引用本文: 趙海鷹, 耿東華, 楊福全, 張春菊, 劉金鋼. 非功能性甲狀旁腺囊腫的鑒別診斷與治療. 中國普外基礎與臨床雜志, 2014, 21(1): 65-68. doi: 10.7507/1007-9424.20140013 復制
甲狀旁腺囊腫臨床與病理檢查均少見,國內外多為個案報道[1-5],以非功能性甲狀旁腺囊腫常見,病變常位于左側下甲狀旁腺;少數為功能性,合并甲狀旁腺功能亢進癥。患者多因頸前包塊就診,個別病例報道有周圍器官受壓的表現[6]。為探討甲狀旁腺囊腫的鑒別診斷與治療,筆者回顧性分析了2003年1月至2013年4月期間中國醫科大學附屬盛京醫院普外科收治的6例甲狀旁腺囊腫病例的臨床資料,報道如下。
1 資料與方法
1.1 病例資料
2003年1月至2013年4月期間,中國醫科大學附屬盛京醫院普外科共收治6例甲狀旁腺囊腫患者,占同期全部甲狀旁腺手術的6.90%(6/87)。6例均為非功能性甲狀旁腺囊腫,其中1例合并甲狀腺乳頭狀癌。患者全部為女性,年齡21~48歲,平均36.33歲。臨床表現:5例發現頸前包塊,1例為體檢時行彩超檢查發現頸部囊腫;均無壓氣感,無吞咽困難,無聲音嘶啞。病史10 d~2個月,平均為28.75 d。
1.2 實驗室檢查
6例患者術前均采血檢查血鈣水平、甲狀腺功能系列指標(包括游離T3、游離T4、促甲狀腺素、抗甲狀腺過氧化物酶抗體及抗甲狀腺球蛋白抗體)、肝腎功等常規生化指標。6例患者術前血鈣水平為2.05~2.23 mmol/L(參考值為2.10~2.55 mmol/L),平均血鈣水平為2.17 mmol/L;甲狀腺功能各項指標基本正常,僅1例的促甲狀腺素略高,為4.899 mU/L(參考值為0.3~4.8 mU/L);肝腎功能均正常。
1.3 影像學檢查
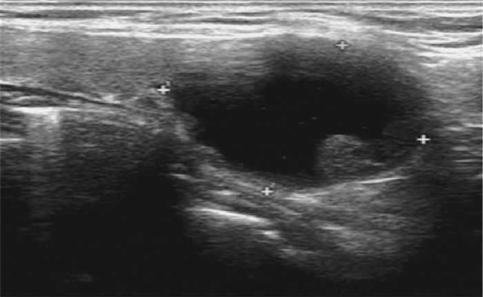
6例患者術前均行超聲檢查(表 1),其中4例提示甲狀腺左葉囊腫(圖 1);1例提示甲狀腺左葉下極下方低回聲團(圖 2);1例提示甲狀腺右葉結節伴微小鈣化灶,甲狀腺左葉下極下方囊性包塊。2例行甲狀腺ECT檢查,1例顯示甲狀腺左葉下極“冷”結節,1例顯示甲狀腺雙葉核素分布不均勻。術前診斷見表 1。
圖1
示甲狀腺左葉下極囊性腫物(30 mm×29 mm),邊界清楚,內呈液性??圖 2 ??示甲狀腺左葉下極下方低回聲團(10 mm×6 mm),邊界清楚,形態欠規整
Figure1.
