引用本文: 韓躍虎, 左茜, 張帥帥, 薛武超, 秦聰, 李瑞娜, 李姚, 劉金成. 上海國家會展中心方艙醫院174 308例COVID-19患者臨床資料及醫護管理策略的回顧性分析. 中國胸心血管外科臨床雜志, 2022, 29(9): 1093-1099. doi: 10.7507/1007-4848.202205062 復制
方艙醫院是以醫療方艙為載體,醫療與醫技保障功能綜合集成的可快速部署的成套野外移動醫療平臺,一般由醫療功能單元、病房單元、技術保障單元等部分構成,由于它機動性好、部署快速、環境適應性強等諸多優點而能夠適應突發的應急醫學救援任務[1]。從武漢開始的新型冠狀病毒肺炎(新冠)疫情公共衛生應急保障中,方艙醫院對輕癥、普通型患者的治療、隔離和觀察發揮了巨大作用,并且概念和形式也不斷發生新變化,此次上海疫情中建設的方艙醫院很多都是利用現有大型場館改建而成的隔離、治療場所。
引起2022年上海新冠疫情的奧密克戎變異株除了傳染性強、傳播速度快,還有傳播過程隱匿的特點,導致疫情規模大、傳播風險高、隔離治療困難。自2022年3月上海本輪新冠疫情爆發以來,目前累計確診病例已超過5萬人,無癥狀感染者已超過55萬人,疫情規模已超過當年武漢疫情。針對此次疫情,上海市政府組織建設了100多個方艙醫院,床位數逾16萬張。其中還有不少超大規模方艙,比如收治近1.5萬例感染者的上海新國際博覽中心方艙醫院和我院參與管理的擁有近5萬張床位的上海國家會展中心(國展中心)方艙醫院。相比2020年初的武漢疫情中20余所方艙醫院平均床位為1 200余張[2],面對上海此次新冠疫情的規模,以往方艙醫院在收容數量、收治速度、資源利用等各方面都無法滿足抗疫工作的要求,而超大規模方艙醫院能夠實現醫療資源最優化,以最快速度和最大限度地將新冠患者集中隔離治療,有助于切斷傳染源和傳播途徑,實現社會面早日清零。此次國展中心方艙醫院開展床位數46 872張,主要收治新冠無癥狀和輕癥的感染者,截至2022年5月31日正式關艙累計收治患者174 308例,單日最高收治人數11 532例,單日最高出院人數14 214例,收治患者占上海市收治總數的27.8%,占市級方艙醫院收治總數的55%,在打贏上海保衛戰中發揮了重要作用。但面對這種準備時間短、收治規模大、醫患比例低、臨時困難多、潛在磨合成本高等特點的大型方艙管理難題,給各項工作帶來極大挑戰,使得醫護管理問題及工作難點即刻凸顯,如何高質量完成大型方艙運作和進行醫護管理是需要面對的首要問題。此外,大型方艙醫院收治患者數量巨大,準確統計患者基本和流調信息并進行總結分析,可以為疫情防控和下一步方艙醫院高效運行提供有力指導。我們作為首批進駐國家會展中心方艙醫院的醫療隊,總結分析方艙醫院收治患者病例數據特點,結合此次方艙醫院建設運行實踐,總結管理經驗和成效,為日后疫情防控工作和此類超大型方艙醫院的管理和醫療實踐提供有益借鑒。
1 資料與方法
1.1 臨床資料
本研究為回顧性單中心研究,數據采集以患者的住院病歷和流調信息為基礎,由信息系統后臺提取并審核后開放提供給方艙醫院醫療隊員。統計分析國展中心方艙醫院2022年4月9日—5月31日收治的174 308例新冠患者的臨床數據,參照國家衛生健康委員會《新型冠狀病毒肺炎診療方案(試行第九版)》的診斷及分型標準[3],納入標準為收治的所有符合無癥狀感染者或輕癥型的患者,排除標準為因呼吸道癥狀進行性加重、合并基礎疾病多或其它情況需要轉院進一步治療的患者。比較收治患者的一般資料、流行病學特征、臨床表現、疫苗接種、治療及預后情況,結合大型方艙醫院運行管理實踐經驗,為日后疫情防控工作和此類超大型方艙醫院的管理和醫療實踐提供有益借鑒。
1.2 方法
1.2.1 治療方法
所有患者均在國展中心方艙醫院接受中西醫結合治療:西醫治療包括高血壓、糖尿病等基礎疾病治療,抗炎抗病毒治療,神經精神藥物治療等;同時,中醫醫師結合患者的病情、體質等特點進行辨證論治,對18~60歲年齡段患者給予荊銀固表方(協定方)治療。配方為:金銀花9 g、荊芥9 g、黃芪12 g、防風9 g、廣藿香9 g、板藍根9 g、桔梗6 g、蘆根15 g、炒白術9 g、生甘草6 g。每次1劑,每天3次,每次100 mL。
1.2.2 管理方法
1.2.2.1 管理組織架構
