引用本文: 曾飛, 徐臣年, 金屏, 馬燕燕, 郭紅, 周國磊, 高偉, 劉洋, 楊劍. 經心尖經導管主動脈瓣置換術治療大瓣環主動脈瓣關閉不全的有效性與安全性. 中國胸心血管外科臨床雜志, 2021, 28(7): 757-764. doi: 10.7507/1007-4848.202012114 復制
主動脈瓣關閉不全(aortic valve insufficiency,AI)是比較常見的心臟瓣膜病,約占 0.27%[1-2],可導致嚴重的心力衰竭、感染性心內膜炎以及心律失常等。目前治療 AI 的方式主要有外科主動脈瓣置換術(surgical aortic valve replacement,SAVR)與經導管主動脈瓣置換術(transcatheter aortic valve replacement,TAVR)[3-4],與 SAVR 相比,TAVR 具有創傷小、術后恢復快等優點[5]。近年來 TAVR 發展迅速[6],然而對于部分大瓣環 AI 患者,由于器械型號限制,不能進行 TAVR 手術。筆者所在研究團隊嘗試術前將介入瓣膜 J-valveTM(蘇州杰成醫療科技有限公司,中國)修飾改進,應用于大瓣環 AI 患者,獲得較好的臨床效果,現將2019年11月至2020年5月我院 10 例患者 TAVR 治療經驗回顧性總結如下。
1 資料與方法
1.1 臨床資料
10 例患者均為男性,平均年齡(64.50±4.20)歲,術前心功能分級(New York Heart Association,NYHA )Ⅲ級 8 例,Ⅳ級 2 例,左室射血分數(left ventricular ejection fraction,LVEF)39.80%±8.48%,平均主動脈瓣瓣環直徑(30.83±1.07)mm,主動脈瓣反流量(16.51±8.71)mL;見表 1。


1.2 檢查方法
所有患者術前均接受心臟外科手術前常規實驗室檢查,重點完善電子計算機斷層掃描血管造影、經胸超聲心動圖等術前影像學評估。實驗室檢查包括血常規、尿常規、便常規、肝腎功能、肺功能、B 型鈉尿肽等,還有心電圖、外周血管超聲也為常規檢查項目,如有異常,需要提前請相關科室協診評估風險。經胸超聲心動圖主要評估瓣膜形態及反流程度、跨瓣壓差、心臟結構及功能、評價心臟合并其它疾病。所有患者術前均需接受電子計算機斷層掃描血管造影,采用回顧性心電門控采集全心動周期心臟全容積 CT 圖像,胸腹及外周血管區域采用非心電門控采集方式,圖像采集完畢后,由團隊工程師將數據導入 3D 評估軟件 Mimics 21.0(Materialise 公司,比利時),進行全方位的術前評估,并出具評估報告。術前評估內容主要包括有主動脈瓣瓣環大小及竇部的形態、左室流出道情況、冠狀動脈開口的高度和術中最佳 X-Ray 造影投射角度(圖 1)。通過雙斜位重建圖像在軟件中找到主動脈瓣三冠瓣附著點最低位,以此平面作為主動脈瓣環水平,在此平面測量主動脈瓣環內徑(包括長徑和短徑,圖 1a)。

a:瓣環測量;b:左室內徑測量;c:左冠開口高度測量;d:右冠開口高度測量
1.3 適應證與禁忌證
使用 J-valveTM瓣膜治療大瓣環 AI 行 TAVR 手術的適應證:(1)高危 AI 患者;(2)年齡>60 歲;(3)術前超聲測量為中、重度 AI 的患者;(4)術前評估測量主動脈瓣瓣環>29 mm,< 32 mm 的患者;(5)美國胸外科醫師學會(STS)評分>8 分,且不適宜外科手術。
禁忌證:(1)二葉式主動脈瓣畸形的患者;(2)同時合并有重度二尖瓣、三尖瓣關閉不全或狹窄的患者;(3)合并冠狀動脈粥樣硬化性心臟病(冠心病)、主動脈夾層、腎功能衰竭、呼吸衰竭、腫瘤晚期等其它系統疾病且綜合評估后不適合手術患者。
1.4 手術方法
手術在介入雜交手術室進行,患者取仰臥位,常規全身麻醉后氣管插管,右側頸部植入頸內靜脈導管,必要時植入右側頸內靜脈心房起搏鞘管以便術中經頸靜脈植入 5 Fr 心房起搏導線,并調試是否正常工作。術前用經胸超聲心動圖先在左側胸部定位心尖搏動最強處,并在皮膚表面標記,后經口插入食管超聲探頭,再次評估患者心臟功能及主動脈瓣病變情況(圖 2)。

