格檢查:生命體征平穩,結膜無蒼白,鞏膜無黃染,心肺聽診未聞及異常。腹部平軟,未見腸型及蠕動波,全腹柔軟,無壓痛、反跳痛及肌緊張,肝脾未觸及,左側腹部飽滿,未觸及明確包塊,移動性濁音陰性,腸鳴音 4 次/min。實驗室檢查:白細胞 5.8×109/L,紅細胞 4.88×1012/L,血紅蛋白 122 g/L,血小板 72×109/L。B 超檢查,發現左側腹部從脾門到盆腔的巨大不規則腫物。CT 掃描及三維重建顯示,腫物位于腸管前方,上緣達脾門水平,下緣達盆底,向內越過中線(圖 1);增強掃描動脈期顯示腫物被均一強化。初步診斷:大網膜腫物。完善術前準備后,擇期在全身麻醉下行剖腹探查術。術中見腹腔內無腹水,肝、膽、脾、胃、小腸及結腸均未見異常,腫物位于大網膜內,紫紅色,包膜完整,界限清楚,形狀不規則,質地與脾臟相似,但與脾臟無關,其遠端游離,近端與胰尾關系密切,并通過短蒂與胃網膜左血管相連,見腫物呈紡錘形,遠端呈分葉狀(圖 2)。橫斷左半大網膜,切斷腫物與胃網膜左血管間的短蒂,進一步探查發現胰尾質硬,與腫物近端粘連成一體,范圍約 3 cm×3 cm 大小,在脾門處分離出胰尾,將腫物連同胰尾一并切除。術后患者出現一過性血小板增高及胰漏,均經對癥治療后治愈。病理報告:大網膜及胰腺內副脾(圖 3)。
圖1
示 CT 三維重建顯示腫物從脾門一直延續到盆腔
圖2
示術中見腫物呈紡錘形,遠端呈分葉狀
圖3
示切除的胰尾組織被脾組織所包圍(HE染色 ×200)
討論 副脾是脾臟發育的一種異常表現,是特指脾臟以外與脾臟結構相似、功能相同的組織。副脾的發生可能是脾臟胚胎多基因發育導致間質細胞融合缺乏所致,發生率為 10%~35%。副脾的色澤和質地與脾臟相似,大多數位于脾門、脾蒂或胰尾周圍,也可發生于脾胃韌帶、脾結腸韌帶、脾腎韌帶、大網膜、腸系膜、盆腔、卵巢及睪丸周圍。副脾大小不一,可從幾毫米到幾厘米不等。本例副脾巨大,從脾門一直延續到盆腔,長達 38 cm,最寬處達 12 cm。經文獻檢索,未發現超過本例副脾大小及胰腺和大網膜內同時出現副脾的文獻報道。術前行增強 CT 掃描發現,大網膜內腫物與脾臟及大血管同步強化及消退,三維重建后發現腫物血供來源于胃網膜左血管。雖然術前分析腫瘤起源于大網膜且血運豐富,但是由于副脾巨大,因此對其性質未能得出準確判斷。雖然患者的副脾巨大,但術前腹部查體時未觸及明確腫塊。術中發現副脾雖然巨大,但質地非常柔軟而且游離,這可能是造成術前查體未發現腫塊的原因。胰尾與腫瘤的起始部密不可分,故給予一并切除。