此次國展中心方艙醫院開設艙館14個,開展床位數46 872張,體量巨大,而醫護人員數量僅為5 000余名,遠未達到常規或以往方艙醫院的醫護床位比例,這種情況下有力高效的組織管理架構尤其重要。在方艙醫院總院院長的綜合指揮下,由不同單位各自成立各分院,各分院又細分為分隊,劃分不同的負責艙館。我單位作為分院之一,下設四個分隊,醫護隊員細分為若干醫療和護理小組,根據分組劃分管轄區域床位數量,實行醫療和護理組長負責制,實現醫療和護理工作的單元化管理模式(圖1)。按照“任務統籌,責任細分”原則,成立方艙病區組織領導機構,建立醫療總值班、艙內醫療值班、醫護組長三級指揮體系,下設醫護、感控、后勤、行政、安全等7個部門,確保艙內艙外一體聯動。每日例會總結研討工作情況,梳理制定整改措施,滾動修訂各項流程規范,強化各項規定落實。制定本分院《工作方案》,內容涵蓋綜合管理、醫療診治、感染防控、護理制度、信息系統管理等方面,通過單元化管理,由醫護組長負責貫徹落實,實現各醫護小組之間工作的統一性和延續性。

1.2.2.2 感控防護管理
此次面對穿透力強、傳播面廣的新冠奧密克戎毒株,院感防控是所有工作的重中之重。2021年以來在疫情防控工作中不斷有醫護暴露感染事件發生,而國展中心方艙醫院在醫護隊員數量本就嚴重不足的情況下,對感控管理工作就提出了更高的要求。方艙醫院按照“三區兩通道”布局結構設置,即清潔區、半污染區、污染區和清潔通道和污染通道[4],科學合理地布局醫患路線、醫療場所等區域(圖2)。醫療隊出發前就開展感控專場培訓和考核,設置專職感控人員和兼職感控人員(每班次醫護各一人),全面全時監督管理感控工作。在任務執行過程中不斷完善分區設置和醫護通道條件,堅持感控培訓和考核,完善感控防護制度和職業暴露處置預案,從硬件和軟件上共同提高感控防護標準。

1.2.2.3 醫療管理工作
針對方艙醫院特點,除了日常醫療護理工作外,最重要的就是患者入艙管理、轉診管理及出艙管理。本次國展中心方艙醫院主要收治16~60歲的無癥狀感染者和輕癥患者,<16歲的視具體情況和監護人陪護而定。然而面對此次疫情規模,社區初期分診篩查無法準確限定患者收治條件,尤其是方艙醫院運行前期,每批次收治患者數量巨大,這就要求做好入艙篩查評估工作,對于合并嚴重基礎疾病或其它無法在方艙治療的患者予以分診;對于病情進展迅速,呼吸道癥狀持續加重或符合普通型/重型的患者,及時通過轉運流程進行定點醫院轉診治療;對于經核酸檢測滿足出艙標準的患者,提前半天將預出艙患者名單通知區疫情防控指揮部,由區疫情防控指揮部通知社區街道負責轉運接收。為保證方艙醫院醫療安全質量,第一時間建立健全方艙急救體系,制定急危重患者救治規范,拍攝急救示教短片,經常性組織醫護急救能力培訓及模擬演練,暢通急危重患者轉出通道。常態化督導三級查房、交接班、病歷質量等核心制度落實,每日對重點患者摸排巡查,定期組織多學科會診,針對性組織前后方專家研討診療方案。
1.3 統計學分析
采用SPSS20.0軟件進行統計學處理。正態分布的計量資料以均數±標準差(±s)表示,組間比較采用u檢驗;計數資料以例數和百分率(%)比表示,組間比較采用χ2檢驗。P≤0.05為差異有統計學意義。
1.4 倫理審查
此研究通過空軍軍醫大學第一附屬醫院醫學倫理委員會批準,批準號: KY20212037-F-2。
2 結果
2.1 一般情況
174 308例患者中,最小年齡5個月,最大年齡92歲,平均(41.50±15.30)歲,其中男103 539例(59.4%)、女70 769例(40.6%),吸煙率2.5%,結婚率59.5%。>60歲老年人群占12.3%(21 463例),平均年齡為(66.40±4.30)歲,18歲以下占4.2%(7 320例),平均年齡為(9.90±3.10)歲,具體年齡結構見表1。

2.2 全組患者流行病學特征
所有患者均經核酸篩查陽性確診入院,無癥狀患者占71.5%(124 630例)。核酸篩查來源包括自行去發熱門診就診、社區篩查、自行去核酸檢測點及學校/公司篩查,具體情況見表1。方艙醫院患者新冠肺炎疫苗接種率為76.5%(133 338例),未接種患者中以10歲以下的兒童和60歲以上的老年人居多,接種率分別僅為25.0%(1 322例)和63.9%(13 715例)。此外,方艙醫院收治的無癥狀感染者和輕癥型患者中,未接種新冠疫苗患者中輕癥型比例和住院時間均高于或長于接種疫苗患者,其差異均有統計學意義(P≤0.01,表2)。合并基礎疾病患者27 864例(16.0%),其中心血管疾病占81.3%(22 653例);見表1。


