引用本文: 齊嘉琛, 高思哲, 劉剛, 張敏, 張巧妮, 閆偉東, 滕媛, 王建, 閆姝潔, 周純, 王茜, 吉冰洋. 長時間靜脈-靜脈體外膜肺氧合大動物模型建立的初步探討. 中國胸心血管外科臨床雜志, 2022, 29(9): 1166-1171. doi: 10.7507/1007-4848.202012124 復制
靜脈-靜脈體外膜肺氧合(veno-venous extracorporeal membrane oxygenation,V-V ECMO)是一項為嚴重呼吸衰竭患者提供體外生命支持的技術,通過一個人工膜肺(氧合器)暫時替代肺的氧合功能,讓其得到休息,促進肺功能恢復。對于部分患者來說,V-V ECMO 的應用可以避免氣管插管,從而防止有創機械通氣相關并發癥的發生,是更高級別的急性呼吸系統疾病的支持治療方法[1]。
“清醒體外膜肺氧合(extracorporeal membrane oxygenation,ECMO)”(awake ECMO)這一名詞常用于特指未進行有創機械通氣下使用 ECMO 的方法,最主要的指征是作為肺移植的過渡治療[2-4]。其優勢在于盡可能避免因氣管插管、鎮靜、肌肉退化、神經肌肉并發癥及醫院獲得性感染等引起的一系列不良后果。近年來,“清醒 V-V ECMO”也成功用于急性呼吸衰竭恢復的過渡治療[5],尤其是對于有創機械通氣相關風險較高的患者,如免疫力低下或慢性阻塞性肺疾病(chronic obstructive pulmonary disease,COPD)患者[6]。
本研究旨在初步探索健康清醒綿羊長時間 V-V ECMO 模型的建立方法及管理策略的安全性及可行性,為 ECMO 長期支持相關的病理生理學探究、設備研發、應用擴展、管理策略優化及后續疾病模型的建立等方面提供研究基礎。
1 材料與方法
1.1 實驗動物及術前準備
該動物實驗在心血管植入材料臨床前研究評價北京市重點實驗室完成(依托單位為中國醫學科學院阜外醫院動物實驗中心)。實驗動物均為阜外醫院動物實驗中心提供的、經檢疫合格的健康動物。
初期研究納入 3 只成年小尾寒羊,均為雄性,編碼分別為 S2020-010、S2020-005、S2020-012,體重分別為 63.5 kg、60.0 kg、58.5 kg。實驗羊術前常規禁食 48 h,禁水 12 h,并于術前完成交叉配血,預備供血羊,術中及術后根據實際情況決定是否需要全血輸注(最大輸血量為供血動物血容量的 30%)。
1.2 體外膜肺氧合設備及管路
ECMO 回路包括Avalon Elite雙腔靜脈插管(dual lumen cannula,DLC)、離心泵主機及控制器(OASSIST,STM001,江蘇賽騰醫療科技有限公司)、離心泵泵頭(STM CP-24 Ⅰ型,江蘇賽騰醫療科技有限公司)、管路(Hilite7000LT,MEDOS)、氧合器(Hilite7000LT,MEDOS)。ECMO 系統預充排氣采用 800 mL 乳酸鈉林格液完成無血預充。
1.3 麻醉及手術過程
