引用本文: 卞承禹, 黃晶晶, 慕廣, 張文豪, 吳衛兵, 夏陽, 袁梅, 陳亮, 王俊. 上肺特異側枝靜脈的三維影像研究及其臨床意義. 中國胸心血管外科臨床雜志, 2022, 29(7): 859-866. doi: 10.7507/1007-4848.202203009 復制
隨著低劑量CT在常規體檢中的廣泛普及,肺結節檢出率逐步提高[1]。對需要外科干預的低侵襲性肺結節病灶,亞肺葉切除術由于具有不劣于肺葉切除術的腫瘤學效果,且可以保留更多的肺組織,正逐漸成為早期肺癌重要術式選擇[2]。亞肺葉切除術包括肺段切除術、擴大肺段切除術、肺段聯合肺亞段切除術、聯合亞段切除術以及楔形切除術等多種手術方式,其選擇依據涉及病灶的直徑、深度和橫向毗鄰解剖結構等諸多因素[3-4]。得益于三維重建技術和切緣模擬技術的日益成熟,以“病灶為中心,肺亞段為解剖單元”的手術理念推動亞肺葉切除術向更加精準的方向發展[5]。肺靜脈由于其逐級分支間插于肺段或亞段間的分布特征,而在靶區規劃、段間平面判斷等方面起到了重要作用[6]。與簡單的段間病灶或段內病灶相比,鄰近多亞段間肺靜脈的病灶由于毗鄰解剖結構繁多,其術前規劃更為復雜、術中操作難度與風險也明顯增加[7]。本研究通過三維重建技術,分析一類位于上肺幾個鄰近肺段之間的特異側枝靜脈(VL),在雙側上肺的發生率、回流規律,以及結節與VL的相對位置關系對于手術方式選擇的影響。
1 資料與方法
1.1 臨床資料
回顧性分析2017—2020年在南京醫科大學第一附屬醫院接受治療1 515例早期肺癌患者的臨床資料,其中男 524 例、女 991 例,平均年齡(54.27±11.43)歲。右上肺712例、左上肺803例。納入標準:術前接受胸部增強CT檢查。排除標準:(1)CT圖像模糊不清;(2)三維CT支氣管血管成像(three-dimensional computed tomography bronchography and angiography,3D CTBA)不能清晰地顯示支氣管、血管亞段分支;(3)病歷資料不全。
1.2 上肺特異側枝靜脈的定義
結合既往文獻與本中心臨床經驗,本研究將雙側上肺特異VL定義為:右上肺走行于S1、S2和S3肺段之間,左上肺走行于S1+2和S3肺段之間,鄰近于幾支段間靜脈的匯合中央處發出,參與鄰近諸段的靜脈血液引流。結合增強CT圖像和3D CTBA圖像觀察判定VL。肺段解剖結構命名參照《胸腔鏡解剖性肺亞段切除手術圖譜》[8]中支氣管、血管命名法。
1.3 側枝靜脈影響術式選擇的驗證方法
基于上述對于上肺特異VL的定義,本研究進一步回顧入組患者中完成胸腔鏡下左上肺手術患者113例,其中男39例(34.51%)、女74例(65.49%),年齡23~80(54.31±11.52)歲。納入標準:(1)左上肺存在VL;(2)行左上肺肺葉切除或亞肺葉切除的早期肺癌病例。排除標準:(1)結節直徑>2 cm;(2)多發結節;(3)術前影像學檢查、穿刺病例檢查提示有局部胸膜侵犯、淋巴浸潤、遠處轉移可能;(4)結節不完全位于左上肺固有段內;(5)3D CTBA不能清晰地顯示2 cm模擬切緣球。其中模擬切緣使用DeepInsight軟件中球形模擬器,以病灶中心為模擬切緣球的中心,病灶最大徑/2+2 cm為切緣球的半徑設置模擬切緣范圍。本研究設置切緣距離為2 cm,多視角觀察,明確2 cm切緣球所涉及的相關解剖結構[9-10]。
回顧3D CTBA資料,根據VL是否位于結節2 cm切緣球范圍內,將此113例分為涉及VL組(A組,39例)與未涉及VL組(B組,74例);根據肺結節在肺野中的深度,將此113例分為內、中帶組(C組,32例)與外帶組(D組,81例),將A組的39例分為內、中帶組(E組,16例)與外帶組(F組,23例)。綜合分析結節直徑,2 cm切緣球是否涉及VL,以及結節深度比對術式選擇的影響。
肺結節在肺野中的深度以本中心所提出的結節距肺門深度百分比作為判定標準,具體計算方法如下:在以CT數據三維重建的模型中,取結節所在肺葉的葉支氣管開口中心為O點,取結節中心為A點,連接OA并向外延長,與臟層胸膜相交于B點,則BA/BO的數值可近似代表結節距離肺門的深度比,從0~100.0%表示結節由緊貼胸膜逐漸深入至肺門中心。深度比0~33.3%、33.4%~66.6%、66.7%~100.0%的結節分別定義為外帶、中帶、內帶結節[11]。
