引用本文: 劉晨, 蔡偉, 康驊, 孫海晨, 劉爽, 崔葉青, 張雁, 海濤. 乳腺癌間質成纖維細胞對MDA-MB-231種植腫瘤生長和轉移的影響及其機理探討. 中國普外基礎與臨床雜志, 2014, 21(3): 289-294. doi: 10.7507/1007-9424.20140070 復制
微環境與腫瘤的發生和發展密切相關,乳腺癌間質成纖維細胞即其癌相關成纖維細胞(carcinoma associated fibroblasts,CAFs)是腫瘤間質微環境中最主要的細胞類型,可影響乳腺癌的生物學特性,但有關機理尚不是十分清楚[1]。基質細胞衍生因子-1(SDF-1/CXCL12)是乳腺癌間質成纖維細胞分泌的最主要的細胞因子,它通過與乳腺癌細胞上的SDF-1配體(即CXCR4受體)的相互作用,可對乳腺癌細胞的生物學特性產生影響[2]。SDF-1/CXCR4軸在CAFs的作用體系中可能起著重要的作用[3]。筆者[4]以往的研究發現,MDA-MB-231乳腺癌細胞系不表達和分泌SDF-1,而間質成纖維細胞表達并分泌SDF-1。因此,本研究通過建立MDA-MB-231種植腫瘤模型以探討CAFs旁分泌SDF-1蛋白在種植腫瘤生長和轉移中的作用。
1 材料與方法
1.1 實驗動物、主要材料和設備
36只雌性Bal b/c無胸腺裸小鼠由中國醫學科學院醫學實驗動物所提供,4~6周齡,體質量18~20 g,飼養環境均為SPF級。收集2011年5~8月期間首都醫科大學宣武醫院因乳腺腫物住院且術前均經粗針穿刺病理學檢查確診為浸潤性乳腺導管癌的6例患者的組織標本。在不影響患者診斷和治療、征得患者同意并簽署知情同意書的情況下,術中留取部分乳腺癌組織及距腫瘤邊緣2 cm以遠的正常乳腺組織,參考張曉耀等[5]報道的方法分離、培養乳腺癌組織中的CAFs及正常乳腺組織的成纖維細胞(normal fibroblasts,NFs)。MDA-MB-231乳腺癌細胞系由英國卡迪夫大學醫學院乳腺中心姜文國教授惠贈。實驗試劑:DULBECCO改良EAGLE培養基(DMEM培養基,Gibco公司),兔抗人SDF-1抗體(Abcam公司)、鼠甘油醛-3-磷酸脫氫酶(GAPDH)抗體(SANTA公司),0.25%胰酶(北京陽光思特公司),X光片背景去除液(PIERCE公司),Ⅰ型膠原酶、透明質酸酶及1,4,8,11-四氮雜環十四烷(AMD3100,Sigmag公司),Trizol液(Invitrogen公司),蛋白分離提取試劑盒、小鼠SDF-1 ELISA試劑盒(MERCK公司)。實驗設備:酶標儀(DENLEY DRAGON Wellscan MK 3型,芬蘭Thermo公司),實時定量熒光PCR(real-time PCR,RT-PCR)儀(7900型,ABI公司),Image Pro Plus 6.0軟件(美國Media Cybernetics公司)。
1.2 方法
1.2.1 實驗動物分組和MDA-MB-231乳腺癌細胞系裸鼠模型的建立
將小鼠按周齡、體質量及窩別進行配對后(6對),再隨機(抽簽法)分為6組。將培養的MDA-MB-231細胞(在DMEM+10% FBS培養液中培養)、CAFs及NFs分別制成單細胞懸液,調整細胞濃度:MDA-MB-231細胞為1×1010個/L,CAFs及NFs均為3×1010個/L。將MDA-MB-231細胞和CAFs或NFs分別混合(各組加入的MDA-MB-231細胞、CAFs或NFs的總體積均是0.1 mL,體積比為1︰1),并選擇性加入1 g/L SDF-1配體拮抗劑AMD3100 0.1 mL或生理鹽水(NS)0.1 mL。根據以上成分進行不同組合(各組總體積為0.2 mL),共得到6種細胞懸液(對應6個組別):MDA-MB-231+NS(MDA+NS組)、NFs+NS(NFs+NS組)、MDA-MB-231+NFs+NS(MDA+NFs+NS組)、MDA-MB-231+NFs+AMD3100(MDA+NFs+AMD組)、MDA-MB-231+CAFs+AMD3100(MDA+CAFs+AMD組)及MDA-MB-231+CAFs+NS(MDA+CAFs+NS組),再分別將0.2 mL單細胞懸液接種于裸鼠左側乳腺皮下脂肪墊內。接種后將裸鼠飼養于無菌飼養室隔離器中46 d,溫度為28℃,濕度為40%,光照>10 h/d,通風15次/ h。