建立耳緣動、靜脈通路,經耳靜脈注射丙泊酚(5 mg/kg)麻醉誘導,連接心電監護,記錄基礎生命體征。氣管插管采用單腔氣管導管(10 號)經口直視下插入聲門。氣管插管完成后使用呼吸機進行輔助通氣[通氣模式:容量控制通氣,潮氣量:8~10 mL/kg,呼吸頻率:12~20 次/min,初始吸入氧濃度(fraction of inspired oxygen,FiO2)為 60%]。麻醉維持采用靜脈+吸入復合麻醉[異氟烷 2%~3%+丙泊酚 8~10 mg/(kg·h)];靜脈間斷給予氟比洛芬酯進行術中鎮痛。術中保持實驗羊血壓和心率在其基礎值±20% 范圍內波動,保持動脈二氧化碳分壓(partial pressure of carbon dioxide,PaCO2)35~40 mm Hg(1 mm Hg=0.133 kPa),呼氣末二氧化碳分壓(end-tidal carbon dioxide,EtCO2)35~45 mm Hg。根據具體情況予以調整麻醉藥物劑量及呼吸機參數。
氣管內插管操作完成后,將實驗羊仰臥位固定于手術臺上,消毒鋪單。分離暴露右側頸動脈,置入單腔中心靜脈導管(18G),分離暴露左側頸靜脈置入三腔中心靜脈導管(7Fr)。上述管路用于血流動力學監測、靜脈輸液、藥物注射和采血。
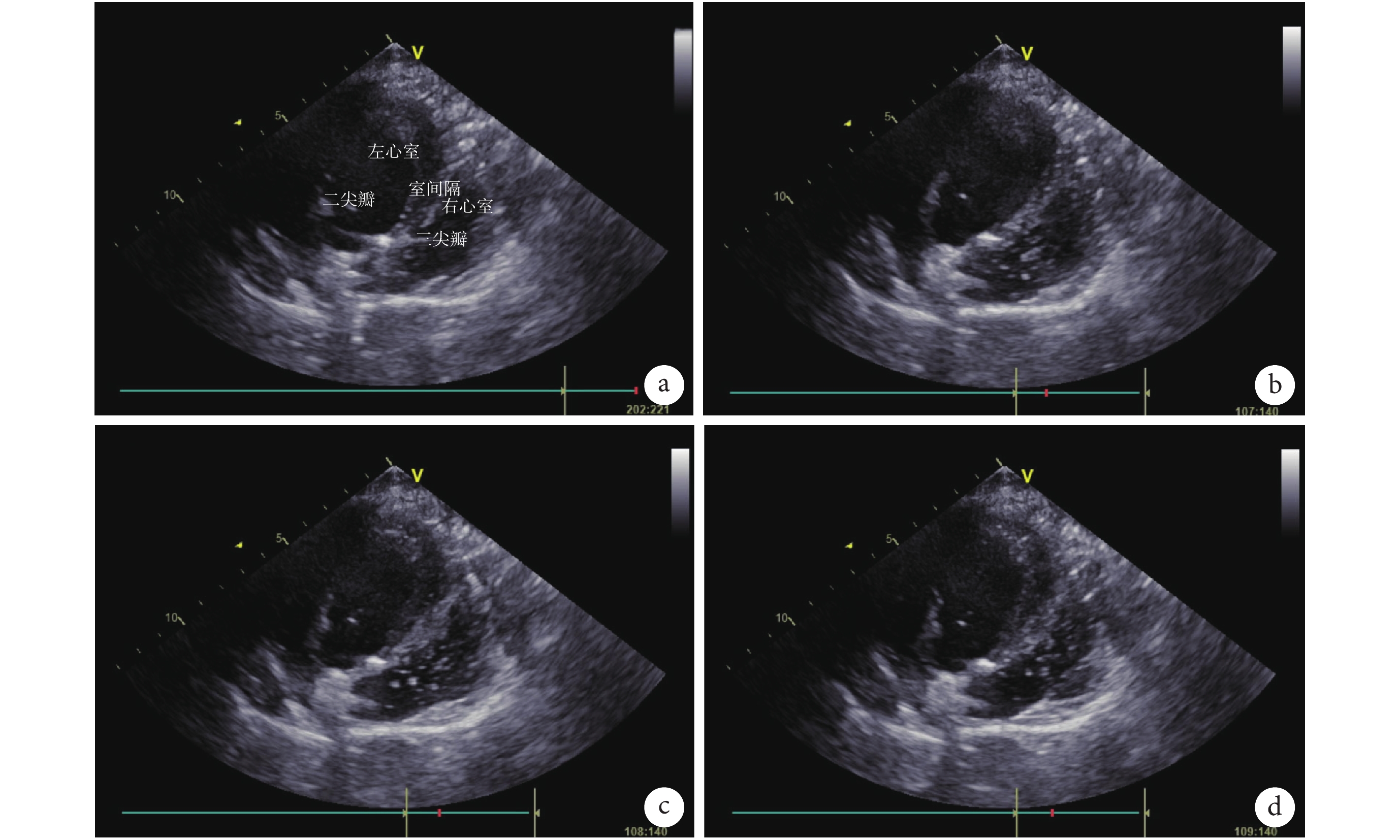
靜脈注射肝素 120 U/kg 進行全身抗凝。同時暴露右側頸靜脈,待活化凝血時間(activated clotting time,ACT)>200 s 后,經右側頸靜脈置入雙腔靜脈插管(Avalon Elite DLC,23Fr),導管尖端穿過右心房置入下腔靜脈(inferior vena cava,IVC)內;雙腔管回流口正對三尖瓣(超聲輔助判斷位置,圖 1)。ECMO 回路于外科操作前完成預充排氣,以上所有操作順利完成并確保無誤后將頸靜脈雙腔插管與 ECMO 回路的引流和回流端分別連接(圖 2a),連接過程中注意無菌操作,并避免系統進氣。連接完成后分別核對引流和回流管路,確認無誤后開始 ECMO 轉流。初始轉速為 3 000 轉/min,流量為 2 L/min。頸部切口連續縫合,牢固固定插管,管路繞頸部半周,避免移位和打折(圖 2b)。


手術操作結束并確保 ECMO 連接及運行無異常、實驗羊生命體征平穩后,將實驗羊從手術床轉移至監護籠內并適當約束。在此過程中需特別注意頭部、肩部位置固定,防止實驗羊蘇醒時因躁動而導致 ECMO 導管脫位或打折。逐漸降低麻醉深度,當實驗羊恢復自主呼吸,血氣指標滿意后,拔除氣管插管。
1.4 術后體外膜肺氧合管理及抗凝策略
V-V ECMO 流量約 2 L/min[30 mL/(kg·min)],氧流量 1~1.5 L/min,吸入氧濃度 50%~80%,并根據血氣結果、靜脈血氧飽和度(venous oxygen saturation,SvO2)、動脈血氧飽和度(arterial oxygen saturation,SaO2)動態調整。ECMO 轉流期間肝素持續泵入抗凝(配置肝素泵 200 U/kg),蘇醒后肝素初始劑量 20 U/(kg·h),隨后根據 ACT 值動態調整肝素泵入劑量,維持 ACT 在 220~250 s 之間;若動物出現傷口滲血等出血現象,適當降低 ACT 目標值。每日觀察傷口的出血情況,觀察泵頭膜肺血栓形成情況,并根據 ACT、凝血指標、出血及血栓形成情況動態調整抗凝策略。