1.4 增強CT和三維重建方法
使用西門子第一代64排雙源CT(Somatom Definition),Medrad高壓注射器,碘酰胺370(拜耳醫療保健有限公司)行增強CT掃描。患者取仰臥位,肘前靜脈置入20~22 G靜脈針。使用團注試驗法獲取時間-密度曲線后設定掃描初時刻和對比劑用量。掃描層設置在主肺動脈窗水平,以5 mL/s的速度注射造影劑20 mL,隨后以同樣的速度注射生理鹽水20 mL。注射造影劑6 s后,對上述層進行同層掃描。掃描20次,掃描間隔2 s。當主動脈密度開始下降時,停止掃描。利用這些數據繪制肺動脈和升主動脈內的時間-密度曲線。同時記錄肺動靜脈密度差最大時相。再次設定掃描開始時間和造影劑劑量,以5 mL/s的速度注射造影劑,然后以相同的速度注射生理鹽水20 mL。上述設置使病變、肺動脈和主動脈均得以呈現,且肺靜脈的CT值高于肺動脈的CT值,從而可在一次掃描中顯示肺動脈、肺靜脈及其分支。準直器厚度0.6 mm,重建層厚1 mm,層間距1 mm,掃描全肺野。在掃描過程中,患者按照指示屏住呼吸。注意預防碘造影劑引起的潛在不良反應。圖像采集后,將CT圖像導入三維可視化軟件DeepInsight進行支氣管、血管重建。
1.5 統計學分析
使用 R 4.1.2 進行統計學分析。符合正態分布的計量資料以均數±標準差(±s)描述,非正態分布的以中位數(上下四分位數)[M(P25,P75)]描述;滿足正態分布、方差齊性的計量資料比較采用t檢驗,不滿足正態分布、方差齊性要求采用Mann-Whitney U檢驗。計數資料以頻數和百分比(%)表示;組間比較采用χ2檢驗或 Fisher 確切概率法。雙側P≤0.05為差異有統計學意義。通過多因素logistic回歸分析術式選擇的影響因素。采用受試者工作特征(receiver operating characteristic,ROC) 曲線分析該多因素 logistic回歸模型對術前規劃的輔助價值。
1.6 倫理審查
本研究經南京醫科大學第一附屬醫院倫理審查委員會批準,批準號:2019-SR-450、2019-SR-451。
2 結果
2.1 側枝靜脈在雙側上肺的發生率及其回流規律
VL在雙側上肺總體發生率為72.7%(1 102/1 515),在右上肺發生率為68.0%(484/712),在左上肺發生率為77.0%(618/8 030),左側顯著高于右側(P<0.05)。左上肺無中心靜脈型病例中VL發生率低于半中心靜脈型和中心靜脈型(36/97 vs. 582/706,P<0.05)。右上肺無中心靜脈型病例中VL發生率顯著低于半中心靜脈型和中心靜脈型(2/55 vs. 482/657,P<0.05)。左側VL主要回流至V1+2b和V1+2c匯合后形成的主干V1+2b+c(389/618,62.9%),右側VL主要回流至V2a和V2b匯合后形成的主干V2a+b(327/484,67.6%)。根據雙上肺不同中心靜脈分型,VL回流歸屬也存在差異。
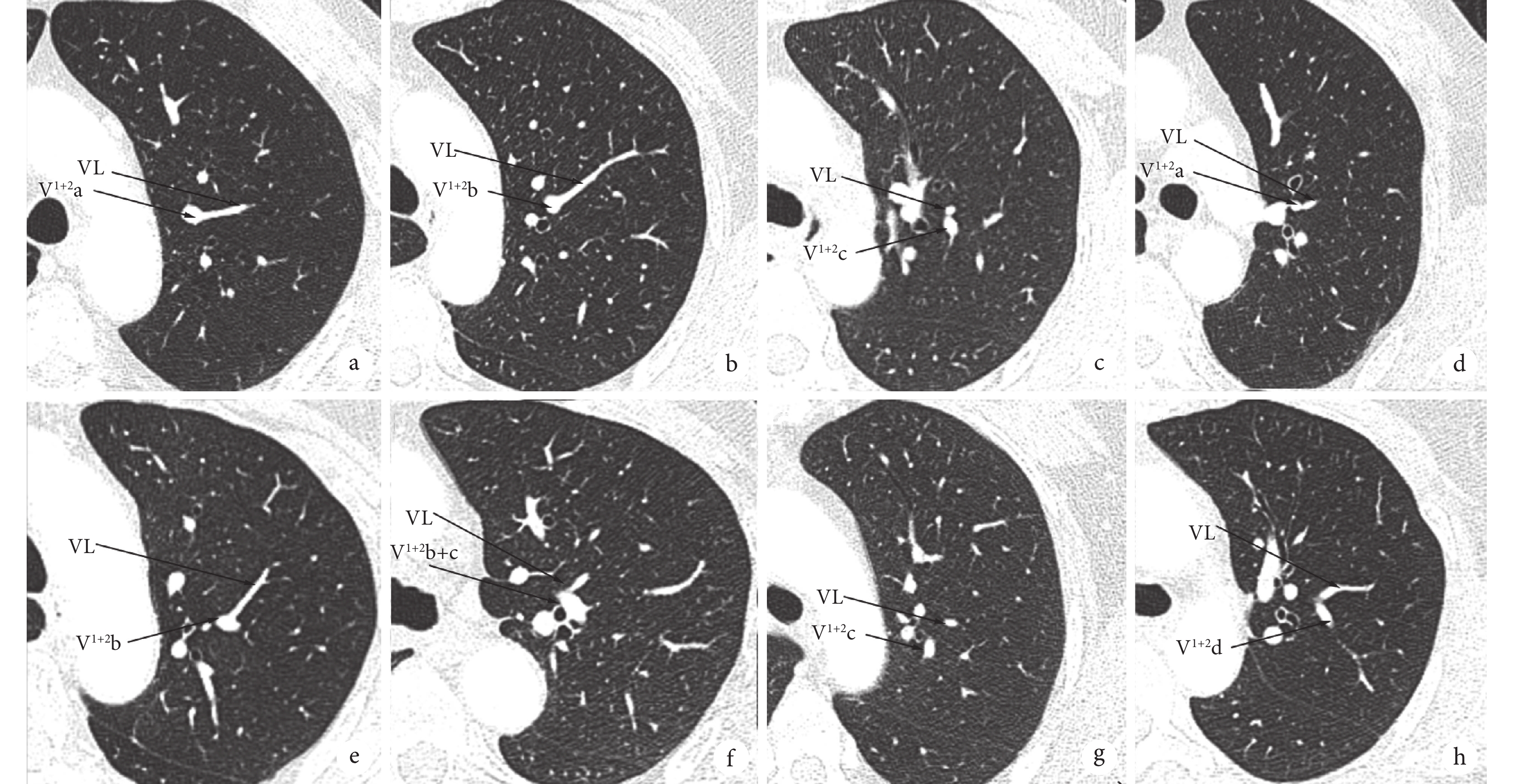
左上肺存在VL的618例患者中,無中心靜脈型36例,其中3例VL回流至V1+2a(3/36,8.3%),14例VL回流至V1+2b(14/36,38.9%),19例VL回流至V1+2c(19/36,52.8%),未見VL回流至V1+2d。618例患者中,半中心靜脈型、中心靜脈型總計582例,其中16例VL回流至V1+2a(16/582,2.8%),88例VL回流至V1+2b(88/582,15.1%),389例VL回流至V1+2b+c(389/582,66.8%),81例VL回流至V1+2c(81/582,13.9%),8例VL回流至V1+2d(8/582,1.4%);見圖1~2。

a~c:無中心靜脈型,VL依次回流至V1+2a、V1+2b、V1+2c;d~h:中心靜脈型、半中心靜脈型,VL依次回流至V1+2a、V1+2b、V1+2b+c、V1+2c、V1+2d;VL:側枝靜脈