a:主動脈瓣大量反流,呈偏心性;b:主動脈右冠瓣發育較大,左冠瓣、無冠瓣發育較小
常規肝素化,常定位于左側鎖骨中線外側第 5、6 肋間,切一長約 4~6 cm 手術切口,充分暴露心尖后將心包十字切開并懸吊,用 3-0 Prolene 線加毛氈片雙層交錯預置直徑約 1 cm 左右圓形荷包。選擇左側股動脈植入 6 Fr 鞘管,并植入豬尾造影導管至右冠竇或無冠竇竇底以便術中造影定位,并造影確定主動脈瓣瓣環水平及兩側冠狀動脈開口,結合術前 3D 打印模型(圖 3)及術前經胸超聲心動圖預先測量主動脈瓣瓣環,并基于此術前測量,增加 5%~10% 為宜,在瓣膜預裝至輸送器前,先利用心臟手術常用的心臟滌綸補片裁剪成與瓣膜三個瓣架旁相應大小,再用 6-0 Prolene 滑線 8 針分別與瓣膜三個瓣架邊縫合固定以增加三個瓣腳的摩擦力,使得瓣膜會更牢固地固定,減少了釋放后脫落的風險(圖 4),再將瓣膜用冰水浸泡,并按程序植入輸送器中,在透視下明確心尖進針位置,經心尖穿刺置入 16~20 Fr 血管鞘,150 cm 超滑泥鰍導絲引導下順行跨越主動脈瓣,置入 5 Fr MPA 導管至腹主動脈水平線,交換 260 cm Landerquist 支撐加硬導絲,沿加硬導絲置入輸送系統至主動脈瓣上,經心尖途徑置入 J-valveTM瓣膜輸送系統,打開定位鍵,調整角度,使定位鍵進入主動脈竇內,術者通過輕輕向后牽拉植入器即可。聯合采用主動脈根部造影結合食管超聲觀看定位鍵是否定位于竇底。下降瓣膜至主動脈瓣環內,借助超硬導絲的支撐力和手術者的張力,打開主動脈瓣口,釋放支架瓣膜,移除瓣膜輸送系統。行血管造影及經食管超聲檢查,對瓣膜功能、位置及并發癥情況進行術后即刻評估。確認位置良好、功能正常、無明顯并發癥后,移除導絲及輸送系統,并結扎固定心尖荷包縫線處。再次血管造影確認冠狀動脈開口無阻塞,以及瓣膜位置及瓣葉開閉情況(圖 5)。