1.5 術后護理和監測
在監護籠內,實驗羊可在一定范圍內自由活動(圖 2c)。每天定時向實驗羊提供適量的干草、飼料和水(圖 2d),根據其進食水情況、尿量、血壓、精神狀態等情況適當補液。術后每天常規給予抗生素預防切口感染(頭孢呋辛鈉 1.5 g,靜脈注射,2 次/d);每天常規傷口消毒換藥,并觀察傷口有無感染及出血情況。
術后實時動態監測實驗羊的基本生命體征及 ECMO 性能參數,每 6 h 測量血氣及 ACT,每天監測血常規、生化及凝血指標。實驗進行 168 h(7 d)后,撤除 ECMO,將實驗羊安樂死,隨后解剖尸體及取材標本,由病理科醫生進行組織器官病理檢查。
1.6 倫理審查
本實驗經阜外醫院動物實驗倫理委員會批準【0101-2-20-HX(X)】,所有實驗程序均符合國家衛生研究所出版的《實驗動物護理和使用指南》。
2 結果
3 只實驗羊術后均存活至實驗終點。在整個實驗進程中,實驗羊的基本生命體征平穩(圖 3),均未應用血管活性藥物。

a:平均動脈壓;b:心率
參考既往綿羊的生理數據[7]并與基線水平對比(術前血紅蛋白均值為 95.0 g/L),3 只實驗羊術后血紅蛋白水平均較術前下降,但保持在相對穩定的水平(圖 4a)。所有實驗羊的血漿游離血紅蛋白保持在較低水平(圖 4b)。血小板計數呈現先降低后上升的趨勢,均值從 301×109/L 下降至 84×109/L(第 2 d),第 7 d 恢復并高于基線水平 454×109/L(圖 4c)。在整個實驗過程中,動態調整肝素泵入劑量,ACT 基本維持在目標水平(圖 4d),且未出現嚴重的出凝血事件(血色素下降超過 20 g/L 或尸檢時出現血腫),因此均未進行輸血治療。

實驗期間,ECMO 流量穩定(圖 5a),氧合器的氧合性能良好(圖 5b~c)。在實驗后的尸檢中,未發現皮下血腫及其它出血征象,心臟解剖發現雙腔插管引流及回流口位置正確。插管部位的血管及心臟、腦、肺、肝、腎、小腸、大腸等組織器官未見明顯的損傷、梗死或栓塞。

a:ECMO 流量;b:膜前 SvO2;c:膜后 SaO2;ECMO:體外膜肺氧合;SvO2:靜脈血氧飽和度;SaO2:動脈血氧飽和度
3 討論
V-V ECMO 這一生命支持技術是將患者的靜脈血引流至人工肺(氧合器),完成血液的氧合和二氧化碳(carbon dioxide,CO2)的清除,隨后氧合后的動脈血通過中心或外周插管回流至患者的靜脈循環系統,從而直接改善氧合,代替自身肺的功能[1]。V-V ECMO 也是未進行機械通氣(清醒)患者最常用的體外生命支持模式,可達到與整個機體代謝相當的 CO2 清除量,而且患者的呼吸頻率和深度都明顯降低[6],使得呼吸做功和氧耗下降,從而間接地改善氧合。V-V ECMO 對氧合的影響主要依賴于心輸出量、血流量和再循環率之間的平衡。因此依賴于插管的直徑、類型和位置。