2.3 治療情況
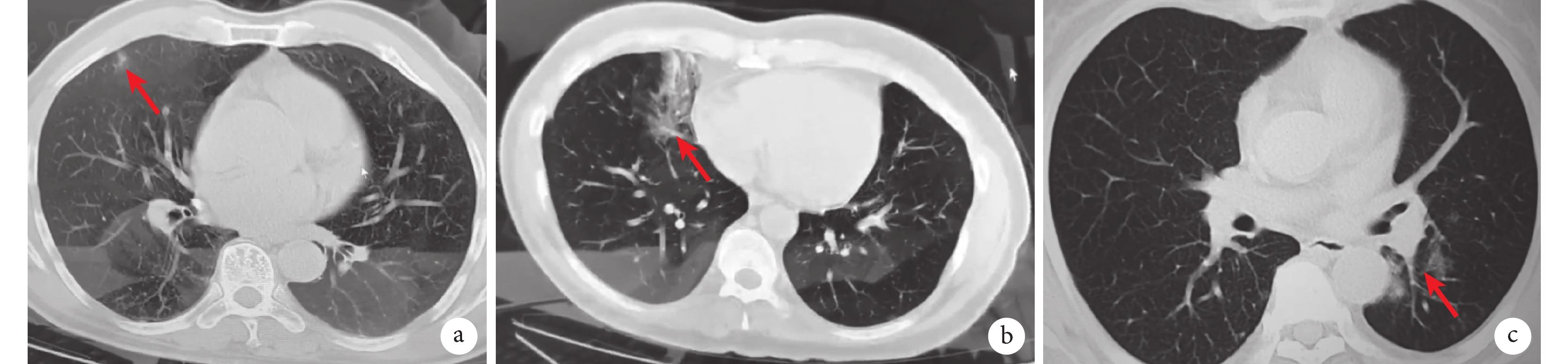
方艙醫院患者平均住院時間(7.39±0.53)d,其中60歲以下患者住院時間(7.01±2.12)d,60歲以上患者住院時間為(8.21±0.82)d,老年患者住院時間長于非老年患者(P≤0.01,表3),且未接種疫苗的60歲以上老年患者住院時間顯著長于方艙患者和接種疫苗的老年患者平均住院時間[ (8.94±1.71)d vs.(7.83±1.44)d,P≤0.01,表4]。住院時間長于10 d的患者16 211例,占患者總數的9.3%。方艙醫院患者除給予中藥湯劑治療外,其它藥物主要為感冒、上呼吸道感染等其它對癥治療,主要用藥物見表5。針對呼吸道癥狀嚴重、血氧飽和度低于正常或長時間未轉陰的患者,積極進行胸部CT檢查。此次方艙醫院患者行CT檢查結果中,大部分患者無肺部受累表現,僅極少部分患者存在肺部炎癥感染表現(圖3)。對于呼吸道癥狀進行性加重、基礎疾病重缺乏治療手段、精神類疾病以及活動不便的老年患者,視病情變化和核酸轉陰情況進行轉院治療,累計轉定點醫院治療2 085例患者。






紅色箭頭示肺部感染受累表現;a:男,63歲,胸痛、氣促;b:男,39歲,咳嗽咳痰進行性加重,咳嗽時伴呼吸困難;c:女,65歲,咳嗽,頭痛
3 討論
此次國展中心方艙醫院作為超大型方艙醫院,收治患者數量多,病例資料的統計分析對疫情防控和方艙醫院運行管理都有重要的指導意義。國展中心方艙醫院主要用來集中隔離治療無癥狀和輕癥的新冠患者,醫療設備和手段有限,所以主要收治對象是16~60歲的無癥狀和輕癥患者。此次數據統計男性患者比例高于女性,其結果和全國新冠發病情況分布一致[5],可能和男性吸煙率高于女性有關。有研究[6]表明吸煙會導致血管緊張素轉換酶2(ACE2)含量增加,而ACE2正是新冠病毒侵入靶細胞,造成人體感染的關鍵分子[7]。方艙醫院運行初期無法做到患者的嚴格分診篩查,因此本次收治的60歲以上老年患者占總人數的12.3%,并且老年患者住院時間顯著長于非老年患者。老年患者由于機體免疫力降低,常合并基礎疾病,部分老年患者感染新冠病毒后容易并發重癥肺炎、急性呼吸窘迫綜合征、凝血功能障礙等嚴重并發癥,治療難度和重癥風險更大,死亡率更高[8-9]。此次方艙醫院運行初期由于收治任務重,患者篩查分檢工作難,入院的老年患者由于基礎疾病或呼吸道癥狀重,占用大量醫護資源,對本來數量就緊張的醫療隊員提出了很大挑戰,由此帶來的醫療風險也相對較大。因此在方艙醫院管理中一定要把好入院分診這一關口,對于高齡、合并基礎疾病多、缺乏特殊用藥或生活不能自理的患者一定要預檢分診到定點醫院進行隔離治療,國展中心方艙醫院轉院患者中老年患者占62.5%。合并基礎病方面,本次方艙醫院合并基礎疾病患者比例為16.0%,合并高血壓和糖尿病最多見,而心血管疾病占比高達81.3%。早期研究[10]發現合并基礎疾病患者轉重的危險因素將會為臨床救治工作帶來很大阻礙。此外,糖尿病患者感染新冠后由于免疫、炎癥反應,血糖波動較大,免疫功能失調,病情進展和轉重率高[11-12],因此此類患者的血糖管理更需要精細化[13]。這就要求方艙醫院運行管理中一方面要重視此類患者的查房及交班記錄,另一方面要注意心血管和內分泌專科醫生以及專用藥物的配備,實踐中發現很多患者到方艙醫院沒有自備足夠的基礎疾病藥品,甚至很多患者平時缺乏醫學檢查,來到方艙醫院才發現患有高血壓疾病。方艙醫院內由于患者數量多,環境條件相對較差,夜間光照影響睡眠等諸多因素,加之確診新冠帶來的心理壓力,導致的精神疾病患者必須引起重視。我們醫療隊在運行管理過程中,注重心理干預和調節,開通24 h心理服務熱線,配備心身科專業隊員入艙實地指導治療,效果顯著。方艙醫院大部分患者為無癥狀感染者,輕癥患者僅占28.5%,而輕癥患者最多見的臨床癥狀為發熱、咳嗽,其次為乏力、呼吸困難等呼吸道癥狀,與相關報道[14]一致,而艙內用藥也大多用于解熱、鎮痛、止咳等呼吸道感染的對癥治療。新冠患者的胸部影像是以肺部磨玻璃影和實變影為主要特征[15],此次方艙醫院收治患者中CT檢查的影像學結果提示大部分患者無肺部受累,僅極少部分患者存在肺部炎癥感染表現,與最近報道奧密克戎毒株的毒力減弱相符[16-17]。