a:3D 打印模型顯示無冠竇及左右冠狀動脈;b:3D 打印模型顯示主動脈竇內部

a:將滌綸補片縫合至瓣架邊;b:檢查補片縫合力度及評估改良后瓣膜功能

a:造影顯示主動脈竇部;b:打開定位鍵;c:瓣膜展開,造影檢查瓣膜位置及反流;d:輸送系統準備退出
1.5 統計學分析
采用 SPSS 20.0 軟件對所有數據進行統計分析。計數資料用例數表示,組間比較采用 χ2 檢驗;計量資料用均數±標準差(±s)表示,組間比較采用配對 t 檢驗。P≤0.05 為差異有統計學意義。
1.6 倫理審查與注冊
所有患者均在術前完善相關檢查,并簽署知情同意書。本研究經西京醫院臨床試驗倫理委員會批準,并在 clinicaltrials.gov 注冊(NCT02917980)。
2 結果
1 例術中瓣膜移位至主動脈弓部,轉行 SAVR,術中將移位 J-valve 瓣膜取出,置換金屬機械瓣,術后患者恢復良好,術后 10 d 出院,推測瓣膜移位原因是瓣膜改加補片后,瓣環直徑仍偏小,造成釋放后位置不穩定而移位;余 9 例植入 29#J-valve 瓣膜,所有患者無需植入第 2 枚支架瓣膜。術后心功能分級(NYHA)Ⅱ級 6 例,Ⅲ級 4 例,LVEF(44.70%±8.78 % vs. 39.80%±8.48%,P<0.05),主動脈瓣反流[(1.75±0.72)mL vs.(16.51±8.71)mL,P<0.05],術后即刻存在少量或微量瓣周漏[(1.20±1.16)mL]。手術過程無體外膜肺氧合支持、快速起搏或植入前球囊擴張成形。術中無Ⅲ度房室傳導阻滯、冠狀動脈開口阻塞、瓣環破裂或腦血管意外發生(表 2、圖 6),術后利用患者 CT 復查數據進行重建并結合 3D 打印技術進行術后影像學評價(圖 7)。