a~c:無中心靜脈型,VL 依次回流至V1+2a、V1+2b、V1+2c;d~h:中心靜脈型、半中心靜脈型,VL 依次回流至V1+2a、V1+2b、V1+2b+c、V1+2c、V1+2d;VL:側枝靜脈
右上肺存在VL的484例患者中,無中心靜脈型2例,其中1例VL回流至V1a+V2a(1/2,50%),1例VL回流至V2b(1/2,50%)。484例患者中,半中心靜脈型、中心靜脈型總計482例,其中34例VL回流至V1a(34/482,7.1%),23例VL回流至V1a+V2a(23/482,4.8%),81例VL回流至V2a(81/482,16.8%),327例VL回流至V2a +b(327/482,67.8%),15例VL回流至V2b(15/482,3.1%),2例VL回流至V2c(8/482,0.4%);見圖3~4。

a~b:無中心靜脈型,VL 依次回流至V1a+V2a、V2b;c~h:中心靜脈型、半中心靜脈型,VL 依次回流至V1a、V1a+V2a、V2a、V2a+b、V2b、V2c;VL:側枝靜脈

a~b:無中心靜脈型,VL 依次回流至V1a+V2a、V2b;c~h:中心靜脈型、半中心靜脈型,VL 依次回流至V1a、V1a+V2a、V2a、V2a+b、V2b、V2c;VL:側枝靜脈
2.2 結節與側枝靜脈的相對位置關系對于手術方式選擇的影響
2.2.1 臨床資料
根據前述納入標準進一步篩選出113例左上肺存在VL且接受左上肺手術的患者。肺結節直徑5.00~20.00(8.00,13.00)mm;行肺段及肺亞段切除術78例(69.03%,含4例擴大切除術,不含固有段切除術),固有段切除術15例(13.27%),左上肺切除術6例(5.31%),肺楔形切除術14例(12.39%)。考慮到固有段與右上肺的對稱關系以及所切除的亞肺段數量,將行固有段切除術和左上肺切除術的21例合并為擴大切除組分析,而將行肺段、肺亞段切除術和肺楔形切除術的92例合并為局限切除組分析。
2.2.2 結節位置對術式選擇的影響
經χ2檢驗,結節的2 cm模擬切緣球是否涉及VL對于術式選擇有明顯影響(P<0.001);病灶在肺野的深度位置對于術式選擇有明顯影響(P=0.030);結節切緣球涉及VL時,相較于外帶病灶,位于肺中帶和內帶病灶行擴大切除的比例更高,但差異無統計學意義(43.8% vs. 34.8%,P>0.05);見表1。

2.2.3 多因素 logistic 回歸分析
回顧此113例病歷資料,以術式為應變量,建立多因素 logistic 回歸分析,綜合分析結節直徑、切緣球是否涉及VL以及結節深度比對術式選擇的影響。模型結果顯示結節直徑、切緣球是否涉及VL以及結節深度比均是術式選擇的獨立影響因素(P<0.05);見表2。繪制此模型的ROC,以檢驗該模型的預測準確度。模型對應的曲線下面積(area under the curve,AUC)=0.881,表明該多因素 logistic回歸模型對術前規劃具有較高的輔助價值;見圖5。


3 討論
本研究利用三維重建技術對上肺特異VL在雙側上肺的發生率、回流規律進行了分析,并進一步結合臨床實際,探討了結節與這一類特異VL的相對位置關系對于手術方式選擇的影響。建立多因素 logistic 回歸模型,綜合分析結節直徑、切緣球是否涉及VL以及結節深度位置對術式選擇的影響。模型結果顯示結節直徑、切緣球是否涉及VL,以及結節深度位置均是術式選擇的獨立影響因素(P<0.05),此模型ROC的AUC值為0.881。對于指導胸外科醫生進行精確的術前規劃、安全的術中操作具有一定的臨床參考價值。
隨著三維重建技術的發展,在既往傳統解剖學的基礎上,影像解剖學作為一個新的概念也逐漸成為熱點。精確的影像重建可以為肺外科手術提供精準的術前規劃和術中指導,也推動著亞肺葉切除術發展至更精確的亞段甚至次亞段解剖單元[5]。肺靜脈由于其逐級分支間插于肺段或亞段間的分布特征,而在靶區規劃、段間平面判斷等方面起到了重要作用。眾多學者[12-15]基于實體解剖和影像重建技術對雙上肺靜脈的分類也做了詳細分析。然而在目前的分型系統中,雙上肺有一支位置特異的靜脈并沒有得到足夠的重視。該靜脈分支在右上肺通常走行于S1、S2、S3三個肺段中央,在左上肺通常走行于S1+2、S3兩個肺段的中央。