動態清零是當前中國新冠肺炎疫情防控的總方針,是指在現在情況下,當出現本土病例時所采取的綜合防控措施的一種集成,是快速撲滅的總結和提煉,也是現階段中國疫情防控的一個最佳選擇和總方針。在此方針的基礎上,廣泛開展社區核酸篩查和疫苗接種工作是抗疫工作的前提和有力補充。此次國展中心方艙醫院收治患者的來源中,43.6%來自社區核酸篩查,證明了社區篩查對早發現、快速圍堵、切斷傳播這一動態清零的核心理念尤其重要,必須堅持貫徹執行。中國人口眾多,地區發展水平不平衡,對新冠疫苗的接種工作提出了巨大挑戰。接種新冠病毒疫苗可以獲得相應免疫力,從而有效降低發病、重癥和死亡的風險,控制新冠病毒的傳播和流行[18]。本研究數據分析提示,未接種新冠疫苗患者中輕癥型比例顯著高于接種疫苗患者,并且未接種疫苗的60歲以上老年患者住院時間顯著長于方艙醫院患者和接種疫苗的老年患者的平均住院時間,這表明接種新冠疫苗的必要性和迫切性。國展中心方艙醫院收治的患者新冠疫苗接種率為76.5%,與已發表研究[19]中我國新冠疫苗的總體接種意愿91.3%相比較低,離全民接種這一目標更是還有很大差距,說明實際接種行為與接種意愿還存在現實差異。未接種患者中以10歲以下的兒童和60歲以上的老年人居多,接種率分別僅為25.0%和63.9%。2021年一項對北京通州區中小學生家長疫苗接種意愿研究顯示,僅65.4%的家長愿意為孩子接種新冠疫苗,低于我國總體接種意愿,且農村地區的家長接種意愿更高,可能與對疫苗的有效性和安全性的擔憂小于城區有關[20]。這一年齡段人群將是下一步疫苗接種工作的重點,未接種或未全程接種新冠病毒疫苗者,尤其是3~11歲及60歲以上易感人群,建議盡早接種疫苗。
此次上海疫情面對奧密克戎毒株的洶涌來襲,傳播迅速,感染人數非常巨大。針對奧密克戎毒株的大型方艙醫院感控工作缺乏行之有效、經過驗證的經驗體會和具體規范,此外,大型方艙醫院還存在醫護患比嚴重不足、患者密度大、場地大、缺乏有效物理屏障等防疫缺陷,因此我們在開展工作前就反復強調感控工作的重要性和加強感控能力培訓,不斷加強全體隊員的思想建設工作。開展工作后,感控小組在上級感控監督指導部門的指引下,不斷規范補充感控流程和規定,最終形成針對新冠病毒奧密克戎毒株的感控防護制度,利用休息時間堅持開展感控培訓講座和相關內容考核,加強方艙感控硬件和軟件建設,堅持醫療隊員和第三方工作人員分區出入制度,利用好監督檢查機制,始終把感控工作放在首位。根據醫療隊醫護隊員的抗疫及醫療經驗、專業特點、實際工作量等因素,合理有效地進行醫護隊員分組,形成戰斗力高、便于管理、調整靈活的醫護單元小組。根據感控特點和要求,以往方艙內一個班次工作時間為4~6 h,面對此次傳播力超強的奧密克戎,為了加強個人防護減少感染風險,醫療隊嚴格堅持每班4 h每天6班次的排班模式,最終也確保了全體醫療隊員零感染的底線要求。此次國展中心方艙醫院作為全國最大的方艙醫院緊急開展運行,面對大規模收治的患者,投入的本地和外地醫護人員數量嚴重不足,護患比更是只有常規方艙醫院標準的1/4,面對患者密度大、工作強度高、感控任務重的情況,制定合理有效的流程規范非常重要。針對大型方艙醫院初期入院篩查困難、軟硬件設施不到位、患者數量大、基礎疾病多、突發狀況和安全隱患風險大的情況,醫療隊和方艙信息部門緊密協作,加強方艙醫護工作站和病歷系統軟件培訓,工作早期積極組織講座答疑,在醫護實際工作中遇到的問題邊發現邊解決,不斷完善系統軟件功能,提高醫護工作效率。針對方艙收治患者數量龐大,突發情況和應急情況多的特點,制定系列應急處置流程和預案,加強醫護小組急救措施和應急處置預案的培訓和演練,確保醫療護理質量和安全。
此次我們醫療隊作為首批接管國展中心大型方艙醫院的醫療機構之一,采取一系列管理策略,逐步探索并建立適應超大規模方艙醫院的醫護工作管理模式,確保了零感染、零糾紛、零死亡的工作底線和要求,階段工作取得初步成效,同時分析此次方艙醫院收治患者臨床數據,為新冠防治工作的有效進行起到了積極的作用,同時也為后續防疫工作的實施提供一定參考。