a:二維超聲顯示瓣膜位置良好;b:支架瓣膜位置良好,無反流

a:上面觀;b:左右冠狀竇側面觀;c:下面觀;d:無冠竇側面觀
3 討論
在歐美國家,主動脈瓣疾病已成為僅次于高血壓和冠心病的第三大心血管疾病,75 歲以上人群中主動脈瓣疾病發病率約為 6%。對于高齡、高風險患者,TAVR 手術具有獨特優勢。微創經心尖途徑植入 J-valveTM瓣膜,具有定位準、瓣架低、路徑短、易操作等優點,避免了體外循環,手術時間短、創傷小、恢復快。目前國內對于主動脈瓣大瓣環的報道較少,主動脈瓣大瓣環一般指瓣環測量直徑>29 mm 的患者,該類患者:(1)瓣環擴大后,植入瓣膜難以發揮優勢,不能很好地固定在主動脈根部;(2)經導管植入主動脈瓣后,應切力下降,可能會導致植入瓣膜瞬間脫落移位至升主動脈及主動脈弓部;(3)同時伴有升主動脈及主動脈竇部的擴張,可能需要同時行帶主動脈瓣人工血管升主動脈置換術(Bentall 手術)。相對于開胸手術風險,TAVR 可能是較好的選擇。
支架在無鈣化主動脈瓣區域植入易產生移位,增加了 TAVR 手術失敗風險[7]。AI 患者同時會有主動脈根部及升主動脈的相對的病理性擴張,導致主動脈瓣瓣環擴大[8],瓣環面積超過目前臨床上 J-valveTM最大型號(29#)的人工瓣膜面積,實際操作中支架與瓣葉之間的夾合力減弱,瓣膜釋放后存在脫落的風險。因而,介入瓣膜的尺寸選擇、卒中等并發癥以及無鈣化情況下的主動脈瓣瓣環的穩定定位與錨定成為 TAVR 在 AI 中面臨的技術挑戰。同類產品研究表明,CoreValveTM和 EvolutTMR的過小和過大均與經導管心臟瓣膜(transcatheter heart valve,THV)定位錯誤的風險增加有關[9-10]。本研究中,對于此類經術前影像學評估預測主動脈瓣瓣環超過 29 mm 的患者,利用心臟滌綸補片與 J-valveTM瓣膜三個瓣架邊縫合固定以增加三個瓣腳的摩擦力,術中及術后使瓣膜固定牢固,降低了釋放后瓣膜脫落的風險。
人工瓣膜的尺寸選擇能夠影響術后瓣周漏以及血流動力學狀況[11]。自膨脹瓣膜時,使用較大尺寸的瓣膜可降低術后主動脈瓣反流率,這也證實了影像學評估的重要性[12-13]。基于 3D 打印技術國內外心血管領域正在得到廣泛應用,我們在術前利用 3D 打印技術[14-17],對患者的主動脈瓣膜、瓣環大小的測量、主動脈竇部解剖等情況均進行了個體化的模擬,有利于對于患者的影像學評估以及術者的術前準備,也取得了不錯的效果[18-19]。J-valveTM系統的植入過程中,保證造影投照方向為主動脈瓣環的切線位具有非常重要的意義,植入瓣膜應該與主動脈瓣環平面保持垂直并平行于主動脈長軸。定位鍵進入主動脈瓣竇內后,必須重復做一次主動脈根部造影,以確認定位鍵的形態正確。在支架瓣膜下降入主動脈瓣環水平的過程中,也應特別注意瓣膜支架有無受定位鍵牽絆。如忽視了定位鍵受瓣膜支架牽拉而產生的形變,會對瓣膜的植入形態產生嚴重影響。術者應該充分掌握植入器的操作步驟,也可在 3D 打印模擬器中推演意外狀況出現后如何正確操作植入器進行應對和補救。因此,在選擇使用 J-valveTM系統行經心尖 TAVR 時,應謹慎考慮手術的適應證和禁忌證,在保證患者能夠耐受的同時,最大程度地改善癥狀[19]。
綜上,使用 J-valveTM系統行經心尖 TAVR 治療大瓣環 AI 患者具有一定的可行性,術后即刻及早期隨訪結果滿意。然而,本研究納入的患者數量有限,仍有待更大樣本量和長期隨訪的研究進一步證實。
利益沖突:無。
作者貢獻:曾飛負責病例數據采集、病例隨訪、數據統計分析、論文撰寫;徐臣年負責論文撰寫、數據統計分析;金屏負責數據統計分析;馬燕燕、郭紅負責病例數據采集、病例隨訪;周國磊負責病例數據采集;高偉負責研究過程指導;劉洋、楊劍負責研究設計與組織實施、論文審閱。
主動脈瓣關閉不全(aortic valve insufficiency,AI)是比較常見的心臟瓣膜病,約占 0.27%[1-2],可導致嚴重的心力衰竭、感染性心內膜炎以及心律失常等。目前治療 AI 的方式主要有外科主動脈瓣置換術(surgical aortic valve replacement,SAVR)與經導管主動脈瓣置換術(transcatheter aortic valve replacement,TAVR)[3-4],與 SAVR 相比,TAVR 具有創傷小、術后恢復快等優點[5]。近年來 TAVR 發展迅速[6],然而對于部分大瓣環 AI 患者,由于器械型號限制,不能進行 TAVR 手術。筆者所在研究團隊嘗試術前將介入瓣膜 J-valveTM(蘇州杰成醫療科技有限公司,中國)修飾改進,應用于大瓣環 AI 患者,獲得較好的臨床效果,現將2019年11月至2020年5月我院 10 例患者 TAVR 治療經驗回顧性總結如下。
1 資料與方法
1.1 臨床資料
10 例患者均為男性,平均年齡(64.50±4.20)歲,術前心功能分級(New York Heart Association,NYHA )Ⅲ級 8 例,Ⅳ級 2 例,左室射血分數(left ventricular ejection fraction,LVEF)39.80%±8.48%,平均主動脈瓣瓣環直徑(30.83±1.07)mm,主動脈瓣反流量(16.51±8.71)mL;見表 1。


1.2 檢查方法
所有患者術前均接受心臟外科手術前常規實驗室檢查,重點完善電子計算機斷層掃描血管造影、經胸超聲心動圖等術前影像學評估。實驗室檢查包括血常規、尿常規、便常規、肝腎功能、肺功能、B 型鈉尿肽等,還有心電圖、外周血管超聲也為常規檢查項目,如有異常,需要提前請相關科室協診評估風險。經胸超聲心動圖主要評估瓣膜形態及反流程度、跨瓣壓差、心臟結構及功能、評價心臟合并其它疾病。所有患者術前均需接受電子計算機斷層掃描血管造影,采用回顧性心電門控采集全心動周期心臟全容積 CT 圖像,胸腹及外周血管區域采用非心電門控采集方式,圖像采集完畢后,由團隊工程師將數據導入 3D 評估軟件 Mimics 21.0(Materialise 公司,比利時),進行全方位的術前評估,并出具評估報告。術前評估內容主要包括有主動脈瓣瓣環大小及竇部的形態、左室流出道情況、冠狀動脈開口的高度和術中最佳 X-Ray 造影投射角度(圖 1)。通過雙斜位重建圖像在軟件中找到主動脈瓣三冠瓣附著點最低位,以此平面作為主動脈瓣環水平,在此平面測量主動脈瓣環內徑(包括長徑和短徑,圖 1a)。