術后病理檢查結果發現,胰尾組織內可見大量脾組織散在分布,故診斷為胰腺內副脾。胰腺內副脾多表現為胰腺內孤立的占位性病變,界限清楚,與非功能性胰島細胞瘤很難區別,但本例這種彌散分布的非局限性胰內副脾與文獻報道的情況有很大的不同,其原因目前尚難解釋。雖然大多數副脾并沒有明顯的臨床癥狀,但明確副脾的診斷還是具有重要的臨床意義。首先,副脾經常表現為胰腺、腎臟及腎上腺內的占位性病變,若能明確副脾的診斷就可以避免不必要的手術探查。其次,巨大副脾可因扭轉、破裂、出血及囊腫形成而出現臨床癥狀,有癥狀的副脾一旦診斷明確應盡快手術治療。本例患者可能因為副脾對腸管的牽拉導致腸蠕動異常而被發現。最后,對于需行脾切除術治療血液病的患者,切除同時存在的副脾是提高療效的關鍵。因此,提高對本病的認識,了解 CT、MRI、核素掃描等檢查對副脾的診斷價值,可大大減少不必要的誤診及漏診。
·廣告目次·
啟東蓋天力藥業有限公司………………………………………………………………………………………………………………(F4)
病例資料 患者,女,22 歲。因“左上腹部不適伴大便次數增多 3 個月”來我院就診。患者 3 個月前開始出現左上腹部不適,同時伴有大便次數增多,3~4 次/d,為黃色軟便,但無惡心、嘔吐,無腹痛、腹脹及腹瀉,亦無畏寒及發熱,未做治療。體格檢查:生命體征平穩,結膜無蒼白,鞏膜無黃染,心肺聽診未聞及異常。腹部平軟,未見腸型及蠕動波,全腹柔軟,無壓痛、反跳痛及肌緊張,肝脾未觸及,左側腹部飽滿,未觸及明確包塊,移動性濁音陰性,腸鳴音 4 次/min。實驗室檢查:白細胞 5.8×109/L,紅細胞 4.88×1012/L,血紅蛋白 122 g/L,血小板 72×109/L。B 超檢查,發現左側腹部從脾門到盆腔的巨大不規則腫物。CT 掃描及三維重建顯示,腫物位于腸管前方,上緣達脾門水平,下緣達盆底,向內越過中線(圖 1);增強掃描動脈期顯示腫物被均一強化。初步診斷:大網膜腫物。完善術前準備后,擇期在全身麻醉下行剖腹探查術。術中見腹腔內無腹水,肝、膽、脾、胃、小腸及結腸均未見異常,腫物位于大網膜內,紫紅色,包膜完整,界限清楚,形狀不規則,質地與脾臟相似,但與脾臟無關,其遠端游離,近端與胰尾關系密切,并通過短蒂與胃網膜左血管相連,見腫物呈紡錘形,遠端呈分葉狀(圖 2)。橫斷左半大網膜,切斷腫物與胃網膜左血管間的短蒂,進一步探查發現胰尾質硬,與腫物近端粘連成一體,范圍約 3 cm×3 cm 大小,在脾門處分離出胰尾,將腫物連同胰尾一并切除。術后患者出現一過性血小板增高及胰漏,均經對癥治療后治愈。病理報告:大網膜及胰腺內副脾(圖 3)。