本研究應用了單點經皮 DLC,減輕了插管創傷,并可獲得長期呼吸支持。插管創傷及出血量少,使得實驗羊可自由活動并正常進食,保持較為滿意的血紅蛋白水平,無需額外人工營養支持或輸血。DLC 的設計原理是通過一個引流管腔從上腔靜脈(superior vena cava,SVC)和 IVC 中引流靜脈血,氧合后將血液輸回右心房以實現完全呼吸支持。DLC 效率更高,結構更加合理,適用性更廣。SVC 和 IVC 的兩個引流管腔開口與右心房中的回流管腔開口在空間上分開,最大限度減少再循環,提高轉流效率。管壁的加固結構使得應用于成人的 DLC 流量穩定。圓形的管腔具有幾何穩定性,可承受離心泵產生的高負壓[8]。對于有自主呼吸的成人來說,23Fr 頸靜脈雙腔 Avalon Elite插管,血流量為 2.5 L/min 時,氧輸送可達約100 mL/min[9]。
本研究中,實驗羊清醒自主活動的優勢較為明顯[9-10]。首先,因實驗羊有自主呼吸和咳嗽能力,肺部感染的可能性降低。第二,避免氣管插管、機械通氣和鎮靜,使實驗羊能夠通過自主進食獲得充足的營養,維持正常的血紅蛋白水平,并避免輸血。本研究中,實驗羊清醒自主活動導致 V-V ECMO 支持期間的管理難度增加。首先,為了保證 V-V ECMO 期間流量穩定,避免插管脫位及管路打折,我們在保證實驗羊能自主活動及進食的基礎上,將其適當約束,避免實驗羊在籠內轉身,并特別注意頭部及肩部位置相對固定。其次,需要重視清醒實驗羊的容量管理。在我們制定的干草與飼料混合喂養、少食多餐策略的基礎上,密切關注實驗羊的基本生命體征及出入量,及時補液,維持每日正 800~1 000 mL 的出入平衡。
在實驗羊 V-V ECMO 支持期間的抗凝管理方面,參考既往文獻[8, 11-14]經驗及實驗羊術前 ACT 基礎值,我們設定的初始 ACT 目標值范圍為 180~220 s,但在實驗進程前期出現了氧合器的纖維蛋白沉積與血栓形成,表明實驗羊需要的抗凝條件較高。結合實驗羊沒有明顯的出血征象、血紅蛋白濃度及血小板計數相對穩定,我們將 ACT 目標值調整為 220~250 s,實驗進程后期氧合器的纖維蛋白沉積與血栓形成減輕,氧合器氧合性能穩定,未更換氧合器且未發生嚴重出凝血事件。整個實驗進程中 3 只實驗羊的血小板計數均呈現先降低后上升的趨勢,在未輸注全血及血小板的情況下,血小板計數可在第 7 d 恢復并高于基線水平,可能由于綿羊凝血及造血系統的代償功能較好,ECMO 設備及回路對血液及凝血系統的破壞較小。
本研究仍處于清醒大動物長時間ECMO模型建立的初步探索階段,實驗動物數量較少,且可供參考的文獻十分有限[8, 14]。我們根據既往臨床中的相關經驗,預先制定了詳細的管理計劃,并根據研究進程動態調整。未來仍需進一步的研究將清醒大動物長時間ECMO模型的建立及管理標準化,并在此基礎上著眼于長時間清醒 ECMO 支持相關的病理生理學探究、設備研發、應用擴展、管理策略優化及后續疾病模型的建立。
本研究采用頸靜脈 DLC 置管方式成功建立了清醒綿羊長時間 V-V ECMO 模型。7 d 內未出現嚴重的出凝血事件,實驗進程中血紅蛋白濃度及血小板計數相對穩定,游離血紅蛋白維持在較低水平,ECMO 流量穩定,氧合器氧合性能良好,表明該模型的可行性及穩定性較高。
利益沖突:無。
作者貢獻:齊嘉琛負責實驗數據收集、整理與分析,論文撰寫;高思哲負責實驗設計,實驗數據收集、整理與分析,論文修改;劉剛負責實驗設計及實施;張敏負責實驗實施,實驗數據收集與整理;張巧妮、閆偉東負責實驗數據收集與論文修改;滕媛、王建、閆姝潔、周純、王茜負責實驗實施;吉冰洋負責實驗設計、技術支持與論文修改。