a:瓣環測量;b:左室內徑測量;c:左冠開口高度測量;d:右冠開口高度測量
1.3 適應證與禁忌證
使用 J-valveTM瓣膜治療大瓣環 AI 行 TAVR 手術的適應證:(1)高危 AI 患者;(2)年齡>60 歲;(3)術前超聲測量為中、重度 AI 的患者;(4)術前評估測量主動脈瓣瓣環>29 mm,< 32 mm 的患者;(5)美國胸外科醫師學會(STS)評分>8 分,且不適宜外科手術。
禁忌證:(1)二葉式主動脈瓣畸形的患者;(2)同時合并有重度二尖瓣、三尖瓣關閉不全或狹窄的患者;(3)合并冠狀動脈粥樣硬化性心臟病(冠心病)、主動脈夾層、腎功能衰竭、呼吸衰竭、腫瘤晚期等其它系統疾病且綜合評估后不適合手術患者。
1.4 手術方法
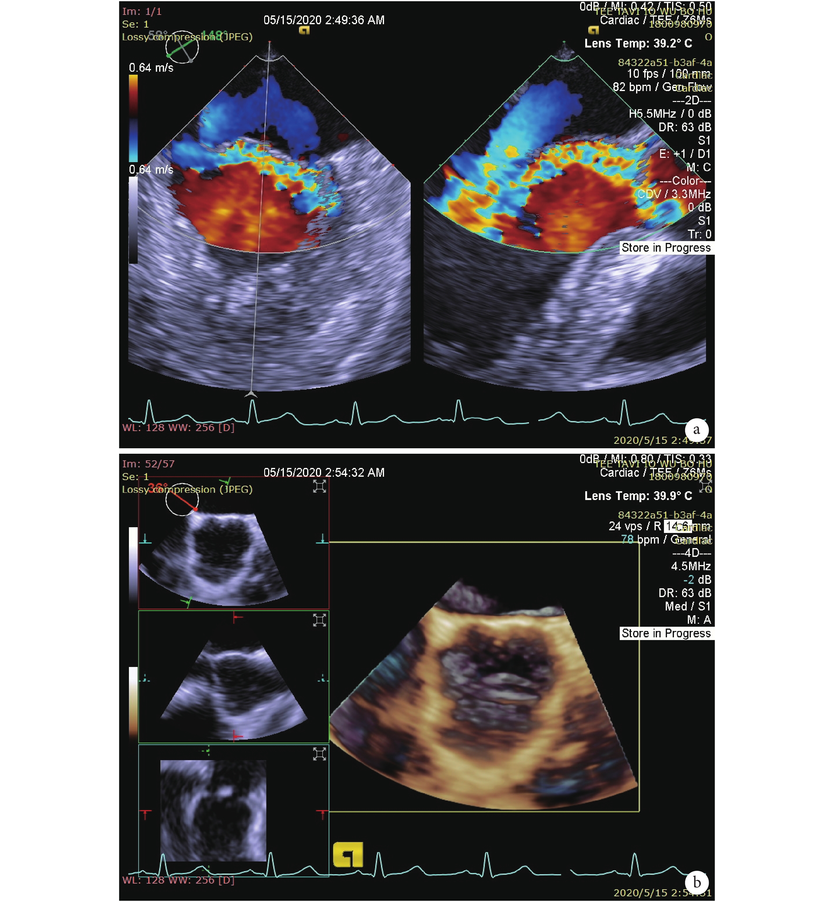
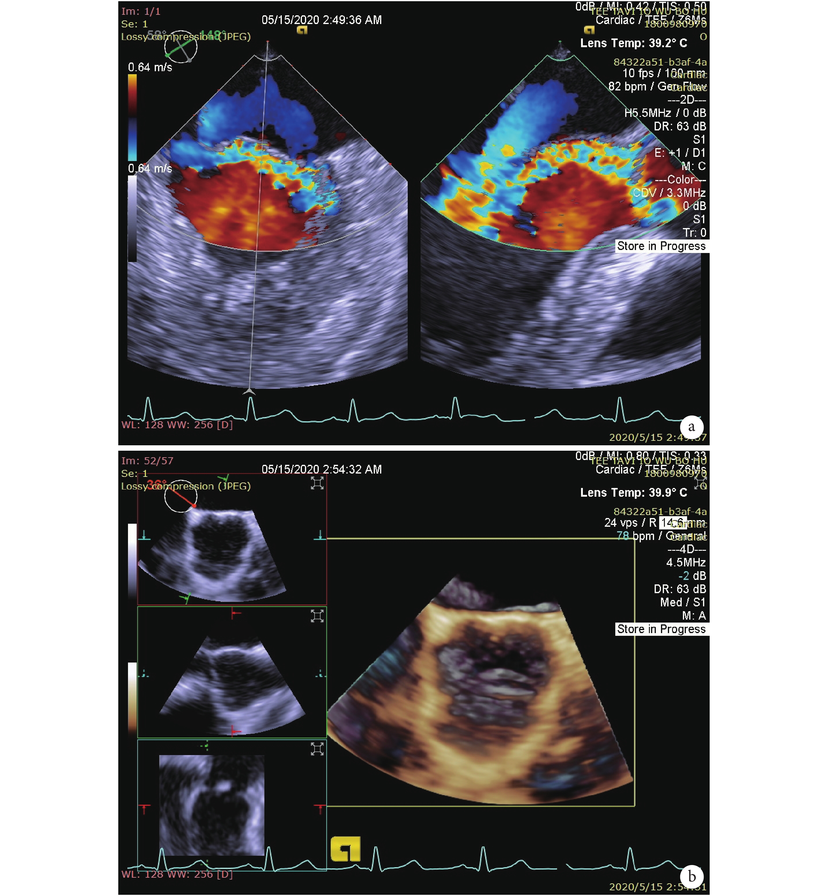
手術在介入雜交手術室進行,患者取仰臥位,常規全身麻醉后氣管插管,右側頸部植入頸內靜脈導管,必要時植入右側頸內靜脈心房起搏鞘管以便術中經頸靜脈植入 5 Fr 心房起搏導線,并調試是否正常工作。術前用經胸超聲心動圖先在左側胸部定位心尖搏動最強處,并在皮膚表面標記,后經口插入食管超聲探頭,再次評估患者心臟功能及主動脈瓣病變情況(圖 2)。