利益沖突:無。
作者貢獻:劉金成負責方艙醫療隊工作管理、文章整體設計和修訂;韓躍虎負責方艙醫療工作開展、文章撰寫和修改;左茜、張帥帥、薛武超、秦聰、李瑞娜、李姚負責方艙醫療工作和經驗總結、數據整理和統計。
方艙醫院是以醫療方艙為載體,醫療與醫技保障功能綜合集成的可快速部署的成套野外移動醫療平臺,一般由醫療功能單元、病房單元、技術保障單元等部分構成,由于它機動性好、部署快速、環境適應性強等諸多優點而能夠適應突發的應急醫學救援任務[1]。從武漢開始的新型冠狀病毒肺炎(新冠)疫情公共衛生應急保障中,方艙醫院對輕癥、普通型患者的治療、隔離和觀察發揮了巨大作用,并且概念和形式也不斷發生新變化,此次上海疫情中建設的方艙醫院很多都是利用現有大型場館改建而成的隔離、治療場所。
引起2022年上海新冠疫情的奧密克戎變異株除了傳染性強、傳播速度快,還有傳播過程隱匿的特點,導致疫情規模大、傳播風險高、隔離治療困難。自2022年3月上海本輪新冠疫情爆發以來,目前累計確診病例已超過5萬人,無癥狀感染者已超過55萬人,疫情規模已超過當年武漢疫情。針對此次疫情,上海市政府組織建設了100多個方艙醫院,床位數逾16萬張。其中還有不少超大規模方艙,比如收治近1.5萬例感染者的上海新國際博覽中心方艙醫院和我院參與管理的擁有近5萬張床位的上海國家會展中心(國展中心)方艙醫院。相比2020年初的武漢疫情中20余所方艙醫院平均床位為1 200余張[2],面對上海此次新冠疫情的規模,以往方艙醫院在收容數量、收治速度、資源利用等各方面都無法滿足抗疫工作的要求,而超大規模方艙醫院能夠實現醫療資源最優化,以最快速度和最大限度地將新冠患者集中隔離治療,有助于切斷傳染源和傳播途徑,實現社會面早日清零。此次國展中心方艙醫院開展床位數46 872張,主要收治新冠無癥狀和輕癥的感染者,截至2022年5月31日正式關艙累計收治患者174 308例,單日最高收治人數11 532例,單日最高出院人數14 214例,收治患者占上海市收治總數的27.8%,占市級方艙醫院收治總數的55%,在打贏上海保衛戰中發揮了重要作用。但面對這種準備時間短、收治規模大、醫患比例低、臨時困難多、潛在磨合成本高等特點的大型方艙管理難題,給各項工作帶來極大挑戰,使得醫護管理問題及工作難點即刻凸顯,如何高質量完成大型方艙運作和進行醫護管理是需要面對的首要問題。此外,大型方艙醫院收治患者數量巨大,準確統計患者基本和流調信息并進行總結分析,可以為疫情防控和下一步方艙醫院高效運行提供有力指導。我們作為首批進駐國家會展中心方艙醫院的醫療隊,總結分析方艙醫院收治患者病例數據特點,結合此次方艙醫院建設運行實踐,總結管理經驗和成效,為日后疫情防控工作和此類超大型方艙醫院的管理和醫療實踐提供有益借鑒。
1 資料與方法
1.1 臨床資料
本研究為回顧性單中心研究,數據采集以患者的住院病歷和流調信息為基礎,由信息系統后臺提取并審核后開放提供給方艙醫院醫療隊員。統計分析國展中心方艙醫院2022年4月9日—5月31日收治的174 308例新冠患者的臨床數據,參照國家衛生健康委員會《新型冠狀病毒肺炎診療方案(試行第九版)》的診斷及分型標準[3],納入標準為收治的所有符合無癥狀感染者或輕癥型的患者,排除標準為因呼吸道癥狀進行性加重、合并基礎疾病多或其它情況需要轉院進一步治療的患者。比較收治患者的一般資料、流行病學特征、臨床表現、疫苗接種、治療及預后情況,結合大型方艙醫院運行管理實踐經驗,為日后疫情防控工作和此類超大型方艙醫院的管理和醫療實踐提供有益借鑒。
1.2 方法
1.2.1 治療方法
所有患者均在國展中心方艙醫院接受中西醫結合治療:西醫治療包括高血壓、糖尿病等基礎疾病治療,抗炎抗病毒治療,神經精神藥物治療等;同時,中醫醫師結合患者的病情、體質等特點進行辨證論治,對18~60歲年齡段患者給予荊銀固表方(協定方)治療。配方為:金銀花9 g、荊芥9 g、黃芪12 g、防風9 g、廣藿香9 g、板藍根9 g、桔梗6 g、蘆根15 g、炒白術9 g、生甘草6 g。每次1劑,每天3次,每次100 mL。
1.2.2 管理方法
1.2.2.1 管理組織架構