1.2.2 種植腫瘤生長的觀察
接種3 d后開始測量種植腫瘤的生長情況(用卡尺測量腫瘤的大小并照相),每3天1次,建模46 d后終止觀察。如有多個腫瘤則以最大腫瘤為測量對象。腫瘤體積的計算參照Naito等[6]報道的方法,即腫瘤體積=(長徑×短徑2)/2,并繪制生長曲線。
1.2.3 大體解剖及組織病理學檢查
飼養46 d后,采用斷頸法處死裸鼠,完整剝離腫瘤,測量腫瘤體積并在肉眼下觀察性狀;解剖肝臟和肺臟,觀察有無腫瘤生長和轉移,并留取腫瘤同側腋窩淋巴結。將標本以10%甲醛固定48 h,常規石蠟包埋,4μm厚連續切片,行HE染色,由病理科主治醫師閱片并進行腫瘤的診斷。
1.2.4 ELISA法檢測血漿SDF-1濃度
處死小鼠后立即開腹,自下腔靜脈采集全血0.8~1.0 mL(以肝素抗凝),離心(3 000 r/min,r=22.5 cm,20 min),取上清液置于-80℃冰箱中保存。按照雙抗體夾心ABC-ELISA法,應用小鼠SDF-1 ELISA試劑盒檢測血液標本中的SDF-1濃度(操作按試劑盒說明書進行)。用酶標儀在450 nm處測定吸光度值(A值),畫出標準曲線,測出樣品A值,再根據相關公式y=a+bx+cx2+dx3計算出血清SDF-1濃度。其中y為A值,x為SDF-1濃度,a=0.039,b=0.003,c=1.99×10-6,d=5.18×10-10。
1.2.5 RT-PCR法檢測乳腺癌組織中SDF-1 mRNA的表達
將乳腺癌組織標本(來源于裸鼠種植腫瘤)置于冰塊上研磨后,加入0.8 mL Trizol試劑消化;采用Trizol裂解法提取樣品總RNA,采用紫外分光光度法檢測RNA的含量和純度(操作均按試劑盒說明書進行)。SDF-1 mRNA引物由primer 3.0軟件設計,上游:5′-GTGATTGCCTCTGAAGCCTA-3′(168 bp);下游:5′-AATGTCACCTTGCCAACAGT-3′(168 bp)。內參為甘油醛-3-磷酸脫氫酶(GAPDH),其引物上游:5′-CAATGACCCCTTCATTGACC-3′(106 bp);下游:5′-GACAAGCTTCCCGTTCTCAG-3′(106 bp)。引物均由上海生工公司合成。RT-PCR法的擴增反應條件為:95℃預變性5 min,94℃變性20 s,57℃退火1 min,72℃延伸20 s,72℃擴增5 min,共重復40個循環;55℃退火10 s,重復80個循環,每次增加0.5℃。反應體系為25μL:Template(反轉錄產物)1μL,Primer A 0.5μL(100 nmol/L),Primer B 0.5μL(100 nmol/L),2×SYBR Green PCR Master mix 12.5μL,再加入重蒸水(ddH2O)至25μL。以內參為對照,將樣本與含量最低值樣本的比值作為該樣本的相對含量。其值越高,說明SDF-1 mRNA的表達水平越高。
1.2.6 Western blot法檢測乳腺癌組織中SDF-1蛋白的表達