a:主動脈瓣大量反流,呈偏心性;b:主動脈右冠瓣發育較大,左冠瓣、無冠瓣發育較小
常規肝素化,常定位于左側鎖骨中線外側第 5、6 肋間,切一長約 4~6 cm 手術切口,充分暴露心尖后將心包十字切開并懸吊,用 3-0 Prolene 線加毛氈片雙層交錯預置直徑約 1 cm 左右圓形荷包。選擇左側股動脈植入 6 Fr 鞘管,并植入豬尾造影導管至右冠竇或無冠竇竇底以便術中造影定位,并造影確定主動脈瓣瓣環水平及兩側冠狀動脈開口,結合術前 3D 打印模型(圖 3)及術前經胸超聲心動圖預先測量主動脈瓣瓣環,并基于此術前測量,增加 5%~10% 為宜,在瓣膜預裝至輸送器前,先利用心臟手術常用的心臟滌綸補片裁剪成與瓣膜三個瓣架旁相應大小,再用 6-0 Prolene 滑線 8 針分別與瓣膜三個瓣架邊縫合固定以增加三個瓣腳的摩擦力,使得瓣膜會更牢固地固定,減少了釋放后脫落的風險(圖 4),再將瓣膜用冰水浸泡,并按程序植入輸送器中,在透視下明確心尖進針位置,經心尖穿刺置入 16~20 Fr 血管鞘,150 cm 超滑泥鰍導絲引導下順行跨越主動脈瓣,置入 5 Fr MPA 導管至腹主動脈水平線,交換 260 cm Landerquist 支撐加硬導絲,沿加硬導絲置入輸送系統至主動脈瓣上,經心尖途徑置入 J-valveTM瓣膜輸送系統,打開定位鍵,調整角度,使定位鍵進入主動脈竇內,術者通過輕輕向后牽拉植入器即可。聯合采用主動脈根部造影結合食管超聲觀看定位鍵是否定位于竇底。下降瓣膜至主動脈瓣環內,借助超硬導絲的支撐力和手術者的張力,打開主動脈瓣口,釋放支架瓣膜,移除瓣膜輸送系統。行血管造影及經食管超聲檢查,對瓣膜功能、位置及并發癥情況進行術后即刻評估。確認位置良好、功能正常、無明顯并發癥后,移除導絲及輸送系統,并結扎固定心尖荷包縫線處。再次血管造影確認冠狀動脈開口無阻塞,以及瓣膜位置及瓣葉開閉情況(圖 5)。