此次國展中心方艙醫院開設艙館14個,開展床位數46 872張,體量巨大,而醫護人員數量僅為5 000余名,遠未達到常規或以往方艙醫院的醫護床位比例,這種情況下有力高效的組織管理架構尤其重要。在方艙醫院總院院長的綜合指揮下,由不同單位各自成立各分院,各分院又細分為分隊,劃分不同的負責艙館。我單位作為分院之一,下設四個分隊,醫護隊員細分為若干醫療和護理小組,根據分組劃分管轄區域床位數量,實行醫療和護理組長負責制,實現醫療和護理工作的單元化管理模式(圖1)。按照“任務統籌,責任細分”原則,成立方艙病區組織領導機構,建立醫療總值班、艙內醫療值班、醫護組長三級指揮體系,下設醫護、感控、后勤、行政、安全等7個部門,確保艙內艙外一體聯動。每日例會總結研討工作情況,梳理制定整改措施,滾動修訂各項流程規范,強化各項規定落實。制定本分院《工作方案》,內容涵蓋綜合管理、醫療診治、感染防控、護理制度、信息系統管理等方面,通過單元化管理,由醫護組長負責貫徹落實,實現各醫護小組之間工作的統一性和延續性。

1.2.2.2 感控防護管理
此次面對穿透力強、傳播面廣的新冠奧密克戎毒株,院感防控是所有工作的重中之重。2021年以來在疫情防控工作中不斷有醫護暴露感染事件發生,而國展中心方艙醫院在醫護隊員數量本就嚴重不足的情況下,對感控管理工作就提出了更高的要求。方艙醫院按照“三區兩通道”布局結構設置,即清潔區、半污染區、污染區和清潔通道和污染通道[4],科學合理地布局醫患路線、醫療場所等區域(圖2)。醫療隊出發前就開展感控專場培訓和考核,設置專職感控人員和兼職感控人員(每班次醫護各一人),全面全時監督管理感控工作。在任務執行過程中不斷完善分區設置和醫護通道條件,堅持感控培訓和考核,完善感控防護制度和職業暴露處置預案,從硬件和軟件上共同提高感控防護標準。

1.2.2.3 醫療管理工作
針對方艙醫院特點,除了日常醫療護理工作外,最重要的就是患者入艙管理、轉診管理及出艙管理。本次國展中心方艙醫院主要收治16~60歲的無癥狀感染者和輕癥患者,<16歲的視具體情況和監護人陪護而定。然而面對此次疫情規模,社區初期分診篩查無法準確限定患者收治條件,尤其是方艙醫院運行前期,每批次收治患者數量巨大,這就要求做好入艙篩查評估工作,對于合并嚴重基礎疾病或其它無法在方艙治療的患者予以分診;對于病情進展迅速,呼吸道癥狀持續加重或符合普通型/重型的患者,及時通過轉運流程進行定點醫院轉診治療;對于經核酸檢測滿足出艙標準的患者,提前半天將預出艙患者名單通知區疫情防控指揮部,由區疫情防控指揮部通知社區街道負責轉運接收。為保證方艙醫院醫療安全質量,第一時間建立健全方艙急救體系,制定急危重患者救治規范,拍攝急救示教短片,經常性組織醫護急救能力培訓及模擬演練,暢通急危重患者轉出通道。常態化督導三級查房、交接班、病歷質量等核心制度落實,每日對重點患者摸排巡查,定期組織多學科會診,針對性組織前后方專家研討診療方案。
1.3 統計學分析
采用SPSS20.0軟件進行統計學處理。正態分布的計量資料以均數±標準差(±s)表示,組間比較采用u檢驗;計數資料以例數和百分率(%)比表示,組間比較采用χ2檢驗。P≤0.05為差異有統計學意義。
1.4 倫理審查
此研究通過空軍軍醫大學第一附屬醫院醫學倫理委員會批準,批準號: KY20212037-F-2。
2 結果
2.1 一般情況
174 308例患者中,最小年齡5個月,最大年齡92歲,平均(41.50±15.30)歲,其中男103 539例(59.4%)、女70 769例(40.6%),吸煙率2.5%,結婚率59.5%。>60歲老年人群占12.3%(21 463例),平均年齡為(66.40±4.30)歲,18歲以下占4.2%(7 320例),平均年齡為(9.90±3.10)歲,具體年齡結構見表1。

2.2 全組患者流行病學特征
所有患者均經核酸篩查陽性確診入院,無癥狀患者占71.5%(124 630例)。核酸篩查來源包括自行去發熱門診就診、社區篩查、自行去核酸檢測點及學校/公司篩查,具體情況見表1。方艙醫院患者新冠肺炎疫苗接種率為76.5%(133 338例),未接種患者中以10歲以下的兒童和60歲以上的老年人居多,接種率分別僅為25.0%(1 322例)和63.9%(13 715例)。此外,方艙醫院收治的無癥狀感染者和輕癥型患者中,未接種新冠疫苗患者中輕癥型比例和住院時間均高于或長于接種疫苗患者,其差異均有統計學意義(P≤0.01,表2)。合并基礎疾病患者27 864例(16.0%),其中心血管疾病占81.3%(22 653例);見表1。