6組均用剪刀剪碎約0.5 mg的乳腺癌組織,加入裂解液機械勻漿,4℃離心(16 000×g,15 min)。采用二喹啉甲酸(bicinchoninic acid assay,BCA)法測定蛋白濃度。將蛋白樣品行10%十二烷基磺酸鈉(SDS)-聚丙烯凝膠電泳分離后電轉至硝酸纖維素膜(NC膜,PIERCE公司)上,經5%脫脂奶粉封閉2 h(37℃)。在封閉后,加一抗(兔抗人SDF-1抗體,稀釋度1︰400)和鼠GAPDH抗體(稀釋度1︰500),室溫下于搖床孵育2 h后洗膜;加入二抗(辣根過氧化物酶標記的兔抗山羊IgG抗體,稀釋度1︰40 000;辣根過氧化物酶標記的山羊抗鼠IgG抗體,稀釋度1︰50 000),室溫下于搖床孵育1 h后洗膜;將膜做化學發光得到膠片,將背景較高的底片放入X光片背景去除液中,觀察到理想的結果時,終止反應;用水清洗以去除不需要的背景,經image pro plus 6.0軟件方可得到膠片的灰度值。根據膠片所示結果,將6組乳腺癌組織中SDF-1蛋白的灰度值除以內參GAPDH的灰度值以校正誤差,所得結果為SDF-1蛋白的相對表達量。
1.3 統計學方法
采用SPSS 13.0統計軟件對實驗結果數據進行統計學分析。計量資料以均數±標準差(
2 結果
2.1 種植腫瘤形成及腫瘤生長情況
建模及觀察期間均無小鼠死亡。NFs+NS組為空白對照,未見腫瘤生長;其余5組裸鼠的種植腫瘤均為單發腫瘤,其體積在最初30 d內變化不大,之后進入快速生長期,直至46 d,且組間大小差異逐漸明顯(圖 1)。種植43 d后有1只裸鼠的腫瘤表面出現潰瘍(MDA+CAFs+NS組)。MDA+CAFs+NS組的腫瘤體積大于其余5組(P<0.001);MDA+NFs+NS組的腫瘤體積大于MDA+NFs+AMD組(P<0.050),但小于MDA+NS組(P<0.050),見圖 2和表 1。上述結果提示間質成纖維細胞旁分泌的SDF-1可促進腫瘤的生長。


2.2 大體解剖及病理學觀察結果
肉眼觀察見腫瘤呈橢圓形或圓形,質地較硬,切面呈魚肉樣改變,中心有壞死;腫瘤與周圍組織分界清楚,易剝離;肝臟和肺臟均未見明確轉移灶,但在MDA+CAFs+NS組有4只、MDA+NS組有2只裸鼠其同側腋窩淋巴結出現腫大。經病理學檢查結果證實腫瘤均為浸潤性乳腺導管癌,分化程度低,惡性度高(圖 3)。與MDA-MB-231腫瘤細胞相比,其形態學一致。另外,MDA+CAFs+NS組中的4只及MDA+NS組中的2只裸鼠其腫大的淋巴結均存在腋窩淋巴結轉移(圖 3),而其余4組均未發現腋窩淋巴結轉移。
2.3 6組裸鼠血漿SDF-1濃度比較結果
MDA+CAFs+NS組裸鼠的血漿SDF-1濃度均明顯高于其余5組(P<0.010);且MDA+NFs+NS組和MDA+NFs+AMD組比較,前組裸鼠的血漿SDF-1濃度較高(P<0.050),但低于MDA+NS組(P<0.050)。見表 1。
2.4 6組裸鼠腫瘤組織中SDF-1 mRNA及其蛋白的表達水平比較結果
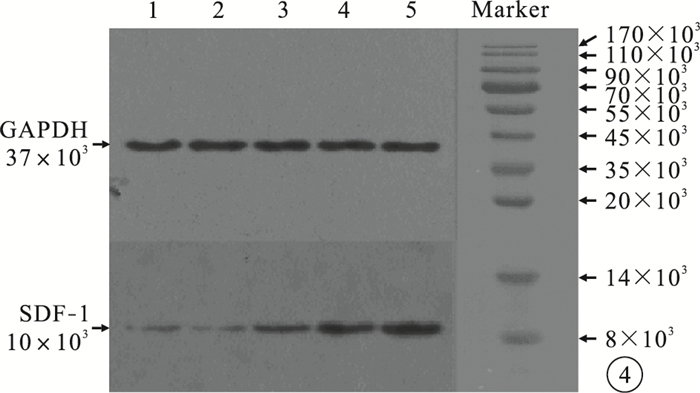
RT-PCR檢測結果顯示,MDA+CAFs+NS組裸鼠腫瘤組織中的SDF-1 mRNA及其蛋白的表達水平(圖 4)均高于其余4組(P<0.001,NFs+NS組無種植腫瘤),且其他4組間的差異均無統計學意義(P>0.050),見表 1和圖 4。

3 討論
腫瘤間質是微環境的重要組成部分,乳腺癌組織中的CAFs是腫瘤間質中最主要的細胞類型,并有著特殊的生物學特點。CAFs與乳腺癌細胞間的相互影響,對乳腺癌的生長、浸潤和轉移均具有重要的作用[7]。本實驗進行的將乳腺癌間質成纖維細胞和MDA-MB-231細胞混合注射接種于裸鼠體內的實驗,可以更客觀地模擬腫瘤的微環境,從而揭示CAFs的作用特點。