Yamashita將右上肺的該靜脈分支命名為V1l(lateral),而在左上肺未對該支靜脈命名,本研究結果顯示該支靜脈在雙上肺都存在,且左上肺VL發生率高于右上肺。基于該靜脈在雙側往往都是鄰近于幾支段間靜脈的會合中央發出,且位于幾個鄰近肺段之間的特點,建議在左右側都將該靜脈命名為VL(lateral)靜脈[16]。雖然VL目前尚未得到解剖學家、影像科和胸外科醫師的討論而得出一致的定義,其回流歸屬也存在多樣性,但其本質是分布于多個鄰近亞段之間的交界處,在解剖位置上更接近于B1+2和B3ai支氣管。本研究結果顯示VL發生率與上肺靜脈的大體分布類型有關,雙上肺中VL主要分布于半中心靜脈型和中心靜脈型,這與VL走行于肺實質中央的特點相符合。左側VL主要回流至V1+2b和V1+2c匯合后形成的主干V1+2b+c(389/618,62.9%),右側VL主要回流至V2a和V2b匯合后形成的主干V2a+b(327/484,67.6%),而VL回流歸屬多樣性的結果也提示我們其多段間分布的特點。
在肺段及肺亞段切除術中,一般認為在腫瘤學根治前提下保留段間或亞段間靜脈可以更好地保護保留肺段的血液回流,避免術后咯血。然而與普通段間靜脈不同的是,VL引流往往涉及多個鄰近亞段,靠近VL的結節切除范圍涉及的解剖單元也更多,在處理靠近VL的結節時,VL往往難以保留。VL位于肺實質中央,手術處理過程中需要游離解剖的行程較長,可以根據術前三維重建確定VL回流歸屬后,先沿歸屬靜脈盡量向遠端游離,如能解剖確認VL,可先行結扎切斷;如VL游離困難,則可以先切斷靶段支氣管后,牽拉提起支氣管遠端殘端,在支氣管殘端后下方再沿靜脈向遠端分離往往可以較為滿意地暴露VL,并行妥善結扎切斷,這個過程也更充分地拓展了段間交界面的游離,使得切緣更為充分,壓榨更少。
本研究發現,當結節的2 cm切緣球未涉及VL,結節位于肺外帶時,局限性切除的實現率較高;當結節的2 cm切緣球涉及了VL,結節位于肺內、中帶時,往往需要行擴大范圍的切除手術方能保證手術切緣。這提示目前亞肺葉切除手術處理影像學呈現低侵襲性的肺結節時,除直徑因素,還需要結合病灶的位置因素,依據3D CTBA中結節與鄰近解剖結構的關系進行精準的術前規劃。鄰近側枝靜脈的病灶手術方式相對更為復雜,需要制訂更精確的個體化方案。本組手術病例中,有2例采用了劈裂式聯合亞段切除手術處理鄰近VL的病灶,目前多個會議中也有報道 “劈裂式聯合亞段切除術”的應用,這種手術方式體現了肺亞段手術單元的精準性,而其遠期效果有待進一步觀察[17]。
臨床上與VL類似的多亞段間靜脈還包括V6b、V1+2d等。V6b1走行于S6b和S6c之間,V6b2走行于S6b和S9a之間,V6b3走行于S6b和S8a之間;V1+2d1走行于S1+2c和S3a之間,V1+2d2走行于S1+2c和S4a之間,V1+2d3走行于S3a和S4a之間。鄰近這些靜脈的病灶在手術規劃上也需要結合病灶侵襲性、直徑、深度位置和三維解剖結構毗鄰特點具體分析后謹慎制訂,位置深、鄰近多段間靜脈的結節,即使行劈裂式手術切緣往往也比較局限,需要行完整的肺葉切除術方能保證安全的切緣。
目前機器學習、計算機視覺等人工智能技術與醫學的聯系愈發緊密,在醫學圖像處理、智能診斷等領域為臨床診療提供較大幫助[18]。本研究中,可以利用大量二維、三維影像數據,結合無監督學習等深度學習方法,高效準確地判斷VL是否存在、是否在切緣球范圍內以及回流規律[19]。再者,若擴大樣本量,改進算法,在整合了診斷和術前規劃輔助功能的三維重建軟件中,進一步使用人工智能優化的算法可以綜合病灶信息、個體化解剖信息、腫瘤學切緣標準等指導手術[20]。
本研究尚存在一些缺陷。雙側VL的定義尚有待解剖學、影像學和外科學專家的一致討論獲得精準定義,本研究僅基于三維重建影像分析,其回流歸屬的多樣性也有待在實體解剖中驗證。作為回顧性研究,僅納入了左上肺手術病例,回顧的終點為最終的手術方式,而考慮到臨床實際情況,在術前可能因為患者本人的基礎情況以及個人意愿調整術式選擇,在術中可能因外科醫師的操作失誤、快速病理結果而臨時改變術式規劃,因此可能對最終的結論產生影響。其次,術中切斷VL,是否會對術后并發癥以及術后恢復產生影響,目前研究尚不明確。
利益沖突:無。