2.3 治療情況
方艙醫院患者平均住院時間(7.39±0.53)d,其中60歲以下患者住院時間(7.01±2.12)d,60歲以上患者住院時間為(8.21±0.82)d,老年患者住院時間長于非老年患者(P≤0.01,表3),且未接種疫苗的60歲以上老年患者住院時間顯著長于方艙患者和接種疫苗的老年患者平均住院時間[ (8.94±1.71)d vs.(7.83±1.44)d,P≤0.01,表4]。住院時間長于10 d的患者16 211例,占患者總數的9.3%。方艙醫院患者除給予中藥湯劑治療外,其它藥物主要為感冒、上呼吸道感染等其它對癥治療,主要用藥物見表5。針對呼吸道癥狀嚴重、血氧飽和度低于正常或長時間未轉陰的患者,積極進行胸部CT檢查。此次方艙醫院患者行CT檢查結果中,大部分患者無肺部受累表現,僅極少部分患者存在肺部炎癥感染表現(圖3)。對于呼吸道癥狀進行性加重、基礎疾病重缺乏治療手段、精神類疾病以及活動不便的老年患者,視病情變化和核酸轉陰情況進行轉院治療,累計轉定點醫院治療2 085例患者。






紅色箭頭示肺部感染受累表現;a:男,63歲,胸痛、氣促;b:男,39歲,咳嗽咳痰進行性加重,咳嗽時伴呼吸困難;c:女,65歲,咳嗽,頭痛
3 討論
此次國展中心方艙醫院作為超大型方艙醫院,收治患者數量多,病例資料的統計分析對疫情防控和方艙醫院運行管理都有重要的指導意義。國展中心方艙醫院主要用來集中隔離治療無癥狀和輕癥的新冠患者,醫療設備和手段有限,所以主要收治對象是16~60歲的無癥狀和輕癥患者。此次數據統計男性患者比例高于女性,其結果和全國新冠發病情況分布一致[5],可能和男性吸煙率高于女性有關。有研究[6]表明吸煙會導致血管緊張素轉換酶2(ACE2)含量增加,而ACE2正是新冠病毒侵入靶細胞,造成人體感染的關鍵分子[7]。方艙醫院運行初期無法做到患者的嚴格分診篩查,因此本次收治的60歲以上老年患者占總人數的12.3%,并且老年患者住院時間顯著長于非老年患者。老年患者由于機體免疫力降低,常合并基礎疾病,部分老年患者感染新冠病毒后容易并發重癥肺炎、急性呼吸窘迫綜合征、凝血功能障礙等嚴重并發癥,治療難度和重癥風險更大,死亡率更高[8-9]。此次方艙醫院運行初期由于收治任務重,患者篩查分檢工作難,入院的老年患者由于基礎疾病或呼吸道癥狀重,占用大量醫護資源,對本來數量就緊張的醫療隊員提出了很大挑戰,由此帶來的醫療風險也相對較大。因此在方艙醫院管理中一定要把好入院分診這一關口,對于高齡、合并基礎疾病多、缺乏特殊用藥或生活不能自理的患者一定要預檢分診到定點醫院進行隔離治療,國展中心方艙醫院轉院患者中老年患者占62.5%。合并基礎病方面,本次方艙醫院合并基礎疾病患者比例為16.0%,合并高血壓和糖尿病最多見,而心血管疾病占比高達81.3%。早期研究[10]發現合并基礎疾病患者轉重的危險因素將會為臨床救治工作帶來很大阻礙。此外,糖尿病患者感染新冠后由于免疫、炎癥反應,血糖波動較大,免疫功能失調,病情進展和轉重率高[11-12],因此此類患者的血糖管理更需要精細化[13]。這就要求方艙醫院運行管理中一方面要重視此類患者的查房及交班記錄,另一方面要注意心血管和內分泌專科醫生以及專用藥物的配備,實踐中發現很多患者到方艙醫院沒有自備足夠的基礎疾病藥品,甚至很多患者平時缺乏醫學檢查,來到方艙醫院才發現患有高血壓疾病。方艙醫院內由于患者數量多,環境條件相對較差,夜間光照影響睡眠等諸多因素,加之確診新冠帶來的心理壓力,導致的精神疾病患者必須引起重視。我們醫療隊在運行管理過程中,注重心理干預和調節,開通24 h心理服務熱線,配備心身科專業隊員入艙實地指導治療,效果顯著。方艙醫院大部分患者為無癥狀感染者,輕癥患者僅占28.5%,而輕癥患者最多見的臨床癥狀為發熱、咳嗽,其次為乏力、呼吸困難等呼吸道癥狀,與相關報道[14]一致,而艙內用藥也大多用于解熱、鎮痛、止咳等呼吸道感染的對癥治療。新冠患者的胸部影像是以肺部磨玻璃影和實變影為主要特征[15],此次方艙醫院收治患者中CT檢查的影像學結果提示大部分患者無肺部受累,僅極少部分患者存在肺部炎癥感染表現,與最近報道奧密克戎毒株的毒力減弱相符[16-17]。