a:3D 打印模型顯示無冠竇及左右冠狀動脈;b:3D 打印模型顯示主動脈竇內部

a:將滌綸補片縫合至瓣架邊;b:檢查補片縫合力度及評估改良后瓣膜功能

a:造影顯示主動脈竇部;b:打開定位鍵;c:瓣膜展開,造影檢查瓣膜位置及反流;d:輸送系統準備退出
1.5 統計學分析
采用 SPSS 20.0 軟件對所有數據進行統計分析。計數資料用例數表示,組間比較采用 χ2 檢驗;計量資料用均數±標準差(±s)表示,組間比較采用配對 t 檢驗。P≤0.05 為差異有統計學意義。
1.6 倫理審查與注冊
所有患者均在術前完善相關檢查,并簽署知情同意書。本研究經西京醫院臨床試驗倫理委員會批準,并在 clinicaltrials.gov 注冊(NCT02917980)。
2 結果
1 例術中瓣膜移位至主動脈弓部,轉行 SAVR,術中將移位 J-valve 瓣膜取出,置換金屬機械瓣,術后患者恢復良好,術后 10 d 出院,推測瓣膜移位原因是瓣膜改加補片后,瓣環直徑仍偏小,造成釋放后位置不穩定而移位;余 9 例植入 29#J-valve 瓣膜,所有患者無需植入第 2 枚支架瓣膜。術后心功能分級(NYHA)Ⅱ級 6 例,Ⅲ級 4 例,LVEF(44.70%±8.78 % vs. 39.80%±8.48%,P<0.05),主動脈瓣反流[(1.75±0.72)mL vs.(16.51±8.71)mL,P<0.05],術后即刻存在少量或微量瓣周漏[(1.20±1.16)mL]。手術過程無體外膜肺氧合支持、快速起搏或植入前球囊擴張成形。術中無Ⅲ度房室傳導阻滯、冠狀動脈開口阻塞、瓣環破裂或腦血管意外發生(表 2、圖 6),術后利用患者 CT 復查數據進行重建并結合 3D 打印技術進行術后影像學評價(圖 7)。