Ultrasonography image showed a cyst (30 mm×29 mm) in the left lower thyroid lobe, with clear boder ??Figure 2?? Ultrasonog-raphy image showed a low echo mass (10 mm×6 mm) inferior to the left lower thyroid lobe, with clear boder and irregular shape
1.4 治療
6例均行手術治療,其中5例行左甲狀旁腺囊腫切除術,1例行甲狀腺癌根治、左甲狀旁腺囊腫切除術。術中見甲狀旁腺囊腫均為單發、單房性,為1.0 cm×0.8 cm×0.8 cm~5.0 cm×4.5 cm× 4.5 cm大。術后病理報告: 6例為甲狀旁腺囊腫,囊壁由纖維結締組織構成,內面襯以一層立方上皮或圓柱狀上皮;1例同時合并右甲狀腺乳頭狀微小癌,未見淋巴結轉移(6區淋巴結:0/4)。6例患者的臨床資料及診斷見表 1。
2 結果
2.1 術后情況及血鈣檢查結果
6例患者術后均無聲音嘶啞、無飲水嗆咳等并發癥。1例同時行甲狀腺癌根治術的患者術后第2天血鈣略低,為1.91 mmol/L,但無口周及指尖麻木感、無手足抽搐等低鈣表現,經口服鈣劑后恢復正常;其余患者的血鈣水平均在正常范圍內。
2.2 隨訪結果
1例合并甲狀腺癌的患者術后給予長期口服左旋甲狀腺素的內分泌治療,劑量為每日112.5 μg/d,每2~3個月復查甲狀腺功能系列等指標,其余患者術后未用藥。2003年和2006年手術的2例患者失訪;另外4例患者獲隨訪,隨訪時間9~24個月,平均19個月,均無甲狀旁腺囊腫、甲狀腺癌的復發轉移表現。
3 討論
3.1 甲狀旁腺囊腫分類
文獻中常將甲狀旁腺囊腫分為功能性與非功能性兩種[2, 6-7],以非功能性甲狀旁腺囊腫多見,臨床少見。Cappelli等[8]回顧性分析了6 621例患者的頸部超聲檢查,甲狀旁腺囊腫的發病率為0.075%。文獻[9]報道,囊性甲狀旁腺病變占所有甲狀旁腺疾病比例很低,約3%。筆者所在醫院近10年期間共收治6例甲狀旁腺囊腫患者,占同期全部甲狀旁腺手術患者的6.90%(6/87),均為非功能性甲狀旁腺囊腫。筆者曾遇到術前考慮功能性甲狀旁腺囊腫的病例(圖 3),術后病理診斷為甲狀旁腺腺瘤囊性變。筆者分析文獻所報告的功能性甲狀旁腺囊腫有可能是甲狀旁腺腺瘤囊性變[7],確有文獻[10]報告在診斷用詞中未區分甲狀旁腺腺瘤囊性變與甲狀旁腺囊腫。但也有學者[11]認為,甲狀旁腺腺瘤囊性變與功能性甲狀旁腺囊腫不同,二者病理改變有區別,后者表現為單腔薄壁囊腫。從本組資料看,所有病理診斷為甲狀旁腺囊腫的患者,均無甲狀旁腺功能亢進表現,筆者判斷非功能性甲狀旁腺囊腫是真性甲狀旁腺囊腫,而功能性甲狀旁腺囊腫,是假性囊腫,而甲狀旁腺腺瘤囊性變后,實性成分很少時,鏡下病理改變可能類似甲狀旁腺囊腫。非功能性甲狀旁腺囊腫無論在臨床表現還是在治療方法上,均與甲狀旁腺腺瘤囊性變有著本質上的不同。因此,筆者認為甲狀旁腺腺瘤囊性變,應該稱為囊性甲狀旁腺腺瘤,而不是功能性甲狀旁腺囊腫,或者說功能性甲狀旁腺囊腫這一用詞是不準確的,因為真性甲狀旁腺囊腫都是無功能的。
圖3
示甲狀腺左葉下極后方囊實混合型腫物(26 mm×23 mm)
Figure3.
Ultrasonography image showed a mixed cystic and solid mass (26 mm×23 mm) inferior to the left lower thyroid lobe
3.2 病因
非功能性甲狀旁腺囊腫的病因尚不明確,有多種假設,包括先天發育所致、多個小囊腫合并所致、潴留性囊腫等[6]。本組6例患者中,病變均位于左側下方的甲狀旁腺,因此推測可能與胚胎發育過程有關。甲狀旁腺是第3和第4鰓囊的內胚層背側上皮增生發育而成,第3鰓囊的衍生物發展成為位于甲狀腺背面下部的甲狀旁腺,第4鰓囊則演變為上方的甲狀旁腺。非功能性甲狀旁腺囊腫可能是胚胎時第3鰓囊的殘余Kursteiner管發生的貯留性囊腫。
3.3 鑒別診斷