實驗結果顯示,乳腺癌細胞與CAFs共同接種的MDA+CAFs+NS組,其腫瘤的生長明顯快于其他實驗組(30 d后),而該組最終腫瘤的體積也明顯大于其余5組,提示CAFs對于乳腺腫瘤的生長具有促進作用。CAFs與NFs在基因表型和生物學特性方面均存在差異[8]。本實驗中,MDA-MB-231細胞與NFs混合接種后(MDA+NFs+NS組)腫瘤也有相應的生長,但相對于CAFs混合接種者其體積明顯要小;此外,MDA+NFs+NS組的腫瘤體積小于MDA+NS組。上述結果提示,CAFs可促進乳腺癌種植腫瘤的生長;但MDA+NFs+NS組的腫瘤體積卻小于MDA+NS組,可能與腫瘤細胞在生長中自身獲得CAFs有關,因此NFs對腫瘤生長的促進作用有限。在裸鼠的大體解剖及病理觀察中亦發現,MDA+CAFs+NS組有4只腋窩淋巴結證實有淋巴轉移,MDA+NS組有2只腋窩淋巴結證實有轉移,而其余3組均未見腋窩淋巴結轉移,初步說明CAFs旁分泌的SDF-1蛋白對于乳腺癌的淋巴結轉移有著促進作用,而這種促進作用可因CXCR4受體阻斷劑的使用而受到阻礙,這和以往的實驗[9]結果相符。
SDF-1蛋白是乳腺癌間質成纖維細胞分泌的最主要的細胞因子,是一種小分子蛋白,屬趨化因子(CXC)家族中的一員,被系統命名為CXCL12,其在肺、肝、骨髓、淋巴結、腎上腺組織等多種組織中表達。腫瘤組織中成纖維細胞通過分泌SDF-1蛋白與其特異性受體CXCR4相結合,通過激活大量的細胞信號傳導途徑以及效應分子來調控細胞的存活、增殖、趨化、遷徙和黏附,從而發揮其促進腫瘤生長和轉移的作用[10]。CXCR4[11]是迄今為止發現的SDF-1蛋白的唯一天然受體,在多種正常組織及腫瘤組織中均有表達。許多體內外的研究[12-17]證實了CXCR4/SDF-1軸在影響腫瘤生物學特性方面的重要性。雖然CAFs與乳腺癌的發生、發展及轉移均有著密切的關系,但其發揮作用的主要機理尚不十分清楚。CAFs除參與乳腺癌細胞外基質的合成、沉積和重構外,還能分泌可溶性的細胞因子或趨化因子參與調節乳腺癌細胞的生物學活性[18]。其中SDF-1的作用日益受到人們的重視[2, 19]。相關體外實驗[20]表明:SDF-1蛋白可以通過與腫瘤細胞上的受體CXCR4相互作用,然后激活磷脂酰肌醇3激酶(PI3K-Akt)等通路,促進腫瘤細胞的生長。另外,SDF-1蛋白與CXCR4之間的相互作用,也能減少細胞的壞死,并介導腫瘤細胞的遠處轉移[21],從而與腫瘤的惡性行為密切相關。有文獻[22]報道,正是這種趨化作用,高表達CXCR4的乳腺癌細胞可向高表達SDF-1蛋白的淋巴結、肺、骨髓等組織和器官發生定位遠處轉移。在本實驗中,通過RT-PCR和Western blot技術,從基因和蛋白分子兩方面,檢測了種植腫瘤中SDF-1 mRNA及其蛋白的表達,結果顯示,MDA+CAFs+NS組的SDF-1 mRNA及其蛋白的表達水平均明顯高于其余4組,提示CAFs是種植腫瘤中SDF-1的主要來源;且該組裸鼠的腫瘤生長最快,平均體積最大,提示CAFs的促腫瘤生長作用可能與CAFs旁分泌SDF-1蛋白有關。而CAFs除分泌SDF-1蛋白外,還可以分泌轉化生長因子-β(TGF-β)、胰島素樣生長因子-Ⅰ(IGF-Ⅰ)、成纖維細胞活化蛋白(FAP)、肝細胞生長因子(HGF)、結合腕蛋白(TN)、白介素-1α(IL-1α)、IL-6等[23-24],這些細胞因子均可以參與腫瘤的生物學調控。本實驗結果顯示,MDA+CAFs+ADM組和MDA+NFs+ADM組的腫瘤體積明顯小于相應的未加拮抗劑組,提示SDF-1/CXCR4信號通路被阻滯后可有效地抑制腫瘤生長。MDA+CAFs+NS組裸鼠的血漿SDF-1濃度明顯高于其他5組,進一步說明高SDF-1血漿水平對于乳腺癌的生長起著促進作用。同時,該組中有4只裸鼠存在淋巴結轉移;而在MDA+CAFs+AMD組和MDA+NFs+AMD組中,卻沒有發現腋窩淋巴結轉移,說明CAFs對于乳腺癌轉移的促進作用可能與SDF-1有關[25]。當然,由于CAFs存在多信號通路的相互作用,在今后的研究工作中如采用基因敲除或小RNA沉默SDF-1基因的表達,則對其機理的研究可能做到更為精細化。