致謝:感謝江蘇賽騰醫療科技有限公司的技術及設備支持;感謝國家心血管病中心、中國醫學科學院阜外醫院動物實驗中心在大動物實驗方面提供的支持。
靜脈-靜脈體外膜肺氧合(veno-venous extracorporeal membrane oxygenation,V-V ECMO)是一項為嚴重呼吸衰竭患者提供體外生命支持的技術,通過一個人工膜肺(氧合器)暫時替代肺的氧合功能,讓其得到休息,促進肺功能恢復。對于部分患者來說,V-V ECMO 的應用可以避免氣管插管,從而防止有創機械通氣相關并發癥的發生,是更高級別的急性呼吸系統疾病的支持治療方法[1]。
“清醒體外膜肺氧合(extracorporeal membrane oxygenation,ECMO)”(awake ECMO)這一名詞常用于特指未進行有創機械通氣下使用 ECMO 的方法,最主要的指征是作為肺移植的過渡治療[2-4]。其優勢在于盡可能避免因氣管插管、鎮靜、肌肉退化、神經肌肉并發癥及醫院獲得性感染等引起的一系列不良后果。近年來,“清醒 V-V ECMO”也成功用于急性呼吸衰竭恢復的過渡治療[5],尤其是對于有創機械通氣相關風險較高的患者,如免疫力低下或慢性阻塞性肺疾病(chronic obstructive pulmonary disease,COPD)患者[6]。
本研究旨在初步探索健康清醒綿羊長時間 V-V ECMO 模型的建立方法及管理策略的安全性及可行性,為 ECMO 長期支持相關的病理生理學探究、設備研發、應用擴展、管理策略優化及后續疾病模型的建立等方面提供研究基礎。
1 材料與方法
1.1 實驗動物及術前準備
該動物實驗在心血管植入材料臨床前研究評價北京市重點實驗室完成(依托單位為中國醫學科學院阜外醫院動物實驗中心)。實驗動物均為阜外醫院動物實驗中心提供的、經檢疫合格的健康動物。
初期研究納入 3 只成年小尾寒羊,均為雄性,編碼分別為 S2020-010、S2020-005、S2020-012,體重分別為 63.5 kg、60.0 kg、58.5 kg。實驗羊術前常規禁食 48 h,禁水 12 h,并于術前完成交叉配血,預備供血羊,術中及術后根據實際情況決定是否需要全血輸注(最大輸血量為供血動物血容量的 30%)。
1.2 體外膜肺氧合設備及管路
ECMO 回路包括Avalon Elite雙腔靜脈插管(dual lumen cannula,DLC)、離心泵主機及控制器(OASSIST,STM001,江蘇賽騰醫療科技有限公司)、離心泵泵頭(STM CP-24 Ⅰ型,江蘇賽騰醫療科技有限公司)、管路(Hilite7000LT,MEDOS)、氧合器(Hilite7000LT,MEDOS)。ECMO 系統預充排氣采用 800 mL 乳酸鈉林格液完成無血預充。
1.3 麻醉及手術過程