非功能性甲狀旁腺囊腫術前確診率低[12],需與甲狀腺囊腫[13]、甲狀腺腺瘤囊性變、甲狀旁腺腺瘤囊性變、腮裂囊腫、甲狀舌管囊腫、淋巴管瘤等相鑒別。本組6例中,術前均未能確診,4例診斷為甲狀腺囊腫,1例籠統診斷為頸部腫物,1例僅注意了甲狀腺病變。術中,也僅有1例確診為甲狀旁腺囊腫,其余5例均經病理檢查后得以明確診斷。該病術前和術中的診斷準確率低,可能與發病率低有關,臨床醫生往往首先考慮其他常見病。此外,臨床很少做頸部囊性包塊的細針穿刺與穿刺液的檢查,也影響了診斷準確率。無功能性甲狀旁腺囊腫的穿刺液為水樣無色透明的漿液,其含有高濃度的甲狀旁腺素,甲狀旁腺腺瘤囊性變的穿刺液也含有高濃度的甲狀旁腺素,但其多為棕褐色。非功能性甲狀旁腺囊腫的診斷,經超聲檢查、細針穿刺及穿刺液檢查以及血鈣及血甲狀旁腺素測定,多可明確診斷。
3.4 治療
公認的非功能性甲狀旁腺囊腫的治療有兩種,即甲狀旁腺囊腫切除術[2, 14]和穿刺抽吸或穿刺抽吸后注入硬化劑治療[3, 15]。應首選哪種治療目前尚無共識[16]。Nardi等[14]認為,穿刺抽吸或穿刺抽吸后注入硬化劑的方法可能出現囊液或硬化劑外漏,引起頸部疼痛與喉返神經損傷,故建議首選手術切除。張挺等[17]的研究也建議首選手術切除。因非功能性甲狀旁腺囊腫臨床病例數很少,國內外均無兩種治療方法的對比數據。目前一較多例數的非功能性甲狀旁腺囊腫穿刺治療的文獻[15]報道,為單中心13年中共12例行囊腫穿刺治療患者,首次穿刺后,8例(66.67%)復發,均再次穿刺抽吸后注入99%乙醇,仍有2例復發,經第3次穿刺抽吸后注入99%乙醇后縮小,所有病例均無氣管、食管及神經損傷。該報道提示穿刺治療復發率較高。本組6例,術前未能考慮到非功能性甲狀旁腺囊腫這一診斷,均未行囊腫穿刺,無穿刺抽吸治療的經驗,均行囊腫切除術。術后恢復良好,無并發癥發生,4例隨訪9~24個月,平均19個月,無復發。筆者認為,甲狀旁腺囊腫切除術是一種安全、有效的治療手段,是否首選手術治療,有待于進一步臨床大樣本數據證明。
綜上,非功能性甲狀旁腺囊腫是真性甲狀旁腺囊腫,臨床少見,術前確診率低。當發現頸部囊腫時,尤其是甲狀腺下極后方囊腫,應考慮到甲狀旁腺囊腫的可能;行細針穿刺,能同時起到診斷與治療的作用。非功能性甲狀旁腺囊腫的治療包括囊腫穿刺與切除兩種方法,首選治療尚無定論。甲狀旁腺囊腫切除術是一種安全而有效的治療手段。
甲狀旁腺囊腫臨床與病理檢查均少見,國內外多為個案報道[1-5],以非功能性甲狀旁腺囊腫常見,病變常位于左側下甲狀旁腺;少數為功能性,合并甲狀旁腺功能亢進癥。患者多因頸前包塊就診,個別病例報道有周圍器官受壓的表現[6]。為探討甲狀旁腺囊腫的鑒別診斷與治療,筆者回顧性分析了2003年1月至2013年4月期間中國醫科大學附屬盛京醫院普外科收治的6例甲狀旁腺囊腫病例的臨床資料,報道如下。
1 資料與方法
1.1 病例資料
2003年1月至2013年4月期間,中國醫科大學附屬盛京醫院普外科共收治6例甲狀旁腺囊腫患者,占同期全部甲狀旁腺手術的6.90%(6/87)。6例均為非功能性甲狀旁腺囊腫,其中1例合并甲狀腺乳頭狀癌。患者全部為女性,年齡21~48歲,平均36.33歲。臨床表現:5例發現頸前包塊,1例為體檢時行彩超檢查發現頸部囊腫;均無壓氣感,無吞咽困難,無聲音嘶啞。病史10 d~2個月,平均為28.75 d。
1.2 實驗室檢查
6例患者術前均采血檢查血鈣水平、甲狀腺功能系列指標(包括游離T3、游離T4、促甲狀腺素、抗甲狀腺過氧化物酶抗體及抗甲狀腺球蛋白抗體)、肝腎功等常規生化指標。6例患者術前血鈣水平為2.05~2.23 mmol/L(參考值為2.10~2.55 mmol/L),平均血鈣水平為2.17 mmol/L;甲狀腺功能各項指標基本正常,僅1例的促甲狀腺素略高,為4.899 mU/L(參考值為0.3~4.8 mU/L);肝腎功能均正常。
1.3 影像學檢查
6例患者術前均行超聲檢查(表 1),其中4例提示甲狀腺左葉囊腫(圖 1);1例提示甲狀腺左葉下極下方低回聲團(圖 2);1例提示甲狀腺右葉結節伴微小鈣化灶,甲狀腺左葉下極下方囊性包塊。2例行甲狀腺ECT檢查,1例顯示甲狀腺左葉下極“冷”結節,1例顯示甲狀腺雙葉核素分布不均勻。術前診斷見表 1。
圖1
示甲狀腺左葉下極囊性腫物(30 mm×29 mm),邊界清楚,內呈液性??圖 2 ??示甲狀腺左葉下極下方低回聲團(10 mm×6 mm),邊界清楚,形態欠規整
Figure1.