總之,乳腺癌間質成纖維細胞對乳腺癌的發生、發展和轉移均起到促進作用,而其作用機理之一與其旁分泌SDF-1蛋白及促進SDF-1/CXCR4信號轉導通路有關,這可能成為乳腺癌相關治療的一個靶點。
微環境與腫瘤的發生和發展密切相關,乳腺癌間質成纖維細胞即其癌相關成纖維細胞(carcinoma associated fibroblasts,CAFs)是腫瘤間質微環境中最主要的細胞類型,可影響乳腺癌的生物學特性,但有關機理尚不是十分清楚[1]。基質細胞衍生因子-1(SDF-1/CXCL12)是乳腺癌間質成纖維細胞分泌的最主要的細胞因子,它通過與乳腺癌細胞上的SDF-1配體(即CXCR4受體)的相互作用,可對乳腺癌細胞的生物學特性產生影響[2]。SDF-1/CXCR4軸在CAFs的作用體系中可能起著重要的作用[3]。筆者[4]以往的研究發現,MDA-MB-231乳腺癌細胞系不表達和分泌SDF-1,而間質成纖維細胞表達并分泌SDF-1。因此,本研究通過建立MDA-MB-231種植腫瘤模型以探討CAFs旁分泌SDF-1蛋白在種植腫瘤生長和轉移中的作用。
1 材料與方法
1.1 實驗動物、主要材料和設備
36只雌性Bal b/c無胸腺裸小鼠由中國醫學科學院醫學實驗動物所提供,4~6周齡,體質量18~20 g,飼養環境均為SPF級。收集2011年5~8月期間首都醫科大學宣武醫院因乳腺腫物住院且術前均經粗針穿刺病理學檢查確診為浸潤性乳腺導管癌的6例患者的組織標本。在不影響患者診斷和治療、征得患者同意并簽署知情同意書的情況下,術中留取部分乳腺癌組織及距腫瘤邊緣2 cm以遠的正常乳腺組織,參考張曉耀等[5]報道的方法分離、培養乳腺癌組織中的CAFs及正常乳腺組織的成纖維細胞(normal fibroblasts,NFs)。MDA-MB-231乳腺癌細胞系由英國卡迪夫大學醫學院乳腺中心姜文國教授惠贈。實驗試劑:DULBECCO改良EAGLE培養基(DMEM培養基,Gibco公司),兔抗人SDF-1抗體(Abcam公司)、鼠甘油醛-3-磷酸脫氫酶(GAPDH)抗體(SANTA公司),0.25%胰酶(北京陽光思特公司),X光片背景去除液(PIERCE公司),Ⅰ型膠原酶、透明質酸酶及1,4,8,11-四氮雜環十四烷(AMD3100,Sigmag公司),Trizol液(Invitrogen公司),蛋白分離提取試劑盒、小鼠SDF-1 ELISA試劑盒(MERCK公司)。實驗設備:酶標儀(DENLEY DRAGON Wellscan MK 3型,芬蘭Thermo公司),實時定量熒光PCR(real-time PCR,RT-PCR)儀(7900型,ABI公司),Image Pro Plus 6.0軟件(美國Media Cybernetics公司)。
1.2 方法
1.2.1 實驗動物分組和MDA-MB-231乳腺癌細胞系裸鼠模型的建立
將小鼠按周齡、體質量及窩別進行配對后(6對),再隨機(抽簽法)分為6組。將培養的MDA-MB-231細胞(在DMEM+10% FBS培養液中培養)、CAFs及NFs分別制成單細胞懸液,調整細胞濃度:MDA-MB-231細胞為1×1010個/L,CAFs及NFs均為3×1010個/L。將MDA-MB-231細胞和CAFs或NFs分別混合(各組加入的MDA-MB-231細胞、CAFs或NFs的總體積均是0.1 mL,體積比為1︰1),并選擇性加入1 g/L SDF-1配體拮抗劑AMD3100 0.1 mL或生理鹽水(NS)0.1 mL。根據以上成分進行不同組合(各組總體積為0.2 mL),共得到6種細胞懸液(對應6個組別):MDA-MB-231+NS(MDA+NS組)、NFs+NS(NFs+NS組)、MDA-MB-231+NFs+NS(MDA+NFs+NS組)、MDA-MB-231+NFs+AMD3100(MDA+NFs+AMD組)、MDA-MB-231+CAFs+AMD3100(MDA+CAFs+AMD組)及MDA-MB-231+CAFs+NS(MDA+CAFs+NS組),再分別將0.2 mL單細胞懸液接種于裸鼠左側乳腺皮下脂肪墊內。接種后將裸鼠飼養于無菌飼養室隔離器中46 d,溫度為28℃,濕度為40%,光照>10 h/d,通風15次/ h。