作者貢獻:王俊負責論文總體設想和設計;卞承禹負責部分數據整理、論文撰寫和統計分析;黃晶晶、慕廣、張文豪負責部分數據整理;吳衛兵、夏陽、袁梅負責論文部分設計;陳亮負責論文審閱與修改。
隨著低劑量CT在常規體檢中的廣泛普及,肺結節檢出率逐步提高[1]。對需要外科干預的低侵襲性肺結節病灶,亞肺葉切除術由于具有不劣于肺葉切除術的腫瘤學效果,且可以保留更多的肺組織,正逐漸成為早期肺癌重要術式選擇[2]。亞肺葉切除術包括肺段切除術、擴大肺段切除術、肺段聯合肺亞段切除術、聯合亞段切除術以及楔形切除術等多種手術方式,其選擇依據涉及病灶的直徑、深度和橫向毗鄰解剖結構等諸多因素[3-4]。得益于三維重建技術和切緣模擬技術的日益成熟,以“病灶為中心,肺亞段為解剖單元”的手術理念推動亞肺葉切除術向更加精準的方向發展[5]。肺靜脈由于其逐級分支間插于肺段或亞段間的分布特征,而在靶區規劃、段間平面判斷等方面起到了重要作用[6]。與簡單的段間病灶或段內病灶相比,鄰近多亞段間肺靜脈的病灶由于毗鄰解剖結構繁多,其術前規劃更為復雜、術中操作難度與風險也明顯增加[7]。本研究通過三維重建技術,分析一類位于上肺幾個鄰近肺段之間的特異側枝靜脈(VL),在雙側上肺的發生率、回流規律,以及結節與VL的相對位置關系對于手術方式選擇的影響。
1 資料與方法
1.1 臨床資料
回顧性分析2017—2020年在南京醫科大學第一附屬醫院接受治療1 515例早期肺癌患者的臨床資料,其中男 524 例、女 991 例,平均年齡(54.27±11.43)歲。右上肺712例、左上肺803例。納入標準:術前接受胸部增強CT檢查。排除標準:(1)CT圖像模糊不清;(2)三維CT支氣管血管成像(three-dimensional computed tomography bronchography and angiography,3D CTBA)不能清晰地顯示支氣管、血管亞段分支;(3)病歷資料不全。
1.2 上肺特異側枝靜脈的定義
結合既往文獻與本中心臨床經驗,本研究將雙側上肺特異VL定義為:右上肺走行于S1、S2和S3肺段之間,左上肺走行于S1+2和S3肺段之間,鄰近于幾支段間靜脈的匯合中央處發出,參與鄰近諸段的靜脈血液引流。結合增強CT圖像和3D CTBA圖像觀察判定VL。肺段解剖結構命名參照《胸腔鏡解剖性肺亞段切除手術圖譜》[8]中支氣管、血管命名法。
1.3 側枝靜脈影響術式選擇的驗證方法
基于上述對于上肺特異VL的定義,本研究進一步回顧入組患者中完成胸腔鏡下左上肺手術患者113例,其中男39例(34.51%)、女74例(65.49%),年齡23~80(54.31±11.52)歲。納入標準:(1)左上肺存在VL;(2)行左上肺肺葉切除或亞肺葉切除的早期肺癌病例。排除標準:(1)結節直徑>2 cm;(2)多發結節;(3)術前影像學檢查、穿刺病例檢查提示有局部胸膜侵犯、淋巴浸潤、遠處轉移可能;(4)結節不完全位于左上肺固有段內;(5)3D CTBA不能清晰地顯示2 cm模擬切緣球。其中模擬切緣使用DeepInsight軟件中球形模擬器,以病灶中心為模擬切緣球的中心,病灶最大徑/2+2 cm為切緣球的半徑設置模擬切緣范圍。本研究設置切緣距離為2 cm,多視角觀察,明確2 cm切緣球所涉及的相關解剖結構[9-10]。
回顧3D CTBA資料,根據VL是否位于結節2 cm切緣球范圍內,將此113例分為涉及VL組(A組,39例)與未涉及VL組(B組,74例);根據肺結節在肺野中的深度,將此113例分為內、中帶組(C組,32例)與外帶組(D組,81例),將A組的39例分為內、中帶組(E組,16例)與外帶組(F組,23例)。綜合分析結節直徑,2 cm切緣球是否涉及VL,以及結節深度比對術式選擇的影響。
肺結節在肺野中的深度以本中心所提出的結節距肺門深度百分比作為判定標準,具體計算方法如下:在以CT數據三維重建的模型中,取結節所在肺葉的葉支氣管開口中心為O點,取結節中心為A點,連接OA并向外延長,與臟層胸膜相交于B點,則BA/BO的數值可近似代表結節距離肺門的深度比,從0~100.0%表示結節由緊貼胸膜逐漸深入至肺門中心。深度比0~33.3%、33.4%~66.6%、66.7%~100.0%的結節分別定義為外帶、中帶、內帶結節[11]。