建立耳緣動、靜脈通路,經耳靜脈注射丙泊酚(5 mg/kg)麻醉誘導,連接心電監護,記錄基礎生命體征。氣管插管采用單腔氣管導管(10 號)經口直視下插入聲門。氣管插管完成后使用呼吸機進行輔助通氣[通氣模式:容量控制通氣,潮氣量:8~10 mL/kg,呼吸頻率:12~20 次/min,初始吸入氧濃度(fraction of inspired oxygen,FiO2)為 60%]。麻醉維持采用靜脈+吸入復合麻醉[異氟烷 2%~3%+丙泊酚 8~10 mg/(kg·h)];靜脈間斷給予氟比洛芬酯進行術中鎮痛。術中保持實驗羊血壓和心率在其基礎值±20% 范圍內波動,保持動脈二氧化碳分壓(partial pressure of carbon dioxide,PaCO2)35~40 mm Hg(1 mm Hg=0.133 kPa),呼氣末二氧化碳分壓(end-tidal carbon dioxide,EtCO2)35~45 mm Hg。根據具體情況予以調整麻醉藥物劑量及呼吸機參數。
氣管內插管操作完成后,將實驗羊仰臥位固定于手術臺上,消毒鋪單。分離暴露右側頸動脈,置入單腔中心靜脈導管(18G),分離暴露左側頸靜脈置入三腔中心靜脈導管(7Fr)。上述管路用于血流動力學監測、靜脈輸液、藥物注射和采血。
靜脈注射肝素 120 U/kg 進行全身抗凝。同時暴露右側頸靜脈,待活化凝血時間(activated clotting time,ACT)>200 s 后,經右側頸靜脈置入雙腔靜脈插管(Avalon Elite DLC,23Fr),導管尖端穿過右心房置入下腔靜脈(inferior vena cava,IVC)內;雙腔管回流口正對三尖瓣(超聲輔助判斷位置,圖 1)。ECMO 回路于外科操作前完成預充排氣,以上所有操作順利完成并確保無誤后將頸靜脈雙腔插管與 ECMO 回路的引流和回流端分別連接(圖 2a),連接過程中注意無菌操作,并避免系統進氣。連接完成后分別核對引流和回流管路,確認無誤后開始 ECMO 轉流。初始轉速為 3 000 轉/min,流量為 2 L/min。頸部切口連續縫合,牢固固定插管,管路繞頸部半周,避免移位和打折(圖 2b)。


手術操作結束并確保 ECMO 連接及運行無異常、實驗羊生命體征平穩后,將實驗羊從手術床轉移至監護籠內并適當約束。在此過程中需特別注意頭部、肩部位置固定,防止實驗羊蘇醒時因躁動而導致 ECMO 導管脫位或打折。逐漸降低麻醉深度,當實驗羊恢復自主呼吸,血氣指標滿意后,拔除氣管插管。
1.4 術后體外膜肺氧合管理及抗凝策略
V-V ECMO 流量約 2 L/min[30 mL/(kg·min)],氧流量 1~1.5 L/min,吸入氧濃度 50%~80%,并根據血氣結果、靜脈血氧飽和度(venous oxygen saturation,SvO2)、動脈血氧飽和度(arterial oxygen saturation,SaO2)動態調整。ECMO 轉流期間肝素持續泵入抗凝(配置肝素泵 200 U/kg),蘇醒后肝素初始劑量 20 U/(kg·h),隨后根據 ACT 值動態調整肝素泵入劑量,維持 ACT 在 220~250 s 之間;若動物出現傷口滲血等出血現象,適當降低 ACT 目標值。每日觀察傷口的出血情況,觀察泵頭膜肺血栓形成情況,并根據 ACT、凝血指標、出血及血栓形成情況動態調整抗凝策略。
1.5 術后護理和監測
在監護籠內,實驗羊可在一定范圍內自由活動(圖 2c)。每天定時向實驗羊提供適量的干草、飼料和水(圖 2d),根據其進食水情況、尿量、血壓、精神狀態等情況適當補液。術后每天常規給予抗生素預防切口感染(頭孢呋辛鈉 1.5 g,靜脈注射,2 次/d);每天常規傷口消毒換藥,并觀察傷口有無感染及出血情況。