Ultrasonography image showed a cyst (30 mm×29 mm) in the left lower thyroid lobe, with clear boder ??Figure 2?? Ultrasonog-raphy image showed a low echo mass (10 mm×6 mm) inferior to the left lower thyroid lobe, with clear boder and irregular shape
1.4 治療
6例均行手術治療,其中5例行左甲狀旁腺囊腫切除術,1例行甲狀腺癌根治、左甲狀旁腺囊腫切除術。術中見甲狀旁腺囊腫均為單發、單房性,為1.0 cm×0.8 cm×0.8 cm~5.0 cm×4.5 cm× 4.5 cm大。術后病理報告: 6例為甲狀旁腺囊腫,囊壁由纖維結締組織構成,內面襯以一層立方上皮或圓柱狀上皮;1例同時合并右甲狀腺乳頭狀微小癌,未見淋巴結轉移(6區淋巴結:0/4)。6例患者的臨床資料及診斷見表 1。
2 結果
2.1 術后情況及血鈣檢查結果
6例患者術后均無聲音嘶啞、無飲水嗆咳等并發癥。1例同時行甲狀腺癌根治術的患者術后第2天血鈣略低,為1.91 mmol/L,但無口周及指尖麻木感、無手足抽搐等低鈣表現,經口服鈣劑后恢復正常;其余患者的血鈣水平均在正常范圍內。
2.2 隨訪結果
1例合并甲狀腺癌的患者術后給予長期口服左旋甲狀腺素的內分泌治療,劑量為每日112.5 μg/d,每2~3個月復查甲狀腺功能系列等指標,其余患者術后未用藥。2003年和2006年手術的2例患者失訪;另外4例患者獲隨訪,隨訪時間9~24個月,平均19個月,均無甲狀旁腺囊腫、甲狀腺癌的復發轉移表現。
3 討論
3.1 甲狀旁腺囊腫分類
文獻中常將甲狀旁腺囊腫分為功能性與非功能性兩種[2, 6-7],以非功能性甲狀旁腺囊腫多見,臨床少見。Cappelli等[8]回顧性分析了6 621例患者的頸部超聲檢查,甲狀旁腺囊腫的發病率為0.075%。文獻[9]報道,囊性甲狀旁腺病變占所有甲狀旁腺疾病比例很低,約3%。筆者所在醫院近10年期間共收治6例甲狀旁腺囊腫患者,占同期全部甲狀旁腺手術患者的6.90%(6/87),均為非功能性甲狀旁腺囊腫。筆者曾遇到術前考慮功能性甲狀旁腺囊腫的病例(圖 3),術后病理診斷為甲狀旁腺腺瘤囊性變。筆者分析文獻所報告的功能性甲狀旁腺囊腫有可能是甲狀旁腺腺瘤囊性變[7],確有文獻[10]報告在診斷用詞中未區分甲狀旁腺腺瘤囊性變與甲狀旁腺囊腫。但也有學者[11]認為,甲狀旁腺腺瘤囊性變與功能性甲狀旁腺囊腫不同,二者病理改變有區別,后者表現為單腔薄壁囊腫。從本組資料看,所有病理診斷為甲狀旁腺囊腫的患者,均無甲狀旁腺功能亢進表現,筆者判斷非功能性甲狀旁腺囊腫是真性甲狀旁腺囊腫,而功能性甲狀旁腺囊腫,是假性囊腫,而甲狀旁腺腺瘤囊性變后,實性成分很少時,鏡下病理改變可能類似甲狀旁腺囊腫。非功能性甲狀旁腺囊腫無論在臨床表現還是在治療方法上,均與甲狀旁腺腺瘤囊性變有著本質上的不同。因此,筆者認為甲狀旁腺腺瘤囊性變,應該稱為囊性甲狀旁腺腺瘤,而不是功能性甲狀旁腺囊腫,或者說功能性甲狀旁腺囊腫這一用詞是不準確的,因為真性甲狀旁腺囊腫都是無功能的。
圖3
示甲狀腺左葉下極后方囊實混合型腫物(26 mm×23 mm)
Figure3.