1.4 增強CT和三維重建方法
使用西門子第一代64排雙源CT(Somatom Definition),Medrad高壓注射器,碘酰胺370(拜耳醫療保健有限公司)行增強CT掃描。患者取仰臥位,肘前靜脈置入20~22 G靜脈針。使用團注試驗法獲取時間-密度曲線后設定掃描初時刻和對比劑用量。掃描層設置在主肺動脈窗水平,以5 mL/s的速度注射造影劑20 mL,隨后以同樣的速度注射生理鹽水20 mL。注射造影劑6 s后,對上述層進行同層掃描。掃描20次,掃描間隔2 s。當主動脈密度開始下降時,停止掃描。利用這些數據繪制肺動脈和升主動脈內的時間-密度曲線。同時記錄肺動靜脈密度差最大時相。再次設定掃描開始時間和造影劑劑量,以5 mL/s的速度注射造影劑,然后以相同的速度注射生理鹽水20 mL。上述設置使病變、肺動脈和主動脈均得以呈現,且肺靜脈的CT值高于肺動脈的CT值,從而可在一次掃描中顯示肺動脈、肺靜脈及其分支。準直器厚度0.6 mm,重建層厚1 mm,層間距1 mm,掃描全肺野。在掃描過程中,患者按照指示屏住呼吸。注意預防碘造影劑引起的潛在不良反應。圖像采集后,將CT圖像導入三維可視化軟件DeepInsight進行支氣管、血管重建。
1.5 統計學分析
使用 R 4.1.2 進行統計學分析。符合正態分布的計量資料以均數±標準差(±s)描述,非正態分布的以中位數(上下四分位數)[M(P25,P75)]描述;滿足正態分布、方差齊性的計量資料比較采用t檢驗,不滿足正態分布、方差齊性要求采用Mann-Whitney U檢驗。計數資料以頻數和百分比(%)表示;組間比較采用χ2檢驗或 Fisher 確切概率法。雙側P≤0.05為差異有統計學意義。通過多因素logistic回歸分析術式選擇的影響因素。采用受試者工作特征(receiver operating characteristic,ROC) 曲線分析該多因素 logistic回歸模型對術前規劃的輔助價值。
1.6 倫理審查
本研究經南京醫科大學第一附屬醫院倫理審查委員會批準,批準號:2019-SR-450、2019-SR-451。
2 結果
2.1 側枝靜脈在雙側上肺的發生率及其回流規律
VL在雙側上肺總體發生率為72.7%(1 102/1 515),在右上肺發生率為68.0%(484/712),在左上肺發生率為77.0%(618/8 030),左側顯著高于右側(P<0.05)。左上肺無中心靜脈型病例中VL發生率低于半中心靜脈型和中心靜脈型(36/97 vs. 582/706,P<0.05)。右上肺無中心靜脈型病例中VL發生率顯著低于半中心靜脈型和中心靜脈型(2/55 vs. 482/657,P<0.05)。左側VL主要回流至V1+2b和V1+2c匯合后形成的主干V1+2b+c(389/618,62.9%),右側VL主要回流至V2a和V2b匯合后形成的主干V2a+b(327/484,67.6%)。根據雙上肺不同中心靜脈分型,VL回流歸屬也存在差異。
左上肺存在VL的618例患者中,無中心靜脈型36例,其中3例VL回流至V1+2a(3/36,8.3%),14例VL回流至V1+2b(14/36,38.9%),19例VL回流至V1+2c(19/36,52.8%),未見VL回流至V1+2d。618例患者中,半中心靜脈型、中心靜脈型總計582例,其中16例VL回流至V1+2a(16/582,2.8%),88例VL回流至V1+2b(88/582,15.1%),389例VL回流至V1+2b+c(389/582,66.8%),81例VL回流至V1+2c(81/582,13.9%),8例VL回流至V1+2d(8/582,1.4%);見圖1~2。

a~c:無中心靜脈型,VL依次回流至V1+2a、V1+2b、V1+2c;d~h:中心靜脈型、半中心靜脈型,VL依次回流至V1+2a、V1+2b、V1+2b+c、V1+2c、V1+2d;VL:側枝靜脈

a~c:無中心靜脈型,VL 依次回流至V1+2a、V1+2b、V1+2c;d~h:中心靜脈型、半中心靜脈型,VL 依次回流至V1+2a、V1+2b、V1+2b+c、V1+2c、V1+2d;VL:側枝靜脈