術后實時動態監測實驗羊的基本生命體征及 ECMO 性能參數,每 6 h 測量血氣及 ACT,每天監測血常規、生化及凝血指標。實驗進行 168 h(7 d)后,撤除 ECMO,將實驗羊安樂死,隨后解剖尸體及取材標本,由病理科醫生進行組織器官病理檢查。
1.6 倫理審查
本實驗經阜外醫院動物實驗倫理委員會批準【0101-2-20-HX(X)】,所有實驗程序均符合國家衛生研究所出版的《實驗動物護理和使用指南》。
2 結果
3 只實驗羊術后均存活至實驗終點。在整個實驗進程中,實驗羊的基本生命體征平穩(圖 3),均未應用血管活性藥物。

a:平均動脈壓;b:心率
參考既往綿羊的生理數據[7]并與基線水平對比(術前血紅蛋白均值為 95.0 g/L),3 只實驗羊術后血紅蛋白水平均較術前下降,但保持在相對穩定的水平(圖 4a)。所有實驗羊的血漿游離血紅蛋白保持在較低水平(圖 4b)。血小板計數呈現先降低后上升的趨勢,均值從 301×109/L 下降至 84×109/L(第 2 d),第 7 d 恢復并高于基線水平 454×109/L(圖 4c)。在整個實驗過程中,動態調整肝素泵入劑量,ACT 基本維持在目標水平(圖 4d),且未出現嚴重的出凝血事件(血色素下降超過 20 g/L 或尸檢時出現血腫),因此均未進行輸血治療。

實驗期間,ECMO 流量穩定(圖 5a),氧合器的氧合性能良好(圖 5b~c)。在實驗后的尸檢中,未發現皮下血腫及其它出血征象,心臟解剖發現雙腔插管引流及回流口位置正確。插管部位的血管及心臟、腦、肺、肝、腎、小腸、大腸等組織器官未見明顯的損傷、梗死或栓塞。

a:ECMO 流量;b:膜前 SvO2;c:膜后 SaO2;ECMO:體外膜肺氧合;SvO2:靜脈血氧飽和度;SaO2:動脈血氧飽和度
3 討論
V-V ECMO 這一生命支持技術是將患者的靜脈血引流至人工肺(氧合器),完成血液的氧合和二氧化碳(carbon dioxide,CO2)的清除,隨后氧合后的動脈血通過中心或外周插管回流至患者的靜脈循環系統,從而直接改善氧合,代替自身肺的功能[1]。V-V ECMO 也是未進行機械通氣(清醒)患者最常用的體外生命支持模式,可達到與整個機體代謝相當的 CO2 清除量,而且患者的呼吸頻率和深度都明顯降低[6],使得呼吸做功和氧耗下降,從而間接地改善氧合。V-V ECMO 對氧合的影響主要依賴于心輸出量、血流量和再循環率之間的平衡。因此依賴于插管的直徑、類型和位置。
本研究應用了單點經皮 DLC,減輕了插管創傷,并可獲得長期呼吸支持。插管創傷及出血量少,使得實驗羊可自由活動并正常進食,保持較為滿意的血紅蛋白水平,無需額外人工營養支持或輸血。DLC 的設計原理是通過一個引流管腔從上腔靜脈(superior vena cava,SVC)和 IVC 中引流靜脈血,氧合后將血液輸回右心房以實現完全呼吸支持。DLC 效率更高,結構更加合理,適用性更廣。SVC 和 IVC 的兩個引流管腔開口與右心房中的回流管腔開口在空間上分開,最大限度減少再循環,提高轉流效率。管壁的加固結構使得應用于成人的 DLC 流量穩定。圓形的管腔具有幾何穩定性,可承受離心泵產生的高負壓[8]。對于有自主呼吸的成人來說,23Fr 頸靜脈雙腔 Avalon Elite插管,血流量為 2.5 L/min 時,氧輸送可達約100 mL/min[9]。