a:二維超聲顯示瓣膜位置良好;b:支架瓣膜位置良好,無反流

a:上面觀;b:左右冠狀竇側面觀;c:下面觀;d:無冠竇側面觀
3 討論
在歐美國家,主動脈瓣疾病已成為僅次于高血壓和冠心病的第三大心血管疾病,75 歲以上人群中主動脈瓣疾病發病率約為 6%。對于高齡、高風險患者,TAVR 手術具有獨特優勢。微創經心尖途徑植入 J-valveTM瓣膜,具有定位準、瓣架低、路徑短、易操作等優點,避免了體外循環,手術時間短、創傷小、恢復快。目前國內對于主動脈瓣大瓣環的報道較少,主動脈瓣大瓣環一般指瓣環測量直徑>29 mm 的患者,該類患者:(1)瓣環擴大后,植入瓣膜難以發揮優勢,不能很好地固定在主動脈根部;(2)經導管植入主動脈瓣后,應切力下降,可能會導致植入瓣膜瞬間脫落移位至升主動脈及主動脈弓部;(3)同時伴有升主動脈及主動脈竇部的擴張,可能需要同時行帶主動脈瓣人工血管升主動脈置換術(Bentall 手術)。相對于開胸手術風險,TAVR 可能是較好的選擇。
支架在無鈣化主動脈瓣區域植入易產生移位,增加了 TAVR 手術失敗風險[7]。AI 患者同時會有主動脈根部及升主動脈的相對的病理性擴張,導致主動脈瓣瓣環擴大[8],瓣環面積超過目前臨床上 J-valveTM最大型號(29#)的人工瓣膜面積,實際操作中支架與瓣葉之間的夾合力減弱,瓣膜釋放后存在脫落的風險。因而,介入瓣膜的尺寸選擇、卒中等并發癥以及無鈣化情況下的主動脈瓣瓣環的穩定定位與錨定成為 TAVR 在 AI 中面臨的技術挑戰。同類產品研究表明,CoreValveTM和 EvolutTMR的過小和過大均與經導管心臟瓣膜(transcatheter heart valve,THV)定位錯誤的風險增加有關[9-10]。本研究中,對于此類經術前影像學評估預測主動脈瓣瓣環超過 29 mm 的患者,利用心臟滌綸補片與 J-valveTM瓣膜三個瓣架邊縫合固定以增加三個瓣腳的摩擦力,術中及術后使瓣膜固定牢固,降低了釋放后瓣膜脫落的風險。
人工瓣膜的尺寸選擇能夠影響術后瓣周漏以及血流動力學狀況[11]。自膨脹瓣膜時,使用較大尺寸的瓣膜可降低術后主動脈瓣反流率,這也證實了影像學評估的重要性[12-13]。基于 3D 打印技術國內外心血管領域正在得到廣泛應用,我們在術前利用 3D 打印技術[14-17],對患者的主動脈瓣膜、瓣環大小的測量、主動脈竇部解剖等情況均進行了個體化的模擬,有利于對于患者的影像學評估以及術者的術前準備,也取得了不錯的效果[18-19]。J-valveTM系統的植入過程中,保證造影投照方向為主動脈瓣環的切線位具有非常重要的意義,植入瓣膜應該與主動脈瓣環平面保持垂直并平行于主動脈長軸。定位鍵進入主動脈瓣竇內后,必須重復做一次主動脈根部造影,以確認定位鍵的形態正確。在支架瓣膜下降入主動脈瓣環水平的過程中,也應特別注意瓣膜支架有無受定位鍵牽絆。如忽視了定位鍵受瓣膜支架牽拉而產生的形變,會對瓣膜的植入形態產生嚴重影響。術者應該充分掌握植入器的操作步驟,也可在 3D 打印模擬器中推演意外狀況出現后如何正確操作植入器進行應對和補救。因此,在選擇使用 J-valveTM系統行經心尖 TAVR 時,應謹慎考慮手術的適應證和禁忌證,在保證患者能夠耐受的同時,最大程度地改善癥狀[19]。
綜上,使用 J-valveTM系統行經心尖 TAVR 治療大瓣環 AI 患者具有一定的可行性,術后即刻及早期隨訪結果滿意。然而,本研究納入的患者數量有限,仍有待更大樣本量和長期隨訪的研究進一步證實。
利益沖突:無。
作者貢獻:曾飛負責病例數據采集、病例隨訪、數據統計分析、論文撰寫;徐臣年負責論文撰寫、數據統計分析;金屏負責數據統計分析;馬燕燕、郭紅負責病例數據采集、病例隨訪;周國磊負責病例數據采集;高偉負責研究過程指導;劉洋、楊劍負責研究設計與組織實施、論文審閱。