右上肺存在VL的484例患者中,無中心靜脈型2例,其中1例VL回流至V1a+V2a(1/2,50%),1例VL回流至V2b(1/2,50%)。484例患者中,半中心靜脈型、中心靜脈型總計482例,其中34例VL回流至V1a(34/482,7.1%),23例VL回流至V1a+V2a(23/482,4.8%),81例VL回流至V2a(81/482,16.8%),327例VL回流至V2a +b(327/482,67.8%),15例VL回流至V2b(15/482,3.1%),2例VL回流至V2c(8/482,0.4%);見圖3~4。

a~b:無中心靜脈型,VL 依次回流至V1a+V2a、V2b;c~h:中心靜脈型、半中心靜脈型,VL 依次回流至V1a、V1a+V2a、V2a、V2a+b、V2b、V2c;VL:側枝靜脈

a~b:無中心靜脈型,VL 依次回流至V1a+V2a、V2b;c~h:中心靜脈型、半中心靜脈型,VL 依次回流至V1a、V1a+V2a、V2a、V2a+b、V2b、V2c;VL:側枝靜脈
2.2 結節與側枝靜脈的相對位置關系對于手術方式選擇的影響
2.2.1 臨床資料
根據前述納入標準進一步篩選出113例左上肺存在VL且接受左上肺手術的患者。肺結節直徑5.00~20.00(8.00,13.00)mm;行肺段及肺亞段切除術78例(69.03%,含4例擴大切除術,不含固有段切除術),固有段切除術15例(13.27%),左上肺切除術6例(5.31%),肺楔形切除術14例(12.39%)。考慮到固有段與右上肺的對稱關系以及所切除的亞肺段數量,將行固有段切除術和左上肺切除術的21例合并為擴大切除組分析,而將行肺段、肺亞段切除術和肺楔形切除術的92例合并為局限切除組分析。
2.2.2 結節位置對術式選擇的影響
經χ2檢驗,結節的2 cm模擬切緣球是否涉及VL對于術式選擇有明顯影響(P<0.001);病灶在肺野的深度位置對于術式選擇有明顯影響(P=0.030);結節切緣球涉及VL時,相較于外帶病灶,位于肺中帶和內帶病灶行擴大切除的比例更高,但差異無統計學意義(43.8% vs. 34.8%,P>0.05);見表1。

2.2.3 多因素 logistic 回歸分析
回顧此113例病歷資料,以術式為應變量,建立多因素 logistic 回歸分析,綜合分析結節直徑、切緣球是否涉及VL以及結節深度比對術式選擇的影響。模型結果顯示結節直徑、切緣球是否涉及VL以及結節深度比均是術式選擇的獨立影響因素(P<0.05);見表2。繪制此模型的ROC,以檢驗該模型的預測準確度。模型對應的曲線下面積(area under the curve,AUC)=0.881,表明該多因素 logistic回歸模型對術前規劃具有較高的輔助價值;見圖5。


3 討論
本研究利用三維重建技術對上肺特異VL在雙側上肺的發生率、回流規律進行了分析,并進一步結合臨床實際,探討了結節與這一類特異VL的相對位置關系對于手術方式選擇的影響。建立多因素 logistic 回歸模型,綜合分析結節直徑、切緣球是否涉及VL以及結節深度位置對術式選擇的影響。模型結果顯示結節直徑、切緣球是否涉及VL,以及結節深度位置均是術式選擇的獨立影響因素(P<0.05),此模型ROC的AUC值為0.881。對于指導胸外科醫生進行精確的術前規劃、安全的術中操作具有一定的臨床參考價值。
隨著三維重建技術的發展,在既往傳統解剖學的基礎上,影像解剖學作為一個新的概念也逐漸成為熱點。精確的影像重建可以為肺外科手術提供精準的術前規劃和術中指導,也推動著亞肺葉切除術發展至更精確的亞段甚至次亞段解剖單元[5]。肺靜脈由于其逐級分支間插于肺段或亞段間的分布特征,而在靶區規劃、段間平面判斷等方面起到了重要作用。眾多學者[12-15]基于實體解剖和影像重建技術對雙上肺靜脈的分類也做了詳細分析。然而在目前的分型系統中,雙上肺有一支位置特異的靜脈并沒有得到足夠的重視。該靜脈分支在右上肺通常走行于S1、S2、S3三個肺段中央,在左上肺通常走行于S1+2、S3兩個肺段的中央。Yamashita將右上肺的該靜脈分支命名為V1l(lateral),而在左上肺未對該支靜脈命名,本研究結果顯示該支靜脈在雙上肺都存在,且左上肺VL發生率高于右上肺。