本研究中,實驗羊清醒自主活動的優勢較為明顯[9-10]。首先,因實驗羊有自主呼吸和咳嗽能力,肺部感染的可能性降低。第二,避免氣管插管、機械通氣和鎮靜,使實驗羊能夠通過自主進食獲得充足的營養,維持正常的血紅蛋白水平,并避免輸血。本研究中,實驗羊清醒自主活動導致 V-V ECMO 支持期間的管理難度增加。首先,為了保證 V-V ECMO 期間流量穩定,避免插管脫位及管路打折,我們在保證實驗羊能自主活動及進食的基礎上,將其適當約束,避免實驗羊在籠內轉身,并特別注意頭部及肩部位置相對固定。其次,需要重視清醒實驗羊的容量管理。在我們制定的干草與飼料混合喂養、少食多餐策略的基礎上,密切關注實驗羊的基本生命體征及出入量,及時補液,維持每日正 800~1 000 mL 的出入平衡。
在實驗羊 V-V ECMO 支持期間的抗凝管理方面,參考既往文獻[8, 11-14]經驗及實驗羊術前 ACT 基礎值,我們設定的初始 ACT 目標值范圍為 180~220 s,但在實驗進程前期出現了氧合器的纖維蛋白沉積與血栓形成,表明實驗羊需要的抗凝條件較高。結合實驗羊沒有明顯的出血征象、血紅蛋白濃度及血小板計數相對穩定,我們將 ACT 目標值調整為 220~250 s,實驗進程后期氧合器的纖維蛋白沉積與血栓形成減輕,氧合器氧合性能穩定,未更換氧合器且未發生嚴重出凝血事件。整個實驗進程中 3 只實驗羊的血小板計數均呈現先降低后上升的趨勢,在未輸注全血及血小板的情況下,血小板計數可在第 7 d 恢復并高于基線水平,可能由于綿羊凝血及造血系統的代償功能較好,ECMO 設備及回路對血液及凝血系統的破壞較小。
本研究仍處于清醒大動物長時間ECMO模型建立的初步探索階段,實驗動物數量較少,且可供參考的文獻十分有限[8, 14]。我們根據既往臨床中的相關經驗,預先制定了詳細的管理計劃,并根據研究進程動態調整。未來仍需進一步的研究將清醒大動物長時間ECMO模型的建立及管理標準化,并在此基礎上著眼于長時間清醒 ECMO 支持相關的病理生理學探究、設備研發、應用擴展、管理策略優化及后續疾病模型的建立。
本研究采用頸靜脈 DLC 置管方式成功建立了清醒綿羊長時間 V-V ECMO 模型。7 d 內未出現嚴重的出凝血事件,實驗進程中血紅蛋白濃度及血小板計數相對穩定,游離血紅蛋白維持在較低水平,ECMO 流量穩定,氧合器氧合性能良好,表明該模型的可行性及穩定性較高。
利益沖突:無。
作者貢獻:齊嘉琛負責實驗數據收集、整理與分析,論文撰寫;高思哲負責實驗設計,實驗數據收集、整理與分析,論文修改;劉剛負責實驗設計及實施;張敏負責實驗實施,實驗數據收集與整理;張巧妮、閆偉東負責實驗數據收集與論文修改;滕媛、王建、閆姝潔、周純、王茜負責實驗實施;吉冰洋負責實驗設計、技術支持與論文修改。
致謝:感謝江蘇賽騰醫療科技有限公司的技術及設備支持;感謝國家心血管病中心、中國醫學科學院阜外醫院動物實驗中心在大動物實驗方面提供的支持。