1.2.2 種植腫瘤生長的觀察
接種3 d后開始測量種植腫瘤的生長情況(用卡尺測量腫瘤的大小并照相),每3天1次,建模46 d后終止觀察。如有多個腫瘤則以最大腫瘤為測量對象。腫瘤體積的計算參照Naito等[6]報道的方法,即腫瘤體積=(長徑×短徑2)/2,并繪制生長曲線。
1.2.3 大體解剖及組織病理學檢查
飼養46 d后,采用斷頸法處死裸鼠,完整剝離腫瘤,測量腫瘤體積并在肉眼下觀察性狀;解剖肝臟和肺臟,觀察有無腫瘤生長和轉移,并留取腫瘤同側腋窩淋巴結。將標本以10%甲醛固定48 h,常規石蠟包埋,4μm厚連續切片,行HE染色,由病理科主治醫師閱片并進行腫瘤的診斷。
1.2.4 ELISA法檢測血漿SDF-1濃度
處死小鼠后立即開腹,自下腔靜脈采集全血0.8~1.0 mL(以肝素抗凝),離心(3 000 r/min,r=22.5 cm,20 min),取上清液置于-80℃冰箱中保存。按照雙抗體夾心ABC-ELISA法,應用小鼠SDF-1 ELISA試劑盒檢測血液標本中的SDF-1濃度(操作按試劑盒說明書進行)。用酶標儀在450 nm處測定吸光度值(A值),畫出標準曲線,測出樣品A值,再根據相關公式y=a+bx+cx2+dx3計算出血清SDF-1濃度。其中y為A值,x為SDF-1濃度,a=0.039,b=0.003,c=1.99×10-6,d=5.18×10-10。
1.2.5 RT-PCR法檢測乳腺癌組織中SDF-1 mRNA的表達
將乳腺癌組織標本(來源于裸鼠種植腫瘤)置于冰塊上研磨后,加入0.8 mL Trizol試劑消化;采用Trizol裂解法提取樣品總RNA,采用紫外分光光度法檢測RNA的含量和純度(操作均按試劑盒說明書進行)。SDF-1 mRNA引物由primer 3.0軟件設計,上游:5′-GTGATTGCCTCTGAAGCCTA-3′(168 bp);下游:5′-AATGTCACCTTGCCAACAGT-3′(168 bp)。內參為甘油醛-3-磷酸脫氫酶(GAPDH),其引物上游:5′-CAATGACCCCTTCATTGACC-3′(106 bp);下游:5′-GACAAGCTTCCCGTTCTCAG-3′(106 bp)。引物均由上海生工公司合成。RT-PCR法的擴增反應條件為:95℃預變性5 min,94℃變性20 s,57℃退火1 min,72℃延伸20 s,72℃擴增5 min,共重復40個循環;55℃退火10 s,重復80個循環,每次增加0.5℃。反應體系為25μL:Template(反轉錄產物)1μL,Primer A 0.5μL(100 nmol/L),Primer B 0.5μL(100 nmol/L),2×SYBR Green PCR Master mix 12.5μL,再加入重蒸水(ddH2O)至25μL。以內參為對照,將樣本與含量最低值樣本的比值作為該樣本的相對含量。其值越高,說明SDF-1 mRNA的表達水平越高。
1.2.6 Western blot法檢測乳腺癌組織中SDF-1蛋白的表達