圖1
示 CT 三維重建顯示腫物從脾門一直延續到盆腔
圖2
示術中見腫物呈紡錘形,遠端呈分葉狀
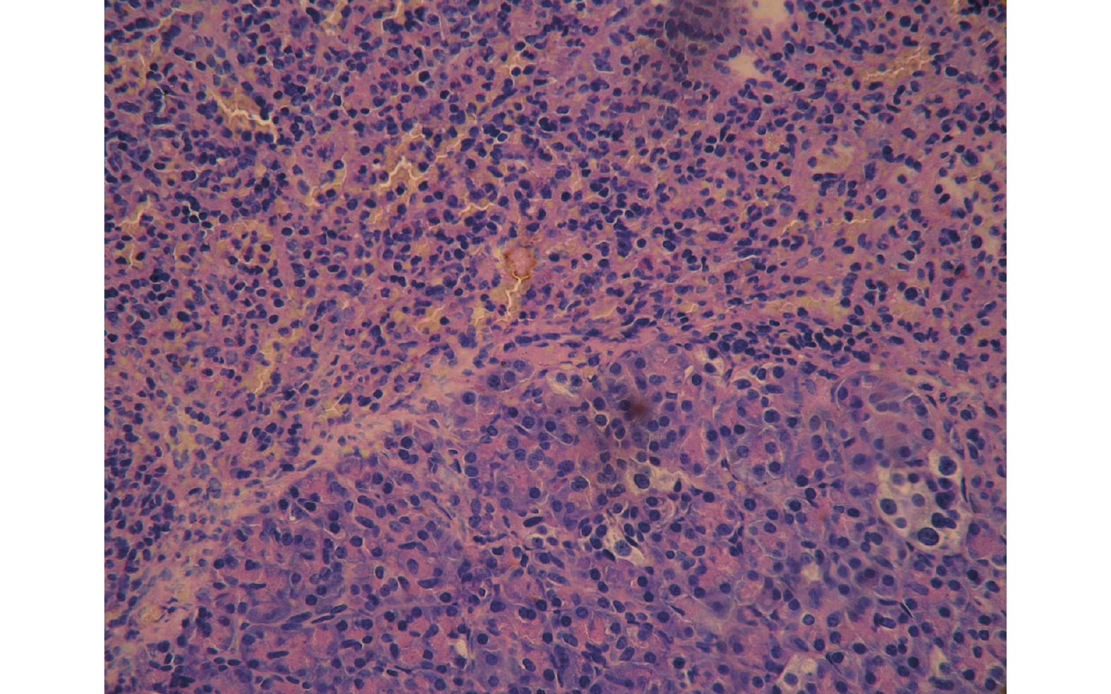
圖3
示切除的胰尾組織被脾組織所包圍(HE染色 ×200)
討論 副脾是脾臟發育的一種異常表現,是特指脾臟以外與脾臟結構相似、功能相同的組織。副脾的發生可能是脾臟胚胎多基因發育導致間質細胞融合缺乏所致,發生率為 10%~35%。副脾的色澤和質地與脾臟相似,大多數位于脾門、脾蒂或胰尾周圍,也可發生于脾胃韌帶、脾結腸韌帶、脾腎韌帶、大網膜、腸系膜、盆腔、卵巢及睪丸周圍。副脾大小不一,可從幾毫米到幾厘米不等。本例副脾巨大,從脾門一直延續到盆腔,長達 38 cm,最寬處達 12 cm。經文獻檢索,未發現超過本例副脾大小及胰腺和大網膜內同時出現副脾的文獻報道。術前行增強 CT 掃描發現,大網膜內腫物與脾臟及大血管同步強化及消退,三維重建后發現腫物血供來源于胃網膜左血管。雖然術前分析腫瘤起源于大網膜且血運豐富,但是由于副脾巨大,因此對其性質未能得出準確判斷。雖然患者的副脾巨大,但術前腹部查體時未觸及明確腫塊。術中發現副脾雖然巨大,但質地非常柔軟而且游離,這可能是造成術前查體未發現腫塊的原因。胰尾與腫瘤的起始部密不可分,故給予一并切除。術后病理檢查結果發現,胰尾組織內可見大量脾組織散在分布,故診斷為胰腺內副脾。胰腺內副脾多表現為胰腺內孤立的占位性病變,界限清楚,與非功能性胰島細胞瘤很難區別,但本例這種彌散分布的非局限性胰內副脾與文獻報道的情況有很大的不同,其原因目前尚難解釋。雖然大多數副脾并沒有明顯的臨床癥狀,但明確副脾的診斷還是具有重要的臨床意義。首先,副脾經常表現為胰腺、腎臟及腎上腺內的占位性病變,若能明確副脾的診斷就可以避免不必要的手術探查。其次,巨大副脾可因扭轉、破裂、出血及囊腫形成而出現臨床癥狀,有癥狀的副脾一旦診斷明確應盡快手術治療。本例患者可能因為副脾對腸管的牽拉導致腸蠕動異常而被發現。最后,對于需行脾切除術治療血液病的患者,切除同時存在的副脾是提高療效的關鍵。因此,提高對本病的認識,了解 CT、MRI、核素掃描等檢查對副脾的診斷價值,可大大減少不必要的誤診及漏診。
·廣告目次·
啟東蓋天力藥業有限公司………………………………………………………………………………………………………………(F4)