基于該靜脈在雙側往往都是鄰近于幾支段間靜脈的會合中央發出,且位于幾個鄰近肺段之間的特點,建議在左右側都將該靜脈命名為VL(lateral)靜脈[16]。雖然VL目前尚未得到解剖學家、影像科和胸外科醫師的討論而得出一致的定義,其回流歸屬也存在多樣性,但其本質是分布于多個鄰近亞段之間的交界處,在解剖位置上更接近于B1+2和B3ai支氣管。本研究結果顯示VL發生率與上肺靜脈的大體分布類型有關,雙上肺中VL主要分布于半中心靜脈型和中心靜脈型,這與VL走行于肺實質中央的特點相符合。左側VL主要回流至V1+2b和V1+2c匯合后形成的主干V1+2b+c(389/618,62.9%),右側VL主要回流至V2a和V2b匯合后形成的主干V2a+b(327/484,67.6%),而VL回流歸屬多樣性的結果也提示我們其多段間分布的特點。
在肺段及肺亞段切除術中,一般認為在腫瘤學根治前提下保留段間或亞段間靜脈可以更好地保護保留肺段的血液回流,避免術后咯血。然而與普通段間靜脈不同的是,VL引流往往涉及多個鄰近亞段,靠近VL的結節切除范圍涉及的解剖單元也更多,在處理靠近VL的結節時,VL往往難以保留。VL位于肺實質中央,手術處理過程中需要游離解剖的行程較長,可以根據術前三維重建確定VL回流歸屬后,先沿歸屬靜脈盡量向遠端游離,如能解剖確認VL,可先行結扎切斷;如VL游離困難,則可以先切斷靶段支氣管后,牽拉提起支氣管遠端殘端,在支氣管殘端后下方再沿靜脈向遠端分離往往可以較為滿意地暴露VL,并行妥善結扎切斷,這個過程也更充分地拓展了段間交界面的游離,使得切緣更為充分,壓榨更少。
本研究發現,當結節的2 cm切緣球未涉及VL,結節位于肺外帶時,局限性切除的實現率較高;當結節的2 cm切緣球涉及了VL,結節位于肺內、中帶時,往往需要行擴大范圍的切除手術方能保證手術切緣。這提示目前亞肺葉切除手術處理影像學呈現低侵襲性的肺結節時,除直徑因素,還需要結合病灶的位置因素,依據3D CTBA中結節與鄰近解剖結構的關系進行精準的術前規劃。鄰近側枝靜脈的病灶手術方式相對更為復雜,需要制訂更精確的個體化方案。本組手術病例中,有2例采用了劈裂式聯合亞段切除手術處理鄰近VL的病灶,目前多個會議中也有報道 “劈裂式聯合亞段切除術”的應用,這種手術方式體現了肺亞段手術單元的精準性,而其遠期效果有待進一步觀察[17]。
臨床上與VL類似的多亞段間靜脈還包括V6b、V1+2d等。V6b1走行于S6b和S6c之間,V6b2走行于S6b和S9a之間,V6b3走行于S6b和S8a之間;V1+2d1走行于S1+2c和S3a之間,V1+2d2走行于S1+2c和S4a之間,V1+2d3走行于S3a和S4a之間。鄰近這些靜脈的病灶在手術規劃上也需要結合病灶侵襲性、直徑、深度位置和三維解剖結構毗鄰特點具體分析后謹慎制訂,位置深、鄰近多段間靜脈的結節,即使行劈裂式手術切緣往往也比較局限,需要行完整的肺葉切除術方能保證安全的切緣。
目前機器學習、計算機視覺等人工智能技術與醫學的聯系愈發緊密,在醫學圖像處理、智能診斷等領域為臨床診療提供較大幫助[18]。本研究中,可以利用大量二維、三維影像數據,結合無監督學習等深度學習方法,高效準確地判斷VL是否存在、是否在切緣球范圍內以及回流規律[19]。再者,若擴大樣本量,改進算法,在整合了診斷和術前規劃輔助功能的三維重建軟件中,進一步使用人工智能優化的算法可以綜合病灶信息、個體化解剖信息、腫瘤學切緣標準等指導手術[20]。
本研究尚存在一些缺陷。雙側VL的定義尚有待解剖學、影像學和外科學專家的一致討論獲得精準定義,本研究僅基于三維重建影像分析,其回流歸屬的多樣性也有待在實體解剖中驗證。作為回顧性研究,僅納入了左上肺手術病例,回顧的終點為最終的手術方式,而考慮到臨床實際情況,在術前可能因為患者本人的基礎情況以及個人意愿調整術式選擇,在術中可能因外科醫師的操作失誤、快速病理結果而臨時改變術式規劃,因此可能對最終的結論產生影響。其次,術中切斷VL,是否會對術后并發癥以及術后恢復產生影響,目前研究尚不明確。
利益沖突:無。
作者貢獻:王俊負責論文總體設想和設計;卞承禹負責部分數據整理、論文撰寫和統計分析;黃晶晶、慕廣、張文豪負責部分數據整理;吳衛兵、夏陽、袁梅負責論文部分設計;陳亮負責論文審閱與修改。