6組均用剪刀剪碎約0.5 mg的乳腺癌組織,加入裂解液機械勻漿,4℃離心(16 000×g,15 min)。采用二喹啉甲酸(bicinchoninic acid assay,BCA)法測定蛋白濃度。將蛋白樣品行10%十二烷基磺酸鈉(SDS)-聚丙烯凝膠電泳分離后電轉至硝酸纖維素膜(NC膜,PIERCE公司)上,經5%脫脂奶粉封閉2 h(37℃)。在封閉后,加一抗(兔抗人SDF-1抗體,稀釋度1︰400)和鼠GAPDH抗體(稀釋度1︰500),室溫下于搖床孵育2 h后洗膜;加入二抗(辣根過氧化物酶標記的兔抗山羊IgG抗體,稀釋度1︰40 000;辣根過氧化物酶標記的山羊抗鼠IgG抗體,稀釋度1︰50 000),室溫下于搖床孵育1 h后洗膜;將膜做化學發光得到膠片,將背景較高的底片放入X光片背景去除液中,觀察到理想的結果時,終止反應;用水清洗以去除不需要的背景,經image pro plus 6.0軟件方可得到膠片的灰度值。根據膠片所示結果,將6組乳腺癌組織中SDF-1蛋白的灰度值除以內參GAPDH的灰度值以校正誤差,所得結果為SDF-1蛋白的相對表達量。
1.3 統計學方法
采用SPSS 13.0統計軟件對實驗結果數據進行統計學分析。計量資料以均數±標準差(
2 結果
2.1 種植腫瘤形成及腫瘤生長情況
建模及觀察期間均無小鼠死亡。NFs+NS組為空白對照,未見腫瘤生長;其余5組裸鼠的種植腫瘤均為單發腫瘤,其體積在最初30 d內變化不大,之后進入快速生長期,直至46 d,且組間大小差異逐漸明顯(圖 1)。種植43 d后有1只裸鼠的腫瘤表面出現潰瘍(MDA+CAFs+NS組)。MDA+CAFs+NS組的腫瘤體積大于其余5組(P<0.001);MDA+NFs+NS組的腫瘤體積大于MDA+NFs+AMD組(P<0.050),但小于MDA+NS組(P<0.050),見圖 2和表 1。上述結果提示間質成纖維細胞旁分泌的SDF-1可促進腫瘤的生長。


2.2 大體解剖及病理學觀察結果
肉眼觀察見腫瘤呈橢圓形或圓形,質地較硬,切面呈魚肉樣改變,中心有壞死;腫瘤與周圍組織分界清楚,易剝離;肝臟和肺臟均未見明確轉移灶,但在MDA+CAFs+NS組有4只、MDA+NS組有2只裸鼠其同側腋窩淋巴結出現腫大。經病理學檢查結果證實腫瘤均為浸潤性乳腺導管癌,分化程度低,惡性度高(圖 3)。與MDA-MB-231腫瘤細胞相比,其形態學一致。另外,MDA+CAFs+NS組中的4只及MDA+NS組中的2只裸鼠其腫大的淋巴結均存在腋窩淋巴結轉移(圖 3),而其余4組均未發現腋窩淋巴結轉移。
2.3 6組裸鼠血漿SDF-1濃度比較結果
MDA+CAFs+NS組裸鼠的血漿SDF-1濃度均明顯高于其余5組(P<0.010);且MDA+NFs+NS組和MDA+NFs+AMD組比較,前組裸鼠的血漿SDF-1濃度較高(P<0.050),但低于MDA+NS組(P<0.050)。見表 1。
2.4 6組裸鼠腫瘤組織中SDF-1 mRNA及其蛋白的表達水平比較結果
RT-PCR檢測結果顯示,MDA+CAFs+NS組裸鼠腫瘤組織中的SDF-1 mRNA及其蛋白的表達水平(圖 4)均高于其余4組(P<0.001,NFs+NS組無種植腫瘤),且其他4組間的差異均無統計學意義(P>0.050),見表 1和圖 4。

3 討論
腫瘤間質是微環境的重要組成部分,乳腺癌組織中的CAFs是腫瘤間質中最主要的細胞類型,并有著特殊的生物學特點。CAFs與乳腺癌細胞間的相互影響,對乳腺癌的生長、浸潤和轉移均具有重要的作用[7]。本實驗進行的將乳腺癌間質成纖維細胞和MDA-MB-231細胞混合注射接種于裸鼠體內的實驗,可以更客觀地模擬腫瘤的微環境,從而揭示CAFs的作用特點。