Ultrasonography image showed a mixed cystic and solid mass (26 mm×23 mm) inferior to the left lower thyroid lobe
3.2 病因
非功能性甲狀旁腺囊腫的病因尚不明確,有多種假設,包括先天發育所致、多個小囊腫合并所致、潴留性囊腫等[6]。本組6例患者中,病變均位于左側下方的甲狀旁腺,因此推測可能與胚胎發育過程有關。甲狀旁腺是第3和第4鰓囊的內胚層背側上皮增生發育而成,第3鰓囊的衍生物發展成為位于甲狀腺背面下部的甲狀旁腺,第4鰓囊則演變為上方的甲狀旁腺。非功能性甲狀旁腺囊腫可能是胚胎時第3鰓囊的殘余Kursteiner管發生的貯留性囊腫。
3.3 鑒別診斷
非功能性甲狀旁腺囊腫術前確診率低[12],需與甲狀腺囊腫[13]、甲狀腺腺瘤囊性變、甲狀旁腺腺瘤囊性變、腮裂囊腫、甲狀舌管囊腫、淋巴管瘤等相鑒別。本組6例中,術前均未能確診,4例診斷為甲狀腺囊腫,1例籠統診斷為頸部腫物,1例僅注意了甲狀腺病變。術中,也僅有1例確診為甲狀旁腺囊腫,其余5例均經病理檢查后得以明確診斷。該病術前和術中的診斷準確率低,可能與發病率低有關,臨床醫生往往首先考慮其他常見病。此外,臨床很少做頸部囊性包塊的細針穿刺與穿刺液的檢查,也影響了診斷準確率。無功能性甲狀旁腺囊腫的穿刺液為水樣無色透明的漿液,其含有高濃度的甲狀旁腺素,甲狀旁腺腺瘤囊性變的穿刺液也含有高濃度的甲狀旁腺素,但其多為棕褐色。非功能性甲狀旁腺囊腫的診斷,經超聲檢查、細針穿刺及穿刺液檢查以及血鈣及血甲狀旁腺素測定,多可明確診斷。
3.4 治療
公認的非功能性甲狀旁腺囊腫的治療有兩種,即甲狀旁腺囊腫切除術[2, 14]和穿刺抽吸或穿刺抽吸后注入硬化劑治療[3, 15]。應首選哪種治療目前尚無共識[16]。Nardi等[14]認為,穿刺抽吸或穿刺抽吸后注入硬化劑的方法可能出現囊液或硬化劑外漏,引起頸部疼痛與喉返神經損傷,故建議首選手術切除。張挺等[17]的研究也建議首選手術切除。因非功能性甲狀旁腺囊腫臨床病例數很少,國內外均無兩種治療方法的對比數據。目前一較多例數的非功能性甲狀旁腺囊腫穿刺治療的文獻[15]報道,為單中心13年中共12例行囊腫穿刺治療患者,首次穿刺后,8例(66.67%)復發,均再次穿刺抽吸后注入99%乙醇,仍有2例復發,經第3次穿刺抽吸后注入99%乙醇后縮小,所有病例均無氣管、食管及神經損傷。該報道提示穿刺治療復發率較高。本組6例,術前未能考慮到非功能性甲狀旁腺囊腫這一診斷,均未行囊腫穿刺,無穿刺抽吸治療的經驗,均行囊腫切除術。術后恢復良好,無并發癥發生,4例隨訪9~24個月,平均19個月,無復發。筆者認為,甲狀旁腺囊腫切除術是一種安全、有效的治療手段,是否首選手術治療,有待于進一步臨床大樣本數據證明。
綜上,非功能性甲狀旁腺囊腫是真性甲狀旁腺囊腫,臨床少見,術前確診率低。當發現頸部囊腫時,尤其是甲狀腺下極后方囊腫,應考慮到甲狀旁腺囊腫的可能;行細針穿刺,能同時起到診斷與治療的作用。非功能性甲狀旁腺囊腫的治療包括囊腫穿刺與切除兩種方法,首選治療尚無定論。甲狀旁腺囊腫切除術是一種安全而有效的治療手段。