動態清零是當前中國新冠肺炎疫情防控的總方針,是指在現在情況下,當出現本土病例時所采取的綜合防控措施的一種集成,是快速撲滅的總結和提煉,也是現階段中國疫情防控的一個最佳選擇和總方針。在此方針的基礎上,廣泛開展社區核酸篩查和疫苗接種工作是抗疫工作的前提和有力補充。此次國展中心方艙醫院收治患者的來源中,43.6%來自社區核酸篩查,證明了社區篩查對早發現、快速圍堵、切斷傳播這一動態清零的核心理念尤其重要,必須堅持貫徹執行。中國人口眾多,地區發展水平不平衡,對新冠疫苗的接種工作提出了巨大挑戰。接種新冠病毒疫苗可以獲得相應免疫力,從而有效降低發病、重癥和死亡的風險,控制新冠病毒的傳播和流行[18]。本研究數據分析提示,未接種新冠疫苗患者中輕癥型比例顯著高于接種疫苗患者,并且未接種疫苗的60歲以上老年患者住院時間顯著長于方艙醫院患者和接種疫苗的老年患者的平均住院時間,這表明接種新冠疫苗的必要性和迫切性。國展中心方艙醫院收治的患者新冠疫苗接種率為76.5%,與已發表研究[19]中我國新冠疫苗的總體接種意愿91.3%相比較低,離全民接種這一目標更是還有很大差距,說明實際接種行為與接種意愿還存在現實差異。未接種患者中以10歲以下的兒童和60歲以上的老年人居多,接種率分別僅為25.0%和63.9%。2021年一項對北京通州區中小學生家長疫苗接種意愿研究顯示,僅65.4%的家長愿意為孩子接種新冠疫苗,低于我國總體接種意愿,且農村地區的家長接種意愿更高,可能與對疫苗的有效性和安全性的擔憂小于城區有關[20]。這一年齡段人群將是下一步疫苗接種工作的重點,未接種或未全程接種新冠病毒疫苗者,尤其是3~11歲及60歲以上易感人群,建議盡早接種疫苗。
此次上海疫情面對奧密克戎毒株的洶涌來襲,傳播迅速,感染人數非常巨大。針對奧密克戎毒株的大型方艙醫院感控工作缺乏行之有效、經過驗證的經驗體會和具體規范,此外,大型方艙醫院還存在醫護患比嚴重不足、患者密度大、場地大、缺乏有效物理屏障等防疫缺陷,因此我們在開展工作前就反復強調感控工作的重要性和加強感控能力培訓,不斷加強全體隊員的思想建設工作。開展工作后,感控小組在上級感控監督指導部門的指引下,不斷規范補充感控流程和規定,最終形成針對新冠病毒奧密克戎毒株的感控防護制度,利用休息時間堅持開展感控培訓講座和相關內容考核,加強方艙感控硬件和軟件建設,堅持醫療隊員和第三方工作人員分區出入制度,利用好監督檢查機制,始終把感控工作放在首位。根據醫療隊醫護隊員的抗疫及醫療經驗、專業特點、實際工作量等因素,合理有效地進行醫護隊員分組,形成戰斗力高、便于管理、調整靈活的醫護單元小組。根據感控特點和要求,以往方艙內一個班次工作時間為4~6 h,面對此次傳播力超強的奧密克戎,為了加強個人防護減少感染風險,醫療隊嚴格堅持每班4 h每天6班次的排班模式,最終也確保了全體醫療隊員零感染的底線要求。此次國展中心方艙醫院作為全國最大的方艙醫院緊急開展運行,面對大規模收治的患者,投入的本地和外地醫護人員數量嚴重不足,護患比更是只有常規方艙醫院標準的1/4,面對患者密度大、工作強度高、感控任務重的情況,制定合理有效的流程規范非常重要。針對大型方艙醫院初期入院篩查困難、軟硬件設施不到位、患者數量大、基礎疾病多、突發狀況和安全隱患風險大的情況,醫療隊和方艙信息部門緊密協作,加強方艙醫護工作站和病歷系統軟件培訓,工作早期積極組織講座答疑,在醫護實際工作中遇到的問題邊發現邊解決,不斷完善系統軟件功能,提高醫護工作效率。針對方艙收治患者數量龐大,突發情況和應急情況多的特點,制定系列應急處置流程和預案,加強醫護小組急救措施和應急處置預案的培訓和演練,確保醫療護理質量和安全。
此次我們醫療隊作為首批接管國展中心大型方艙醫院的醫療機構之一,采取一系列管理策略,逐步探索并建立適應超大規模方艙醫院的醫護工作管理模式,確保了零感染、零糾紛、零死亡的工作底線和要求,階段工作取得初步成效,同時分析此次方艙醫院收治患者臨床數據,為新冠防治工作的有效進行起到了積極的作用,同時也為后續防疫工作的實施提供一定參考。
利益沖突:無。
作者貢獻:劉金成負責方艙醫療隊工作管理、文章整體設計和修訂;韓躍虎負責方艙醫療工作開展、文章撰寫和修改;左茜、張帥帥、薛武超、秦聰、李瑞娜、李姚負責方艙醫療工作和經驗總結、數據整理和統計。