實驗結果顯示,乳腺癌細胞與CAFs共同接種的MDA+CAFs+NS組,其腫瘤的生長明顯快于其他實驗組(30 d后),而該組最終腫瘤的體積也明顯大于其余5組,提示CAFs對于乳腺腫瘤的生長具有促進作用。CAFs與NFs在基因表型和生物學特性方面均存在差異[8]。本實驗中,MDA-MB-231細胞與NFs混合接種后(MDA+NFs+NS組)腫瘤也有相應的生長,但相對于CAFs混合接種者其體積明顯要小;此外,MDA+NFs+NS組的腫瘤體積小于MDA+NS組。上述結果提示,CAFs可促進乳腺癌種植腫瘤的生長;但MDA+NFs+NS組的腫瘤體積卻小于MDA+NS組,可能與腫瘤細胞在生長中自身獲得CAFs有關,因此NFs對腫瘤生長的促進作用有限。在裸鼠的大體解剖及病理觀察中亦發現,MDA+CAFs+NS組有4只腋窩淋巴結證實有淋巴轉移,MDA+NS組有2只腋窩淋巴結證實有轉移,而其余3組均未見腋窩淋巴結轉移,初步說明CAFs旁分泌的SDF-1蛋白對于乳腺癌的淋巴結轉移有著促進作用,而這種促進作用可因CXCR4受體阻斷劑的使用而受到阻礙,這和以往的實驗[9]結果相符。
SDF-1蛋白是乳腺癌間質成纖維細胞分泌的最主要的細胞因子,是一種小分子蛋白,屬趨化因子(CXC)家族中的一員,被系統命名為CXCL12,其在肺、肝、骨髓、淋巴結、腎上腺組織等多種組織中表達。腫瘤組織中成纖維細胞通過分泌SDF-1蛋白與其特異性受體CXCR4相結合,通過激活大量的細胞信號傳導途徑以及效應分子來調控細胞的存活、增殖、趨化、遷徙和黏附,從而發揮其促進腫瘤生長和轉移的作用[10]。CXCR4[11]是迄今為止發現的SDF-1蛋白的唯一天然受體,在多種正常組織及腫瘤組織中均有表達。許多體內外的研究[12-17]證實了CXCR4/SDF-1軸在影響腫瘤生物學特性方面的重要性。雖然CAFs與乳腺癌的發生、發展及轉移均有著密切的關系,但其發揮作用的主要機理尚不十分清楚。CAFs除參與乳腺癌細胞外基質的合成、沉積和重構外,還能分泌可溶性的細胞因子或趨化因子參與調節乳腺癌細胞的生物學活性[18]。其中SDF-1的作用日益受到人們的重視[2, 19]。相關體外實驗[20]表明:SDF-1蛋白可以通過與腫瘤細胞上的受體CXCR4相互作用,然后激活磷脂酰肌醇3激酶(PI3K-Akt)等通路,促進腫瘤細胞的生長。另外,SDF-1蛋白與CXCR4之間的相互作用,也能減少細胞的壞死,并介導腫瘤細胞的遠處轉移[21],從而與腫瘤的惡性行為密切相關。有文獻[22]報道,正是這種趨化作用,高表達CXCR4的乳腺癌細胞可向高表達SDF-1蛋白的淋巴結、肺、骨髓等組織和器官發生定位遠處轉移。在本實驗中,通過RT-PCR和Western blot技術,從基因和蛋白分子兩方面,檢測了種植腫瘤中SDF-1 mRNA及其蛋白的表達,結果顯示,MDA+CAFs+NS組的SDF-1 mRNA及其蛋白的表達水平均明顯高于其余4組,提示CAFs是種植腫瘤中SDF-1的主要來源;且該組裸鼠的腫瘤生長最快,平均體積最大,提示CAFs的促腫瘤生長作用可能與CAFs旁分泌SDF-1蛋白有關。而CAFs除分泌SDF-1蛋白外,還可以分泌轉化生長因子-β(TGF-β)、胰島素樣生長因子-Ⅰ(IGF-Ⅰ)、成纖維細胞活化蛋白(FAP)、肝細胞生長因子(HGF)、結合腕蛋白(TN)、白介素-1α(IL-1α)、IL-6等[23-24],這些細胞因子均可以參與腫瘤的生物學調控。本實驗結果顯示,MDA+CAFs+ADM組和MDA+NFs+ADM組的腫瘤體積明顯小于相應的未加拮抗劑組,提示SDF-1/CXCR4信號通路被阻滯后可有效地抑制腫瘤生長。MDA+CAFs+NS組裸鼠的血漿SDF-1濃度明顯高于其他5組,進一步說明高SDF-1血漿水平對于乳腺癌的生長起著促進作用。同時,該組中有4只裸鼠存在淋巴結轉移;而在MDA+CAFs+AMD組和MDA+NFs+AMD組中,卻沒有發現腋窩淋巴結轉移,說明CAFs對于乳腺癌轉移的促進作用可能與SDF-1有關[25]。當然,由于CAFs存在多信號通路的相互作用,在今后的研究工作中如采用基因敲除或小RNA沉默SDF-1基因的表達,則對其機理的研究可能做到更為精細化。
總之,乳腺癌間質成纖維細胞對乳腺癌的發生、發展和轉移均起到促進作用,而其作用機理之一與其旁分泌SDF-1蛋白及促進SDF-1/CXCR4信號轉導通路有關,這可能成為乳腺癌相關治療的一個靶點。